Abstract
Extracorporeal membrane oxygenation (ECMO) was first used in adults with severe respiratory failure in the 1970s. Its use has been steadily increasing since the 1990s after a trial demonstrated improved survival. There are currently seven centres in the UK offering ECMO to adults. Neurological complications are often picked up within the first few days of initiating ECMO. Intracerebral haemorrhage is a well recognised complication and it is the leading cause of death in infants on ECMO and rates of 9–18.9% in adults have been reported. We report a 52-year-old woman admitted in severe type 1 respiratory failure in January 2012. She was transferred to a tertiary centre and suffered bitemporal and right parietal haemorrhages on ECMO in late February. She was repatriated to our unit for rehabilitation in April 2012. Her rehabilitation needs represent the complexity of this patient group with multiple medical, behavioural and physical challenges.
Background
Extracorporeal membrane oxygenation (ECMO) may be used in patients with potentially reversible cardiac or respiratory failure who are unresponsive to conventional therapy.1–6 It involves venous drainage from the femoral vein or the left atrium with artificial extracirculatory oxygen exchange. Return to the body is through the same veins ((venovenous) or arterial system (venoarterial).3
Only approximately 50% patients undergoing ECMO survive to discharge7 and intracerebral haemorrhage is associated with an even greater mortality (92.3% vs 61% in one analysis5). This leads to limited data regarding neurological sequelae and experience with complex medical and physical rehabilitation. The outcomes, however, have important economic and health policy implications especially when the dramatic increase in ECMO use witnessed during the 2009 H1N1 pandemic is considered.5
Case presentation
A 52-year-old woman who was previously fit and well, was noted to drink excessive alcohol, smoke 40 cigarettes per day and suffer from low mood, presented to the emergency department in February 2012 with a 3-day history of diarrhoea and vomiting. On arrival she was unwell and significantly tachycardic, hypotensive and hypoxic.
Examination revealed bibasal reduced air entry and mild abdominal tenderness with no focal abnormality on cardiovascular and neurological systems. Laboratory investigations demonstrated neutropenia and thrombocytopenia (haemoglobin 13.8, mean corpuscular volume 92, white cell count 1.12, neutrophils 0.65, platelets 76) and acute renal failure (urea 10.8, creatinine 145) and evidence of an inflammatory process with a C reactive protein of 358. An arterial blood gas on 15 litres of oxygen showed a metabolic acidosis with a lactate of 8 and base excess of −11.1 and profound type 1 respiratory failure with a partial pressure of oxygen (pO2) of 8.04 and partial pressure of carbon dioxide of 4.04.
The patient was fluid resuscitated, treated with broad spectrum antibiotics and referred to the intensive care unit (ICU) where she was promptly attended and intubated. Given the exact pathology was unclear she underwent a CT scan of her chest, abdomen and pelvis in the emergency department; this showed background emphysematous changes, consolidation in the right lung and no abdominal pathology apart from a hyperenhancing adrenals.
She was transferred to the ICU and managed for hypoxia and septic shock secondary to severe community acquired pneumonia. Nasopharyngeal aspirate subsequently tested positive for influenza B and urine pneumococcal antigen was detected. Despite maximal management in the ICU (high pressure ventilation, haemodynamic support with norepinephrine, continuous veno-venous haemodiafiltration (CVVHDF), repeated fluid challenges, antibiotics, antivirals, nebulised ileoprost and hydrocortisone) over the next 3 days it remained a struggle to keep her pO2 above 6. She was therefore transferred to the local tertiary centre for ECMO.
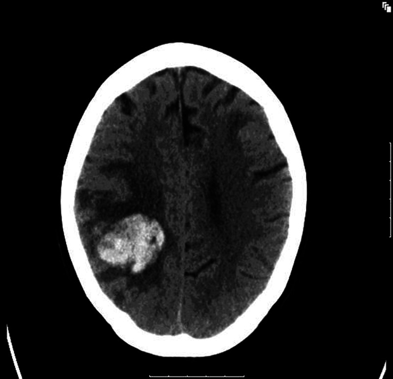
The patient stabilised on ECMO and an altered course of antibiotics. ECMO was decannulated 10 days later. Two days later she was slow to wean from sedation and a CT head was performed. Unfortunately this showed acute haemorrhage in the right parietal region with surrounding oedema and compression of the lateral ventricles. There were also similar smaller regions of acute haemorrhage in left and right temporal lobes (figures 1 and 2). She was repatriated to ICU at the referral hospital 14 days later.
Figure 1.

Initial CT head on intensive care unit showing acute haemorrhage in right parietal region.
Figure 2.

Initial CT head on intensive care unit further areas of bleeding in right and left temporal lobes.
She was noted to have several other outstanding issues on repatriation:
Ventilation via tracheostomy
Grade 4 sacral sore
Necrotic toes
Coagulopathy
Deranged liver function tests
Recurrent episodes of fever, on intravenous meropenem.
She remained in the ICU and underwent respiratory wean. Neurological deficits were difficult to define but she remained significantly agitated. On review by the speech and language therapist she was found dysphagic and so was fed nasogastrically. She underwent sacral sore debridement.
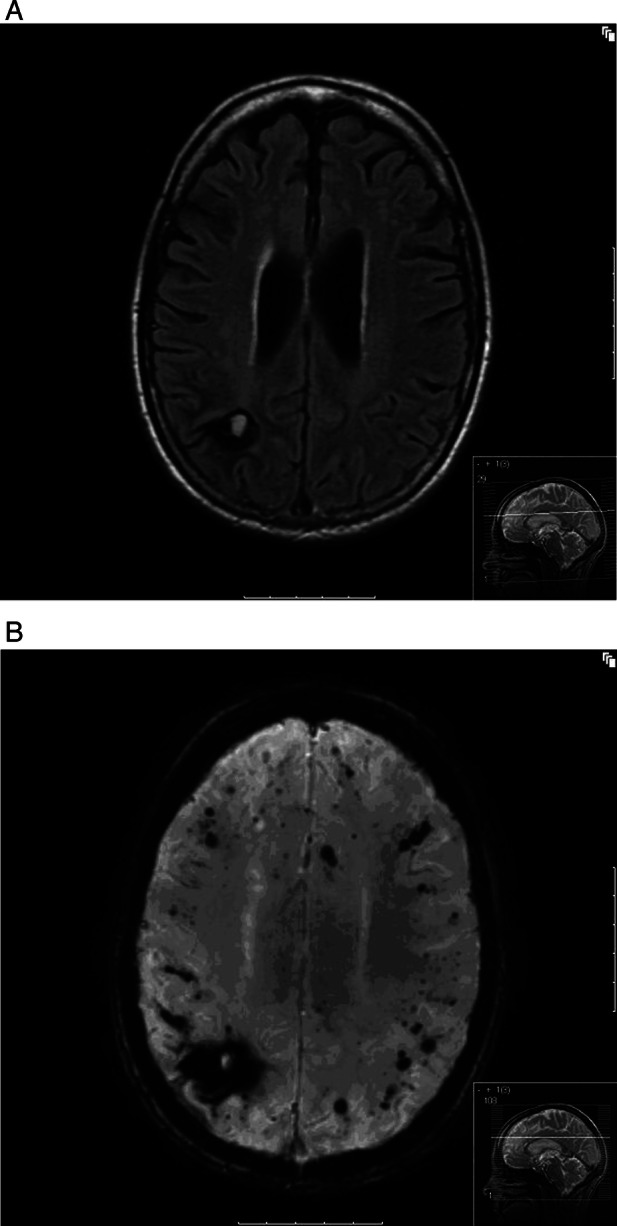
She was stepped down from ICU to the stroke unit 2 months after initial presentation and repatriated with tracheostomy to our unit 8 days later with rapid subsequent decannulation. Medically, she remained stable with normalisation of her blood parameters and normal observations. Surgical and tissue viability opinions were sought regarding her toes and sacral sore and rehabilitation was continued. Her imaging was reviewed with the neuroradiologists and MRI imaging undertaken at 3 months postevent to further characterise the brain lesions (figures 3).
Figure 3.

MRI brain undertaken at 3 months (A) fluid attenuated inversion recovery sequence. (B) SWAN sequence. Small area of evolving haemorrhage (subacute) in right parietal area. Multiple areas of microhaemorrhages in cerebral cortical and subcortical regions. SWAN, susceptibility-weighted angiography.
On initial therapy assessment she had full passive range of movement of bilateral upper limbs apart from a restriction to 70° at the shoulder leading to reduced function. Her lower limbs showed soft tissue shortening in the hips bilaterally. She had contractures in both lower limbs with both ankles fixed in plantarflexion and right knee limited to 20° at full extension and left knee at 50°. She was noted to have left-sided inattention, reduced sustained attention and although her long-term memory was intact there were some inconsistencies in specific details. She was noted to have reduced insight into her condition and deficits with reduced safety awareness and impulsive behaviour.
Agitation had remained a significant issue and she was on numerous psychotropic medications: fentanyl patch 25 μg every 72 h, diazepam 5 mg three times a day, sertaline 50 mg once daily and zopiclone 7.5 mg at night. She was also on baclofen.
Her behaviour was a significant factor during her rehabilitation. She was frequently agitated and verbally abusive required one-to-one nursing. Her lack of insight also provided challenges. She was regularly reviewed by the psychiatric liaison team and psychologists with a view to gradually weaning her medications. Her sacral sore also restricted her rehabilitation given she was only able to sit out for limited periods.
Approximately 1 month into her admission she became acutely unwell with an episode of hypotension and desaturation. She developed type 2 respiratory failure. A trial of naloxone was given and all sedative medications discontinued. She was transferred to the high dependency unit for non-invasive ventilatory support and started on tazocin to cover hospital acquired pneumonia. She was transferred back to the stroke unit 24 h later and her behavioural problems were noted to be greatly improved.
She began to engage in therapy and although her lack of insight remained she was able to make significant gains. She was subsequently discharged home with continued therapy in the community. She was thought to have been suffering from a drug-induced delirium.
Outcome and follow-up
The patient presented in this case continues to live independently and is followed in our stroke outpatient department. She is not on any anxiolytic medications. Her sacral sore had healed. She is not on any medications to modify stroke risk factors.
Discussion
There is limited information available on the rehabilitation of patients suffering intracerebral haemorrhage secondary to ECMO, owing in part to the fact ECMO-related intracerebral haemorrhage is associated with a mortality of 92.3%.5 We believe this is the first case report describing the rehabilitation of such a patient. Intracerebral haemorrhage is a well recognised complication of ECMO; therefore, the increasing availability and use of ECMO may well have implications for stroke units. It is also likely to have economic and health policy implications, not only related to intracerebral haemorrhage3 but also owing to the altered cerebral outcome that has been noted in patients without a noted acute neurological event. Risnes et al6 followed the 28 ECMO survivors between 1990 and 2004 from their unit for a 5-year period. They found that although all patients were able to mobilise unaided only 43% had no clinical findings. Impaired neuropsychological performance was found in 41%, neuroradiological findings in 52% and pathological EEG in 41% of patients.
While stroke physicians are likely to become increasingly involved at addressing the rehabilitation needs of patients suffering intracerebral haemorrhage secondary to ECMO it may be prudent to look at factors predisposing to intracerebral haemorrhage. The patient presented here was at increased risk given increased risk has been noted to be associated with ECMO with female gender, renal failure, thrombocytopenia as well as the use of heparin.5 It also important that other causes of intracerebral haemorrhage are addressed and appropriate interval scans looking for cavernoma or other predisposing structural abnormalities arranged.
Learning points.
With increasing use of ECMO on intensive care units patients with the recognised complication of intracerebral haemorrhage are likely to be seen more frequently on stroke units.
Management of patients following prolonged ICU stay requires different skills to those presenting with acute stroke from home; however, the multi-disciplinary team is crucial to both.
Anxiolytic medications should be used with caution in patients; they may well be contributing to the behavioural symptoms.
Footnotes
Contributors: Both authors have contributed equally to this manuscript.
Competing interests: None.
Patient consent: Obtained.
Provenance and peer review: Not commissioned; externally peer reviewed.
References
- 1. http://www.elso.med.umich.edu/Member.asp# United Kingdom.
- 2.Chow FC, Edlow BL, Frosch MP, et al. Outcome in patients with H1N1 influenza and cerebrovascular injury treated with extracorporeal membrane oxygenation. Neurocrit Care 2011;2013:156–60 [DOI] [PubMed] [Google Scholar]
- 3.Mateen FJ, Muralidharam R, Shinohara RT, et al. Neurological injury in adults treated with extracorporeal membrane oxygenation. Arch Neurol 2011;2013:1543–9 [DOI] [PMC free article] [PubMed] [Google Scholar]
- 4.The Australia and New Zealand Extracorporeal Membrane Oxygenation (ANZ ECMO) Influenza Investigators Extracorporeal membrane oxygenation for 2009 Influenza A (H1N1) Acute Respiratory Distress Syndrome. JAMA 2009;2013:18888–1895 [DOI] [PubMed] [Google Scholar]
- 5.Kasirajan V, Smedira NG, McCarthy JF, et al. Risk factors for intracranial haemorrhage in adults on extracorporeal membrane oxygenation. Eur J Cardiothorac Surg 1999;2013:508–14 [DOI] [PubMed] [Google Scholar]
- 6.Risnes I, Wagner K, Nome T, et al. Cerebral outcome in adult patients treated with extracorporeal membrane oxygenation. Ann Thorac Surg 2005;2013:1401–7 [DOI] [PubMed] [Google Scholar]
- 7.Brogan TV, Thiagarajan RR, Rycus PT, et al. Extracorporeal membrane oxygenation in adults with severe respiratory failure: a multi-center database. Intensive Care Med 2009;2013:2105–14 [DOI] [PubMed] [Google Scholar]
