Abstract
The neuroactive steroid (3α,5α)-3-hydroxypregnan-20-one (3α,5α-THP or allopregnanolone) is a positive modulator of GABAA receptors synthesized in the brain, adrenal glands, and gonads. In rats, ethanol activates the hypothalamic–pituitary–adrenal axis and elevates 3α,5α-THP in plasma, cerebral cortex, and hippocampus. In vivo, these effects are dependent on both the pituitary and adrenal glands. In vitro, however, ethanol locally increases 3α,5α-THP in hippocampal slices, in the absence of adrenal influence. Therefore, it is not known whether ethanol can change local brain levels of 3α,5α-THP in vivo, independent of the adrenals. To directly address this controversy, we administered ethanol (2 g/kg) or saline to rats that underwent adrenalectomy (ADX) or received sham surgery and performed immunohistochemistry for 3α,5α-THP. In the medial prefrontal cortex (mPFC), ethanol increased 3α,5α-THP after sham surgery, compared with saline controls, with no ethanol-induced change in 3α,5α-THP following ADX. In subcortical regions, 3α,5α-THP was increased independent of adrenals in the CA1 pyramidal cell layer, dentate gyrus polymorphic layer, bed nucleus of the stria terminalis, and paraventricular nucleus of the hypothalamus. Furthermore, ethanol decreased 3α,5α-THP labeling in the nucleus accumbens shore and central nucleus of the amygdala, independent of the adrenal glands. These data indicate that ethanol dynamically regulates local 3α,5α-THP levels in several subcortical regions; however, the adrenal glands contribute to 3α,5α-THP elevations in the mPFC. Using double immunofluorescent labeling we determined that adrenal dependence of 3α,5α-THP induction by ethanol is not due to a lack of colocalization of 3α,5α-THP with the cholesterol transporters steroidogenic acute regulatory protein (StAR) or translocator protein (TSPO).
INTRODUCTION
Neuroactive steroids are endogenous neuromodulators, synthesized in the brain, adrenals, and gonads that are capable of influencing neural function and behavior. The 5α-reduced pregnane steroids (3α,5α)-3-hydroxypregnan-20-one (3α,5α-THP or allopregnanolone) and (3α,5α)-3,21-dihydroxypregnan-20-one (3α,5α-THDOC) positively modulate γ-aminobutyric acid type A (GABAA) receptors, which mediate many effects of ethanol. Both 3α,5α-THP and 3α,5α-THDOC enhance neuronal inhibition at binding sites on GABAA receptors (Hosie et al, 2006) and produce behavioral effects similar to those of ethanol. These GABAergic steroids are potent positive modulators of GABAA receptors, producing pharmacological effects in nanomolar concentrations (Morrow et al, 1987), and studies suggest that modulating GABAergic steroid levels may have therapeutic value for treating multiple psychiatric disorders (Marx et al, 2006; Morrow, 2007; Rasmusson et al, 2006; Strohle et al, 2002; Uzunova et al, 1998).
Evidence from multiple laboratories suggests that 3α,5α-THP and 3α,5α-THDOC contribute to ethanol's pharmacological effects in rats (Morrow, 2007). Ethanol activates the hypothalamic–pituitary–adrenal (HPA) axis (Rivier et al, 1984; VanDoren et al, 2000), increasing 3α,5α-THP and 3α,5α-THDOC in the blood plasma, cerebral cortex, and hippocampus (Barbaccia et al, 1999; Porcu et al, 2009; VanDoren et al, 2000). However, it is not known whether this elevation of GABAergic steroids originates only from the periphery or whether there are changes in levels of GABAergic steroids that occur locally in the brain. The presence of ethanol-induced local brain synthesis of 3α,5α-THP is controversial since there are conflicting data depending on the model system used. In vivo, studies suggest ethanol-induced elevations of 3α,5α-THP in the cerebral cortex are dependent on circulating steroids since adrenalectomy (ADX) and hypophysectomy prevent ethanol-induced increases in cerebral cortical 3α,5α-THP (Boyd et al, 2010; Khisti et al, 2003; O'Dell et al, 2004; Porcu et al, 2004). In vitro studies, however, suggest that ethanol produces local brain synthesis of 3α,5α-THP using the hippocampal tissue from intact (Sanna et al, 2004; Tokuda et al, 2011) and adrenalectomized/gonadectomized (Follesa et al, 2006) rats. Therefore, an important question is whether ethanol can alter brain synthesis of 3α,5α-THP in vivo, independent of circulating steroids.
Several lines of evidence suggest that ethanol-induced changes in GABAergic neuroactive steroid concentrations contribute to ethanol's effects. ADX or inhibition of 5α-reduced steroid synthesis with the 5α-reductase (5α-R) inhibitor finasteride reduces some of the behavioral effects of ethanol, including the anticonvulsant (VanDoren et al, 2000), antidepressant-like (Hirani et al, 2002), and anxiolytic-like (Hirani et al, 2005) effects in rats. Finasteride also blocks ethanol inhibition of neuron firing in the medial septum (VanDoren et al, 2000), the hippocampus both in vivo (Tokunaga et al, 2003) and in vitro (Sanna et al, 2004), and long-term potentiation (LTP) in hippocampal slices (Tokuda et al, 2011). Importantly, finasteride also reduces the subjective effects of ethanol in men (Pierucci-Lagha et al, 2005). Taken together, these findings suggest ethanol-induced elevations of 3α,5α-THP and 3α,5α-THDOC contribute to the physiological, behavioral, and subjective effects of ethanol. Therefore, it is critical to determine the source of GABAergic steroids in the brain following ethanol administration.
It has been difficult to reconcile the source of ethanol-induced increases of 3α,5α-THP due to challenges in steroid measurement. Most experiments measuring 3α,5α-THP have used radioimmunoassay (RIA) or gas chromatography—mass spectroscopy (GC–MS), which have limited sensitivity. We recently demonstrated that immunohistochemical labeling of 3α,5α-THP detects changes in discrete brain regions thought to be important in the development and expression of alcohol use disorders. Using this approach we showed that ethanol produces divergent changes in cellular 3α,5α-THP that are brain region-specific (Cook et al, 2014). For example, ethanol increased cellular 3α,5α-THP in the medial prefrontal cortex (mPFC), bed nucleus of the stria terminalis (BNST), paraventricular nucleus (PVN) of the hypothalamus, and CA1 pyramidal and polymorphic cell layers of the hippocampal formation. In contrast, ethanol reduced cellular 3α,5α-THP in the nucleus accumbens (NAc) shore (core-shell border) and the central nucleus of the amygdala (CeA). These region-specific effects of ethanol on cellular 3α,5α-THP further suggest that there may be local brain synthesis of 3α,5α-THP independent of the adrenal glands.
In the present study, immunohistochemistry was used to directly test whether ethanol alters local brain levels of 3α,5α-THP in vivo, independent of the adrenal glands. Male Wistar rats underwent ADX or sham surgery, were administered ethanol (2 g/kg, i.p.) or saline, and cellular 3α,5α-THP levels were evaluated in brain regions/cellular populations where we previously observed effects of ethanol. We also examined 3α,5α-THP colocalization with the cholesterol transporters steroidogenic acute regulatory protein (StAR) or translocator protein (TSPO) in mPFC, hippocampus, and NAc.
MATERIALS AND METHODS
Subjects
Adult male Wistar rats (∼275 g/n=8–11 per group) that underwent ADX or sham surgery were purchased from Harlan Laboratories (Indianapolis, IN, USA). Animals were single-housed in Plexiglass cages with food and water (animals that underwent ADX received 0.9% saline instead of water) available ad libitum. The colony room was on a normal 12-h light–dark cycle (light onset at 0700 hours) with a temperature of 22±2 °C and relative humidity of 65%. Animals were killed 7 days following surgery and ∼24 h after arriving in the colony room to limit the possibility of adaptations in GABAergic transmission or steroid synthesis. For colocalization studies, naive adult male Wistar rats (∼275 g/n=3, Harlan Laboratories) were housed in Plexiglass cages with food and water available ad libitum under the same colony room conditions as above. Experiments were conducted between 0800 and 1300 hours to minimize potential circadian fluctuation in neuroactive steroid levels.
Ethanol (2 g/kg, 20% v/v in saline) or saline were administered i.p. 60 min before transcardial perfusion. The 60-min time point was chosen because ethanol-induced increases of 3α,5α-THP peak in the cerebral cortex at this time (VanDoren et al, 2000). ADX was visually confirmed immediately after brain extraction. Animal care and handling procedures followed the National Institute of Health Guidelines under the University of North Carolina at Chapel Hill Institutional Animal Care and Use Committee approved protocols.
Surgeries
All surgeries were performed at the Harlan Laboratories as described on their website. Briefly, anesthesia was induced by i.p. administration of 41.1 mg/kg ketamine+8.3 mg/kg xylazine. Bilateral ADX was accomplished by making a midline incision followed by bilateral muscle incisions on either side of the spine. The adrenal gland was then located, and blood vessels and connective tissue were severed to allow removal of the adrenal. Sham surgery consisted of the same anesthetic and incision procedure but the adrenals were left intact. Ketoprofen (3.0 g/kg, subcutaneous) was given as an analgesic following surgery.
Tissue Preparation
For ADX studies, 1 h following ethanol (2 g/kg) or saline injection, animals were anesthetized with pentobarbital (150 mg/kg, i.p.; PCCA, Houston, TX, USA) and transcardially perfused with phosphate-buffered saline (PBS) followed by 4% paraformaldehyde. For colocalization studies, naive animals were anesthetized and perfused as described above. Tissue was post-fixed in 4% paraformaldehyde for 24 h at 4 °C, sectioned coronally at 40 μm on a vibrating microtome, and stored at −30 °C. Pentobarbital does not alter 3α,5α-THP levels using this procedure, and blood perfusion does not alter brain levels of 3α,5α-THP in intact animals using RIA (unpublished data).
Immunohistochemistry
3α,5α-THP IHC was performed as previously described in detail (Cook et al, 2014). Briefly, no detergents or organic solvents were used to prevent steroid leeching. Free floating sections (3–4 sections/animal/brain region) were rinsed, blocked, and incubated (48 h at 4 °C) in sheep affinity purified 3α,5α-THP antiserum (purchased from Dr R.H. Purdy) at a dilution of 1 : 2500 for 3,3′-diaminobenzidine (DAB) or 1 : 500 for fluorescent detection. A biotinylated secondary antibody (1 : 200; Vector Laboratories, Burlingame, CA, USA) was used with the Vectastain Elite ABC kit (Vector Laboratories) for DAB detection. An Alexa Fluor 488 secondary antibody was used for fluorescent detection (Life Technologies, Durham, NC, USA).
Double immunofluorescent labeling was performed on free floating sections that were rinsed, blocked, and incubated in primary antibody for StAR ((1 : 100), Bioss, Woburn, MA, USA) or TSPO ((1 : 500), Millipore, Billerica, MA, USA) for 24 h at 4 °C. Next, sections were rinsed, blocked, and incubated with 3α,5α-THP primary antibody for 48 h at 4 °C. Then, sections were rinsed and incubated with secondary antibody (Alexa Fluor 594 was used for StAR and TSPO, Life Technologies). Immunofluorescence was visualized using a Leica SP2 laser scanning confocal microscope and computer software (Buffalo Grove, IL, USA). Cholesterol transporter markers and 3α,5α-THP immunofluorescence were imaged sequentially to prevent fluorophore bleed-through.
Immunohistochemical Analysis (DAB)
Immunoreactivity was visualized using an Olympus CX41 light microscope (Olympus America, Center Valley, PA, USA) and images were captured with a digital camera (Regita model, QImaging, Burnaby, BC). Image analysis software (Bioquant Life Sciences, version 8.00.20, Nashville, TN, USA) that utilizes linear integrated optical density was used for comparing relative changes in immunoreactivity between groups. The microscope, camera, and software were background-corrected and normalized to preset light levels to ensure fidelity of data acquisition. Immunoreactive positive pixel count measurements were calculated from a defined region (for example, brain region), divided by the area of the region in square millimeters, and expressed as positive pixels/mm2. Data were acquired from three to four sections/animal/brain region, and averaged within a brain region for an individual animal to obtain one value per subject. Inter-rater reliability was determined by calculating the intraclass-correlation coefficient for two raters blind to the experimental conditions. Data from the NAc and mPFC were chosen for intraclass-correlation analysis and values of r=0.93 (P<0.001) and r=0.88 (P<0.05) were obtained, respectively. Intraclass-correlation coefficient was calculated using MATLAB (MathWorks, Natick, MA, USA). Immunoreactivity was statistically analyzed for each brain region using two-way between subjects design ANOVA (Prism, GraphPad Software, La Jolla, CA, USA). A priori planned comparisons were performed using Student's t-test (Prism, GraphPad Software).
Brain region analyses were performed using histological coordinates as follows: mPFC (+3.00 to +2.20 AP), CA1 pyramidal cell layer (−2.56 to −3.30 AP), the dentate gyrus (DG) polymorphic cell layer (−2.56 to −3.30 AP), BNST (−0.26 to −0.40 AP), PVN (−1.30 to −2.12 AP), NAc (+1.70 to +1.00 AP), and CeA (−2.12 to −2.80 AP). Analyses were based on coordinates relative to bregma in the Rat Brain Atlas (Paxinos and Watson, 1998).
RESULTS
Ethanol-Induced Increases of Cellular 3α,5α-THP
Recent work in our laboratory has shown that ethanol increases 3α,5α-THP immunoreactivity in the mPFC, CA1 pyramidal cell layer of the hippocampus, polymorphic cell layer of the DG, BNST, and PVN of the hypothalamus (Cook et al, 2014). Therefore, we tested whether ethanol-induced elevations of 3α,5α-THP in these regions are dependent upon the adrenals. Ethanol administration increased 3α,5α-THP immunoreactivity in the mPFC; however, this effect was moderated by ADX (Figure 1a). Two-way ANOVA indicated a main effect of ethanol treatment (F (1,34)=8.18, P<0.01) and surgery condition (F (1,34)=9.41, P<0.005) but no significant interaction. Therefore, we performed a priori planned comparisons between groups. mPFC 3α,5α-THP immunoreactivity was significantly increased in the sham ethanol compared with the sham saline group (25±11% t(15)=3.583, P<0.01), similar to previous immunohistochemical results (Cook et al, 2014). However, ethanol did not increase 3α,5α-THP in animals that received ADX (2±7% t(19)=0.937, P>0.05), suggesting that the adrenals contribute to the effects of ethanol in mPFC. The effects of ethanol appear uniform across the cortical cell layers (Figure 1c). Further comparisons showed that 3α,5α-THP immunoreactivity differed in the Sham ethanol and ADX ethanol groups (t(18)=3.230, P<0.005). ADX did not alter basal 3α,5α-THP immunoreactivity in the mPFC, as there was no difference between the Sham saline and ADX saline groups (t(16)=1.139, P=0.2716).
Figure 1.
Ethanol (2 g/kg, i.p.) effects on (3α,5α)-3-hydroxypregnan-20-one (3α,5α-THP) immunoreactivity in the mPFC of rats are dependent on the adrenal glands. (a) Ethanol increases 3α,5α-THP immunoreactivity in the mPFC following sham surgery, but not ADX, compared with the respective saline controls. (b) The red box indicates the location (3.20 mm relative to bregma) of representative photomicrographs. (c) Representative photomicrographs ( × 10) of 3α,5α-THP immunoreactivity in the mPFC of sham saline (n=8), sham ethanol (n=9), ADX saline (n=10), and ADX ethanol (n=11) animals. Ethanol or saline was administered 60 min before tissue fixation and collection. Data are expressed as the mean positive pixels/mm2±SEM. *P<0.01 compared with respective saline administration. ADX, adrenalectomy; mPFC, medial prefrontal cortex; Sham, sham adrenalectomy surgery.
In the hippocampus, ethanol increased 3α,5α-THP immunoreactivity in the CA1 pyramidal cell layer and the polymorphic cell layer of the DG, independent of the adrenals. In the pyramidal cell layer, 3α,5α-THP immunoreactivity was increased by 49±7% in the sham ethanol vs sham saline group and by 48±11% in the ADX ethanol vs ADX saline group (main effect of ethanol treatment (F (1,34)=23.15, P<0.0001); Figure 2a). In the polymorphic cell layer, 3α,5α-THP immunoreactivity was increased by 63±10% in the sham ethanol vs sham saline group and by 74±11% in the ADX ethanol vs ADX saline group (main effect of ethanol treatment (F (1,34)=61.16, P<0.0001); Figure 2d).
Figure 2.
ADX does not alter the effect of ethanol (2 g/kg, i.p.) on (3α,5α)-3-hydroxypregnan-20-one (3α,5α-THP) immunoreactivity in the CA1 hippocampus and polymorphic cell layer of the DG. (a) Ethanol increases 3α,5α-THP immunoreactivity in the CA1 pyramidal cell layer after sham surgery and ADX, compared with respective saline controls. (b) The red box indicates the location (−3.14 mm relative to bregma) of representative photomicrographs within the hippocampus. (c) Representative photomicrographs ( × 10) of 3α,5α-THP immunoreactivity in the CA1 pyramidal cell layer of sham saline (n=8), sham ethanol (n=9), ADX saline (n=10), and ADX ethanol (n=11) animals. (d) Ethanol increases 3α,5α-THP immunoreactivity in the polymorphic cell layer of the DG following sham surgery or ADX, when compared with respective saline controls. (e) The red box indicates the location (−3.60 mm relative to bregma) of representative photomicrographs within the DG. (f) Representative photomicrographs ( × 10) of 3α,5α-THP immunoreactivity in the polymorphic cell layer of the DG (oval). Ethanol or saline were administered 60 min before tissue fixation and collection. Data are expressed as the mean positive pixels/mm2±SEM. * indicates the main effect of ethanol treatment, P<0.0001. ADX, adrenalectomy; CA1, Cornu Ammonis area 1; DG, dentate gyrus; Sham, sham adrenalectomy surgery.
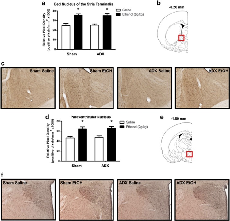
In the BNST and PVN, ethanol increased 3α,5α-THP immunoreactivity independent of the adrenals. In the BNST, 3α,5α-THP immunoreactivity was increased by 43±5% in the sham ethanol vs sham saline group and by 40±8% in the ADX ethanol vs ADX saline group (main effect of ethanol treatment (F (1,34)=35.68, P<0.0001); Figure 3a). In the PVN, 3α,5α-THP immunoreactivity was increased by 38±10% in the sham ethanol vs sham saline group and by 39±7% in the ADX ethanol vs ADX saline group (main effect of ethanol treatment (F (1,34)=27.70, P<0.0001); Figure 3d).
Figure 3.
ADX does not alter the effect of ethanol (2 g/kg, i.p.) on (3α,5α)-3-hydroxypregnan-20-one (3α,5α-THP) immunoreactivity in the BNST and PVN of the hypothalamus. (a) Ethanol increases 3α,5α-THP immunoreactivity in the BNST after sham surgery and ADX, when compared with respective saline controls. (b) The red box indicates the location (−0.26 mm relative to bregma) of representative photomicrographs within the BNST. (c) Representative photomicrographs ( × 10) of 3α,5α-THP immunoreactivity in the BNST of sham saline (n=8), sham ethanol (n=9), ADX saline (n=10), and ADX ethanol (n=11) animals. (d) Ethanol increases 3α,5α-THP immunoreactivity in the PVN of the hypothalamus after sham surgery and ADX, when compared with respective saline controls. (e) The red box indicates the location (−1.80 mm relative to bregma) of representative photomicrographs within the PVN. (f) Representative photomicrographs ( × 10) of 3α,5α-THP immunoreactivity in the PVN. Ethanol or saline were administered 60 min before tissue fixation and collection. Data are expressed as the mean positive pixels/mm2±SEM. * indicates the main effect of ethanol treatment, P<0.0001. ADX, adrenalectomy; BNST, bed nucleus of the stria terminalis; PVN, paraventricular nucleus; Sham, sham adrenalectomy surgery.
Ethanol-Induced Decreases of Cellular 3α,5α-THP
Recently, we have shown that ethanol administration decreases 3α,5α-THP immunoreactivity in the NAc shore and CeA. Therefore, we tested whether ethanol-induced reductions of 3α,5α-THP in these regions are dependent on the adrenals. In both the NAc shore and CeA, ethanol reduced cellular 3α,5α-THP independent of the adrenals. In the NAc shore, 3α,5α-THP immunoreactivity was decreased by 27±5% in the sham ethanol vs sham saline group and by 26±5% in the ADX ethanol vs ADX saline group (main effect of ethanol treatment (F (1,34)=17.58, P<0.001); Figure 4a). In the CeA, 3α,5α-THP immunoreactivity was decreased by 39±2% in the sham ethanol vs sham saline group and by 29±7% in the ADX ethanol vs ADX saline group (main effect of ethanol treatment (F (1,34)=28.74, P<0.0001); Figure 4d).
Figure 4.
ADX does not alter the effect of ethanol (2 g/kg, i.p.) on (3α,5α)-3-hydroxypregnan-20-one (3α,5α-THP) immunoreactivity in the NAc shore (core/shell border) or CeA. (a) Ethanol decreases 3α,5α-THP immunoreactivity in the NAc shore after sham surgery and ADX, when compared with respective saline controls. (b) The red box indicates the location (1.60 mm relative to bregma) of representative photomicrographs. (c) Representative photomicrographs ( × 10) of 3α,5α-THP immunoreactivity in the NAc shore of sham saline (n=8), sham ethanol (n=9), ADX saline (n=10), and ADX ethanol (n=11) animals. (d) Ethanol decreases 3α,5α-THP immunoreactivity in the CeA after sham surgery and ADX, when compared with respective saline controls. (e) The red box indicates the location (−2.56 mm relative to bregma) of representative photomicrographs. (f) Representative photomicrographs ( × 10) of 3α,5α-THP immunoreactivity in the CeA of sham saline (n=8), sham ethanol (n=9), ADX saline (n=10), and ADX ethanol (n=11) animals. Ethanol or saline were administered 60 min before tissue fixation and collection. Data are expressed as the mean positive pixels/mm2±SEM. * indicates the main effect of ethanol treatment P<0.001, and ** indicates the main effect of ethanol treatment, P<0.0001 compared with respective saline administration. ADX, adrenalectomy; CeA, central nucleus of the amygdala; NAc, nucleus accumbens; Sham, sham adrenalectomy surgery.
3α,5α-THP Colocalization with StAR and TSPO
As the adrenal dependence of ethanol induction of 3α,5α-THP in mPFC could be due to a lack of local cholesterol transporter, we used scanning laser confocal microscopy to co-label 3α,5α-THP with StAR or TSPO in the mPFC. We also examined 3α,5α-THP colocalization with StAR and TSPO in the CA1 pyramidal cell layer of the hippocampus and the NAc, where we observed an ethanol-induced local increase or decrease in 3α,5α-THP, respectively. In the mPFC (Figure 5a) and CA1 hippocampus (Figure 5b), 3α,5α-THP colocalizes with both StAR and TSPO. In the NAc (Figure 5c), 3α,5α-THP colocalizes with StAR; however, there is minimal colocalization with TSPO. Interestingly, in both the CA1 hippocampus and the NAc, TSPO was also located in cells that do not contain 3α,5α-THP labeling (Figure 5b and c, yellow arrows).
Figure 5.
(3α,5α)-3-hydroxypregnan-20-one (3α,5α-THP) colocalizes with StAR in the mPFC, CA1 pyramidal cells of the hippocampus, and NAc, whereas 3α,5α-THP colocalization with TSPO is observed in mPFC and CA1 hippocampus, but is minimal in NAc. In the CA1 hippocampus and NAc, TSPO is also located in cells that are not 3α,5α-THP-labeled. (a) In the mPFC, 3α,5α-THP (green) colocalizes with StAR (red, top panel) and TSPO (red, bottom panel). (b) In the CA1 hippocampus, 3α,5α-THP (green) colocalizes with StAR (red, top panel) and TSPO (red, bottom panel). Note the presence of TSPO labeling in a cell that is not labeled for 3α,5α-THP (yellow arrow). (c) In the NAc, 3α,5α-THP (green) colocalizes with StAR (red, top panel), but colocalization with TSPO is rarely observed (red, bottom panel). Note the presence of TSPO labeling in cells that are not labeled for 3α,5α-THP (yellow arrows). CA1, Cornu Ammonis area 1; mPFC, medial prefrontal cortex; NAc, nucleus accumbens; StAR, steroidogenic acute regulator protein; TSPO translocator protein.
DISCUSSION
The goal of the present study was to determine whether ethanol-induced changes in cellular 3α,5α-THP levels in the rat brain are dependent upon the adrenal glands. Ethanol-induced elevations of 3α,5α-THP in the mPFC appear to be dependent on the adrenals. This finding is consistent with studies using RIA to measure 3α,5α-THP in whole cerebral cortex (Khisti et al, 2003; Porcu et al, 2004) or GC–MS measuring 3α,5α-THP in the frontal cortex (O'Dell et al, 2004). Interestingly, ethanol-induced elevations of 3α,5α-THP in the pyramidal cell layer of the hippocampus, and polymorphic cell layer of the DG, BNST, and PVN were observed following ADX. Therefore, ethanol produces local brain synthesis of 3α,5α-THP in these regions. Furthermore, ethanol-induced reductions of cellular 3α,5α-THP in the NAc shore and CeA were also observed following ADX. Thus, ethanol reduces local cellular levels of 3α,5α-THP in these regions independent of the adrenals. To limit potential physiological adaptations following ADX, animals were not habituated to handling and i.p. injections. However, it does not appear that stress interacted with ethanol, as the results from the sham saline and sham ethanol groups replicate previous immunohistochemical findings in rats that had been habituated to handling and injections (Cook et al, 2014). It is important to note that this previous study found no change in cellular levels of 3α,5α-THP in the dorsomedial striatum, granule cell layer of the DG, ventral tegmental area, or the lateral or basolateral amygdala. Therefore, ethanol-induced changes in cellular 3α,5α-THP are bidirectional, brain region/cell population-specific, and occur locally in the rat brain.
The current IHC results and previous reports using RIA or GC–MS suggest ethanol-induced elevations of 3α,5α-THP in the cerebral cortex are dependent on the adrenal or pituitary glands (Boyd et al, 2010). It is not clear why there is a dependence on the HPA axis to observe cerebral cortical elevations of 3α,5α-THP; however, one possibility is a lack of precursor in the cortex. Indeed, it has been shown that administration of 5α-dihydroprogesterone (5α-DHP), the immediate precursor of 3α,5α-THP, restores ethanol-induced increases of 3α,5α-THP in the cerebral cortex (Khisti et al, 2003). It has also been shown that de novo adrenal synthesis of the cholesterol transporter StAR is necessary for ethanol-induced increases of 3α,5α-THP in the cerebral cortex (Boyd et al, 2010). StAR transports cholesterol to the inner mitochondrial membrane where it is converted to pregnenolone by cytochrome P450 side chain cleavage (P450scc). Therefore, de novo StAR synthesis in the adrenals may be necessary to provide precursor and/or 3α,5α-THP to the cerebral cortex following ethanol administration. Previous work has shown that acute ethanol increases StAR and P450scc mRNA in the rat frontal cortex (Kim et al, 2003); however, no increase in the StAR protein was found in whole cortex and TSPO protein levels were reduced (Boyd et al, 2010). The synthesis of 3α,5α-THP is accomplished by 5α-R converting progesterone to 5α-DHP, which 3α-hydroxysteroid dehydrogenase (3α-HSD) then converts to 3α,5α-THP. Acute ethanol increases 5α-R type 1 (5α-RI) and 3α-HSD mRNA in the frontal cortex of rats (Kim et al, 2003). Taken together, it appears that ethanol-induced increases of 3α,5α-THP in the cerebral cortex are dependent on adrenal-derived precursor, which is converted to 3α,5α-THP by locally synthesized steroidogenic enzymes.
The current results in the hippocampal formation agree with previous in vitro studies showing ethanol-induced local brain synthesis of 3α,5α-THP. For example, it was first shown using RIA that ethanol (50 or 100 mM) can increase 3α,5α-THP in hippocampal minces from intact rats (Sanna et al, 2004) and rats that had undergone ADX/gonadectomy (Follesa et al, 2006). It is important to note, the latter study found that ADX/gonadectomy significantly reduced basal levels of 3α,5α-THP in hippocampal slices by ∼30% using RIA (Follesa et al, 2006), which we did not observe in the present study. This discrepancy could be due to differences between cellular IHC vs RIA measurement, which includes total 3α,5α-THP concentrations. More recently, it was shown that ethanol increases cellular 3α,5α-THP in CA1 pyramidal cells using IHC with fluorescent detection of 3α,5α-THP (Tokuda et al, 2011). In each of these in vitro studies, ethanol induction of 3α,5α-THP was shown to alter neuronal function using electrophysiological measures. In the current study, we show that ethanol increases 3α,5α-THP immunoreactivity in the CA1 pyramidal cell layer as well as the polymorphic cell layer of the DG, independent of the adrenal glands. Furthermore, ethanol's ability to stimulate brain synthesis of 3α,5α-THP in the hippocampal formation is isolated to specific cellular populations, as previously we did not observe ethanol-induced changes of 3α,5α-THP in the granule cell layer of the DG (Cook et al, 2014). Therefore, the presence of this very specific effect of ethanol on cellular 3α,5α-THP in the hippocampus is intriguing and may indicate cell-type-specific responses to ethanol.
Ethanol also increased 3α,5α-THP immunoreactivity in the PVN of the hypothalamus and the BNST, independent of the adrenals. The PVN and the BNST are involved in stress, emotion, and ethanol responses (Armario, 2010; Cui et al, 2012; Koob, 2013), and we have previously shown that ethanol increases cellular 3α,5α-THP in these regions (Cook et al, 2014). Previous studies have shown that GABAergic neuroactive steroids contribute to negative feedback on the HPA axis at the level of the hypothalamus in rats (Owens et al, 1992; Patchev et al, 1996; Patchev et al, 1994), and activate the stress response in the hypothalamus of C57BL/6J mice (Sarkar et al, 2011). The present data suggest that ethanol-induced increases of cellular 3α,5α-THP occur locally in the PVN and BNST, independent of the adrenals. Other studies are clearly needed to understand the physiological and behavioral impact these local elevations of 3α,5α-THP produce in the PVN and BNST.
Ethanol-induced reductions of cellular 3α,5α-THP in the NAc and CeA also occur independent of the adrenals. Ethanol's ability to change local cellular levels of 3α,5α-THP in the NAc and CeA is particularly interesting, as these regions are strongly associated with ethanol reinforcement and consumption (Gonzales et al, 2004; McBride, 2002), and exogenous 3α,5α-THP has been shown to modulate ethanol self-administration. For example, several studies have shown that 3α,5α-THP alters ethanol consumption (Ford et al, 2007; Ford et al, 2005; Morrow et al, 2001) and reinforcement (Janak and Michael Gill, 2003; Janak et al, 1998). Ethanol-induced reductions of cellular 3α,5α-THP would most likely decrease GABAA receptor-mediated inhibition, which may alter activity of mesolimbic neurons and CeA circuitry involved in ethanol reinforcement. We have previously shown that the reduction of 3α,5α-THP in the NAc is isolated to the NAc shore (core-shell border), as no change in cellular 3α,5α-THP is observed in the core or shell alone (Cook et al, 2014). Previous studies have shown that 3α,5α-THP administration produces biphasic effects on dopamine release in the NAc (Motzo et al, 1996; Rouge-Pont et al, 2002) and modulates ethanol's effects on dopamine content in the mPFC (Dazzi et al, 2002). Therefore, investigating interactions between 3α,5α-THP levels and dopaminergic activity in the mesocorticolimbic system may aid in the effort to reduce ethanol consumption via neuroactive steroid modulation.
The adrenal dependence of ethanol-induced 3α,5α-THP increases in the mPFC could be due to an inability to initiate steroidogenesis. Therefore, we examined 3α,5α-THP colocalization with the cholesterol transporters StAR and TSPO in the mPFC of naive male Wistar rats. We also examined 3α,5α-THP colocalization with StAR and TSPO in the CA1 pyramidal cell layer and the NAc, where we observed local increases or decreases of 3α,5α-THP, respectively. In the mPFC and CA1 pyramidal cell layers, both StAR and TSPO colocalize with 3α,5α-THP. In the NAc, 3α,5α-THP colocalizes with StAR; however, there is little to no visual evidence for colocalization of 3α,5α-THP with TSPO. Furthermore, in the CA1 and NAc, TSPO is also located in cells that are not labeled with 3α,5α-THP. These cells may be astrocytes, as TSPO is expressed in astrocytes (for review see, Rupprecht et al, 2010). Taken together, the adrenal-dependent effects of ethanol on 3α,5α-THP levels in the mPFC cannot be explained by a lack of local cholesterol transporter.
Significance on Neuronal Activity and Potential Mechanisms of Ethanol-induced Changes in Local 3α,5α-THP Levels
A previous study using IHC determined that 3α,5α-THP is located in principle projecting GABAergic and glutamatergic neurons, but not in interneurons or glial cells (Saalmann et al, 2007). This pattern of 3α,5α-THP expression corresponds with expression of the biosynthetic enzymes 5α-R and 3α-HSD needed for 3α,5α-THP synthesis and metabolism (Agis-Balboa et al, 2006). Therefore, it has been suggested that a major role of 3α,5α-THP may be to modulate neurocircuitry. The contribution of 3α,5α-THP to the pharmacological effects of ethanol is likely due to potentiation of GABAA receptors, or reduced GABAA potentiation where 3α,5α-THP is reduced, across many brain regions. Ethanol-induced changes in 3α,5α-THP have been shown to alter neurophysiology in the hippocampus. Elegant studies in vivo (Tokunaga et al, 2003) and in vitro (Sanna et al, 2004) suggest that 3α,5α-THP contributes to ethanol's effects on hippocampal CA1 pyramidal cell physiology, including ethanol depression of LTP (Tokuda et al, 2011). In the present study, ethanol increased 3α,5α-THP in the CA1 pyramidal cell layer as well as the polymorphic cell layer of the DG. The most abundant cells in the polymorphic DG are mossy cells, which project to the molecular and granule cell layers of the DG (Amaral et al, 2007), with the granule cells being the only projection from the DG to the hippocampus. Ethanol-induced increases in 3α,5α-THP within hippocampal pyramidal cells and the polymorphic DG may contribute to ethanol's effects on memory and cognition by altering neuronal activity and synaptic plasticity.
Ethanol-induced changes in 3α,5α-THP levels in other brain regions examined in the present study likely modulate neuronal activity as well. The ability of ethanol-induced elevations of 3α,5α-THP to modulate neuronal activity is not isolated to the hippocampus. Outside the hippocampus, ethanol-induced elevations of GABAergic neuroactive steroids inhibit spontaneous firing of medial septum/diagonal band of Broca neurons (VanDoren et al, 2000). In the present study we observed increases of 3α,5α-THP in the mPFC, BNST, and PVN. It is not clear how elevations of 3α,5α-THP may alter neuronal activity in these regions; however, we would expect increased inhibitory tone. We also observed ethanol-induced reductions in local cellular levels of 3α,5α-THP in the NAc shore and the CeA. Ethanol-induced reductions of cellular 3α,5α-THP would most likely decrease GABAA receptor-mediated inhibition. More studies are clearly needed to determine the extent to which these ethanol-induced changes of 3α,5α-THP contribute to the neurophysiological and behavioral effects of ethanol. The presence of divergent local changes in cellular 3α,5α-THP suggests that ethanol may alter local synthesis and/or metabolism of 3α,5α-THP. One possibility is that ethanol alters the expression and/or activity of cholesterol transporters and/or steroidogenic enzymes. Acute ethanol administration increases StAR mRNA in the hippocampus (Kim et al, 2003). In the hypothalamus, acute ethanol increases mRNA levels of StAR, P450scc, and 3α-HSD (Kim et al, 2003). Currently, there are no data examining ethanol's effects on steroidogenic enzymes in the BNST. Similarly, there are no data examining ethanol's effects on steroidogenic enzymes in the NAc or CeA where we observed ethanol-induced reductions in 3α,5α-THP. Chronic intermittent ethanol, however, reduces 3α,5α-THP in the hippocampus with concomitant decreases in 5α-R type I and 3α-HSD mRNA (Cagetti et al, 2004). Therefore, ethanol may alter expression or activity of steroid biosynthetic enzymes and/or cholesterol transporters to produce divergent brain region-specific changes in 3α,5α-THP.
An alternative explanation for ethanol-induced reductions of cellular 3α,5α-THP in the NAc shore and the CeA is extra-neuronal redistribution of 3α,5α-THP. GABAergic neuroactive steroids have been proposed to act on GABAA receptors via lateral diffusion through the cell membrane to access the transmembrane-binding sites (Akk et al, 2007), or by a paracrine or autocrine mechanism (Herd et al, 2007). Although there is no direct evidence for active release of 3α,5α-THP, we cannot rule out the possibility that ethanol causes a redistribution of 3α,5α-THP into the extracellular space.
In the present study, we show for the first time in vivo that ethanol can change local brain levels of 3α,5α-THP independent of circulating steroids. Local changes in cellular 3α,5α-THP levels are divergent, brain region/cellular population-specific, and were only observed in subcortical regions. In the mPFC, ethanol's ability to increase 3α,5α-THP is dependent on the adrenals, perhaps due to a lack of local precursor availability. These findings illustrate the fact that ethanol dynamically regulates 3α,5α-THP concentrations with a high degree of anatomical specificity. Furthermore, the changes observed in 3α,5α-THP levels likely contribute to the neurophysiological and behavioral effects of ethanol in rats. Understanding the mechanisms by which ethanol alters local brain levels of 3α,5α-THP may lead to new therapeutic strategies for treating alcohol use disorders.
FUNDING AND DISCLOSURE
This work was supported by U01-AA016672 (ALM), T32-AA007573 and the UNC Bowles Center for Alcohol Studies. The authors declare no conflict of interest.
Acknowledgments
We would like to acknowledge Raechel E. McKinley and Zachary Poston for their contributions to this work. We would also like to thank Dr Joyce Besheer and Kristen Fisher for experimental advice and productive scientific discussions.
References
- Agis-Balboa RC, Graziano P, Zhubi A, Maloku E, Veldic M, Costa E, et al. Characterization of brain neurons that express enzymes mediating neurosteroid biosynthesis. Proc Natl Acad Sci USA. 2006;103:14602–14607. doi: 10.1073/pnas.0606544103. [DOI] [PMC free article] [PubMed] [Google Scholar]
- Akk G, Covey DF, Evers AS, Steinbach JH, Zorumski CF, Mennerick S. Mechanisms of neurosteroid interactions with GABA(A) receptors. Pharmacol Ther. 2007;116:35–57. doi: 10.1016/j.pharmthera.2007.03.004. [DOI] [PMC free article] [PubMed] [Google Scholar]
- Amaral DG, Scharfman HE, Lavenex P. The dentate gyrus: fundamental neuroanatomical organization (dentate gyrus for dummies) Prog Brain Res. 2007;163:3–22. doi: 10.1016/S0079-6123(07)63001-5. [DOI] [PMC free article] [PubMed] [Google Scholar]
- Armario A. Activation of the hypothalamic-pituitary-adrenal axis by addictive drugs: different pathways, common outcome. Trends Pharmacol Sci. 2010;31:318–325. doi: 10.1016/j.tips.2010.04.005. [DOI] [PubMed] [Google Scholar]
- Barbaccia ML, Affricano D, Trabucchi M, Purdy RH, Colombo G, Agabio R, et al. Ethanol markedly increases ‘GABAergic' neurosteroids in alcohol-preferring rats. Eur J Pharmacol. 1999;384:R1–R2. doi: 10.1016/s0014-2999(99)00678-0. [DOI] [PubMed] [Google Scholar]
- Boyd KN, Kumar S, O'Buckley TK, Porcu P, Morrow AL. Ethanol induction of steroidogenesis in rat adrenal and brain is dependent upon pituitary ACTH release and de novo adrenal StAR synthesis. J Neurochem. 2010;112:784–796. doi: 10.1111/j.1471-4159.2009.06509.x. [DOI] [PMC free article] [PubMed] [Google Scholar]
- Cagetti E, Pinna G, Guidotti A, Baicy K, Olsen RW. Chronic intermittent ethanol (CIE) administration in rats decreases levels of neurosteroids in hippocampus, accompanied by altered behavioral responses to neurosteroids and memory function. Neuropharmacology. 2004;46:570–579. doi: 10.1016/j.neuropharm.2003.10.001. [DOI] [PubMed] [Google Scholar]
- Cook JB, Dumitru AM, O'Buckley TK, Morrow AL. Ethanol administration produces divergent changes in GABAergic neuroactive steroid immunohistochemistry in the rat brain. Alcohol Clin Exp Res. 2014;38:90–99. doi: 10.1111/acer.12223. [DOI] [PMC free article] [PubMed] [Google Scholar]
- Cui C, Noronha A, Morikawa H, Alvarez VA, Stuber GD, Szumlinski KK, et al. New insights on neurobiological mechanisms underlying alcohol addiction. Neuropharmacology. 2012;67C:223–232. doi: 10.1016/j.neuropharm.2012.09.022. [DOI] [PMC free article] [PubMed] [Google Scholar]
- Dazzi L, Serra M, Seu E, Cherchi G, Pisu MG, Purdy RH, et al. Progesterone enhances ethanol-induced modulation of mesocortical dopamine neurons: antagonism by finasteride. J Neurochem. 2002;83:1103–1109. doi: 10.1046/j.1471-4159.2002.01218.x. [DOI] [PubMed] [Google Scholar]
- Follesa P, Biggio F, Talani G, Murru L, Serra M, Sanna E, et al. Neurosteroids, GABAA receptors, and ethanol dependence. Psychopharmacology. 2006;186:267–280. doi: 10.1007/s00213-005-0126-0. [DOI] [PubMed] [Google Scholar]
- Ford MM, Mark GP, Nickel JD, Phillips TJ, Finn DA. Allopregnanolone influences the consummatory processes that govern ethanol drinking in C57BL/6J mice. Behav Brain Res. 2007;179:265–272. doi: 10.1016/j.bbr.2007.02.028. [DOI] [PMC free article] [PubMed] [Google Scholar]
- Ford MM, Nickel JD, Phillips TJ, Finn DA. Neurosteroid modulators of GABAA receptors differentially modulate ethanol intake patterns in male C57BL/6J mice. Alcohol Clin Exp Res. 2005;29:1630–1640. doi: 10.1097/01.alc.0000179413.82308.6b. [DOI] [PMC free article] [PubMed] [Google Scholar]
- Gonzales RA, Job MO, Doyon WM. The role of mesolimbic dopamine in the development and maintenance of ethanol reinforcement. Pharmacol Ther. 2004;103:121–146. doi: 10.1016/j.pharmthera.2004.06.002. [DOI] [PubMed] [Google Scholar]
- Herd MB, Belelli D, Lambert JJ. Neurosteroid modulation of synaptic and extrasynaptic GABAA receptors. Pharmacol Ther. 2007;116:20–34. doi: 10.1016/j.pharmthera.2007.03.007. [DOI] [PubMed] [Google Scholar]
- Hirani K, Khisti RT, Chopde CT. Behavioral action of ethanol in Porsolt's forced swim test: modulation by 3α-hydroxy-5α-pregnan-20-one. Neuropharmacology. 2002;43:1339–1350. doi: 10.1016/s0028-3908(02)00330-1. [DOI] [PubMed] [Google Scholar]
- Hirani K, Sharma AN, Jain NS, Ugale RR, Chopde CT. Evaluation of GABAergic neuroactive steroid 3α-hydroxy-5α-pregnane-20-one as a neurobiological substrate for the anti-anxiety effect of ethanol in rats. Psychopharmacology. 2005;180:267–278. doi: 10.1007/s00213-005-2169-7. [DOI] [PubMed] [Google Scholar]
- Hosie AM, Wilkins ME, da Silva HM, Smart TG. Endogenous neurosteroids regulate GABAA receptors through two discrete transmembrane sites. Nature. 2006;444:486–489. doi: 10.1038/nature05324. [DOI] [PubMed] [Google Scholar]
- Janak PH, Michael Gill T. Comparison of the effects of allopregnanolone with direct GABAergic agonists on ethanol self-administration with and without concurrently available sucrose. Alcohol. 2003;30:1–7. doi: 10.1016/s0741-8329(03)00068-5. [DOI] [PubMed] [Google Scholar]
- Janak PH, Redfern JEM, Samson HH. The reinforcing effects of ethanol are altered by the endogenous neurosteroid, allopregnanolone. Alcohol Clin Exp Res. 1998;22:1106–1112. [PubMed] [Google Scholar]
- Khisti RT, VanDoren MJ, O'Buckley TK, Morrow AL. Neuroactive steroid 3α-hydroxy-5α-pregnan-20-one modulates ethanol-induced loss of righting reflex in rats. Brain Res. 2003;980:255–265. doi: 10.1016/s0006-8993(03)02978-0. [DOI] [PubMed] [Google Scholar]
- Kim HJ, Ha M, Park CH, Park SJ, Youn SM, Kang SS, et al. StAR and steroidogenic enzyme transcriptional regulation in the rat brain: effects of acute alcohol administration. Mol Brain Res. 2003;115:39–49. doi: 10.1016/s0169-328x(03)00177-3. [DOI] [PubMed] [Google Scholar]
- Koob GF. Theoretical frameworks and mechanistic aspects of alcohol addiction: alcohol addiction as a reward deficit disorder. Curr Top Behav Neurosci. 2013;13:3–30. doi: 10.1007/7854_2011_129. [DOI] [PMC free article] [PubMed] [Google Scholar]
- Marx CE, Stevens RD, Shampine LJ, Uzunova V, Trost WT, Butterfield MI, et al. Neuroactive steroids are altered in schizophrenia and bipolar disorder: relevance to pathophysiology and therapeutics. Neuropsychopharmacology. 2006;31:1249–1263. doi: 10.1038/sj.npp.1300952. [DOI] [PubMed] [Google Scholar]
- McBride WJ. Central nucleus of the amygdala and the effects of alcohol and alcohol-drinking behavior in rodents. Pharmacol Biochem Behav. 2002;71:509–515. doi: 10.1016/s0091-3057(01)00680-3. [DOI] [PubMed] [Google Scholar]
- Morrow AL. Recent developments in the significance and therapeutic relevance of neuroactive steroids - Introduction to the special issue. Pharmacol Ther. 2007;116:1–6. doi: 10.1016/j.pharmthera.2007.04.003. [DOI] [PMC free article] [PubMed] [Google Scholar]
- Morrow AL, Suzdak PD, Paul SM. Steroid hormone metabolites potentiate GABA receptor-mediated chloride ion flux with nanomolar potency. Eur J Pharmacol. 1987;142:483–485. doi: 10.1016/0014-2999(87)90094-x. [DOI] [PubMed] [Google Scholar]
- Morrow AL, VanDoren MJ, Penland SN, Matthews DB. The role of GABAergic neuroactive steroids in ethanol action, tolerance and dependence. Brain Res Brain Res Rev. 2001;37:98–109. doi: 10.1016/s0165-0173(01)00127-8. [DOI] [PubMed] [Google Scholar]
- Motzo C, Porceddu ML, Maira G, Flore G, Concas A, Dazzi L, et al. Inhibition of basal and stress-induced dopamine release in the cerebral cortex and nucleus accumbens of freely moving rats by the neurosteroid allopregnanolone. JPsychopharmacol. 1996;10:266–272. doi: 10.1177/026988119601000402. [DOI] [PubMed] [Google Scholar]
- O'Dell LE, Alomary AA, Vallee M, Koob GF, Fitzgerald RL, Purdy RH. Ethanol-induced increases in neuroactive steroids in the rat brain and plasma are absent in adrenalectomized and gonadectomized rats. Eur J Pharmacol. 2004;484:241–247. doi: 10.1016/j.ejphar.2003.11.031. [DOI] [PubMed] [Google Scholar]
- Owens MJ, Ritchie JC, Nemeroff CB. 5α-Pregnane-3α,21-diol-20-one (THDOC) attenuates mild stress-induced increases in plasma corticosterone via a non-glucocorticoid mechanism: comparison with alprazolam. Brain Res. 1992;573:353–355. doi: 10.1016/0006-8993(92)90788-b. [DOI] [PubMed] [Google Scholar]
- Patchev VK, Hassan AHS, Holsboer F, Almeida OFX. The neurosteroid tetrahydroprogesterone attenuates the endocrine response to stress and exerts glucocorticoid-like effects on vasopressin gene transcription in the rat hypothalamus. Neuropsychopharmacology. 1996;15:533–540. doi: 10.1016/S0893-133X(96)00096-6. [DOI] [PubMed] [Google Scholar]
- Patchev VK, Shoaib M, Holsboer F, Almeida OFX. The neurosteroid tetrahydroprogesterone counteracts corticotropin-releasing hormone-induced anxiety and alters the release and gene expression of corticotropin-releasing hormone in the rat hypothalamus. Neuroscience. 1994;62:265–271. doi: 10.1016/0306-4522(94)90330-1. [DOI] [PubMed] [Google Scholar]
- Paxinos G, Watson C. The Rat Brain. Academic Press: San Diego; 1998. [Google Scholar]
- Pierucci-Lagha A, Covault J, Feinn R, Nellissery M, Hernandez-Avila C, Oncken C, et al. GABRA2 alleles moderate the subjective effects of alcohol, which are attenuated by finasteride. Neuropsychopharmacology. 2005;30:1193–1203. doi: 10.1038/sj.npp.1300688. [DOI] [PubMed] [Google Scholar]
- Porcu P, O'Buckley TK, Alward SE, Marx CE, Shampine LJ, Girdler SS, et al. Simultaneous quantification of GABAergic 3α,5α/3α,5β neuroactive steroids in human and rat serum. Steroids. 2009;74:463–473. doi: 10.1016/j.steroids.2008.12.015. [DOI] [PMC free article] [PubMed] [Google Scholar]
- Porcu P, Sogliano C, Ibba C, Piredda M, Tocco S, Marra C, et al. Failure of γ-hydroxybutyric acid both to increase neuroactive steroid concentrations in adrenalectomized-orchiectomized rats and to induce tolerance to its steroidogenic effect in intact animals. Brain Res. 2004;1012:160–168. doi: 10.1016/j.brainres.2004.03.059. [DOI] [PubMed] [Google Scholar]
- Rasmusson AM, Pinna G, Paliwal P, Weisman D, Gottschalk C, Charney D, et al. Decreased cerebrospinal fluid allopregnanolone levels in women with posttraumatic stress disorder. Biol Psychiatry. 2006;60:704–713. doi: 10.1016/j.biopsych.2006.03.026. [DOI] [PubMed] [Google Scholar]
- Rivier C, Bruhn T, Vale W. Effect of ethanol on the hypothalamic-pituitary-adrenal axis in the rat: role of corticotropin-releasing factor (CRF) J Pharmacol Exp Ther. 1984;229:127–131. [PubMed] [Google Scholar]
- Rouge-Pont F, Mayo W, Marinelli M, Gingras M, Le Moal M, Piazza PV. The neurosteroid allopregnanolone increases dopamine release and dopaminergic response to morphine in the rat nucleus accumbens. Eur J Neurosci. 2002;16:169–173. doi: 10.1046/j.1460-9568.2002.02084.x. [DOI] [PubMed] [Google Scholar]
- Rupprecht R, Papadopoulos V, Rammes G, Baghai TC, Fan J, Akula N, et al. Translocator protein (18 kDa) (TSPO) as a therapeutic target for neurological and psychiatric disorders. Nat Rev Drug Discov. 2010;9:971–988. doi: 10.1038/nrd3295. [DOI] [PubMed] [Google Scholar]
- Saalmann YB, Kirkcaldie MT, Waldron S, Calford MB. Cellular distribution of the GABAA receptor-modulating 3alpha-hydroxy, 5alpha-reduced pregnane steroids in the adult rat brain. J Neuroendocrinol. 2007;19:272–284. doi: 10.1111/j.1365-2826.2006.01527.x. [DOI] [PubMed] [Google Scholar]
- Sanna E, Talani G, Busonero F, Pisu MG, Purdy RH, Serra M, et al. Brain steroidogenesis mediates ethanol modulation of GABAA receptor activity in rat hippocampus. J Neurosci. 2004;24:6521–6530. doi: 10.1523/JNEUROSCI.0075-04.2004. [DOI] [PMC free article] [PubMed] [Google Scholar]
- Sarkar J, Wakefield S, MacKenzie G, Moss SJ, Maguire J. Neurosteroidogenesis is required for the physiological response to stress: role of neurosteroid-sensitive GABAA receptors. J Neurosci. 2011;31:18198–18210. doi: 10.1523/JNEUROSCI.2560-11.2011. [DOI] [PMC free article] [PubMed] [Google Scholar]
- Strohle A, Romeo E, di Michele F, Pasini A, Yassouridis A, Holsboer F, et al. GABA(A) receptor-modulating neuroactive steroid composition in patients with panic disorder before and during paroxetine treatment. Am J Psychiatry. 2002;159:145–147. doi: 10.1176/appi.ajp.159.1.145. [DOI] [PubMed] [Google Scholar]
- Tokuda K, Izumi Y, Zorumski CF. Ethanol enhances neurosteroidogenesis in hippocampal pyramidal neurons by paradoxical NMDA receptor activation. J Neurosci. 2011;31:9905–9909. doi: 10.1523/JNEUROSCI.1660-11.2011. [DOI] [PMC free article] [PubMed] [Google Scholar]
- Tokunaga S, McDaniel JR, Morrow AL, Matthews DB. Effect of acute ethanol administration and acute allopregnanolone administration on spontaneous hippocampal pyramidal cell neural activity. Brain Res. 2003;967:273–280. doi: 10.1016/s0006-8993(02)04266-x. [DOI] [PubMed] [Google Scholar]
- Uzunova V, Sheline Y, Davis JM, Rasmusson A, Uzunov DP, Costa E, et al. Increase in the cerebrospinal fluid content of neurosteroids in patients with unipolar major depression who are receiving fluoxetine or fluvoxamine. Proc Natl Acad Sci USA. 1998;95:3239–3244. doi: 10.1073/pnas.95.6.3239. [DOI] [PMC free article] [PubMed] [Google Scholar]
- VanDoren MJ, Matthews DB, Janis GC, Grobin AC, Devaud LL, Morrow AL. Neuroactive steroid 3α-hydroxy-5α-pregnan-20-one modulates electrophysiological and behavioral actions of ethanol. J Neurosci. 2000;20:1982–1989. doi: 10.1523/JNEUROSCI.20-05-01982.2000. [DOI] [PMC free article] [PubMed] [Google Scholar]





