Abstract
The Fra-1/AP-1 transcription factor plays a key role in tumor epithelial cell progression; however, its role in pathogenic lung fibrosis remains unclear. In the present study, using a genetic approach (Fra-1 deficient mice), we have demonstrated a novel regulatory (protective) role for Fra-1 in lung fibrosis. We found greater levels of progressive interstitial fibrosis, characterized by increased levels of inflammation, collagen accumulation, and profibrotic and fibrotic gene expression in the lungs of Fra-1 Δ/Δ mice than in those of Fra-1+/+ mice following bleomycin treatment. Fra-1 knockdown in human lung epithelial cells caused the upregulation of mesenchymal marker N-cadherin, concomitant with a downregulation of the epithelial phenotype marker E-cadherin, under basal conditions and in response to bleomycin and TGF-β1. Furthermore, Fra-1 knockdown caused an enhanced expression of type 1 collagen and the downregulation of collagenase (MMP-1 and MMP-13) gene expression in human lung epithelial cells. Collectively, our findings demonstrate that Fra-1 mediates anti-fibrotic effects in the lung through the modulation of proinflammatory, profibrotic and fibrotic gene expression, and suggests that the Fra-1 transcription factor may be a potential target for pulmonary fibrosis, a progressive disorder with poor prognosis and treatment.
Introduction
Pulmonary fibrosis is a chronic, progressive disorder that leads to morbidity and mortality and is associated with poor prognosis and treatment. This disease is characterized by fibroblast proliferation, extracellular matrix (ECM) accumulation, and alterations in parenchymal architecture leading to scar formation [1], but the exact mechanisms underlying this pathogenic fibrosis are not completely defined. Increased production of interstitial collagens as a result of ECM remodeling and protease and antiprotease imbalance has been implicated in both experimental (bleomycin-induced) [2] and human pulmonary fibrosis [3]. The matrix metalloproteinase (MMP) family members regulate ECM turnover, whereas collagenases (members of MMP subfamily) cleave the interstitial collagens, types I, II and III under both physiologic and pathologic conditions. The activities of these enzymes are controlled at multiple levels, in particular through the interactions with their specific inhibitors, known as the tissue inhibitors of metalloproteinases (TIMPs). Thus, a concerted regulation of both MMP and TIMP expression is critical to maintaining tissue homeostasis and remodeling during normal physiological processes such as development and wound healing [4]. However, the loss of this coordinated regulation of MMP and TIMP expression has been shown to contributes to the development and progression of several diseases, including fibrosis [5], [6], [7].
The AP-1 transcription factor, mainly comprised of the Jun (c-Jun, Jun-B, Jun-D) and Fos (c-Fos, Fos-B, Fra-1, Fra-2) families of b-ZIP transcription factors, binds to the TPA response element (TRE, also known as the AP-1 site) of target gene promoters and regulates their expression in response to various pro-oxidants and toxicants. These gene products mediate (mitigate or promote) oxidative stress and inflammatory responses, as well as cell growth and tumorigenesis [8]. These diverse cellular processes mediated by AP-1 family members in response to various physiological and pathogenic stimuli have generally been attributed to the nature of activation of Jun and Fos family members, their dimeric composition, and the duration of the subsequent TRE-mediated induction of genes [9], [10]. Many growth factors and inflammatory cytokines implicated in lung fibrosis, including the TGF-β1, are known regulators of the AP-1 activity both in vitro and in vivo [10], [11]; however, the exact relevance of Jun and Fos family member activation in pro-fibrotic stimuli and their contribution to lung fibrosis are largely undefined. Several studies, including ours, have shown that ectopic Fra-1 expression upregulates the expression of genes controlling tissue/cell remodeling, such as MMP-1, MMP-2, and MMP-9, mainly at the transcriptional level [12], [13], [14], [15], [16]. Thus, we hypothesized that the Fra-1 transcription factor is critical for promoting lung fibrosis and mice lacking Fra-1 would not develop lung fibrosis in vivo. Here we report that, contrary to our expectation, deletion of Fra-1 led to an increased severity of lung fibrosis in an experimental model of bleomycin-induced lung injury. Furthermore, we found that the anti-fibrotic effects mediated by Fra-1 occur through the modulation of expression of pro-inflammatory, pro-fibrotic and fibrotic genes both in vivo and in vitro.
Methods
Mice
Conventional deletion of Fra-1 resulted in embryonic lethality as a result of extra-embryonic tissue defects [17]. Therefore, in order to examine the role of this transcription factor in pulmonary fibrosis, the mice bearing a Fra-1 “floxed” allele [17] (hereafter noated as Fra-1FF mice) were obtained from Erwin F. Wagner (Ludwig Boltzmann Institute for Cancer Research, Vienna, Austria). These mice are maintained in a mixed (C57BL6/129) background. Meox2 (Sox2)-Cre transgenic mice (C57BL6/129), in which Cre expression specifically restricted in embryo but not in extra-embryonic tissues [18], were obtained from the Jackson Labs. Meox2 Cre mice were crossed to Fra-1F/F mice , and the Fra-1 Wt/F-Meox2-Cre were then backcrossed to parent Fra-1F/F mice to obtain Fra-1F/F-Meox2-Cre mice and the pups were genotyped for the lack of two “floxed” alleles of Fra-1 (Fra-1F/F) and the presence of Cre (data not shown). Fra-1FF mice with and without Cre are hereafter referred to as Fra-1 Δ/Δ and Fra-1+/+ genotypes, respectively.
Bleomycin Treatment
Bleomycin (0.075U) (APP Pharmaceuticals, LLC, Schaumburg, IL, USA) diluted in 30 µL of PBS was intratracheally administered to mice (10–14 weeks old) as described previously [19]. All experiments were conducted under a protocol approved by the institutional animal care use committee of the Johns Hopkins University and the University of Illinois at Chicago. At the end of experimental period, the right lobes were used for the bronchoalveolar lavage (BAL) collection and for the measurement of hydroxyproline content. The left lungs were fixed in 10% formalin for histological examination or were frozen immediately for subsequent gene expression analysis. The number of animals used for each analysis is given in figure legends.
Measurement of Lung Inflammation, Fibrosis and Hydroxyproline Content
Inflammatory response in the lung tissue was analyzed by differential cell count and H&E staining. Fibrosis was detected by conventional trichrome staining of lung sections. Hydroxyproline content was measured by spectrophotometrically to quantify lung collagen accumulation as detailed elsewhere [20]. Briefly, lung tissues were washed in PBS, weighed, minced and diluted in 1 mL of PBS. Samples were then hydrolyzed in 12 N HCl at 110°C for overnight. Each sample (5 µL) was mixed with equal volume of citrate-acetate buffer and 100 µLs of chloramines-T solution. The mixture was incubated for 20 minutes at room temperature. Ehrlich’s solution was then added and the samples were incubated at 65°C for 18 minutes and absorbance was measured at 550 nm using hydroxyproline as a standard. The results were expressed as µg of hydroxyproline content/mg of lung tissue.
Human Lung Epithelial Cell Culture for Small Interfering RNA (siRNA) Transfection
The human normal small airway epithelial cells (hereafter referred to as AECs) immortalized by telomerase [21] (kindly provided by Tom K. Hei and Chang Q. Piao, Columbia University, NY, USA), and A549 cells (obtained from ATCC) were cultured in DMEM/F12 and RPMI 1640 medium, respectively, supplemented with 10% FBS, 1% antibiotics, fungizone and growth factors. To silence Fra-1 expression, AECs and A549 cells at 30–40% confluence were transfected with SMART pool siRNA specific for human Fra-1 or scrambled siRNA (Dharmacon) at 20 nM concentrations using DharmaFECT 1 transfection reagent (T-2001-01). After 48 hours incubation, cells were treated with bleomycin (5 mU/mL) or TGF-β1 (5 ng/mL) for different time points, total RNA and proteins were isolated.
Real-time RT-PCR Analysis
Total RNA was extracted from lung tissues, AECs and A549 cells using TRIZOL reagent by following the manufacturer’s instructions (Invitrogen, CA, USA). For real-time RT-PCR analysis, 1 µg of total RNA was reverse transcribed using qscript cDNA supermix kit (Quanta Biosciences Inc., MD, USA). The expression levels of various genes were quantified in triplicate by TaqMan gene expression assays using β-actin as reference. The absolute expression value for each gene was normalized to that of β-actin and the values from control samples were set as one unit. Each experiment was repeated and n of at least 3 was derived from two independent experiments.
Immunoblot Analysis
The whole protein lysate isolated from lung tissues and AECs was separated on a 10% SDS-PAGE and transferred to nitrocellulose membranes. Membranes were probed with primary antibodies against E-cadherin, N-cadherin (Santa Cruz Biotechnology Inc., CA, USA), type 1 collagen (Abcam Inc., Cambridge, MA, USA; Calbiochem, USA), Fra-1 (Santa Cruz Biotechnology Inc., CA, USA), β-actin, and α-tubulin (Sigma Aldrich, St. Louis, MO, USA). Immunoreactive bands were detected with appropriate horseradish peroxidase-conjugated secondary antibodies and visualized by enhanced chemiluminescence detection reagent.
ELISA
Levels of active TGF-β1 in the lung tissue lysate were measured with an ELISA kit as per the manufacturer’s instructions (eBioscience Inc., USA).
Collagen Zymographic Analysis
Because some MMPs can degrade type 1 collagen, zymographic techniques were used to detect their activity in tissues. Equal amount of protein extracted from lung tissues were separated on 10% SDS-PAGE gel containing 1 mg/ml of type 1 collagen prepared from the rat tail tendon (Invitrogen, USA). Gels were washed twice with 2.5% Triton X-100, rinsed with water, incubated overnight at 37°C in developing buffer (50 mM Tris, 5 mM CaCl2, 2 µM ZnCl2, pH = 8) and stained with Coomasie brilliant blue in a solution containing 25% ethanol and 10% acetic acid. The enzyme activity appeared as clear bands against blue background. We used recombinant protein molecular weight markers to estimate the molecular weights of the proteolytic bands.
Statistical Analysis
All data involving animal experimentation and cell culture studies were collected by an investigator or technician blinded to the specific experimental group used. Data were expressed as the mean ± SD. Student’s T test was used and the p value lower than 0.05 was considered significant.
Results
Fra-1 Deletion Results in Increased Levels of Lung Inflammation and Pro-inflammatory Cytokine Expression at Day 7 of Post-bleomycin Administration
The bleomycin-induced lung injury model is commonly used as an experimental model to elucidate the mechanisms underlying the development and progression of lung fibrosis. The development of fibrosis in this model can be seen biochemically and histologically by day 14 with maximal responses generally noted around 21 days [22], [23], [24], and begins to resolve after this period [25], [26], [27]. While the resolving nature of the fibrosis induced by bleomycin does not mimic human disease, this aspect of the model system offers an opportunity to study fibrotic resolution at these later time points. Thus, to determine whether Fra-1 regulates pulmonary fibrosis in vivo, Fra-1 Δ/Δ and Fra-1+/+ littermates were treated with vehicle or bleomycin, and the early and late fibrotic responses, histological changes, inflammatory cell profiles and proinflammatory cytokines and chemokines associated with this injury were evaluated at 7, 14, and 31 days after bleomycin administration.
Histologic analyses at 7 days after bleomycin instillation revealed that Fra-1 Δ/Δ mice developed severe acute inflammation throughout the lung parenchyma (Fig. 1A) when compared with their Fra-1+/+ counterparts, which displayed a lesser degree of lung inflammation. As shown in Fig. 1B, the total number of cells recovered from the brochoalveolar lavage fluid (BAL) of the wild-type mice was approximately half that of the Fra-1 mutant mice. The lung inflammation in Fra-1 Δ/Δ mice was primarily characterized by greater accumulation of neutrophils and lymphocytes than in Fra-1+/+ mice, which had only a few neutrophils and lymphocytes.
Figure 1. Fra-1 Δ/Δ mice display greater pulmonary inflammatory responses at 7-day post-bleomycin administration.
Mice (n = 8 in each genotype) were intratracheally administered with bleomycin. Left lungs were fixed for histology (n = 4) or used for mRNA analysis (n = 4). Right lobes (n = 8) were used for BAL and protein analysis. Representative results of two different experiments are shown. Samples obatined from mice treated with PBS were from Figure 3 (see below). A: Representative images of H&E stained lung tissue sections of bleomycin-treated Fra-1+/+ and Fra-1 Δ/Δ mice (n = 4). B: Assessment of lung inflammatory cell profiles in the BAL fluid of both genotypes (n = 5). C: Pro-inflammatory cytokines and chemokines gene expression after treatment with bleomycin (n = 4).∗p<0.05, PBS vs bleomycin; †p<0.05, Fra-1 Δ/Δ vs Fra-1+/+ mice. a and b images shown at 4× magnification, while a1 and b1 are boxed areas of a and b, respectively, but shown at x20.
Given that Fra-1 Δ/Δ mice showed greater levels of lung inflammation after bleomycin treatment, it was of interest to determine if similar changes in the expression levels of pro-inflammatory cytokines and chemokines were attributable to this response. Proinflammatory cytokines TNF-α and IL-6 and chemokines, such as MIP-1α, MIP-2 and KC mRNA expression were examined at day 7 after bleomycin treatment. The results revealed that TNF-α and IL-6 mRNA levels were increased significantly on day 7 after treatment compared to sham controls (Fig. 1C). Though no difference in the expression of IL-6 was observed between the two genotypes, Fra-1 Δ/Δ mice showed a significant increase in TNF-α expression as compared with the wild-type mice upon bleomycin treatment on day 7. Bleomycin-induced MIP-1α and MIP-2 expression was markedly increased on day 7 in Fra-1 Δ/Δ mice as compared with their wild-type counterparts, whereas no difference was observed for the expression levels of KC between the genotypes (Fig. 1C). Taken together, these results suggest that Fra-1 may dampen bleomycin-induced lung neutrophilic inflammation in vivo at least, in part, by selectively suppressing the expression levels of pro-inflammatory cytokines and chemokines.
Fra-1 Deficiency Promotes Lung Fibrosis at Day 14 of Post-bleomycin Administration
The representative lung histology shown at 14 days post-bleomycin instillation also revealed that Fra-1 Δ/Δ mice had more severe inflammation, fibrosis, and alveolar wall thickening than did their wild-type counterparts (Fig. 2A). As shown in Fig. 2B, the total number of cells recovered from BAL fluids of the wild-type mice was approximately half that of the Fra-1 mutant mice. The lung inflammation in Fra-1 Δ/Δ mice was primarily characterized by significant accumulation of neutrophils and lymphocytes than in Fra-1+/+ mice after bleomycin treatment. Despite there was no significant differences in macrophages and epithelial cells between the two genotypes, the absolute number of macrophages and epithelial cells was increased in both genotypes after bleomycin injury compared to their corresponding controls.
Figure 2. Fra-1 Δ/Δ mice show extensive pulmonary inflammation and fibrosis following 14 days post-bleomycin instillation.
Mice (n = 8 in each genotype) were intratracheally administered with bleomycin. Left lungs were fixed for histology (n = 4) or used for mRNA analysis (n = 4). Right lobes (n = 8) were used for BAL cell and protein analysis. Representative results of two different experiments are shown. Samples obatined from mice treated with PBS were from Figure 3 (see below). A: Representative images of H&E stained lung tissue sections of bleomycin-treated Fra-1+/+ and Fra-1 Δ/Δ mice (n = 4). B: Lung inflammatory cell profiles in BAL fluid of both genotypes (n = 4). ∗p< 0.05, PBS vs bleomycin; †p<0.05, Fra-1 Δ/Δ vs Fra-1+/+ mice. Images a and b are at same magnification, ×4; a1 and b1 are at ×20 magnifications of a and b, respectively (boxed areas).
Fra-1 Abrogation Compromises Late Fibrotic Responses Induced by Bleomycin in vivo
We next investigated whether increased inflammation and fibrosis seen in Fra-1 Δ/Δ mice persist by the end of 31 days. We found that, at the end of 31 days post-bleomycin treatment, Fra-1 Δ/Δ mice displayed extensive inflammatory cell infiltration, granulomas in the perivascular region, inter-alveolar thickening of the septa, and a reduction in the alveolar space, as well as fibrosis. However, a modest degree of interstitial fibrogenesis and cellular infiltration were observed in Fra-1+/+ mice, suggesting the Fra-1 is required for the resolution of lung fibrosis (Fig. 3A). Whereas, normal PBS treated lungs from Fra-1 Δ/Δ did not display any differences when compared with their wild-type counterparts (Fig. 3A). Cell profile analysis of the BAL fluid also revealed significantly higher levels of macrophagic inflammation in the Fra-1 Δ/Δ mice than in the Fra-1+/+ mice (Fig. 3B). The expression levels of TNF-α, IL-6, MIP-1α, MIP-2 and KC chemokines returned to basal levels and were not significantly different from sham controls of respective genotypes (data not shown).
Figure 3. Fra-1 Δ/Δ mice demonstrate extensive pulmonary inflammation and fibrosis at 31-day post-bleomycin administration.
Mice were intratracheally administered with bleomycin (n = 14−15) or PBS (n = 12) were assessed. Representative results of three different experiments are shown. A: Representative images of H&E stained lung tissue sections of bleomycin-treated Fra-1+/+ and Fra-1 Δ/Δ mice (n = 4). B: Lung inflammatory cell profiles in BAL fluids at 31-day post-PBS and -bleomycin instillation (n = 5). Open bars = vehicle; filled bars = bleomycin. ∗p<0.05, PBS vs bleomycin; †p<0.05, Fra-1 Δ/Δ vs Fra-1+/+ mice. Images in a and b are shown at x10, whereas a1 and b1 represent boxed areas of a and b, respectively, shown at x40.
Fra-1 Deficiency Exaggerates Bleomycin-induced Lung Fibrosis
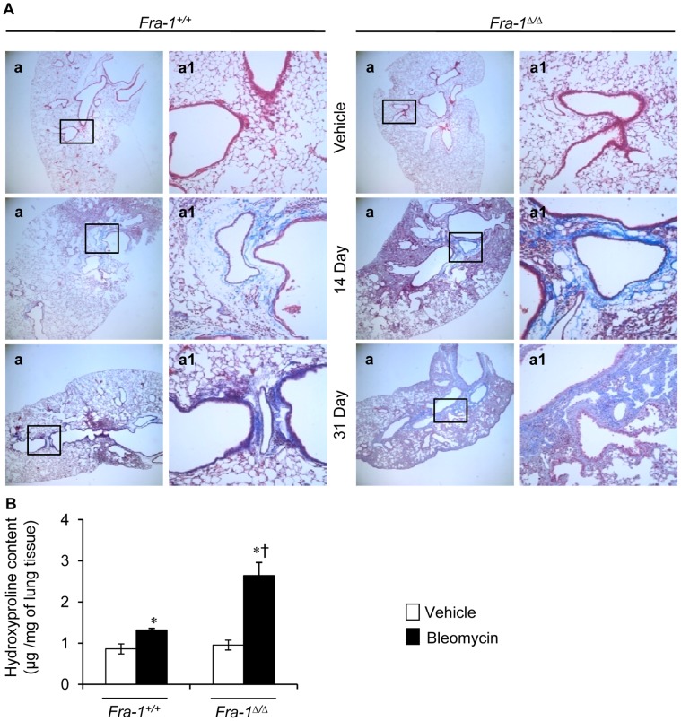
The increased extracellular collagen accumulation is a key abnormal event in fibrosis. We therefore next analyzed the extent of collagen deposition in lung tissues of Fra-1 Δ/Δ and Fra-1+/+ mice treated with vehicle or bleomycin. As shown by Masson’s trichrome staining (Fig. 4A), the lungs of mice examined 14 days after challenge typically demonstrated that Fra-1 Δ/Δ mice had more peribronchiolar and parenchymal fibrosis than corresponding wild-type littermates. The extent of these changes at 14 days after bleomycin administration was substantially increased in Fra-1 Δ/Δ mice at the end of 31 days. In contrast, the areas of collagen accumulation in the lungs of bleomycin-treated Fra-1+/+ mice were fewer in number and considerably less dense at the end of 31 days. The lungs of PBS-treated mice appeared normal, with no collagen accumulation adjacent to large vessels or airways. Furthermore, to quantitatively assess the difference in the extent of fibrosis, we measured hydroxyproline as a surrogate marker for collagen deposition. Hydroxyproline levels were significantly lower in the lungs of Fra-1+/+ mice than in Fra-1 Δ/Δ mice treated with bleomycin for 31 days (Fig. 4B). Treatment of mice with PBS did not affect the lung hydroxyproline content, regardless of their genotype. Consistent with the morphological findings, these results indicate that the loss of Fra-1 results in increased levels of interstitial collagen deposition in response to bleomycin treatment.
Figure 4. Fra-1 Δ/Δ mice develop exaggerated pulmonary fibrosis after injury. A:
Representative results of Masson’s trichrome staining of the lung from the saline-treated mice (n = 3) or bleomycin treated mice for 14 (n = 3) and 31 (n = 4) days. B: Right lung was collected for biochemical analysis of bleomycin-induced pulmonary fibrosis as measured by hydroxyproline content at 31-day post-PBS and -bleomycin treatment (n = 5). ∗p<0.05, PBS vs bleomycin; †p<0,05, Fra-1 Δ/Δ vs Fra-1+/+ mice. Images in a are shown at x4, whereas a1 represent boxed areas of a, shown at x20.
Fra-1 Deficiency Promotes Increased Levels of Pro-fibrotic and Fibrotic Gene Expression and Causes Altered Expression of MMPs and TIMPs in vivo
Because the level of collagen accumulation in Fra-1 Δ/Δ mice was higher than that observed in Fra-1+/+ mice following bleomycin administration, we next asked whether these changes coincided with the increased expression of profibrotic and fibrotic genes, such as TGF-β1 and type 1 collagen (Col1), in the lungs of Fra-1+/+ and Fra-1 Δ/Δ mice. Real-time RT-PCR analysis revealed that bleomycin treatment at 14 and 31 (Fig. 5A) days significantly increased the expression levels of TGF-β1 in Fra-1 Δ/Δ mice when compared with those in Fra-1+/+ mice. In agreement with the mRNA expression data, ELISA assays revealed significantly increased levels of TGF-β1 in the lungs of Fra-1 Δ/Δ mice subjected to bleomycin for 31 days (Fig. 5B). In contrast, the level of this cytokine in Fra-1+/+ mice treated with bleomycin was comparable to that found in saline-treated mice. The level of Col1A1 expression was greater in bleomycin-treated Fra-1 Δ/Δ mice than in Fra-1+/+ mice at 14 and 31 days (Fig. 5C). Although no significant differences observed at the end of 14 days, the expression level of Col1A2 was significantly higher in bleomycin-treated Fra-1 Δ/Δ mice than in Fra-1+/+ mice at 31 days (Fig. 5C). Immunoblot analysis using antibodies specific for Col1 revealed enhanced levels of Col1 in Fra-1 Δ/Δ mice treated with bleomycin when compared with their corresponding vehicle control and Fra-1+/+ counterparts (Fig. 5D). The accumulation of collagen depends not only on its production, but also on its degradation. Hence, we next analyzed the expression patterns of collagenases (MMP-1β and MMP-13), metalloelastase (MMP-12), and gelatinases (MMP-2). There was a significant reduction in MMP-1β transcript levels in the lungs of Fra-1 Δ/Δ mice treated with bleomycin for 31 days (Fig. 6A) when compared with their wild-type counterparts. In contrast, the expression level of MMP-13 was unaltered between two genotypes after bleomycin treatment (Fig. 6A). The expression levels of the gelatinase MMP-2 and of the metalloelastase (MMP-12) were significantly different between the Fra-1 Δ/Δ and Fra-1+/+ mice subjected to 31 days of bleomycin. MMP-2 expression was markedly up-regulated in Fra-1 Δ/Δ mice when compared with Fra-1+/+ mice. Although bleomycin-induced MMP-12 expression was higher in the lungs of Fra-1 Δ/Δ mice than Fra-1+/+ mice, no significant difference in MMP-12 induction was observed between the two genotypes. TIMP-1, TIMP-2, and TIMP-3 enzymes regulate MMP activity and ECM remodeling. mRNA expression analysis revealed elevated levels of these MMP inhibitors in the bleomycin-treated mice than in their Fra-1+/+ counterparts (Fig. 6B). We then performed protein analyses of MMPs to confirm their abnormal mRNA expression in Fra-1 mutant mice after bleomycin treatment using collagen zymogram analysis. As shown in Figure 6C, MMP-2 activity was increased in the lungs of bleomycin-injured Fra-1 Δ/Δ and Fra-1+/+ mice when compared with the corresponding vehicle-treated controls. However, the activity of proMMP-2 was higher in Fra-1+/+ mice than in their Fra-1 Δ/Δ counterparts after bleomycin treatment. The activity of proMMP-9 was significantly higher in Fra-1+/+ mice than in Fra-1 Δ/Δ mice after bleomycin treatment, although the activity of MMP-9 was undetectable in both tissues. Bleomycin-induced MMP-13 activity was higher in Fra-1+/+ mice than in PBS-treated animals. In contrast, undectable or low levels of MMP-13 activity were observed in Fra-1 Δ/Δ mice. These data suggest that the elevated production of TGF-β1 and collagen induced by bleomycin and deregulated MMP and TIMP gene expression could contribute, in part, to the increased level of lung fibrosis in the Fra-1 mutant mice.
Figure 5. Fra-1 Δ/Δ mice exhibit deregulated profibrotic and fibrotic gene expression following bleomycin instillation.
Transcript expression was compared with 31 days PBS control mice. A: TGF-β1 expression in the lungs of mice treated with PBS or bleomycin as analyzed by real-time RT-PCR (n = 4−6). B: TGF-β1 expression at day 31 following PBS or bleomycin instillation as detected by ELISA (n = 5). C: Col1A1 and Col1A2 expression as detected by real-time RT-PCR (n = 4−6). D: Col1 and β-actin expression at day 31 following bleomycin instillation as detected by immunoblot. ∗p < 0.05, PBS vs bleomycin; †p < 0,05, Fra-1 Δ/Δ vs Fra-1+/+ mice.
Figure 6. Loss of Fra-1 leads to an altered MMP and TIMP gene expression in the lung.
MMP (A) and TIMP (B) gene expression in the lung tissue at 31 days post-bleomycin administration (n = 4−6). C: Detection of MMPs activity by collagen zymography in lung tissue 31 days post-bleomycin administration. Open bars = vehicle; filled bars = bleomycin. ∗p<0.05, PBS vs bleomycin; †p<0,05, Fra-1 Δ/Δ vs Fra-1+/+ at corresponding time point.
Bleomycin Induces Fra-1 Expression in the Lung
To determine the nature of Fra-1 activation during bleomycin induced lung injury, we harvested lung tissues from Fra-1+/+ mice with bleomycin for 7, 14, or 31 days post-instillation for RNA and protein analysis. Both real-time RT-PCR (Fig. 7A) and immunoblot analysis (Fig. 7B) demonstrated an induction of Fra-1 expression by bleomycin after 7 and 14 days, but not in the lungs of mice at 31 days post-bleomycin treatment.
Figure 7. Bleomycin-induced Fra-1 expression in the lung. A:
At indicated period of post-bleomycin instillation, lung tissues were harvested from wildtype mice and used for Fra-1 gene expression by real-time RT-PCR (n = 4−6). B: Fra-1 expression was analyzed by western blot. analysis using β-actin as reference. Only 4 samples were used in each group. ∗p<0.05, PBS vs bleomycin treated groups.
Fra-1 Knockdown in Human Lung Epithelial Cells Results in Greater Levels of Bleomycin-induced Fibrotic Response in vitro
As epithelial cells are actively involved in the progression of fibrosis, we next examined the effects of Fra-1-deficiency on genes involved in morphological changes and bleomycin-induced fibrotic gene expression in human non-malignant small airway epithelial cells (AECs) immortalized by telomerase [21]. To examine the role of Fra-1, AECs were transfected with control (scrambled)-siRNA (hereafter refered to as Scr-si-AECs) or Fra-1 siRNA (Fra1-si-AECs). To ascertain effciency of Fra-1 knockdown, RNA and protein was isolated from Scr-si-AECs and Fra1-si-AECs treated with and without bleomycin, and Fra-1 expression was quantified by real-time PCR and western analysis. Scr-si-AECs showed a significant increase in Fra-1 expression after 24 hours of bleomycin treatment when compared with vehicle control. In contrast, Fra1-si-AECs showed a significantly lower level of Fra-1 expression in control and bleomycin-treated groups (Fig. 8A). These results were further confirmed by western blot analysis; Scr-si-AECs revealed an increase in Fra-1 when compared with their vehicle-treated control and Fra1-si-AECs counterparts (Fig. 8B). To determine whether Fra-1 knockdown altered bleomycin-induced collagen expression, we analyzed Col1A1 expression (Fig. 8C). Fra-1 knockdown markedly increased Col1A1 expression under basal conditions. Upon bleomycin treatment, the expression level of Col1A1 was markedly increased in Fra1-si-AECs, as compared with Scr-si-AECs. We next examined expression levels of collagenases (MMP-1 and MMP-13), which are known to regulate collagen turnover. As depicted in Fig. 8C, the transcript levels of MMP-1 and MMP-13 were markedly lower in Fra-1-si-AECs at basal level and even after bleomycin treatment when compared with corresponding Scr-si-AECs. Finally, we analyzed E-cadherin and N-cadherin to confirm their abnormal phenotype in Fra1-si-AECs (Fig. 8D) after 24 hours of bleomycin treatment. The expression of E-cadherin did not alter in Scr-si-AECs, but Fra-1 knockdown cells showed decreased expression levels of E-cadherin in both basal and treatment conditions. In contrast, Fra-1 knockdown caused an up-regulation in N-cadherin expression (mesenchymal marker), and this expression was persistently elevated even at the end of the 24 hour treatment as compared with Scr-si-AECs. Collectively, these results suggest that the loss of Fra-1 leads to an upregulation of fibrotic mediators, and also promotes the gene expression involved in an epithelial-mesenchymal transition.
Figure 8. The effects of Fra-1 knockdown on bleomycin-induced mesenchymal marker, and fibrotic and anti-fibrotic gene expression in AECs.
Cells were treated with vehicle or bleomycin (5 mU/ml) for different time points, and harvested for RNA and protein isolation. A: Expression of Fra-1 analyzed by qRT-PCR. B: Fra-1 expression was analyzed by western blot analysis using β-actin as reference. C: Col1A1, MMP-1 and MMP-13 expression analyzed by qRT-PCR. D: E-cad, N-Cad, and α-tubulin detected by immunoblot in AECs treated with vehicle or bleomycin for 24 hours. Results are mean ± SD, representative of 2 separate experiments performed in triplicate per group. ∗P<0.05, PBS vs bleomycin; †P < 0,05, Scr-si-RNA vs Fra-1-SiRNA cells at corresponding time points.
Fra-1 Knockdown in Human Lung Epithelial Cells Results in Greater Levels of TGF-β1-Induced Fibrotic Response in vitro
It has been demonstrated that bleomycin induced fibrotic responses are mediated through TGF-β1 [28]. Also increased levels of TGF-β1 has been observed in the lung of Fra-1 Δ/Δ mice treated with bleomycin in our study. Therefore, we sought to determine whether TGF-β1 was able to induce genes involved in morphological changes and fibrosis in the absence of Fra-1. A significant up-regulation of Col1A1 expression was observed in Fra1-si-AECs at basal level and in response to TGF-β1, as compared with Scr-si-AECs (Fig. 9A). Analysis of MMPs expression revealed reduced levels of MMP-1 and MMP-13 in vehicle- and TGF-β1-treated Fra1-si-AECs compared with corresponding wild-type controls (Fig. 9A). TGF-β1 caused stimulation of Fra-1 expression in Scr-Si-AECs, but not in Fra1-si-AECs (Fig. 9B). In accordance with mRNA expression, immunoblot analysis also revealed increased levels of Col1 expression in both cell types. However, a significant difference was observed between them (Fig. 9B). The expression level of E-cadherin was significantly lower in Fra1-Si-AECs, and this level was further decreased by TGF-β1 treatment, as compared with their Scr-Si-AEC counterparts. In agreement with E-cadherin expression, an elevated N-cadherin expression was observed in the vehicle- and TGF-β1-treated Fra1-si-AECs compared with the Scr-si-AECs (Fig. 9C). The results of TGF-β1 treatment further support our hypothesis that Fra-1 regulates gene expression involved in both EMT and ECM remodeling.
Figure 9. The effects of Fra-1 knockdown on TGF-β1-induced fibrotic and anti-fibrotic, and mesenchymal marker gene expression in AECs.
Cells were treated with vehicle or TGF-β1 (5 ng/ml) for different time points, and harvested for RNA and protein isolation. A: Col1A1, MMP-1 and MMP-13 expression analyzed by qRT-PCR. B: Fra-1, Col1 and α-tubulin protein expression as analyzed by immunoblot in AECs cells treated with vehicle or TGF-β1 for 24 hours. C: E-cad, N-Cad, and α-tubulin detected by immunoblot in AECs treated with vehicle or TGF-β1 for 24 hours. Results are mean ± SD, representative of 2 separate experiments performed in triplicate per group. ∗P<0.05, PBS vs TGF-β1; †P < 0,05, Scr-si-RNA vs Fra-1-SiRNA cells at corresponding time points.
Fra-1 Knockdown Caused Altered Expression of Fibrotic and Anti-fibrotic Genes in A549 Cells Following Bleomycin and TGF-β1 Treatment
Further, to verify the effects of Fra-1 deficiency on fibrotic and anti-fibrotic gene expression induced by pro-fibrogenic agents, we performed selective experiments on a human malignant lung type-II like epithelial cell line, A549. These cells were transfected with a control (scrambled)-siRNA or a Fra-1 siRNA, and the effciency of Fra-1 knockdown was evaluated by real-time PCR analysis (data not shown). As shown in Fig. 10A, Fra-1 knockdown caused a significant increase in the expression levels of Col1A1, as compared to scrambled-siRNA transfected cells, under basal conditions. In contrast to bleomycin, which did not markedly alter the expression levels of collagen (Fig. 10A), TGF-β1 treatment caused the stimulation of Col1A1 expression in A549 cells with the Fra-1 knockdown and the magnitude of induction was markedly higher than that noted in A549 cells without the Fra-1 knockdown (Fig. 10B). As shown above, Fra-1 knockdown resulted in the downregulation of bleomycin- and TGF-β1-induced MMP-1 and MMP-13 expression in non-malignant lung epithelial cells (Figs. 8 and 9). Thus, we have examined the expression patterns of these two MMPs in A549 cells with and without the Fra-1 knockdown after bleomycin and TGF-β1 treatment. Bleomycin induced MMP-1 and MMP-13 expression was significantly lower in A549 cells transfected with Fra-1 siRNA, as compared with their A549 counterparts transfected with the scrambled-siRNA (Fig.10C). Likewise, MMP-1 and MMP-13 expression induced by TGF-β1 was markedly lower in A549 cells transfected with Fra-1 siRNA, as compared with control siRNA (Fig. 10D).
Figure 10. The effects of Fra-1 knockdown on bleomycin- or TGF-β1-induced fibrotic and anti-fibrotic gene expression in A549 cells.
Cells were treated with vehicle or bleomycin (5 ng/ml) or TGF-β1 (5 ng/ml) for different time points, and harvested for RNA isolation. Col1A1 mRNA expression induced by bleomycin (A) and TGF-β1 (B). MMP-1 and MMP-13 mRNA expression induced by bleomycin (C) and TGF-β1 (D). Results are mean ± SD, representative of 2 separate experiments performed in triplicate per group. ∗P<0.05, PBS vs bleomycin or TGF-β1; †P < 0,05, Scr-si-RNA vs Fra-1-SiRNA cells at corresponding time points.
Discussion
Our results demonstrate that Fra-1-deficient mice develop a severe and progressive lung fibrosis, suggesting that Fra-1 negatively regulates the development of fibrosis. Our findings related to the initial inflammatory events, and then late fibrotic responses, in the Fra-1 Δ/Δ mice in response to bleomycin have important implications about the role of Fra-1 in the development of lung fibrosis in vivo. The greater neutrophilic alveolitis seen in the lungs of Fra-1 Δ/Δ mice at day 7 of the post-bleomycin challenge were associated with a transient up-regulation of cytokine and chemokine gene expression such as TNF-α, MIP-1α and MIP-2 (Fig. 1C). Previous studies have shown that excessive production of these proinflammatory molecules contribute to fibrosis, as administration of antagonists for these gene products attenuated experimental lung fibrosis in vivo [29], [30], [31]. In experimental models of lung fibrosis induced by silica or bleomycin, the increase in neutrophil number and the duration of tissue neutrophil activation have also been found to be correlated with chronic alveolitis progressing to fibrosis [32], [33]. Furthermore, neutrophil migration and activation are usually higher in patients with a fibrotic lung disorder that is more aggressive and has a worse prognosis [34], [35]. In this study, we found that increased severity of bleomycin-induced fibrosis in Fra-1-deficient mice coincided with a significantly increased level of early neutrophilic inflammation at 7 days post-bleomycin, when compared with their wild-type counterparts. In the late stages of lung fibrosis development (after 31 days), Fra-1 Δ/Δ mice developed a more severe and progressive interstitial fibrosis, with greater influx of lymphocytes and macrophages, than their wild-type counterparts. Other studies show a similar kind of lung cellular infiltration at early and late stages of bleomycin-induced fibrosis in rodents [36], [37]. Collectively, these results suggest that Fra-1 is important in modulating bleomycin-induced lung fibrosis in vivo, and this transcription factor exerts its effects by dampening pro-inflammatory cytokine and chemokine gene expression.
Alternatively, tissue fibrosis can occur when collagen production outpaces collagen degradation, under both homeostatic conditions and in conditions of rapid matrix remodeling [6]. Thus, we asked whether bleomycin would cause changes in the expression of specific MMPs in Fra-1 Δ/Δ mice, resulting in an enhanced severity of lung fibrosis. Our studies revealed that increased levels of collagen production after bleomycin-induced lung injury contributes to enhanced severity of lung fibrosis in Fra-1 Δ/Δ mice. Moreover, we found that expression levels of several MMPs were dysregulated in the lungs of bleomycin-treated Fra-1 Δ/Δ mice when compared with Fra-1+/+ mice. MMP-2 gene expression was significantly elevated in the lungs of Fra-1-deficient mice at 31 days post-bleomycin treatment. However, MMP-2-deficient mice have been reported to exhibit a reduced level of inflammation in their airspaces when compared with wild-type mice in an asthma model of lung disease, indicating a negative role for this MMP in pulmonary inflammation [38]. Thus, it is likely that MMP-2 plays a less significant role in pulmonary fibrosis under our experimental conditions. In contrast to MMP-2, we have observed an up-regulation of MMP-13 expression and activity in the Fra-1+/+ mice, but not in the Fra-1 Δ/Δ mice, following bleomycin treatment (Fig. 6). The interstitial collagens (types I, II, and III) are the principal targets of destruction, and the secreted collagenases (MMP-1 and MMP-13) play a major role in this process [39]. Thus, we speculate that MMP-1 and MMP-13 activation may be a cellular response designed to degrade the excess collagen that has accumulated after the bleomycin injury in wild-type mice, but decreased levels of MMP-1 and MMP-13 up-regulation may also be one of the causes of collagen accumulation and fibrosis in Fra-1 Δ/Δ mice. This notion is also supported by a recent report showing that MMP-13 during the initial phase of fibrogenesis, could be important for the cleavage of newly formed matrix in an experimental model of hepatic fibrosis [40]. Furthermore, increased serum levels of MMP-13 have been reported in conjunction with systemic sclerosis in humans, further supporting its relevance in fibrosis [41].
MMP activity is generally counterbalanced by the presence of TIMPs. TIMP-1 and TIMP-2 are expressed by a variety of cell types, and are known to play a major role in regulating pulmonary fibrosis [42], [43]. Increased levels of TIMP gene expession have been reported in the lungs of IPF patients [6]. Up-regulation of TIMP gene expression noted in the lungs of Fra-1 Δ/Δ mice suggests that Fra-1 negatively regulates TIMP gene expression [44]. Alternatively, the increased levels of TIMP gene expression may be due to the presence of elevated levels of TGF-β1 observed in the lungs of Fra-1 Δ/Δ mice treated with bleomycin (Fig. 5). Indeed, TGF-β1-mediated signaling has been shown to up-regulate TIMP gene expresssion in the lungs of mice with TGF-β1–induced lung fibrosis model [45]. Based on these observations, we propose that the loss of Fra-1 results in increased levels of TIMP gene expression, which may serve to inhibit MMPs responsible for degrading excess collagen, thereby resulting in an enhanced severity of lung fibrosis in Fra-1 Δ/Δ mice.
Impaired epithelial-mesenchymal transition (EMT) and fibroblast transdifferentiation have been shown to contribute to the pathology of pulmonary fibrosis [46], [47]. Both the lung alveolar and bronchial epithelial cells undergo epithelial-mesenchymal transition when exposed to profibrotic agents [48], [49]. EMT not only occurs in fibrosis but also happens during cancer cell invasion and metastasis in multicellular organisms. Fra-1 can promote invasion and the transition of tumor cells from an epithelial to a mesenchymal morphology. For instance, Fra-1 regulates Ha-RAS-induced EMT in human colon carcinoma cells [50]. In other study, it was shown that Fra-1 induction drives EMT through the regulation of miR-221/222 expression in breast cancer cell lines [51]. Similarly, c-Fos induces EMT in mouse epithelioid carcinoma cells and this is associated with a decrease in E-cadherin expression [52]. Though published results suggest a regulatory role for Fra-1 in EMT in tumorigenesis, whether or not Fra-1 regulates EMT in non-malignant lung epithelial cells in response to pro-fibrotic agents are largely undefined. Therefore, to further strengthen the role of Fra-1 on specific lung cell types, these in vivo findings were extended to in vitro studies, whereby small airway epithelial cells and fibroblasts were used to provide a mechanistic explanation for the protective effects of Fra-1 on pulmonary fibrosis. We have noted a significant up-regulation of markers of EMT and a loss of E-cadherin expression in lung epithelial cells with Fra-1 knockdown (Fig. 8D). Likewise, Fra-1 deficiency caused the induction of transdifferentiation of human lung fibroblasts into myofibroblasts as revealed by α-smooth muscle actin expression (data not shown). These results suggest that Fra-1 negatively regulates EMT and myofibroblast transdifferentiation of non-maligant lung epithelial cells and fibroblasts, respectively, to dampen the lung fibrosis induced by profibrotic agents, such as bleomycin. However, the exact mechanism by which Fra-1 deficiency leads to the induction of EMT warrants further study.
In addition, treatment of lung epithelial cells with bleomycin or TGF-β1 resulted in an increased expression of Col1A1 in Fra-1 knockdown cells, in a manner similar to that observed in the intact lung in vivo (Fig. 5). In contrast, we found diminished levels of MMP-1 and MMP-13 expression induced by bleomycin or TGF-β1 in lung epithelial cells transfected with Fra-1-siRNA, when compared with control-SiRNA transfected cells. Previous studies have shown that Fra-1 can directly activate the expression of several genes that regulate the ECM turnover in several cell types, including the lung epithelial cells [12]. Moreover, the presence of Fra-1 binding sites (AP-1 sites) in human MMPs and TIMPs, (e.g., MMP-1, MMP-9, MMP-13, TIMP-1 and TIMP-3) promoters have been reported [12], [13], [14], [15], [16]. The exact mechanisms by which the loss of Fra-1 results in altered expression levels of collagen and collagenases in lung epithelial cells remain to be established.
Recently, a role for AP-1 family members, including Fra-1, has been shown in both inflammatory and proliferative diseases. Overexpression and knockdown of various members of the AP-1 family under the influence of ubiquitous promoters have previously been described in mice [53], [54]. Overexpression of Jun-D causes lymphopenia [55], and its knockdown reduces hepatic fibrosis [56]. c-Fos has been reported to primarily target the bone, and mice overexpressing c-Fos develop osteosarcoma [57]. Eferl and coworkers demonstrated that transgenic expression of Fra-2, which is closely related to Fra-1, in mice causes lung fibrosis, characterized by vascular remodeling and fibrogenesis [58]. Recently, a supporting role for Fra-1/AP-1 signaling in the development of hepatic fibrosis has been described [59]. Mice expressing ectopic Fra-1 has been shown to spontaneously develop biliary fibrosis with increased levels of hepatic collagen content, accompanied by increased expression levels of profibrotic genes (e.g., TGF-β1, MMP-2, MMP-9 and TIMP-1) [59]. Mice expressing ectopic Fra-1 has been shown to display impaired chondrogenesis during fracture healing, and this was associated with dimished expression levels of pro-inflammatory mediators, such as TNF-α, IL-6 and Cox-2 [60]. In a different study, it was shown that, in response to combined gefitinib (EGFR inhibitor) and LPS treatment, mice expressing ectopic Fra-1 develop interstitial lung disease, accompanied by diminished levels of TNF-α, MIP-1α and MIP-2 when compared with wild-type mice [61]. In contrast, Fra-1-deficient mice are less susceptible than wild-type (Fra-1-sufficient mice) mice to LPS-induced lung injury and inflammation and death [61], [62]. The discrepancy observed between Fra-1 Δ/Δ mice (which develop more fibrosis) and Fra-1 transgenic mice (which develop more hepatic fibrosis and interstitial lung disease) could be attributed to a different transcriptional response induced by pro-inflammatory and pro-fibrotic agents in the absence, or in the presence (overexpression), of Fra-1. Alternatively, this could be due to the differences in experimental (hepatic vs lung) and treatment (LPS +EGFR vs bleomycin) conditions. Nonetheless, these studies suggests that Fra-1 regulates inflammatory and pro-fibrotic responses in a context-dependent manner.
In conclusion, our results demonstrate that Fra-1 is required to limit tissue fibrosis in vivo after bleomycin injury. Moreover, in vivo and in vitro studies suggest that the protective effect of Fra-1 on pulmonary fibrosis is related to its role in regulation of pro-inflammatory events, pro-fibrotic and fibrotic gene expression and transdifferentiation of epithelial cells and fibroblasts. Although various effector pathways that either promote or limit the development of lung fibrosis have been reported, at present there is no effective therapy available for lung fibrosis. Thus, targeting (activating) the Fra-1/AP-1 pathway may provide a promising approach to treat lung fibrosis.
Acknowledgments
We acknowledge the Johns Hopkins Urban Environmental Health Center for use of its core facilities. We also thank the Pathology Core of the ALI Specialized Centers of Clinically Oriented Research (SCCOR) and Department of Pathology at UIC for assisting in Masson’s Trichrome and histopathological analysis on service charge basis.
Footnotes
Competing Interests: The authors have declared that no competing interests exist.
Funding: Funded by the National Institutes of Health (NIH) grants RO1 ES11863, RO1 HL66109, R21 ES18998 (to SPR). The funders had no role in study design, data collection and analysis, decision to publish, or preparation of the manuscript.
References
- 1.Ramos C, Montano M, Garcia-Alvarez J, Ruiz V, Uhal BD, et al. Fibroblasts from idiopathic pulmonary fibrosis and normal lungs differ in growth rate, apoptosis, and tissue inhibitor of metalloproteinases expression. Am J Respir Cell Mol Biol. 2001;24:591–598. doi: 10.1165/ajrcmb.24.5.4333. [DOI] [PubMed] [Google Scholar]
- 2.Zhang K, Flanders KC, Phan SH. Cellular localization of transforming growth factor-beta expression in bleomycin-induced pulmonary fibrosis. Am J Pathol. 1995;147:352–361. [PMC free article] [PubMed] [Google Scholar]
- 3.Broekelmann TJ, Limper AH, Colby TV, McDonald JA. Transforming growth factor beta 1 is present at sites of extracellular matrix gene expression in human pulmonary fibrosis. Proc Natl Acad Sci U S A. 1991;88:6642–6646. doi: 10.1073/pnas.88.15.6642. [DOI] [PMC free article] [PubMed] [Google Scholar]
- 4.Cutroneo KR. How is Type I procollagen synthesis regulated at the gene level during tissue fibrosis. J Cell Biochem. 2003;90:1–5. doi: 10.1002/jcb.10599. [DOI] [PubMed] [Google Scholar]
- 5.McKeown S, Richter AG, O’Kane C, McAuley DF, Thickett DR. MMP expression and abnormal lung permeability are important determinants of outcome in IPF. Eur Respir J. 2009;33:77–84. doi: 10.1183/09031936.00060708. [DOI] [PubMed] [Google Scholar]
- 6.Selman M, Ruiz V, Cabrera S, Segura L, Ramirez R, et al. TIMP-1, -2, -3, and -4 in idiopathic pulmonary fibrosis. A prevailing nondegradative lung microenvironment? Am J Physiol Lung Cell Mol Physiol. 2000;279:L562–574. doi: 10.1152/ajplung.2000.279.3.L562. [DOI] [PubMed] [Google Scholar]
- 7.Swiderski RE, Dencoff JE, Floerchinger CS, Shapiro SD, Hunninghake GW. Differential expression of extracellular matrix remodeling genes in a murine model of bleomycin-induced pulmonary fibrosis. Am J Pathol. 1998;152:821–828. [PMC free article] [PubMed] [Google Scholar]
- 8.Eferl R, Wagner EF. AP-1: a double-edged sword in tumorigenesis. Nat Rev Cancer. 2003;3:859–868. doi: 10.1038/nrc1209. [DOI] [PubMed] [Google Scholar]
- 9.Angel P, Hattori K, Smeal T, Karin M. The jun proto-oncogene is positively autoregulated by its product, Jun/AP-1. Cell. 1988;55:875–885. doi: 10.1016/0092-8674(88)90143-2. [DOI] [PubMed] [Google Scholar]
- 10.Chung KY, Agarwal A, Uitto J, Mauviel A. An AP-1 binding sequence is essential for regulation of the human alpha2(I) collagen (COL1A2) promoter activity by transforming growth factor-beta. J Biol Chem. 1996;271:3272–3278. doi: 10.1074/jbc.271.6.3272. [DOI] [PubMed] [Google Scholar]
- 11.Ortiz LA, Champion HC, Lasky JA, Gambelli F, Gozal E, et al. Enalapril protects mice from pulmonary hypertension by inhibiting TNF-mediated activation of NF-kappaB and AP-1. Am J Physiol Lung Cell Mol Physiol. 2002;282:L1209–1221. doi: 10.1152/ajplung.00144.2001. [DOI] [PubMed] [Google Scholar]
- 12.Adiseshaiah P, Vaz M, Machireddy N, Kalvakolanu DV, Reddy SP. A Fra-1-dependent, matrix metalloproteinase driven EGFR activation promotes human lung epithelial cell motility and invasion. J Cell Physiol. 2008;216:405–412. doi: 10.1002/jcp.21410. [DOI] [PMC free article] [PubMed] [Google Scholar]
- 13.Vincenti MP. The matrix metalloproteinase (MMP) and tissue inhibitor of metalloproteinase (TIMP) genes. Transcriptional and posttranscriptional regulation, signal transduction and cell-type-specific expression. Methods Mol Biol. 2001;151:121–148. doi: 10.1385/1-59259-046-2:121. [DOI] [PubMed] [Google Scholar]
- 14.Westermarck J, Kahari VM. Regulation of matrix metalloproteinase expression in tumor invasion. FASEB J. 1999;13:781–792. [PubMed] [Google Scholar]
- 15.Tower GB, Coon CI, Belguise K, Chalbos D, Brinckerhoff CE. Fra-1 targets the AP-1 site/2G single nucleotide polymorphism (ETS site) in the MMP-1 promoter. Eur J Biochem. 2003;270:4216–4225. doi: 10.1046/j.1432-1033.2003.03821.x. [DOI] [PubMed] [Google Scholar]
- 16.Ho HH, Antoniv TT, Ji JD, Ivashkiv LB. Lipopolysaccharide-induced expression of matrix metalloproteinases in human monocytes is suppressed by IFN-gamma via superinduction of ATF-3 and suppression of AP-1. J Immunol. 2008;181:5089–5097. doi: 10.4049/jimmunol.181.7.5089. [DOI] [PMC free article] [PubMed] [Google Scholar]
- 17.Eferl R, Hoebertz A, Schilling AF, Rath M, Karreth F, et al. The Fos-related antigen Fra-1 is an activator of bone matrix formation. EMBO J. 2004;23:2789–2799. doi: 10.1038/sj.emboj.7600282. [DOI] [PMC free article] [PubMed] [Google Scholar]
- 18.Tallquist MD, Soriano P. Epiblast-restricted Cre expression in MORE mice: a tool to distinguish embryonic vs. extra-embryonic gene function. Genesis. 2000;26:113–115. doi: 10.1002/(sici)1526-968x(200002)26:2<113::aid-gene3>3.0.co;2-2. [DOI] [PubMed] [Google Scholar]
- 19.Eitzman DT, McCoy RD, Zheng X, Fay WP, Shen T, et al. Bleomycin-induced pulmonary fibrosis in transgenic mice that either lack or overexpress the murine plasminogen activator inhibitor-1 gene. J Clin Invest. 1996;97:232–237. doi: 10.1172/JCI118396. [DOI] [PMC free article] [PubMed] [Google Scholar]
- 20.Sisson TH, Mendez M, Choi K, Subbotina N, Courey A, et al. Targeted injury of type II alveolar epithelial cells induces pulmonary fibrosis. Am J Respir Crit Care Med. 2010;181:254–263. doi: 10.1164/rccm.200810-1615OC. [DOI] [PMC free article] [PubMed] [Google Scholar]
- 21.Piao CQ, Liu L, Zhao YL, Balajee AS, Suzuki M, et al. Immortalization of human small airway epithelial cells by ectopic expression of telomerase. Carcinogenesis. 2005;26:725–731. doi: 10.1093/carcin/bgi016. [DOI] [PubMed] [Google Scholar]
- 22.Janick-Buckner D, Ranges GE, Hacker MP. Alteration of bronchoalveolar lavage cell populations following bleomycin treatment in mice. Toxicol Appl Pharmacol. 1989;100:465–473. doi: 10.1016/0041-008x(89)90294-9. [DOI] [PubMed] [Google Scholar]
- 23.Schrier DJ, Kunkel RG, Phan SH. The role of strain variation in murine bleomycin-induced pulmonary fibrosis. Am Rev Respir Dis. 1983;127:63–66. doi: 10.1164/arrd.1983.127.1.63. [DOI] [PubMed] [Google Scholar]
- 24.Izbicki G, Segel MJ, Christensen TG, Conner MW, Breuer R. Time course of bleomycin-induced lung fibrosis. Int J Exp Pathol. 2002;83:111–119. doi: 10.1046/j.1365-2613.2002.00220.x. [DOI] [PMC free article] [PubMed] [Google Scholar]
- 25.Phan SH, Armstrong G, Sulavik MC, Schrier D, Johnson KJ, et al. A comparative study of pulmonary fibrosis induced by bleomycin and an O2 metabolite producing enzyme system. Chest. 1983;83:44S–45S. doi: 10.1378/chest.83.5_supplement.44s. [DOI] [PubMed] [Google Scholar]
- 26.Gharaee-Kermani M, Hatano K, Nozaki Y, Phan SH. Gender-based differences in bleomycin-induced pulmonary fibrosis. Am J Pathol. 2005;166:1593–1606. doi: 10.1016/S0002-9440(10)62470-4. [DOI] [PMC free article] [PubMed] [Google Scholar]
- 27.Lawson WE, Polosukhin VV, Stathopoulos GT, Zoia O, Han W, et al. Increased and prolonged pulmonary fibrosis in surfactant protein C-deficient mice following intratracheal bleomycin. Am J Pathol. 2005;167:1267–1277. doi: 10.1016/S0002-9440(10)61214-X. [DOI] [PMC free article] [PubMed] [Google Scholar]
- 28.Daniels CE, Wilkes MC, Edens M, Kottom TJ, Murphy SJ, et al. Imatinib mesylate inhibits the profibrogenic activity of TGF-beta and prevents bleomycin-mediated lung fibrosis. J Clin Invest. 2004;114:1308–1316. doi: 10.1172/JCI19603. [DOI] [PMC free article] [PubMed] [Google Scholar]
- 29.Smith RE, Strieter RM, Phan SH, Lukacs N, Kunkel SL. TNF and IL-6 mediate MIP-1alpha expression in bleomycin-induced lung injury. J Leukoc Biol. 1998;64:528–536. [PubMed] [Google Scholar]
- 30.Keane MP, Belperio JA, Moore TA, Moore BB, Arenberg DA, et al. Neutralization of the CXC chemokine, macrophage inflammatory protein-2, attenuates bleomycin-induced pulmonary fibrosis. J Immunol. 1999;162:5511–5518. [PubMed] [Google Scholar]
- 31.Liu JY, Brass DM, Hoyle GW, Brody AR. TNF-alpha receptor knockout mice are protected from the fibroproliferative effects of inhaled asbestos fibers. Am J Pathol. 1998;153:1839–1847. doi: 10.1016/s0002-9440(10)65698-2. [DOI] [PMC free article] [PubMed] [Google Scholar]
- 32.Smith RE, Strieter RM, Phan SH, Lukacs NW, Huffnagle GB, et al. Production and function of murine macrophage inflammatory protein-1 alpha in bleomycin-induced lung injury. J Immunol. 1994;153:4704–4712. [PubMed] [Google Scholar]
- 33.Mitsuhashi H, Asano S, Nonaka T, Hamamura I, Masuda K, et al. Administration of truncated secretory leukoprotease inhibitor ameliorates bleomycin-induced pulmonary fibrosis in hamsters. Am J Respir Crit Care Med. 1996;153:369–374. doi: 10.1164/ajrccm.153.1.8542145. [DOI] [PubMed] [Google Scholar]
- 34.Jones HA, Schofield JB, Krausz T, Boobis AR, Haslett C. Pulmonary fibrosis correlates with duration of tissue neutrophil activation. Am J Respir Crit Care Med. 1998;158:620–628. doi: 10.1164/ajrccm.158.2.9711075. [DOI] [PubMed] [Google Scholar]
- 35.Cailes JB, O’Connor C, Pantelidis P, Southcott AM, Fitzgerald MX, et al. Neutrophil activation in fibrosing alveolitis: a comparison of lone cryptogenic fibrosing alveolitis and systemic sclerosis. Eur Respir J. 1996;9:992–999. doi: 10.1183/09031936.96.09050992. [DOI] [PubMed] [Google Scholar]
- 36.Cobelens PM, Tiebosch IA, Dijkhuizen RM, van der Meide PH, Zwartbol R, et al. Interferon-beta attenuates lung inflammation following experimental subarachnoid hemorrhage. Crit Care. 2010;14:R157. doi: 10.1186/cc9232. [DOI] [PMC free article] [PubMed] [Google Scholar]
- 37.Pardo A, Ruiz V, Arreola JL, Ramirez R, Cisneros-Lira J, et al. Bleomycin-induced pulmonary fibrosis is attenuated in gamma-glutamyl transpeptidase-deficient mice. Am J Respir Crit Care Med. 2003;167:925–932. doi: 10.1164/rccm.200209-1007OC. [DOI] [PubMed] [Google Scholar]
- 38.Tan RJ, Fattman CL, Niehouse LM, Tobolewski JM, Hanford LE, et al. Matrix metalloproteinases promote inflammation and fibrosis in asbestos-induced lung injury in mice. Am J Respir Cell Mol Biol. 2006;35:289–297. doi: 10.1165/rcmb.2005-0471OC. [DOI] [PMC free article] [PubMed] [Google Scholar]
- 39.Nagase H, Woessner JF., Jr Matrix metalloproteinases. J Biol Chem. 1999;274:21491–21494. doi: 10.1074/jbc.274.31.21491. [DOI] [PubMed] [Google Scholar]
- 40.Yan S, Chen GM, Yu CH, Zhu GF, Li YM, et al. Expression pattern of matrix metalloproteinases-13 in a rat model of alcoholic liver fibrosis. Hepatobiliary Pancreat Dis Int. 2005;4:569–572. [PubMed] [Google Scholar]
- 41.Asano Y, Ihn H, Kubo M, Jinnin M, Mimura Y, et al. Clinical significance of serum matrix metalloproteinase-13 levels in patients with localized scleroderma. Clin Exp Rheumatol. 2006;24:394–399. [PubMed] [Google Scholar]
- 42.Pardo A, Selman M. Idiopathic pulmonary fibrosis: new insights in its pathogenesis. Int J Biochem Cell Biol. 2002;34:1534–1538. doi: 10.1016/s1357-2725(02)00091-2. [DOI] [PubMed] [Google Scholar]
- 43.Yoshiji H, Kuriyama S, Miyamoto Y, Thorgeirsson UP, Gomez DE, et al. Tissue inhibitor of metalloproteinases-1 promotes liver fibrosis development in a transgenic mouse model. Hepatology. 2000;32:1248–1254. doi: 10.1053/jhep.2000.20521. [DOI] [PubMed] [Google Scholar]
- 44.Kim H, Pennie WD, Sun Y, Colburn NH. Differential functional significance of AP-1 binding sites in the promoter of the gene encoding mouse tissue inhibitor of metalloproteinases-3. Biochem J 324 ( Pt. 1997;2):547–553. doi: 10.1042/bj3240547. [DOI] [PMC free article] [PubMed] [Google Scholar]
- 45.Bonniaud P, Margetts PJ, Kolb M, Schroeder JA, Kapoun AM, et al. Progressive transforming growth factor beta1-induced lung fibrosis is blocked by an orally active ALK5 kinase inhibitor. Am J Respir Crit Care Med. 2005;171:889–898. doi: 10.1164/rccm.200405-612OC. [DOI] [PubMed] [Google Scholar]
- 46.Kalluri R, Neilson EG. Epithelial-mesenchymal transition and its implications for fibrosis. J Clin Invest. 2003;112:1776–1784. doi: 10.1172/JCI20530. [DOI] [PMC free article] [PubMed] [Google Scholar]
- 47.Willis BC, Borok Z. TGF-beta-induced EMT: mechanisms and implications for fibrotic lung disease. Am J Physiol Lung Cell Mol Physiol. 2007;293:L525–534. doi: 10.1152/ajplung.00163.2007. [DOI] [PubMed] [Google Scholar]
- 48.Wu Z, Yang L, Cai L, Zhang M, Cheng X, et al. Detection of epithelial to mesenchymal transition in airways of a bleomycin induced pulmonary fibrosis model derived from an alpha-smooth muscle actin-Cre transgenic mouse. Respir Res. 2007;8:1. doi: 10.1186/1465-9921-8-1. [DOI] [PMC free article] [PubMed] [Google Scholar]
- 49.Willis BC, Liebler JM, Luby-Phelps K, Nicholson AG, Crandall ED, et al. Induction of epithelial-mesenchymal transition in alveolar epithelial cells by transforming growth factor-beta1: potential role in idiopathic pulmonary fibrosis. Am J Pathol. 2005;166:1321–1332. doi: 10.1016/s0002-9440(10)62351-6. [DOI] [PMC free article] [PubMed] [Google Scholar]
- 50.Andreolas C, Kalogeropoulou M, Voulgari A, Pintzas A. Fra-1 regulates vimentin during Ha-RAS-induced epithelial mesenchymal transition in human colon carcinoma cells. Int J Cancer. 2008;122:1745–1756. doi: 10.1002/ijc.23309. [DOI] [PubMed] [Google Scholar]
- 51.Stinson S, Lackner MR, Adai AT, Yu N, Kim HJ, et al. TRPS1 targeting by miR-221/222 promotes the epithelial-to-mesenchymal transition in breast cancer. Sci Signal. 2011;4:ra41. doi: 10.1126/scisignal.2001538. [DOI] [PubMed] [Google Scholar]
- 52.Mejlvang J, Kriajevska M, Berditchevski F, Bronstein I, Lukanidin EM, et al. Characterization of E-cadherin-dependent and -independent events in a new model of c-Fos-mediated epithelial-mesenchymal transition. Exp Cell Res. 2007;313:380–393. doi: 10.1016/j.yexcr.2006.10.017. [DOI] [PubMed] [Google Scholar]
- 53.Schorpp M, Jager R, Schellander K, Schenkel J, Wagner EF, et al. The human ubiquitin C promoter directs high ubiquitous expression of transgenes in mice. Nucleic Acids Res. 1996;24:1787–1788. doi: 10.1093/nar/24.9.1787. [DOI] [PMC free article] [PubMed] [Google Scholar]
- 54.Jochum W, David JP, Elliott C, Wutz A, Plenk H, Jr, et al. Increased bone formation and osteosclerosis in mice overexpressing the transcription factor Fra-1. Nat Med. 2000;6:980–984. doi: 10.1038/79676. [DOI] [PubMed] [Google Scholar]
- 55.Meixner A, Karreth F, Kenner L, Wagner EF. JunD regulates lymphocyte proliferation and T helper cell cytokine expression. EMBO J. 2004;23:1325–1335. doi: 10.1038/sj.emboj.7600133. [DOI] [PMC free article] [PubMed] [Google Scholar]
- 56.Smart DE, Green K, Oakley F, Weitzman JB, Yaniv M, et al. JunD is a profibrogenic transcription factor regulated by Jun N-terminal kinase-independent phosphorylation. Hepatology. 2006;44:1432–1440. doi: 10.1002/hep.21436. [DOI] [PubMed] [Google Scholar]
- 57.Grigoriadis AE, Schellander K, Wang ZQ, Wagner EF. Osteoblasts are target cells for transformation in c-fos transgenic mice. J Cell Biol. 1993;122:685–701. doi: 10.1083/jcb.122.3.685. [DOI] [PMC free article] [PubMed] [Google Scholar]
- 58.Eferl R, Hasselblatt P, Rath M, Popper H, Zenz R, et al. Development of pulmonary fibrosis through a pathway involving the transcription factor Fra-2/AP-1. Proc Natl Acad Sci U S A. 2008;105:10525–10530. doi: 10.1073/pnas.0801414105. [DOI] [PMC free article] [PubMed] [Google Scholar]
- 59.Kireva T, Erhardt A, Tiegs G, Tilg H, Denk H, et al. Transcription factor Fra-1 induces cholangitis and liver fibrosis. Hepatology. 2011;53:1259–1269. doi: 10.1002/hep.24175. [DOI] [PubMed] [Google Scholar]
- 60.Yamaguchi T, Takada Y, Maruyama K, Shimoda K, Arai Y, et al. Fra-1/AP-1 impairs inflammatory responses and chondrogenesis in fracture healing. J Bone Miner Res. 2009;24:2056–2065. doi: 10.1359/jbmr.090603. [DOI] [PubMed] [Google Scholar]
- 61.Takada Y, Gresh L, Bozec A, Ikeda E, Kamiya K, et al. Interstitial lung disease induced by gefitinib and toll-like receptor ligands is mediated by Fra-1. Oncogene. 2011;30:3821–3832. doi: 10.1038/onc.2011.101. [DOI] [PubMed] [Google Scholar]
- 62.Vaz M, Reddy NM, Rajasekaran S, Reddy SP. Genetic disruption of Fra-1 decreases susceptibility to endotoxin-induced acute lung injury and mortality in mice. Am J Respir Cell Mol Biol. 2011;46:55–62. doi: 10.1165/rcmb.2011-0169OC. [DOI] [PMC free article] [PubMed] [Google Scholar]










