The patient
A 44-year-old man presented to the clinic with complaints of “sun allergy” following a weekend of photo-exposure without use of any sunscreens. He said that the lesions started as blisters, became reddish and progressed to hemorrhagic lesions with crusting (Figure 1A). They healed in a week with scars. On examination, the patient had lesions on photo-exposed surfaces with patchy erythema and hemorrhagic crusts. No blisters were noted. The skin over the knuckles and digits appeared thickened (Figure 1B). There were multiple, small hypopigmented scars on the chest, dorsa of hands, and cheeks (Figure 1C).
Figure 1A.
Erythematous lesions on the forearm, some with crusts.
Figure 1B.
Thickening of skin over knuckles and fingers.
Figure 1C.
Hypopigmented scars over the chest.
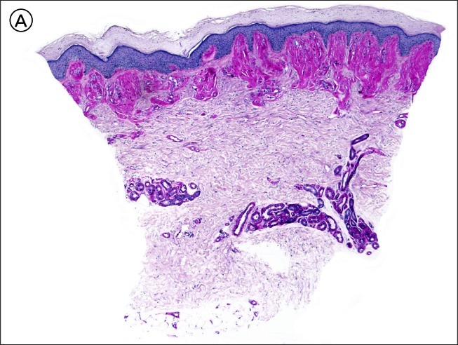
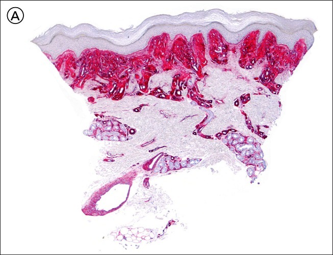
A biopsy was taken and photomicrographs are presented in Figures 2A–H. What is your diagnosis?
Figure 2A–H.
What is your diagnosis?
Answer and explanation
Erythropoietic protoporphyria (EPP), late onset.
In this patient, the history of photosensitivity combined with red and painful skin lesions should raise the suspicion of EPP. However, the clinical differential diagnoses include polymorphous light eruption, phototoxic and photoallergic dermatitis, lupus erythematosus, solar urticaria, and other porphyrias. The indurated skin seen in chronic lesions of EPP must be differentiated from sclerodermas, lichen amyloidosis, and lipoid proteinosis.
Histopathologically, the biopsy showed a normal epidermis. The papillary dermis demonstrated extensive, circumscribed deposits of eosinophilic, homogenous material (Figures 2A–H). On higher magnification, these deposits were seen to be surrounding markedly thickened walls of upper dermal capillaries and stained bright red with PAS (Figures 3A, B). There were no deposits around the eccrine units. Immunostains for collagen type IV ratified these findings, showing a markedly thickened basement membrane around blood vessels but sparing eccrine units (Figures 4A, B).
Figure 3A and B.
The deposits are brightly PAS positive (periodic acid-Schiff, ×20). The eccrine units, however, are spared and only the vessel walls are thickened (periodic acid-Schiff, ×200).
Figure 4A and B.
Immunostain for type IV collagen highlights the deposits in the papillary dermis (collagen IV, ×20). Eccrine coils show no deposits, in contrast to the thickened vessel walls (collagen IV, ×400).
With the features mentioned above the differential diagnoses considered were amyloidosis, erythropoietic protoporphyria, and lipoid proteinosis. Congo red did not stain the deposits, making amyloidosis unlikely. In lipoid proteinosis, the deposits usually surround the eccrine secretory coils also, a feature absent in this case. Moreover, lipoid proteinosis has an onset in infancy with a characteristic cry of the child due to deposits in the larynx and oral cavity. In erythropoietic protoporphyria, PAS-positive, brightly eosinophilic, concentric deposits are seen around the blood vessels without involvement of the eccrine coils, similar to the present case.
In clinicopathological correlation, the thickening of the skin is a consequence of deposition of protoporphyrins, commonly due to a rare genetic deficiency of the enzyme ferrochelatase [1,2]. It manifests during early childhood in the form of burning, erythema, and edema following photo-exposure. The lesions heal with residual “icepick” scars over the face and knuckles. Scleroderma-like thickening may also be encountered later in the course of the disease.
When a diagnosis of EPP is suspected, blood, stool, and urine should be examined for porphyrins. Usually, blood and stool porphyrin levels are elevated while urine examination is normal, since protoporphyrins are water-insoluble. Elevated levels of porphyrins in urine signify the onset of hepatic involvement and are very useful in monitoring the disease, together with porphyrin isomer ratios [3]. In this patient, the free protoporphyrin in blood was 18630 nmol/L (normal: 9–89 nmol/L), which was markedly elevated. Zinc protoporphyrin was 68.1 μmol/L and total protophyrin was 19192 nmol/L, both being clearly higher than normal. These findings are consistent with a diagnosis of erythropoietic protoporphyria. Urine examination revealed normal coproporphyrin levels, but an elevated coproporphyrin isomer I (43.8%) and a depressed coproporphyrin isomer II (56.2%). Even without porphyrinuria, this alteration in isomer ratio is an early sign of hepatic involvement and such patients derive benefit from prophylactic therapy.
Porphyrias are a group of metabolic diseases that result from aberration in the heme biosynthesis pathways [4,5]. Porphyria cutanea tarda (PCT) is the commonest manifestation in the skin, followed by EPP. EPP most often results from hereditary mutation of a gene on chromosome 18q21.3. EPP exhibits both recessive and dominant patterns of inheritance. Rarely, an acquired somatic mutation or deletion of a ferrochelatase (FECH) gene leads to an adult-onset protoporphyria disorder. The mutation results in impaired activity of FECH, the enzyme that catalyzes the final step in the formation of heme, resulting in increasing deposits of protoporphyrin in plasma, skin and liver [1,2,6]. In 2008, Whatley et al identified eight families with a protoporphyria indistinguishable clinically from the predominant form of the disease, but without ferrochelatase mutations, that is now called X-linked dominant protoporphyria [7].
Deposits of protoporphyrin in skin leads to acute photosensitivity. Ultraviolet light absorption by protoporphyrin in plasma and erythrocytes when blood circulates through the dermal vessels results in formation of free radicals. Erythrocytes become unstable and injury to the skin is induced [8]. A significant increase in the hepatobiliary excretion of protoporphyrin can damage the liver through both cholestatic phenomena and oxidative stress predisposing the individual to hepatobiliary disease of varying severity [9,10].
When the onset of disease is in adulthood, as it was the case in this patient, it is important to note that it may be associated with myelodysplastic syndromes and other hematologic malignancies [3,4]. An acquired somatic mutation or deletion of the ferrochelatase gene is the purported causation. It is imperative to check the hematologic parameters of the patient. However, no such association was identified in the patient presented here and his blood counts were normal. Even though late onset EPP is very rare and usually associated with hematological malignancy, cases without such association have also been observed. Murphy et al reported on a patient with late onset EPP in 1985 and, since then, around 12 additional patients with adult onset EPP have been described in the literature [11–19]. Eight of these cases were associated with hematological malignancies such as myelodysplastic syndrome (MDS) (often the sideroblastic anemia subtype) or myeloproliferative diseases [2,12,14,15,17,20–22]. Two of these patients developed liver dysfunction [2,18] in the course of their disease.
The histopathologic finding of rimming of vessel walls by eosinophilic material is by no means exclusive to EPP. It may be seen in other forms of porphyria, such as porphyria cutanea tarda (PCT). However, subepidermal blistering is common in PCT but not in EPP. The blister is cell-poor and is underlined by a zone of solar elastosis. Pseudoporphyria in patients on hemodialysis or with chronic renal insufficiency shares a similar histology, but not the biochemical abnormalities. Lipoid proteinosis (hyalinosis cutis et mucosae) is the next differential diagnosis to be considered. Lipoid proteinosis has an infantile onset characterized clinically by a hoarse cry, oral nodules, and waxy papules along the lid margins. There is deposit of a similar PAS positive material around blood vessels as well as around eccrine coils, which are generally spared in EPP. The material also contains some lipid. Finally, amyloidosis may mimic the eosinophilic deposits of EPP but amyloid can be identified by immunohistochemical staining with either cytokeratin or immunoglobulin light chain antibodies. [2,6].
In summary, the finding of PAS-positive deposits around dermal vessels has different consequences in adults and children, with porphyrias straddling both the age groups, especially if associated with photosensitivity. It is important to evaluate serum and urine porphyrin profiles in such cases to nail the specific diagnosis because the histologic features, although characteristic, are not entirely specific.
References
- 1.Richard E, Robert-Richard E, Ged C, Moreau-Gaudry F, de Verneuil H. Erythropoietic porphyrias: animal models and update in gene-based therapies. Curr Gene Ther. 2008;8(3):176–86. doi: 10.2174/156652308784746477. [DOI] [PubMed] [Google Scholar]
- 2.Goodwin RG, Kell WJ, Laidler P, et al. Photosensitivity and acute liver injury in myeloproliferative disorder secondary to late-onset protoporphyria caused by deletion of a ferrochelatase gene in hematopoietic cells. Blood. 2006;107(1):60–2. doi: 10.1182/blood-2004-12-4939. [DOI] [PubMed] [Google Scholar]
- 3.Todd DJ. Erythropoietic protoporphyria. Br J Dermatol. 1994;131(6):751–6. doi: 10.1111/j.1365-2133.1994.tb08577.x. [DOI] [PubMed] [Google Scholar]
- 4.Cox TM. Erythropoietic protoporphyria. J Inherit Metab Dis. 1997 Jun;20(2):258–69. doi: 10.1023/a:1005317124985. [DOI] [PubMed] [Google Scholar]
- 5.Parker M, Corrigall AV, Hift RJ, Meissner PN. Molecular characterization of erythropoietic protoporphyria in South Africa. Br J Dermatol. 2008;159(1):182–91. doi: 10.1111/j.1365-2133.2008.08580.x. [DOI] [PubMed] [Google Scholar]
- 6.Poh-Fitzpatrick MB, Wang X, Anderson KE, Bloomer JR, Bolwell B, Lichtin AE. Erythropoietic protoporphyria: altered phenotype after bone marrow transplantation for myelogenous leukemia in a patient heteroallelic for ferrochelatase gene mutations. J Am Acad Dermatol. 2002;46(6):861–6. doi: 10.1067/mjd.2002.120460. [DOI] [PubMed] [Google Scholar]
- 7.Tsuboi H, Yonemoto K, Katsuoka K. Erythropoietic protoporphyria with eye complications. J Dermatol. 2007;34(11):790–4. doi: 10.1111/j.1346-8138.2007.00386.x. [DOI] [PubMed] [Google Scholar]
- 8.Whatley SD, Ducamp S, Gouya L, et al. C-terminal deletions in the ALAS2 gene lead to gain of function and cause X-linked dominant protoporphyria without anemia or iron overload. Am J Hum Genet. 2008;83(3):408–14. doi: 10.1016/j.ajhg.2008.08.003. [DOI] [PMC free article] [PubMed] [Google Scholar]
- 9.Lecha M, Puy H, Deybach JC. Erythropoietic protoporphyria. Orphanet J Rare Dis. 2009;4:19. doi: 10.1186/1750-1172-4-19. [DOI] [PMC free article] [PubMed] [Google Scholar]
- 10.Anstey AV, Hift RJ. Liver disease in erythropoietic protoporphyria: insights and implications for management. Gut. 2007;56(7):1009–18. doi: 10.1136/gut.2006.097576. [DOI] [PMC free article] [PubMed] [Google Scholar]
- 11.Murphy GM, Hawk JL, Magnus IA. Late onset erythropoietic protoporphyria with unusual cutaneous features. Arch Dermatol. 1985;121(10):1309–12. [PubMed] [Google Scholar]
- 12.Spann CT, Tok J, Nimer S, Zug K, Deleo V. Adult onset erythropoietic protoporphyria in association with myelodysplastic syndrome [abstract]. American Academy of Dermatology Annual Meeting; New Orleans, LA. February 22–27, 2002. [Google Scholar]
- 13.Murphy GM, Hawk JL, Magnus IA. Late onset erythropoietic protoporphyria with unusual cutaneous features. Arch Dermatol. 1985;121(10):1309–12. [PubMed] [Google Scholar]
- 14.Bharati A, Badminton MN, Whatley SD, O’Brien DV, Bell HK. Late onset erythropoietic protoporphyria in association with haematological malignancy. Clin Exper Dermatol. 2006;31(5):668–70. doi: 10.1111/j.1365-2230.2006.02179.x. [DOI] [PubMed] [Google Scholar]
- 15.Berroeta L, Man I, Goudie DR, Whatley SD, Elder GH, Ibbotson SH. Late presentation of erythropoietic protoporphyria: case report and genetic analysis of family members. Br J Dermatol. 2007;157(5):1030–1. doi: 10.1111/j.1365-2133.2007.08117.x. [DOI] [PubMed] [Google Scholar]
- 16.Goodwin RG, Kell WJ, Laidler P, et al. Photosensitivity and acute liver injury in myeloproliferative disorder secondary to late-onset protoporphyria caused by deletion of a ferrochelatase gene in hematopoietic cells. Blood. 2006;107(1):60–2. doi: 10.1182/blood-2004-12-4939. [DOI] [PubMed] [Google Scholar]
- 17.Lim HW, Cooper D, Sassa S, Dosik H, Buchness MR, Soter NA. Photosensitivity, abnormal porphyrin profile, and sideroblastic anemia. J Am Acad Dermatol. 1992;27(2 Pt 2):287–92. doi: 10.1016/0190-9622(92)70182-f. [DOI] [PubMed] [Google Scholar]
- 18.Shirota T, Yamamoto H, Hayashi S, Fujimoto H, Harada Y, Hayashi T. Myelodysplastic syndrome terminating in erythropoietic protoporphyria after 15 years of aplastic anemia. Int J Hematol. 2000;72(1):44–7. [PubMed] [Google Scholar]
- 19.Aplin C, Whatley SD, Thompson P, et al. Late onset erythropoietic porphyria caused by a chromosome 18q deletion in erythroid cells. J Invest Dermatol. 2001;117(6):1647–9. doi: 10.1046/j.0022-202x.2001.01560.x. [DOI] [PubMed] [Google Scholar]
- 20.Sarkany RP, Ross G, Willis F. Acquired erythropoietic protoporphyria as a result of myelodysplasia causing loss of chromosome 18. Br J Dermatol. 2006;155(2):464–6. doi: 10.1111/j.1365-2133.2006.07318.x. [DOI] [PubMed] [Google Scholar]
- 21.Rothstein G, Lee R, Cartwright GE. Sideroblastic anemia with dermal photosensitivity and greatly increased erythrocyte protoporphyrin. N Engl J Med. 1969;280(11):587–90. doi: 10.1056/NEJM196903132801104. [DOI] [PubMed] [Google Scholar]
- 22.Sato Y, Motoji T, Yamada O, Ito Y, et al. [A case of sideroblastic anemia with dermal photosensitivity and increased erythrocyte protoporphyrin (in Japanese)] Rinsho Ketsueki. 1981;22(12):1971–6. [PubMed] [Google Scholar]















