Patients with grade IV or V renal injury frequently have associated visceral injuries that can limit options such as open surgical repair or anticoagulation.1 The use of endovascular stents to treat trauma-induced renal artery thrombosis and intimal damage appears promising.2,3 However, data verifying the effectiveness of the treatment is lacking. We present a case of acute renal artery revascularization after trauma with subsequent stent thrombosis. Our case illustrates the failure of stent therapy when anticoagulation is not possible.
CASE REPORT
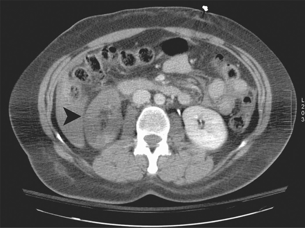
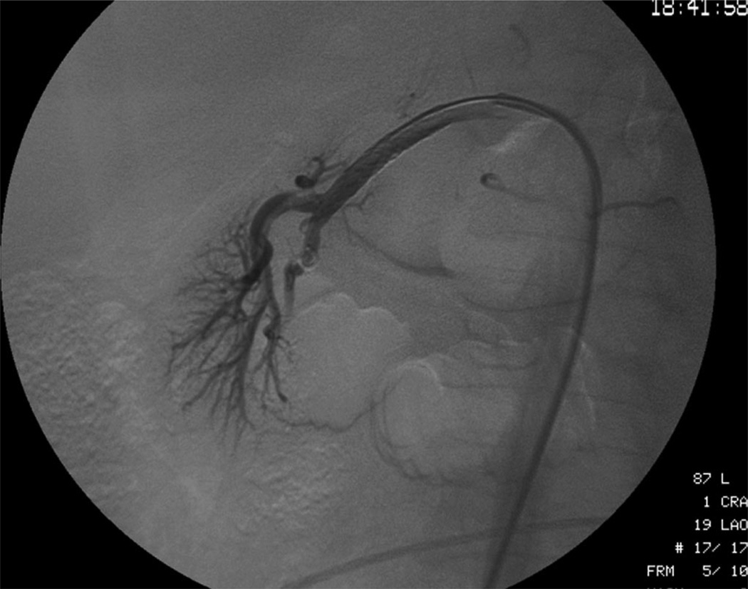
A 43-year-old female motorcyclist sustained blunt trauma and presented with abdominal, chest, and extremity pain. Physical examination was significant for an acutely tender abdomen. Serum chemistries and hematocrit were within normal limits. Gross blood was not present on Foley catheter insertion, but urinalysis revealed microscopic hematuria. A computed tomography scan showed the right kidney was nonperfused; indicating a grade V injury (Fig. 1). No perinephric hemorrhage or retroperitoneal fluid was noted. In addition, a grade IV liver injury and a grade I splenic laceration were present. After consultation between the urology, trauma, and interventional radiology service, a laparotomy was deemed inadvisable because of the likelihood of massive liver bleeding. A diagnostic angiography, however, showed no active extravasation from the liver and an abrupt cut off of the injured right renal artery (Fig. 2). A hydrophilic guidewire was used to cross the thrombosed vessel. Two overlapping Cordis Genesis PG244B stents (Johnson and Johnson, Warren, N.J.) were deployed on a high-pressure angioplasty balloon. Repeat angiography revealed restored blood flow to the kidney with no residual intraluminal defect (Figs. 3 and 4). The hepatic and splenic injuries were managed nonoperatively. Given this concomitant trauma, no anticoagulation or antiplatelet therapy was initiated after stent placement. On postoperative day three, the patient’s serum creatinine doubled. Renal ultrasound demonstrated an absence of flow to the right renal artery. The patient’s creatinine peaked at 2.8 and later normalized to 1.2. A 1-month follow-up computed tomography scan and lasix MAG-3 renal scan, respectively, showed patchy contrast uptake and 5% relative function in the stented kidney.
Fig. 1.
Computed tomography scan showing a perfused left kidney and a nonperfused right kidney (arrow).
Fig. 2.
Angiography of the renal arteries verifying occlusion of flow through the right renal artery (arrow).
Fig. 3.
Angiography of right renal artery after stent deployment showing flow.
Fig. 4.
Delayed angiography of right renal artery after stent deployment showing stent (arrows).
DISCUSSION
Patients with renal pedicle injury experience complicated hospital courses, renal loss, and death.4 In traumatic renal vasculature injury, patients often have associated visceral injuries that preclude open surgical repair or anticoagulation. Open efforts to revascularize the kidney seldom have successful outcomes.2,5,6 Traditionally, main renal artery injuries in grade V renal trauma are associated success rates of 0% to 25% after attempted salvage.2,4,6
Endovascular stenting in the setting of renal artery injury has shown promise as an alternative to open surgery.2,3 Although this patient’s presentation to the hospital was within the 6 hour time frame for successful open revascularization surgery, we used an endovascular approach because the concurrent severe liver injury would increase the risk of massive hemorrhage during open surgery. The liver injury also prohibited anticoagulation after stent placement. To our knowledge, we are reporting only the second case of renal artery stent thombosis in the trauma setting.7 Long et al. reported a series of four patients who underwent endovascular revascularization of renal trauma. Two patients died from associated lesions and two had a nonfunctioning kidney (one stent thrombosis and one nonfunctioning kidney despite a patent renal artery).7 It was unclear whether anticoagulation therapy was used in this series. Goodman et al. reported successfully stenting a traumatic renal artery intimal tear and anticoagulating the patient with therapeutic levels of heparin, and later coumadin, for 2 months. The stented kidney had near normal function 9 months postoperatively.3 Inoue et al. also successfully stented a left renal artery dissection after blunt trauma. They concurrently embolized a left hepatic artery injury. After the procedure, no active extravasation was seen, and the patient received 10,000 IU heparin daily for 48 hours, and subsequently cilostazol and aspirin for 3 months. They encountered no further bleeding and stent patency was verified postoperative day 11 with technetium-99 scan.8 Villas et al. reported treatment of renal dissection by stenting. Although their patient did well until discharge, no follow-up imaging or serum creatinine were reported. Their case report did not address the use of antiplatelet or anticoagulant therapy. Lee and White reported successful endovascular stent management of intimal flap injuries from blunt trauma.2 Their patient had concurrent frontal contusions and maxillofacial trauma that precluded surgical revascularization. They did not use postoperative anticoagulation and reported normal follow-up creatinine and renal scan. The preceding cases involved either the right or left renal artery and all had angiographic evidence of dissection or thrombosis. The cases all differed in their use of anticoagulation and antiplatelet therapy. In summary, stent failure likely did not occur if patients were anticoagulated.
Stent patency may be achieved without anticoagulation or antiplatelet therapy.2 This current report provides evidence that endovascular renal artery stents placed for trauma can thrombose when not anticoagulated, resulting in kidney loss. We were unable to find reports of renal stent thrombosis while on antiplatelet or ancoagulant therapy. In addition, reports of hemorrhage after anticoagulation and antiplatelet therapy after stent use could not be found. The utilization of anticoagulation therapy in the critically injured patient is currently the subject of active debate in the literature.
In our patient, because of other severe visceral injuries, systemic anticoagulation could not be administered leading to stent failure. Potential options to prevent this dilemma would be the development of a drug eluting stent that locally delivers an antithrombotic agent. At present, no drug eluting stents are available for the renal artery.
REFERENCES
- 1.Knudson MM, Harrison PB, Hoyt DB, et al. Outcome after major renovascular injuries: a Western trauma association multicenter report. J Trauma. 2000;49:1116–1122. doi: 10.1097/00005373-200012000-00023. [DOI] [PubMed] [Google Scholar]
- 2.Lee JT, White RA. Endovascular management of blunt traumatic renal artery dissection. J Endovasc Ther. 2002;9:354–358. doi: 10.1177/152660280200900315. [DOI] [PubMed] [Google Scholar]
- 3.Goodman DN, Saibil EA, Kodama RT. Traumatic intimal tear of the renal artery treated by insertion of a Palmaz stent. Cardiovasc Intervent Radiol. 1998;21:69–72. doi: 10.1007/s002709900215. [DOI] [PubMed] [Google Scholar]
- 4.Carroll PR, McAninch JW, Klosterman P, et al. Renovascular trauma: risk assessment, surgical management, and outcome. J Trauma. 1990;30:547–552. discussion 553–554. [PubMed] [Google Scholar]
- 5.Haas CA, Dinchman KH, Nasrallah PF, Spirnak JP. Traumatic renal occlusion: a 15-year review. J Trauma. 1998;45:557–5561. doi: 10.1097/00005373-199809000-00024. [DOI] [PubMed] [Google Scholar]
- 6.Villas PA, Cohen G, Putman SG, et al. Wallstent placement in a renal artery blunt abdominal trauma. J Trauma. 1999;46:1137–1139. doi: 10.1097/00005373-199906000-00035. [DOI] [PubMed] [Google Scholar]
- 7.Long JA, Manel A, Penillon S, et al. Traumatic dissection of the renal pedicle. Modalities of management in adults and children. Prog Urol. 2004;14:302–309. [PubMed] [Google Scholar]
- 8.Inoue S, Koizumi J, Iino M, et al. Self-expanding metallic stent placement for renal artery dissection due to blunt trauma. J Urology. 2004;171:347–348. doi: 10.1097/01.ju.0000099894.82297.74. [DOI] [PubMed] [Google Scholar]




