Abstract
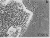
The outgrowth of neurites by single identified leech neurons in culture is markedly influenced by the substrate. Extensive sprouting occurs within a few hours on the plant lectin Con A. In contrast, the same neurons grow far more slowly or not at all when plated on vertebrate extracellular matrix proteins, other lectins, or poly(L-lysine). Sprouting on Con A, unlike that on poly(L-lysine), is inhibited by the Con A-specific hapten sugar methyl alpha-D-mannoside. Another substrate, promoting even more extensive sprouting of leech neurons, is cell-free extracellular matrix obtained from leech ganglion capsules. Urea extracts of extracellular matrix retain full neurite-promoting activity when dialyzed and used to coat culture dishes. Soluble growth factors are not required, since sprouting occurs in medium without macromolecules. These results show that sprouting depends not simply on attachment to the substrate but, critically, on its molecular composition; moreover, the pattern of outgrowth is characteristic and distinguishable for each type of neuron.
Full text
PDF




Images in this article
Selected References
These references are in PubMed. This may not be the complete list of references from this article.
- Barondes S. H. Soluble lectins: a new class of extracellular proteins. Science. 1984 Mar 23;223(4642):1259–1264. doi: 10.1126/science.6367039. [DOI] [PubMed] [Google Scholar]
- Bozzaro S. Cell surface carbohydrates and cell recognition in Dictyostelium. Cell Differ. 1985 Aug;17(2):67–82. doi: 10.1016/0045-6039(85)90473-7. [DOI] [PubMed] [Google Scholar]
- COGGESHALL R. E., FAWCETT D. W. THE FINE STRUCTURE OF THE CENTRAL NERVOUS SYSTEM OF THE LEECH, HIRUDO MEDICINALIS. J Neurophysiol. 1964 Mar;27:229–289. doi: 10.1152/jn.1964.27.2.229. [DOI] [PubMed] [Google Scholar]
- Carbonetto S., Gruver M. M., Turner D. C. Nerve fiber growth in culture on fibronectin, collagen, and glycosaminoglycan substrates. J Neurosci. 1983 Nov;3(11):2324–2335. doi: 10.1523/JNEUROSCI.03-11-02324.1983. [DOI] [PMC free article] [PubMed] [Google Scholar]
- Chen L. B. Alteration in cell surface LETS protein during myogenesis. Cell. 1977 Mar;10(3):393–400. doi: 10.1016/0092-8674(77)90026-5. [DOI] [PubMed] [Google Scholar]
- DeGeorge J. J., Slepecky N., Carbonetto S. Concanavalin A stimulates neuron-substratum adhesion and nerve fiber outgrowth in culture. Dev Biol. 1985 Oct;111(2):335–351. doi: 10.1016/0012-1606(85)90488-9. [DOI] [PubMed] [Google Scholar]
- Dietzel I. D., Drapeau P., Nicholls J. G. Voltage dependence of 5-hydroxytryptamine release at a synapse between identified leech neurones in culture. J Physiol. 1986 Mar;372:191–205. doi: 10.1113/jphysiol.1986.sp016004. [DOI] [PMC free article] [PubMed] [Google Scholar]
- Edelman G. M. Antibody structure and molecular immunology. Science. 1973 May 25;180(4088):830–840. doi: 10.1126/science.180.4088.830. [DOI] [PubMed] [Google Scholar]
- Edgar D., Timpl R., Thoenen H. The heparin-binding domain of laminin is responsible for its effects on neurite outgrowth and neuronal survival. EMBO J. 1984 Jul;3(7):1463–1468. doi: 10.1002/j.1460-2075.1984.tb01997.x. [DOI] [PMC free article] [PubMed] [Google Scholar]
- Ehrismann R., Roth D. E., Eppenberger H. M., Turner D. C. Arrangement of attachment-promoting, self-association, and heparin-binding sites in horse serum fibronectin. J Biol Chem. 1982 Jul 10;257(13):7381–7387. [PubMed] [Google Scholar]
- Fuchs P. A., Henderson L. P., Nicholls J. G. Chemical transmission between individual Retzius and sensory neurones of the leech in culture. J Physiol. 1982 Feb;323:195–210. doi: 10.1113/jphysiol.1982.sp014068. [DOI] [PMC free article] [PubMed] [Google Scholar]
- Fuchs P. A., Nicholls J. G., Ready D. F. Membrane properties and selective connexions of identified leech neurones in culture. J Physiol. 1981 Jul;316:203–223. doi: 10.1113/jphysiol.1981.sp013783. [DOI] [PMC free article] [PubMed] [Google Scholar]
- Henderson L. P., Kuffler D. P., Nicholls J., Zhang R. Structural and functional analysis of synaptic transmission between identified leech neurones in culture. J Physiol. 1983 Jul;340:347–358. doi: 10.1113/jphysiol.1983.sp014766. [DOI] [PMC free article] [PubMed] [Google Scholar]
- Henderson L. P. The role of 5-hydroxytryptamine as a transmitter between identified leech neurones in culture. J Physiol. 1983 Jun;339:309–324. doi: 10.1113/jphysiol.1983.sp014718. [DOI] [PMC free article] [PubMed] [Google Scholar]
- Laemmli U. K. Cleavage of structural proteins during the assembly of the head of bacteriophage T4. Nature. 1970 Aug 15;227(5259):680–685. doi: 10.1038/227680a0. [DOI] [PubMed] [Google Scholar]
- Lander A. D., Fujii D. K., Reichardt L. F. Purification of a factor that promotes neurite outgrowth: isolation of laminin and associated molecules. J Cell Biol. 1985 Sep;101(3):898–913. doi: 10.1083/jcb.101.3.898. [DOI] [PMC free article] [PubMed] [Google Scholar]
- Letourneau P. C. Cell-to-substratum adhesion and guidance of axonal elongation. Dev Biol. 1975 May;44(1):92–101. doi: 10.1016/0012-1606(75)90379-6. [DOI] [PubMed] [Google Scholar]
- Mason A., Muller K. J. Axon segments sprout at both ends: tracking growth with fluorescent D-peptides. Nature. 1982 Apr 15;296(5858):655–657. doi: 10.1038/296655a0. [DOI] [PubMed] [Google Scholar]
- Nicolson G. L. The interactions of lectins with animal cell surfaces. Int Rev Cytol. 1974;39:89–190. doi: 10.1016/s0074-7696(08)60939-0. [DOI] [PubMed] [Google Scholar]
- Ready D. F., Nicholls J. Identified neurones isolated from leech CNS make selective connections in culture. Nature. 1979 Sep 6;281(5726):67–69. doi: 10.1038/281067a0. [DOI] [PubMed] [Google Scholar]
- Scott S. A., Muller K. J. Synapse regeneration and signals for directed axonal growth in the central nervous system of the leech. Dev Biol. 1980 Dec;80(2):345–363. doi: 10.1016/0012-1606(80)90410-8. [DOI] [PubMed] [Google Scholar]
- Timpl R., Rohde H., Robey P. G., Rennard S. I., Foidart J. M., Martin G. R. Laminin--a glycoprotein from basement membranes. J Biol Chem. 1979 Oct 10;254(19):9933–9937. [PubMed] [Google Scholar]
- Turner D. C., Lawton J., Dollenmeier P., Ehrismann R., Chiquet M. Guidance of myogenic cell migration by oriented deposits of fibronectin. Dev Biol. 1983 Feb;95(2):497–504. doi: 10.1016/0012-1606(83)90052-0. [DOI] [PubMed] [Google Scholar]
- Van Essen D. C., Jansen J. K. The specificity of re-innervation by identified sensory and motor neurons in the leech. J Comp Neurol. 1977 Feb 15;171(4):433–454. doi: 10.1002/cne.901710402. [DOI] [PubMed] [Google Scholar]








