Abstract
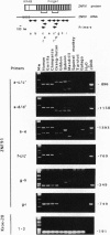
The ZNF91 gene family, a subset of the Krüppel-associated box (KRAB)-containing group of zinc finger genes, comprises more than 40 loci; most reside on human chromosome 19p12-p13.1. We have examined the emergence and evolutionary conservation of the ZNF91 family. ZNF91 family members were detected in all species of great apes, gibbons, Old World monkeys, and New World monkeys examined but were not found in prosimians or rodents. In each species containing the ZNF91 family, the genes were clustered at one major site, on the chromosome(s) syntenic to human chromosome 19. To identify a putative "founder" gene, > 20 murine KRAB-containing zinc finger protein (ZFP) cDNAs were randomly cloned, but none showed sequence similarity to the ZNF91 genes. These observations suggest that the ZNF91 gene cluster is a derived character specific to Anthropoidea, resulting from a duplication and amplification event some 55 million years ago in the common ancestor of simians. Although the ZNF91 gene cluster is present in all simian species, the sequences of the human ZNF91 gene that confer DNA-binding specificity were conserved only in great apes, suggesting that there is not a high selective pressure to maintain the DNA targets of these proteins during evolution.
Full text
PDF




Images in this article
Selected References
These references are in PubMed. This may not be the complete list of references from this article.
- Bellefroid E. J., Lecocq P. J., Benhida A., Poncelet D. A., Belayew A., Martial J. A. The human genome contains hundreds of genes coding for finger proteins of the Krüppel type. DNA. 1989 Jul-Aug;8(6):377–387. doi: 10.1089/dna.1.1989.8.377. [DOI] [PubMed] [Google Scholar]
- Bellefroid E. J., Marine J. C., Ried T., Lecocq P. J., Rivière M., Amemiya C., Poncelet D. A., Coulie P. G., de Jong P., Szpirer C. Clustered organization of homologous KRAB zinc-finger genes with enhanced expression in human T lymphoid cells. EMBO J. 1993 Apr;12(4):1363–1374. doi: 10.1002/j.1460-2075.1993.tb05781.x. [DOI] [PMC free article] [PubMed] [Google Scholar]
- Bellefroid E. J., Poncelet D. A., Lecocq P. J., Revelant O., Martial J. A. The evolutionarily conserved Krüppel-associated box domain defines a subfamily of eukaryotic multifingered proteins. Proc Natl Acad Sci U S A. 1991 May 1;88(9):3608–3612. doi: 10.1073/pnas.88.9.3608. [DOI] [PMC free article] [PubMed] [Google Scholar]
- Chirgwin J. M., Przybyla A. E., MacDonald R. J., Rutter W. J. Isolation of biologically active ribonucleic acid from sources enriched in ribonuclease. Biochemistry. 1979 Nov 27;18(24):5294–5299. doi: 10.1021/bi00591a005. [DOI] [PubMed] [Google Scholar]
- Collins C., Kuo W. L., Segraves R., Fuscoe J., Pinkel D., Gray J. W. Construction and characterization of plasmid libraries enriched in sequences from single human chromosomes. Genomics. 1991 Dec;11(4):997–1006. doi: 10.1016/0888-7543(91)90025-a. [DOI] [PubMed] [Google Scholar]
- Dutrillaux B. Chromosomal evolution in primates: tentative phylogeny from Microcebus murinus (Prosimian) to man. Hum Genet. 1979 May 10;48(3):251–314. doi: 10.1007/BF00272830. [DOI] [PubMed] [Google Scholar]
- Garriga G., Guenther C., Horvitz H. R. Migrations of the Caenorhabditis elegans HSNs are regulated by egl-43, a gene encoding two zinc finger proteins. Genes Dev. 1993 Nov;7(11):2097–2109. doi: 10.1101/gad.7.11.2097. [DOI] [PubMed] [Google Scholar]
- Harrison D. A., Gdula D. A., Coyne R. S., Corces V. G. A leucine zipper domain of the suppressor of Hairy-wing protein mediates its repressive effect on enhancer function. Genes Dev. 1993 Oct;7(10):1966–1978. doi: 10.1101/gad.7.10.1966. [DOI] [PubMed] [Google Scholar]
- Hoovers J. M., Mannens M., John R., Bliek J., van Heyningen V., Porteous D. J., Leschot N. J., Westerveld A., Little P. F. High-resolution localization of 69 potential human zinc finger protein genes: a number are clustered. Genomics. 1992 Feb;12(2):254–263. doi: 10.1016/0888-7543(92)90372-y. [DOI] [PubMed] [Google Scholar]
- Huebner K., Druck T., Croce C. M., Thiesen H. J. Twenty-seven nonoverlapping zinc finger cDNAs from human T cells map to nine different chromosomes with apparent clustering. Am J Hum Genet. 1991 Apr;48(4):726–740. [PMC free article] [PubMed] [Google Scholar]
- Ihle J. N., Smith-White B., Sisson B., Parker D., Blair D. G., Schultz A., Kozak C., Lunsford R. D., Askew D., Weinstein Y. Activation of the c-H-ras proto-oncogene by retrovirus insertion and chromosomal rearrangement in a Moloney leukemia virus-induced T-cell leukemia. J Virol. 1989 Jul;63(7):2959–2966. doi: 10.1128/jvi.63.7.2959-2966.1989. [DOI] [PMC free article] [PubMed] [Google Scholar]
- Jauch A., Wienberg J., Stanyon R., Arnold N., Tofanelli S., Ishida T., Cremer T. Reconstruction of genomic rearrangements in great apes and gibbons by chromosome painting. Proc Natl Acad Sci U S A. 1992 Sep 15;89(18):8611–8615. doi: 10.1073/pnas.89.18.8611. [DOI] [PMC free article] [PubMed] [Google Scholar]
- Joseph L. J., Le Beau M. M., Jamieson G. A., Jr, Acharya S., Shows T. B., Rowley J. D., Sukhatme V. P. Molecular cloning, sequencing, and mapping of EGR2, a human early growth response gene encoding a protein with "zinc-binding finger" structure. Proc Natl Acad Sci U S A. 1988 Oct;85(19):7164–7168. doi: 10.1073/pnas.85.19.7164. [DOI] [PMC free article] [PubMed] [Google Scholar]
- Kinzler K. W., Ruppert J. M., Bigner S. H., Vogelstein B. The GLI gene is a member of the Kruppel family of zinc finger proteins. Nature. 1988 Mar 24;332(6162):371–374. doi: 10.1038/332371a0. [DOI] [PubMed] [Google Scholar]
- Knöchel W., Pöting A., Köster M., el Baradi T., Nietfeld W., Bouwmeester T., Pieler T. Evolutionary conserved modules associated with zinc fingers in Xenopus laevis. Proc Natl Acad Sci U S A. 1989 Aug;86(16):6097–6100. doi: 10.1073/pnas.86.16.6097. [DOI] [PMC free article] [PubMed] [Google Scholar]
- Koehler U., Arnold N., Wienberg J., Tofanelli S., Stanyon R. Genomic reorganization and disrupted chromosomal synteny in the siamang (Hylobates syndactylus) revealed by fluorescence in situ hybridization. Am J Phys Anthropol. 1995 May;97(1):37–47. doi: 10.1002/ajpa.1330970104. [DOI] [PubMed] [Google Scholar]
- Kreidberg J. A., Sariola H., Loring J. M., Maeda M., Pelletier J., Housman D., Jaenisch R. WT-1 is required for early kidney development. Cell. 1993 Aug 27;74(4):679–691. doi: 10.1016/0092-8674(93)90515-r. [DOI] [PubMed] [Google Scholar]
- Kreider B. L., Orkin S. H., Ihle J. N. Loss of erythropoietin responsiveness in erythroid progenitors due to expression of the Evi-1 myeloid-transforming gene. Proc Natl Acad Sci U S A. 1993 Jul 15;90(14):6454–6458. doi: 10.1073/pnas.90.14.6454. [DOI] [PMC free article] [PubMed] [Google Scholar]
- Lichter P., Bray P., Ried T., Dawid I. B., Ward D. C. Clustering of C2-H2 zinc finger motif sequences within telomeric and fragile site regions of human chromosomes. Genomics. 1992 Aug;13(4):999–1007. doi: 10.1016/0888-7543(92)90013-i. [DOI] [PubMed] [Google Scholar]
- Lichter P., Tang C. J., Call K., Hermanson G., Evans G. A., Housman D., Ward D. C. High-resolution mapping of human chromosome 11 by in situ hybridization with cosmid clones. Science. 1990 Jan 5;247(4938):64–69. doi: 10.1126/science.2294592. [DOI] [PubMed] [Google Scholar]
- Morishita K., Parker D. S., Mucenski M. L., Jenkins N. A., Copeland N. G., Ihle J. N. Retroviral activation of a novel gene encoding a zinc finger protein in IL-3-dependent myeloid leukemia cell lines. Cell. 1988 Sep 9;54(6):831–840. doi: 10.1016/s0092-8674(88)91175-0. [DOI] [PubMed] [Google Scholar]
- Nietfeld W., Conrad S., van Wijk I., Giltay R., Bouwmeester T., Knöchel W., Pieler T. Evidence for a clustered genomic organization of FAX-zinc finger protein encoding transcription units in Xenopus laevis. J Mol Biol. 1993 Mar 20;230(2):400–412. doi: 10.1006/jmbi.1993.1158. [DOI] [PubMed] [Google Scholar]
- Numoto M., Niwa O., Kaplan J., Wong K. K., Merrell K., Kamiya K., Yanagihara K., Calame K. Transcriptional repressor ZF5 identifies a new conserved domain in zinc finger proteins. Nucleic Acids Res. 1993 Aug 11;21(16):3767–3775. doi: 10.1093/nar/21.16.3767. [DOI] [PMC free article] [PubMed] [Google Scholar]
- Numoto M., Niwa O., Kaplan J., Wong K. K., Merrell K., Kamiya K., Yanagihara K., Calame K. Transcriptional repressor ZF5 identifies a new conserved domain in zinc finger proteins. Nucleic Acids Res. 1993 Aug 11;21(16):3767–3775. doi: 10.1093/nar/21.16.3767. [DOI] [PMC free article] [PubMed] [Google Scholar]
- Pendleton J. W., Nagai B. K., Murtha M. T., Ruddle F. H. Expansion of the Hox gene family and the evolution of chordates. Proc Natl Acad Sci U S A. 1993 Jul 1;90(13):6300–6304. doi: 10.1073/pnas.90.13.6300. [DOI] [PMC free article] [PubMed] [Google Scholar]
- Pieler T., Bellefroid E. Perspectives on zinc finger protein function and evolution--an update. Mol Biol Rep. 1994 Jul;20(1):1–8. doi: 10.1007/BF00999848. [DOI] [PubMed] [Google Scholar]
- Reuter G., Giarre M., Farah J., Gausz J., Spierer A., Spierer P. Dependence of position-effect variegation in Drosophila on dose of a gene encoding an unusual zinc-finger protein. Nature. 1990 Mar 15;344(6263):219–223. doi: 10.1038/344219a0. [DOI] [PubMed] [Google Scholar]
- Rosati M., Marino M., Franzè A., Tramontano A., Grimaldi G. Members of the zinc finger protein gene family sharing a conserved N-terminal module. Nucleic Acids Res. 1991 Oct 25;19(20):5661–5667. doi: 10.1093/nar/19.20.5661. [DOI] [PMC free article] [PubMed] [Google Scholar]
- Rousseau-Merck M. F., Tunnacliffe A., Berger R., Ponder B. A., Thiesen H. J. A cluster of expressed zinc finger protein genes in the pericentromeric region of human chromosome 10. Genomics. 1992 Jul;13(3):845–848. doi: 10.1016/0888-7543(92)90166-p. [DOI] [PubMed] [Google Scholar]
- Sakoyama Y., Hong K. J., Byun S. M., Hisajima H., Ueda S., Yaoita Y., Hayashida H., Miyata T., Honjo T. Nucleotide sequences of immunoglobulin epsilon genes of chimpanzee and orangutan: DNA molecular clock and hominoid evolution. Proc Natl Acad Sci U S A. 1987 Feb;84(4):1080–1084. doi: 10.1073/pnas.84.4.1080. [DOI] [PMC free article] [PubMed] [Google Scholar]
- Schimmang T., Lemaistre M., Vortkamp A., Rüther U. Expression of the zinc finger gene Gli3 is affected in the morphogenetic mouse mutant extra-toes (Xt). Development. 1992 Nov;116(3):799–804. doi: 10.1242/dev.116.3.799. [DOI] [PubMed] [Google Scholar]
- Schneider-Maunoury S., Topilko P., Seitandou T., Levi G., Cohen-Tannoudji M., Pournin S., Babinet C., Charnay P. Disruption of Krox-20 results in alteration of rhombomeres 3 and 5 in the developing hindbrain. Cell. 1993 Dec 17;75(6):1199–1214. doi: 10.1016/0092-8674(93)90329-o. [DOI] [PubMed] [Google Scholar]
- Schuh R., Aicher W., Gaul U., Côté S., Preiss A., Maier D., Seifert E., Nauber U., Schröder C., Kemler R. A conserved family of nuclear proteins containing structural elements of the finger protein encoded by Krüppel, a Drosophila segmentation gene. Cell. 1986 Dec 26;47(6):1025–1032. doi: 10.1016/0092-8674(86)90817-2. [DOI] [PubMed] [Google Scholar]
- Schäfer U., Rausch O., Bouwmeester T., Pieler T. Sequence-specific recognition of a repetitive DNA element by a C2H2 zinc-finger protein in Xenopus. Eur J Biochem. 1994 Dec 1;226(2):567–576. doi: 10.1111/j.1432-1033.1994.tb20082.x. [DOI] [PubMed] [Google Scholar]
- Sommer R. J., Retzlaff M., Goerlich K., Sander K., Tautz D. Evolutionary conservation pattern of zinc-finger domains of Drosophila segmentation genes. Proc Natl Acad Sci U S A. 1992 Nov 15;89(22):10782–10786. doi: 10.1073/pnas.89.22.10782. [DOI] [PMC free article] [PubMed] [Google Scholar]
- Wimmer E. A., Jäckle H., Pfeifle C., Cohen S. M. A Drosophila homologue of human Sp1 is a head-specific segmentation gene. Nature. 1993 Dec 16;366(6456):690–694. doi: 10.1038/366690a0. [DOI] [PubMed] [Google Scholar]
- Wimmer E. A., Jäckle H., Pfeifle C., Cohen S. M. A Drosophila homologue of human Sp1 is a head-specific segmentation gene. Nature. 1993 Dec 16;366(6456):690–694. doi: 10.1038/366690a0. [DOI] [PubMed] [Google Scholar]
- Zarkower D., Hodgkin J. Molecular analysis of the C. elegans sex-determining gene tra-1: a gene encoding two zinc finger proteins. Cell. 1992 Jul 24;70(2):237–249. doi: 10.1016/0092-8674(92)90099-x. [DOI] [PubMed] [Google Scholar]



