Abstract
Oxidation of the thiol functional group in cysteine (Cys–SH) to sulfenic (Cys–SOH), sulfinic (Cys–SO2H) and sulfonic acids (Cys–SO3H) is emerging as an important post-translational modification that can activate or deactivate the function of many proteins. Changes in thiol oxidation state have been implicated in a wide variety of cellular processes and correlate with disease states but are difficult to monitor in a physiological setting because of a lack of experimental tools. Here, we describe a method that enables live cell labeling of sulfenic acid-modified proteins. For this approach, we have synthesized the probe DAz-1, which is chemically selective for sulfenic acids and cell permeable. In addition, DAz-1 contains an azide chemical handle that can be selectively detected with phosphine reagents via the Staudinger ligation for identification, enrichment and visualization of modified proteins. Through a combination of biochemical, mass spectrometry and immunoblot approaches we characterize the reactivity of DAz-1 and highlight its utility for detecting protein sulfenic acids directly in mammalian cells. This novel method to isolate and identify sulfenic acid-modified proteins should be of widespread utility for elucidating signaling pathways and regulatory mechanisms that involve oxidation of cysteine residues.
Introduction
The generation of reactive oxygen species (ROS) is an unavoidable consequence of life in an aerobic environment. ROS are distinguished by their high chemical reactivity and include both free radicals, such as superoxide (O2•−) and hydroxyl radicals (OH•), and non-radical species such as hydrogen peroxide (H2O2). One of the earliest recognized consequences of ROS in biology is the generation of oxidative stress, a condition characterized by an excess of free radicals, a decrease in antioxidant levels or both. Oxidative stress has been implicated in the initiation and progression of many human diseases including atherosclerosis, cancer, diabetes, neurodegenerative diseases and aging.1 In addition, immune cells capitalize on the toxic effects of ROS and generate high levels of these oxidants for the sole purpose of microbial killing.2,3 More recently, it has been established that ROS also play important roles in eukaryotic signal transduction, regulating normal cellular events such as cell proliferation, differentiation, and migration.4–6 To this end, cellular ROS production is spatially and temporally controlled to modulate the biological activity of signaling proteins.7
It is well known that many amino acid residues in proteins are susceptible to oxidation (electron removal) by various forms of ROS, and that oxidatively modified proteins accumulate during aging,8 oxidative stress,9 and in neurodegenerative diseases.10 Cysteine residues, with a polarizable sulfur atom, are particularly sensitive to oxidation by ROS.11 However, unlike other amino acid residues, oxidation of this sulfur-containing amino acid can be reversed through the action of dedicated enzymes such as thioredoxin. Proteins employ cysteine residues extensively as nucleophiles in catalysis, metal-binding and to facilitate large-scale structural rearrangements. The strong nucleophilic character of the cysteine residue derives from thiol deprotonation to the thiolate anion, the pKa of which may range from ~4–9 depending on the local protein environment and solvent accessibility. Since many proteins rely on the unique properties of the thiol functional group for their biological activity, oxidation of specific cysteine residues can operate like a switch, activating or deactivating its cellular function in a manner analogous to more widely studied modifications, such as phosphorylation and dephosphorylation.12,13
Despite studies implicating cysteine oxidation as a modulator of cellular processes, the molecular details of the majority of these modifications, including the complete repertoire of proteins containing thiol post-translational modifications (PTMs) and the specific sites of modification remain largely unknown. Furthermore, since thiol-modified proteins are studied in purified proteins and cell extracts the response to oxidative challenge in vitro and the importance of these modifications in a cellular context remain a hotly debated issue.6,7,14–16 For these reasons, cell permeable chemical probes that selectively recognize specific cysteine oxidation states or ‘oxoforms’ will be required to identify modifications and elucidate signaling pathways that are mediated by thiol oxidation in vivo.
One such key ‘oxoform’ is the sulfenic acid moiety (Cys–SOH), which is formed upon reaction of the thiol side chain with mild oxidizing agents.17 Molecular oxygen can oxidize protein thiols to sulfenic acids in the presence of a metal catalyst. However, the most biologically significant oxidizing agents are thought to include peroxides such as H2O2, organic hydroperoxides, peroxynitrite, nitric oxide and its derivatives. Each of these agents can convert a thiol side chain to a sulfenic acid and elevated levels of these oxidants have been detected in association with activation of many cell surface receptors, which support a role for these oxidants in cell signaling.13
Cysteine sulfenic acids are the simplest oxy-acids of organic sulfur and are inherently reactive moieties.18 Consequently, sulfenic acids are often intermediates en route to more stable oxidation states such as sulfinic (Cys–SO2H) and sulfonic acids (Cys–SO3H) (Fig. 1a). Alternatively, since the sulfur atom is sufficiently electrophilic in the sulfenic oxidation state, this group can react with a neighboring cysteine thiolate to form a disulfide bond. In spite of their high reactivity, sulfenic acids can also be isolated and stabilized within protein microenvironments by proximity to favorable electrostatic interactions. 19–23 Indeed, the first chemical evidence supporting the existence of stable sulfenic acids in proteins was reported over thirty years ago24 and, more recently, these moieties have been observed by X-ray crystallography and NMR spectroscopy in a wide variety of proteins21 including tyrosine phosphatases,25 which are intimately involved in signal transduction cascades. Thus, sulfenic acids are unique protein functional groups that are proposed to play pivotal roles in enzyme catalysis, redox homeostasis and regulation of cell signaling events.13,17,19–21
Fig. 1.
Chemoselective probe for labeling proteins with sulfenic acid modifications in living cells. (a) Oxidation states of protein cysteines that are implicated in biological function. (b) Strategy for detecting sulfenic acid-modified proteins directly in living cells. The chemical synthesis of DAz-1 is described in the ESI, Fig. S1.†
Investigating the role of sulfenic acids in proteins requires reagents for their detection. To this end, in 1974, Benitez and Allison presented the first evidence that adduct formation with 5,5-dimethyl-1,3-cyclohexadione (dimedone) (Scheme 1) could be used as a diagnostic tool to detect sulfenic acids in proteins.24 Another reagent widely employed for the detection of protein sulfenic acids is 4-chloro-7-nitrobenzo-2-oxa-1,3-diazole (NBD-Cl).26 Though NBD-Cl can also react with other amino acid residues including cysteine, the product that forms with sulfenic acid is distinguished from other functional groups by its characteristic spectral property (λmax=347 nm). More recently, Poole and colleagues reported the synthesis of 1,3-cyclohexadione derivatives linked to isatoic acid and coumarin-based fluorophores.27 Though the spectral properties of these probes were unchanged upon reaction with the cysteine sulfenic acid, these reagents were demonstrated to modify the sulfenic acid form of a bacterial peroxidase, Cys165Ser AphC, based on ESI-MS detectable adduct formation.
Scheme 1.
Selective reaction of dimedone with a sulfenic acid affords a new thioether bond.
Though useful in biochemical studies, the reagents described above are not ideally suited for proteomic analysis. In particular, NBD-Cl is not specific for sulfenic acids and all reported compounds lacked an affinity handle for isolating modified proteins. For these reasons, Saurin et al. developed a new method to detect sulfenic acid-modified proteins based on the arsenite-specific reduction of protein sulfenic acids under denaturing conditions and subsequent labeling with biotin-maleimide.28 This method, however, has not been widely employed since the use of denaturants results in loss of protein structure, which is an essential requirement for sulfenic acid stabilization. In addition, the thiol-reactive reagent used to covalently modify cysteine residues prior to arsenite reduction also reacts with sulfenic acids,29 further diminishing the sensitivity of this technique. Dimedone-biotin conjugates were subsequently reported for detection and enrichment of sulfenic acid-modified proteins.30,31 Despite their reactivity with sulfenic acids, dimedone-biotin conjugates are large and have poor trafficking properties. Hence, their range of applications is limited and does not include intact cells. The ability to investigate protein thiol modifications with cell permeable probes is an especially important consideration since cell lysis alters redox homeostasis.6,16,32
Here, we describe a method that enables live cell labeling of sulfenic acid-modified proteins (Fig. 1b). For this approach, we have designed and synthesized the probe DAz-1, which is chemically selective for sulfenic acids and cell permeable. DAz-1 also contains an azide chemical handle that can be selectively detected with phosphine reagents via the Staudinger ligation for identification, enrichment and visualization. Through a combination of biochemical, ESI-mass spectrometry and immunoblot analyses we demonstrate that DAz-1 selectively detects sulfenic acids in purified proteins, complex protein mixtures and mammalian cells. Furthermore, we observe distinct protein labeling patterns in living cells as compared to lysates, which confirms that when removed from their cellular context, proteins are prone to oxidation.
Results and discussion
DAz-1 irreversibly labels sulfenic acid-containing proteins
Sulfenic acids exhibit both nucleophilic and electrophilic reactivity. 18 Electrophilic groups in proteins are rare and thus, this unique property of sulfenic acids can be exploited for their selective detection. To this end, we designed and synthesized a bifunctional chemical probe N-(3-azidopropyl)-3,5-dioxocyclohexanecarboxamide referred to as DAz-1 (Fig. 1b and ESI Fig. S1†). DAz-1 includes the nucleophile 1,3-cyclohexanedione, a dimedone analog that reacts specifically with sulfenic acids in aqueous media to form a stable thioether adduct (Scheme 1).19,23,27 In addition, DAz-1 is functionalized with an azide group, installed onto the cyclohexyl framework via an amide bond linkage. The azide moiety is a unique chemical handle that permits selective coupling with bio-orthogonal phosphine or alkyne-derivatized reagents for detection and isolation by affinity purification for subsequent proteomic analysis.33–38 The advantage of DAz-1 over existing probes for sulfenic acid detection is its small size, which contributes to its favorable uptake in cells and facilitates protein labeling. Moreover, once introduced into proteins the azide group can be tagged by a wide variety of affinity and fluorescent reagents ex vivo.33
While the synthesis of 1,3-cyclohexanedione analogs linked to fluorophores or biotin has been reported,27,30,31 the specificity of these reagents for sulfenic acids has not been rigorously evaluated. In order to test the effects of functionalizing 1,3-cyclohexanedione on its overall reactivity, two model proteins were examined in vitro.
The ability of DAz-1 to site-specifically alkylate protein sulfenic acids was first evaluated using papain from Carica papaya. Papain is the prototype cysteine endopeptidase and it has been extensively studied because of its homology with mammalian cysteine proteases involved in several diseases related to tissue degeneration.39 Chemical modification of the active site Cys25 of papain (e.g., alkylation, oxidation) induces the loss of its enzymatic activity.22,40 Therefore, we could assess modification at Cys25 by monitoring cleavage of the chromogenic substrate Nα-benzoyl-L-arginine-4-nitroanilide hydrochloride (BAPNA) (Fig. 2a). Papain exhibited robust catalytic activity with BAPNA as a substrate (47 U mg−1). However, when treated with a stoichiometric concentration of hydrogen peroxide (H2O2) protease activity was abolished. Treatment of the oxidized papain sample with the reducing agent dithiothreitol (DTT) led to reactivation of enzymatic activity, demonstrating that the Cys25 sulfenic acid was reduced back to the thiol form. Control experiments with the thiol-reactive reagent N-ethyl maleimide show that alkylated papain could not be reactivated by DTT, as expected (ESI Fig. S2†). Having established that papain activity could be reversibly modulated by H2O2 and DTT, we investigated the effect of DAz-1 in this assay. In the absence of oxidant, inclusion of 20 mM DAz-1 in the reaction mixture had no affect on protease activity. However, when DAz-1 was incubated with oxidized papain no DTT-recoverable activity was detected. These data suggest that treatment of the sulfenic acid form of papain with DAz-1 leads to covalent modification of Cys25. Analogous results were obtained when dimedone was employed in place of DAz-1 (ESI Fig. S2†).
Fig. 2.
DAz-1 modifies sulfenic acid-modified papain in vitro. (a) Papain activity as monitored by cleavage of a colorimetric substrate, L-BAPNA. Black bars: untreated papain was fully active. Papain treated with a single equivalent of H2O2 for 30 min was completely inactivated. Treatment of oxidized papain with DTT restored activity. Grey bars: active papain was not inhibited by 20 mM DAz-1 alone. When reacted with DAz-1, the activity of oxidized papain was not restored by DTT treatment. Data represent the average of three independent experiments. (b) ESI mass spectra of papain showing the charge state distribution. Top: mass spectra of active papain (23 422.4 Da expected; 23 422.7 Da observed). No adduct is observed between DAz-1 and unoxidized papain. Bottom: mass spectra of peroxide-treated papain reacted with DAz-1 (●; 23 658.4 Da expected; 23 658.3 Da observed). Papain sulfinic acid (*), which was also present in the oxidized sample, did not react with DAz-1. (c) Visualization of DAz-1 papain labeling. Sulfenic acid-modified papain was selectively labeled by DAz-1.
Samples of modified papain and the starting material were further analyzed by ESI-MS. The molecular mass of reduced papain was consistent with the calculated value (Fig. 2b top spectrum, 23 422.7 ± 2 Da found, 23 422.4 Da calc.). When papain was oxidized with H2O2 and immediately infused into the ESI-MS instrument we observed a mass increase consistent with Cys25 sulfenic acid in the intact papain enzyme (23 437.0 ± 2 Da found, 23 438.4 Da calc.). Though sulfenic acids are considered to be labile moieties, ESI-MS evidence for a protein sulfenic acid has also been observed with the redox-regulated Ohr repressor.41 The molecular mass of the adduct that resulted from reaction of DAz-1 with papain sulfenic acid (Fig. 2b bottom spectrum, ●) was equal to the calculated mass of a conjugate with 1: 1 stoichiometry (23 658.3 ± 2 Da found, 23 658.4 Da calc.). The small fraction of papain sulfinic acid that formed during H2O2 treatment (Fig. 2b bottom spectrum, *) did not react with DAz-1, as expected.
The selectivity of DAz-1 labeling was also probed by Western blot (Fig. 2c). Reduced or oxidized papain was incubated with DAz-1 and then subjected to bio-orthogonal labeling with phosphine-biotin (p-biotin) via the Staudinger ligation42 (Fig. 1b). The reactions were then separated by gel electrophoresis and analyzed by streptavidin blotting. Treatment of oxidized papain with DAz-1 afforded selective protein labeling that was dependent on the stoichiometry of oxidant to protein and the concentration of DAz-1. In the absence of oxidant, papain was not detected by streptavidin blotting, demonstrating the specificity of our bio-orthogonal labeling conditions. The labeling of protein sulfenic acids with DAz-1 followed by reaction with p-biotin affords a sensitive method to detect sulfenic acid-modified proteins, as labeled proteins can be easily visualized by streptavidin blotting. Furthermore, using alkyne or phosphine-based fluorescent reagents, we anticipate that this approach can be extended to a solution or gel-based assay to determine the concentration of sulfenic acids in purified proteins in vitro.43–45
To evaluate the specificity of the DAz-1 probe in the context of a different protein, we used human serum albumin (HSA). HSA is the most abundant protein in plasma and is proposed to have an antioxidant role in biological systems.46 Out of 585 amino acids, HSA contains 17 disulfide bridges and one free cysteine, Cys34. The ability of HSA to function as a ‘sacrificial’ antioxidant is attributed to the thiol in Cys34, which accounts for ~80% of total free thiol content in plasma. Like papain, the free thiol residue of HSA reacts preferentially with reactive oxygen species47,48 and detailed mass spectrometry and biochemical studies by Carballal and colleagues have demonstrated that Cys34 in HSA oxidizes to form a stable sulfenic acid.49
In our own experiments, we assessed the thiol and sulfenic acid content of native HSA under aerobic conditions using NBD-Cl (Fig. 3a).26 HSA reaction with NBD-Cl yielded an absorbance spectrum with a major peak at 347 nm, indicating the formation of HSA-SO-NBD adducts. An additional peak at 400 nm was also identified in the spectrum, consistent with the formation of HSA-S-NBD adducts. To probe the reactivity of DAz-1 with HSA, we pre-incubated albumin protein with DAz-1 prior to the addition of NBD-Cl (Fig. 3a). Based on the reactivity observed with papain sulfenic acid, we predicted that DAz-1 would covalently modify sulfenic acid-containing HSA and would therefore, preclude the formation of HSA-SO-NBD adducts. As predicted, when DAz-1 modified HSA was reacted with NDB-Cl the sulfenic acid peak at 347 nm disappeared, leaving a distinct thiol peak at 400 nm. DAz-1 labeling of oxidized HSA was also analyzed by Western blot (Fig. 3b). HSA, incubated with DAz-1 and ligated to p-biotin, gave a robust chemiluminescent signal, which could be blocked by incubating HSA with dimedone prior to azido-probe addition. In the absence of DAz-1, a faint signal was observed with HSA. This background could result from p-biotin, horseradish peroxidase (HRP)-streptavidin or the combination of these detection reagents. Control experiments indicated that the HRP-streptavidin secondary detection reagent was the source of the low background signal (data not shown).
Fig. 3.
DAz-1 labels sulfenic acid-modified HSA in vitro. (a) UV-Vis spectra of the NBD adducts of native and DAz-1 treated HSA. Protein (50 μM) in phosphate buffer (pH 7.4) containing ethylenediaminetetraacetic acid (EDTA, 1 mM), either native (black line) or treated with 1 mM DAz-1 for 1 h (grey line). Samples were separated from small molecules by ultrafiltration and incubated with NBD-Cl for 1 h followed by ultrafiltration to remove unreacted NBD-Cl. (b) Visualization of HSA-sulfenic acid labeled with DAz-1 in vitro. After DAz-1 treatment the samples were labeled with p-biotin and then analyzed by Western blot using HRP-streptavidin. To block DAz-1 labeling, samples were incubated with dimedone prior to DAz-1 treatment. Reactions were carried out in duplicate and each lane contains 200 ng total HSA. (c) HSA-sulfenic acid detected in a complex protein mixture in vitro. Aprotinin (APR, 6 kDa), thioredoxin Cys35Ala (mTRX, 14 kDa), PAPS reductase (PAPSr, 28.5 kDa), alcohol dehydrogenase (ADH, 37.5 kDa), β-amylase (β-AM, 50 kDa), HSA (HSA, 66 kDa) and phosphorylase B (PHOB, 90 KDa) were each present at 1 mg mL−1. Left panel: Coomassie-stained gel of protein mixture. Right panel: after DAz-1 treatment, the samples were labeled with p-biotin and then analyzed by Western blot using HRP-streptavidin. To block DAz-1 labeling, samples were incubated with dimedone prior to DAz-1 treatment. Each lane contains 200 ng of each protein present in the mixture.
We next performed an experiment to determine whether sulfenic acid-modified HSA could be detected under controlled conditions within a mixture of other purified proteins. To this end, we added sulfenic acid-containing HSA to a large excess of standard proteins that included aprotinin, thioredoxin Cys35Ala, alcohol dehydrogenase, PAPS reductase, β-amylase, and phosphorylase B. The protein mixture was probed with DAz-1 and cysteine sulfenic acids were detected by Western blot, as described above. Fig. 3c shows DAz-1 dependent detection of sulfenic acid-modified HSA within the protein mixture. Moreover, this signal could be effectively blocked by incubating the reaction with dimedone, prior to the addition of DAz-1. In this experiment, DAz-1 labeling also reveals a low amount of sulfenic acid-modified cysteine in two other proteins, PAPS reductase and alcohol dehydrogenase. Consistent with the observed labeling, PAPS reductase possesses a catalytic cysteine residue that can undergo reversible S-glutathionylation (e.g., Cys–S–GSH) via a sulfenic acid intermediate.50 Alcohol dehydrogenase coordinates two zinc ions through multiple cysteine residues, which are readily oxidized to higher oxidation states, resulting in the loss of metal ion with concomitant enzyme inactivation.51
DAz-1 detects sulfenic acid-modified proteins in cell lysate
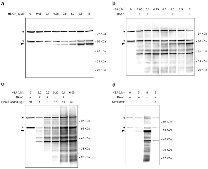
Having established the specificity of DAz-1 labeling for sulfenic acids in homogenous protein solutions, we next investigated whether the azido-probe could be exploited for detection of sulfenic acid-modified proteins in a complex, unfractionated cell lysate. To this end, we carried out our optimized chemistry (Fig. 2 and 3) in whole Jurkat cell extract that was doped with a known concentration (50 nM–5 μM) of DAz-1-tagged HSA (Fig. 4a) or sulfenic acid-modified HSA (Fig. 4b). Fig. 4a shows an HRP-streptavidin Western blot, which indicates that ~100 nM azide-tagged protein (arrowhead) can be detected under the conditions employed (e.g., concentration of p-biotin, incubation times, μg protein loaded on the gel). Fig. 4b shows the HRP-streptavidin Western blot analysis of sulfenic acid-modified HSA added to Jurkat cell lysate and then probed with DAz-1. In this case, a signal from DAz-1 labeled HSA was also observed at 100 nM and greater concentrations. Thus, even with a highly complex starting material the sulfenic acid moiety present on HSA can be detected with DAz-1, affirming its selectivity. Furthermore, the combination of enrichment via an affinity tag and the increasing sensitivity of mass spectrometers52–55 should yield a substantial improvement in the limit of detection for protein sulfenic acids.
Fig. 4.
DAz-1 labels sulfenic acid-modified HSA and additional proteins in cell lysate. (a) DAz-1 modified HSA (HSA-N3) is detected in cell lysate. HSA-N3 (0–5 μM) in the presence of 1 mg mL−1 of Jurkat cell lysate was labeled with p-biotin (100 μM) and DTT (5 mM) for 2 h at 37 °C. Reactions were terminated by acetone precipitation, and proteins were analyzed by Western blot using HRP-streptavidin. Each lane contains 25 μg total protein. Highlighted bands in Fig. 4a–d represent HSA modified by DAz-1 (arrowhead) and endogenously biotinylated proteins (*). (b) Sulfenic acid-modified HSA is labeled by DAz-1 in Jurkat cell lysate. HSA (0–5 μM) in the presence of Jurkat cell lysate (1 mg mL−1) was incubated with DAz-1 (1 mM) for 1 h at 37 °C and analyzed as described above. Each lane contains 25 μg total protein. (c) DAz-1 modifies sulfenic acid-containing HSA and additional oxidized proteins in cell lysate. HSA (0–1 μM) in the presence of Jurkat cell lysate (1 mg mL−1) was labeled with DAz-1 (1 mM) and analyzed as described above. Each lane contains 250 ng total HSA. (d) Dimedone blocks DAz-1 modification of HSA and additional sulfenic acid-modified proteins in lysate. HSA (5 μM) was incubated in the presence of Jurkat cell lysate (1 mg mL−1) in the presence or absence of dimedone (10 mM) for 1 h at rt. In a subsequent step, DAz-1 (1 mM) was incubated with each reaction for 1 h at 37 °C and analyzed as described above. Each lane contains 50 μg total protein.
Though the complete repertoire of proteins that form sulfenic acids in vivo are not yet known, proteins that have been identified typically possess a cysteine residue with a low ionization constant, whose thiolate is stabilized by electrostatic interactions within a protein cavity or enzyme active site. Since DAz-1 has a small molecular footprint, access to sulfenic acids should be possible and we anticipated that other proteins in the Jurkat cell lysate should be labeled by DAz-1 in addition to HSA. This expectation was borne out and a number of discrete protein bands were observed in the Western blot analysis of DAz-1 labeled Jurkat lysate (Fig. 4b). To further highlight the spectrum of proteins that were labeled by DAz-1 in these experiments, we repeated DAz-1 labeling of HSA-spiked cell lysate such that in the subsequent Western blot analyses, protein loading was normalized to afford a constant amount of HSA per lane. Consequently, as the concentration of HSA in the reaction decreased, the amount of cell lysate loaded in each lane was increased (Fig. 4c). As expected, the signal obtained from DAz-1 labeled HSA remained constant, while the signal from other DAz-1 modified proteins became more pronounced. Of particular note, a very prominent band is observed that migrates at ~41 kDa. Using antibodies, the identity of the ~41 kDa band was identified as the cytoskeletal protein, β-actin (ESI Fig. S3†). Actin is the most abundant protein in most eukaryotic cells56 and possesses a reactive cysteine residue that forms disulfide bonds under conditions of oxidative stress.57 Moreover, a recent study investigating actin modifications demonstrates that this protein is glutathionylated in cells in response to oxidative stress.58 In these experiments, glutathionylation of actin is blocked by the addition of dimedone to cells prior to oxidative challenge, suggesting that protein modification occurs via a sulfenic acid intermediate. Consistent with these observations, we have directly identified actin as a sulfenic acid-modified protein in Jurkat cell lysate with our azido-probe, DAz-1. Since dimedone and DAz-1 both react similarly with protein sulfenic acids we anticipated that incubating Jurkat cell lysate with dimedone, prior to the addition of DAz-1, would preclude azido-probe binding and thus, decrease the signal in our HRP-streptavidin Western blot. As predicted, minimal labeling was observed when cell lysate was first challenged with dimedone and then treated with DAz-1 (Fig. 4d). Collectively, the studies above demonstrate the selectivity of DAz-1 for sulfenic acids in purified proteins, protein mixtures and cell extracts.
Incorporation of DAz-1 into proteins in cultured human cells
Post-translational modification of cysteine residues is vital for cell signaling and also has significant potential as a biomarker for specific disease states.13,59,60 While chemical methods to identify sulfenic acid-modified proteins have been reported, their range of applications is limited and does not include intact cells.28,61,62 To address this issue, we have developed a new method to detect sulfenic acid-modified proteins directly in living cells (Fig. 1b). In this approach, treatment of cells with the membrane permeable probe DAz-1 enables covalent modification of sulfenic acid-containing proteins. Reaction of the azide chemical handle on DAz-1 with a bio-orthogonal phosphine-based detection reagent, such as p-biotin, allows visualization of sulfenic acid-modified proteins by streptavidin Western blot and also enables proteomic analysis of DAz-1 labeled proteins by mass spectrometry after affinity enrichment with streptavidin beads. Two-step labeling methods analogous to this approach have been successfully employed to profile protein glycosylation,38 farnesylation63 and protease activity.34
Once the specificity of DAz-1 was validated in vitro we proceeded to test the azido-probe, and our overall strategy, in cultured human cells. In these experiments we employed the human T lymphoma cell line Jurkat, which are well characterized and resemble naive primary T-cells in their response to stimulation.64 To detect the basal level of sulfenic acid-modified proteins Jurkat cells were incubated with increasing concentrations of DAz-1. After labeling, the media was exchanged to remove excess probe and cell viability was assessed. In subsequent steps, cells were lysed and DAz-1 labeled proteins were detected after ligation with p-biotin. Fig. 5a depicts a representative Western blot from these experiments, which shows that the intensity of DAz-1 labeling increases in a dose-dependent manner. At the highest concentration of DAz-1 employed, ~30 discrete protein bands could be identified in the HRP-streptavidin Western blot. Fig. 5b shows that cells retained similar viability as those treated with vehicle DMSO at the highest concentration of DAz-1 employed for these experiments. In addition, cells exhibited normal morphology throughout treatment (KGR, unpublished observations). DAz-1 labeling was also time-dependent, as a signal was observable at 15 min and increased in intensity over the duration of the experiment (Fig. 5c). Time and dose-dependent protein labeling by DAz-1 demonstrates that probe incorporation in polypeptides analyzed by this approach is not the result of post-lysis activity.
Fig. 5.
DAz-1 labels sulfenic acid-modified proteins in living cells. (a) Dose-dependence of DAz-1 labeling. DAz-1 was incubated with Jurkat cells at the indicated concentrations for 2 h at 37 °C. In subsequent steps, cells were washed to remove excess DAz-1 and a cell lysate fraction was prepared. The lysate was labeled with p-biotin (100 μM) for 2 h at 37 °C. Reactions were terminated by acetone precipitation, and proteins were analyzed by Western blot using HRP-streptavidin. Each lane contains 50 μg total protein. Highlighted bands in Fig. 5a represent endogenously biotinylated proteins (*). (b) Effect of DAz-1 on viability of Jurkat cells. Cells were exposed to DMSO (grey bar) or DAz-1 (10 mM, black bar) for 1 h at 37 °C. After incubation, cell viability was quantified by trypan blue exclusion. Data represent the average of three independent cell viability counts. (c) Time-dependence of DAz-1 labeling. Jurkat cells were incubated with DMSO only (0 min) or DAz-1 (2 mM) for 15 min, 30 min, 1 or 2 h at 37 °C. Reactions were then analyzed as described above. Each lane contains 25 μg total protein.
Prior to this method, protein sulfenic acids have not been directly detected in unmanipulated, intact cells. Hence, at the outset of these experiments the number of proteins that would contain this cysteine ‘oxoform’ was an open question. Notably, in our Western blot analysis the number of DAz-1 labeled proteins observed in living cells is considerably fewer than those found in cell lysates (e.g., Fig. 4c, lane 6 vs. Fig. 5a, lane 2). It is possible that the difference in cell labeling relative to lysate results from differences in DAz-1 concentration. However, significant differences in labeling persisted when 10-fold more DAz-1 was employed in cell-labeling experiments as compared to lysate analysis (Fig. 5a, lane 5). Furthermore, the pattern and intensity of DAz-1 labeling between live cells and lysates is distinct. For example, when lysate is probed with DAz-1, actin is the most intensely labeled protein. By contrast, actin does not appear as the most prominent protein in DAz-1 labeled cells. Instead proteins between 25–30 kDa and 55–65 kDa emerge in intensity. One possible explanation for these observations is that disrupting the cell membrane and other cellular compartments during extract preparation artificially increases the level of oxidized actin. Since actin is the most abundant protein in eukaryotic cells, a high percentage of oxidized actin in cell extract may diminish the ability to detect other protein sulfenic acids that are less abundant. These data highlight differences between lysates and live cells in protein sulfenic acid labeling.
Experiments performed on purified proteins in vitro demonstrate that numerous proteins containing reactive thiolates, including peroxiredoxins,65 GAPDH (glyceraldehyde-3-phosphate dehydrogenase)66 and PTP1B (protein-tyrosine phosphatase 1B)67 are converted to sulfenic acids and higher oxidation states when treated with oxidants such as hydrogen peroxide. In addition, many proteins have been identified as forming disulfide bonds in response to hydrogen peroxide treatment in Jurkat cell lysates.68 To determine whether our own approach could detect increases in protein thiol oxidation in human cell culture, we treated Jurkat cells with 20 or 200 μMH2O2, tert-butyl hydroperoxide (t-BOOH) or a mitochondrial membrane potential depolarizing agent, trifluoromethoxy carbonylcyanide phenylhydrazone (FCCP), and monitored for an increase of protein sulfenic acids in these cells, as judged by DAz-1 labeling (Fig. 6). To maximize our chances of detecting an increase in protein oxidation we employed a concentration of DAz-1 and incubation time that produced little detectable labeling in the absence of oxidant stimulation. Fig. 6 shows the HRP-streptavidin Western blot analysis of Jurkat cells that were probed with DAz-1 with or without exogenously added oxidant. As expected, in the absence of oxidant, only a minor signal from DAz-1 labeled proteins is observed (Fig. 6). By contrast, robust protein labeling is observed when 200 μM H2O2 or t-BOOH was applied to the cells; maximal DAz-1 labeling with FCCP is observed at 20 μM. Control experiments demonstrated that the observed increase in protein labeling was not due to compromised cell membrane integrity in the presence of oxidant (ESI Fig. S4†). Collectively, these experiments establish that the chemoselective probe DAz-1 can detect protein sulfenic acids directly in mammalian cells and is selectively installed on sites of protein oxidation.
Fig. 6.
DAz-1 detects an increase in thiol oxidation in living cells. Oxidants (H2O2, t-BOOH, or FCCP) were added to the cell suspensions at final concentration of 20 or 200 μM and incubated at 37 °C for 15 min. Daz-1 (2 mM) or DMSO was added and the cells incubated for 1 h at 37 °C. In subsequent steps, samples were prepared and analyzed by HRP-streptavidin Western blot as previously described. Each lane contains 25 μg total protein. Highlighted bands in Fig. 6 represent endogenously biotinylated proteins (*).
Of the three oxidants that were tested in our panel, FCCP was the most potent. Following treatment with 20 μM FCCP, an increase in protein labeling with DAz-1 relative to untreated cells was consistently observed. When 200 μM FCCP was employed in these experiments, protein labeling by DAz-1 diminished relative to cells treated with 10-fold less reagent. The loss of signal observed at high FCCP concentrations may result from oxidation of protein sulfenic to sulfinic and sulfonic acids, which are not targets for DAz-1. This hypothesis was confirmed using an antibody that detects the sulfinic and sulfonic acid forms of peroxiredoxin,69 regarded as a hallmark of protein ‘hyperoxidation’ (ESI Fig. S5†). In these experiments, we also observed a robust increase in DAz-1 detectable protein sulfenic acids in cells treated with H2O2 and t-BOOH, though higher concentrations were necessary to observe this effect relative to FCCP. In contrast to the FCCP protonophore, which concentrates in the mitochondria, H2O2 or t-BOOH are freely diffusible through cell membranes. As a consequence, a rapid equilibrium is established in which the intracellular concentration of these oxidants is ~10-fold less than their applied extracellular concentration.70,71 Hence, the intracellular concentration of H2O2 or t-BOOH in these experiments is estimated to be 2–20 μM.
Summary
New tools are needed to further our understanding of post-translational protein thiol modifications. To this end, we have designed and synthesized the azido-probe DAz-1, which is chemically selective for sulfenic acids and cell permeable. Using model sulfenic acid-containing proteins, in their purified form or doped in cell extract, we showed that DAz-1 is selective for sulfenic acids in vitro. Once the reactivity of the probe was characterized, we demonstrated that sulfenic acid-modified proteins could be detected in living cells. Furthermore, DAz-1 could detect the global increase in protein thiol modification under oxidizing cellular conditions. During these studies we also observed distinct protein labeling patterns in living cells as compared to lysates. These findings confirm that when removed from their cellular context proteins are prone to oxidation and highlight the importance of probing intact cells to investigate redox regulation of protein function. A major strength of this approach is that protein labeling in vivo is decoupled from subsequent analytical steps. This feature allows the sulfenic acid-specific probe to be small, which facilitates protein labeling and diffusion across cell membranes. In addition, the ability to ‘tag’ proteins with biotin or a range of other affinity and fluorescent reagents via the azide chemical reporter on DAz-1 provides an opportunity for enrichment and proteomic analysis of oxidized proteins.33,34 These studies are currently underway and will be reported in due course. This new method to detect sulfenic acid-modified proteins provides a powerful means to detect changes in cysteine oxidation in vivo and should find a wide variety of applications for the study of biological processes that are central to human health and disease.
Experimental
Preparation, enzymatic assay and chemical modification of papain
Papain from papaya latex (EC 3.4.22.2) was obtained as a powder (Sigma, P4762) and further purified by affinity chromatography following the method of Funk et al.,72 with Gly–Gly–Tyr–Arg (Sigma, G5386) as the immobilized inhibitor on Sepharose 4 Fast Flow resin (GE Healthcare). The concentration of the resulting papain solution was determined by absorbance at 280 nm (EmM = 57.6). A kinetic, spectrophotometric amidase assay with Nα-benzoyl-L-arginine-4-nitroanilide hydrochloride (L-BAPNA, B3279, Sigma) as substrate was used to measure papain activity.73,74 Assays contained papain (2–5 μM), 50 mM Tris pH 7.1, 1 mM EDTA and were initiated by the addition of L-BAPNA (2 mM). The absorbance increase at 410 nm was recorded on a Uvikon XS spectrophotometer (Research Instruments International). Freshly prepared papain had an enzymatic activity of 47 U mg−1 at 25 °C. To inactivate the enzyme, papain was incubated with 1 eq. of H2O2 (Sigma, 516 813) for 15 min at rt. In some experiments, active or peroxide-inactivated papain (40 μM) was incubated with DAz-1, dimedone or N-ethyl maleimide (NEM) in phosphate buffered saline (PBS) for 30 min at rt. DAz-1 and dimedone stocks were made up in DMSO with 0.1 M Bis-Tris HCl pH 7.5. To quantify recoverable enzyme activity after these treatments, papain was incubated with 1 mM dithiothreitol (DTT) for 5 min at rt and assayed as described above. The ESI-MS spectra of native and modified papain were acquired using a Nanoacuity Q TOF LC-MS/MS system (Waters) in positive-ion mode. Samples for mass spectrometric analysis (20 μM protein) were separated by C18 reverse phase HPLC with a gradient of 3% to 75% B in 45 min (buffer A: 0.1% formic acid in water; buffer B: 0.1% formic acid in acetonitrile) at a flow rate of 0.5 μL min−1.
NBD-Cl assay and chemical modification of HSA
Human serum albumin (HSA, A-9511, Sigma) was obtained as a powder and re-suspended to 50 μM in PBS supplemented with 1 mM EDTA. Stocks of 7-chloro-4-nitro-benzo-2-oxadiazole (NBD-Cl, 163260, Aldrich) solutions were prepared in DMSO. To quantify the thiols and sulfenic acid content of HSA, a two-fold excess (100 μM) of NBD-Cl26 was incubated with HSA for 1 h at rt. Unbound NBD-Cl was removed from the labeled protein using a Microcon YM-50 centrifugal filter unit (Millipore). In some experiments, HSA was pre-treated with DTT (1 eq.) or DAz-1 (1 mM). Excess small molecules were then removed by ultrafiltration prior to NBD-Cl treatment. To obtain azide-tagged HSA (HSA-N3) for use in lysate titration experiments, protein (50 μM) was reacted with DAz-1 (2 mM) for 12 h at rt. Excess DAz-1 was removed from the labeled protein using an Amicon Ultra-4 10 kDa MWCO centrifugal filter unit (Millipore) followed by gel filtration using a PD-10 Sephadex column (GE Healthcare). To detect sulfenic acid-modified HSA, protein (10 uM) was reacted with DAz-1 (1 mM) for 1 h at 37 °C. To detect sulfenic acid-modified HSA in a more complex protein mixture, aprotinin (Sigma, A-3886), Escherichia coli thioredoxin Cys35Ala, alcohol dehydrogenase (Sigma, A-8656), E. coli PAPS reductase, β-amylase (Sigma, A-8781), and phosphorylase B (Sigma, P-6635) were each included in the reaction mixture at 1 mg mL−1. E. coli thioredoxin and PAPS reductase were prepared as previously described.75 In dimedone blocking experiments, reactions were incubated with dimedone (10 mM) for 1 h at rt, prior to treatment with DAz-1.
p-Biotin labeling of papain and HSA
Phosphine-biotin (p-biotin) was synthesized as previously described.38 Staudinger ligation labeling of azide-modified proteins42 was performed by incubation of papain or HSA with p-biotin (100 μM) for 2 h at 37 °C. The reactions were terminated by the addition of cold acetone, and the products were incubated at −30 °C for 20 min and centrifuged at 4 °C for 10 min at 20 000g to precipitate proteins. The supernatant was decanted, and the protein pellet was re-suspended in PBS or TS buffer (50mMTris, 0.2% sodium dodecyl sulfate (SDS), pH 7.4).
Immunoblotting
p-Biotin labeled proteins were separated by SDS-PAGE using Criterion XT 4–12% Bis-Tris gels (BioRad) in XT MES running buffer, transferred to a polyvinylidene difluoride (PVDF) membrane (BioRad), and the membrane was blocked with 5% non-fat dried milk in Tris-buffered saline Tween-20 (TBST) overnight at 4 °C or 1 h at rt. The membrane was washed in TBST (2 × 10 min) and then incubated with 1:5000–1:100 000 streptavidin-HRP (GE Healthcare) in TBST for 1 h at rt, washed (1 × 5 min then 1 × 10 min) with TBST and developed with chemiluminescence (Amersham ECL Plus Western Blotting Detection Reagents). To assess the quality of protein transfer and loading in each lane, membranes were stained with Ponceau S staining prior to the blocking step.
Cell culture
Jurkat cells were cultured in RPMI media supplemented with 10% fetal bovine serum (FBS) and 1% penicillin-streptomycin-L-glutamate (PSG). Cells were incubated in a 5% CO2 humidified incubator at 37 °C and were typically seeded at 0.5 × 106 mL−1 and grown to a density of 2 × 106 mL−1.
DAz-1 labeling of Jurkat lysate
Jurkat cells (6 × 106) were collected by centrifugation (1000g for 5 min) and washed three times with sterile PBS. The media free cell pellet was then suspended in 100 μL of cold lysis buffer (1.0% NP-40, 50 mM Tris-HCl, 150 mM NaCl, and 2X Complete Mini Protease Inhibitor Cocktail, pH 8.0) and incubated on ice for 30 min with frequent mixing. The supernatant was collected by centrifugation at 20 000g and 4 °C for 20 min. The lysate was then transferred to a second tube and subjected to the same centrifugation protocol. Protein concentration of the lysate was determined by Bradford assay (BioRad). Cell lysate, 50 μg or 100 μg in 50 or 100 μL total reaction volume was labeled by incubation with DAz-1 (1 mM) for 1 h at 37 °C followed by incubation with p-biotin (100 μM) and DTT (5 mM) for 2 h at 37 °C. Ligation reactions were terminated by the addition of 1 mL cold acetone and light vortexing. The suspension was incubated at −80 °C for 1 h then centrifuged at 4 °C for 20 min at 20 000g to pellet precipitated proteins. Pellets were then dissolved in TS buffer (50 μL) and precipitated a second time, as described above. The resulting pellet was suspended in SDS-protein loading buffer containing 10% 2-βME. For DAz-1 labeling of sulfenic acid HSA in Jurkat lysate, HSA (0–5.0 μM final concentration) was added to lysate (50 μg) and the protein mixture labeled with DAz-1 (1 mM) for 1 h at 37 °C. In dimedone blocking experiments, HSA (5 μM) was added to Jurkat lysate (50 μg) and the mixture incubated with dimedone (10 mM) for 1 h at rt, prior to DAz-1 treatment. After the labeling step, reactions were ligated, processed and analyzed as described above. For detection of HSA-N3, lysate (50 μg) was combined with HSA-N3 at a final concentration of 0–5 μM. The HSA-N3 doped lysate was then ligated, processed and analyzed as described above.
DAz-1 labeling of Jurkat cells
DAz-1 (1, 2, 5, and 10 mM) was incubated with Jurkat cells in RPMI with 2% FBS for 1–2 h at 37 °C. In subsequent steps, cells were washed three times with sterile PBS to remove excess DAz-1 and a cell lysate fraction was prepared. The lysate was labeled with p-biotin as described above. Reactions were terminated by acetone precipitation, and proteins were analyzed by streptavidin blotting. In time course experiments, Jurkat cells were incubated with DMSO or DAz-1 (2 mM) for 15, 30 min, 1 or 2 h at 37 °C. At the end of each time point, cells were harvested, washed and processed as described above. To quantify the number of viable cells after DAz-1 treatment Jurkat cells were treated with DMSO or DAz-1 and cell viability was quantified by trypan blue exclusion.
DAz-1 labeling of Jurkat cells post-oxidant challenge
Jurkat cells (1 × 106) were washed three times with sterile PBS and re-suspended in 2% FBS RPMI. Oxidants (H2O2, t-BOOH, or FCCP) were added to the cell suspensions at final concentrations of 20 or 200 μM and the suspensions were incubated at 37 °C for 15 min. Daz-1 (2 mM) or DMSO were added and the cells incubated for an additional hour at 37 °C. Following incubation, the cells were spun at 1000 rpm for 5 min and washed three times with PBS to remove the media. Subsequently, cell lysate was prepared and the samples were processed as previously described.
Supplementary Material
Acknowledgments
This work was supported by the Life Sciences Institute at the University of Michigan and a Special Fellows Award to KSC from the Leukemia & Lymphoma Society. We also thank Professor Howard Hang for many useful discussions and Professor Anna Mapp for comments on the manuscript.
Footnotes
Electronic supplementary information (ESI) available: Synthesis, protease activity, cell viability plots and Western blots. See DOI: 10.1039/b719986d
This article is part of a Molecular BioSystems ‘Emerging Investigators’ issue highlighting the work of outstanding young scientists at the chemical- and systems-biology interfaces.
References
- 1.Halliwell B, Gutteridge JMC. Free radicals in biology and medicine. 4. Oxford University Press; Oxford: 2007. [Google Scholar]
- 2.Segal AW, Abo A. Trends Biochem Sci. 1993;18:43–47. doi: 10.1016/0968-0004(93)90051-n. [DOI] [PubMed] [Google Scholar]
- 3.Woodman RC, Ruedi JM, Jesaitis AJ, Okamura N, Quinn MT, Smith RM, Curnutte JT, Babior BM. J Clin Invest. 1991;87:1345–1351. doi: 10.1172/JCI115138. [DOI] [PMC free article] [PubMed] [Google Scholar]
- 4.D’Autreaux B, Toledano MB. Nat Rev Mol Cell Biol. 2007;8:813–824. doi: 10.1038/nrm2256. [DOI] [PubMed] [Google Scholar]
- 5.Rhee SG. Science. 2006;312:1882–1883. doi: 10.1126/science.1130481. [DOI] [PubMed] [Google Scholar]
- 6.Stone JR, Yang S. Antioxid Redox Signal. 2006;8:243–270. doi: 10.1089/ars.2006.8.243. [DOI] [PubMed] [Google Scholar]
- 7.Terada LS. J Cell Biol. 2006;174:615–623. doi: 10.1083/jcb.200605036. [DOI] [PMC free article] [PubMed] [Google Scholar]
- 8.Stadtman ER. Science. 1992;257:1220–1224. doi: 10.1126/science.1355616. [DOI] [PubMed] [Google Scholar]
- 9.Friguet B. FEBS Lett. 2006;580:2910–2916. doi: 10.1016/j.febslet.2006.03.028. [DOI] [PubMed] [Google Scholar]
- 10.Reynolds A, Laurie C, Mosley RL, Gendelman HE. International Review of Neurobiology. Vol. 82. Academic Press; San Diego, California, USA: 2007. pp. 297–325. [DOI] [PubMed] [Google Scholar]
- 11.Di Simplicio P, Franconi F, Frosali S, Di Giuseppe D. Amino Acids. 2003;25:323–339. doi: 10.1007/s00726-003-0020-1. [DOI] [PubMed] [Google Scholar]
- 12.Jacob C, Holme AL, Fry FH. Org Biomol Chem. 2004;2:1953–1956. doi: 10.1039/b406180b. [DOI] [PubMed] [Google Scholar]
- 13.Poole LB, Karplus PA, Claiborne A. Annu Rev Pharmacol Toxicol. 2004;44:325–347. doi: 10.1146/annurev.pharmtox.44.101802.121735. [DOI] [PubMed] [Google Scholar]
- 14.Giorgio M, Trinei M, Migliaccio E, Pelicci PG. Nat Rev Mol Cell Biol. 2007;8:722–728. doi: 10.1038/nrm2240. [DOI] [PubMed] [Google Scholar]
- 15.Hensley K, Floyd RA. Antioxid Redox Signal. 2005;7:523–525. doi: 10.1089/ars.2005.7.523. [DOI] [PubMed] [Google Scholar]
- 16.Stone JR. Arch Biochem Biophys. 2004;422:119–124. doi: 10.1016/j.abb.2003.12.029. [DOI] [PubMed] [Google Scholar]
- 17.Claiborne A, Yeh JI, Mallett TC, Luba J, Crane EJ, 3rd, Charrier V, Parsonage D. Biochemistry. 1999;38:15407–15416. doi: 10.1021/bi992025k. [DOI] [PubMed] [Google Scholar]
- 18.Aversa MC, Barattucci A, Bonaccorsi P, Giannetto Curr Org Chem. 2007;11:1034–1052. [Google Scholar]
- 19.Allison WS. Acc Chem Res. 1976;9:293. [Google Scholar]
- 20.Claiborne A, Mallett TC, Yeh JI, Luba J, Parsonage D. Adv Protein Chem. 2001;58:215–276. doi: 10.1016/s0065-3233(01)58006-7. [DOI] [PubMed] [Google Scholar]
- 21.Claiborne A, Miller H, Parsonage D, Ross RP. FASEB J. 1993;7:1483–1490. doi: 10.1096/fasebj.7.15.8262333. [DOI] [PubMed] [Google Scholar]
- 22.Lin WS, Armstrong DA, Gaucher GM. Can J Biochem. 1975;53:298–307. doi: 10.1139/o75-042. [DOI] [PubMed] [Google Scholar]
- 23.Willett WS, Copley SD. Chem Biol. 1996;3:851–857. doi: 10.1016/s1074-5521(96)90071-x. [DOI] [PubMed] [Google Scholar]
- 24.Benitez LV, Allison WS. J Biol Chem. 1974;249:6234–6243. [PubMed] [Google Scholar]
- 25.van Montfort RL, Congreve M, Tisi D, Carr R, Jhoti H. Nature. 2003;423:773–777. doi: 10.1038/nature01681. [DOI] [PubMed] [Google Scholar]
- 26.Ellis HR, Poole LB. Biochemistry. 1997;36:15013–15018. doi: 10.1021/bi972191x. [DOI] [PubMed] [Google Scholar]
- 27.Poole LB, Zeng BB, Knaggs SA, Yakubu M, King SB. Bioconjugate Chem. 2005;16:1624–1628. doi: 10.1021/bc050257s. [DOI] [PubMed] [Google Scholar]
- 28.Saurin AT, Neubert H, Brennan JP, Eaton P. Proc Natl Acad Sci U S A. 2004;101:17982–17987. doi: 10.1073/pnas.0404762101. [DOI] [PMC free article] [PubMed] [Google Scholar]
- 29.Poole LB, Ellis HR. Methods Enzymol. 2002;348:122–136. doi: 10.1016/s0076-6879(02)48632-6. [DOI] [PubMed] [Google Scholar]
- 30.Charles RL, Schroder E, May G, Free P, Gaffney PRJ, Wait R, Begum S, Heads RJ, Eaton P. Mol Cell Proteomics. 2007;6:1473–1484. doi: 10.1074/mcp.M700065-MCP200. [DOI] [PubMed] [Google Scholar]
- 31.Poole LB, Klomsiri C, Knaggs SA, Furdui CM, Nelson KJ, Thomas MJ, Fetrow JS, Daniel LW, King SB. Bioconjugate Chem. 2007;18:2004–2017. doi: 10.1021/bc700257a. [DOI] [PMC free article] [PubMed] [Google Scholar]
- 32.Leopz-Mirabal HR, Winter JR. Biochim Biophys Acta. 2007 doi: 10.1016/j.bbamcr.2007.10.013.. [DOI] [Google Scholar]
- 33.Agard NJ, Baskin JM, Prescher JA, Lo A, Bertozzi CR. ACS Chem Biol. 2006;1:644–648. doi: 10.1021/cb6003228. [DOI] [PubMed] [Google Scholar]
- 34.Hang HC, Loureiro J, Spooner E, van der Velden AW, Kim YM, Pollington AM, Maehr R, Starnbach MN, Ploegh HL. ACS Chem Biol. 2006;1:713–723. doi: 10.1021/cb600431a. [DOI] [PubMed] [Google Scholar]
- 35.Prescher JA, Bertozzi CR. Nat Chem Biol. 2005;1:13–21. doi: 10.1038/nchembio0605-13. [DOI] [PubMed] [Google Scholar]
- 36.Prescher JA, Dube DH, Bertozzi CR. Nature. 2004;430:873–877. doi: 10.1038/nature02791. [DOI] [PubMed] [Google Scholar]
- 37.Speers AE, Cravatt BF. J Am Chem Soc. 2005;127:10018–10019. doi: 10.1021/ja0532842. [DOI] [PMC free article] [PubMed] [Google Scholar]
- 38.Vocadlo DJ, Hang HC, Kim EJ, Hanover JA, Bertozzi CR. Proc Natl Acad Sci U S A. 2003;100:9116–9121. doi: 10.1073/pnas.1632821100. [DOI] [PMC free article] [PubMed] [Google Scholar]
- 39.Otto HH, Schirmeister T. Chem Rev. 1997;97:133–172. doi: 10.1021/cr950025u. [DOI] [PubMed] [Google Scholar]
- 40.Drenth J, Jansonius JN, Koekoek R, Wolthers BG. Adv Protein Chem. 1971;25:79–115. doi: 10.1016/s0065-3233(08)60279-x. [DOI] [PubMed] [Google Scholar]
- 41.Fuangthong M, Helmann JD. Proc Natl Acad Sci U S A. 2002;99:6690–6695. doi: 10.1073/pnas.102483199. [DOI] [PMC free article] [PubMed] [Google Scholar]
- 42.Saxon E, Bertozzi CR. Science. 2000;287:2007–2010. doi: 10.1126/science.287.5460.2007. [DOI] [PubMed] [Google Scholar]
- 43.Laughlin ST, Agard NJ, Baskin JM, Carrico IS, Chang PV, Ganguli AS, Hangauer MJ, Lo A, Prescher JA, Bertozzi CR. Methods Enzymol. 2006;415:230–250. doi: 10.1016/S0076-6879(06)15015-6. [DOI] [PubMed] [Google Scholar]
- 44.Sawa M, Hsu T-L, Itoh T, Sugiyama M, Hanson SR, Vogt PK, Wong C-H. Proc Natl Acad Sci U S A. 2006;103:12371–12376. doi: 10.1073/pnas.0605418103. [DOI] [PMC free article] [PubMed] [Google Scholar]
- 45.Speers AE, Adam GC, Cravatt BF. J Am Chem Soc. 2003;125:4686–4687. doi: 10.1021/ja034490h. [DOI] [PubMed] [Google Scholar]
- 46.Halliwell B. Biochem Pharmacol. 1988;37:569–571. doi: 10.1016/0006-2952(88)90126-8. [DOI] [PubMed] [Google Scholar]
- 47.Radi R, Beckman JS, Bush KM, Freeman BA. J Biol Chem. 1991;266:4244–4250. [PubMed] [Google Scholar]
- 48.Radi R, Bush KM, Cosgrove TP, Freeman BA. Arch Biochem Biophys. 1991;286:117–125. doi: 10.1016/0003-9861(91)90016-c. [DOI] [PubMed] [Google Scholar]
- 49.Carballal S, Radi R, Kirk MC, Barnes S, Freeman BA, Alvarez B. Biochemistry. 2003;42:9906–9914. doi: 10.1021/bi027434m. [DOI] [PubMed] [Google Scholar]
- 50.Lillig CH, Potamitou A, Schwenn JD, Vlamis-Gardikas A, Holmgren A. J Biol Chem. 2003;278:22325–22330. doi: 10.1074/jbc.M302304200. [DOI] [PubMed] [Google Scholar]
- 51.Men L, Wang Y. J Proteome Res. 2007;6:216–225. doi: 10.1021/pr0603809. [DOI] [PubMed] [Google Scholar]
- 52.Ahn NG, Shabb JB, Old WM, Resing KA. ACS Chem Biol. 2007;2:39–52. doi: 10.1021/cb600357d. [DOI] [PubMed] [Google Scholar]
- 53.Guerrera IC, Kleiner O. Biosci Rep. 2005;25:71–93. doi: 10.1007/s10540-005-2849-x. [DOI] [PubMed] [Google Scholar]
- 54.Ong SE, Mann M. Nat Chem Biol. 2005;1:252–262. doi: 10.1038/nchembio736. [DOI] [PubMed] [Google Scholar]
- 55.Shen Y, Smith RD. Expert Rev Proteomics. 2005;2:431–447. doi: 10.1586/14789450.2.3.431. [DOI] [PubMed] [Google Scholar]
- 56.Bulinski JC. Science. 2006;313:180–181. doi: 10.1126/science.1130813. [DOI] [PubMed] [Google Scholar]
- 57.Brennan JP, Wait R, Begum S, Bell JR, Dunn MJ, Eaton P. J Biol Chem. 2004;279:41352–41360. doi: 10.1074/jbc.M403827200. [DOI] [PubMed] [Google Scholar]
- 58.Johansson M, Lundberg M. BMC Biochem. 2007;8:26. doi: 10.1186/1471-2091-8-26. [DOI] [PMC free article] [PubMed] [Google Scholar]
- 59.Frein D, Schildknecht S, Bachschmid M, Ullrich V. Biochem Pharmacol. 2005;70:811–823. doi: 10.1016/j.bcp.2005.04.012. [DOI] [PubMed] [Google Scholar]
- 60.Stadtman ER, Berlett BS. Drug Metab Rev. 1998;30:225–243. doi: 10.3109/03602539808996310. [DOI] [PubMed] [Google Scholar]
- 61.Dalle-Donne I, Scaloni A, Butterfield DA, Desiderio DM, Nibbering NM, editors. Redox proteomics: From protein modifications to cellular dysfunction and diseases. 1. Wiley; New Jersey, USA: 2006. [DOI] [PubMed] [Google Scholar]
- 62.Michalek RD, Nelson KJ, Holbrook BC, Yi JS, Stridiron D, Daniel LW, Fetrow JS, King SB, Poole LB, Grayson JM. J Immunol. 2007;179:6456–6467. doi: 10.4049/jimmunol.179.10.6456. [DOI] [PubMed] [Google Scholar]
- 63.Kho Y, Kim SC, Jiang C, Barma D, Kwon SW, Cheng J, Jaunbergs J, Weinbaum C, Tamanoi F, Falck J, Zhao Y. Proc Natl Acad Sci U S A. 2004;101:12479–12484. doi: 10.1073/pnas.0403413101. [DOI] [PMC free article] [PubMed] [Google Scholar]
- 64.Wiskocil R, Weiss A, Imboden J, Kamin-Lewis R, Stobo J. J Immunol. 1985;134:1599–1603. [PubMed] [Google Scholar]
- 65.Yang K-S, Kang SW, Woo HA, Hwang SC, Chae HZ, Kim K, Rhee SG. J Biol Chem. 2002;277:38029–38036. doi: 10.1074/jbc.M206626200. [DOI] [PubMed] [Google Scholar]
- 66.Schuppe-Koistinen I, Moldeus P, Bergman T, Cotgreave IA. Eur J Biochem. 1994;221:1033–1037. doi: 10.1111/j.1432-1033.1994.tb18821.x. [DOI] [PubMed] [Google Scholar]
- 67.Cho S-H, Lee C-H, Ahn Y, Kim H, Kim H, Ahn C-Y, Yang K-S, Lee S-R. FEBS Lett. 2004;560:7–13. doi: 10.1016/s0014-5793(04)00112-7. [DOI] [PubMed] [Google Scholar]
- 68.Baty JW, Hampton MB, Winterbourn CC. Biochem J. 2005;389:785–795. doi: 10.1042/BJ20050337. [DOI] [PMC free article] [PubMed] [Google Scholar]
- 69.Woo HA, Kang SW, Kim HK, Yang KS, Chae HZ, Rhee SG. J Biol Chem. 2003;278:47361–47364. doi: 10.1074/jbc.C300428200. [DOI] [PubMed] [Google Scholar]
- 70.Antunes F, Cadenas E. FEBS Lett. 2000;475:121–126. doi: 10.1016/s0014-5793(00)01638-0. [DOI] [PubMed] [Google Scholar]
- 71.Makino N, Sasaki K, Hashida K, Sakakura Y. Biochim Biophys Acta. 2004;1673:149–159. doi: 10.1016/j.bbagen.2004.04.011. [DOI] [PubMed] [Google Scholar]
- 72.Funk MO, Nakagawa Y, Skochdopole J, Kaiser ET. Int J Pept Protein Res. 1979;3:296–303. doi: 10.1111/j.1399-3011.1979.tb01883.x. [DOI] [PubMed] [Google Scholar]
- 73.Singh R, Blattler WA, Collinson AR. Anal Biochem. 1993;213:49–56. doi: 10.1006/abio.1993.1384. [DOI] [PubMed] [Google Scholar]
- 74.Singh R, Blattler WA, Collinson AR. Methods Enzymol. 1995;251:229–237. doi: 10.1016/0076-6879(95)51125-3. [DOI] [PubMed] [Google Scholar]
- 75.Chartron J, Shiau C, Stout CD, Carroll KS. Biochemistry. 2007;46:3942–3951. doi: 10.1021/bi700130e. [DOI] [PMC free article] [PubMed] [Google Scholar]
Associated Data
This section collects any data citations, data availability statements, or supplementary materials included in this article.







