Abstract
Background
It infrequently occurs that cytologic diagnosis of papillary thyroid carcinoma (PTC) cannot be confirmed by histology after surgery. This phenomenon may be a false-positive cytology or a true disappearing tumor.
Objectives
We evaluated patients who had consistent findings of PTC at fine needle aspiration cytology (FNAC) and no evidence of PTC in surgical specimens.
Methods
Positive cytology findings and a negative histological diagnosis of PTC in the thyroid was defined as thyroid nodules with FNAC findings of PTC prior to surgery and no evidence of malignancy on histological examination of surgically removed thyroids. We retrospectively reviewed patients who underwent fine needle aspiration (FNA) and thyroidectomy in Asan Medical Center from 2004 to 2012.
Results
Six patients were found who fit the definition of positive cytology findings and a negative histological diagnosis of PTC in the thyroid. The FNAC diagnosis of 6 patients was ‘malignancy ’ suggesting PTC according to the Bethesda system. All patients underwent thyroidectomy with central neck dissection. Three patients had reactive changes after FNA due to needle passage. Among these 3 patients, 2 had pathologically confirmed metastatic PTC in dissected lymph nodes. These 2 patients could be defined as true disappearing PTC in the thyroid after FNA. The remaining 3 patients had neither histologic alterations nor evidence of PTC in the thyroid and lymph nodes specimens.
Conclusions
Both disappearing PTC and a false-positive result of FNAC should be considered in patients with positive cytology findings and a negative histological diagnosis of PTC in the thyroid.
Key Words: Thyroid, Papillary thyroid carcinoma, Cytology, Pathology , Fine needle aspiration
Introduction
Fine needle aspiration (FNA) is a rapid, cost-effective, and safe test, which is widely used for the diagnosis of thyroid nodules [1]. The positive predictive value of a malignant FNA cytology (FNAC) result is 97-99% according to the Bethesda system [1]. The sensitivity and specificity of thyroid FNAC results have been reported as 65-99% and 72-100%, respectively [2,3,4,5]. However, the false-positive rate of FNAC results in thyroid cancer has been reported as 2-10% [3,4,5].
It is very rare to have a result of no evidence of malignancy by histological evaluation of the thyroid in patients with a preoperative cytological diagnosis of papillary thyroid carcinoma (PTC) [6,7]. One report noted disappearing thyroid tumors after FNA in 3 patients [7]. One of the reasons for a positive cytology finding and a negative histological diagnosis of PTC in the thyroid is a false-positive diagnosis of PTC by FNAC. Some benign or malignant conditions of the thyroid may have a characteristic nuclear atypia similar to PTC in FNAC findings such as intranuclear grooves and intranuclear pseudoinclusions [6]. Histologic alterations in thyroid nodules including hemorrhage, vascular thrombosis, fibrosis, infarction, fibrinoid necrosis, cystic degeneration, pseudocapsular invasion, and squamous metaplasia can be seen after FNA [8]. These histologic alterations in surgical specimens can pose a challenge for the pathologist and are another potential cause of a positive cytology finding and a negative histological diagnosis of PTC in the thyroid.
The aim of this study was to evaluate the clinical characteristics of patients who had consistent findings of PTC in FNAC and no evidence of malignancy in surgically removed thyroids.
Subjects and Methods
Definitions
Positive cytology findings and a negative histological diagnosis of PTC in the thyroid was defined as thyroid nodules with FNAC findings of PTC prior to surgery and no evidence of malignancy on histological examination of surgically removed thyroids.
Subjects
Patients who underwent FNA and thyroidectomy in Asan Medical Center from 2004 to 2012 were retrospectively reviewed. First, patients with FNAC findings of PTC prior to surgery were included, and then their histological reports of surgical specimens were reviewed to determine if the results were reported as negative for malignancy. This study protocol was approved by the institutional review board of Asan Medical Center.
FNAC Procedure
All FNAs were performed under ultrasonography (US) guidance with freehand technique using a 23-gauge needle connected to a 10-ml syringe as previously reported [9]. There were at least two needle passages for FNA in most cases.
Cytology and Histology Analysis
FNAC specimens were immediately fixed with 95% ethanol and Papanicolaou staining was performed. Surgical specimens were immediately placed into 10% neutral buffered formalin solution and were fixed and stained using a standard protocol. The total thyroid was submitted for microscopic examination and all slides were further evaluated using deeper sections. Two expert cytopathologists (D.E.S. and G.G.) independently reviewed FNAC and histology specimens in patients with positive cytologic findings and a negative histological diagnosis of PTC in the thyroid. They evaluated cytological samples, surgically removed thyroid, and cervical lymph nodes (LNs) twice to scrutinize all samples for missing malignancy or other thyroid pathologies.
Results
Overall Clinical Characteristics of Patients with Positive Cytology Findings and a Negative Histological Diagnosis of PTC in the Thyroid
We initially found 21 patients who met our inclusion criteria. Fifteen cases were excluded due to missing FNAC specimens in 9 cases and a change in cytopathological diagnosis in 6 cases.
Among the remaining 6 patients who met the study inclusion and exclusion criteria, there were one male and 5 females with a median age of 50.8 years (range: 32-72 years). The median longest diameter of tumor measured by US was 0.7 cm (range: 0.3-1.0 cm). The FNAC findings of all patients were ‘malignancy ’ suggesting PTC according to the Bethesda system. The median interval between FNA and surgery was 3.4 months (range: 1.4-4.6 months). None of the 6 patients had clinical evidence of residual or recurrent PTC during a mean of 4.3 years (range: 1-8.3 years) of postoperative follow-up.
Two patients underwent hemithyroidectomy with central neck dissection (CND) and 4 patients underwent total thyroidectomy with CND. In 2 of the 6 patients (patients 1 and 2), metastatic PTC was found in dissected cervical LNs, and they received radioiodine ablation therapy after surgery. There was no evidence of metastatic PTC in dissected LNs in the remaining 4 patients (patients 3-6; table 1).
Table 1.
Clinical characteristics of patients with positive cytology findings and a negative histological diagnosis of PTC in the thyroid
| No. | Age | Sex | Thyroid US |
FNAC | Surgery | Pathology1 |
Follow-up years | ||
|---|---|---|---|---|---|---|---|---|---|
| nodule, cm | LN, cm | thyroid | LN | ||||||
| 1 | 61 | M | 0.8 | 0.6 | PTC | TT with CND | acellular sclerotic lesion, chronic lymphocytic thyroiditis | metastatic PTC | 1.0 |
| 2 | 49 | F | 0.7 | 0.8 | PTC | TT with CND | cholesterol granuloma, hemorrhagic infarct, fibrosis | metastatic PTC | 6.1 |
| 3 | 72 | F | 0.3 | none | PTC with thyroiditis | Lt. HT with CND | fibrosis, nodular hyperplasia | no tumor | 1.2 |
| 4 | 56 | F | 0.6 | none | PTC | TT with CND | chronic lymphocytic thyroiditis | no tumor | 1.4 |
| 5 | 35 | F | 1.0 (multiple) | none | PTC | TT with CND | nodular hyperplasia | no tumor | 8.3 |
| 6 | 32 | F | 0.6 | none | PTC | Rt. HT with CND | no residual tumor | no tumor | 7.7 |
TT = Total thyroidectomy; HT = hemithyroidectomy.
Pathology findings at the site of the thyroid FNA.
According to histologic evaluation, thyroid tumors were completely replaced by reactive changes including fibrosis, hemorrhagic infarct, and cholesterol granuloma owing to the preoperative FNA procedure in 3 patients (patients 1-3), including 2 patients with pathologically confirmed metastatic PTC in their LNs. Three patients were truly resolved papillary microcarcinomas after an FNA secondary to infarction, fibrosis, and inflammatory changes. Four patients had other benign thyroid diseases in thyroid specimens including 2 patients with chronic lymphocytic thyroiditis (patients 1 and 4) and 2 patients with nodular hyperplasia (patients 3 and 5).
Patients with Confirmed Metastatic PTCs in Cervical LNs and no Evidence of PTC in the Thyroid
Among 6 patients withpositive cytology findings and a negative histological diagnosis of PTC, we found 2 patients with confirmed metastatic PTC located only in their cervical LNs. PTCs in these 2 patients could be defined as true disappearing PTCs in the thyroid gland.
In patient 1, US findings of the thyroid nodule showed a 0.8-cm-sized solid ovoid-shaped isoechoic nodule with an ill-defined margin and microcalcification in the left lower pole of the thyroid (fig. 1a). A 0.6-cm-sized indeterminate cervical LN was also found in the level VI cervical area (fig. 1b). The FNA was performed only for the thyroid nodule and the cytology finding was consistent with PTC (fig. 1c). A 0.7-cm-sized, ovoid, and ill-defined nodule was seen in the left lower pole of the thyroid after surgery. Microscopically, there was only a fibrotic lesion background of chronic lymphocytic thyroiditis at the site of the thyroid FNA and no evidence of PTC in the thyroid. There was an acellular dense sclerotic lesion produced by laying out of collagen in the thyroid tissues (fig. 1d). Metastatic PTC was found in 3 (one right and 2 left) of 19 dissected central LNs (fig. 1e).
Fig. 1.
Patient 1. a Preoperative US findings of the thyroid. b Preoperative US findings of cervical LN in the left level VI area. c Cytologic findings. Papillary clusters of atypical overlapping follicular cells had nuclear enlargement, pale chromatin, and nuclear grooves. Papanicolaou stain. ×400. d Pathologic findings of the thyroid with an acellular dense sclerotic lesion. HE. ×100. e Pathologic findings of a cervical LN with typical nuclear features of metastatic PTC (black arrow). HE. ×200.
In patient 2, there was a 0.7-cm-sized solid ovoid hypoechoic thyroid nodule with a well-defined, smooth margin and microcalcification in the left lower pole in thyroid US (fig. 2a). There was a 0.8-cm-sized cervical LN in the left paratracheal area (fig. 2b). FNA was performed only for the suspicious thyroid nodule, and the cytology finding was consistent with PTC (fig. 2c). A 1.5-cm-sized ovoid ill-defined mass was found in the left lower pole of the thyroid after surgery. No malignant cells suggesting PTC could be identified on microscopic examination. However, there were histologic alterations caused by FNA with hemorrhagic infarct, fibrosis, and cholesterol granuloma including punctate calcification at the site of the thyroid FNA. In the cholesterol granuloma, there was a cholesterol cleft surrounded by histiocytes and fibrosis as shown in figure 2d. We found metastatic PTC in 4 (one left paratracheal and 3 left pretracheal) of 12 dissected cervical LNs (fig. 2e).
Fig. 2.
Patient 2. a Preoperative US findings of the thyroid. b Preoperative US findings of a left paratracheal LN (white arrow). c Cytologic findings with nuclear atypia including enlarged nuclei, pale chromatin, and nuclear grooves. Papanicolaou stain. ×400. d Pathologic findings of the thyroid. Hemorrhagic infarct and cholesterol granuloma forming a cholesterol cleft surrounded by histiocytes and fibrosis were seen in the thyroid specimen. HE. ×100. e Pathologic findings of a cervical LN with metastatic PTC (black arrow). HE. ×100.
Patients without Evidence of PTCs in Both Thyroid and Cervical LNs
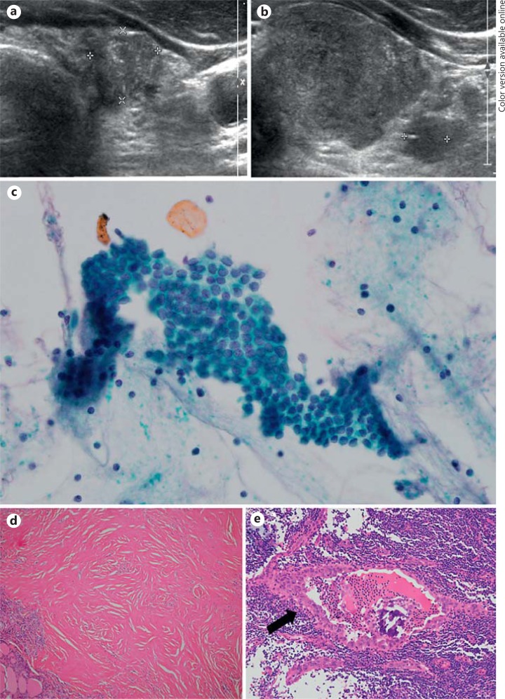
In patient 3, US findings of a thyroid nodule from the left mid-portion of the thyroid revealed a 0.3-cm-sized solid hard ovoid hypoechoic nodule with a smooth margin (fig. 3a). The preoperative FNAC finding showed a typical pattern of PTC with papillary clusters of atypical follicular cells and nuclear atypia including intranuclear enlargement, pale chromatin, nuclear grooves, and eccentric micronucleoli (fig. 3b). However, there was a fibrotic change suggestive of nodular hyperplasia and no evidence of PTC on microscopic examination (fig. 3c).
Fig. 3.

Patient 3. a Preoperative US findings of the thyroid. b Cytologic findings. Papanicolaou stain. ×400. c Pathologic findings of the thyroid with amorphous fibrous materials that replaced the site of nodule after needle passage. HE. ×100.
No remarkable histologic alteration or evidence of PTC was observed on histological examination of the remaining 3 patients (patients 4-6). The preoperative FNAC findings of these patients were hypercellular papillary or disorganized mono-layered sheets with nuclear atypia (fig. 4). In patient 4, there was a 0.6-cm-sized solid hypoechoic nodule with an irregular, ill-defined margin on thyroid US (fig. 4a). The preoperative FNAC finding was consistent with PTC (fig. 4b). However, microscopic examination revealed chronic lymphocytic thyroiditis and no evidence of malignancy.
Fig. 4.
Patients 4-6. a Preoperative US findings of the thyroid in patient 4. b Cytologic findings in patient 4. Papanicolaou stain. ×400. c Preoperative US findings of the thyroid in patient 5. Generally enlarged thyroid and multiple solid nodules were present in both lobes. Some nodules (white arrow) were solid, hypoechoic with microcalcification. d Cytologic findings in patient 5. Papanicolaou stain. ×400. e Preoperative US findings of the thyroid in patient 6. f Cytologic findings in patient 6. Papanicolaou stain. ×400.
Patient 5 had a generally enlarged thyroid with multiple solid nodules in both thyroid lobes on US. The size of each nodule was approximately 1.0 cm, and some solid hypoechoic thyroid nodules had microcalcification (fig. 4c). FNAC revealed PTC (fig. 4d), and there were multiple well-circumscribed masses up to 2.5 cm in size on gross examination. Microscopically, however, nodular hyperplasia with large dystrophic calcification in fibrotic stroma was observed in both lobes of the thyroid with no suggestion of malignancy.
In patient 6, a 0.6-cm-sized mixed isoechoic thyroid nodule with well-defined margin was observed in the right lower pole of the thyroid on preoperative US (fig. 4e). The FNAC finding showed a typical pattern of PTC (fig. 4f). However, there was neither a definite nodule nor features of PTC in the thyroid specimen.
Discussion
In this study, we have described the clinical, cytological and histological characteristics of 6 patients with positive cytology findings and a negative histological diagnosis of PTC in the thyroid after a comprehensive cytopathological review. Two patients were found to have metastatic PTC in cervical LNs and no evidence of malignancy in the thyroid, and this was strongly indicative of true disappearing PTC after FNA. In 3 patients (including 2 patients with metastatic PTC in cervical LNs), papillary microcarcinomas were resolved after an FNA secondary to infarction, fibrosis, and inflammatory changes.
One possibility for positive cytology findings and a negative histological diagnosis of PTC in the thyroid may be a false positive result of PTC in FNAC. Benign thyroid nodules could have nuclear atypia mimicking that of PTC and produce a false-positive result of PTC in FNAC [10]. Characteristic features of atypical nucleus of PTC cells are nuclear grooves and/or pseudoinclusions. However, these are seen in other benign and malignant conditions of the thyroid, including chronic lymphocytic thyroiditis, nodular hyperplasia, hyalinizing trabecular adenoma, Hürthle cell tumor, and medullary thyroid carcinoma [11,12,13]. Some nodular hyperplasias have cytopathological features similar to those of PTC, such as papillary clusters, nuclear atypia including intranuclear grooves, and poorly formed intranuclear pseudoinclusions [6,14]. Overlap of these cytopathological features is reported in about 17% of cases with nodular hyperplasia [15]. Chronic lymphocytic thyroiditis also has morphological features that mimic PTC. In particular, some small thyroid nodules within chronic lymphocytic thyroiditis tend to have atypical nuclei that are indistinguishable from nuclear features of microcytic PTC [16,17]. Chronic lymphocytic thyroiditis can display large syncytial fragments, papillary clusters, and atypical nuclear changes including nuclear enlargement, marked nuclear membrane irregularities, chromatin clearing, and nuclear grooves [6,17]. Papillary clusters of follicular cells are also observed in some cases of papillary hyperplastic nodule or papillary Hürthle cell carcinoma. In these cases, papillary formation associated with marked cytoplasmic oncocytic change and nuclear atypia could lead to a false-positive diagnosis of PTC [6]. Four patients in our series had other benign thyroid diseases, including chronic lymphocytic thyroiditis and nodular hyperplasia. In this study, we searched FNAC reports for patients who had undergone thyroidectomy in our institute during study period. So, we did not know how many thyroid FNAs in total have been performed in our institute and could not provide a false-positive rate of FNA.
FNA causes histologic alterations in the thyroid after needle passage. These histologic alterations may also lead to positive cytology findings and a negative histological diagnosis of PTC in the thyroid. Histologic alterations caused by FNA are reported in approximately 38% of cases who underwent FNA [18,19]. Hemorrhage was the most common finding (80%), followed by fibrosis, infarction, nuclear atypia, capsular and/or vascular pseudoinvasion, and metaplasia [8]. Total infarction after FNA is also possible in very small thyroid nodules. Total infarction of a thyroid nodule may induce resolution of papillary microcarcinoma in the thyroid gland (true disappearing PTC). We routinely use 23-gauge needles for FNA procedures, which may cause infarction of tumors, especially papillary microcarcinomas.
Conversely, follicular cells along the needle tracks can undergo changes such as nuclear enlargement and marked nuclear chromatin clearing. Worrisome lesions, especially nuclear enlargement, chromatin clearing, and prominent nucleoli were occasionally present in cytology specimens after aspiration [6]. This reactive nuclear atypia after FNA could also cause a false-positive diagnosis of PTC in FNAC. There are two possibilities when histologic alterations caused by the FNA procedure lead to positive cytology findings and a negative histological diagnosis of PTC in the thyroid: a true disappearing PTC and a false-positive diagnosis of PTC after FNA. Thus, when histologic alterations caused by FNA are suspected, some experts recommend repeated FNA after more than 3 months from the time of initial FNA [6].
If there is evidence of PTC in FNAC and no evidence of PTC in the surgically removed thyroid specimen, the presence of metastatic PTC in cervical LNs is indisputable evidence of disappearing PTC after FNA. Epstein et al. [20] reported a case in which FNA caused complete infarction of the PTC in the thyroid gland. However, metastatic PTC was found in central LNs. Eze et al. [7] also described disappearing thyroid tumors in 3 cases, but they did not find any LN metastasis.
Positive cytology findings and a negative histological diagnosis of PTC in the thyroid may occur in small thyroid nodules. In the present study, all cases fitting the aforementioned criteria were papillary microcarcinomas. None of these patients had clinical evidence of residual or recurrent PTC during a mean of 4.3 years of follow-up.
In conclusion, both phenomena of disappearing PTC and a false-positive result of FNAC should be considered in patients with positive cytology findings and a negative histological diagnosis of PTC in the thyroid.
Disclosure Statement
The authors declare that there is no conflict of interest that could be perceived as prejudicing the impartiality of the research reported.
Acknowledgements
This study was supported by a Research Grant (No. 2012-0760) from the National Research Foundation of Korea.
References
- 1.Ali SZ, Cibas ES. The Bethesda System for Reporting Thyroid Cytopathology: Definitions, Criteria and Explanatory Notes. New York: Springer; 2010. pp. 91–116. [Google Scholar]
- 2.Sidawy MK, Del Vecchio DM, Knoll SM. Fine-needle aspiration of thyroid nodules: correlation between cytology and histology and evaluation of discrepant cases. Cancer. 1997;81:253–259. doi: 10.1002/(sici)1097-0142(19970825)81:4<253::aid-cncr7>3.0.co;2-q. [DOI] [PubMed] [Google Scholar]
- 3.Yoon JH, Kwak JY, Moon HJ, Kim MJ, Kim EK. The diagnostic accuracy of ultrasound-guided fine-needle aspiration biopsy and the sonographic differences between benign and malignant thyroid nodules 3 cm or larger. Thyroid. 2011;21:993–1000. doi: 10.1089/thy.2010.0458. [DOI] [PubMed] [Google Scholar]
- 4.Lew JI, Snyder RA, Sanchez YM, Solorzano CC. Fine needle aspiration of the thyroid: correlation with final histopathology in a surgical series of 797 patients. J Am Coll Surg. 2011;213:188–194. doi: 10.1016/j.jamcollsurg.2011.04.029. [DOI] [PubMed] [Google Scholar]
- 5.Sclabas GM, Staerkel GA, Shapiro SE, Fornage BD, Sherman SI, Vassillopoulou-Sellin R, Lee JE, Evans DB. Fine-needle aspiration of the thyroid and correlation with histopathology in a contemporary series of 240 patients. Am J Surg. 2003;186:702–709. doi: 10.1016/j.amjsurg.2003.08.015. [DOI] [PubMed] [Google Scholar]
- 6.LiVolsi VA, Baloch ZW. Cytologic and architectural mimics of papillary thyroid carcinoma: diagnostic challenges in fine-needle aspiration and surgical pathology specimens. Am J Clin Pathol. 2006;125:135–144. doi: 10.1309/YY72M308WPEKL1YY. [DOI] [PubMed] [Google Scholar]
- 7.Eze OP, Cai G, Baloch ZW, Khan A, Virk R, Hammers L, Udelsman R, Roman S, Sosa JA, Carling T, Chhieng DC, Theoharis CG, Prasad ML. Vanishing thyroid tumors: a diagnostic dilemma following ultrasound guided fine needle aspiration. Thyroid. 2013;23:194–200. doi: 10.1089/thy.2012.0157. [DOI] [PMC free article] [PubMed] [Google Scholar]
- 8.Ersoz C, Soylu L, Erkocak EU, Tetiker T, Gumurdulu D. Histologic alterations in the thyroid gland after fine-needle aspiration. Diagn Cytopathol. 1997;16:230–232. doi: 10.1002/(sici)1097-0339(199703)16:3<230::aid-dc7>3.0.co;2-j. [DOI] [PubMed] [Google Scholar]
- 9.Cesur M, Corapcioglu D, Bulut S, Gursoy A, Yilmaz AE, Erdogan N, Kamel N. Comparison of palpation-guided fine-needle aspiration biopsy to ultrasound-guided fine-needle aspiration biopsy in the evaluation of thyroid nodules. Thyroid. 2006;16:555–561. doi: 10.1089/thy.2006.16.555. [DOI] [PubMed] [Google Scholar]
- 10.Nassar A, Gupta P, LiVolsi VA, Baloch Z. Histiocytic aggregates in benign nodular goiters mimicking cytologic features of papillary thyroid carcinoma (PTC) Diagn Cytopathol. 2003;29:243–245. doi: 10.1002/dc.10360. [DOI] [PubMed] [Google Scholar]
- 11.Fiorella RM, Isley W, Miller LK, Kragel PJ. Multinodular goiter of the thyroid mimicking malignancy: diagnostic pitfalls in fine-needle aspiration biopsy. Diagn Cytopathol. 1993;9:351–355. doi: 10.1002/dc.2840090321. [DOI] [PubMed] [Google Scholar]
- 12.Francis IM, Das DK, Sheikh ZA, Sharma PN, Gupta SK. Role of nuclear grooves in the diagnosis of papillary thyroid carcinoma. A quantitative assessment on fine needle aspiration smears. Acta Cytol. 1995;39:409–415. [PubMed] [Google Scholar]
- 13.Baloch ZW, LiVolsi VA, Asa SL, Rosai J, Merino MJ, Randolph G, Vielh P, DeMay RM, Sidawy MK, Frable WJ. Diagnostic terminology and morphologic criteria for cytologic diagnosis of thyroid lesions: a synopsis of the National Cancer Institute Thyroid Fine-Needle Aspiration State of the Science Conference. Diagn Cytopathol. 2008;36:425–437. doi: 10.1002/dc.20830. [DOI] [PubMed] [Google Scholar]
- 14.Rosai J, Kuhn E, Carcangiu ML. Pitfalls in thyroid tumour pathology. Histopathology. 2006;49:107–120. doi: 10.1111/j.1365-2559.2006.02451.x. [DOI] [PubMed] [Google Scholar]
- 15.Kitano M, Sugitani I, Toda K, Ikenaga M, Motoi N, Yamamoto N, Hotomi M, Fujimoto Y, Kawabata K. Cytopathological review of patients that underwent thyroidectomies based on the diagnosis of papillary thyroid carcinoma by fine needle aspiration cytology but were later found to have benign tumors by histopathology. Surg Today. 2013;43:632–637. doi: 10.1007/s00595-012-0362-y. [DOI] [PubMed] [Google Scholar]
- 16.Arif S, Blanes A, Diaz-Cano SJ. Hashimoto's thyroiditis shares features with early papillary thyroid carcinoma. Histopathology. 2002;41:357–362. doi: 10.1046/j.1365-2559.2002.01467.x. [DOI] [PubMed] [Google Scholar]
- 17.Berho M, Suster S. Clear nuclear changes in Hashimoto's thyroiditis. A clinicopathologic study of 12 cases. Ann Clin Lab Sci. 1995;25:513–521. [PubMed] [Google Scholar]
- 18.LiVolsi VA, Merino MJ. Worrisome histologic alterations following fine-needle aspiration of the thyroid (WHAFFT) Pathol Annu. 1994;29:99–120. [PubMed] [Google Scholar]
- 19.Pandit AA, Phulpagar MD. Worrisome histologic alterations following fine needle aspiration of the thyroid. Acta Cytol. 2001;45:173–179. doi: 10.1159/000327273. [DOI] [PubMed] [Google Scholar]
- 20.Epstein EJ, Chao J, Keller C, Cajigas A. Infarcted papillary thyroid cancer after fine needle aspiration biopsy. Endocrine. 2011;40:322–323. doi: 10.1007/s12020-011-9498-6. [DOI] [PubMed] [Google Scholar]



