Sir,
A 23-year-old unmarried female presented with hyperpigmentation and increased skin folds on her neck since 7 years. There were no similar lesions at other sites, including axillae, groins, or abdomen. The lesions started at puberty and gradually became more numerous and prominent. No progressive dimness of vision or hypertension was present. There was no similar history in family members.
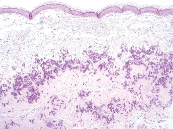
Dermatological examinations revealed lax skin and multiple yellowish colored papules, which coalesced to give a ‘plucked chicken skin’ appearance [Figure 1]. No other sites were involved. Skin biopsy of samples from the neck revealed fragmentation and calcification of the connective tissue fibers in the middle and lower third of the dermis, with H and E stain [Figure 2]. Von-Verhoeff-Van Gieson stain confirmed the diagnosis. No angioid streaks of the retina were seen. Gastroenteroscopy, 2D echo and chest X-ray revealed no abnormality.
Figure 1.

Increased laxity of skin
Figure 2.

Biopsy showing fragmentation of collagen fibers in middle and lower third of dermis
In view of the clinical manifestations and pathological findings, a final diagnosis of pseudoxanthoma elasticum was made.
Various surgical options were considered such as a pre auricular incision and neck lift but it was felt that it would fail to give cosmetically favorable results; SMAS plication and submental platysmaplasty was deemed not necessary as the main problem was skin laxity; hence, cervical rhytidectomy was planned.[1] A 12-cm strip of skin was excised along the skin folds. Closure was done with 3-0 vicryl rapid with subcuticular sutures [Figure 3]. No post operative complications were seen on follow up. At 8 months follow-up post-operatively, a decrease in skin laxity and wrinkling was seen [Figure 4]. The patient is now on regular follow-up and very satisfied with the post-operative results.
Figure 3.

Immediately post-op after excision
Figure 4.

Decrease in skin laxity and wrinkling after 8 months
PXE is a genetic disorder primarily affecting the skin, eyes and cardiovascular system, resulting from the accumulation of morphologically abnormal and mineralized elastic fibers in these tissues. The skin changes are often detected during childhood or adolescence and progress slowly and unpredictably during adulthood. The accumulation of abnormal calcified elastic fibers in the mid-dermis produces typical skin lesions, which consist of yellowish papules and plaques, and laxity with loss of elasticity. These lesions are primarily seen on the neck, axilla, antecubital fossa, groin, and periumbilical areas.[2,3]
Associations with Marfan's syndrome, scleroderma, and perforating elastosis have been reported. Hypercalcaemia, hyperphosphataemia, and abnormal metabolism of vitamin D are also associated biochemical abnormalities. Diagnosis depends on clinical and histopathological features. Management is mostly preventive, reducing cardiac risk factors, taking care of ophthalmic and cardiovascular complications, screening of first degree relatives by ophthalmoscopy, and genetic counseling. Surgical correction is rarely attempted because of the risk of complications like increased keloid formation,[4] extrusion of calcium particles from suture site,[4] skin fragility, poor wound healing, and wound dehiscence.[1] However, cervical rhytidectomy is an easy and cosmetically acceptable option, which gives good aesthetic outcome in long term follow-up, in psuedoxanthoma elasticum patients.[4]
We report this case to highlight the benefits of surgical correction in psuedoxanthoma patients for achieving a cosmetically acceptable result.
REFERENCES
- 1.Ng ABY, O’Sullivan ST, Sharpe DT. Plastic surgery and pseudoxanthoma elasticum. Br J Plast Surg. 1999;52:594–6. doi: 10.1054/bjps.1999.3139. [DOI] [PubMed] [Google Scholar]
- 2.Neldner KH. Pseudoxanthoma elasticum. Clin Dermatol. 1988;6:1–159. doi: 10.1016/0738-081x(88)90003-x. [DOI] [PubMed] [Google Scholar]
- 3.Uitto J, Shamban A. Heritable skin diseases with molecular defects in collagen or elastin. Dermatol Clin. 1987;5:63–84. [PubMed] [Google Scholar]
- 4.Viljoen DL, Bloch C, Beighton P. Plastic surgery in pseudoxanthoma elasticum: Experience in nine patients. Plast Reconstr Surg. 1990;85:233–8. doi: 10.1097/00006534-199002000-00011. [DOI] [PubMed] [Google Scholar]
