Abstract
Percutaneous vertebroplasty is used to treat osteoporotic compression fractures and bone loss due to malignancy. The cement used can serve as a potential nidus for pulmonary thromboembolism (PTE). An 87-year-old woman with recent L2 vertebroplasty presented with abdominal pain and shortness of breath. Thoracoabdominal CT scan revealed extensive bilateral pulmonary emboli associated with a 9 cm cement fragment in the inferior vena cava (IVC) extending proximally from the level of the right superior renal vein, likely secondary to cement leak from the vertebral plexus into the IVC. She refused catheter extraction was managed conservatively. There are 51 reported cases of cement pulmonary embolism. IVC foreign bodies serving as a nidus for PTE have been reported with IVC filters with an incidence of 6.2%. This is the second reported case of vertebroplasty cement serving as a nidus for PTE. Treatment depends on time interval between the procedure and the symptom onset.
Background
Percutaneous vertebroplasty using polymethylmethacrylate cement is widely used for the treatment of osteoporotic vertebral fractures and painful metastases to the spine.1 Venous leakage of cement is a frequent occurrence, and pulmonary cement embolism is a reported complication.2 There are multiple reports3–5 of cement pulmonary embolism and right ventricular cement fragments, but there is a paucity of literature about cement associated with thromboembolism. We presented a case highlighting the role of vertebroplasty cement serving as a potential nidus for extensive bilateral pulmonary thromboembolism (PTE) seen at our centre. Institutional Review Board approval was not required for this report.
Case presentation
An 87-year-old Korean-American woman presented with 10/10 right upper quadrant abdominal pain and lower back pain of 1-week duration aggravated by standing and relieved with rest. She had a history of hypertension and coronary artery disease with percutaneous bare metals stent placed in left circumflex coronary artery. The patient had a prolonged history of osteoporosis manifested by compressive fractures of L1, L2 and L5 vertebrae. Six weeks ago, she received L2 vertebroplasty without any immediate postprocedural complications.
On examination she had stable vital signs with >95% saturations on room air. Her cardiorespiratory examination was unremarkable without evidence of added sounds. Her abdominal examination revealed right upper quadrant tenderness to palpation without organomegaly or palpable masses. Her bowel sounds were of normal intensity with unremarkable rectal examination. Inguinal orifices and genital examination were within normal parameters. The rest of the physical examination failed to reveal any positive findings.
She was an immigrant from Korea and spoke a dialect of Korean spoken in southern regions of South Korea. Communication was limited despite best efforts from the linguistics and translation services. She did not report any alcohol, tobacco or illicit drug use. Her family history was non-contributory to this current case. She did not report any allergies to food or medications and no records of reported home medications were available in the hospital records. Review of systems was difficult to elicit due to linguistic barriers.
Investigations
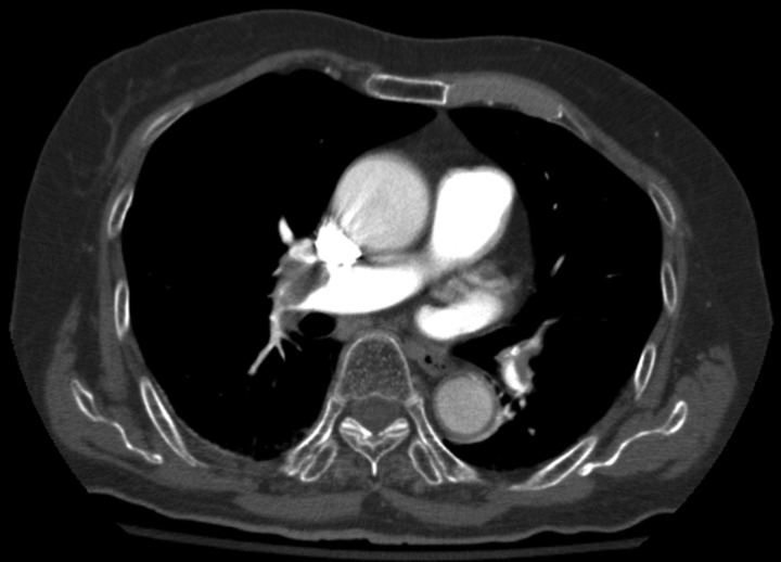
Her abdominal imaging (figures 1 and 2) was negative for any intra-abdominal acute processes and showed significant non-obstructive stool in the colon. It was also remarkable for a wire/catheter fragment in inferior vena cava (IVC) and suspicious findings of PTE in lung fields. A CT scan of her thorax showed a large filling defect in the right main pulmonary artery extending into the lobar and some segmental branches, representing pulmonary embolism. Similar filling defects are seen in the left lower lobe lobar and segmental branches (figures 3 and 4).
Figure 1.
Abdominal radiograph showing radiodense foreign body in inferior vena cava (arrow).
Figure 2.
Abdominal CT showing inferior vena cava cement (red) and vertebroplasty (green).
Figure 3.
Thoracic CT (transverse section) showing bilateral pulmonary emboli.
Figure 4.
Thoracic CT (coronal section) showing extensive pulmonary emboli.
Further workup for potential nidus for PTE was all negative. She denied any history of malignancy, recent immobilisation, coagulations disorders or long travel. Dopplers of the lower limb/IVC and CT scan of the abdomen and pelvis were negative for any lower limb or pelvic sources of thrombus. Her transthoracic echocardiogram showed 60–65% ejection fraction with no regional wall motion abnormalities and grade I diastolic dysfunction without any features suggestive of right ventricular strain from the increased clot burden. Her coagulation profile, CHF peptide and metabolic panels were all normal. The patient denied any history of recent central catheter placements and CT of the abdomen performed postvertebroplasty was negative for any such findings. On further review of with the radiology using densitometry techniques, the ‘foreign body fragment’ in the IVC was deemed to be consistent with cement similar to that used in vertebroplasty. It was noted to be 9 cm in length extending inferiorly from the level of right superior renal vein.
Treatment
The patient was started on a therapeutic dose of subcutaneous enoxaparin and was subsequently bridged to oral warfarin. The patient was explained the nature of her condition and offered catheter extraction by interventional radiology. However, the patient refused extraction and opted for medical management. Her constipation and lower back pain were appropriately managed and the patient opted to return home.
Outcome and follow-up
On discharge, her international normalised ratio was therapeutic and she was asked to follow-up in her primary care physician's clinic for further management of her thromboembolism. The patient was lost to follow-up subsequently.
Discussion
Vertebroplasty is part of a commonly used group of procedures called percutaneous vertebral augmentation that includes others such as skyphoplasty and kyphoplasty. These are very commonly performed with 38 000 reported vertebroplasties in 2002.6 Common local adverse effects include pain, bleeding and infections.7 Venous leaks from vertebroplasty are very common4 5 with Lim et al7 quoting 24% venous leaks from total 73% leaks reported. Serious systemic complications include paraplegia, paradoxical cerebral embolism and renal artery infarction.7 However, there have been only 51 reported cases of pulmonary embolism caused due to cement migration through IVC5 with varying incidence of 0.9–23%.1 6 Cement leaks into the IVC showed a statistically significant (p=0.03) correlation with cement pulmonary embolism.8 However, to the best of our knowledge there is only a single reported case in literature describing the presence of thromboembolism triggered by presence of cement in IVC without the presence of any pulmonary cement.7
The first reported case of cement migration causing symptomatic pulmonary embolism was in 1999 by Padovani et al.3 However, there is extensive mention in literature4 5 self-resolving bone medullary fat migration into the pulmonary circulation, but this is also known to cause fatal complications9 albeit rarely. Recent studies1 6 have been reported a progressively increasing incidence of cement embolisation. It is hypothesised that what was thought of, as fat migration earlier could in fact be undetected cement migration4 especially since routine chest radiography postprocedure was a not regular practice.1 Postprocedure chest imaging is now advocated as standard protocol.10 There is a mention in the literature on the correlation between the numbers of vertebrae involved in vertebroplasty and pulmonary embolism,4 but Choe et al11 found no direct correlation in a 2003 study. The composition, technique and density of the cement have been extensively studied to prevent para-vertebral plexus leak.3–5
Management guidelines vary because of the rare nature of this event. Though anticoagulation is the mainstay of treatment of IVC/pulmonary artery cement emboli, it only serves to decrease further propagation of the thrombus and subsequent infarction. It does not reduce the after load or improve the ventilation-perfusion ratio.1 5 10 Surgical techniques such as IVC filter deployment6 aspiration thrombectomy1 and open embolectomy have been described12 in cases with more extensive involvement or increased symptoms. It is a well-known phenomenon that IVC foreign bodies serve as a nidus for thromboembolism. This phenomenon has been extensively studied with IVC filters with a reported incidence of 6.2%.13 However, paradoxically IVC filters have also been used as treatment for cement emboli in IVC to prevent pulmonary migration.6
With relation to the current case, there is limited data on the treatment of thromboembolism secondary to the cement fragment in IVC. In the only reported case so far, Lim et al7 performed open-heart surgery for foreign body removal and atrial thrombectomy under cardiopulmonary bypass. Based on our patient's lack of clinical symptoms and her age, we opine that conservative management of the thromboembolism was the more favourable approach. We recommended anticoagulation as the primary modality of management for a period of 3 months14 since this is similar in presentation to a provoked venous thromboembolic phenomenon. Recurrent episodes and/or symptomatic episodes would warrant a more invasive approach.
We reported a case of PTE with an uncommon nidus in the form of an IVC cement fragment. This case study, we believe, will aid clinicians to consider this possibility in patients with vertebroplasty. There is need for more literature on this issue to synthesise a consensus towards approaching such patients.
Learning points.
Despite being considered a relatively benign procedure, vertebroplasty is complicated by leaks in 73% cases, with 24% venous leaks.
Fatal venous leaks frequently manifest as cement pulmonary embolism, cardiac foreign bodies and sudden death, but rarely serve as a nidus for thromboembolism.
We recommend considering cement-induced thromboembolism as a provoked venous thrombo-embolism and anticoagulating for 3 months.
However, greater data is required prior to establishing guidelines in this regard.
Footnotes
Contributors: All authors contributed to assessment of the patient, collection of the patient data, management on inpatient hospitalisation, literature review, drafting the article, and improvisation of intellectual content and preparation of final version for submission. SV was the chief contributor who participated actively in all the above domains and was assisted by PRS. OB was the senior resident physician providing assistance and improvising data and literature and TAT was the supervising attending physician serving as mentor and guide for the aforementioned activities.
Competing interests: None.
Patient consent: Obtained.
Provenance and peer review: Not commissioned; externally peer reviewed.
References
- 1.Kim SM, Min SK, Jae HJ, et al. Successful thrombolysis, angioplasty and stenting of delayed thrombosis in vena cava following percutaneous vertebroplasty with polymethylmethacrylate cement. J Vasc Surg 2012;2013:1119–23 [DOI] [PubMed] [Google Scholar]
- 2.Athreya S, Mathias N, Rogers P, et al. Retrieval of cement embolus from inferior vena cava after percutaneous vertebroplasty. Cardiovasc Intervent Radiol 2009;2013:817–19 [DOI] [PubMed] [Google Scholar]
- 3.Padovani B, Kasriel O, Brunner P, et al. Pulmonary embolism caused by acrylic cement: a rare complication of percutaneous vertebroplasty. AJNR Am J Neuroradiol 1999;2013:375–7 [PMC free article] [PubMed] [Google Scholar]
- 4.Jang JS, Lee SH, Jung SK. Pulmonary embolism of polymethylmethacrylate after percutaneous vertebroplasty: a report of three cases. Spine 2002;2013:E416–18 [DOI] [PubMed] [Google Scholar]
- 5.Wang L, Yang H, Shi Y, et al. Pulmonary cement embolism associated with percutaneous vertebroplasty or kyphoplasty: a systematic review. Orthop Surg 2012;2013:182–9 [DOI] [PMC free article] [PubMed] [Google Scholar]
- 6.Agko M, Nazzal M, Jamil T, et al. Prevention of cardiopulmonary embolization of polymethylmethacrylate cement fragment after kyphoplasty with insertion of inferior vena cava filter. J Vasc Surg 2010;2013:210–13 [DOI] [PubMed] [Google Scholar]
- 7.Lim KJ, Yoon SZ, Jeon YS, et al. An intra-arterial thrombus and pulmonary thromboembolism as a late complication of percutaneous vertebroplasty. Anesth Analg 2007;2013:924–6 [DOI] [PubMed] [Google Scholar]
- 8.Kim YJ, Lee JW, Park KW, et al. Pulmonary cement embolism after percutaneous vertebroplasty in osteoporotic vertebral compression fractures: incidence, characteristics, and risk factors. Radiology 2009;2013:250–9 [DOI] [PubMed] [Google Scholar]
- 9.Chen HL, Wong CS, Ho ST, et al. A lethal pulmonary embolism during percutaneous vertebroplasty. Anesth Analg 2002;2013:1060–2 [DOI] [PubMed] [Google Scholar]
- 10.Baumann A, Tauss J, Baumann G, et al. Cement embolization into the vena cava and pulmonal arteries after vertebroplasty: interdisciplinary management. Eur J Vasc Endovasc Surg 2006;2013:558–61 [DOI] [PubMed] [Google Scholar]
- 11.Choe DH, Marom EM, Ahrar K, et al. Pulmonary embolism of polymethyl methacrylate during percutaneous vertebroplasty and kyphoplasty. AJR Am J Roentgenol 2004;2013:1097–102 [DOI] [PubMed] [Google Scholar]
- 12.Tozzi P, Abdelmoumene Y, Corno AF, et al. Management of pulmonary embolism during acrylic vertebroplasty. Ann Thorac Surg 2002;2013:1706–8 [DOI] [PubMed] [Google Scholar]
- 13.Urban MK, Jules-Elysee K. Pulmonary embolism after IVC filter. Health Social Serv J 2008;2013:74–5 [DOI] [PMC free article] [PubMed] [Google Scholar]
- 14.Kearon C, Akl EA, Comerota AJ, et al. American College of Chest Physicians Antithrombotic therapy for VTE disease: antithrombotic therapy and prevention of thrombosis, 9th ed: American College of Chest Physicians Evidence-Based Clinical Practice Guidelines. Chest 2012;2013(2 Suppl):e419S. [DOI] [PMC free article] [PubMed] [Google Scholar]




