Abstract
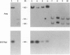
Representational difference analysis was used to identify strain-specific differences in the pseudoautosomal region (PAR) of mouse X and Y chromosomes. One second generation (C57BL/6 x Mus spretus) x Mus spretus interspecific backcross male carrying the C57BL/6 (B6) PAR was used for tester DNA. DNA from five backcross males from the same generation that were M. spretus-type for the PAR was pooled for the driver. A cloned probe designated B6-38 was recovered that is B6-specific in Southern analysis. Analysis of genomic DNA from several inbred strains of laboratory mice and diverse Mus species and subspecies identified a characteristic Pst I pattern of fragment sizes that is present only in the C57BL family of strains. Hybridization was observed with sequences in DBA/2J and to a limited extent with Mus musculus (PWK strain) and Mus castaneus DNA. No hybridization was observed in DNA of different Mus species, M. spretus, M. hortulanus, and M. caroli. Genetic analyses of B6-38 was conducted using C57BL congenic males that carry M. spretus alleles for distal X chromosome loci and the PAR and outcrosses of heterozygous congenic females with M. spretus. These analyses demonstrated that the B6-38 sequences were inherited with both the X and Y chromosome. B6-38 sequences were genetically mapped as a locus within the PAR using two interspecific backcrosses. The locus defined by B6-38 is designated DXYRp1. Preliminary analyses of recombination between the distal X chromosome gene amelogenin (Amg) and the PAR loci for either TelXY or sex chromosome association (Sxa) suggest that the locus DXYRp1 maps to the distal portion of the PAR.
Full text
PDF




Images in this article
Selected References
These references are in PubMed. This may not be the complete list of references from this article.
- Blin N., Stafford D. W. A general method for isolation of high molecular weight DNA from eukaryotes. Nucleic Acids Res. 1976 Sep;3(9):2303–2308. doi: 10.1093/nar/3.9.2303. [DOI] [PMC free article] [PubMed] [Google Scholar]
- Burgoyne P. S. Genetic homology and crossing over in the X and Y chromosomes of Mammals. Hum Genet. 1982;61(2):85–90. doi: 10.1007/BF00274192. [DOI] [PubMed] [Google Scholar]
- Chapman V. M., Keitz B. T., Disteche C. M., Lau E. C., Snead M. L. Linkage of amelogenin (Amel) to the distal portion of the mouse X chromosome. Genomics. 1991 May;10(1):23–28. doi: 10.1016/0888-7543(91)90479-x. [DOI] [PubMed] [Google Scholar]
- Church G. M., Gilbert W. Genomic sequencing. Proc Natl Acad Sci U S A. 1984 Apr;81(7):1991–1995. doi: 10.1073/pnas.81.7.1991. [DOI] [PMC free article] [PubMed] [Google Scholar]
- Disteche C. M., Brannan C. I., Larsen A., Adler D. A., Schorderet D. F., Gearing D., Copeland N. G., Jenkins N. A., Park L. S. The human pseudoautosomal GM-CSF receptor alpha subunit gene is autosomal in mouse. Nat Genet. 1992 Aug;1(5):333–336. doi: 10.1038/ng0892-333. [DOI] [PubMed] [Google Scholar]
- Eicher E. M., Lee B. K., Washburn L. L., Hale D. W., King T. R. Telomere-related markers for the pseudoautosomal region of the mouse genome. Proc Natl Acad Sci U S A. 1992 Mar 15;89(6):2160–2164. doi: 10.1073/pnas.89.6.2160. [DOI] [PMC free article] [PubMed] [Google Scholar]
- Feinberg A. P., Vogelstein B. A technique for radiolabeling DNA restriction endonuclease fragments to high specific activity. Anal Biochem. 1983 Jul 1;132(1):6–13. doi: 10.1016/0003-2697(83)90418-9. [DOI] [PubMed] [Google Scholar]
- Hale D. W., Washburn L. L., Eicher E. M. Meiotic abnormalities in hybrid mice of the C57BL/6J x Mus spretus cross suggest a cytogenetic basis for Haldane's rule of hybrid sterility. Cytogenet Cell Genet. 1993;63(4):221–234. doi: 10.1159/000133539. [DOI] [PubMed] [Google Scholar]
- Harbers K., Francke U., Soriano P., Jaenisch R., Müller U. Structure and chromosomal mapping of a highly polymorphic repetitive DNA sequence from the pseudoautosomal region of the mouse sex chromosomes. Cytogenet Cell Genet. 1990;53(2-3):129–133. doi: 10.1159/000132912. [DOI] [PubMed] [Google Scholar]
- Harbers K., Soriano P., Müller U., Jaenisch R. High frequency of unequal recombination in pseudoautosomal region shown by proviral insertion in transgenic mouse. Nature. 1986 Dec 18;324(6098):682–685. doi: 10.1038/324682a0. [DOI] [PubMed] [Google Scholar]
- Henke A., Fischer C., Rappold G. A. Genetic map of the human pseudoautosomal region reveals a high rate of recombination in female meiosis at the Xp telomere. Genomics. 1993 Dec;18(3):478–485. doi: 10.1016/s0888-7543(11)80003-0. [DOI] [PubMed] [Google Scholar]
- Keitges E., Gartler S. M. Dosage of the Sts gene in the mouse. Am J Hum Genet. 1986 Oct;39(4):470–476. [PMC free article] [PubMed] [Google Scholar]
- Lisitsyn N. A., Segre J. A., Kusumi K., Lisitsyn N. M., Nadeau J. H., Frankel W. N., Wigler M. H., Lander E. S. Direct isolation of polymorphic markers linked to a trait by genetically directed representational difference analysis. Nat Genet. 1994 Jan;6(1):57–63. doi: 10.1038/ng0194-57. [DOI] [PubMed] [Google Scholar]
- Lisitsyn N., Lisitsyn N., Wigler M. Cloning the differences between two complex genomes. Science. 1993 Feb 12;259(5097):946–951. doi: 10.1126/science.8438152. [DOI] [PubMed] [Google Scholar]
- Matsuda Y., Hirobe T., Chapman V. M. Genetic basis of X-Y chromosome dissociation and male sterility in interspecific hybrids. Proc Natl Acad Sci U S A. 1991 Jun 1;88(11):4850–4854. doi: 10.1073/pnas.88.11.4850. [DOI] [PMC free article] [PubMed] [Google Scholar]
- Matsuda Y., Moens P. B., Chapman V. M. Deficiency of X and Y chromosomal pairing at meiotic prophase in spermatocytes of sterile interspecific hybrids between laboratory mice (Mus domesticus) and Mus spretus. Chromosoma. 1992 Jun;101(8):483–492. doi: 10.1007/BF00352471. [DOI] [PubMed] [Google Scholar]
- Rappold G. A. The pseudoautosomal regions of the human sex chromosomes. Hum Genet. 1993 Oct;92(4):315–324. doi: 10.1007/BF01247327. [DOI] [PubMed] [Google Scholar]
- Rouyer F., Simmler M. C., Johnsson C., Vergnaud G., Cooke H. J., Weissenbach J. A gradient of sex linkage in the pseudoautosomal region of the human sex chromosomes. Nature. 1986 Jan 23;319(6051):291–295. doi: 10.1038/319291a0. [DOI] [PubMed] [Google Scholar]
- Rowe L. B., Nadeau J. H., Turner R., Frankel W. N., Letts V. A., Eppig J. T., Ko M. S., Thurston S. J., Birkenmeier E. H. Maps from two interspecific backcross DNA panels available as a community genetic mapping resource. Mamm Genome. 1994 May;5(5):253–274. doi: 10.1007/BF00389540. [DOI] [PubMed] [Google Scholar]
- Shapiro L. J. Steroid sulfatase deficiency and the genetics of the short arm of the human X chromosome. Adv Hum Genet. 1985;14:331-81, 388-9. doi: 10.1007/978-1-4615-9400-0_5. [DOI] [PubMed] [Google Scholar]
- Soriano P., Keitges E. A., Schorderet D. F., Harbers K., Gartler S. M., Jaenisch R. High rate of recombination and double crossovers in the mouse pseudoautosomal region during male meiosis. Proc Natl Acad Sci U S A. 1987 Oct;84(20):7218–7220. doi: 10.1073/pnas.84.20.7218. [DOI] [PMC free article] [PubMed] [Google Scholar]



