Abstract
The short and long isoforms of the dopamine D2 receptor (D2S and D2L respectively) are highly expressed in the striatum. Functional D2 receptors activate an intracellular signalling pathway that includes a cAMP-independent route involving Akt/GSK3 (glycogen synthase kinase 3). To investigate the Akt/GSK3 response to the seldom-studied D2S receptor, we established a rat D2S receptor-expressing cell line [HEK (human embryonic kidney)-293/rD2S]. We found that in HEK-293/rD2S cells, the D2/D3 agonists bromocriptine and quinpirole significantly induced Akt and GSK3 phosphorylation, as well as ERK1/2 (extracellular-signal-regulated kinase 1/2) activation. The D2S receptor-induced Akt signals were profoundly inhibited by the internalization blockers monodansyl cadaverine and concanavalin A. Activation of the D2S receptor in HEK-293/rD2S cells appeared to trigger Akt/phospho-Akt translocation to the cell membrane. In addition to our cell culture experiments, we studied D2 receptor-dependent Akt in vivo by systemic administration of the D2/D3 agonist quinpirole. The results show that quinpirole evoked Akt-Ser473 phosphorylation in the ventral striatum. Furthermore, intra-accumbens administration of wortmannin, a PI3K (phosphoinositide 3-kinase) inhibitor, significantly suppressed the quinpirole-evoked behavioural activation. Overall, we demonstrate that activation of the dopamine D2S receptor stimulates Akt/GSK3 signalling. In addition, in vivo Akt activity in the ventral striatum appears to play an important role in systemic D2/D3 agonist-induced behavioural activation.
Keywords: Akt (protein kinase B), dopamine D2S receptor, glycogen synthase kinase 3, nucleus accumbens, receptor internalization
Abbreviations: CNS, central nervous system; ConA, concanavalin A; CREB, cAMP-response-element-binding protein; Cy3, indocarbocyanine; DA, dopamine; DAPI, 4′,6-diamidino-2-phenylindole; EGF, epidermal growth factor; ERK, extracellular-signal-regulated kinase; GSK, glycogen synthase kinase; HEK, human embryonic kidney; HRP, horseradish peroxidase; MAPK, mitogen-activated protein kinase; MDC, monodansylcadaverine; MEK, MAPK/ERK kinase; MEM, minimum essential medium; METH, methamphetamine; Nrf2, nuclear factor-erythroid 2-related factor 2; PDGF, platelet-derived growth factor; PI3K, phosphoinositide 3-kinase
INTRODUCTION
The neurotransmitter DA (dopamine) performs essential physiological functions in the CNS (central nervous system). Deficits in DA signalling, owing to either over-activation or dysfunction, lead to major psychiatric and neurological disorders such as Parkinson's disease, attention deficit with hypereactivity, Tourett's syndrome, mania/psychosis and addiction (Iversen and Iversen, 2007; Beaulieu and Gainetdinov, 2011). DA effects are executed through action on membrane-bound receptors that belong to a G-protein-coupled receptor family (Tan et al., 2003). There are two distinct classes of DA receptors, namely the D1-like (D1 and D5) and D2-like (D2, D3 and D4) receptors (De Mei et al., 2009). Compounds which act on the D2-like receptor have been used clinically to ameliorate symptoms of certain DA-dependent disorders. Examples include anti-psychotics (D2 antagonist) or medications for treating Parkinson's disease (D2 and D3 agonists). Understanding the cellular events mediated by DA D2 receptors, especially in the neuroanatomical context, would not only increase our understanding of the molecular mechanism of disease, but also aid the development of novel treatments.
DA D2 receptors are predominantly expressed in the CNS, both pre-synaptically and post-synaptically (De Mei et al., 2009). The receptors contain two alternatively spliced isoforms that differ in 29 amino acids in the region of the third cytoplasmic loop (Dal et al., 1989; Montmayeur et al., 1991). The long isoform D2L receptors are more abundant than short isoform D2S receptors in most brain regions (Missale et al., 1998). Previous studies using D2 and D2L receptor knockout mice have demonstrated distinct roles for D2L and D2S receptors (Wang et al., 2000; Lindgren et al., 2003). The D2L receptor is considered to be a post-synaptic receptor in the striatum regulating DARPP-32 (DA- and cAMP-regulated phosphoprotein of 32 kDa), an essential signal mediator in striatal MSNs (medium spiny neurons). On the other hand, the D2S receptor acts as pre-synaptic autoreceptor that negatively regulates the phosphorylation/activation (Ser40) of tyrosine hydroxylase, a rate-limiting enzyme in DA synthesis or DA release from the pre-synaptic nerve terminals (Lindgren et al., 2003). Despite the difference in pre- compared with post-synaptic localization, treatment with a D2 agonist resulted in a similar inhibition of adenylate cyclase activity by both isoforms. This effect is possibly due to similar extracellular binding domains and conserved coupling with Gi/Go protein. Many Go/Gi-coupled receptors are known to activate MAPKs (mitogen-activated protein kinases), including ERK (extracellular-signal-regulated kinase), JNK (c-Jun N-terminal kinase) and p38 MAPK (Luo et al., 1998; Conrad et al., 2000; Beom et al., 2004). ERK phosphorylation/activation by either D2L or D2S receptor stimulation has been widely reported, but it appears to be mediated through different signalling routes. Specifically, D2L receptor activation recruits c-Src to transactivate the PDGF (platelet-derived growth factor) receptor and downstream Ras/Raf/MEK (MAPK/ERK kinase)/ERK signalling cascade, whereas D2S receptor activation may trigger receptor internalization and subsequent β-arrestin/dynamin-dependent Raf/MEK/ERK signalling (Schubert and Duronio, 2001; Kim et al., 2004). Moreover, previous reports have demonstrated that DA D2 receptors initiate a cAMP-independent pathway by promoting an association of signalling complex containing Akt (also known as protein kinase B), PP2A (protein phosphatase 2A) and β-arrestin in the striatum (Beaulieu et al., 2005, 2007). The discovery of this novel D2 receptor-mediated signalling pathway is particularly important since modulation of Akt signal by D2 receptor could provide the cellular mechanism of psychostimulant-triggered mania/psychosis, as well as the therapeutic effect of lithium (Jope, 2002; Karam et al., 2010).
Several previous studies using D2 receptor (mostly D2L)-transfected cell lines or primary neural cultures demonstrated that D2 activation preferentially promotes Akt phosphorylation/activation and phosphorylation/inactivation of its substrate GSK (glycogen synthase kinase) 3β (Kihara et al., 2002; Nair et al., 2003; La Cour et al., 2011). The physiological significance of this D2-receptor-activated Akt/GSK3 signalling has been extensively discussed with regard to cell survival or neuroprotection against oxidative stress (Kihara et al., 2002; Lim et al., 2008; Nair and Olanow, 2008). Considering that DA D2S receptors act as autoreceptors located in pre-synaptic DA neurons (Nishi et al., 1997), D2S-receptor-mediated survival signalling could significantly effect the viability of DA neurons upon neural insult, including in pathological processes such as Parkinson's disease and/or drug addiction. Surprisingly, DA D2S-receptor-mediated Akt/GSK3 signalling has seldom been explored. In order to understand the significance of Akt underlying the D2S receptor and its role in vivo, we asked (i) whether the DA D2S receptor, expressed in HEK (human embryonic kidney)-293/rD2S cells, could provoke Akt/GSK3 signalling and (ii) how Akt signalling in the nucleus accumbens is involved in D2/D3 agonist-induced behavioural activation. We found in transfected HEK-293/rD2S cells that stimulation of the D2S receptor leads to dual activation of ERK1/2 and Akt/GSK3β signals. Furthermore, both signals were inhibited by pre-treatment with an internalization blocker. Importantly, we demonstrated that behavioural activation evoked by systemic treatment with the D2/D3 agonist quinpirole could be effectively suppressed by intra-accumbens administration of a PI3K (phosphoinositide 3-kinase) inhibitor, providing direct evidence that the D2/D3 receptor positively regulates PI3K/Akt signalling.
MATERIALS AND METHODS
Chemicals and antibodies
Bromocriptine, quinpirole, racropride, (−)sulpride and MDC (monodansylcadaverine) were obtained from Sigma. PD98059 was purchased from Cell Signaling Technologies. LY294002, ConA (concanavalin A) and wortmannin were obtained from Tocris. [γ-32P]ATP was purchased from Amersham Biosciences. [3H]Raclopride was purchased from PerkinElmer Life Sciences. Anti-phospho-ERK1/2, anti-phospho-Akt-Thr308, anti-phospho-Akt-Ser473 and anti-phospho-GSK3α/β antibodies were from Cell Signaling Technology. Anti-Akt, anti-GSK3α/β, anti-ERK and anti-β-actin antibodies were purchased from Santa Cruz Biotechnology. Anti-γ-tubulin antibody was purchased from Sigma. Peroxidase-conjugated secondary antibodies were from Amersham Biosciences. Rhodamine-labelled anti-mouse IgG and FITC-labelled anti-goat-IgG antibodies were from Jackson ImmunoResearch.
Animals
Male Sprague–Dawley rats (National Breeding Center, Taiwan) weighing 200–250 g were housed three per cage under a 12-h light/12-h dark cycle (light on at 07:00 h, light off at 19:00 h), at constant temperature (25°C) and humidity in a control room under qualified caretakers in the Chang-Gung Animal Core for at least 1 week before experimentation. Rats were allowed free access to food and water. All of the experimental procedures were performed during the light cycle. The ethical guidelines provided by the Chang-Gung Animal Core and NIH (National Institutes of Health) were followed throughout the study.
Surgery and intra-accumbens drug administration
Rats were anaesthetized with ketamine (45 mg/kg, intraperitoneally) and xylazine (100 mg/kg, intraperitoneally) and placed in a stereotaxic holder (David Kopf Model 900). The guide cannula was made from a 23G needle with 30G stainless steel tubing stuck inside as a stylet and implanted into the nucleus accumbens bilaterally. The co-ordinates for the nucleus accumbens-shell were anterior–posterior +1.7 mm from bregma, medial–lateral ±0.7 mm from the midline, and dorsal–ventral −8.0 mm from the skull (Paxinos and Watson, 1996). Rats were allowed 1 week recovery from cannula implantation before behavioural measurements. On the day of the experiment, wortmannin (2.5 μg) in saline/DMSO (50:50) solution was micro-infused into the nucleus accumbens-shell at a flow rate of 0.5 μl/min for 2 min driven by a microsyringe pump (CMS 102). The same volume of vehicle injection served as a control. After completing each injection, the cannula was left in place for an additional 2 min to reduce any possible backflow of the solution along the injection track. Systemic quinpirole (1 mg/kg) or saline was given 30 min after the completion of intra-accumbens wortmannin infusion. The location of the needle tract was histologically verified by Nissl staining after the termination of the experiment.
Behavioural assessment
The behavioural response to quinpirole, in the presence or absence of intra-accumbens drug or vehicle pre-treatment, on Sprague–Dawley rats were evaluated by measuring drug-evoked locomotor activity and stereotypy. After quinpirole (1 mg/kg, intraperitoneally) or saline administration, each individual rat was tested in an Animal Activity Cage (30 cm×45 cm×45 cm; MED Associates) constructed of opaque plastic walls and four photocells positioned 1 cm above the floor and spaced evenly along the longitudinal axis of each chamber. When the animal moved, separate interruptions of photocell beams were detected via an electrical interface by a computer situated in an adjacent room. Every 5 min, locomotor activity and stereotypy was recorded for a total session of 3 h. Photo-beam interruptions with a duration of less than 0.5 s were excluded (Chen and Chen, 2005).
Cell culture and stable transfection
HEK-293 cells were maintained at 37°C in MEM (minimum essential medium) containing 10% FBS (fetal bovine serum), 100 i.u./ml penicillin and 100 μg/ml streptomycin. At 1 day before the transfection, HEK-293 cells were plated on 60 mm dishes at a density of 2.5×106 cells/cm2 in growth medium without antibiotics. pcDNA3 plasmid (4 μg) containing the coding region of the rat D2S receptor construct was incubated with 10 μl of Lipofectamine™ 2000 (Gibco) in a total volume of 250 μl of serum-free MEM for 20 min at room temperature (25°C). After washing gently three times with MEM, 4 ml of serum-free MEM was added. The complex was then pipetted into each well containing cells and medium, and incubated at 37°C with 5% CO2 for 5 h. Next, the cells were passed at 1:10 into fresh selective medium in 100 mm dishes and maintained in 800 μg/ml geneticin (G418)-containing culture medium. Cultured cells were changed to fresh medium twice a week to test transgene expression for 6 weeks. For the selected HEK-293/rD2S clone, the 8–15th generations were used in the experiments.
Dopamine D2S receptor saturation binding
Cells were resuspended in a D2-binding buffer [50 mM Tris base, 120 mM NaCl, 5 mM KCl, 2 mM CaCl2 and 1 mM MgCl2 (pH 7.4)] and homogenized on ice. Cell membranes were pelleted by centrifugation (34000 g for 30 min at 4°C) and resuspended by homogenization on ice in the same binding buffer. Binding assays were carried out by mixing 50 μg of membrane protein with various concentrations of [3H]racropride (0.39, 0.78, 1.56, 3.13, 6.25 and 12.5 nM) in binding buffer with or without (−)sulpride (10 μM) in triplicate. After incubation at 37°C for 30 min, protein was harvested on to glass-fibre filters (Whatmann GF/C) using a combicell harvester (Harvard PhD). Bound radioactivity was detected by a liquid scintillation counter with approximately 50% counting efficiency (Parkard).
Western blot analysis
HEK-293/rD2S cells or ventral striatal tissues were lysed with heated 1% SDS. Extracts were sonicated, denatured (100°C for 5 min) and centrifuged, after which they were separated on a 10% acrylamide gel. After electrophoresis (SDS/PAGE), proteins were transferred on to a PVDF membrane (Millipore). Membranes were incubated for 1 h in blocking buffer [TBS (20 mM Tris base and 137 mM NaCl, pH 7.6), 0.1% Tween 20 and 5% non-fat dried skimmed milk] at room temperature, washed three times with TBS-T (TBS with 0.1% Tween 20) for 10 min and probed with the designated primary antibodies (1:1000 in TBS-T buffer) at 4°C overnight. After washing three times each for 10 min, the proteins were probed with HRP (horseradish peroxidase)-conjugated secondary antibodies (1:2000 anti-rabbit anti-mouse-HRP in TBS-T) at room temperature for another 1 h. The membranes were then washed three times each for 10 min and phosphorylated proteins were detected by ECL (enhanced chemiluminescence; GE Healthcare). The β-actin signal served as protein-loading control. Quantitative results are calculated first as the ratio relative to β-actin and then converted into a percentage of the corresponding vehicle control.
Immunoprecipitation
After drug treatment, cells were washed with ice-cold PBS to remove the culture medium and 150 ml of ice-cold immunoprecipitation buffer [0.1% Triton X-100, 10 mM Tris/HCl, 50 mM NaCl, 1 mM EDTA and 1 mM EGTA (pH 7.4)] to lyse cells. After complete lysis for 1 h, the insoluble proteins were pelleted by centrifugation at 34000 g for 30 min at 4°C. The soluble proteins were then pre-cleaned with Protein G beads (Millipore) for 90 min at 4°C, and then incubated with γ-tubulin antibody (1:250 dilution) overnight followed by incubation with Protein G beads for another 90 min. After centrifugation (6000 g for 30 min at 4°C), re-suspended pellets were separated by SDS/PAGE and subjected to Western blot analysis.
Immunofluorescence
To monitor Akt translocation, HEK-293/rD2S cells were plated on poly-l-lysine-coated coverslips at a density of 1×105 cells/cm2 in a six-well plate and serum-starved overnight (16 h). Cells were then activated with 10 μM bromocriptine for 0–15 min. Drug stimulation was ended by washing with 2–3 ml of ice-cold PBS, then cells were fixed using freshly prepared ice-cold 4% paraformaldehyde for 10 min. Cells were then washed three times with PBS (also used for the following washing and incubation steps) each for 3 min, and permeabilized using methanol for 10 min at −20°C. Coverslips were then incubated in a blocking buffer (5% non-fat dried skimmed milk in PBS) for 30 min, probed with anti-Akt (1:100 dilution in blocking buffer), anti-phospho-Akt-Ser473 (1:200 dilution) or anti-γ-tubulin (1:200 dilution) antibodies overnight at 4°C, washed three times for 5 min each and incubated with Cy3 (indocarbocyanine)- and Alexa Fluor® 488-conjugated anti-goat-FITC secondary antibody (1:100 dilution) for 1 h at room temperature. After probing, coverslips were washed three times for 5 min each, and counterstained with DAPI (4′,6-diamidino-2-phenylindole; Roche) for 5 min at room temperature. Coverslips were then washed with PBS-T (PBS containing 0.1% Tween 20), and mounted on to slides embedded in 3% n-propyl gallate and 50% glycerol in PBS. The images were monitored using a fluorescence microscope (Olympus).
Statistical analysis
Data were analysed with the program GraphPad Prism. Results are expressed as means±S.E.M. Time- and dose-dependent studies were analysed by one-way ANOVA followed by the post-hoc Dunnett's multiple comparison test. The behavioural study was analysed by either one-way ANOVA followed by the post-hoc Dunnett's multiple comparison test or two-way ANOVA followed by the post-hoc Bonferroni test. The level of statistical significance was set at P<0.05.
RESULTS
D2S receptor-mediated Akt/GSK signalling in HEK-293/rD2S cells
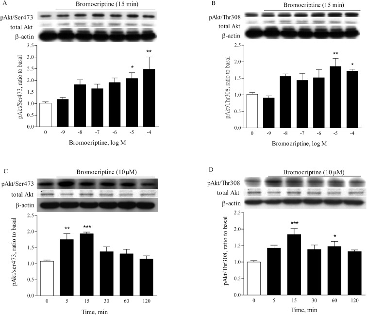
The expression of the D2S receptor in the HEK-293/rD2S clone was determined by saturation binding using [3H]raclopride as the radioligand and non-specific binding defined by sulpride. The resulting Bmax, determined by non-linear regression, was 2.02±0.18 pmol/mg of membrane protein and Kd value was 3.00±0.83 nM, which is comparable with in vivo D2 receptor binding affinity (Chen et al., 1999). When HEK-293/rD2S cells were exposed to the D2 receptor agonist bromocriptine, a clear Akt phosphorylation/activation at Ser473 [F (6,42) = 3.78, P<0.01] and Thr308 residues was observed [F (6,21) = 4.63, P<0.01]. Among the doses tested, it seems a plateau phase is reached at 10 nM in both Akt-Ser473 and Akt-Thr308; however, statistical significance is achieved at higher doses (10–100 μM). Therefore, 10 μM bromocriptine was used for the time-dependent studies and there appears to be a bell-shape time profile [F (5,24) = 7.66, P<0.001 for Ser473 and F (5,18) = 5.66, P<0.01 for Thr308] (Figure 1). Since Akt-Thr308 phosphorylation is downstream from PI3K/PDK1/2 (phosphoinositide-dependent kinase 1/2)-dependent signalling that also may induce Akt translocation to the cell membrane (Alessi and Downes, 1998; Belham et al., 1999; Martelli et al., 1999), we used fluorescence microscopy to examine Akt localization after D2S receptor stimulation. As shown in Figure 2, Akt and phospho-Akt are predominantly distributed in a nuclear/perinuclear position in HEK-293/rD2S cells and appear to aggregate in the centrosomes, a structure easily detected by labelling with an anti-γ-tubulin antibody (Figures 2A and 2B). After treatment with 10 μM bromocriptine, a membrane-like immunostaining of both Akt and phospho-Akt-Ser473 appeared, possibly in a cell–cell contact region. Interestingly, activation of D2S receptor with bromocriptine did not affect the portion of aggregated Akt/phospho-Akt in centrosomes. To examine whether Akt physically aggregates with γ-tubulin, we performed immunoprecipitation followed by Western blot analysis. The results show that the Akt signal can be clearly visualized in anti-γ-tubulin-pelleted HEK-293/rD2S homogenates (Figure 2C). In addition, activation of the D2S receptor by bromocriptine (10 μM) also induced downstream GSKα-Ser21 [F (5,19) = 5.22, P<0.01) and GSKβ-Ser9 [F (5,16) = 8.12, P<0.001] phosphorylation in HEK-293/rD2S cells along a similar time course (Figure 3).
Figure 1. Dose- and time-dependent effect of D2S-receptor-induced Akt phosphorylation in HEK-293/rD2S cells.
(A and B) Cells were serum-starved and incubated with various concentrations of bromocriptine (10−9–10−4 M) for 30 min. (C and D) Cells were serum-starved overnight and incubated with bromocriptine (10 μM) for up to 120 min. After drug treatment, phosphorylation levels of Akt-Ser473 and Akt-Thr308 were detected in cell lysates by Western blotting. Data were corrected by total Akt levels, normalized to β-actin and are presented as means±S.E.M. from at least three independent experiments. *P<0.05, **P<0.01, ***P<0.001 compared with the no drug treatment group (one-way ANOVA with Dunnett's post-hoc test).
Figure 2. The subcellular distribution of Akt and phospho-Akt after D2S receptor stimulation in HEK-293/rD2S cells.
Cells were starved for 16 h followed by immunofluorescent detection. (A) Total Akt was detected by FITC-labelled (green) anti-Akt antibody (a, c and d) and the centrosomes were recognized by rhodamine-labelled (red) anti-γ-tubulin antibody (b). (B) Phospho-Akt was stained with Alexa Fluor® 488-labelled (green) anti-phospho-Akt-Ser473 antibody (e and i) and Cy3-labelled (red) anti-γ-tubulin antibody (f and j). The corresponding DAPI stain (blue; g and k) and merged images (e, f and g, and i, j and k) are shown in h and l respectively. Immunofluorescent images reveal that both Akt (A) and phospho-Akt (B) are mainly distributed in a nuclear/perinuclear position of HEK-293/rD2S cells and are co-localized with the centrosomes (arrowheads) in both control (a–c and e–h) and bromocriptine-treated (d and i) groups. After incubation with bromocriptine (10 μM) for 15 min (d and i–l), a membrane-like immunostain of both Akt and phospho-Akt appears (arrows), suggesting that Akt translocates on to the cell–cell contact sites. Representative pictures from at least three independent experiments are shown. Scale bars = 10 μm. (C) Co-immunoprecipitation (IP) of total Akt (gel band of 55–60 kDa) by the anti-γ-tubulin antibody from HEK-293/rD2S homogenates. Immunoprecipitation without primary antibody incubation served as a control. A total of 500 μg of homogenates were used in each immunoprecipitation. Ab, antibody; P, pellet; S, supernatant; arrowhead, IgG heavy chain.
Figure 3. Time-course effect of D2S-receptor-mediated GSK3α/β phosphorylation in HEK-293/rD2S cells.
Cells were serum-starved overnight and incubated with bromocriptine (10 μM) for up to 120 min. After drug treatment, levels of GSK3α/β phosphorylation were detected in cell lysates by Western blotting. Data were corrected with total GSK3α/β levels, normalized to β-actin and are presented as means±S.E.M. The experiment was repeated at least three times. *P<0.05, **P<0.01, ***P<0.001 compared with the corresponding no drug treatment groups (one-way ANOVA with Dunnett's post-hoc test).
D2S-receptor-mediated MAPK signalling in HEK-293/rD2S cells
As shown in Figure 4, bromocriptine (10 μM) induced ERK1/2 phosphorylation in a time-dependent manner in HEK-293/rD2S cells. This time-dependent ERK1/2 phosphorylation could be verified using another D2/D3 agonist quinpirole. Comparing the activation pattern of bromocriptine and quinpirole, it appeared that both drugs evoked a quick and transient ERK1 activation [F (5,17) = 4.30, P<0.05 for bromocriptine; F (5,12) = 4.62, P<0.05 for quinpirole], but a prolonged ERK2 activation [F (5,17) = 4.13, P<0.05 for bromocriptine; F (5,17) = 6.89, P<0.01 for quinpirole] (Figure 4).
Figure 4. Time-course effect of D2S-receptor-induced ERK1/2 phosphorylation in HEK-293/rD2S cells.
Cells were serum-starved overnight and incubated with bromocriptine (10 μM) (A) or quinpirole (10 μM) (B) for up to 120 min. After drug treatment, levels of ERK1/2 phosphorylation (Thr202/Tyr204) were detected in cell lysates by Western blotting. p44 and p42, ERK1 and ERK2; p-p44 and p-p42, phospho-p44 and -p42 signals. Data were corrected by total ERK1/2 levels, normalized to β-actin and are presented as means±S.E.M. from at least three independent experiments. *P<0.05, **P<0.01, compared with the corresponding no drug treatment groups (one-way ANOVA with Dunnett's post-hoc test).
Signal cross-talk and receptor internalization in D2S-receptor-mediated Akt and ERK1/2 signalling
Previous studies have reported that DA D2-receptor-evoked Akt and ERK1/2 phosphorylation/activation both require protein interaction with β-arrestin (Kim et al., 2004; Beaulieu et al., 2005), implying that receptor internalization may participate in this cellular signalling. To validate if D2S receptor internalization would be a pre-requisite to trigger Akt and ERK1/2 activation, and to explore if Akt/GSK can cross-talk with ERK1/2 after D2S receptor activation, we pre-treated HEK-293/rD2S cells with the PI3K inhibitor LY294002 (10 μM) or MEK inhibitor PD98059 (0.5 μM), and MDC (30 μM) to prevent clathrin association or ConA (250 μg/ml) to block receptor clustering. The doses used were on the basis of previous literature (Woo et al., 2006) as well as our pilot study (Supplementary Figure S1 at http://www.asnneuro.org/an/004/an004e098add.htm) to demonstrate the effectiveness in HEK-293/rD2S cells. Except for PD98059 which reduced phospho-ERK2 but not the phospho-ERK1 signal, the inhibitors alone did not affect the basal phospho-Akt-Ser473 and phospho-ERK1/2 signals (results not shown). The results show that LY294002 and PD98059 significantly inhibit bromocriptine-induced phospho-Akt-Ser473 (Figure 5A) and phospho-ERK1/2 (Figure 5B) respectively in HEK-293/rD2S cells. Pre-treatment with LY294002 did not effect the D2S-evoked phospho-ERK1/2 signal, similarly pre-treatment with PD98059 did not effect the D2S-induced phospho-Akt-Ser473 signal (Figure 5). On the other hand, evidence was found for the suppression of D2S-induced phospho-Akt-Ser473 by treatment with MDC and ConA (Figure 5A), as well as phospho-ERK1/2 signals by ConA (Figure 5B), indicating that the D2S-mediated Akt and ERK1/2 signals are mostly dependent on receptor internalization. Finally, pre-treatment with the D2 receptor antagonist raclopride significantly suppressed the bromocriptine- induced Akt-Ser473 and ERK1/2 phosphorylation, confirming a selective D2S receptor effect (Figure 5).
Figure 5. Effect of MEK and PI3K inhibitors and internalization blockers on D2S-receptor-evoked Akt or ERK1/2 phosphorylation in HEK-293/rD2S cells.

Cells were serum-starved overnight and pre-treated with the MEK inhibitor PD98059 (5 μM), the PI3K inhibitor LY294002 (0.5 μM), the internalization blockers MDC (30 μM) or ConA (250 μg/ml) or the D2 antagonist raclopride (100 μM) for 30 min prior to bromocriptine (10 μM) administration for 15 min. Cells were lysed in 1% SDS and Akt-Ser473 (A) and ERK1/2 phosphorylation (B) were detected by Western blotting. Data were corrected with the corresponding total Akt or ERK1/2 levels, normalized to β-actin and are presented as means±S.E.M. from at least three independent experiments. ***P<0.001 compared with the no drug treatment groups. ###P<0.001 compared with the bromocriptine-treated group.
Systemic quinpirole administration evoked Akt-Ser473 phosphorylation in the ventral striatum
In order to test whether the DA D2/D3 agonist quinpirole would initiate a similar Akt/GSK3 signalling in vivo, in particular in the ventral striatum, animals were systemically treated with 1 mg of quinpirole/kg followed by biochemical analyses at various post-drug treatment times. As shown in Figure 6, systemic quinpirole significantly induced Akt-Ser473 phosphorylation in the ventral striatum 30 min to 1 h after drug treatment with a return to near basal levels after 2–3 h [F (4,10) = 33.12, P<0.001].
Figure 6. Effect of systemic quinpirole administration on Akt-Ser473 phosphorylation.
Animals were systemically injected with quinpirole (1 mg/kg) or saline (vehicle) and killed at designated times. The levels of Akt-Ser473 phosphorylation in the ventral striatum were quantified by Western blotting. Since time-matched vehicle-treated controls show no difference, data were pooled (n = 4 per group) and are presented as means±S.E.M. from four independent experiments. *P<0.001 compared with the vehicle control.
Effect of intra-accumbal PI3K and GSK3 inhibitor on quinpirole-induced behavioural activation
To further explore the role of nucleus accumbens Akt signalling in DA D2/D3 agonist quinpirole-induced behavioural activation, the selective PI3K inhibitor wortmannin was delivered into the nucleus accumbens-shell 30 min before systemic quinpirole (1 mg/kg, intraperitoneally) injection. The results of one-way ANOVA analyses show that 1 mg of quinpirole/kg induced both horizontal locomotor activity [F (1,36) = 3.54, P<0.001] and stereotypy [F (1,36) = 2.61, P<0.001] in experimental rats with onset at approximately 60–75 min post-treatment (Figure 7). Pre-treatment with intra-accumbens wortmannin significantly suppressed the systemic quinpirole-evoked behavioural activation as measured by both locomotor activity [main effect of treatment; F (3,576) = 42.39, P<0.0001] and overall time×treatment [F (105,576) = 1.96, P<0.0001], and stereotypy [main effect of treatment; F (3,576) = 89.75, P<0.0001] and overall time×treatment [F (105,576) = 1.44, P<0.01]. It was noted that wortmannin alone did not alter basal activity in experimental animals. Those animals displayed normal spontaneous behaviours, similar to systemic saline-challenged control animals.
Figure 7. Effect of intra-accumbens wortmannin on systemic quinpirole-induced locomotor activity (A) and stereotypy (B).
Animals were pre-treated with the PI3K inhibitor wortmannin (2.5 μg) or vehicle (DMSO/water, 50:50) in the nucleus accumbens-shell 30 min prior to systemic quinpirole (1 mg/kg) or saline administration. Horizontal locomotor activity and stereotypy (rearing, head nodding, grooming and sniffing) were monitored every 5 min for a total session of 180 min. *P<0.05, **P<0.01, ***P<0.001 compared with the corresponding testing session between vehicle/quinpirole and wortmannin/quinpirole groups (n = 3–7 per group).
DISCUSSION
The present study provides an examination of DA D2-receptor-regulated Akt signalling both in vivo and in vitro. We first demonstrated that the D2S receptor positively regulates Akt and GSK3 phosphorylation mainly through an internalization mechanism in HEK-293/rD2S cells. Activation of D2S receptors appears to evoke a membrane form of Akt and phospho-Akt signal possibly at sites of cell–cell contact, suggesting a functional significance. Although D2S stimulation also induced ERK1/2 phosphorylation in HEK-293/rD2S cells, there does not appear to be signal cross-talk between ERK1/2 and Akt/GSK3. Interestingly, we found that systemic quinpirole administration in rats not only induced activation of locomotion and stereotypy, but enhanced Akt-Ser473 phosphorylation/activation in the ventral striatum. When PI3K inhibitor was administered specifically to the nucleus accumbens-shell, systemic quinpirole-induced behavioural activation was significantly suppressed. Both in vitro and in vivo results from the present study suggest a positive role of the DA D2 receptor in Akt/PKB activation.
DA D2 receptors are differentially spliced to create two isoforms differing by 29 amino acids in the 3rd intracellular domain, namely the D2L and D2S receptors. Specific ablation of D2L receptor in D2L−/− mice, thereby preserving the D2S receptor, results in a D2-agonist-mediated decrease in tyrosine hydroxylase Ser40 phosphorylation in the substantia nigra, demonstrating a pre-synaptic nature of D2S autoreceptor (Lindgren et al., 2003). It is of note that D2L-knockout mice retain locomotor and reward response to cocaine (Welter et al., 2007), suggesting that D2S-receptor-mediated intracellular events are critical in determining the behavioural phenotypes of drug addiction. Therefore it is important to explore D2S-receptor-mediated signalling, in particular the unexamined Akt/GSK3 pathway that was reported to be coupled with the D2L receptor and plays an essential role in psychiatric disorders (Nair and Olanow, 2008; Beaulieu et al., 2009; La Cour et al., 2011). The present study clearly demonstrates that D2S receptor activation could dually induce ERK1/2 and Akt/GSK3 phosphorylation, wherein a significant amount of bromocriptine-induced phospho-Akt-Ser473 could be reduced by the internalization blockers MDC, which prevents clathrin association (Ray and Samanta, 1996), or ConA, which blocks receptor clustering (Pippig et al., 1995). Comparing the D2S with the D2L isoform, the D2S receptor appears to activate ERK1/2 phosphorylation via clathrin-mediated endocytosis in a β-arrestin- and dynamin-dependent manner (Kim et al., 2004). On the other hand, D2L-evoked ERK1/2 signalling requires PDGF receptor and/or EGF (epidermal growth factor) receptor transactivation, independent of β-arrestin-mediated D2L receptor internalization (Kim et al., 2004; Wang et al., 2005). Our result that D2S-induced ERK1/2 activity could be partly suppressed by ConA is comparable with the observation by Kim et al. (2004) but, to some degree, in contrast with a report by Quan et al. (2008). In the latter study, the authors exclude the role of β-arrestin, but show Gi2 protein involvement in D2S-mediated ERK activation. Our results reveal the existence of both internalization-dependent (40% inhibition by ConA but no inhibition by MDC) and -independent pathways underlying D2S-receptor-mediated ERK1/2 signalling, suggesting that the D2S receptor modulates ERK via multiple pathways. Expression of different signal mediators or transducers in various cell lines might account for the apparent discrepancy between our present study and the study by Quan et al. (2008). For example, Wang et al. (2005) reported D2L-receptor-activated ERK via transactivation of EGF receptor in NS20Y neuroblastoma, but via transactivation of PDGF receptor in HEK-293 cells.
Numerous reports have shown that DA D2/D3-receptor-mediated Akt/GSK3 activation plays a cytoprotective role, through either counteracting pro-apoptotic substrates, such as FKHR (forkhead in rhabdosarcoma), Bad or caspase 9, or up-regulating cytoprotective transcription factors, such as Nrf2 (nuclear factor-erythroid 2-related factor 2) or CREB (cAMP-response-element-binding protein) (Chen et al., 2008; Lim et al., 2008; Nair and Olanow, 2008). In the present study, we observed both bromocriptine and quinpirole induce Akt and GSK3α/β phosphorylation in HEK-293/rD2S cells, suggesting that D2S-receptor-mediated Akt activation/GSK3 inactivation could protect DA neurons. Since the cytoprotective Akt/GSK signal could transfer into the nucleus to control transcription regulation (Castellino and Durden, 2007), it is possible that somatodendritic D2S-induced nuclear phospho-Akt would enhance the expression of Nrf2 or CREB and hence initiate an anti-oxidative signal cascade against the DA neural insult. Furthermore, the observation that bromocriptine provoked Akt/phospho-Akt translocation to the cell membrane not only relates to a similar observation regarding D2L receptor activation (Nair et al., 2003), but also demonstrates that the D2S receptor could initiate a PI3K-dependent Akt/GSK3 signal since activation of PI3K would recruit Akt to the plasma membrane (Alessi et al., 1997). To date, the subcellular localization of Akt seems to be different among various cell lines (Nair et al., 2003; Wang and Brattain, 2006), but the underlying mechanism for this difference is not known. The results of the present study also revealed that endogenous Akt aggregated in the centrosomes and was found to diffusely stain nucleus and cytoplasm in HEK-293/rD2S cells. It was reported that phospho-Akt localizes to the centrosomes in HEK-293 and HeLa cells, and is responsible for GSK-3 phosphorylation at the centrosome during mitosis (Wakefield et al., 2003). Furthermore, during early development of the Drosophila melanogaster embryo, Akt is able to regulate centrosome migration and spindle orientation (Buttrick et al., 2008). Whether D2S-receptor-mobilized Akt would participate in mitosis requires further investigation.
In contrast with most in vitro observations that the D2 receptor positively regulates Akt and GSK phosphorylation, some studies have indicated that in vivo D2-like receptor (D2/D3) activation appears to cause an inhibition of Akt and GSK3 phosphorylation, hence resulting in an activation of GSK3 activity (Beaulieu et al., 2005, 2007). This occurs in particular after prolonged stimulation by non-selective DA receptor agonists such as amphetamine or apomorphine. In the present study, we attempt to circumvent the profound systemic effect of signal blockers by locally injecting PI3K inhibitor into the nucleus accumbens-shell before systemic challenge with quinpirole. The results demonstrate that inhibition of Akt activity in the nucleus accumbens-shell totally suppressed the D2/D3-agonist-induced behavioural effect. This result can be confirmed by biochemical analyses, i.e. Akt-Ser473 phosphorylation increased in the ventral striatum after quinpirole injection, indicating a similar regulation of in vivo D2-like receptors on the Akt signal as observed in vitro. We speculate that the discrepancy between the results of the present study and Beaulieu et al. (2005, 2007) could possibly be due to a difference in the tissues analysed, i.e. we used ventral striatum (containing D2S/D2L and D3) whereas Beaulieu et al. used whole striatum (D2L dominant). Secondly, we systemically treated rat with a specific D2 agonist, but added Akt blocker locally into nucleus accumbens, whereas Beaulieu et al. analysed their samples with a non-selective amphetamine or apomorphine injection. In a recent report, METH (methamphetamine) challenge in METH-sensitized animals resulted in an enhanced phospho-Akt response in the striatum (Pogorelov et al., 2011), indicating a more dynamic nature of Akt regulation upon indirect or non-specific DA agonist treatment.
In conclusion, in the present paper we report that DA D2S receptors are functionally associated with Akt/GSK signalling and require receptor internalization for this activation. This finding suggests that D2S receptors function as a pre-synaptic autoreceptor localized in both nerve terminals and soma which offers protection to the DA neurons. Since the extracellular ligand-binding domains are quite similar between D2S and D2L receptors, it is difficult to determine the pre-synaptic role in vivo. Our in vivo data indicates that D2-like receptor-mediated Akt signalling is similar to prior in vitro studies, and is consistent with behavioural observations using drug manipulation in the nucleus accumbens-shell. Although we conclude that D2/D3 receptor activation leads to GSK3 inactivation in the ventral striatum, the behavioural impact of local modulation of the Akt/GSK3 response in the nucleus accumbens is likely to be quite different from the behavioural outcome generated from modulating the whole motor and/or rewarding circuitry. Conditional knockout or overexpression of D2 receptor or Akt/GSK3 in specific brain regions should help resolve this discrepancy.
Online data
ACKNOWLEDGEMENTS
We thank Dr M. Calkins for English editing before submission of the paper.
Footnotes
This work was supported by the National Science Council [grant number NSC96-2745-B-182-001], Healthy Aging Research Center of CGU [grant number EMRPD1B0311] and the Chang Gung Memorial Hospital [grant number CMRPD150353], Taiwan, R.O.C.
REFERENCES
- Alessi DR, James SR, Downes CP, Holmes AB, Gaffney PR, Reese CB, Cohen P. Characterization of a 3-phosphoinositide-dependent protein kinase which phosphorylates and activates protein kinase Bα. Curr Biol. 1997;7:261–269. doi: 10.1016/s0960-9822(06)00122-9. [DOI] [PubMed] [Google Scholar]
- Alessi DR, Downes CP. The role of PI 3-kinase in insulin action. Biochim Biophys Acta. 1998;1436:151–164. doi: 10.1016/s0005-2760(98)00133-7. [DOI] [PubMed] [Google Scholar]
- Beaulieu JM, Gainetdinov RR. The physiology, signaling and pharmacology of dopamine receptors. Pharmacol Rev. 2011;63:182–217. doi: 10.1124/pr.110.002642. [DOI] [PubMed] [Google Scholar]
- Beaulieu JM, Sotnikova TD, Marion S, Lefkowitz RJ, Gainetdinov RR, Caron MG. An Akt/β-arrestin 2/PP2A signaling complex mediates dopaminergic neurotransmission and behavior. Cell. 2005;122:261–273. doi: 10.1016/j.cell.2005.05.012. [DOI] [PubMed] [Google Scholar]
- Beaulieu JM, Gainetdinov RR, Caron MG. The Akt-GSK3 signaling cascade in the actions of dopamine. Trends Pharmacol Sci. 2007;28:166–172. doi: 10.1016/j.tips.2007.02.006. [DOI] [PubMed] [Google Scholar]
- Beaulieu JM, Gainetdinov RR, Caron MG. Akt/GSK3 signaling in the action of psychotropic drugs. Annu Rev Pharmacol Toxicol. 2009;49:327–347. doi: 10.1146/annurev.pharmtox.011008.145634. [DOI] [PubMed] [Google Scholar]
- Belham C, Wu S, Avruch J. Intracellular signaling: PDK1: a kinase at the hub of things. Curr Biol. 1999;9:R93–R96. doi: 10.1016/s0960-9822(99)80058-x. [DOI] [PubMed] [Google Scholar]
- Beom S, Cheong D, Torres G, Caron MG, Kim KN. Comparative studies of molecular mechanisms of dopamine D2 and D3 receptors for the activation of extracellular signal-regulated kinase. J Biol Chem. 2004;279:28304–28314. doi: 10.1074/jbc.M403899200. [DOI] [PubMed] [Google Scholar]
- Buttrick GJ, Beaumont LMA, Leitch J, Yau C, Hughes JR, Wakefield JG. Akt regulates centrosome migration and spindle orientation in the early Drosophila melanogaster embryo. J Cell Biol. 2008;180:537–548. doi: 10.1083/jcb.200705085. [DOI] [PMC free article] [PubMed] [Google Scholar]
- Castellino RC, Durden DL. Mechanisms of disease: the PI3K-Akt-PTEN signaling node-an intercept point for the control of angiogenesis in brain tumors. Nat Neurol. 2007;3:682–693. doi: 10.1038/ncpneuro0661. [DOI] [PubMed] [Google Scholar]
- Chen PP, Chen JC. Enhanced Cdk5 activity and p35 translocation in the ventral striatum of acute and chronic methamphetamine-treated rats. Neuropsychopharmacology. 2005;30:538–549. doi: 10.1038/sj.npp.1300604. [DOI] [PubMed] [Google Scholar]
- Chen JC, Su HJ, Huang LI, Hsieh MC. Reductions in binding and functions of D2 dopamine receptors in the rat ventral striatum during amphetamine sensitization. Life Sci. 1999;64:343–354. doi: 10.1016/s0024-3205(98)00570-0. [DOI] [PubMed] [Google Scholar]
- Chen S, Zhang X, Yang D, Du Y, Li L, Li X, Ming M, Le W. D2/D3 receptor agonist ropinirole protects dopaminergic cell line against rotenone-induced apoptosis through inhibition of caspase- and JNK-dependent pathways. FEBS Lett. 2008;582:603–610. doi: 10.1016/j.febslet.2008.01.028. [DOI] [PubMed] [Google Scholar]
- Conrad PW, Millhorn DE, Beitner-Johnson D. Novel regulation of p38γ by dopamine D2 receptor during hypoxia. Cell Signalling. 2000;12:463–467. doi: 10.1016/s0898-6568(00)00091-7. [DOI] [PubMed] [Google Scholar]
- Dal TR, Sommer B, Ewert M, Herb A, Pritchett DB, Bach A. The dopamine D2 receptor: two molecular forms generated by alternative splicing. EMBO J. 1989;8:4025–4034. doi: 10.1002/j.1460-2075.1989.tb08585.x. [DOI] [PMC free article] [PubMed] [Google Scholar]
- De Mei C, Ramos M, Litata C, Borrelli E. Getting specialized: presynaptic and postsynaptic dopamine D2 receptor. Curr Opin Pharmacol. 2009;9:53–58. doi: 10.1016/j.coph.2008.12.002. [DOI] [PMC free article] [PubMed] [Google Scholar]
- Iversen SD, Iversen LL. Dopamine: 50 years in perspective. Trends Neurosci. 2007;30:188–193. doi: 10.1016/j.tins.2007.03.002. [DOI] [PubMed] [Google Scholar]
- Jope RS. Lithium and GSK-3: one inhibitor, two inhibitory actions, multiple outcomes. Trends Pharmacol Sci. 2002;24:441–443. doi: 10.1016/S0165-6147(03)00206-2. [DOI] [PubMed] [Google Scholar]
- Karam CS, Ballon JS, Bivens NM, Freyberg Z, Girgis RR, Lizardi-Ortiz JE, Markx S, Lieberman JA, Javitch JA. Signaling pathways in schizophrenia: emerging targets and therapeutic strategies. Trends Pharmacol Sci. 2010;31:381–390. doi: 10.1016/j.tips.2010.05.004. [DOI] [PMC free article] [PubMed] [Google Scholar]
- Kihara T, Shimohama S, Sawada H, Honda K, Nakamizo T, Kanki R, Yamashita H, Akaike A. Protective effect of dopamine D2 agonists in cortical neurons via the phosphatidylinositol 3 kinase cascade. J Neurosci Res. 2002;70:274–282. doi: 10.1002/jnr.10426. [DOI] [PubMed] [Google Scholar]
- Kim SJ, Kim MY, Lee EJ, Ahn YS, Baik JH. Distinct regulation of internalization and mitogen-activated protein kinase activation by two isoform of the dopamine D2 receptor. Mol Endocrinol. 2004;18:640–652. doi: 10.1210/me.2003-0066. [DOI] [PubMed] [Google Scholar]
- La Cour CM, Salles MJ, Pasteau V, Millan MJ. Signaling pathways leading to phosphorylation of Akt and GSK-3β by activation of cloned human and rat cerebral D2 and D3 receptors. Mol Pharmacol. 2011;79:91–105. doi: 10.1124/mol.110.065409. [DOI] [PubMed] [Google Scholar]
- Lim JH, Kim KM, Kim SW, Huang O, Choi HJ. Bromocriptine activates NQO1 via Nrf2-PI3K/Akt signaling: novel cytoprotective mechanism against oxidative damage. Pharmacol Res. 2008;57:325–331. doi: 10.1016/j.phrs.2008.03.004. [DOI] [PubMed] [Google Scholar]
- Lindgren N, Usiello A, Goiny M, Haycock J, Erbs E, Greengard P, Hokfelt T, Borrelli E, Fisone G. Distinct roles of dopamine D2L and D2S receptor isoforms in the regulation of protein phosphorylation at presynaptic and postsynaptic sites. Proc Natl Acad Sci USA. 2003;100:4305–4309. doi: 10.1073/pnas.0730708100. [DOI] [PMC free article] [PubMed] [Google Scholar]
- Luo Y, Kokkonen GC, Wang X, Neve KA, Roth GS. D2 dopamine receptors stimulate mitogenesis through pertussis toxin-sensitive G proteins and Ras-involved ERK and SAP/JNK pathways in rat C6-D2L glioma cells. J Neurochem. 1998;71:980–990. doi: 10.1046/j.1471-4159.1998.71030980.x. [DOI] [PubMed] [Google Scholar]
- Martelli AM, Capitani S, Neri LM. The generation of lipid signaling molecules in the nucleus. Prog Lipid Res. 1999;38:273–308. doi: 10.1016/s0163-7827(99)00009-0. [DOI] [PubMed] [Google Scholar]
- Missale C, Nash SR, Robinson SW, Jaber M, Caron MG. Dopamine receptors: from structure to function. Physiol Rev. 1998;78:189–225. doi: 10.1152/physrev.1998.78.1.189. [DOI] [PubMed] [Google Scholar]
- Montmayeur JP, Bausero P, Amlaiky N, Maroteaux L, Hen R, Borrelli E. Differential expression of the mouse D2 dopamine receptor isoforms. FEBS Lett. 1991;278:239–243. doi: 10.1016/0014-5793(91)80125-m. [DOI] [PubMed] [Google Scholar]
- Nair VD, Olanow W. Differential modulation of Akt/glycogen synthase kinase-3β pathway regulates apoptotic and cytoprotective signaling responses. J Biol Chem. 2008;283:15469–15478. doi: 10.1074/jbc.M707238200. [DOI] [PMC free article] [PubMed] [Google Scholar]
- Nair VD, Olanow W, Sealfon SC. Activation of phosphoinositide 3-kinase by D2 receptor prevents apoptosis in dopaminergic cell lines. Biochem J. 2003;373:25–32. doi: 10.1042/BJ20030017. [DOI] [PMC free article] [PubMed] [Google Scholar]
- Nishi A, Snyder GL, Greengard P. Bidirectional regulation of DARPP-32 phosphorylation by dopamine. J Neurosci. 1997;17:8147–8155. doi: 10.1523/JNEUROSCI.17-21-08147.1997. [DOI] [PMC free article] [PubMed] [Google Scholar]
- Paxinos G, Watson C. The Rat Atlas in Stereotaxic Coordinates. Academic Press, San Diego. 1996 [Google Scholar]
- Pippig S, Andexinger S, Lohse MJ. Sequestration and recycling of β2-adrenergic receptors permit receptor resensitization. Mol Pharmacol. 1995;47:666–676. [PubMed] [Google Scholar]
- Pogorelov VM, Nomura J, Kim J, Kannan G, Ayhan Y, Yang C, Taniguchi Y, Abazyan B, Valentine H, Krasnova IN, Kamiya A, Lud Cadet J, Wong DF, Pletnikov MV. Mutant DISC1 affects methamphetamine-induced sensitization and conditioned place preference: a comorbidity model. Neuropharmacology. 2011;60:1–10. doi: 10.1016/j.neuropharm.2011.02.003. [DOI] [PMC free article] [PubMed] [Google Scholar]
- Quan W, Kim JH, Albert PR, Choi H, Kim KM. Roles of G protein and β-arrestin in dopamine D2 receptor-mediated ERK activation. Biochem Biophy Res Commun. 2008;377:705–709. doi: 10.1016/j.bbrc.2008.10.044. [DOI] [PubMed] [Google Scholar]
- Ray E, Samanta AK. Dansyl cadaverine regulates ligand induced endocytosis of interleukin-8 receptor in human polymorphonuclear neutrophils. FEBS Lett. 1996;378:235–239. doi: 10.1016/0014-5793(95)01462-4. [DOI] [PubMed] [Google Scholar]
- Schubert KM, Duronio V. Distinct roles for extracellular-signal-regulated protein kinase (ERK) mitogen-activated protein kinases and phosphatidylinositol 3-kinase in the regulation of Mcl-1 synthesis. Biochem J. 2001;356:473–480. doi: 10.1042/0264-6021:3560473. [DOI] [PMC free article] [PubMed] [Google Scholar]
- Tan S, Hermann B, Borrelli E. Dopaminergic mouse mutants: investigating the roles of the different dopamine receptor subtypes and the dopamine transporter. Int Rev Neurobiol. 2003;54:145–197. doi: 10.1016/s0074-7742(03)54005-3. [DOI] [PubMed] [Google Scholar]
- Wakefield JG, Stephens DJ, Tavaré JM. A role for glycogen synthase kinase-3 in mitotic spindle dynamics and chromosome alignment. J Cell Sci. 2003;116:637–646. doi: 10.1242/jcs.00273. [DOI] [PubMed] [Google Scholar]
- Wang R, Brattain MG. AKT can be activated in the nucleus. Cell Signalling. 2006;18:1722–1731. doi: 10.1016/j.cellsig.2006.01.020. [DOI] [PubMed] [Google Scholar]
- Wang C, Buck DC, Yang R, Macey TA, Neve KA. Dopamine D2 receptor stimulation of mitogen-activated protein kinases mediated by cell type-dependent transactivation of receptor tyrosine kinases. J Neurochem. 2005;93:899–909. doi: 10.1111/j.1471-4159.2005.03055.x. [DOI] [PubMed] [Google Scholar]
- Wang Y, Xu R, Sasaoka T, Tonegawa S, Kung MP, Sankoorkai EB. Dopamine D2 long receptor-deficient mice display alterations in striatum-dependent functions. J Neurosci. 2000;20:8305–8314. doi: 10.1523/JNEUROSCI.20-22-08305.2000. [DOI] [PMC free article] [PubMed] [Google Scholar]
- Welter M, Vallone D, Samad TA, Meziane H, Usiello A, Borrelli E. Absence of dopamine D2 receptors unmasks an inhibitory control over the brain circuitries activated by cocaine. Proc Natl Acad Sci USA. 2007;104:6840–6845. doi: 10.1073/pnas.0610790104. [DOI] [PMC free article] [PubMed] [Google Scholar]
- Woo CH, Kim TH, Choi JA, Ryu HC, Lee JE, You HJ, Bae YS, Kim JH. Inhibition of receptor internalization attenuates the TNFα-induced ROS generation in non-phagocytic cells. Biochem Biophys Res Commun. 2006;351:972–978. doi: 10.1016/j.bbrc.2006.10.154. [DOI] [PubMed] [Google Scholar]
Associated Data
This section collects any data citations, data availability statements, or supplementary materials included in this article.






