Abstract
The association of occipital encephalocele, cleft palate, postaxial polydactyly, polycystic kidneys, and hepatic cysts is well known as Meckel–Gruber syndrome (MGS). Nowadays, the diagnosis of MGS is usually performed prenatally by ultrasound findings. MGS was previously described following in vitro fertilization. We report a case of MGS diagnosed at 17 weeks in a pregnancy obtained with intra-cytoplasmic sperm injection (ICSI).
KEY WORDS: ICSI, Meckel–Gruber syndrome, prenatal diagnosis.
CASE REPORT
A 34-year-old primigravida was referred for a routine scan at 17 weeks of gestation. The pregnancy was singleton following intra-cytoplasmic sperm injection (ICSI) for female factor. Before ART the couple underwent careful history check for genetic diseases, chromosomal analysis, and cystic fibrosis mutations screen as routine in Italy. Parents were non-consanguineous and originated from different Italian regions. Sonographic examination revealed severe anhydramnios, multicystic kidneys, and occipital encephalocele (Fig. 1). After extensive counseling, the patient opted for pregnancy termination. Postmortem examination confirmed occipital encephalocele, postaxial polydactyly, hepatic cysts, and multicystic kidneys (Fig. 2). The kidneys were occupied by numerous cysts that were lined with single-layered cuboidal epithelium (Fig. 3).
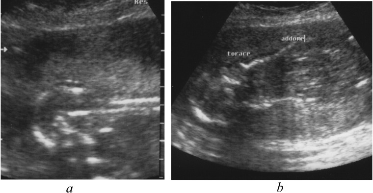
Fig. 1.
Prenatal ultrasound showing occipital encephalocele (a) and enlarged kidneys (b).
Fig. 2.
Postmortem evaluation showing total body view (a), hand polydactyly (b and c), foot polydactyly (d), cleft palate (e), liver cyst (f), and occipital encephalocele (g).
Fig. 3.
Macroscopic view of kidney (a) and microscopic view of single layered cuboidal epithelium of renal cysts (b).
DISCUSSION
The association of occipital encephalocele, cleft palate, postaxial polydactyly, polycystic kidneys, and hepatic cysts is well known as Meckel–Gruber syndrome (MGS) (1,2). MGS is transmitted through autosomal recessive inheritance with a reported incidence of one in 13,000–400,000 (3). The condition is genetically heterogenous, and several loci for MGS syndrome have been mapped on 17q, 11q, and 8q (4). MGS often results in neonatal death, and is usually diagnosed prenatally during the second trimester by ultrasound (5,6). Our case demonstrated typical sonographic findings of MGS, including the occipital encephalocele, multicystic kidneys, and polydactyly. Non-consaguineity and the negative family history did not classify the couple as at high risk for genetic diseases at the time of ultrasound evaluation.
Recent studies suggested that pregnancies obtained following ART may have an increased rate of major malformations (7). It is speculated that this increased risk may be due to parental factors causing the infertility, which has led to ICSI in the first place (7). Furthermore, it was recently reported that IVF and intracytoplasmic sperm injection (ICSI) are associated with imprinting disorders in the offspring (8,9). Only one case of MGS in a twin pregnancy deriving from IVF is reported (10). No previous data are reported on an increased risk of autosomal recessive conditions following ART. However, the occurrence of MGS in non-consanguineous couples is uncommon (11). Therefore, even if the condition in our case is likely to be sporadic, epidemiologic surveillance of cases of MGS and other rare autosomal recessive syndromes in ART pregnancies would probably be appropriate.
REFERENCES
- 1.Meckel JF. Beschreibund zweier, durch sehr aenliche Bildunsabweichungen entstelleter Geschwister. Dtsch Arch Physiol. 1822;7:99–172. [Google Scholar]
- 2.Gruber GB. Beitrege zur Frage gekoppelter? Missbildungen. (Akrocephalo-Syndactylie und Dyssencephalia splanchnocystica) Beitr Path Anat. 1934;93:459–476. [Google Scholar]
- 3.Lurie IW, Prytkov AN, Meldere LV. Meckel syndrome in different populations. Am J Med Genet. 1984;18:661–669. doi: 10.1002/ajmg.1320180413. [DOI] [PubMed] [Google Scholar]
- 4.Paavola P, Salonen R, Baumer A, Schinzel A, Boyd PA, Gould S, Meusburger H, Tenconi R, Barnicoat A, Winter R, Peltonen L. Clinical and genetic heterogeneity in Meckel syndrome. Hum Genet. 1997;101:88–92. doi: 10.1007/s004390050592. [DOI] [PubMed] [Google Scholar]
- 5.Schmidt W, Kubli F. Early diagnosis of severe congenital malformations by ultrasonography. J Perinat Med. 1982;10:233–241. doi: 10.1515/jpme.1982.10.5.233. [DOI] [PubMed] [Google Scholar]
- 6.Nyberg DA, Hallesy D, Mahony BS, Hirsh JH, Luthy DA, Hickok D. Meckel–Gruber syndrome. Importance of prenatal diagnosis. J Ultrasound Med. 1990;9:691–696. doi: 10.7863/jum.1990.9.12.691. [DOI] [PubMed] [Google Scholar]
- 7.Ludwig M, Katalinic A. Malformation rate in fetuses and children conceived after ICSI: Results of a prospective cohort study. Reprod Biomed Online. 2002;5:171–178. doi: 10.1016/S1472-6483(10)61621-5. [DOI] [PubMed] [Google Scholar]
- 8.Maher ER, Afnan M, Barratt CL. Epigenetic risks related to assisted reproductive technologies: Epigenetics, imprinting, ART and icebergs. Hum Reprod. 2003;18:2508–2511. doi: 10.1093/humrep/deg486. [DOI] [PubMed] [Google Scholar]
- 9.Shiota K, Yamada S. Assisted reproductive technologies and birth defects. Congenit Anom (Kyoto) 2005;45:39–43. doi: 10.1111/j.1741-4520.2005.00061.x. [DOI] [PubMed] [Google Scholar]
- 10.Shozu M, Akimoto K, Tanaka J, Sonoda Y, Inoue M, Michikura Y. Antenatal detection of Meckel–Gruber syndrome in only one dyzygotic twin following in vitro fertilization and embryo transfer. Gynecol Obstet Invest. 1997;43:142–144. doi: 10.1159/000291841. [DOI] [PubMed] [Google Scholar]
- 11.de Silva MV, Senayake H, Siriwardana KD. Meckel Gruber syndrome: Occurrence in non-consanguineous marriages. Ceylon Med J. 2004;49:30–31. doi: 10.4038/cmj.v49i1.3285. [DOI] [PubMed] [Google Scholar]



