Abstract
IMPORTANCE
Acquired neuromyotonia is increasingly recognized as an autoimmune disorder, frequently associated with antibodies against voltage-gated potassium channel complex proteins. We present a case of acquired neuromyotonia as the heralding symptom of recurrent thymoma in a patient with myasthenia gravis.
OBSERVATIONS
A report of a single case of a 53-year-old man with myasthenia gravis and a prior thymectomy presenting with 2 months of diffuse, involuntary muscle twitching in the absence of myasthenic symptoms, electrophysiologically confirmed to be neuromyotonia. Further evaluation revealed the recurrence of malignant thymoma, accompanied by refractory arrhythmia. Serologic and cerebrospinal fluid testing confirmed the presence of antibodies directed against 2 voltage-gated potassium channel–associated proteins: LGI1 and Caspr2.
CONCLUSIONS AND RELEVANCE
This case highlights the overlap of myasthenia, neuromyotonia, and thymoma, emphasizing the importance of appropriate tumor screening in the presence of either of the former 2 conditions.
Acquired neuromyotonia, Isaacs syndrome, is a form of peripheral nerve hyperexcitability that was first described by Hyam Isaacs in the 1960s.1,2 Patients develop fasciculations, cramps, and stiffness on the basis of abnormal spontaneous electrical activity originating from motor nerve axons. A needle electromyogram may show myokymic discharges, fasciculation potentials, and neuromyotonic discharges. Positive sensory phenomena, peripheral neuropathy, or encephalitis may occur in some patients. The response of some patients to plasmapheresis and the co-occurrence of myasthenia gravis (MG) in other patients provided an important clue to the autoimmune nature of the disorder.3 Antibodies initially attributed to voltage-gated potassium channels (VGKCs) were subsequently detected in some patients.4 These antibodies are directed against LGI1, Caspr2, and other unknown proteins that form a complex with VGKCs.5 Those patients with antibodies that target the VGKC-associated protein Caspr2 have been particularly associated with acquired neuromyotonia in the setting of MG and/or thymoma.6,7
Herein, we present the case of a patient with MG previously treated for thymoma who presented with acquired neuromyotonia in the setting of recurrent thymoma. This case illustrates the characteristic clinical and electrodiagnostic findings of this disorder, as well as its complex diagnostic and management challenges.
Report of a Case
A 53-year-old man with MG who previously underwent a thymectomy presented with 2 months of muscle twitching and weight loss. He initially received a diagnosis of MG 6 years previously, when presenting with fatigable ptosis and diplopia. The diagnosis was confirmed by an electromyogram and positive striational antibody test results. Three months after his clinical presentation, he was found to have a stage II malignant thymoma and underwent resection followed by radiation therapy. His MG had been well controlled with mycophenolate mofetil and pyridostigmine bromide for many years. Two months prior to hospital admission, he experienced the unintentional weight loss of 9 kg (20 lb), low back and bilateral hip pain, and dysesthesias in his hands and feet. He subsequently developed diffuse arthralgia and muscle twitching beginning in his legs and spreading to his arms within 1 week. The twitches were not large enough to move his limbs, but they were bothersome and not suppressible.
He presented to his outpatient neurologist with these complaints 1 month prior to hospital admission. Magnetic resonance imaging of his brain revealed only mild, nonspecific white matter disease. A laboratory workup at that time included the following results: negative for Lyme disease, anti-nuclear antibodies, and rheumatoid factor titers; a normal erythrocyte sedimentation rate; and minimally elevated creatinine kinase level (Table). Trials of oral steroids and gabapentin were ineffective. Mycophenolate mofetil was discontinued empirically; however, his symptoms persisted. During his outpatient workup, he noted intermittent episodes of dizziness and tinnitus lasting for seconds at a time. He had a 2-minute–long isolated episode of mild confusion 10 days prior to hospital admission.
Table.
Summary of Notable Laboratory Findings
| Test | Value | Normal Range |
|---|---|---|
| Outpatient evaluation | ||
| CK, U/L | 442 | 49–397 |
| ESR, mm/h | <15 | 0–15 |
| Inpatient evaluation | ||
| CK, U/L | 1712 | 49–397 |
| CK-MB fraction, ng/mL | 16.6 | 0–5.0 |
| Aldolase, U/L | 13.5 | 1.5–8.1 |
| ESR, mm/h | 25 | 0–15 |
| HbA1C, % | 6.3 | 4.0–5.6 |
| ANA, titer | 1:160 | |
| Anti-dsDNA, IU/mL | 59 | 0–29 |
| C3 complement, μg/dL | 2060 | 880–2010 |
| CSF protein, g/dL | 0.022 | 0.015–0.045 |
| CSF glucose, mg/dL | 70 | 40–70 |
| CSF RBC count (tubes 1; 4), ×106/μL | 140; 73 | |
| LGI1 antibodies (serum), titer | 1:6400 | |
| LGI1 antibodies (CSF), titer | 1:640 | |
| Caspr2 antibodies (serum), titer | 1:200 | |
| Caspr2 antibodies (CSF), titer | Negative | |
Abbreviations: ANA, antinuclear antibody; CK, creatinine kinase; CSF, cerebrospinal fluid; dsDNA, double-stranded DNA; ESR, erythrocyte sedimentation rate; HbA1C, hemoglobin A1C; RBC, red blood cell.
SI conversion factor: To convert CK to microkatal per liter, multiply by 0.0167; to convert CK-MB fraction to micrograms per liter, multiply by 1.0; to convert HbA1C proportion of total Hb, multiply by 0.01; to convert C3 complement to grams per liter, multiply by 0.001; to convert protein to grams per liter, multiply by 10.0; to convert glucose to millimoles per liter, multiply by 0.555; and to convert RBC count to ×1012/L, multiply by 1.0.
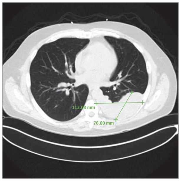
He presented to the emergency department at our institution for palpitations and chest pain. His initial workup was notable for sinus tachycardia with a heart rate of approximately 180 beats per minute with negative troponin levels but markedly elevated creatinine kinase and creatinine kinase–MB fraction levels. He was given aspirin, clopidogrel bi-sulfate, and intravenous heparin sodium and admitted to the cardiology service. The results of serial testing for troponins were negative, and his abnormal test results were attributed to tachycardia-induced demand ischemia. The results of an exercise stress test and an echocardiogram were unrevealing. Computed tomography of his chest revealed a large, pleural-based mass of soft tissue (Figure). The cardiology team noted diffuse muscle twitching in the patient’s limbs and consulted neurology.
Figure. Computed Tomographic Scan of the Chest Revealing Recurrent Thymoma.
A 12 × 4.5 × 17-cm lobulated mass of soft tissue is revealed in the dependent aspect of the left hemithorax, abutting the pleura. A biopsy confirmed the mass to be recurrent thymoma.
His initial neurological examination was notable for intact mental status and cranial nerve function without evidence of bulbar symptoms, for hypertrophy of the bilateral gastrocnemii, and for diffuse myokymia of the limbs (Video 1), trunk, and face that persisted during sleep. He had euvolemic hyponatremia, consistent with the syndrome of inappropriate antidiuretic hormone. He continued to have transient tachycardia, as well as constipation and urinary hesitancy, suggesting dysautonomia.
Additional laboratory workup was unrevealing. A cerebrospinal fluid examination demonstrated normal leukocyte, protein, and glucose levels, with negative cytology results. Routine electroencephalography showed no epileptiform discharges and no electroencephalographic correlate for the muscle twitches noted throughout the examination. A needle electromyogram showed widespread fasciculations, doublets, triplets, and myokymic discharges (Video 2).
A biopsy of the pleural-based mass showed thymoma, World Health Organization type B1/B2, with minimal invasion into adjacent tissue without pericardial involvement. Following the biopsy, the patient was treated for 5 days with high-dose methylprednisolone acetate and intravenous immunoglobulin, followed by an extended prednisone taper. For his symptomatic myokymia, lacosamide, magnesium sulfate, and phenytoin sodium were tried but were ineffective. Mexiletine hydrochloride and quinine dihydrochloride were rejected given his cardiac instability and MG.
The oncology service was consulted and initiated chemotherapy with cisplatin, cyclophosphamide, and doxorubicin hydrochloride. His hospital course was complicated by worsening hyponatremia despite fluid restriction, consistent with pseudohyponatremia due to intravenous immunoglobulin. His continued intermittent sinus tachycardia led to an uptitration of β-blockers, repeated negative serial troponin levels, and an unremarkable cardiac catheterization. The patient had no evidence of myasthenic symptoms throughout his hospitalization, with consistent measurements of vital capacity greater than 5 L and a negative inspiratory force greater than 40 cm of water.
Following hospital discharge of the patient, testing demonstrated antibodies to 2 potassium-channel associated proteins: leucine-rich, glioma-inactivated 1 (LGI1) in serum and cerebrospinal fluid (in a 1:6400 and 1:640 titer, respectively) and contactin-associated protein-like 2 (Caspr2) in serum (in a 1:200 titer) but not in cerebrospinal fluid. He experienced a dramatic improvement in both myokymia and radiographic tumor burden after the first 2 cycles of chemotherapy; however, his computed tomographic chest scan after 6 cycles revealed a slight increase in the size of his thymoma. He underwent a left-sided thoracotomy with tumor resection, radical pleurectomy, and intraoperative photodynamic therapy 6 months after his initial outpatient presentation.
His recovery was complicated by postoperative ventilator-dependent respiratory failure, which required that he undergo a tracheostomy. His bedside pulmonary function test results at that time were indicative of neuromuscular weakness, attributed to a myasthenic crisis. He continued to have sinus tachycardia and cardioversion-refractory atrial fibrillation that resolved with amiodarone hydrochloride and additional β-blockade. His postoperative course was further complicated by ventilator-associated pneumonia, severe sepsis, and multiple acute venous thromboses. He was discharged from the hospital to a long-term acute-care facility 1 month after a thoracotomy, and he was discharged from there to his home 2 weeks later. His 3-month follow-up computed tomographic scan showed no evidence of recurrent thymoma or metastasis, and he has returned to work.
Discussion
This case highlights several important aspects of managing patients with acquired neuromyotonia. There is an association with thymoma similar to that seen in MG, and screening for thymoma should be a routine part of the diagnostic evaluation.8 Myasthenia gravis may also occur in these patients before, during, or after the neuromyotonia.3 In patients with both disorders, the combination of bulbar weakness with diffuse fasciculations may mimic motor neuron disease, but it has a much better prognosis.7,9 Treatment with phenytoin, carbamazepine, or gabapentin has provided symptomatic relief in some patients.10,11 However, some patients do not respond to this type of treatment, and immunotherapy with plasmapheresis, intravenous immunoglobulin, or steroids may be beneficial.3,12 In the present case, chemotherapy for malignant thymoma had the greatest effect.
Some patients with acquired neuromyotonia or Morvan syndrome have antibodies to the VGKC complex. The VGKC-complex antibodies do not target potassium channel subunits, per se, but often target LGI1 or Caspr2. Although there is growing recognition that LGI1 IgG and Caspr2 IgG are associated with diverse neurologic presentations, even at low titers,13 LGI1 antibodies are often associated with seizures and cognitive impairment, consistent with their localization at central nervous system synapses. Caspr2 organizes VGKCs on both central nervous system and peripheral nervous system axons,14 and patients with Caspr2 antibodies may have encephalitis and/or acquired neuromyotonia.6,7 It is likely that Caspr2 antibodies cause disease by disrupting the VGKC complex on central nervous system and/or peripheral nervous system axons, but the pathogenic mechanisms have not been proven. Caspr2 antibodies may also be associated with MG and/or thymoma, and have recently been shown to be associated with diverse pain syndromes.15 Arrhythmia is also a recognized complication of Morvan syndrome15,16 and may explain our patient’s refractory tachycardia and atrial fibrillation.
In summary, acquired neuromyotonia is an autoimmune disorder that should be recognized clinically and diagnosed using specific autoantibody tests. Patients with this disorder should be appropriately screened for tumors and should receive prompt treatment. The overlap among thymoma, MG, and acquired neuromyotonia should result in vigilance on the part of physicians for detecting 2 of these disorders in patients who received a diagnosis of the other.
Supplementary Material
Acknowledgments
Funding/Support: This work is supported in part by grants to Dr Fleisher from the National Institutes of Health (grants RO1NS077851 and RO1MH094741), Fundació la Marató de TV3, and Fundo de Investigaciones Sanitarias, Madrid, Spain (grant PI11/01780).
Footnotes
Conflict of Interest Disclosures: Dr Fleisher was supported by the National Institutes of Health (grant T32-NS-061779). Dr Dalmau received a research grant from Euroimmun. He receives royalties from the editorial board of Up-To-Date and from patents for the use of Ma2 and NMDA receptor as autoantibody tests. Dr Lancaster was supported by the National Institutes of Health (grant K08 NS075142-01A1) and a grant from the Dana Foundation. No other disclosures are reported.
Contributor Information
Jori Fleisher, Department of Neurology, University of Pennsylvania School of Medicine, Philadelphia.
Megan Richie, Department of Neurology, University of Pennsylvania School of Medicine, Philadelphia.
Raymond Price, Department of Neurology, University of Pennsylvania School of Medicine, Philadelphia.
Steven Scherer, Department of Neurology, University of Pennsylvania School of Medicine, Philadelphia.
Josep Dalmau, Department of Neurology, University of Pennsylvania School of Medicine, Philadelphia. Institució Catalana de Recerca i Estudis Avançats–Institut d’Investigacions Biomediques August Pi i Sunyer, Hospital Clinic, University of Barcelona, Spain.
Eric Lancaster, Department of Neurology, University of Pennsylvania School of Medicine, Philadelphia.
References
- 1.Isaacs H. A Syndrome of Continuous Muscle-Fibre Activity. J Neurol Neurosurg Psychiatry. 1961;24(4):319–325. doi: 10.1136/jnnp.24.4.319. [DOI] [PMC free article] [PubMed] [Google Scholar]
- 2.Isaacs H. Continuous muscle fibre activity in an Indian male with additional evidence of terminal motor fibre abnormality. J Neurol Neurosurg Psychiatry. 1967;30(2):126–133. doi: 10.1136/jnnp.30.2.126. [DOI] [PMC free article] [PubMed] [Google Scholar]
- 3.Sinha S, Newsom-Davis J, Mills K, Byrne N, Lang B, Vincent A. Autoimmune aetiology for acquired neuromyotonia (Isaacs’ syndrome) Lancet. 1991;338(8759):75–77. doi: 10.1016/0140-6736(91)90073-x. [DOI] [PubMed] [Google Scholar]
- 4.Hart IK, Waters C, Vincent A, et al. Autoantibodies detected to expressed K+ channels are implicated in neuromyotonia. Ann Neurol. 1997;41(2):238–246. doi: 10.1002/ana.410410215. [DOI] [PubMed] [Google Scholar]
- 5.Lai M, Huijbers MG, Lancaster E, et al. Investigation of LGI1 as the antigen in limbic encephalitis previously attributed to potassium channels: a case series. Lancet Neurol. 2010;9(8):776–785. doi: 10.1016/S1474-4422(10)70137-X. [DOI] [PMC free article] [PubMed] [Google Scholar]
- 6.Irani SR, Alexander S, Waters P, et al. Antibodies to Kv1 potassium channel-complex proteins leucine-rich, glioma inactivated 1 protein and contactin-associated protein-2 in limbic encephalitis, Morvan’s syndrome and acquired neuromyotonia. Brain. 2010;133(9):2734–2748. doi: 10.1093/brain/awq213. [DOI] [PMC free article] [PubMed] [Google Scholar]
- 7.Lancaster E, Huijbers MG, Bar V, et al. Investigations of caspr2, an autoantigen of encephalitis and neuromyotonia. Ann Neurol. 2011;69(2):303–311. doi: 10.1002/ana.22297. [DOI] [PMC free article] [PubMed] [Google Scholar]
- 8.Hart IK, Maddison P, Newsom-Davis J, Vincent A, Mills KR. Phenotypic variants of autoimmune peripheral nerve hyperexcitability. Brain. 2002;125(pt 8):1887–1895. doi: 10.1093/brain/awf178. [DOI] [PubMed] [Google Scholar]
- 9.Díaz-Manera J, Rojas-García R, Gallardo E, et al. Antibodies to AChR, MuSK and VGKC in a patient with myasthenia gravis and Morvan’s syndrome. Nat Clin Pract Neurol. 2007;3(7):405–410. doi: 10.1038/ncpneuro0526. [DOI] [PubMed] [Google Scholar]
- 10.Skeie GO, Apostolski S, Evoli A, et al. European Federation of Neurological Societies. Guidelines for treatment of autoimmune neuromuscular transmission disorders. Eur J Neurol. 2010;17(7):893–902. doi: 10.1111/j.1468-1331.2010.03019.x. [DOI] [PubMed] [Google Scholar]
- 11.Dhand UK. Isaacs’ syndrome: clinical and electrophysiological response to gabapentin. Muscle Nerve. 2006;34(5):646–650. doi: 10.1002/mus.20591. [DOI] [PubMed] [Google Scholar]
- 12.Alessi G, De Reuck J, De Bleecker J, Vancayzeele S. Successful immunoglobulin treatment in a patient with neuromyotonia. Clin Neurol Neurosurg. 2000;102(3):173–175. doi: 10.1016/s0303-8467(00)00093-7. [DOI] [PubMed] [Google Scholar]
- 13.Klein CJ, Lennon VA, Aston PA, et al. Insights from LGI1 and CASPR2 potassium channel complex autoantibody subtyping. JAMA Neurol. 2013;70(2):229–234. doi: 10.1001/jamaneurol.2013.592. [DOI] [PMC free article] [PubMed] [Google Scholar]
- 14.Poliak S, Salomon D, Elhanany H, et al. Juxtaparanodal clustering of Shaker-like K+ channels in myelinated axons depends on Caspr2 and TAG-1. J Cell Biol. 2003;162(6):1149–1160. doi: 10.1083/jcb.200305018. [DOI] [PMC free article] [PubMed] [Google Scholar]
- 15.Klein CJ, Lennon VA, Aston PA, McKeon A, Pittock SJ. Chronic pain as a manifestation of potassium channel-complex autoimmunity. Neurology. 2012;79(11):1136–1144. doi: 10.1212/WNL.0b013e3182698cab. [DOI] [PMC free article] [PubMed] [Google Scholar]
- 16.Misawa T, Mizusawa H. Anti-VGKC antibody-associated limbic encephalitis/Morvan syndrome [in Japanese] Brain Nerve. 2010;62(4):339–345. [PubMed] [Google Scholar]
Associated Data
This section collects any data citations, data availability statements, or supplementary materials included in this article.

