Abstract
The isodicentric Y (idic Y) chromosome is one of the most common aberrations of the human Y chromosome. Due to a structural instability during cell division, patients with idic Y may develop mosaic karyotypes with variable phenotypes. We present a rare case of a 25-year-old male with azoospermia and infertility. In this patient, an idic Yq was characterized by duplication of almost the entire Y chromosome in head-to-head fashion with breakpoints occurring at the distal Yp / Yp11.3 with sparing of both the AZF and SRY regions. We discuss the possible mechanisms of azoospermia in this patient and add to the limited evidence that exists regarding the importance of pseudoautosomal regions and meiotic sex chromosome pairing as part of normal spermatogenesis.
Keywords: Azoospermia, Chromosomal mosaicism, Isodicentric Y, AZF
Introduction
Idic Y chromosomes are one of the most commonly reported structural abnormalities of the Y chromosome [1]. These abnormal chromosomes consist of two identical arms that are positioned as mirror images to one another, with an axis of symmetry lying between two centromeres [2]. Due to the presence of two centromeres, these chromosomes are often unstable during cell division [3, 4]. As a result, chromosomal mosaicism is common and most patients have a 45,X cell line [1, 5]. The degree of mosaicism is highly variable and even differs amongst the distinctive cell lines within individuals [6, 7]. Phenotypically, these mosaic karyotypes are associated with a broad array of clinical features, including gonadal dysgenesis and Turner’s syndrome [1, 8]. Clinical phenotypes may be the result of dynamic interactions between the location of the breakpoints, as well as the proportion and tissue distribution of specific cell lines, most notably 45,X [9–11]. Importantly, idic Yp with breakpoints in the long arm of the Y chromosome may lead to deletion or rearrangement of critical azoospermia factor (AZF) regions [12]. The loss of these AZF regions results in varying degrees of spermatogenic failure, and is the proposed mechanism of infertility in idic Yp patients [6, 11].
It has recently been proposed by Lange et al. that idic Y is formed by homologous crossing-over between opposing arms on sister chromatids [13]. This process is initiated by a double-stranded breakpoint within one arm of the Y chromosome, followed by homologous repair using the opposing arm as a template [13]. As a result, idic Y’s are structurally dependent on their breakpoints. Idic Y’s with a breakpoint in the short arm (p) will have duplication of the entire long arm (q) and proximal short arm and are labeled idic Yq. On the other hand, idic Y’s with a breakpoint in the long arm, will have duplication of the entire short arm as well as the proximal long arm, and are labeled idic Yp [7].
We detail the case of a 25-year-old male with azoospermia discovered upon assessment of infertility to have spermatic maturation arrest in the presence of isodicentric Y chromosome mosaicism. Interestingly, the patient had idic(Y)(p11.3) which resulted in duplication of the entire long arm as well as almost the entire short arm of the Y chromosome, with preservation of AZF and SRY regions. The preservation of these regions, coupled with spermatic maturation arrest in a male with idic Yq, makes this case extremely unique. Moreover, we present a review of the alternative mechanisms for spermatogenic failure through pseudoautosomal regions and sex chromosome pairing in normal sperm production.
Case presentation
We present the case of a 25-year-old male referred to fertility clinic for primary infertility. A recent semen analysis had identified azoospermia with normal hormone markers. His partner was a healthy 23-year-old female whose medical investigations were normal.
A detailed history could not identify any infertility risk factors and there were no documented exposures to chemotherapy, radiation, smoking or excessive alcohol intake. The patient did not have any previous surgical procedures and his only medical condition was asthma for which he used the β-adrenergic receptor agonist Terbutaline.
On physical examination, the patient was short with sparse facial hair on his upper lip and chin. He had no growth on the rest of his face or neck despite last shaving seven days prior. There was modest hair growth on the lower half of his abdomen, and on his legs. The testicles were symmetrically small, measuring 15–20 cc using an orchidometer.
Given the possibility of the rare genetic syndrome Leri-Weill dyschondrosteosis, a careful physical examination of the forearms and lower limbs was conducted. No evidence of shortening or the presence of a Madelung’s deformity was identified. Furthermore, no evidence of deletion, inversion or other cytogenetic rearrangements at the SHOX locus (Xp22.3) or the distal Xp region were identified (data not shown) - suggesting mutations in the SHOX gene were unlikely to contribute to this patient’s condition.
Initial clinical assessment included a repeat semen analysis and hormones confirming azoospermia and normal hormone levels (Table 1). Previous investigations from the referring physician included Y chromosome microdeletion and CFTR tests. These returned with no mutations identified in the CFTR gene. Molecular analysis of the Y chromosome revealed no deletions in the SRY or AZF a/b/c regions.
Table 1.
Semen analysis and hormonal results
| Result obtained | Normal range | |
|---|---|---|
| Testosterone | 373 ng/dL | 270–1070 ng/dL |
| Estradiol | 83.4 pmol/L | 0–161 pmol/L |
| LH | 3.4 IU/L | 1.1–8.8 IU/L |
| FSH | 2.4 IU/L | 1.0–13.6 IU/L |
| PRL | 5.0 μg/L | 2.6–13.1 μg/L |
| TSH | 2.01 mIU/L | 0.4–4.0 mIU/L |
| Semen Volume | 1.8 mL | 1.5–5.5 mL |
| Sperm Count | 0 | >20 million/mL |
Given these apparently normal findings, coupled with the clinical presentation, cytogenetic investigations were ordered to complete the genetic evaluation of this patient. Cytogenetic analysis of blood lymphocytes was performed using G-banding, C-banding and fluorescence in situ hybridization (FISH). Metaphase FISH analysis was conducted using probes for X and Y centromeres (Cytocell) and SRY located at Yp11.31 (Vysis).
G- and C-banding analyses revealed an abnormal and mosaic male karyotype characterized by the presence of idic Yq with breakpoints at Yp11.3 (Fig. 1a and b). The metaphase FISH showed the idic Yq with two SRY signals (Fig. 1d) and two DYZ3 signals (Fig. 1c). The idic Yq was shown to have breakpoints distal to the SRY locus - likely in the distal Yp pseudoautosomal region. The idic Yq was thus a result of a duplication of the entire long arm as well as almost the entire short arm of the Y chromosome in a head-to-head fashion (Fig. 1). Analysis of 50 metaphase cells showed six different cell lines. One cell had a normal male karyotype 46, XY while nine cells had 45, X. 35 cells had a copy of the idic Yq and two cells had two copies of idic Yq. Three cells had 46 chromosomes with one X and a DYZ3 positive marker. The karyotype was interpreted as:
Mos 45,X[9]/46,X,mar.ish mar(DYZ3+)[3]
/46,X,idic(Y)(p11.3).ish idic(Y)(p11.3)(DYZ3++,SRY++)[33]
/47,XY + idic(Y)(p11.3).ish idic(Y)(p11.3)(DYZ3++,SRY++)[2]
/48, X, + idic(Y)(p11.3)x2.ish idic(Y)(p11.3)(DYZ3++,SRY++)[2]
/46,XY[1].
Fig. 1.
The idic(Y)(p11.3) chromosome. a G-banding identifies the idic Yq and duplication of the entire long arm and near complete short arm of the Y chromosome in a head-to-head fashion. b C-banding demonstrates a large C-positive heterochromatic region in both ends and two small C-positive centromeres in the middle region. c FISH identifies two central centromere probes (DYZ3; red). d FISH demonstrates two SRY probes (red)
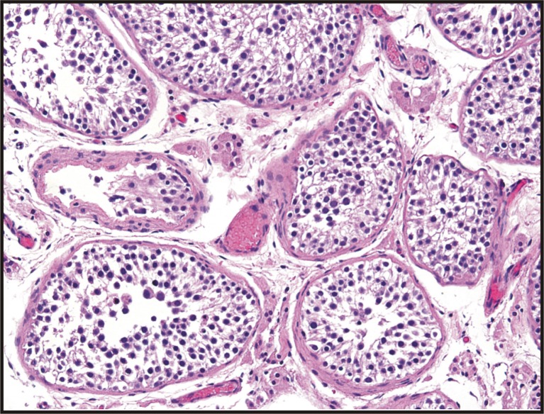
Finally, the patient was scheduled for a testicular biopsy to evaluate sperm production. The biopsy revealed spermatic maturation arrest at the level of the primary spermatocyte (Fig. 2). After discussing the genetic and pathologic results with the patient, he was counseled on the options of adoption and donor sperm for either IUI or IVF.
Fig. 2.
Hematoxylin and eosin stained testicular biopsy specimens demonstrating maturation arrest in a patient with isodicentric Yq mosaicism
Discussion
Isodicentric Y is a common aberration of the Y chromosome and most cases, as reported here, are found in a mosaic form [1, 5]. This mosaicism is caused by instability during cell division, as the two centromeres of the idic Y chromosome can be pulled to either side of the cell by mitotic spindles, forming a bridge during anaphase [14]. Commonly, this instability results in the formation of multiple cell lines to varying degrees, including a 45,X cell line in most cases [5]. In addition, this instability can lead to further rearrangement of the idic Y, with the formation of a marker chromosome, as in the case we presented here [7]. This is a rare occurrence that increases in frequency with greater distances between the two centromeres (intercentromeric distance) [7].
The phenotype of patients with idic Y is variable with azoospermia and small testicles being common in males [1, 8, 11]. The degree of spermatogenic failure in these patients can vary with some producing enough sperm for intracytoplasmic sperm injection [13, 15]. According to most studies, the sexual differentiation of patients most likely depends upon the distribution of the 45,X cell line, especially in the gonads, as well as the presence of SRY on the isodicentric chromosomes [1, 8, 11]. In this case, the distribution of the 45,X cell line was limited to only 9/50 cells (18 %). In addition, two copies of SRY were present in 37/50 cells (74 %). The male phenotype in our patient might be a result therefore of the relative absence of the 45,X cell line in the testes, with an abundance of SRY containing cells.
Current literature regarding male infertility has stressed the importance of the azoospermia factor (AZF) regions in spermatogenesis [12, 16]. At least 16 gene products important for spermatogenesis have been discovered in the AZF region, and deletions in these regions are known to cause varying degrees of male factor infertility [16, 17]. While azoospermia is common in males with isodicentric Y chromosome, our understanding of the cause of spermatogenic failure is clear only for those idic Yp patients with breakpoints that occur along the Yq and typically result in AZF deletion and/or recombination [12, 13]. Thus, loss of critical AZF genes provides the current rationale for spermatogenic failure in the majority of these idic Yp males.
However, in the case of idic Yq presented here, the breakpoints occur at distal Yp / Yp11.3, sparing both the AZF and SRY regions. In fact, 70 % of the patient’s cells had idic Yq chromosomes with duplicated AZF regions. In 4 % of cells, there were two idic Yq leading to 4 copies of the AZF regions. The presence of 1 to 3 extra copies of AZF regions in our patient may be a contributing factor for spermatogenic failure, irrespective of AZF deletions.
It is possible to speculate that in patients with idic(Y)(p11.3), loss of the pseudoautosomal region 1 (PAR1) located at the distal Yp may be the cause of spermatic maturation arrest. Indeed, Lange et al. previously hypothesized that disturbance in the pseudoautosomal regions may disrupt pairing of the sex chromosomes during meiosis [13]. Indeed, this might explain spermatogenic failure in some males despite having a full complement of male-specific region genes [13]. To date, few cases have been documented that lend support to this hypothesis. In one report, Mohandas et al. described an azoospermic patient with deletion of the pseudoautosomal region of distal Xp [18]. Meiotic studies revealed failure of X-Y pairing in this patient, and spermatogenic arrest between meiosis I and II [18]. In another study by Gabriel-Robez et al., loss of the pseudoautosomal regions on the X chromosome were seen in two patients with X;Y translocation, with subsequent failure of sex chromosome pairing and spermatic maturation arrest [19].
Other reports have examined the relative importance of unpaired chromosome regions during meiosis as a cause of gametogenic failure [15, 20]. Unpaired chromosome regions are seen in a wide range of genetic anomalies, including: XYY, XO, and isodicentric Y mosaic genotypes [20]. In these situations, the whole or part of the X chromosome remains unpaired during meiosis, and therefore fails to become inactivated in the meiotic prophase [15]. As X inactivation is necessary for normal spermatogenesis, failed inactivation as a result of incomplete chromosomal pairing may be a cause of maturation arrest and azoospermia [15].
In this report, we highlight one of the rare cases providing evidence for the importance of meiotic X-Y pairing in spermatogenesis, a concept that is currently incompletely understood. In our patient, the deletion of the distal Yp and the PAR1 might have led to unpairing between the idic Y and X chromosome regions and consequently, spermatic maturation arrest. What still remains unclear, however, is the relative importance of PAR deletions in comparison to cell lines with an unpaired X chromosome (ex. 45,X) as a cause for spermatogenic failure. Since patients with isodicentric Y mosaicism can have varying degrees of spermatogenesis, further studies that address this may serve to guide patient counseling and fertility decisions.
Acknowledgements
The authors would like to thank Steve Tomasic from the Department of Pathology (McMcaster University, Juravinski Cancer Centre, Hamilton, Ontario), for his assistance in preparing the images for publication.
Grant Support
None
Financial Disclosure
None
Glossary
- idic Y
Isodicentric Y
- LH
Luteinizing Hormone
- FSH
Follicle Stimulating hormone
- PRL
Prolactin
- TSH
Thyroid Stimulating Hormonet
Footnotes
Capsule Maturation arrest in the presence of isodicentic Y chromosome mosaicism.
Contributor Information
Jason R. Kovac, Phone: +1-905-5221155, Email: Kovacj4@mcmaster.ca
Marc Anthony Fischer, Email: mfische@mcmaster.ca.
References
- 1.Hsu LY. Phenotype/karyotype correlations of Y chromosome aneuploidy with emphasis on structural aberrations in postnatally diagnosed cases. Am J Med Genet. 1994;53:108. doi: 10.1002/ajmg.1320530204. [DOI] [PubMed] [Google Scholar]
- 2.Fong MH (ed). Medical cytogenetics. 1st ed. CRC Press; 2000. p. 728.
- 3.Daniel A, Lyons N, Casey JH, et al. Two dicentric Y isochromosomes, one without and the Yqh heterochromatic segment: review of the Y isochromosomes. Hum Genet. 1980;54:31. doi: 10.1007/BF00279046. [DOI] [PubMed] [Google Scholar]
- 4.Buchanan PD, Wyandt HE, D’Ercole AJ, et al. A mitotically unstable human dicentric Y chromosome in a male pseudohermaphrodite. Cytogenet Cell Genet. 1976;17:42. doi: 10.1159/000130686. [DOI] [PubMed] [Google Scholar]
- 5.Tuck-Muller CM, Chen H, Martinez JE, et al. Isodicentric Y chromosome: cytogenetic, molecular and clinical studies and review of the literature. Hum Genet. 1995;96:119. doi: 10.1007/BF00214200. [DOI] [PubMed] [Google Scholar]
- 6.Faure AK, Aknin-Seifer I, Satre V, et al. Fine mapping of re-arranged Y chromosome in three infertile patients with non-obstructive azoospermia/cryptozoospermia. Hum Reprod. 2007;22:1854. doi: 10.1093/humrep/dem127. [DOI] [PubMed] [Google Scholar]
- 7.Bergeron MB, Brochu P, Lemyre E, et al. Correlation of intercentromeric distance, mosaicism, and sexual phenotype: molecular localization of breakpoints in isodicentric Y chromosomes. Am J Med Genet A. 2011;155A:2705. doi: 10.1002/ajmg.a.34260. [DOI] [PubMed] [Google Scholar]
- 8.Alvarez-Nava F, Soto M, Martinez MC, et al. FISH and PCR analyses in three patients with 45, X/46, X, idic(Y) karyotype: clinical and pathologic spectrum. Ann Genet. 2003;46:443. doi: 10.1016/S0003-3995(03)00016-9. [DOI] [PubMed] [Google Scholar]
- 9.Xu J, Siu VM. Is there a correlation between the proportion of cells with isodicentric Yp at amniocentesis and phenotypic sex? Prenat Diagn. 2010;30:839. doi: 10.1002/pd.2565. [DOI] [PubMed] [Google Scholar]
- 10.Guedes AD, Bianco B, Lipay MV, et al. Determination of the sexual phenotype in a child with 45, X/46, X, Idic(Yp) mosaicism: importance of the relative proportion of the 45, X line in gonadal tissue. Am J Med Genet A. 2006;140A:1871. doi: 10.1002/ajmg.a.31363. [DOI] [PubMed] [Google Scholar]
- 11.DesGroseilliers M, Beaulieu Bergeron M, Brochu P, et al. Phenotypic variability in isodicentric Y patients: study of nine cases. Clin Genet. 2006;70:145. doi: 10.1111/j.1399-0004.2006.00654.x. [DOI] [PubMed] [Google Scholar]
- 12.Vogt PH, Edelmann A, Hirschmann P, et al. The azoospermia factor (AZF) of the human Y chromosome in Yq11: function and analysis in spermatogenesis. Reprod Fertil Dev. 1995;7:685. doi: 10.1071/RD9950685. [DOI] [PubMed] [Google Scholar]
- 13.Lange J, Skaletsky H, Daalen SK, et al. Isodicentric Y chromosomes and sex disorders as byproducts of homologous recombination that maintains palindromes. Cell. 2009;138:855. doi: 10.1016/j.cell.2009.07.042. [DOI] [PMC free article] [PubMed] [Google Scholar]
- 14.Cohen MM, MacGillivray MH, Capraro VJ, et al. Human dicentric Y chromosomes. Case report and review of the literature. J Med Genet. 1973;10:74. doi: 10.1136/jmg.10.1.74. [DOI] [PMC free article] [PubMed] [Google Scholar]
- 15.Antonelli A, Marcucci L, Elli R, et al. Semen quality in men with Y chromosome aberrations. Int J Androl. 2011;34:453. doi: 10.1111/j.1365-2605.2010.01108.x. [DOI] [PubMed] [Google Scholar]
- 16.Poongothai J, Gopenath TS, Manonayaki S. Genetics of human male infertility. Singapore Med J. 2009;50:336. [PubMed] [Google Scholar]
- 17.Li Z, Haines CJ, Han Y. “Micro-deletions” of the human Y chromosome and their relationship with male infertility. J Genet Genomics. 2008;35:193. doi: 10.1016/S1673-8527(08)60027-2. [DOI] [PubMed] [Google Scholar]
- 18.Mohandas TK, Speed RM, Passage MB, et al. Role of the pseudoautosomal region in sex-chromosome pairing during male meiosis: meiotic studies in a man with a deletion of distal Xp. Am J Hum Genet. 1992;51:526. [PMC free article] [PubMed] [Google Scholar]
- 19.Gabriel-Robez O, Rumpler Y, Ratomponirina C, et al. Deletion of the pseudoautosomal region and lack of sex-chromosome pairing at pachytene in two infertile men carrying an X;Y translocation. Cytogenet Cell Genet. 1990;54:38. doi: 10.1159/000132951. [DOI] [PubMed] [Google Scholar]
- 20.Burgoyne PS, Baker TG. Meiotic pairing and gametogenic failure. Symp Soc Exp Biol. 1984;38:349. [PubMed] [Google Scholar]


