Abstract
Among the diverse presentations of neurobrucellosis, solitary intracranial mass lesions are extremely rare. To the best of our knowledge, we describe here the second case of neurobrucellosis mimicking a cerebral tumor caused by Brucella melitensis. The mass lesion was clinically and radiologically indistinguishable from a brain tumor. The diagnosis was established by isolating Brucella melitensis in a blood culture and a positive Wright’s agglutination test on the cerebrospinal fluid at 1:320 titers. Paraffin sections of the cerebral mass showed nongranulomatous encephalitis. We suggest that patients with an isolated intraparenchymal mass lesion with nongranulomatous encephalitis should also be studied for brucellosis in endemic areas.
Keywords: Neurobrucellosis, Nongranulomatous encephalitis and cerebral mass
Introduction
Brucellosis is a zoonotic disease caused by intracellular gram-negative bacteria of the Brucella genus. It is endemic in many countries, including Turkey [1–3]. Brucella melitensis is known to be the most common etiological agent of human brucellosis in Turkey [4]. Neurobrucellosis is a rare, severe form of systemic infection with a broad range of clinical syndromes [3]. The broad spectrum of clinical involvement and nonspecific signs and symptoms may interfere with an early diagnosis of this disease [1]. Among its varied presentations, solitary intracranial masses are very uncommon in adults [1, 3]. We present a rare case of neurobrucellosis with an isolated brain mass, mimicking a cerebral tumor in which the specific diagnosis was made via bacterial isolation in the blood and seroagglutination in the cerebrospinal fluid (CSF).
Case report
A 20-year-old woman presented with left arm and leg numbness and weakness for 1 month. One week before admission, the symptoms had become particularly severe; they had been accompanied by a mild headache. The patient had a history of previous brucellosis. The diagnosis of brucellosis was first made 4 months previously. At that time, she was treated with rifampicin 600 mg/day and doxycycline 200 mg/day for 45 days. She had remained free of symptoms until 1 month previously.
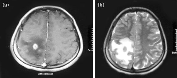
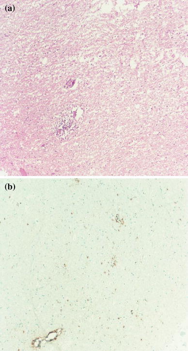
Upon examination, the patient was afebrile, and neurological examination showed left hemiparesis. Routine laboratory analyses indicated only leukocytosis (19,500/mm3). The differential blood count indicated 85.6% neutrophils and 4.8% lymphocytes. The C-reactive protein (CRP) value (40 mg/dl) and sedimentation rate (38 mm/h) were elevated. An initial serological titer for Brucella was positive at 1:640 via Wright’s agglutination test. Then, blood cultures were sent for Brucella. Magnetic resonance imaging (MRI) showed a 1.5 × 1.5 cm enhancing nodular lesion with moderate surrounding edema in the right parietal lobe (Fig. 1). These findings suggested a cerebral tumor. The patient underwent a right parietal craniotomy with the total excision of the neoplasm. The final examination of the pathological specimens showed a nongranulomatous encephalitis that consisted of diffuse lymphocytic infiltrates and perivascular lymphocytic cuffing (Fig. 2). The stains for mycobacteria, bacteria, fungi, and spirochetes were negative. These observations led us to investigate the etiology of encephalitis. Then, a lumbar puncture was performed. Examination of the CSF showed no pleocytosis, a protein concentration of 48 mg/dl, and a glucose level of 52 mg/dl. CSF samples were sent for Gram and Ziehl-Neelsen staining and bacterial, mycobacterial, and fungal cultures. Polymerase chain reaction (PCR) testing for Mycobacterium tuberculosis was performed as well. All results, as well as those of the CSF serologies for cytomegalovirus (CMV), Epstein–Barr virus (EBV), herpes simplex virus type 1 and 2 (HSV-1 and HSV-2), rubella, and toxoplasmosis, were negative. Serum serologies for human immunodeficiency virus, serum hepatitis C, CMV, EBV, HSV-1 and HSV-2, rubella, Borrelia burgdorferi, toxoplasmosis, and syphilis, except for serum hepatitis B, were negative. Wright’s agglutination test in the CSF was positive at 1:320 titers. Eventually, Brucella melitensis was isolated in the blood culture. Based on these findings, the patient was diagnosed with neurobrucellosis, presenting as nongranulomatous encephalitis. Therapy with rifampin (600 mg/day), trimethoprim–sulfamethoxazole (640–3,200 mg/day), and ceftriaxone (2 g/day) was started and continued for 3 weeks. Thereafter, therapy with rifampin (600 mg/day) and trimethoprim–sulfamethoxazole (640–3,200 mg/day) was maintained, but ceftriaxone was replaced with doxycycline (200 mg/day), and the new antimicrobial combination was planned to be continued for 6 months. On hospital day 14, the patient’s symptoms had apparently subsided. During the next 6 months, the patient will be followed up closely with serological, microbiological, and MRI imaging assays until complete recovery.
Fig. 1.

a Axial T1-weighted gadolinium-enhanced image shows a strongly enhancing 1.5 × 1.5 cm nodule in the right parietal cortex surrounded by vasogenic edema. b Axial T2-weighted image demonstrates vasogenic edema surrounding a low-signal central nodule
Fig. 2.

Nongranulomatous encephalitis. a Hematoxylin and eosin (H&E)-stained brain section shows scattered lymphocytic infiltrates and perivascular lymphocytic cuffing. b Brain section stained for leukocyte common antigen demonstrates perivascular lymphocytic cuffing
Discussion
Brucellosis is still a significant health problem in many parts of the world, especially in the Mediterranean and Middle East regions [5]. Its incidence is increasing in Turkey [6]. Brucella melitensis infection is endemic in certain areas of Turkey, such as the eastern and southeastern Anatolia regions [2]. Our case also had an etiological agent of infection, called B. melitensis, and said patient had lived in the southeastern Anatolia region of Turkey.
Central nervous system (CNS) involvement in brucellosis or neurobrucellosis is rare [5]. Because of its nonspecific manifestations and broad spectrum of clinical syndromes, neurobrucellosis may occasionally be overlooked [1]. Brucella exhibits a great affinity for the meninges [5]. Therefore, the most frequent clinical syndromes associated with neurobrucellosis are meningitis or meningoencephalitis. Mass lesions in the brain are extremely uncommon and can be documented radiologically and pathologically [3]. In the present study, we encountered Brucella encephalitis, presenting as a solitary brain mass, mimicking a cerebral tumor, but there was no meningeal inflammation. To date, neurobrucellosis with a solitary intracranial mass mimicking a cerebral tumor has been documented in only two adult patients [1, 3]. In only one of these cases was the definitive diagnosis of neurobrucellosis made via bacterial isolation; Brucella melitensis was cultured in postoperative brain tissue specimens [3]. Our patient is the second case of neurobrucellosis to be misdiagnosed as a brain tumor before the identification of encephalitis caused by Brucella melitensis. We isolated B. melitensis in the blood culture in our case.
The differential diagnosis of a mass-occupying lesion with enhancement after the administration of a contrast agent is a brain tumor or abscesses [7]. In our patient, MRI imaging revealed an enhanced lesion with vasogenic edema in the right parietal lobe, interpreted as a cerebral tumor.
In this case, the diagnosis of nongranulomatous encephalitis was made after a neurosurgical cerebral biopsy. The other adult patients with neurobrucellosis mimicking a brain tumor showed the histopathological findings of marked granulomatous encephalitis in previous studies [1, 3]. Nongranulomatous encephalitis was reported only in a child with focal cerebral involvement from neurobrucellosis [5].
Despite optimal antimicrobial treatment, brucellosis presents as an infectious disease with a tendency to progress to a chronic state, accompanied by relapses. As per pathogenesis of neurobrucellosis, because of direct invasion of bacteria through the CNS during the acute bacterial period or the capability of Brucella bacteria to survive for prolonged durations in phagocytes, it may develop after a long time following a disturbance in host immunity. Noncompliance to treatment is another important factor that increases the risk of chronicity [8, 9].
Viruses are the most common cause of acute or subacute encephalitis. The other potentially treatable conditions that may mimic viral encephalitis are abscesses, subdural empyema (bacterial, listerial, fungal, mycoplasmal), tuberculosis, toxoplasmosis, tumor, systemic lupus erythematosus, toxic encephalopathy, vascular disease, fungal infections (mucormycosis), Rickettsia, and Cryptococcus [10]. Remarkably, here, we also observed neurobrucellosis as another condition, mimicking viral encephalitis.
The specific diagnosis of neurobrucellosis is based on seroagglutination (positive Wright’s agglutination or Coombs’ test at ≥1:160 titers) in the CSF and blood and CSF cultures (positive in <15% of the cases), which have relatively low sensitivities [11]. Because isolation of the organism in the CSF and serum is rarely possible, the diagnosis is usually made by seroagglutination in the CSF. Positive blood culture is crucial as a definitive diagnostic tool. Furthermore, the culture of surgical or biopsy specimens may reveal a localized infection caused by Brucella species, such as neurobrucellosis [3, 12].
Brucellosis requires high suspicion to dismiss the diagnosis in endemic areas [13]. In our case, the definitive diagnosis of neurobrucellosis was established by isolating Brucella melitensis in the blood culture and a positive Wright’s agglutination test in the CSF at 1:320 titers.
Brucella-related cerebral masses can be treated medically, reducing the potential long-term neurological complications of resection [3]. In our case, we unexpectedly found neurobrucellosis as the cause of a solitary intracranial mass lesion. Therefore, our patient underwent a mass resection before medical therapy.
In conclusion, despite its rareness, it is crucial that neurobrucellosis be considered in the context of a solitary intracranial mass lesion in the differential diagnosis of cerebral tumors, particularly in endemic areas. Hence, patients having these lesions, with either granulomatous or nongranulomatous encephalitis, should be studied for Brucella with blood and CSF cultures and serological tests in the serum and CSF.
Contributor Information
Mehtap Erdem, Email: yesimcan_1978@hotmail.com.
Mustafa Namiduru, Phone: +90-5327948877, FAX: +90-3423603928, Email: mustafanamiduru@gmail.com.
Ilkay Karaoglan, Email: ilkaykaraoglan10@hotmail.com.
Vuslat Bosnak Kecik, Email: vbosnak@hotmail.com.
Abdullah Aydin, Email: aydin@gantep.edu.tr.
Mustafa Tanriverdi, Email: tanriverdi@gantep.edu.tr.
References
- 1.Miguel PS, Fernández G, Vasallo FJ, Hortas M, Lorenzo JR, Rodríguez I, et al. Neurobrucellosis mimicking cerebral tumor: case report and literature review. Clin Neurol Neurosurg. 2006;108:404–406. doi: 10.1016/j.clineuro.2004.12.015. [DOI] [PubMed] [Google Scholar]
- 2.Akdeniz H, Irmak H, Anlar O, Demiroz AP. Central nervous system brucellosis: presentation, diagnosis and treatment. J Infect. 1998;36:297–301. doi: 10.1016/S0163-4453(98)94279-7. [DOI] [PubMed] [Google Scholar]
- 3.Sohn AH, Probert WS, Glaser CA, Gupta N, Bollen AW, Wong JD, et al. Human neurobrucellosis with intracerebral granuloma caused by a marine mammal Brucella spp. Emerg Infect Dis. 2003;9:485–488. doi: 10.3201/eid0904.020576. [DOI] [PMC free article] [PubMed] [Google Scholar]
- 4.Refai M. Incidence and control of brucellosis in the Near East region. Vet Microbiol. 2002;90:81–110. doi: 10.1016/S0378-1135(02)00248-1. [DOI] [PubMed] [Google Scholar]
- 5.Martínez-Chamorro E, Muńoz A, Esparza J, Muńoz MJ, Giangaspro E. Focal cerebral involvement by neurobrucellosis: pathological and MRI findings. Eur J Radiol. 2002;43:28–30. doi: 10.1016/S0720-048X(01)00390-4. [DOI] [PubMed] [Google Scholar]
- 6.Sengoz Inan A, Ceran N, Erdem I, Engin DO, Senbayrak S, Ozyurek SC. Neurobrucellosis with transient ischemic attack, vasculopathic changes, intracerebral granulomas and basal ganglia infarction: case report. J Med Case Rep. 2010;340:1–5. doi: 10.1186/1752-1947-4-340. [DOI] [PMC free article] [PubMed] [Google Scholar]
- 7.Siddiqui AA, Bashir SH, Ali Shah A, Sajjad Z, Ahmed N, Jooma R, et al. Diagnostic MRI imaging feature of craniocerebral aspergillosis of sino-nasal origin in immunocompetent patients. Acta Neurochir. 2006;148:155–166. doi: 10.1007/s00701-005-0659-3. [DOI] [PubMed] [Google Scholar]
- 8.al Deep SM, Yaqub BA, Sharif HS, Phadke JK. Neurobrucellosis: clinical characteristics, diagnosis and outcome. Neurology. 1989;39:498–501. doi: 10.1212/WNL.39.4.498. [DOI] [PubMed] [Google Scholar]
- 9.Shakir RA, Al-Din AS, Araj GF, Lulu AR, Mausa AR, Saadah MA. Clinical catagories of neurobrucellosis: a report 19 cases. Brain. 1987;110:213–223. doi: 10.1093/brain/110.1.213. [DOI] [PubMed] [Google Scholar]
- 10.Whitley RJ, Gnann JW. Viral encephalitis: familiar infections and emerging pathogens. Lancet. 2002;359:507–514. doi: 10.1016/S0140-6736(02)07681-X. [DOI] [PubMed] [Google Scholar]
- 11.Young FJ. Brucella species. In: Mandel GL, Bennett JE, Dolin R, editors. Principles and practice of infectious diseases, 6th edn. Philadelphia: Churchill Livingstone; 2005. pp. 2669–2674. [Google Scholar]
- 12.Daglioglu E, Bayazit N, Okay O, Dalgic A, Hatipoglu HG, Ergungor F. Lumbar epidural abscess caused by Brucella species: report of two cases. Neurocirugia. 2009;20:159–162. doi: 10.1016/s1130-1473(09)70183-6. [DOI] [PubMed] [Google Scholar]
- 13.Pina MA, Modrego PJ, Uroz JJ, Cobeta JC, Lerin FJ, Baiges JJ. Brucellar spinal epidural abscess of cervical location: report of four cases. Eur Neurol. 2001;45:249–253. doi: 10.1159/000052137. [DOI] [PubMed] [Google Scholar]
