Sir,
Although the Koebner phenomenon is a common feature of psoriasis, it's occurrence over keloids is very rare. We describe a patient who developed an acute episode of psoriasis, which was remarkably limited to his keloids.
A 32-year-old man presented with pruritic scaly lesions on the body of 2-weeks duration. Four months prior to the present complaints, he had sustained extensive burns from a kerosene lamp while sleeping. Following treatment, the burns healed, with keloid formation over the scars. On questioning, he gave a 5-year history of patchy scaling of the scalp, for which no treatment had been taken. The patient had no previous history of any other skin disease.
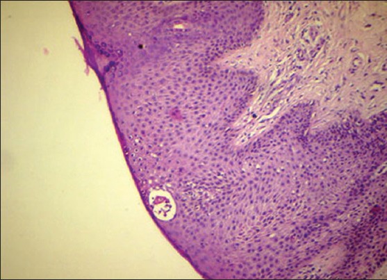
Dermatological examination revealed extensive keloids over the trunk, limbs [Figure 1], and sides of the face. All keloidal areas were erythematous and covered with silvery, micaceous scales [Figure 2]. There was no erythema or scaling on the intervening normal skin [Figures 3 and 4]. Typical psoriatic lesions were seen on the scalp. A skin biopsy revealed acanthosis with regular elongation and thickening of the lower portion of the rete ridges, diminished granular layer, thinning of the suprapapillary epidermis, and spongiform pustules in the upper epidermis [Figure 5]. The features were typical of psoriasis. The dermis showed excess collagen formation, with thickened, glassy, eosinophilic collagen bundles, hypo-cellular fibrous tissue, and reduced vascularity, suggestive of keloid [Figure 6].
Figure 1.

Keloids on the trunk and limbs
Figure 2.

Surface of keloids showing erythema and silvery, large, loose scales
Figure 3.

Absence of psoriatic lesions on areas without keloids
Figure 4.

Psoriatic lesions localized to the keloids and sparing normal skin
Figure 5.

Epidermis showing features of psoriasis and micro - Munro abscess (H and E, ×40)
Figure 6.

Dermis showing hypo - cellular, whorled areas of fibrous tissue with thick, eosinophilic, collagen bundles (H and E, ×10)
The clinical and histopathological findings confirmed the diagnosis of psoriasis over keloids.
Our patient developed an acute episode of extensive psoriasis limited to the keloidal areas, sparing the intervening normal skin. The Koebner phenomenon in psoriasis has been demonstrated to show an all-or-none phenomenon, that is, if psoriasis occurs at one site of injury, all injured areas develop psoriasis.[1] This finding was seen in our patient also.
In psoriatic lesions, mast cells are increased in number, especially in the initial stages. Mast cell tryptase (MCT) is a chemoattractant for neutrophils and a mitogen for epithelial cells as well as fibroblasts, which stimulates collagen synthesis, especially type-1 collagen. Increase of MCT levels following trauma could also be responsible for the Koebner phenomenon seen in psoriasis. The activated fibroblasts also produce insulin growth factor-1 (IGF-1), which is probably involved in the pathophysiology of psoriasis.[2]
Transforming growth factor-β1 (TGF-β1) is a cytokine, which regulates cell growth and differentiation, as well as extracellular matrix (ECM) synthesis. Increased TGF-β1 expression is seen in keloid compared with normal skin, which stimulates collagen type-1 expression and collagen synthesis in keloid fibroblasts.[3] Serum concentrations of TGF-β1 in patients with psoriasis has been seen to be significantly increased, and patients with more severe disease had significantly higher levels than those with mild psoriasis.[4]
Keloid fibroblasts overexpress IGF-1 receptor. The combination of IGF-1 and TGF-β1 has been found to have a marked synergistic effect (a 25-fold increase in ECM protein in fibroblast cultures) on the expression of collagen type-1 in keloid fibroblasts.[5] Dermal fibroblasts may contribute to the epidermal hyperplasia of psoriasis by promoting keratinocyte proliferation through IGF-1. IGF mRNA expression in psoriatic fibroblasts has been demonstrated to be significantly higher than in control fibroblasts and in patient non-lesional skin fibroblasts.[6]
Although Koebner phenomenon can be induced by many types of trauma, there is only one previous report of elicitation of this phenomenon on keloids.[7] Increased levels of MCT, TGF-β1, and IGF-1 in keloidal lesions may be responsible for the development of psoriasis in these lesions. The unusual features of this case were sudden onset of psoriasis and involvement of all keloids by the psoriatic lesions.
References
- 1.Eyre RW, Krueger GG. Response to injury of skin involved and uninvolved with psoriasis, and its relation to disease activity: Koebner and ‘reverse’ Koebner reactions. Br J Dermatol. 1982;106:153–9. doi: 10.1111/j.1365-2133.1982.tb00924.x. [DOI] [PubMed] [Google Scholar]
- 2.Namazi MR. Possible molecular mechanisms to account for the involvement of tryptase in the pathogenesis of psoriasis. Autoimmunity. 2005;38:449–52. doi: 10.1080/08916930500246289. [DOI] [PubMed] [Google Scholar]
- 3.Li J, Cao J, Li M, Yu Y, Yang Y, Xiao X, et al. Collagen triple helix repeat containing-1 inhibits transforming growth factor-b1-induced collagen type 1 expression in keloid. Br J Dermatol. 2011;164:1030–6. doi: 10.1111/j.1365-2133.2011.10215.x. [DOI] [PubMed] [Google Scholar]
- 4.Nockowski P, Szepietowski JC, Ziarkiewicz M, Baran E. Serum concentrations of transforming growth factor beta 1 in patients with psoriasis vulgaris. Acta Dermatovenereol Croat. 2004;12:2–6. [PubMed] [Google Scholar]
- 5.Daian T, Ohtsuru A, Rogounovitch T, Ishihara H, Hirano A, Akiyama-Uchida Y, et al. Insulin-like growth factor-1 enhances transforming growth factor-beta-induced extracellular matrix protein production through the P-38/activating transcription factor-2 signalling pathway in keloid fibroblasts. J Invest Dermatol. 2003;120:956–62. doi: 10.1046/j.1523-1747.2003.12143.x. [DOI] [PubMed] [Google Scholar]
- 6.Miura H, Sano S, Higashiyama M, Yoshikawa K, Itami S. Involvement of insulin-like growth factor-1 in psoriasis as a paracrine growth factor: Dermal fibroblasts play a regulatory role in developing psoriatic lesions. Arch Dermatol Res. 2000;292:590–7. doi: 10.1007/s004030000188. [DOI] [PubMed] [Google Scholar]
- 7.Gupta S. Many faces of Koebner phenomenon in psoriasis. Indian J Dermatol Venereol Leprol. 2002;68:222–4. [PubMed] [Google Scholar]
