Abstract
Introduction
The possibility of predicting the presence of intra-abdominal adhesions in post-surgical patients undergoing further laparotomy or laparoscopy is of great interest for the general and laparoscopic surgeon. Inadvertent enterotomy during re-laparotomy or trocar insertion is a feared complication with a significant associated morbidity and mortality occurring in 20% in open surgery and between 1% and 100% in laparoscopy.
Materials and methods
Sonographic study of the visceral slide (i.e. the “back and forth” movement of the peritoneal layer in rhythm with respiration in relation to the steady inner fascial layer) was the hallmark for free access to the peritoneal cavity. In 60 consecutive patients, aged 28–77, who had previously undergone open abdominal surgery, pre-operative ultrasound (US) was performed on Aloka 5.500 device (Aloka, Tokyo, Japan) using convex and linear multifrequency probes.
Results
The possibility of safely performing trans-umbilical open laparoscopy (TUOL) was US evaluated in 35 (58.3%) patients scheduled for various abdominal laparoscopic procedures. This approach was successfully performed in 26 patients (74.3%). In 2 (5.7%) it was attempted but had to be changed due to the presence of previously undetected adhesions. In 7 patients (20%) pneumoperitoneum was induced by means of a Veress needle positioned in the upper left quadrant due to the presence of midline adhesions, which were confirmed after trocar insertion.
Among the remaining 25 patients who underwent re-laparotomy (41.6%), incision was performed outside the midline in 8 patients (32%) due to the presence of suspected midline adhesions, which were confirmed in 6 patients (24%).
Conclusions
In this study, pre-operative US evaluation showed a diagnostic accuracy of 93.3%.
Keywords: Abdominal ultrasound, Laparoscopy, Adhesions
Sommario
Introduzione
La possibilità di prevedere la presenza di aderenze intra-addominali, in pazienti già operati, è di grande interesse per il chirurgo. L'eventualità di un'enterotomia accidentale durante il re-intervento o nel posizionamento del primo trocar è una complicanza associata a morbilità e mortalità significative, che si verifica nel 20% dei casi in chirurgia open e tra l'1% e il 100% in laparoscopia.
Materiali e metodi
Lo studio ecografico del movimento dei visceri (il “va e vieni” del peritoneo con gli atti del respiro, rispetto al piano fasciale immobile) è stato considerato patognomonico per un libero accesso in addome. Abbiamo effettuato l'ecografia con un apparecchio Aloka 5.500 (Aloka; Tokyo, Giappone) con sonde convex e lineari multifrequenza, in 60 pazienti, di età compresa fra 28-77 anni, con pregressa chirurgia addominale.
Risultati
La possibilità di effettuare un accesso laparoscopico con TUOL (trans-umbilical open laparoscopy) è stata valutata ecograficamente in 35 pazienti (58,3%). La TUOL è stata effettuata con successo in 26 pazienti (74,3%). In 2 (5,7%) è stata tentata senza successo per la presenza di aderenze non evidenziate. In 7 pazienti (20%) lo pneumoperitoneo è stato indotto con ago di Veress posizionato nel quadrante supero-esterno, per la presenza di aderenze in sede mediana, che sono state confermate dopo l'inserzione del trocar.
Su 25 pazienti sottoposti a re-laparotomia (41,6%), l'incisione è stata effettuata al di fuori della linea mediana in 8 pazienti (32%), per la presenza di sospette aderenze, confermate in 6 (24%).
Conclusioni
Nella nostra esperienza l'ecografia ha avuto un'accuratezza diagnostica del 93,3%.
Introduction
Intra-abdominal adhesion is a threatening surgical complication associated with significant morbidity: bowel obstruction, chronic pain, infertility and iatrogenic injury during subsequent surgery. The incidence of inadvertent enterotomy during re-laparotomy or laparoscopic access in patients who have had previous surgery is a relevant figure attaining 20% in open surgery and 1–100% in laparoscopy [1]. Adhesions to the ventral abdominal wall account for the majority of trocar injuries; they often determine conversion to laparotomy and are associated with post-operative morbidity and increased hospital stay.
Laparoscopic access is difficult in patients who have had prior surgery through midline incision. In these cases it is unsafe to use the Hasson technique through a midline site because of the potential for adhesions of the bowel to the abdominal wall [2]. A simple technique aiming at a reliable detection of viscero-parietal adherences is therefore desirable in order to plan safe surgical access to the abdominal cavity. High resolution ultrasonography (US) has been tested for the ability to detect peritoneal adhesions in the evaluation of intraperitoneal meshes after ventral hernia treatment, and proved to be 75–78% accurate [3,4] with a sensitivity ranging from 77% to 83%. Pre-operative US has also been studied in the prediction of infraumbilical adhesions in patients who have had previous abdominal operations or infection and found to be 86% sensitive and 91% specific [5].
This technique is therefore a simple screening method which can assist in predicting the presence of viscero-parietal adherences in order to avoid iatrogenic bowel or vascular injury.
Materials and methods
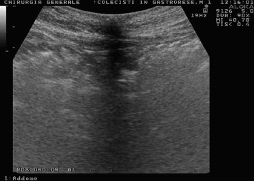
Sixty consecutive patients, aged 28–77, previously submitted to open abdominal surgery, were scheduled to undergo either laparoscopy (35 patients, 58.3%) or further open surgery (25 patients, 41.6%). All patients were evaluated pre-operatively by means of high resolution US using Aloka 5.500 (Aloka, Tokyo, Japan) provided with a multifrequency abdominal convex probe and linear small parts probe (Figs. 1–3). Adherence was suspected when the visceral slide, i.e. the “back and forth” movement of the peritoneal layer in relation to the fascial layer was absent or less than 1 cm.
Fig. 1.

US shows adherence of peritoneum to the sub-umbilical fascial layer.
Fig. 2.

US shows regular slide of peritoneum in a patient with previous gastrectomy.
Fig. 3.

Same case is shown using a small parts probe at 13 MHz scanning frequency.
Results
Out of 35 patients scheduled for laparoscopy, 28 (80%) were scheduled for trans-umbilical open access (TUOL). This approach was accomplished successfully in 26 patients (74.3%), whereas it had to be changed in 2 (5.7%) due to the presence of adherences which had previously eluded diagnosis. In 7 patients (20%) pneumoperitoneum was induced using a Veress needle inserted into the upper left quadrant due to suspicion of midline adherences, which were confirmed at the time of laparoscopy.
Twenty-five patients (41.6%) were scheduled for a new open surgical procedure. In 8 of these patients (32%) the abdomen was entered through a lateral incision, due to strong suspicion of midline adherences, which were confirmed at the time of surgery in 6 patients (24%).
US approach to reiterative surgery can prevent complications such as inadvertent enterotomy, which has not occurred since US evaluation of adherences was introduced as a routine examination in our department. Moreover, a more accurate estimate of operative time has been possible thanks to pre-operative US evaluation, since the necessity to dissect adhesions before executing the planned surgical procedure may take a long time (on average one fifth of the total operating time) [1] and therefore significantly affect the operation room schedule.
In our experience, US has proven to be a reliable tool for predicting the presence of viscero-parietal adherences in 56 out of 60 patients (93.3%). In 2 patients (3.3%) sub-umbilical adherences were underestimated, in 2 patients (3.3%) they were overestimated.
Discussion
The possibility of predicting the presence of viscero-parietal adherences in patients undergoing repeated surgery is of utmost importance, particularly when dealing with the problem of laparoscopic access. Most complications occurring in connection with this technique are related to the insertion of the first trocar, and the complication rate of laparoscopic access has been estimated as high as 0.12–1.38% in gynecologic surgery [6] and 0.05–0.3% in general surgery [7]. The complication incidence increases dramatically, up to 20% and more (1), in the presence of adherences due to previous surgery. In most cases, especially if midline incision was performed at previous gastric or colon surgery, surgeons therefore try to avoid the umbilical access for fear of entering an intestinal segment or causing bleeding from dense, vascularized adhesions.
A completely non-invasive technique is therefore required before a decision is made concerning laparoscopic or open surgery access. Based on previous experience related to the effects of intraperitoneal mesh fixation in hernia surgery (3–4), we decided to US evaluate all patients who had undergone previous surgical procedures involving a midline incision, establishing a threshold value of >1 cm for the sliding movement of the peritoneum in relation to the fascial layer for predicting the absence of adherences, thus allowing a safe laparoscopic or laparotomic access. The method proved reliable and reproducible with a predictive accuracy of 93.3%, and sensitivity as well as specificity of 96.6%.
The sub-umbilical area is in our experience a particularly favorable site for determining the presence of adhesions, since it is the anatomic site of fusion of the cutaneous with the fascial layer, thus reducing the artifacts due to subcutaneous and muscular tissue interposition, especially when a superficial small parts probe is used.
Based on our experience, US should be considered an essential diagnostic step when evaluating operated patients for further surgery, and it should be used in all patients scheduled for laparoscopy to rule out spontaneous adherences or vascular abnormalities in order to plan a safe approach to the abdominal cavity, reduce visceral and vascular complications and estimate possible extension of operative time.
Conflict of interest statement
The authors have no conflict of interest.
References
- 1.van Goor H. Consequences and complications of peritoneal adhesions. Colorectal Dis. 2007;9(Suppl. 2):25–34. doi: 10.1111/j.1463-1318.2007.01358.x. [DOI] [PubMed] [Google Scholar]
- 2.Vernon A.H., Hunter J.G. Maingot's abdominal operations. 11th ed. McGraw Hill Co.; 2007. Fundamentals of laparoscopic surgery; pp. 1099–1112. [Google Scholar]
- 3.Aubé C., Pessaux P., Tuech J.J., du Plessis R., Becker P., Caron C. Detection of peritoneal adhesions using ultrasound examination for the evaluation of an innovative intraperitoneal mesh. Surg Endosc. 2004;18(1):131–135. doi: 10.1007/s00464-003-9056-2. [DOI] [PubMed] [Google Scholar]
- 4.Arnaud J.P., Hennekinne-Mucci S., Pessaux P., Tuech J.J., Aubé C. Ultrasound detection of visceral adhesion after intraperitoneal ventral hernia treatment: a comparative study of protected versus unprotected meshes. Hernia. 2003;7(2):85–88. doi: 10.1007/s10029-003-0116-2. [DOI] [PubMed] [Google Scholar]
- 5.Tu F.F., Lamvu G.M., Hartmann K.E., Steege J.F. Preoperative ultrasound to predict infraumbilical adhesions: a study of diagnostic accuracy. Am J Obstet Gynecol. 2005;192(1):74–79. doi: 10.1016/j.ajog.2004.07.034. [DOI] [PubMed] [Google Scholar]
- 6.Jansen F.W., Kolman W., Bakkum E.A., de Kroon C.D., Trimbos-Kemper T.C., Trimbos J.B. Complications of laparoscopy: an inquiry about closed versus open entry technique. Am J Obstet Gynecol. 2004;190(3):634–638. doi: 10.1016/j.ajog.2003.09.035. [DOI] [PubMed] [Google Scholar]
- 7.Chandler J.G., Corson S.L., Way L.W. Three spectra of laparoscopic entry access injuries. J Am Coll Surg. 2001;192:478–490. doi: 10.1016/s1072-7515(01)00820-1. [DOI] [PubMed] [Google Scholar]
