Abstract
The inhibitory capacity of C-Npys (S-[3-nitro-2-pyridinesulfenyl]) derivatives over thiol-containing serine proteases has never been tested. In the present work we used an extracellular serine-thiol proteinase activity from the fungal pathogen Paracoccidioides brasiliensis (PbST) to describe a potent inhibitory capacity of Bzl-C(Npys)KRLTL-NH2 and Bzl-MKRLTLC(Npys)-NH2. The assays were performed with PbST enriched upon affinity chromatography in a p-aminobenzamidine (pABA)-Sepharose column. Although PbST can cleave the fluorescence resonance energy transfer peptide Abz-MKRLTL-EDDnp between L-T, the C(Npys) derivatives were not substrates nor were they toxic in a cell detachment assay, allowing therapeutic use. The best inhibitor was Bzl-C(Npys)KRLTL-NH2 (Ki = 16 nM), suggesting that the peptide sequence promoted a favorable interaction, especially when C(Npys) was placed at a further position from the L-T bond, at the N-terminus. Inhibition was completely reverted with dithioerythritol, indicating that it was due to the reactivity of the C(Npys) moiety with a free SH- group.
Keywords: Paracoccidioides brasiliensis, serine-thiol proteinase, Npys
Introduction
Extracellular proteinases can facilitate the process of invasion and dissemination of microorganisms through the human tissues by degrading extracellular-associated proteins [1]. Our group has previously characterized an extracellular subtilisin-like serine proteinase activity in the yeast phase of the human pathogen Paracoccidioides brasiliensis [2]. This activity is able to selectively degrade, in vitro, murine laminin, human fibronectin, type IV-collagen, and proteoglycans, while common proteins like bovine serum albumin (BSA) or casein are not cleavable substrates [3]. The proteinase is able to hydrolyze fluorescence resonance energy (FRET) peptides homologous to MKRLTL, which are flanked by Abz (ortho-aminobenzoic acid) and EDDnp (N-[2,4-dinitrophenyl]ethylenediamine). Cleavage occurs between the Leu-Thr bond at an optimum alkaline pH and is inhibited by PMSF, mercuric acetate, and p-HMB (sodium 7-hydroxymercuribenzoate), but not by E-64 [2]. Therefore, the enzymatic activity has been classified as a thiol-containing subtilisin-like serine proteinase (PbST, for P. brasiliensis serine-thiol proteinase) belonging to the group of proteinase K. In addition, we have recently described a novel type of regulation of the PbST activity against Abz-MKALTLQ-EDDnp by neutral polysaccharides, including a fungal extracellular galactomannan, which might help stabilize the enzyme [4].
P. brasiliensis is a dimorphic fungus that causes paracoccidioidomycosis (PCM), a potentially lethal systemic mycosis with multiple clinical forms that is prevalent in South America [5]. The fungus grows in the infective mycelial phase at environmental temperatures below 26°C and in the yeast pathogenic phase at body temperatures of about 37°C. PCM is a granulomatous mycosis that starts in the lungs and tends to disseminate rapidly through the lymphatic system in juvenile (acute and subacute) forms. In adult (chronic) forms, active disease affects especially the lungs, however dissemination to the cutaneous, mucocutaneous tissues or other organs is likely to occur through the blood and lymphatic route. In this context, PbST is a potential virulence factor that could contribute to fungal spread to surrounding and/or distant tissues.
The S-(3-nitro-2-pyridinesulfenyl) group – C(Npys) – has originally been used for protection in peptide synthesis [6] and later demonstrated to be effective in the design and synthesis of thiol proteinase irreversible inhibitors [7]. These compounds have been found to be highly specific to cysteine proteinases due to their capacity of selectively reacting with free thiol groups to form unsymmetrical disulfide bonds [8] and their inability to inhibit serine or acid proteinases [7]. A variety of cysteine proteinase inhibitors have been developed such as diazomethyl ketones, halomethyl ketones, and epoxides [9]. However, they are strong electrophilic reagents and may alkylate non-targeted enzymes and other biomolecules in vivo [10], preventing any therapeutic use. The C(Npys) compounds represent an alternative to overcome this problem, considering that they promote the formation of disulfide bonds without non-specific alkylation, but still keep the ability of being specific inhibitors.
The inhibitory capacity of C(Npys) derivatives over thiol-containing subtilisins has never been tested. In the present work, we used PbST to describe a potent inhibitory capacity of two peptides derived from MKRLTL coupled with the C(Npys) group.
Materials and methods
Isolation of the serino-thiol proteinase activity
Culture supernatants containing PbST activity against Abz-MKALTLQ-EDDnp were obtained from P. brasiliensis B-339 as previously described [3,4] and buffered to a final concentration of 50 mM Tris-HCl, pH 8.0, containing 1.0 M NaCl, which did not alter the initial proteolytic activity. Aliquots (40 ml) were chromatographed, using a peristaltic pump, in an affinity column of p-aminomethylbenzamidine (pABA) Sepharose (Pharmacia/LKB) previously equilibrated in the same buffer. After a washing step with 10 volumes of the same buffer, bound compounds were eluted with 50 mM glycine, pH 3.0, into 1.0-mL fractions immediately neutralized with Tris-HCl. The fractions were analyzed for proteolytic activity against Abz-MKALTLQ-EDDnp, as described below, and against fibronectin (FN, 2 µg) as described by Puccia et al. [3]. Activity was assayed in 50 mM Tris-HCl, pH 8.0. Fibronectin was purified from sera donated from healthy individuals by chromatography in gelatin-Sepharose (Amersham Biosciences, GE Healthcare), as described [11]. Protein contents were visualized in Coomassie blue and/or silver-stained SDS-PAGE gels [12].
Peptide synthesis
The FRET substrate Abz-MKALTLQ-EDDnp was synthesized using the solid phase synthesis method [13] according to the Fmoc procedure. An automated bench-top simultaneous multiple solid-phase peptide synthesizer (PSSM 8 system; Shimadzu) was used in the synthesis. The inhibitor peptides Bzl-MKRLTLC(Npys)-NH2 and Bzl-C(Npys)KRLTL-NH2 were prepared by the solid phase methodology using Boc-amino acids according to the general procedure described previously [14]. All the peptides were purified by semi-preparative h.p.l.c. using an Econosil C-18 column. The molecular mass and purity were checked by amino acid analysis and by mass spectrometry using a matrix assisted laser-desorption ionization-time-of-flight-mass spectrometer (MALDI-TOF-MS) TOFSpec E instrument (Micromass, Manchester, Waters, U.K.).
Enzymatic assays
The proteolytic activity of PbST against Abz-MKALTLQ-EDDnp was determined at 37°C in 50 mM Tris-HCl, pH 8.0, in a Hitachi F-2000 spectrofluorometer (excitation=320 nm; emission=420 nm), as described previously [2]. The effect of Boc-C(Npys), Bzl-MKRLTLC(Npys)-NH2 and Bzl-C(Npys)KRLTL-NH2 in the enzymatic activity was determined using the same procedure, after 5 min of pre-incubation with the enzyme preparation. Kinetic parameters were determined by measuring the initial rate of hydrolysis at various inhibitor concentrations and the residual activity was evaluated. Fluorescence emission was continuously measured and inhibition constant values (Ki) were obtained using the GraFit 3.0 computer program (Erithacus Software Ltd.).
Cell detachment assays
LLC-MK2 cells were expanded overnight in 24-well culture plates (2 × 104 cells/mL/well) at 37°C, in a 5% CO2 chamber. The cells were maintained in DMEM (Dulbecco’s Modified Eagle Medium, Gibco) containing 0.37% NaHCO3 and 10% FBS. The plastic-attached cells were washed five times with 0.5 mL of phosphate-buffered saline (PBS), then incubated for 5, 10, 15, 20, 30, 45 or 60 min with 200 µL of PBS/0.05 M EDTA containing 10 µL of PbST preparation (fraction 4, Fig. 1) previously inactivated or not by incubation with C(Npy) inhibitors for 10 minutes at 37°C. Controls were assayed in the absence of enzyme. Classical inhibitors were used to characterize the activity at the following excess concentrations: 2 mM PMSF, 1 mM p-HMB, 0.13 mM E-64, and 13 µM pepstatin. The tests were performed in the presence of EDTA, which inhibits metallo proteinases. Cells were harvested and counted in a Neubauer chamber using Trypan blue staining for viability. The experiments were carried out in triplicates and statistical analyses were performed using the one-tailed distribution Student’s t-test.
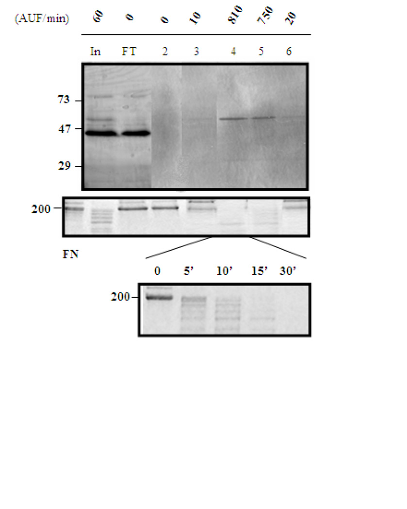
Fig 1.
Isolation of PbST by chromatography in a pABA-Sepharose column. Upper panel: silver-stained 10% SDS-PAGE gel showing the profile of culture supernatant (10 µl) from Pb339 yeast cells before (In) and after (FT) chromatography. Eluted fractions are numbered. The hydrolytic activity against Abz-MKALTLQ-EDDnp produced by a 10 µl-aliquot of each fraction is shown as arbitrary units of fluorescence per minute (AUF/min). The results are not presented in terms of specific activity due to the low protein contents. The hydrolytic activity against fibronectin (FN) correspondent to incubation with each fraction at 37°C for 30 min is shown in a Coomassie blue-stained 8% SDS-PAGE gel. A time-course of FN cleavage after incubation for 5, 10, 15, and 30 min with peak fraction 4 (10 µl) is also depicted. The positions of molecular mass markers (kDa) and of one of the FN chain are shown on the left.
In-gel protein digestion and LC-MS/MS analysis
Proteins fractionated by SDS-PAGE were silver-stained using the Vorum method [15]. In-gel protein digestion was performed as described [16]. Resulting peptides were recovered from the gel and desalted in a Poros R2-50 (Applied Biosystems) zip-tip, dried in a vacuum centrifuge, dissolved in 30 µL of 0.1% formic acid (FA), and subjected (1 µL) to liquid chromatography-mass spectrometry (LC-MS) analysis. LC was performed in a PepMap reversed-phase column (15 cm × 75 µm, 3-µm C18, LC Packings, Dionex) coupled to an Ultimate (LC Packings, Dionex) nanoHPLC. Bound peptides were eluted with 5–42.5% acetonitrile/0.1% FA over 30 min and directly analyzed in a Q-tof 1 (Micromass, Waters) mass spectrometer. Spectra in positive-ion mode were collected in the 400–1800 m/z range, and each peptide was fragmented (MS/MS) for 3 seconds in the 50–2050 m/z range. MS data were converted into peak lists (PKL format) and analyzed by the Phenyx (GeneBio) and Mascot (Matrix Science) softwares through the NCBInr and P. brasiliensis protein and nucleotide sequences from GenBank. Peptides with no match in these databases were subjected to de novo sequencing using the MassLynx v4.0 software (Waters).
Results and discussion
In previous publications we characterized the PbST activity using preparations of P. brasiliensis supernatants enriched by either ion exchange/gel-filtration chromatography [2,3] or hydrophobic phenyl-Superose columns [4,17]. To date, we have tried to purify the proteinase using many different chromatographic methods [not published], however total purification of the active proteinase has never been achieved due to aggregation to other fungal components and/or loss of enzymatic activity after several chromatographic steps.
Presently, a cell-free supernatant from P. brasiliensis B-339 yeast-cell culture bearing PbST proteolytic activity was fractionated in a pABA Sepharose column. The p-aminobenzamidine (pABA) compound is a commercially available competitive inhibitor of trypsin that binds to the specificity cleavage pocket of the enzyme [18]. We observed that the PbST activity capable of hydrolyzing the FRET peptide substrate Abz-MKALTLQ-EDDnp was bound to the column and predominantly eluted in fractions 4 and 5, as seen in Fig. 1. These fractions also concentrated the proteolytic activity towards fibronectin found in total supernatants, as suggested by extensive degradation of the protein resulting from incubation with fractions 4 or 5 (Fig. 1). A time-course assay showed that the proteolytic activity contained in fraction 4 (PbST-4) was so strong that after only 5 min of incubation protein degradation was already evident (Fig. 1, bottom). Enzymatic cleavage of Abz-MKALTLQ-EDDnp or human fibronectin was due to PbST, since hydrolysis was specifically inhibited by p-HMB and PMSF (not shown), as previously reported [2]. In our experimental conditions, the activity against Abz-MKALTLQ-EDDnp was fully bound to the column and was recovered in the eluted fractions at a yield of about 65%. In addition, PbST-4 was not active against casein or BSA (not shown), as previously described [3]. The chromatographic profile in SDS-PAGE silver-stained gels showed that fractions 4 and 5 had a predominant 55-kDa component (Fig. 1), among others that appeared after longer development times of silver-stained gels. Preparation PbST-4 could be kept at 4°C for about 7 days before activity started to gradually decrease.
Previously, we have been able to detect in situ activity of PbST in SDS-PAGE gels [17]. The PbST activity was revealed as a broad smeared band migrating between 43 and 68 kDa in gelatin zymograms or using an Abz-MKALTLQ-EDDnp-agarose overlay. It is uncertain whether the proteinase molecular mass is around 50 kDa or if migrates as such due to aggregation in our electrophoretic conditions, where the samples were denatured at low SDS concentration and without boiling. Presently, pABA preparation PbST-4 was tested in gelatin zymograms, but a proteolysis band has not been detected, possibly because pABA-isolated PbST was unstable after electrophoresis. We then chose to carry out an LC-MS/MS analysis of the whole PbST-4 preparation and also of individual main gel bands present in overloaded gels. We consistently identified NADP-dependent glutamate dehydrogenase (correspondent to the 55-kDa band), LPD1 (lipoamide dehydrogenase), and chitinase based on the high number of tryptic peptides bearing over 10 amino acids identical to peptides found in the NCBInr and GenBank database containing fungal proteins. The identified proteins should contain motifs that were recognized by pABA or they were unspecifically bound to the resin as aggregates. Although a couple of peptides would match those of subtilisins, the number of identical amino acids was not enough to guarantee reliable protein identification. One difficulty to analyze generated peptides is the lack of complete genome information for P. brasiliensis, although there are two GenBank databases of partial translated sequences [19,20]. It is important to point out that there is a 481-amino acid P. brasiliensis subtilase of the S8 family deposited in the GeneBank (Accession number AAP83193). However, our present analysis suggests that PbST does not correspond to this proteinase, since identical peptides have not been identified.
We used pABA-eluted PbST-4 to evaluate the inhibitory effect of peptides derived from MKRLTL coupled with C(Npys). A general mechanism of action of C(Npys)-peptides is schematically represented in Fig. 2, which shows that a peptide sequence containing C(Npys) can block a free thiol group, liberating Npys. We presently synthesized 2 analogous peptides, namely Bzl-MKRLTLC(Npys)-NH2 and Bzl-C(Npys)KRLTL-NH2, which bear the C(Npys) group respectively at the C- and N-terminus. A third compound, Boc-Cys(Npys), was used to test the inhibitory capacity of C(Npys) devoid of a peptide sequence.
Fig. 2.

Shematic representation of the mechanism of inhibition of thiol proteinases by Cys(Npy).
We observed that the three compounds inhibited the enzymatic activity against Abz-MKALTLQ-EDDnp [17] at different levels (Table 1). The best inhibitory activity was seen with Bzl-C(Npys)KRLTL-NH2 (Ki = 16 nM), where the C(Npys) group was placed at the N-terminus substituting the original methionine residue. The peptide bearing C(Npys) at the C-terminus was one order of magnitude less effective (Ki = 160 nM), whereas the Boc-C(Npys) compound was a weaker inhibitor (Ki = 1,7 µM). These results indicated that the peptide sequence promotes a favorable interaction increasing the magnitude of inhibition, especially when C(Npys) was placed at a further position from L-T, at the N-terminus. The inhibitory effect of all tested peptides was completely reverted with 5 mM dithioerythritol, indicating that it was due to the reactivity of the C(Npys) moiety with a free SH- group of the proteinase (Fig. 2). It is noteworthy that the inhibitor peptides have not been cleaved by the proteinase activity, as revealed by h.l.p.c. analysis (not shown).
Table 1.
Inhibition of PbST activity by Boc-C(Npys) and its derivatives bound to the sequence MKRLTL
| Compound | Ki (M) |
|---|---|
| Boc-C(Npys) | 1,7 × 10 −6 |
| Bzl-MKRLTLC(Npys)-NH2 | 1,6 × 10 −7 |
| Bzl-C(Npys)KRLTL-NH2 | 1,6 × 10 −8 |
We have previously reported on the PbST capacity to cleave components associated with the basement membrane [3]. Presently, we have not been able to test the inhibitory capacity of C(Npys) peptides on the cleavage of fibronectin visualized in SDS-PAGE gels (as in Fig. 1) because they altered fibronectin resolution. Therefore, we developed a cell detachment assay for this purpose. We tested PbST ability to detach cells of the LLC-MK2 lineage from plastic dishes, which is generally achieved using trypsin. Cell detachment depends on cleavage of extracellular matrix components or of surface integrins that directly interact with them. Fig. 3A shows that PbST-4 was able to detach LLC-MK2 at increased rates over time, which reached a plateau corresponding to approximately 50% of total cells detached after 20 min. Consequently, this incubation time was chosen for the inhibition experiments shown below. All experiments were carried out in triplicates and harvested cells were 70–80% viable. It is worth mentioning for comparison that 2.5 mg/mL of trypsin can detach all the cells (90–95% viable) in 5 min (not shown). Fig. 3B shows that the detachment activity was due to PbST, considering that pre-incubations with E-64 and pepstatin (or EDTA contained in the PBS) did not affect the activity, whereas p-HMB and PMSF totally abolished it (Fig. 3B).
Fig. 3.
Evaluation of PbST inhibition in a cell detachment assay. A, Time-course of cell detachment when incubated with PbST-4 (10 µL, fraction 4, Fig. 1). B, Percentage of cell detachment when compared to the control (100%), as counted after 20 min of incubation with PbST-4 in the presence of either standard proteinase inhibitors or Bzl-MKRLTLC(Npys)-NH2 (C-), Bzl-C(Npys)KRLTL-NH2 (N-) and Boc-Cys(Npys) (Boc-) at the indicated concentrations. Incubation of cell cultures with equivalent concentrations of the inhibitors alone has not resulted in cell detachment or loss of cell viability (not shown). Statistically significant values (p < 0.05) are indicated with an asterisk.
In order to evaluate the inhibitory capacity of C(Npys) peptides in the cell detachment activity of PbST-4, the experiments were performed with the enzyme preparation previously incubated or not (control) with 6 µM or 12 µM of each peptide for 20 min at 37°C. Fig 3C shows that both Bzl-C(Npys)KRLTL-NH2 and Bzl-MKRLTLC(Npys)-NH2 exhibited statistically significant inhibitory effects, in a dose-dependent fashion. Bzl-C(Npys)KRLTL-NH2 was a better inhibitor than Bzl-MKRLTLC(Npys)-NH2, in agreement with the Ki results seen in Table 1. Boc-Cys(Npys) showed no statistically significant effect at the concentrations tested, probably due to its lower binding affinity, as suggested from the results in Table 1.
This is the first time C(Npys) compounds are used to inhibit a thiol-containing subtilisin. It remains to be tested whether these compounds would effectively decrease P. brasiliensis virulence in vivo. For that purpose, C(Npys) might be bound to peptides of the D- anomericity, for e.g., to avoid proteolysis by local endopeptidases.
The results presented here elegantly show that PbST activity can be blocked with compounds interfering with a free cysteine, confirming that it belongs to the subtilisin S8 family of serine proteinases, from which proteinase K from Tritirachium album is the best studied member [21]. By analogy with the members of this group [22], we speculate that there is a thiol group lying near the imidazole of the histidine from the Ser-His-Asp catalytic triad. The presence of such a residue does not change the catalytic activity of subtilisin Savinase, although it makes it susceptible to mercurials [23]. In proteinase K, the thiol group (Cys78) is buried in the molecule and covalently binds to the first Hg+ molecule, which disrupts the catalytic triad by changing the imidazole conformation [24]. A second Hg+ complexes non-covalently with His72, Cys78 and Thr76, decreasing substrate-binding affinity. However, 100% inhibition by mercurials is never achieved, possibly due to flexibility of the molecule [24]. In contrast to proteinase K, PbST is selective regarding substrate specificity and is inhibited 100% by pHMB [2]. On the other hand, proximity of the thiol group to the catalytic triad would explain why the C(Npys)-peptide derivatives are better inhibitors than Boc-C(Npys), considering that the peptide used here fits in the substrate pocket to target the inhibitor.
Acknowledgments
We thank Dr. Ivarne Tersariol for critical review of the manuscript. This work and fellowships involved were supported fully or partially by grants from FAPESP, PRONEX/CNPq, CNPq, and NIH/NCRR (grant no. 5G12RR008124).
Abbreviations
- Abz
ortho-aminobenzoic acid
- AUF
arbitrary units of fluorescence
- Bzl
benzoyl
- Boc
tert-butyloxycarbonyl
- C(Npys)
S-(3-nitro-2-pyridinesulfenyl)
- E-64
(L-trans-expoxysuccinyl-leucylamido[4-guanidino butane])
- EDDnp
N-(2,4-dinitrophenyl)ethylenediamine
- FRET
fluorescence resonance energy transfer
- pABA
p-aminobenzamidine
- PbST
exocellular serine-thiol activity from Paracoccidioides brasiliensis
- PCM
paracoccidioidomycosis
- p-HMB
sodium 7-hydroxymercuribenzoate
- PMSF
phenylmethylsulfonyl fluoride
Footnotes
Publisher's Disclaimer: This is a PDF file of an unedited manuscript that has been accepted for publication. As a service to our customers we are providing this early version of the manuscript. The manuscript will undergo copyediting, typesetting, and review of the resulting proof before it is published in its final citable form. Please note that during the production process errors may be discovered which could affect the content, and all legal disclaimers that apply to the journal pertain.
References
- 1.Monod M, Capoccia S, Lechenne B, Zaugg C, Holdom M, Jousson O. Secreted proteases from pathogenic fungi. Int. J. Med. Microbiol. 2002;292:405–419. doi: 10.1078/1438-4221-00223. [DOI] [PubMed] [Google Scholar]
- 2.Carmona AK, Puccia R, Oliveira MCF, Rodrigues EG, Juliano L, Travassos LR. Characterization of an exocellular serine-thiol proteinase activity in Paracoccidioides brasiliensis. Biochem. J. 1995;309:209–214. doi: 10.1042/bj3090209. [DOI] [PMC free article] [PubMed] [Google Scholar]
- 3.Puccia R, Carmona AK, Gesztesi JL, Juliano L, Travassos LR. Exocellular proteolytic activity of Paracoccidioides brasiliensis: cleavage of components associated with the basement membrane. Med. Mycol. 1998;36:345–348. [PubMed] [Google Scholar]
- 4.Matsuo AL, Tersariol IIL, Kobata SI, Travassos LR, Carmona AK, Puccia R. Modulation of the exocellular serine-thiol proteinase activity of Paracoccidioides brasiliensis by neutral polysaccharides. Microbes Infect. 2006;8:84–91. doi: 10.1016/j.micinf.2005.05.021. [DOI] [PubMed] [Google Scholar]
- 5.San Blas G, Nino-Vega G, Iturriaga T. Paracoccidioides brasiliensis and paracoccidioidomycosis: Molecular approaches to morphogenesis, diagnosis, epidemiology, taxonomy and genetics. Med. Mycol. 2002;40:225–242. doi: 10.1080/mmy.40.3.225.242. [DOI] [PubMed] [Google Scholar]
- 6.Matsueda R, Walter R. 3-nitro-2-pyridinesulfenyl (Npys) group - a novel selective protecting group which can be activated for peptide-bond formation. Int. J. Pept. Protein Res. 1980;16:392–401. [PubMed] [Google Scholar]
- 7.Matsueda R, Umeyama H, Kominami E, Katunuma N. Design and synthesis of cathepsin-B inhibitors by an affinity labeling approach. Chem. Lett. 1988:1857–1860. [Google Scholar]
- 8.Bernatowicz MS, Matsueda R, Matsueda GR. Preparation of Boc-[S-(3-nitro-2-pyridinesulfenyl)]-cysteine and its use for unsymmetrical disulfide bond formation. Int. J. Pept. Protein Res. 1986;28:107–112. doi: 10.1111/j.1399-3011.1986.tb03236.x. [DOI] [PubMed] [Google Scholar]
- 9.Rich DH. In: Proteinase inhibitors. Barret AJ, Salvesen G, editors. Elsevier Science Publishers; 1986. p. 153. [Google Scholar]
- 10.Matsueda R, Umeyama H, Puri RN, Bradford HN, Colman RW. Potent affinity labeling peptide inhibitors of calpain. Chem. Lett. 1990:191–194. [Google Scholar]
- 11.Dejana E, Corada M. Adhesion protocols. In: Walker JM, editor. Methods in Molecular Biology. Editora Humana; 1990. pp. 119–124. [Google Scholar]
- 12.Laemmli UK. Cleavage of structural proteins during assembly of head of bacteriophage-T4. Nature. 1970;227:680–685. doi: 10.1038/227680a0. [DOI] [PubMed] [Google Scholar]
- 13.Hirata M, Nemoto K, Hirata A. Solubility of N-(benzyloxycarbonyl)-L-aspartyl-L-phenylalanine methyl-ester forming a complex with L-phenylalanine methyl-ester in aqueous system. J. Chem. Eng. 1994;27:72–76. [Google Scholar]
- 14.Barany G, Merrifield RB. The peptides: analysis, synthesis and biology. New York: Academic Press; 1980. [Google Scholar]
- 15.Mortz E, Krogh TN, Vorum H, Gorg A. Improved silver staining protocols for high sensitivity protein identification using matrix-assisted laser desorption/ionization-time of flight analysis. Proteomics. 2001;1:1359–1363. doi: 10.1002/1615-9861(200111)1:11<1359::AID-PROT1359>3.0.CO;2-Q. [DOI] [PubMed] [Google Scholar]
- 16.Shevchenko A, Wilm M, Vorm O, Mann M. Mass spectrometric sequencing of proteins from silver stained polyacrylamide gels. Anal. Chem. 1996;68:850–858. doi: 10.1021/ac950914h. [DOI] [PubMed] [Google Scholar]
- 17.Puccia R, Juliano MA, Juliano L, Travassos LR, Carmona AK. Detection of the basement membrane-degrading proteolytic activity of Paracoccidioides brasiliensis after SDS-PAGE using agarose overlays containing Abz-MKALTLQ-EDDnp. Braz. J. Med. Biol. Res. 1999;32:645–649. doi: 10.1590/s0100-879x1999000500019. [DOI] [PubMed] [Google Scholar]
- 18.Kanamori A, Seno N, Matsumoto I. Chromatogr J, editor. Preparation of high-capacity affinity adsorbents using formyl carriers and their use for low-performance and high-performance liquid affinity-chromatography of trypsin-family proteases. J. Chromatogr. 1986;363:231–242. [Google Scholar]
- 19.Goldman GH, Marques ED, Ribeiro DCD, Bernardes LAD, Quiapin AC, Vitorelli PM, Savoldi M, Semighini CP, Oliveira RC, Nunes LR, Travassos LR, Puccia R, Batista WL, Ferreira LE, Moreira JC, Bogossian AP, Tekaia F, Nobrega MP, Nobrega FG, Goldman MHS. Expressed sequence tag analysis of the human pathogen Paracoccidioides brasiliensis yeast phase: Identification of putative homologues of Candida albicans virulence and pathogenicity genes. Eukaryot. Cell. 2003;2:34–48. doi: 10.1128/EC.2.1.34-48.2003. [DOI] [PMC free article] [PubMed] [Google Scholar]
- 20.Felipe MSS, Andrade RV, Arraes FBM, Nicola AM, Maranhao AQ, Torres FAG, Silva-Pereira I, Pocas-Fonseca MJ, Campos EG, Moraes LMP, Andrade PA, Tavares AHFP, Silva SS, Kyaw CM, Souza DP, Network P, Pereira M, Jesuino RSA, Andrade EV, Parente JA, Oliveira GS, Barbosa MS, Martins NF, Fachin AL, Cardoso RS, Passos GAS, Almeida NF, Walter MEMT, Soares CMA, Carvalho MJA, Brigido MM. Transcriptional profiles of the human pathogenic fungus Paracoccidioides brasiliensis in mycelium and yeast cells. J. Biol.Chem. 2005;280:24706–24714. doi: 10.1074/jbc.M500625200. [DOI] [PubMed] [Google Scholar]
- 21.Pahler A, Banerjee A, Dattagupta JK, Fujiwara T, Lindner K, Pal GP, Suck D, Weber G, Saenger W. Three-dimensional structure of fungal proteinase K reveals similarity to bacterial subtilisin. EMBO J. 1984;3:1311–1314. doi: 10.1002/j.1460-2075.1984.tb01968.x. [DOI] [PMC free article] [PubMed] [Google Scholar]
- 22.Siezen RJ, Leunissen JA. Subtilases: the superfamily of subtilisin-like serine proteases. Protein Sci. 1997;6:501–523. doi: 10.1002/pro.5560060301. [DOI] [PMC free article] [PubMed] [Google Scholar]
- 23.Muller A, Saenger W. Studies on the inhibitory action of mercury upon proteinase K. J Biol.Chem. 1993;268:26150–26154. [PubMed] [Google Scholar]
- 24.Bech LM, Branner S, Hastrup S, Breddam K. Introduction of a free cysteinyl residue at position 68 in the subtilisin Savinase, based on homology with proteinase K. FEBS Lett. 1992;297:164–166. doi: 10.1016/0014-5793(92)80351-g. [DOI] [PubMed] [Google Scholar]


