Abstract
Traditionally, hamsters are experimentally inoculated in the snout or the footpad. However in these sites an ulcer not always occurs, measurement of lesion size is a hard procedure and animals show difficulty to eat, breathe and move because of the lesion. In order to optimize the hamster model for cutaneous leishmaniasis, young adult male and female golden hamsters (Mesocricetus auratus) were injected intradermally at the dorsal skin with 1 to 1.5 x l07 promastigotes of Leishmania species and progression of subsequent lesions were evaluated for up to 16 weeks post infection. The golden hamster was selected because it is considered the adequate bio-model to evaluate drugs against Leishmania as they are susceptible to infection by different species. Cutaneous infection of hamsters results in chronic but controlled lesions, and a clinical evolution with signs similar to those observed in humans. Therefore, the establishment of the extent of infection by measuring the size of the lesion according to the area of indurations and ulcers is feasible. This approach has proven its versatility and easy management during inoculation, follow up and characterization of typical lesions (ulcers), application of treatments through different ways and obtaining of clinical samples after different treatments. By using this method the quality of animal life regarding locomotion, search for food and water, play and social activities is also preserved.
Keywords: Immunology, Issue 62, Cutaneous leishmaniasis, hamster, Leishmania, antileishmanial drugs
Protocol
1. Infection of Hamsters
1. Animals
Inbred female and male golden hamsters (Mesocricetus auratus), 6-8 weeks, weighing 140-160 g are used. They are housed at the animal facility, in temperature-controlled accommodation, fed with standard rodent dried food and provided with water ad libitum. All the procedures involving animals are approved by the institutional Ethical Committee for Experimental Animal Use. Before experimental infection with dermotropic Leishmania parasites animals are sexed, marked and weighted according to standardized procedures. For sexing, animals are inspected for distinctive features such as the visualization of the mammary line and the short ano-genital distance in females, or the visualization of testicles and a greater distance between the anus and foreskin in males. Then, animals are marked by ear piercing or by staining an area of the skin with a swab soaked in picric acid. For ear perforation, after clean with 70% alcohol the ear is pierced using an ear punch for rodents. A region with blood vessels must be avoided. Sedation or anesthesia with a mixture 9:1 of Ketamine (50 mg/kg) and Xilacine (20 mg/kg) intraperitoneally in a volume of 260-300μl 25-G needle is recommended. Finally, animals are weighed by placing them in a trap or box that is conditioned on a precision balance.
2. Parasites
Promastigotes of dermotropic Leishmania species, such as L. amazonensis, are cultured in biphasic Novy-MacNeal-Nicolle (NNN) culture medium at 26°C. Metacyclic (stationary) phase promastigotes (5 days) are used to infect the hamsters. Briefly, parasites are harvested, washed twice using phosphate buffer saline (PBS), counted and adjusted to 1 x 107 (for males) or 1.5 x 107 (for females) parasites in 0.1 ml PBS for inoculating male or female, respectively, however, the inoculums size may vary according to the Leishmania species (procedure not shown in the video).
3. Experimental infection
A skin area is shaved before inoculation. Briefly, the anesthetized animals are placed in prone position and using scissors, the hair is removed two inches from the base of the tail. After clean up the shaved area with sterile saline solution the parasite inoculum is injected intradermally until a papule is formed.
4. Clinical follow up
Animals are monitored every 7 days up to 4 - 6 weeks after inoculation for appearance of the lesion. Shortly, animals are immobilized in a trap and the inoculated skin area is palpated. Then, the induration area of the formed ulcer is delineated and the width and the length of the ulcer are measured with a digital caliper.
2. Treatment of Hamsters
1. Administration of the compounds
The treatment schedule starts when the animals have developed ulcerated lesions (4-6 weeks post-inoculation). Animals are distributed in groups of 5-6 animals for each compound to be tested. Compounds can be administered by topical, oral, intramuscular or intralesional routes. Before application of drugs, hamsters are anesthetized and the lesion area is cleaned using saline solution or PBS. When the compound is applied via topical or intralesional, the hamsters are immobilized in traps that let expose the area to treat while, when the compound is administered by oral or intramuscular routes the hamsters are securely fastened by the base of the neck. a) Topical application: the compound is applied on the lesion and after few minutes the animal is returned to the cage. b) For the intramuscular injection, the drug is injected (200 μl maximum) through the semitendinous or semimembranous muscles of the hindquarters. c) For oral administration, the drug is provided to the animal (200 μl maximum) through an oro-gastric probe 14G connected to a 1 ml syringe. d) For intralesional injection the drug (100 μl maximum) is gradually injected at the base of the ulcer using a 26G gauge needle with the bevel placed down. The entire area of the lesion is covered by rotation of the needle. Treatments are administered daily during 10-20 days, according to the defined therapeutic scheme.
2. Clinical follow up
Because in this experimental model the effectiveness of new antileishmanial compounds is determined according to the healing and scarring of lesions after treatment, a clinical monitoring of each animal is done weekly at the end of the application of the compound and up to three months after. During the monitoring, the type of lesion is described and the induration and ulcer area are measured with a digital caliper. The presence of lesions in different regions to the inoculation site as well as the appearance of relapses of the lesion is also described and registered. Every two weeks, animals are weighted and lesions are pictured. Animals are observed daily to monitor: a) physical appearance (hair, coordination, temperature, eyes, position of the ears, grooming, defecation, presence of ascitic fluid, agitation and dehydration) and b) behavior (awake, alert, curious, attentive, stays with the group, looks forward to food and drink, and hard to catch). The site of application of the compound is also observed for the presence of hyperemia, inflammation, and biting and hair removal.
Hamsters are also bled at day 45 after the end of the treatment to determine the hematological and serological values that could be associated with toxicity of the compounds (see below).
The effectiveness of each treatment is assessed comparing the lesion sizes prior and after treatments, using the following score system: cured (healing of 100% area and complete disappearance of the lesion); clinical improvement (reducing the size of the lesion in >50% of the area); clinical failure (increasing the size of the lesion); relapse on of lesion after cure). At the end of the study, animals are sacrificed by inhalation of CO2 previous anesthesia. After death, the required samples for parasitological, histological and serological analysis are taken.
3. Parasitological exams
The presence of Leishmania in samples from skin (lesion or scar), liver, spleen and kidney is determined directly by examining smears stained with Giemsa 1 and histopathological examination of these tissues (see below).
The parasite burden in the lesion site is estimated by the limit dilution assay according to Titus and colleagues (1985) 2. Briefly, a small piece of the tissue is removed from each animal, weighed and homogenized in cold PBS solution using a syringe plunger. The suspension obtained is centrifuged at 600g for 10 min at 4°C. Thereafter, the supernatants are discarded and the pellets are resuspended in RPMI 1640 medium supplemented with 1% antibiotics and 10% fetal calf serum. A hundred l of the suspension are transferred to each of the 96 wells to the microtitre plate containing NNN medium overlaid with 50 μl Schneider's medium and kept at 26°C. The number of viable parasites in each sample is determined from the highest dilution at which promastigotes could be detected by examination under an inverted microscope every week for one month.
4. Histopathologic examination of skin lesion (or scar) and other tissues
A third piece of the biopsy specimen taken from the skin, liver and kidney is fixed in 10% formalin and embedded in parafin. Specimen from spleen and heart could also be processed. Five micron sections of the fixed tissues were stained with haemotoxilin-eosin and examined under an optical microscope using 200X, 400X or 1000X oil immersion to study the micro architecture, the characteristics of the cellular infiltrate, and the presence or absence of parasites. Photomicrographs are taken and digital images captured.
5. Evaluation of treatment toxicity
Toxic activity of the compound is based on the physical and behavior condition of the animals according to the parameters monitored during the clinical follow up (see above). Toxicity is also determined according to hematological and metabolic parameters in blood samples and histopathological changes observed in tissue sections stained with haemotoxilin-eosin as described above.
Blood samples are taken from the heart, preferably the ventricle. To hematological test, blood is transferred to EDTA anticoagulated tubes and processed according to standardize protocols for complete blood count. To serological tests, the blood is transferred to 1.5 eppendorf vials and centrifuged to obtain the serum for metabolic analysis of creatinine, ALT and BUN levels measured using Kodak Ektachemdry chemistry 3.
6. Data analysis
Data from treated and untreated animals are compared using ANOVA's test. Significance is set at p < 0.05.
3. Representative Results
Summary
The hamster model of cutaneous leishmaniasis was improved with the objective of using this model in drug efficacy screening. Lesion development and parasitological parameters were studied upon primary infection in the dermal skin of hamsters. Inbred female and male golden hamsters (Mesocricetus auratus), 6-8 weeks, were injected intradermally with 1 x 107 (for males) or 1.5 x 107 (for females) metacyclic (stationary phase) promastigotes of L. amazonensis. Nodules appeared 20 - 35 days p.i., with ulcers forming after 4-6 weeks p.i. After infection was established, the efficacy of pentavalent antimony (SbV) at two doses was evaluated. Hamsters were randomized in three groups of 5 animals each and treated with meglumine antimoniate at 80 or 120 mg SbV/kg daily during 10 days by intramuscular route. The third group was treated intramuscularly with PBS as placebo. A group of three animals were untreated and used as a negative control. The response to each treatment was followed up 3 months after the end of the treatment period.
1. Clinical course after L. amazonensis infection of the golden hamster (Mesocricetus auratus)
Hamsters infected in the dorsal skin consistently develop clinically evident ulceration of the epidermis at 4-6 weeks after infection. Lesions begin with small nodules and ending ulcers that increase in size according to the time post-infection and reach what was considered an optimal size for the evaluation of the effect of experimental drugs by the fourth to sixth week post-infection (18,99 to 54,7 mm2 at 4 week and 35,55 to 92,71 mm2 at 6 week) (Figures 1, 2). The lesions subsequently maintained an evident ulcer for up to 20 wk post-infection, at which time the experiments were terminated (Figure 1).
Infection by L. amazonensis does not affect the body weight of hamsters that varied from 104,9 to 124,69 gr and 129,71 to 134,02 gr in uninfected and infected hamsters, respectively (p > 0.05, Anova). The animals gained an average of 25,58 ± 5,98 % of body weight during the study. The seric values of creatinine and alanine amino transferase (ALT) and hemogram parameters were similar to the references values in uninfected and Leishmania infected hamsters. Only the bun urea nitrogen (BUN) level was augmented in 60% of infected animals.
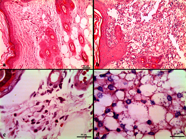
Histopathological analysis of lesions in hamsters infected with L. amazonensis showed differences related to those uninfected animals. In general, skin biopsies from hamsters uninfected show no inflammatory reaction or any histological alteration (Figure 3a), whereas those infected with L. amazonensis develop a granulomatous dermatitis and abundant presence of macrophages infiltrating the dermis (Figure 3b). Histopathological analysis of tissues from hamsters infected with L. amazonensis and treated with meglumine antimoniate at doses of 80 and 120 mg SbV/kg/day during 10 days showed changes associated to the infection process similar to those observed in the control group (infected and untreated). In general, skin samples of hamsters showed a slight level of plasmocytes (20%) and PMN (80%) cells accompanied by moderate infiltration of lymphocytes (80%), and a mild (20%) or severe (80%) infiltration of macrophages (Table 2). These observations correspond to a diagnostic of granulomatous dermatitis, an inflammatory event that compromises the dermis and subjacent muscle. This is the main lesion associated to the infection, which is compatible with the severe manifestation of cutaneous leishmaniasis in all animals in the study. This association was statistically correlated when the chi-square of Pearson, which yielded p < 0.05. Kidney samples of 60-100% of the animals showed moderate hyperplasia in the renal cortex and glomerules accompanied by slight atrophy of the kidneys in 75% of animals. These observations are compatible with membrane proliferative glomerulonefritis, a diagnosis which has been previously associated to infection by infection by other Leishmania species. Statistical association was large with a chi-square of Pearson p < 0.05. The livers of 40-100% of animals in all groups showed slight vacuolar changes in the hepatocytes, which may be associated to physiological processes such as hepatocytic accumulation of glycogen. Other liver tissue abnormalities such as fatty degeneration, fibrosis, and congestion correspond to the infection process. Other observations such as vacuolar changes in hepatocytes, cardiomegalies, the presence of inclusions of intracytoplasmic eosinophiles, as well as the vacuolization of cells in the renal tubes are not statistically associated ( p > 0.05) to a toxic effect of the compound tested and are likely due to a physiological process in the hamsters.
2. Therapeutic efficacy of meglumine antimoniate in the hamster model
The clinical phenotype of infected hamsters at different time points after treatment is summarized in Table 1. The treatment with intramuscular meglumine antimoniate at a dose of 120 mg SbV/kg/day during 10 days weight was highly effective inducing complete regression of the L. amazonensis lesions in all animals (Figure 4). The percentage of cure was 100 % within the 2 and 8 week post-treatment period. However, after three months the relapse of the lesion was observed in 20% of hamsters. When meglumine antimoniate was administered at 80 mg SbV/kg body weight, complete cure was observed only in 3 animals. In the other two animals the lesion decreased by 33,9 and 69,0%, respectively (Figure 5). After three months, L. amazonensis remained present in the skin of all animals treated with meglumine antimoniate at a dose of 80 mg SbV/kg/day and only one of the animals treated with 120 mg SbV/kg/day of meglumine antimoniate. A curative dose of intramuscular 120 mg SbV/kg/day during 10 days was determined.
Using the limiting dilution assay, the estimated number of parasites showed a significant reduction for the treated group with meglumine antimoniate in comparison to negative (untreated) control and vehicle (placebo) treated group (p < 0.001). Viable parasites (0.4 to 1,6 parasites per mg of skin tissue) were detected in the lesion site of untreated animals and those treated with PBS. Parasites were only isolated from those animals that did not respond to the treatment with meglumine antimoniate: one animal treated with 120 mg/kg/day (Figure 5b) and two hamsters treated with 80 mg/kg/day (Figure 5c). No difference were observed in the parasite load of hamsters that did not cure after receiving meglumine antimonite in comparison to those animals untreated or treated with PBS.
In the histopathology of skin biopsies from hamsters treated with intramuscular meglumine antimoniate at 120 mg SbV/kg/day no parasites are observed; few macrophages and lymphocytes infiltrating the dermis are seen (Figure 6a, 6b). At contrary, when hamsters were treated with meglumine antimoniate at 80 mg SbV/kg/day, granulomatous dermatitis with abundant presence of macrophages infiltrating the dermis extensively is observed (Figure 6c, 6d).
3. Toxicity
Using the same therapeutic scheme for efficacy study, the toxicity of meglumine antimoniate at 80 and 120 mg SbV/kg body weight was evaluated. General health status and body weight were monitored up to 3 months after the last dosing. Treatment with did not affect the body weight of hamsters that varied from 104,9 to 124,69 gr and 129,71 to 134,02 gr in uninfected and infected hamsters, respectively. The animals gained an average of 27,59 ± 4,22 % of body weight during the treatment and 28,74 ± 2,26 % during the follow-up (p > 0.05, Anova). Loss of weight was not observed in any group of treatment (Data not shown). The seric values of creatinine and alanine amino transferase (ALT) and hemogram parameters were similar to the references values in untreated and meglumine antimoniate treated hamsters. Only the bun urea nitrogen (BUN) level was augmented in 20% of treated animals.
Histopathological analysis of tissues from hamsters infected with L. amazonensis and treated with meglumine antimoniate at doses of 80 and 120 mg SbV/kg/day during 10 days showed no changes associated to drug toxicity.
aPhosphate buffer saline, bDays after treatment. Table 1. Clinical phenotype of L. amazonensis experimentally infected hamsters after treatment with meglumine antimoniate.
The effectiveness of each treatment was assessed comparing the lesion sizes prior and after treatments, using the following score system: cure (healing of 100% area and complete disappearance of the lesion); clinical improvement (reducing the size of the lesion in > 50% of the area); clinical failure (increasing the size of the lesion); relapse (reactivation of lesion after cure).
A: absent sign; NA: not applicable; m: mild; M: moderate; S: severe; PMN: polymorphonuclear neutrophils; NSL: No significant lesion; GDM: Granulomatous dermatomyositis; PGD: Pyogranulomatous dermatitis. 1. Lymphangiectasia; 2. Mineral-like material. Table 2. Histopathology of the skin of hamsters experimentally infected with L. amazonensis and treated with meglumine antimoniate.
Figure 1. Course of skin lesion development after infection in hamsters inoculated intradermally with 1-1.5 x 107
L. amazonensis metacyclic (stationary phase) promastigotes during 20 weeks. Axis y represents the ulcer area in mm.
Figure 2. Photographyic history of development of ulcerating lesion in the dorsal skin of a golden hamster after intradermal inoculation of 10 x 107 at 2 weeks (a), 4 weeks (b) and 6 weeks (c).
Figure 3. Skin biopsy from (a) hamster uninfected and untreated: no inflammatory reaction neither significant histological alteration is observed; (b) hamster infected and untreated: granulomatous dermatitis with presence of multinucleated giant cells (arrow plus asterisk) and abundant parasites (black arrows) and macrophages (white arrows) infiltrating the dermis. Hematoxylin-Eosin stain 400x.
Figure 4. Photographic history of clinical response of hamsters infected with L. amazonensis and treated with intramuscular meglumine antimoniate at 120 mg SbV/kg/day during 10 days. Pictures show the appearance of the lesion before of treatment (a), at the end of the treatment (day 10) (b), and during follow-up: day 30 (c), 60 (d) and 90 (e) after treatment.
Figure 5. Effectiveness of meglumine antimoniate in the treatment of cutaneous leishmaniasis in hamsters. Golden hamsters were infected with L. amazonensis in the dorsal skin. After 6 weeks of infection they were untreated (a) or treated intramuscularly during ten days with PBS alone (b), meglumine antimoniate 120 mg SbV/kg/day (c) or 80 mg SbV/kg/day (d). Graphs show the percentage of decrease in the lesion size at the end of treatment (day 0), and at days 15, 30, 60 and 90 of follow-up after the end of treatment. p < 0.001 for 120 or 80 mg SbV/kg/day vs. vehicle and not treatment.
Figure 6. Skin biopsy from hamsters infected and treated with intramuscular megumine antinmoniate at 120 mg SbV/kg/day (a, b) and 80 mg SbV/kg/day (c, d). Presence of scarce macrophages and lymphocytes infiltrating the dermis. No parasites are observed. Hematoxylin-Eosine stain 200x (a), 1000x (c).Granulomatous dermatitis with abundant presence of macrophages infiltrating the dermis extensively (c); foamy macrophages with phagocyted parasites. Hematoxylin-Eosine stain 200x (b), 1000x (d).
Discussion
Cutaneous leishmaniasis is endemic in the tropics and neotropics. It is often referred to as a group of diseases because of the varied spectrum of clinical manifestations, which range from small cutaneous nodules to gross mucosal tissue destruction. Most available drugs are costly, require long treatment regimens and are becoming increasingly ineffective, necessitating the discovery of new drugs.
The mouse model is widely used but has some disadvantages. Thus for example, on the basis of the lesion which developed after intradermal injection of promastigotes of dermotropic Leishmania species, the mice could be divided into three groups: a highly susceptible with persistent infection characterized by an expanding ulcerous lesion as seen in BALB/c and DBA/2, DBA/3 mice; a relatively resistant group where lesions may resolve within 8 weeks as seen in CBA/H, C3H/He and A/J and a highly resistant group in which no real lesion typical of cutaneous leishmaniasis develops at the injection as seen in NZB and C57Bl/6 mice 4. In contrast to the murine model of cutaneous leishmaniasis where the course of the disease markedly varied amongst various common inbred mouse strains and Leishmania species, the golden hamster, Mesocricetus auratus is considered the adequate bio-model to evaluate drugs against Leishmania species as they are susceptible to infection by different species of Leishmania. 5,6,7,8,9,10,11,12,13,14. Inoculation of metacyclic (stationary phase) promastigotes of any of the dermotropic Leishmania species is able to cause cutaneous lesions between one and two months post inoculation. Lesions become evident 20 days p.i. as papules which evolved to nodules and later, to ulcers. Depending of the inoculation site (p.e snout, foodpad, ear or base tail) the hamster displays a predictable disease evolution after experimental infection, most of the time characterized by development of a chronic ulcerating local lesion similar to those observed in human beings with cutaneous leishmaniasis. However, as in humans, lesions varied in sizes depending of the immune status of each individual and therefore, in some hamsters an attempt to resolving the lesion and consequently reduction of the size of the lesion can be seen.
Although this article describes the experimental infection in the dorsal skin of hamsters using promastigotes of L. amazonesis, this model is also feasible for other dermotropic Leishmania species, changing only the size of the inoculum. In summary, the approach of intradermal injection of promastigotes at the dorsal skin demonstrates that the clinic and pathologic features of cutaneous leishmaniasis induced in the dorsal skin of hamsters are remarkably similar to the human disease. Additionally, the clinical follow-up of ulcers after treatment with specific compounds or drugs is facilitated in this model of induced CL in dorsal skin. The evolution of lesions is easily determined by comparing the size of the lesion obtained before and after treatment. The clinical response in terms of cure is easily followed according to the re-epithelialization (as seen in Figure 4).We conclude that the experimental infection in the dorsal skin of hamsters with Leishmania species represents a useful model to validate the potential of compounds that are candidates for antileishmanial drugs.
Disclosures
No conflicts of interest declared.
Acknowledgments
This study was supported by grants from The Committee for Research at the University of Antioquia (CODI), The Colombian Institute for Development of Science and Technology – COLCIENCIAS and The Center for Development of Products against Tropical Diseases - CIDEPRO.
References
- WHO. Control of the leishmaniasis. Report of a Meeting of the WHO Expert Committee on the Control of Leishmaniasis WHO. 2010;949 [Google Scholar]
- Titus RG, Marchand M, Boon T, Louis JA. A limiting dilution assay for quantifying Leishmania major in tissues of infected mice. Parasite Immunol. 1985;7:545–555. doi: 10.1111/j.1365-3024.1985.tb00098.x. [DOI] [PubMed] [Google Scholar]
- Reynolds KM. The Kodak Ektachem dry layer technology for clinical chemistry. Upsala. J. Med. Sci. 1986;91:143–146. doi: 10.3109/03009738609178504. [DOI] [PubMed] [Google Scholar]
- Handman E, Ceredig R, Mitchell GF. Murine cutaneous leishmaniasis: disease patterns in intact and nude mice of various genotypes and examination of some differences between normal and infected macrophages. Australian J. Exp. Biol. Med. Sci. 1979;57:9–29. doi: 10.1038/icb.1979.2. [DOI] [PubMed] [Google Scholar]
- Hanson W, Chapman W, Waits V, Lovelace J. Development of Leishmania (Viannia) panamensis lesions and relationship of numbers of amastigotes to lesion area antimony-treated and untreated hamsters. J. Parasitol. 1991;77:780–783. [PubMed] [Google Scholar]
- Henao HH, Osorio Y, Saravia NG, Gómez A, Travi B. Efficacy and toxicity of pentavalentantimonials (Glucantime and Pentostam) in an American cutaneous leishmaniasis animal model: luminometry application. Biomédica. 2004;24:393–402. [PubMed] [Google Scholar]
- Travi BL, Martinez JE, Zea A. Antimonial treatment of hamsters infected with Leishmania (Viannia) panamensis: assessment of parasitological cure with different therapeutic schedules. Trans. R. Soc. Trop. Med. Hyg. 1993;87:567–569. doi: 10.1016/0035-9203(93)90093-6. [DOI] [PubMed] [Google Scholar]
- Hommel M, jaffe CL, Travi B, Milon G. Experimental models for leishmaniasis and for testing anti-leishmanial vaccines. Ann. Trop. Med. Parasitol. 1995;89:55–73. doi: 10.1080/00034983.1995.11813015. [DOI] [PubMed] [Google Scholar]
- Travi BL, Osorio Y, Saravia NG. The inflammatory response promotes cutaneous metastasis in hamsters infected with Leishmania (Viannia) panamensis. J. Parasitol. 1996;82:454–457. [PubMed] [Google Scholar]
- Travi BL, Osorio Y. Failure of Albendazole as an alternative treatment of cutaneous Leishmaniasis in the hamster model. Memorias Instituto Oswaldo. 1998;93:515. doi: 10.1590/s0074-02761998000400018. [DOI] [PubMed] [Google Scholar]
- Travi BL, Osorio Y, Melby PC, Chandrasekar B, Arteaga L, Saravia NG. Gender is a major determinant of the clinical evolution and immune response in hamsters infected with Leishmania spp. Infect Immun. 2002;70:2288–2296. doi: 10.1128/IAI.70.5.2288-2296.2002. [DOI] [PMC free article] [PubMed] [Google Scholar]
- Osorio Y, Melby PC, Pirmez C, Chandrasekar B, Guarín N, Travi BL. The site of cutaneous infection influences the immunological response and clinical outcome of hamsters infected with Leishmania panamensis. Parasite Immunol. 2003;25:139–148. doi: 10.1046/j.1365-3024.2003.00615.x. [DOI] [PubMed] [Google Scholar]
- Osorio Y, Bonilla DL, Peniche AG, Melby PC, Travi BL. Pregnancy enhances the innate immune response in experimental cutaneous leishmaniasis through hormone-modulated nitric oxide production. J. Leukoc. Biol. 2008;83:1413–1422. doi: 10.1189/jlb.0207130. [DOI] [PubMed] [Google Scholar]
- Espitia CM, Zhao W, Saldarriaga O, Osorio Y, Harrison LM, Cappello M, Travi BL, Melby PC. Duplex real-time reverse transcriptase PCR to determine cytokine mRNA expression in a hamster model of New World cutaneous leishmaniasis. BMC Immunol. 2010;22:11–31. doi: 10.1186/1471-2172-11-31. [DOI] [PMC free article] [PubMed] [Google Scholar]
