Abstract
Posterior reversible encephalopathy syndrome (PRES) is a neurological disorder characterised by distinct radiological features. Common precipitants of this disorder include acute medical illness, hypertensive crisis, eclampsia, immunosuppressive therapy and chemotherapy. We present the case of a patient with advanced ovarian carcinoma who developed PRES shortly after receiving bevacizumab (Avastin), an inhibitor of vascular endothelial growth factor. The patient's medical history and clinical presentation both suggest bevacizumab as the precipitator for PRES. This agent has been often overlooked as a possible cause of this rare neurological syndrome.
Background
PRES is a devastating neurological complication of bevacizumab therapy and the clinicians must be aware of its presentation and management. The remarkable occurrence of PRES in the absence of hypertension in this case is a contrast to previously published literature.
The clinical use of bevacizumab is becoming more popular and so early detection of this syndrome and withdrawal of the drug are vital in preventing lasting neurological deficits.
Case presentation
Our patient is 31-year-old woman diagnosed with metastatic high-grade endometrioid ovarian adenocarcinoma with squamous differentiation. The patient received seven cycles of chemotherapy with paclitaxel, cetuximab and carboplatin over a 5-month period.
Following her initial response to chemotherapy, the patient progressed as revealed by a CT scan that showed local disease recurrence with innumerable metastatic liver lesions. As a result, the patient's treatment strategy was then modified to bevacizumab in combination with paclitaxel chemotherapy regimen.
Two months later, on admission to the hospital for initiation of her new chemotherapy regimen, our patient complained of easy fatigability and generalised weakness, otherwise, her physical examination was normal. Laboratory evaluation revealed hypercalcaemia (Ca 12.7 mg/dl), hypernatraemia (Na 150 mmol/l), hypophosphataemia (PO4 1.9 mmol/l) and hypokalaemia (K 2.9 mmol/l) for which appropriate electrolyte replacements were initiated. The next day and after correcting the electrolyte disturbances and stabilising the patient, chemotherapy with paclitaxel and bevacizumab was started.
Sixteen hours after the administration of the first dose of bevacizumab the patient developed a generalised tonic–clonic seizure that lasted for 10 min, and necessitated prophylactic intubation. The seizures were controlled by antiepileptic medications.
Physical examination was pertinent to bilaterally positive planter reflexes; no other focal neurological deficit could be detected.
Upon stabilisation of the patient, an enhanced MRI of the brain showed symmetrical abnormal high fluid attenuation inversion recovery (FLAIR) signal intensity in the cortico-subcortical white matter of the parieto-occipital lobes and cerebellum. There was also symmetrical abnormal high signal in the frontal lobes, in the brain stem and pons. Enhanced MRI showed foci of enhancement in the subcortical white matter (figures 1A,B and 3A).
Figure 1.

Axial fluid attenuation inversion recovery (FLAIR) MRIs at the level of the centrum semiovale (A) and at the level of the cerebellum (B). The figure obtained after the patient sustained a tonic–clonic seizure showing symmetrical abnormal high FLAIR signal in the cortico-subcortical white matter of parieto-occipital lobes and cerebellum (figure 1A). There was also symmetrical abnormal signal in the frontal lobes, in the brain stem and pons (figure 1B).
Figure 2.

Axial fluid attenuation inversion recovery (FLAIR) MRIs at the level of the centrum semiovale (A) and at the level of the cerebellum (B). A follow-up 6 days later (A and B) showing decrease and resolution of the symmetrical abnormal high FLAIR signal.
Figure 3.

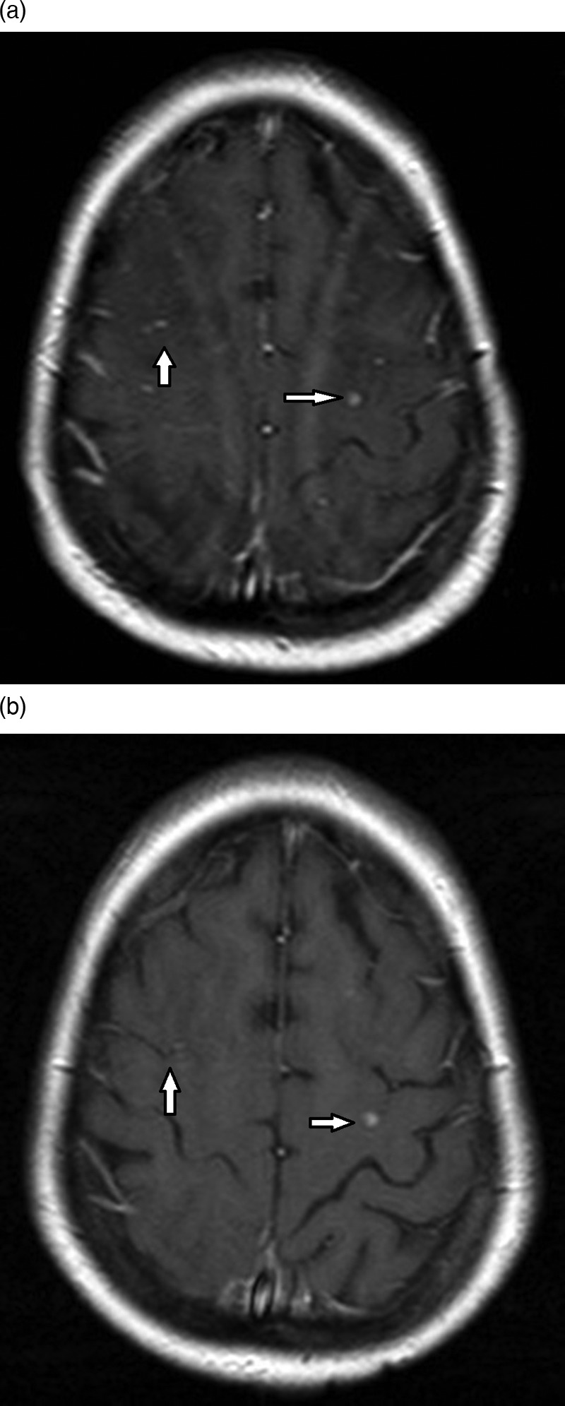
Axial T1-weighted MRIs with gadolinium at the level of the centrum semiovale. (A) Obtained after the patient sustained a tonic–clonic seizure showing punctuate foci of enhancement in the centrum semiovale. (B) Follow-up 6 days later showing persistence of punctuate foci of enhancement.
EEG revealed severe generalised cerebral dysfunction with no electrophysiological evidence of epileptic disorder. Urinalysis revealed trace proteinuria but otherwise negative for infection. Both the clinical and radiological abnormalities were highly consistent with PRES.
Investigations
Included within case presentation.
Differential diagnosis
Tumour metastasis (punctate foci noted on MRI). Posterior reversible encephalopathy syndrome.
Treatment
Initial management included resuscitation and stabilisation of the patient, followed by administering anticonvulsant therapy to control the seizures.
Based on the clinical presentation and the radiological evidence, one of the differential diagnoses was bevacizumab-induced PRES and so it was withdrawn and soon after both clinical and radiological improvement ensued.
Outcome and follow-up
The patient did not develop further seizures and had no lasting neurological deficits. Her extubation was delayed for 6 days owing to ventilator-associated pneumonia, which was treated successfully.
Follow-up MRI performed 6 days later (figure 2A,B) showed decrease in the abnormal signal described in the frontal and parieto-occipital lobes as well as in the posterior fossa and brain stem, which follows the natural evolution of this syndrome. The punctuate foci of enhancement initially were attributed to PRES but once they were found to be persistent (figure 3B), metastasis was a more acceptable explanation.
Discussion
In our patient, the occurrence of the seizure after the infusion of bevacizumab coupled with the radiological features on brain MRI is highly suggestive of PRES. Hinchey et al1 first described PRES in 1996, it presents as an acute encephalopathy with diverse neurological symptoms including headache, vomiting, visual disturbances, deterioration in the level of consciousness as well as seizures, that are either focal or generalised, with multiple seizure episodes being commonly encountered. PRES is associated with many conditions such as renal diseases, severe hypertension, eclampsia, pre-eclampisa, cerebrovascular events, autoimmune diseases and administration of immunosuppresive agents.1 2
The typical imaging findings are hyperintense signals on T2-weighted images and FLAIR in the parieto-occipital lobes as well as in the posterior frontal cortical and subcortical white matter.1 3 Less commonly, there are abnormal signals in the brain stem, basal ganglia and cerebellum. Foci of enhancement and punctuate restricted diffusion are also reported and suggest a worse prognosis. Although brain metastasis and PRES have no relation, coexistence of both has been reported in the literature.4 A complete resolution of both the clinical symptoms and imaging abnormalities occurs after withdrawal of the precipitating factor.1
The mechanism behind the development of this syndrome is not well understood; two possible theories have been postulated. One theory incorporates a hyperperfusion state with extravasation of fluids through the blood brain barrier leading to cortical and subcortical oedema, and the other is diffuse vasoconstriction, hypoperfusion with subsequent ischaemia,5 either of which will result in the typical radiological findings mainly in the posterior cerebral portions of the brain followed by the frontal and temporal lobes.3 Posterior is actually a misnomer because it is not entirely a posterior phenomenon, but rather starts gradually in a posterior–anterior distribution.
Hypertension is a frequent finding on physical examination in patients with PRES, about 70–80% of patients have moderate–severe hypertension that will precipitate this syndrome3; however, our patient's blood pressure at the time of the seizure and all throughout hospitalisation remained within the normal range (∼130/80 mm Hg).
The presence of hypernatraemia and hypercalcaemia in our patient might have been thought of as a precipitator of a generalised seizure. Neuroimaging in adult patients with hypernatraemia reveals myelinolysis of the brain stem and carry no similarity to the changes found in PRES.6 Higher levels of serum calcium than those found in our patient can be accountable for development of PRES as has been previously reported.7–10 Clinical evaluation of the aforementioned electrolyte abnormalities suggested dehydration as a probable cause and no other explanation could be found. Hypokalaemia was not a new finding in our patient and it has been attributed to the prolonged platinum-based chemotherapy.11
Targeting angiogenesis is a tumour starving strategy that affects neovessel formation as well as normal endothelial function.12 Blockade of VEGF-A by bevacizumab has systemic effects on endothelium that can manifest as hypertension and proteinuria.
Bevacizumab has been approved in many solid tumours.12 13 A phase III trial conducted recently showed improved progression-free survival in cases of ovarian carcinoma resistant to platinum-based chemotherapy.14 Many adverse events, most frequently hypertension and proteinuria, have been associated with the use of bevacizumab.12 13 15 Interestingly, the occurrence of adverse events has been considered as a marker of the biological activity of bevacizumab.15
The association of PRES with bevacizumab was first described in the literature in 2006.16 Since then only two definitive cases of PRES following the use of bevacizumab for advanced malignancy have been identified as2 the incidence of this syndrome is estimated to be less than 1%.17 18 In the case of our patient the contribution of bevacizumab to PRES is more likely since she has received previously seven cycles of chemotherapy with carboplatin as part of the regimen and did not develop a similar complication; however, the occurrence of PRES after high-dose multidrug chemotherapy has been described previously and remains a possibility in this case.3 To our knowledge no reports associated paclitaxel or cetuximab with the occurrence of PRES. The patient's blood pressure was controlled throughout her hospital stay. The presence of trace proteinuria on urine dipstick supports the development of endothelial dysfunction and protein leakage secondary to the effect of bevacizumab.
We postulate that bevacizumab through its selective inhibitory effect of vascular endothelial growth factor-A (VEGF-A) binding to VEGF 1 (VEGFR1) and 2 receptors might have induced a systemic state of endothelial dysfunction via the subsequent signalling pathway down regulation whereby the effect has included the cerebral vasculature leading to the development of PRES. In the reported cases of bevacizumab-induced PRES withdrawal of the drug was followed by clinical improvement and radiological resolution of the MRI changes as early as 1 day from symptom onset.2
Learning points.
Rapid assessment of the clinical condition and appropriate management within a short period is most crucial in managing acutely sick patients.
Recognising that bevacizumab can precipitate posterior reversible encephalopathy syndrome (PRES) in the absence of hypertension.
Withdrawal of offending agent alongside supportive therapy is a key to recovery.
Maintaining high levels of monitoring until complete resolution of clinical symptoms and radiological features.
Footnotes
Competing interests: None.
Patient consent: Obtained.
Provenance and peer review: Not commissioned; externally peer reviewed.
References
- 1.Hinchey J, Chaves C, Appignani B. A reversible posterior leukoencephalopathy syndrome. N Engl J Med 1996;334:494–500 [DOI] [PubMed] [Google Scholar]
- 2.Seet RCS, Rabinstein AA. Clinical features and outcomes of posterior reversible encephalopathy syndrome following bevacizumab treatment. QJM 2012;105:69–75 [DOI] [PubMed] [Google Scholar]
- 3.Bartynski WS. Posterior reversible encephalopathy syndrome. Part 1: fundamental imaging and clinical features. Am J Neuroradiol 2008;29:1036–42 [DOI] [PMC free article] [PubMed] [Google Scholar]
- 4.Irvin W, MacDonald GG, Smith JK. Dexamethasone-induced posterior reversible encephalopathy syndrome. J Clin Oncol 2007;25:2484–6 [DOI] [PubMed] [Google Scholar]
- 5.Bartynski WS. Posterior reversible encephalopathy syndrome. Part 2: controversies surrounding pathophysiology of vasogenic edema. Am J Neuroradiol 2008;29:1043–9 [DOI] [PMC free article] [PubMed] [Google Scholar]
- 6.Kumar S, Fowler M, Gonzalez-Toledo E. Central pontine myelinolysis, an update. Neurol Res 2006;28:360–6 [DOI] [PubMed] [Google Scholar]
- 7.Kim JH, Kim MJ, Kang JK. Vasogenic edema in a case of hypercalcemia-induced posterior reversible encephalopathy. Eur Neurol 2005;53:160–2 [DOI] [PubMed] [Google Scholar]
- 8.Kastrup O, Maschke M, Wanke I, et al. Posterior reversible encephalopathy syndrome due to severe hypercalcemia. J Neurol 2002;249:1563–6 [DOI] [PubMed] [Google Scholar]
- 9.Ma ESK, Chiu EKW, Fong GCY. Burkitt lymphoma presenting as posterior reversible encephalopathy syndrome secondary to hypercalcaemia. Br J Haematol 2009;146:584. [DOI] [PubMed] [Google Scholar]
- 10.Patejdla R, Borchertb K, Pagumbkea H. Posterior reversible encephalopathy syndrome (PRES): an unusual primary manifestation of a diffuse large B-cell lymphoma. Clin Neurol Neurosurg 2011;113:819–21 [DOI] [PubMed] [Google Scholar]
- 11.Filastre JP, Raguenez-Viotte G. Cisplatin nephrotoxicity. Toxicol Lett 1989;46:163–75 [DOI] [PubMed] [Google Scholar]
- 12.Homsi J, Daud AI. Spectrum of activity and mechanism of action of VEGF/PDGF inhibitors. Cancer Control 2007;14:285–94 [DOI] [PubMed] [Google Scholar]
- 13.Mukherji SK. Bevacizumab (avastin). Am J Neuroradiol 2010;31:235–6 [DOI] [PMC free article] [PubMed] [Google Scholar]
- 14.Perren TJ, Swart AM, Pfisterer J. A phase 3 trial of bevacizumab in ovarian cancer. N Engl J Med 2011;365:2484–96 [DOI] [PubMed] [Google Scholar]
- 15.BC Cancer Agency Cancer management guidelines: management guidelines of bevacizumab-related side effects. British Columbia, Canada: 2006. [Google Scholar]
- 16.Gluske P, Ozcan C. Reversible posterior leukoencephalopathy syndrome and bevacizumab. N Engl J Med 2006;354:980–2 [PubMed] [Google Scholar]
- 17.Scartozzi M, Galizia E, Chiorrini S. Arterial hypertension correlates with clinical outcome in colorectal cancer patients treated with first-line bevacizumab. Ann Oncol 2009;20:227–30 [DOI] [PubMed] [Google Scholar]
- 18.Genentech, Inc.; Avastin prescribing information. http://www.gene.com/download/pdf/avastin_prescribing.pdf (accessed 5 Feb 2012) [Google Scholar]
