Abstract
This clinical report describes a treatment option for replacement of a missing mandibular anterior tooth using InCeram resin bonded fixed partial denture (RBFPD). The conventional approach for replacing mandibular incisors dictates the placement of either a conventional porcelain-fused-to-metal (PFM) bridge, Maryland bridge, or fiber-reinforced composite veneer bridge and several appearance-related disadvantages have been reported in the use of a prosthesis that incorporates a metal substructure. The InCeram bridge is a minimally invasive restoration and eliminates undesirable incisal graying frequently observed in metal RBFPDs. This method was successfully clinically applied to overcome shortcomings of other approaches that may require a minimal invasive technique to preserve lasting sound tooth structure.
Keywords: Ceramics, Resin-Bonded Fixed Partial Denture, Maryland
INTRODUCTION
In general, three-unit fixed partial denture (FPD), restorations based on single-tooth implant, or resin-bonded fixed partial denture (RBFPD) are conventional treatment methods commonly used for replacement of a missing mandibular incisor. One major requirement for the three-unit FPDs is to remove substantial amounts of tooth structure where preservation of the pulp is a problem. Due to small axial diameters in the mandibular incisors, preparation of the tooth would be challenging. Because of limited space and compromised quality and quantity of both hard/soft tissues, single-implant supported restorations are not always able to fulfill all the biomechanical and esthetic requirements [1, 2].
All-ceramic crowns in general have a number of advantages compared with conventional metal-ceramic crowns. First, esthetic properties of these ceramics are better due to the translucency of the composite resin luting material that is more than conventional cements used with porcelain fused to metal crowns.
In addition, light through the restored unit is improved and the peripheral blend at the gingival margin is good with no black-line margin due to the metal substructure. Second, the gingival response may be better, given that the periodontal response to porcelain is relatively excellent. Furthermore, the periodontal response associated with dentin bonded all ceramic crowns may be superior to that associated with conventional crowns considering that the resin luting material is less soluble. This results in a significant reduction in possible plaque accumulation as well as the risk of caries lesion formation. Third, the fracture resistance of dentin bonded all-ceramic crowns is good [3]. An esthetic alternative with improved mechanical strength is glass-infiltrated and sintered alumina crowns.
The InCeram (Vita Zahnfabrik, Germany) ceramic system consists of a high-strength ceramic based on a matrix of sintered aluminum oxide infused with glass. The system is usually utilized in the form of a core material attached to a more translucent ceramic. This will enhance its esthetic properties [4]. In a systematic literature review, typical survival rates for all-ceramic restorations range from 88 to 100% after 2–5 years in service, and 84 to 97% after 5–14 years in service [5].
In another systematic literature review, the 5-year survival rate of InCeram alumina crowns ranged from 91.7% to 100%, which was similar to the survival rate of conventional metal-ceramic crowns.
Single-retainer InCeram alumina RBFPDs exhibited a 5-year survival rate of 92.3%. This magnitude was greater than that of two-retainer RBFPDs [6]. In this case report, we describe preparation of the abutment tooth and the clinical procedures for fabrication of the RBFPD through the use of InCeram fixed partial denture.
CASE REPORT
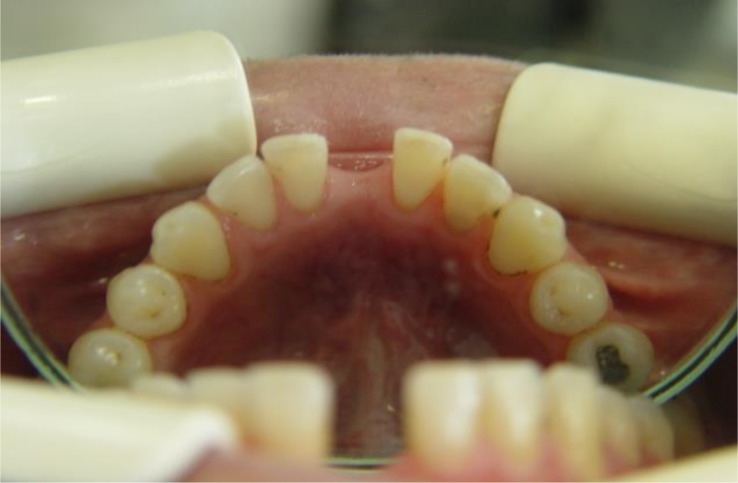
A 43-year-old man was referred to the Department of Prosthodontics, Faculty of Dentistry, Tehran University of Medical Sciences, for prosthetic restoration of his missing mandibular anterior incisor. The patient was in good general health, and the medical and dental history indicated no contraindications for dental treatment. No signs and symptoms were found in the temporomandibular joints and the patient reported no parafunctional habits. The patient had five incisors one of which had been lost because of trauma. The abutment teeth with healthy periodontium were intact and the attached gingiva was adequate. There was no occlusal contact on the incisors [Figure 1, 2]. For prosthetic treatment, three methods were chosen: (1) implant supported single crown, (2) conventional FPD, and (3) RBFPD including conventional and fiber-reinforced.
Fig 1.
The frontal view of the edentulous space
Fig 2.
An occlusal view of the missing mandibular incisor
Implant replacement was excluded from the list because the patient disagreed with having any surgical procedures. Since the abutment teeth were vital and noncarious, the usual FPD was also excluded.
Thus, to minimize unnecessary abutment tooth preparation, the use of all-ceramic RBFPD using InCeram system was suggested and accepted by the patient.
To prepare the all-ceramic RBFPD, the proximal sites for each abutment tooth were outlined with an oil-based marker to confirm the exact depth of the minimal reduction required. Flame-shaped, chamfer and shoulder diamond rotary cutting instruments were utilized to approach appropriate tooth reduction. Reduction of lingual surfaces of the abutment teeth was approximately 0.7 mm. This was accompanied by a 1 mm supra-gingival chamfer finish line from the tissue crest.
During reduction of the lingual surface, the labiolingual thicknesses of the incisal edges of abutment teeth were carefully measured to allow an adequate thickness to prevent fracture. The incisal extension of preparations on the abutment teeth was precisely finished 2 mm below the incisal edge to avoid any probable extension of the preparation into the thinner incisal area that may destruct esthetics. In the preparations, the proximal lines were extended to the marginal ridges of the palatal fossae. The proximal extension of preparation toward the labial orifice was solely prepared lingually to the contact areas. All line and point angles were rounded [7]. A complete arch impression was made with a silicon impression material (Speedex, Coltene AG, Altstten, Switzerland), and the master cast was obtained. The core section of the prosthesis was fabricated on the cast [Figure 3, 4].
Fig 3.
The intimate contact of the core with the teeth
Fig 4.
The core section of the prosthesis
At the initial trial insertion, several parameters were investigated including adequate seating of the prosthesis, marginal adaptation of each retainer, tissue contact and form of the pontic, and occlusion. Afterward, premature contacts were avoided.
In addition, the shade of the pontic was defined and recorded [Figure 5, 6]. During application of the porcelain, veneer porcelain was subsequently added to the pontic using an aluminous porcelain (Vitadur alpha, Vita Zahnfabrik, Sackingen, Germany). This trial evaluation was repeated twice. At this point, the patient gave his final approval. The abutment teeth were initially cleaned with a rubber cup and a fluoride-free cleaning paste (Prophylaxis paste, Golchay, Tehran, Iran), and the enamel was subsequently etched with 37% phosphoric acid for 60 sec.
Fig 5.
A sketch showing the try-in stage of the core
Fig 6.
The sufficient space required in the labial to form the pontic
A dual-polymerizing resin (Panavia, Kurary, Tokyo, Japan) was utilized to bond the all-ceramic RBFPD to the abutment teeth [Figure 7, 8]. Every 6 months a following-up procedure was carried out to assess function, fracture, and esthetics of the InCeram RBFPD.
Fig 7.
The final prosthesis
Fig 8.
A Lingual view of the prosthesis after cementation
No clinical problems, fracture, chipping, debonding or other clinical complications were observed during a period of 7 and half year follow-up examination. Satisfactory function and esthetic results were achieved in this clinical case. Probing depths changed between 1 and 1.5 mm, and there was no gingival recession or inflammation in the region of the prosthesis. The patient was satisfied and did not report any functional or esthetic problems.
DISCUSSION
Patient demand for tooth-colored restorations has exploited the development of a large variety of esthetic materials for restoring and replacing natural teeth. Esthetic demands of patients and clinicians have led to the development of all-ceramic crowns. Bonded all ceramic restorations provide magnificent esthetics because ceramics allow diffuse transmission as well as diffuse and specular reflectance of light, reproducing a depth of translucency and apparent color of natural teeth.
There are several clinical indications for conventional RBFPDs including a short edentulous span like 1 or 2 missing teeth, vital and intact abutment teeth, and minimal dynamic occlusal contacts on the abutment teeth [8]. Advantages of RBFPD are noninvasive approach to dentin with lingual and proximal tooth preparation, tissue tolerance owing to supragingival margins, and a lower cost for shorter chair time. Metal ceramic RBFPDs have shown successful outcomes, but the grayish color of the incisal third of the abutment teeth due to cast lingual retainers is a noticeable general problem [7]. Fiber reinforced FPD is a cost-effective tooth replacement used when the patient needs a short-term solution because the survival rate is lower than all ceramic restorations [9]. Comparing porcelain-fused-to-metal to all-ceramic crowns indicates that patient selection and technique sensitivity may be more critical with all-ceramic than with metal-ceramic restoration.
In addition, the coping design and luting system should be critically controlled to maximize long-term success [10]. The technique described here represents a conservative, esthetically satisfying and rapid approach to the problem of a missing mandibular incisor when implant placement and other treatment modalities are not feasible because of financial, social or time restrictions. It is essential to carefully control the interocclusal relationship, anterior guidance and potential points of interference in lateral movements before making an RBFPD. This is necessary to keep the risk of decementation or failure of the restoration as low as possible.
For fabrication of the anterior bridge, the In-Ceram system was approved. Because our results showed a good tooth color achieved compared to metal-free restorations.
This type of ceramic brings together strength and esthetics for replacing mandibular incisors and offers light transmission and reflection characteristics comparable to that of natural teeth.
REFERENCES
- 1.Komine F, Tomic M. A single-retainer zirconium dioxide ceramic resin-bonded fixed partial denture for single tooth replacement: a clinical report. J Oral Sci. 2005 Sep;47(3):139–42. doi: 10.2334/josnusd.47.139. [DOI] [PubMed] [Google Scholar]
- 2.Hagiwara Y, Matsumura H, Tanaka S, Woelfel JB. Single tooth replacement using a modified metal-ceramic resin-bonded fixed partial denture: a clinical report. J Prosthet Dent. 2004 May;91(5):414–7. doi: 10.1016/S002239130400126X. [DOI] [PubMed] [Google Scholar]
- 3.Al-Dwairi ZN, Al-Hiyasat AS, Aboud H. Standards of teeth preparations for anterior resin bonded all-ceramic crowns in private dental practice in Jordan. J Appl Oral Sci. 2011 Aug;19(4):370–7. doi: 10.1590/S1678-77572011005000012. [DOI] [PMC free article] [PubMed] [Google Scholar]
- 4.Cehreli MC, Iplikçioğlu H. Five-year follow-up of InCeram laminate restorations: a clinical report. J Prosthet Dent. 2000 Nov;84(5):487–9. doi: 10.1067/mpr.2000.110496. [DOI] [PubMed] [Google Scholar]
- 5.Conrad HJ, Seong WJ, Pesun IJ. Current ceramic materials and systems with clinical recommendations: a systematic review. J Prosthet Dent. 2007 Nov;98(5):389–404. doi: 10.1016/S0022-3913(07)60124-3. [DOI] [PubMed] [Google Scholar]
- 6.Wassermann A, Kaiser M, Strub JR. Clinical long-term results of VITA In-Ceram Classic crowns and fixed partial dentures: A systematic literature review. Int J Prosthodont. 2006 Jul-Aug;19(4):355–63. [PubMed] [Google Scholar]
- 7.Turker SB, Guvenli SY, Arikan A. Replacement of two mandibular central incisors using a zirconium resin-bonded fixed partial denture: a clinical report. J Prosthet Dent. 2005 Dec;94(6):499–503. doi: 10.1016/j.prosdent.2005.10.008. [DOI] [PubMed] [Google Scholar]
- 8.Barrack G. Recent advances in etched cast restorations. J Prosthet Dent. 2005 Jan;93(1):1–7. doi: 10.1016/j.prosdent.2004.10.025. [DOI] [PubMed] [Google Scholar]
- 9.Turker SB, Sener ID. Replacement of a maxillary central incisor using a polyethylene fiber-reinforced composite resin fixed partial denture: a clinical report. J Prosthet Dent. 2008 Oct;100(4):254–8. doi: 10.1016/S0022-3913(08)60201-2. [DOI] [PubMed] [Google Scholar]
- 10.De Jager N, Pallav P, Feilzer AJ. The influence of design parameters on FEA-determined stress distribution in CAD-CAM produced all ceramic crowns. Dent Mater. 2005 Mar;21(3):242–51. doi: 10.1016/j.dental.2004.03.013. [DOI] [PubMed] [Google Scholar]








