Abstract
Neurofibromas (NF) are benign tumors with involvement of the peripheral nerve, which is not frequently located in the oral cavity, and especially, extraordinary rarity on lower lip of a child. This report describes a case of a NF on lower lip in a 12-year-old Brazilian child. NF consists of a wide variety of cell types, including Schwann cells, perineurial cells, and fibroblasts. Due to cellular heterogeneity, several hypotheses have been proposed to explain the histogenesis of this lesion. One of them, it support an origin of Schwannian, while others emphasize the participation of both Schwann cells and perineural cells. Excisional biopsy was performed to establish definitive diagnosis. Microscopically, the lesion was composed of interlacing bundles of elongated cells with wavy nuclei and small nerve fibers. Immunohistopathologic assessment showed cells positive for S-100, confirming the diagnosis of NF. No recurrence was observed after 1-year follow-up. Pediatric dentists must have a thorough knowledge of this unusual lesion.
Keywords: Neurofibromas, neurofibromatosis, oral neurofibroma
Introduction
Neurofibroma (NF) is characterized as a benign tumor of neuronal origin that occurs as single or multiple lesions associated to neurofibromatosis type 1 (NF1), which is a systemic condition caused by a germline mutation in the NF1 tumor suppressor gene located at 17q11.2, known as von Recklinghausen's disease.[1] On the other hand, single NFs are reported as solitary NF, which may occur in any region of the body, commonly found in skin, deep nerves, and in association to others retroperitoneal tissues.[2]
NF can be present at birth or develop in any phase of life, not rare in young adults.[3] During the pregnancy and childhood, in consequence of intense hormone alterations, there is a greater stage of development.[1] Clinically, the NF manifests as asymptomatic cutaneous or mucosal nodules, with slow evolution and with three patterns of growth (localized, diffuse, and plexiform).[2] Histologically, NF is composed by ovoids or fusiforms cells, with scanty cytoplasm, inserted in a matrix with variable amount of mucine and collagenous, organized in little fascicles, coiled or in diffused distributed pattern.[3,4] The cells of NFs show divergent differentiation between them. The use of immunohistochemistry is necessary to determine the presence of Schwann cell, perineurial cell, and fibroblast differentiation.[5,6]
In the head and neck region, the NF can be cutaneous, mucosal or related to deep nervous bundle, which can be to the facial, glossopharyngeus, vague or hippoglossus nerves.[2,4,6] Solitary NF is not common in the oral cavity and a few cases in the literature are written.[1,6,7,8] In approximately 6% of the cases, they may occur in the oral cavity and rarely affect lower lips.
The purpose of this report was to present an unusual case of NF involving the lip of a child that could assist in providing information to differentiate it from other oral soft tissue lesions.
Case Report
A 12-year-old Brazilian male reported to the Department of Pediatric Dentistry, School of Dentistry, University of Cuiabα, Cuiabα, Brazil. The child presented with bothered by a swelling on the lower of his lip. The nodule measured 0.6 × 0.3 cm and was reported to have appeared 2 years ago. On clinical examination, the asymptomatic lesion was identified at the middle border of his lower lip, presenting sessile soft tissue growth and smooth surface with a color similar to normal mucosa [Figure 1].
Figure 1.

Clinical view of the neurofibroma showing nodular shape, sessile soft tissue growth and smooth surface on middle of the lower lip
There was neither any history of injury to the lower lip nor any source of stimulus that could be related to the lesion. Medical and familial history did not contribute to the diagnosis. Based on the clinical appearance of the lesion, differential diagnosis was either traumatic fibroma or mucocele. An excisional biopsy was planned to establish a definitive diagnosis.
The surgical procedure was performed with under local anesthesia and the lesion was completely removed by a no. 15 Bard-Parker blade. Three interrupted silk 4.0 sutures were placed to achieve hemostasis. The excised tissue was sent for histopathological investigation. On the postoperative visit after 2 weeks, sutures were removed and healing was satisfactory. After 3 weeks, the lower lip was completely healed.
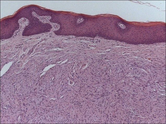
Histopathological investigation revealed that the tumor was composed of interlacing bundles of elongated cells with wavy nuclei and small nerve fibers. These cells are bland and disorderly with intracellular collagen strands [Figures 2 and 3]. Immunohistopathologic assessment showed cells positive for S-100 [Figures 4 and 5]. Pathological diagnosis was a NF with no signs of malignancy. There were no signs of recurrence at the 1-year follow-up visit [Figure 6].
Figure 2.

Panoramic view of the histological findings (H and E, ×10)
Figure 3.

Detailed appearance of the lesion. Interlacing bundles of spindle cells with hyperchromatic nuclei (H and E, ×40)
Figure 4.

Photomicrograph of the lesion showing the cells positive for S-100 (anti-S-100, ×10)
Figure 5.

Detailed appearance of the lesion with cells positive for S-100 (anti-S-100, ×40)
Figure 6.

Postoperative view after 1-year follow-up, showing no signs of recurrence
Discussion
The NF is an uncommon benign tumor of the oral cavity originated from the cells that constitute the nerve sheath.[6,8] It is seen either as a solitary lesion or as part of the generalized syndrome of neurofibromatosis, usually NF-1.[6] The World Health Organization has divided NF into two broad categories: Dermal and plexiform. Dermal NFs arise from a single peripheral nerve, while plexiform NFs are associated with multiple nerve bundles.[9]
Clinically, NFs present like any other benign lesions and the presenting signs and symptoms depend on the site of the tumor and subsequent involvement of surrounding structures.[1,2,9,10,11] The solitary NF typically appears in late childhood or during the adolescent.[11,12] Few cases have been reported in the submandibular gland, tongue, and on the periosteum at the mental foramen.[6,9,11,13] In our case, the lesion was located on middle border of lower lip. This location is unusual and can be confused with other lesions of lip, such as traumatic fibroma or mucocele. Additionally, solitary NF without other signs of neurofibromatosis is relatively uncommon finding in oral cavity.[6,12,14]
Histopathologically, the NF exhibits an irregular pattern with interlacing bundles of spindle-shaped cells with round or fusiform nuclei, and eosinophilic cytoplasm within a loose matrix of fine fibrillary collagen.[5,6,8] It is unencapsulated and composed of mixture of Schwann, perineural-like and fibroblastic cell.[8] Also, NF is immunopositive for S-100 protein, indicating its neural origin.[10] A thorough histopathological analysis supported by immunohistochemistry is essential for the correct diagnosis of these oral soft tissue growths.[10,15]
Solitary NFs are commonly treated by surgical excision and exhibit very low recurrence.[11] If the patient report any new growth at the surgical site or any abnormal sensations such as tingling, these signs may signify a recurrence and may require repeat surgical excision.[1,13,16]
Conclusion
The present case report provides a thorough knowledge of this unusual lesion and the pediatric dentists must have aware of the clinical features, histopathology to have success in the diagnosis.
Footnotes
Source of Support: Nil.
Conflict of Interest: None declared.
References
- 1.Benjamin CM, Colley A, Donnai D, Kingston H, Harris R, Kerzin-Storrar L. Neurofibromatosis type 1 (NF1): Knowledge, experience, and reproductive decisions of affected patients and families. J Med Genet. 1993;30:567–74. doi: 10.1136/jmg.30.7.567. [DOI] [PMC free article] [PubMed] [Google Scholar]
- 2.Chen SY, Miller AS. Neurofibroma and schwannoma of the oral cavity. A clinical and ultrastructural study. Oral Surg Oral Med Oral Pathol. 1979;47:522–8. doi: 10.1016/0030-4220(79)90275-5. [DOI] [PubMed] [Google Scholar]
- 3.Zhou J, Li M, Luo C, He Q, Yin Z, Peng H, et al. Giant neurofibroma in the right lower limb of a 26-year-old woman: Report of a case. Int Surg. 2012;97:71–7. doi: 10.9738/CC2.1. [DOI] [PMC free article] [PubMed] [Google Scholar]
- 4.Sharma SB, Hong P. Solitary neurofibroma of the frontal sinus. Case Rep Otolaryngol. 2012;2012:373808. doi: 10.1155/2012/373808. [DOI] [PMC free article] [PubMed] [Google Scholar]
- 5.Depprich R, Singh DD, Reinecke P, Kübler NR, Handschel J. Solitary submucous neurofibroma of the mandible: Review of the literature and report of a rare case. Head Face Med. 2009;5:24. doi: 10.1186/1746-160X-5-24. [DOI] [PMC free article] [PubMed] [Google Scholar]
- 6.Jouhilahti EM, Visnapuu V, Soukka T, Aho H, Peltonen S, Happonen RP, et al. Oral soft tissue alterations in patients with neurofibromatosis. Clin Oral Investig. 2012;16:551–8. doi: 10.1007/s00784-011-0519-x. [DOI] [PubMed] [Google Scholar]
- 7.Kreulen CM, Van’t Spijker A, Rodriguez JM, Bronkhorst EM, Creugers NH, Bartlett DW. Systematic review of the prevalence of tooth wear in children and adolescents. Caries Res. 2010;44:151–9. doi: 10.1159/000308567. [DOI] [PubMed] [Google Scholar]
- 8.Maruyama M, Fushiki H, Watanabe Y. Solitary neurofibroma of the floor of the mouth: A case report. Case Rep Otolaryngol. 2011;2011:967896. doi: 10.1155/2011/967896. [DOI] [PMC free article] [PubMed] [Google Scholar]
- 9.do Nascimento GJ, de Albuquerque Pires Rocha D, Galvão HC, de Lisboa Lopes Costa A, de Souza LB. A 38-year review of oral schwannomas and neurofibromas in a Brazilian population: Clinical, histopathological and immunohistochemical study. Clin Oral Investig. 2011;15:329–35. doi: 10.1007/s00784-010-0389-7. [DOI] [PubMed] [Google Scholar]
- 10.Perry A, Roth KA, Banerjee R, Fuller CE, Gutmann DH. NF1 deletions in S-100 protein-positive and negative cells of sporadic and neurofibromatosis 1 (NF1)-associated plexiform neurofibromas and malignant peripheral nerve sheath tumors. Am J Pathol. 2001;159:57–61. doi: 10.1016/S0002-9440(10)61673-2. [DOI] [PMC free article] [PubMed] [Google Scholar]
- 11.Powell CA, Stanley CM, Bannister SR, McDonnell HT, Moritz AJ, Deas DE. Palatal neurofibroma associated with localized periodontitis. J Periodontol. 2006;77:310–5. doi: 10.1902/jop.2006.050099. [DOI] [PubMed] [Google Scholar]
- 12.Wright BA, Jackson D. Neural tumors of the oral cavity. A review of the spectrum of benign and malignant oral tumors of the oral cavity and jaws. Oral Surg Oral Med Oral Pathol. 1980;49:509–22. doi: 10.1016/0030-4220(80)90075-4. [DOI] [PubMed] [Google Scholar]
- 13.Choi JS, Jang TJ. Solitary myxoid neurofibroma of the soft palate. J Craniofac Surg. 2011;22:1901–3. doi: 10.1097/SCS.0b013e31822ea65f. [DOI] [PubMed] [Google Scholar]
- 14.Zachariades N, Mezitis M, Vairaktaris E, Triantafyllou D, Skoura-Kafoussia C, Konsolaki-Agouridaki E, et al. Benign neurogenic tumors of the oral cavity. Int J Oral Maxillofac Surg. 1987;16:70–6. doi: 10.1016/s0901-5027(87)80033-4. [DOI] [PubMed] [Google Scholar]
- 15.Akyüz SG, Çaltik A, Bülbül M, Erdoðan Ö, Renda R, Demircin G. An unusual pediatric case with neurofibromatosis and systemic lupus erythematosus. Rheumatol Int. 2012;32:2345–7. doi: 10.1007/s00296-011-1966-z. [DOI] [PubMed] [Google Scholar]
- 16.Viskochil D. Neurofibromatosis 1. Am J Med Genet. 1999;89:5–8. [PubMed] [Google Scholar]
