Patients with a patent processus vaginalis may be at risk for hematocoele if meticulous hemostasis is not practiced during laparoscopic appendectomy.
Keywords: Hematocele, Laparoscopic Appendectomy, Processus vaginalis
Abstract
Background:
Laparoscopic appendectomy is one of the most common laparoscopic surgeries performed. We report an unusual complication of hematocele after laparoscopic appendectomy.
Case Description:
A 48-y-old male presented with swelling and discomfort in his right scrotum 11 d after he underwent laparoscopic appendectomy for acute appendicitis. Before the surgery, he had no scrotal swelling or inguinal hernia.
INTRODUCTION
Laparoscopic appendectomy is one of the most common laparoscopic surgeries performed.1 Appendicitis is a surgical emergency that calls for appendectomy by the laparoscopic or open method. Laparoscopic appendectomy was introduced with the intent to reduce some of the problems that were reported after open appendectomy, such as wound infections, postoperative pain, and duration of stay.2 It has definitively been able to address the problems mentioned above, but a different set of problems has been noted with laparoscopic appendectomy, including longer duration of surgery and increased risk of abdominal abscess.3–5 We present here an unusual complication after laparoscopic appendectomy: delayed hematocele.
A 48-y-old male presented with swelling and discomfort in his right scrotum 11 d after he underwent laparoscopic appendectomy for acute appendicitis. Before the surgery, he had no scrotal swelling or inguinal hernia. He was diagnosed with right-sided hematocele, for which he was treated.
CASE REPORT
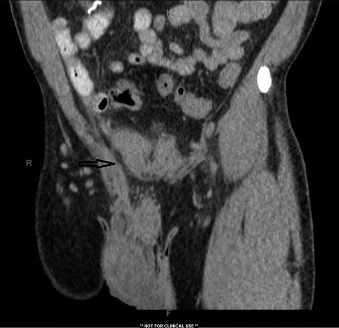
A 48-y-old male underwent an uneventful laparoscopic appendectomy for acute appendicitis. Surgery was done using 3 ports: a 10-mm infraumbilical port; a 5-mm suprapubic port; and another 5-mm port in the left iliac area. The pneumoperitoneum was created after inserting the first trocar and was set at 14 mm Hg. Intraoperatively, he was found to have an appendix adherent to the ileum. Duration of surgery was 49 min from skin incision to closure. He was discharged home the next day. However, he presented 11 d after surgery with complaints of severe pain and swelling of the right inguinoscrotal area. The swelling started appearing gradually after 9 d of surgery. He has no history of bleeding diathesis and was not on any anticoagulants. He was found to have a complete right-sided hydrocele, which was not transilluminant and extending to the right external inguinal ring. It was not possible to get above the swelling, and the swelling did not decompress on elevating the scrotum. He was afebrile, and his white blood cell counts were not elevated (8,300/cumm). On ultrasound, he had a complex hydrocele on the right side with an echo pattern comparable to blood (Figure 1). A computed tomography (CT) scan of the abdomen and pelvis revealed free fluid in the pelvis communicating with the right scrotal swelling (40HU) (Figure 2).
Figure 1.

Ultrasound of right scrotum. Sagittal view, showing the fluid collection (white marker), adjacent to the right testis (black marker).
Figure 2.

Coronal view of CT scan of the abdomen and pelvis showing pelvic fluid collection communicating with the right scrotal collection through a patent processus vaginalis.
DISCUSSION
Appendicitis is the most common general surgical emergency in the world.1 The currently recommended procedure of choice for treating appendicitis (especially in obese adults) is laparoscopic appendectomy for numerous reasons, including decreased pain and lower narcotic requirement, reduced length of stay in the hospital, fewer wound infections, and quicker return to routine activity.6 In addition, it helps in identifying other possible conditions that mimic appendicitis. This is especially important in women of reproductive age.7 Though the procedure is safe, it is associated with possible complications, such as intraabdominal abscess. Intraabdominal abscess is 3 times more common after laparoscopic appendectomy, compared with open appendectomy.6 There have been no reports of delayed scrotal hematocele, to the best of our knowledge. Only one similar report was found in which a patient developed postoperative infected hydrocele on postoperative day 1 after laparoscopic appendectomy.8 Similar findings were observed after laparoscopic cholecystectomy by Kaner et al.9 in a 54-y-old man on postoperative day 1. There were no reports of a delayed development of scrotal or inguinoscrotal swelling.
These researchers postulated that increased intraabdominal pressure from the pneumoperitoneum created during surgery resulted in opening of the processus vaginalis and resulted in the pelvic collection tracking in the dependent area,9 or a congenital inguinal hernia may have been the cause for the swelling, allowing the fluid to track down the scrotum.8 Both theories are supported by the persistence of patient processus vaginalis. We believe that both mechanisms may be involved, coupled with physical activity or straining, causing increased intraabdominal pressure and leading to a secondary hemorrhage and delayed collection in the scrotum. Similar presentations of scrotal swellings for a distant pathology have been reported in pediatric populations, but not very often in adults. Scrotal hematoma or swelling in newborns has been associated with a number of diseases, including meconium peritonitis, traumatic hemorrhage, adrenal hemorrhages,10 and gastric perforation.11
Although present in the majoriy of newborn male infants, the incidence of patent processus vaginalis declines to 60% at the age of 1 y and 15% to 37% at adulthood. It allows the passage of intraperitoneal content from the abdomen to the scrotum. Twenty percent of people in whom the processus vaginalis remains patent develop inguinal hernia and hydrocele during their life.12 It is bilaterally present in 12% of patients with congenital inguinal hernia.13 Smooth muscle has been identified in processus vaginalis tissue, but not in the healthy peritoneum. The amount of smooth muscle present may correlate with the degree of patency. For example, higher amounts of smooth muscle have been found in hernia sacs than in the patent processus vaginalis of hydroceles. Investigation continues to determine the role of smooth muscle in the pathogenesis of this condition.
Because the collection in the scrotum was organized and there was no evidence to support any ongoing bleeding, the patient was observed. He was referred for inguinal herniorrhaphy after resolution of the fluid or by drainage after aspiration.
CONCLUSION
Meticulous hemostasis is of great importance in any surgery. Better hemostasis could have prevented the swelling. Surgeons should avoid high intraabdominal pressures with the pneumoperitoneum during laparoscopic surgery in patients with patent processus vaginalis. If there is no evidence of continuing bleeding, scrotal hematocele can be generally dealt with by conservative treatment. It is important to address the patent processus vaginalis, which predisposes the patient to an inguinal hernia later in life.
Contributor Information
Sushant Chaudhary, Department of Surgery, Providence Hospital and Medical Centers, Southfield, MI, USA..
Jasneet Singh Bhullar, Department of Surgery, Providence Hospital and Medical Centers, Southfield, MI, USA..
Gokulakrishna Subhas, Department of Surgery, Providence Hospital and Medical Centers, Southfield, MI, USA..
Vijay K. Mittal, Department of Surgery, Providence Hospital and Medical Centers, Southfield, MI, USA..
References:
- 1. Addiss DG, Shaffer N, Flower BS, Tauxe RV. The epidemiology of appendicitis and appendectomy in the United States. Am J Epidemiol. 1990;132:910–925 [DOI] [PubMed] [Google Scholar]
- 2. Fingerhut A, Millat B, Borrie F. Laparoscopic versus open appendectomy: time to decide. World J Surg. 1999;22:835–845 [DOI] [PubMed] [Google Scholar]
- 3. Sauerland S, Lefering R, Meugebauer EA. Laparoscopic versus open surgery for suspected appendicitis. Cocharane Database Syst Rev. 2004;CD001546. [DOI] [PubMed] [Google Scholar]
- 4. Golub R, Siddiqui F, Pohl D. Laparoscopic versus open appendectomy: a metaanalysis. J Am Coll Surg. 1998;186:545–553 [DOI] [PubMed] [Google Scholar]
- 5. Ortega AE, Hunter JG, Peter JH, Swanstrom LL, Schirmer B. A prospective, randomized comparison of laparoscopic appendectomy with open appendectomy. Laproscopic Appendectomy Study Group. Am J Surg. 1995;169:208–212 [DOI] [PubMed] [Google Scholar]
- 6. Corneille MG, Steigelman MB, Myers JG, et al. Laparoscopic appendectomy superior to open appendectomy in obese patients. Am J Surg. 2007;194:877–880 [DOI] [PubMed] [Google Scholar]
- 7. Borgstein PJ, Gordijn RV, Eijsbouts QA, Cuesta MA. Acute appendicitis—a clear cut case in men, a guessing game in young women. A prospective study on the role of laparoscopy. Surg Endosc. 1997;11:923–927 [DOI] [PubMed] [Google Scholar]
- 8. Lantsberg L, Mor I, Levy I, Koda J. Infected hydrocele following laparoscopic appendectomy: case report. Surg Laparosc Endosc. 1997;7:262. [PubMed] [Google Scholar]
- 9. Kauer W, Brune I, Feussner H, Hartung R, Siewert JR. Hydrocele following laparoscopic cholecystectomy. Endoscopy. 1993;25:372–373 [DOI] [PubMed] [Google Scholar]
- 10. Goncalves R, Abuabara A, Abuabara RF, Feron CA. Scrotal hemorrhage as a sign of adrenal hemorrhage in newborns. São Paulo Med J. 2011;129:113–115 [DOI] [PMC free article] [PubMed] [Google Scholar]
- 11. Antoniou D, Plataras C, Zarifi M, Christopoulos G. Sonographic diagnosis of aneonatal gastric perforation presenting with scrotal swelling. Pediatr Med Chir. 2011;33:89–91 [PubMed] [Google Scholar]
- 12. Rowe MI, Copelson LW, Clatwrthy HW. The patent processus vaginalis and the inguinal hernia. J Peditr Surg. 1969;4:102–107 [DOI] [PubMed] [Google Scholar]
- 13. Van Veen RN, Van Wassem KJ, Halm JA, et al. Patent processus vaginalis in adults as a risk factor for the occurrence of indirect inguinal hernia. Surg Endosc. 2007;21:202–205 [DOI] [PubMed] [Google Scholar]
