Summary
Improved diagnostic reagents would be of considerable benefit in enhancing the specificity and sensitivity of rapid assays for Burkholderia pseudomallei, the causative agent of melioidosis. The purpose of this work is to develop aptamers, high affinity RNA-based molecular recognition molecules, which could be used as reagents for identification whole organism in assays of biological samples. Data are presented demonstrating the purification of recombinant B. pseudomallei secreted or surface-exposed macromolecules, which have been expressed in Escherichia coli, and the initial stages of aptamer generation using these recombinant proteins. Future studies will focus upon the expansion of this methodology to include other target macromolecules located on or near the outer membrane of this organism.
Keywords: diagnostic, aptamers, Burkholderia pseudomallei
1. Introduction
Improved diagnosis of melioidosis, a disease caused by the Gram-negative bacterium Burkholderia pseudomallei, would be of great clinical interest. Acquisition of the disease occurs through inhalation, ingestion or inoculation of the organism. The size of the inoculum almost certainly influences the pattern and severity of the disease. A high inoculum can lead to rapid onset of symptoms, in some cases less than 24 hours after exposure (see Cheng and Currie, 2004). Death usually follows within a few days if intensive and prolonged antimicrobial treatment is not rapidly applied.
As part of an effort to improve the diagnosis of pathogenic Burkholderia species, we are undertaking studies to develop novel high-affinity diagnostic reagents which can be used to recognize macromolecules produced by B. pseudomallei and related organisms. In this study we report the on-going selection of aptamers - nucleic acid binding species which are capable of binding to protein targets with affinities similar to monoclonal antibodies. Initial studies to generate aptamers have been carried out using three recombinantly produced B. pseudomallei proteins: BipD and BopE (two type III secretion pathway proteins) and BPSL2748 (a putative oxidoreductase).
2. Materials and Methods
2.1 Protein expression and purification
B. pseudomallei BipD and BopE were expressed as N-terminal glutathione-S-tranferase (GST) fusions using the pGEX-4T1 expression vector with Escherichia coli BL21 Star™ (DE3) or BL21 (DE3) as the host strains, using methods adapted from previously published work (Roversi et al., 2006; Upadhyay et al., 2004). BPSL2748 was expressed containing an N-terminal histidine tag using the pET15-b expression vector with E. coli BL21 Star™ (DE3). All three proteins were typically expressed by inoculating 2 L of LB broth (containing 100 µg/L ampicillin) with the appropriate strain and then allowing cells to grow with shaking at 37°C until an OD 0.6–0.8 was reached. Cells were then induced with 0.1mM IPTG and harvested after continued incubation overnight. Cell pellets were frozen at −80°C until further use.
For purification of recombinant proteins, all cell pellets were thawed, resuspended in standard lysis buffer then sonicated using a Misonix Sonicator 3000 equipped with a microtip. BipD and BopE GST fusions were purified using gluthioneagarose resin (Sigma). BPSL2748 was purified using a nickel-NTA resin (Qiagen). All proteins were assessed for purity by SDS-PAGE.
2.2 Aptamer selection
In vitro selection of aptamers was carried out following previously published procedures (Hesselberth et al., 2000). Briefly, random sequence pools N70.01 (BipD, BopE) and N62 (BPSL2748) were used. In the first round of selection 400 pmol each of the RNA pool and protein were incubated in 100 µL selection buffer (20 mM HEPES pH 7.35, 150 mM NaCl, 5 mM MgCl2) for 30 min at room temperature. Quantities of RNA pools and proteins were reduced to 200 pmol in round 2 but in round 3, BipD and BopE were increased again to 400 pmol. RNA was passed over a 0.45-µm HAWP filter to separate binding species (Millipore, Bedford, MA) and collected. After the second round, negative selections were performed by passing the RNA over HAWP filters prior to protein incubation. For selections against BipD and BopE, RNA was preincubated with 200 pmol GST for 30 min prior to negative selection.
Selected RNAs were reverse transcribed using SuperScript II reverse transcriptase (Invitrogen, Carlsbad, CA) and the 3’-primer (20.62 or 91.20N70). The cDNA products were amplified by PCR after the addition of 5’-primer (41.62 or 1.20N70) and Taq polymerase (NEB, Ipswich, MA). The PCR products were ethanol precipitated, transcribed with T7 polymerase (Epicentre, Madison, WI) and polyacrylamide gel purified in between rounds of selection.
3. Results and Discussion
Rapid diagnosis of melioidosis has potential clinical benefits in enabling the administration of appropriate antibiotics as early as possible to treat the disease. Culturing the organism is still considered the diagnostic gold strandard but is often difficult to do in rural areas and can take from 24 to 48 hours. Other methods are emerging to increase the speed of identification of the organism, including PCR methods and visualization by immunoflourescence using rabbit polyclonal antibodies. Each method has strengths and limitations (reviewed by Peacock, 2006).
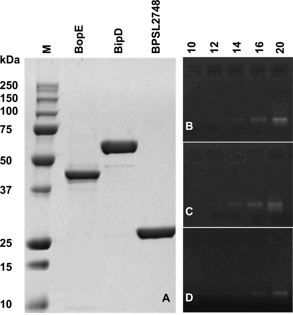
In this context the aim of this study is to develop novel high affinity reagents that bind to B. pseudomallei specific proteins and which can be used in rapid and/or multiplexed diagnostic assays. Three targets were selected here: two type III secretion pathway proteins, BipD and BopE (Roversi et al., 2006; Upadhyay et al., 2004); and BPSL2748, a putative oxidoreductase. Highly pure forms of all three proteins were obtained by affinity chromatography (Figure 1A) in milligram quantities. This material proved suitable for use in the generation of the first aptamer molecules (Figure 1B–D) targeted to proteins from B. psuedomallei. Future work will focus upon further selection of high affinity aptamers and expansion of aptamer generation to include other surface-associated targets such as outer membrane proteins and lipopolysaccharides.
Figure 1.
SDS-PAGE and agarose gels used in the generation of proteins and aptamers for selected B. pseudomallei targets. Purifed recombinant B. pseudomallei target proteins were separated by SDS-PAGE and stained with Coomassie blue (A). Cycle course PCR of BipD (B), BopE (C) and BPSL2748 (D) was conducted for 20 cycles with samples taken at 10, 12, 14, 16, and 20 cycles prior to separation on a 3.8% nusieve agarose gel. A 1 mL large scale PCR was amplified for 16 cycles for each target. M; molecular weight markers.
Acknowledgments
Funding: This study was supported by the Western Research Center of Excellence (NIH/NIAID grant U54 AI 057156), the Welch Foundation (TI-3D grant from the University of Texas at Austin), and the Defence Science and Technology Laboratory, Porton Down, UK.
Footnotes
Authors’ contributions: KAB and ADE conceived and designed the study. AJG prepared all the proteins. Aptamer studies were carried out in the laboratory of ADE by BH, XS, SP, and AV. EEG, SJS, and RWT provided expression plasmids. AJG, BH and KAB analysed and interpreted the data. GBK provided laboratory support. KAB, ADE and RWT obtained financial support. KAB, AJG, BH and XS prepared and revised the manuscript. KAB is the guarantor of the paper
Conflicts of Interest: None declared.
Ethical Approval: None required.
References
- Cheng AC, Currie BC. Melioidosis: epidemiology, pathophysiology, and management. Clin. Diagn. Lab. Immunol. 2005;5:225–229. [Google Scholar]
- Hesselberth JR, Miller D, Robertus J, Ellington AD. In vitro selection of RNA molecules that inhibit the activity of ricin A-chain. J. Biol. Chem. 2000;275:4937–4942. doi: 10.1074/jbc.275.7.4937. [DOI] [PubMed] [Google Scholar]
- Peacock SJ. Melioidosis. Curr. Opin. Infect. Dis. 2006;19:421–428. doi: 10.1097/01.qco.0000244046.31135.b3. [DOI] [PubMed] [Google Scholar]
- Roversi P, Johnson S, Field T, Deane JE, Galyov EE, Lea SM. Expression, purification, crystallization and preliminary crystallographic analysis of BipD, a component of the Burkholderia pseudomallei type III secretion system. Acta Crystallogr. Sect. F Struct. Bio.l Cryst. Commun. 2006;62:861–864. doi: 10.1107/S1744309106027035. [DOI] [PMC free article] [PubMed] [Google Scholar]
- Upadhyay A, Williams C, Gill AC, Philippe DL, Davis K, Taylor LA, Stevens MP, Galyvov EE, Bagby S. Biophysical characterization of the catalytic domain of guanine nucleotide exchange factor BopE from Burkholderia pseudomallei. Biochim. Biophys. Acta. 2004;1698:111–119. doi: 10.1016/j.bbapap.2003.11.004. [DOI] [PubMed] [Google Scholar]

