Abstract
Piloerection is a rare ictal manifestation of temporal lobe epilepsy. The case is a 38-year-old man with acute onset of repetitive pilomotor seizures. Lacking other symptoms implicating epileptic seizures, a month passed before he was diagnosed with epilepsy. Ictal electroencephalography revealed rhythmic waves in the right temporal area. Reversible magnetic resonance imaging (MRI) abnormalities were visible in the right hippocampus, right uncus, and right amygdala. The appropriate antiepileptic drug therapy made him seizure-free, but following MRI, he showed right hippocampal atrophy one year after seizure cessation. This case is significant in that we can follow sequential MRI from onset, and it is meaningful for considering the mesial temporal area as involved with piloerection.
Keywords: Pilomotor seizures, Hippocampal atrophy, MRI
1. Introduction
Epileptic seizures can be associated with various autonomic phenomena, including autonomic auras and partial seizures [1]. Piloerection is a rare ictal manifestation observed mainly in patients with temporal lobe epilepsy. The etiology of pilomotor seizures has been reported variously [2–9]. Nevertheless, no specific etiology has been reported. It might be difficult to diagnose such cases as epilepsy without other ictal behaviors such as loss of consciousness, focal motor activity, or automatism. This report presents the rare case of a man with sequential changes in magnetic resonance imaging (MRI) after repetitive pilomotor seizures.
2. Case report
A 38-year-old left-handed man with no prior medical history visited the Psychiatric Department of Hokkaido University Hospital. From a month prior, he had chills on his back, felt that he was turning pale, and experienced “goose bumps”. These feelings lasted several seconds usually but up to 10 s. Before consulting our department, he had consulted the Department of Cardiovascular Medicine and Neurosurgery. Examinations conducted using echocardiography, Holter electrocardiography, and brain MRI (Fig. 1A) revealed no abnormality. Some tranquilizers were prescribed because autonomic imbalance was suspected. Although few seizures occurred at first, they increased gradually. By the time he consulted us, his spells had clustered, occurring up to 10 times per day. He was able to respond to his wife during these episodes. Moreover, he remembered details of conversations. During these episodes, he experienced no other autonomic symptoms such as tachycardia or bradycardia, motor or sensory symptom, psychiatric symptom, automatism, or loss of consciousness.
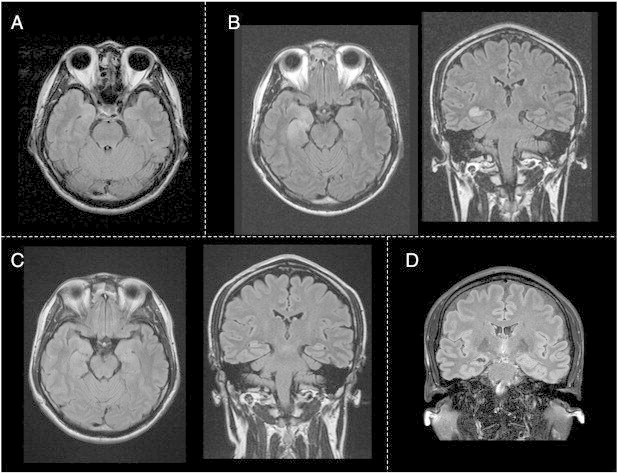
Fig. 1.

FLAIR images of MRI (A) at onset, (B) one month after onset (seizure frequency was 10 per day), (C) three months after onset (seizure-free), and (D) one year after onset (continuously seizure-free).
Neurologic examination revealed no abnormal findings. Complete blood cell count, electrolyte level, glucose level, renal and liver function, and C-reactive protein level were all found to be normal in the laboratory data. He had no history of febrile seizure, head trauma, encephalitis, meningitis, or cerebrovascular disease.
As epilepsy was suspected, an electroencephalography (EEG) was performed. The ictal EEG is presented in Fig. 2. Rhythmic wave activity was localized in the right temporal area and gradually became slow and irregular. Corresponding to the rhythmic wave burst, he felt chills and had goose bumps mainly in the bilateral arms and back. Interictal EEG showed no epileptiform activity.
Fig. 2.

Electroencephalography displayed with a monopolar montage in the 10–20 system. Rhythmic discharge was apparent in the right temporal area (F8, T4, T6). Onset of ictal discharge was clinically associated with cold shivers and piloerection.
Fluid-attenuated inversion recovery (FLAIR) images of brain MRI showed high intensity in the right hippocampus, right uncus, right amygdala, and swollen right hippocampus (Fig. 1B). Subsequent [18F] fluorodeoxyglucose-positron emission tomography scan and N-isopropyl-p-[I123] iodoamphetamine single-photon emission computed tomography showed hypometabolism and hypoperfusion in the right mesial temporal lobe.
The patient was diagnosed with temporal lobe epilepsy and was treated with carbamazepine monotherapy at doses of up to 600 mg. His blood serum level was 9.0 μg/ml. The treatment resulted in the complete disappearance of his seizures. He felt a slight memory disturbance after a cluster of seizures but that improved after his seizures were controlled. His full intelligence quotient (IQ) on the Wechsler Adult Intelligence Scale was 102, his verbal IQ was 100, and his performance IQ was 105, all of which showed no deviation implying organic dysfunction.
Two months after the cessation of seizures, the lesion indicated by the high intensity of the FLAIR images on MRI was improved (Fig. 1C). Only when he forgot to take carbamazepine did he feel chills again but no goose bumps appeared. His seizures have been well controlled, and his work as a computer programmer has progressed with no difficulties. However, one year after, his right hippocampus was revealed to be atrophic on MRI (Fig. 1D).
3. Discussion
Autonomic seizures are sometimes difficult to diagnose as epilepsy. Palpitations, perspiration, nausea or vomiting, hypersalivation, headache, gastrointestinal dysfunction, and other autonomic symptoms have been reported as ictal manifestations of partial seizures, but it is not uncommon that they are misdiagnosed as some cardiac disease or mental illness. It can be readily identified if patients have some other types of seizure or autonomic aura such as that following a typical complex partial seizure. Patients with epilepsy showing only autonomic seizures are rare [2]. Our case had only autonomic manifestations as ictal symptoms, such as feeling chills, experiencing “goose bumps”, and turning pale. For that reason, a month had passed before he was referred to our hospital.
Ictal piloerection (goose bumps) has been reported with an incidence of 0.7–1.2% in patients with temporal lobe epilepsy [3,4]. A prior retrospective study of pilomotor seizures revealed that unilateral piloerection is frequently seen ipsilateral to the epileptic focus [4]. Our patient had ictal bilateral piloerection. Therefore, this phenomenon did not give a sign of the laterality of his epileptogenic zone.
It remains unknown which structures are involved in the regulation of piloerection. Results of animal and human experiments suggest the involvement of the cingulum, insula, hippocampus, amygdala, hypothalamus, midbrain reticular core, and medial prefrontal cortices [2,5,6]. Considering signal changes in the right hippocampus, right uncus, and right amygdala on MRI in our case, these mesial temporal structures are apparently involved with pilomotor seizures. Usui et al. reported a case in which intracranial EEG demonstrated the mesial temporal area as the source of pilomotor seizures. This finding was consistent with our case, in which the patient presented a rhythmic slow-wave burst in the right temporal area on ictal EEG [6].
Some case reports related to ictal piloerection have described hippocampal atrophy [2,5,7,8]. The etiologies of pilomotor seizures in those cases were various (e.g. tumors, encephalitis, stroke, neurodegenerative disease, and hippocampal sclerosis or atrophy) [2–9]. We were unable to identify the etiology of the epilepsy in our case. An ischemic lesion or a neoplastic lesion was excluded because the signal abnormalities in the mesial temporal structures were improved spontaneously after seizure cessation. The possibility of infection or an inflammatory process remains in our case. Brain MRI often shows findings of unilateral or bilateral swollen mesial temporal structures demonstrating reversible signal change in limbic encephalitis [10]. Moreover, subsequent regional cerebral atrophy or hippocampal sclerosis occurs several months to years later, which was true in our case [10]. Unfortunately, we performed no examination of cerebrospinal fluid at the onset of the disease. Other symptoms frequently seen in encephalitis, such as high fever, convulsion, memory impairment, and loss of consciousness, were not found. Specific antibodies against N-methyl-d-aspartate receptor or voltage-gated potassium channels (VGKC) were not assayed in our case. Recently, a broad spectrum of neurologic manifestations, including dysautonomia, associated with VGKC autoimmunity was reported [11]. Wieser et al. reported a patient with VGKC antibody-positive, nonparaneoplastic limbic encephalitis. The pilomotor status in this case was pharmacoresistant to antiepileptic drugs but responded to corticosteroid treatment [9]. The seizures of our case were controlled well by carbamazepine, except when he forgot to take the medicine. The clinical course in our patient was not typical as paraneoplastic or nonparaneoplastic limbic encephalitis [12], although it is difficult to exclude the possibility that the hippocampal changes are the result of an inflammatory process.
Another likely interpretation of the occurrence of these MRI abnormalities is the effect of frequent seizures. Reversible MRI abnormalities have been identified after prolonged seizures or status epilepticus [13–15]. These MRI abnormalities are often the effect, rather than the cause, of seizures [14]. The mechanism of these phenomena remains unclear, but it is widely considered that the sustained electrical activity of epileptic seizures can cause regional circulatory and metabolic changes. Subsequently, some physiologic changes can occur, including cerebral edema, hyperperfusion, and alteration of the blood–brain barrier. The incidence of the reversible signal abnormalities on MRI after epileptic seizures was unclear because the definition of signal abnormalities, the seizure type of the subjects, and the timing of the MRI vary among investigators. One retrospective study revealed that 11.6% of patients with status epilepticus showed MRI abnormality [15]. Another retrospective report described that 12 out of 1700 patients with a single or cluster of focal seizures showed reversible periictal MRI abnormalities [14]. That report described that most patients had secondarily generalized seizures, and the preceding seizure semiology consisted of motor phenomena or sensorimotor phenomena. Our case was rare in terms of the reversible MRI abnormality caused solely by pilomotor seizures.
Imaging findings associated with epileptic seizures might reflect many physiologic changes, including vasogenic edema, demyelination, and astrocytosis. Long-term observations of these transient alterations revealed that 33–40% were associated with long-term development of regional cerebral atrophy or hippocampal sclerosis [14,16]. The case presented herein also showed atrophy in the right hippocampus on MRI images after one year, despite temporary improvement as indicated by the high intensity of the FLAIR images after becoming seizure-free. Long-term follow-up MRI might be important for such cases. We must, therefore, devote attention to the fact that recurrent autonomic seizures might injure the hippocampus and produce hippocampal atrophy, although it is difficult to exclude the possibility that the hippocampal changes are the result of an inflammatory process.
Footnotes
This is an open-access article distributed under the terms of the Creative Commons Attribution-NonCommercial-No Derivative Works License, which permits non-commercial use, distribution, and reproduction in any medium, provided the original author and source are credited.
References
- 1.Nagaraddi V., Lüders H.O. Autonomic seizures: localizing and lateralizing value. In: Lüders H.O., editor. Textbook of epilepsy surgery. Informa Healthcare; London, UK: 2008. pp. 443–449. [Google Scholar]
- 2.Lam E.M., Worrell G.A., Laughlin R.S. Semiology of the rare seizure subtype piloerection. Arch Neurol. 2010;67:1524–1527. doi: 10.1001/archneurol.2010.304. [DOI] [PubMed] [Google Scholar]
- 3.Stefan H., Pauli E., Kerling F., Schwarz A., Koebnick C. Autonomic auras: left hemispheric predominance of epileptic generators of cold shivers and goose bumps? Epilepsia. 2002;43:41–45. doi: 10.1046/j.1528-1157.2002.21001.x. [DOI] [PubMed] [Google Scholar]
- 4.Loddenkemper T., Kellinghaus C., Gandjour J., Nair D.R., Najm I.M., Bingaman W. Localising and lateralising value of ictal piloerection. J Neurol Neurosurg Psychiatry. 2004;75:879–883. doi: 10.1136/jnnp.2003.023333. [DOI] [PMC free article] [PubMed] [Google Scholar]
- 5.Dove G.H., Buchhalter J.R., Cascino G.D. Acute repetitive pilomotor seizures (goose bumps) in a patient with right mesial temporal sclerosis. Clin Neurophysiol. 2004;115:2511–2513. doi: 10.1016/j.clinph.2004.05.030. [DOI] [PubMed] [Google Scholar]
- 6.Usui N., Kajita Y., Maesawa S., Endo O., Takebayashi S., Yoshida J. Pilomotor seizures in mesial temporal lobe epilepsy: a case confirmed by intracranial EEG. Seizure. 2005;14:288–291. doi: 10.1016/j.seizure.2005.03.002. [DOI] [PubMed] [Google Scholar]
- 7.Haykal M.A., Abou-Khalil B. Pilomotor seizures: a video case report. Epileptic Disord. 2012;14:76–79. doi: 10.1684/epd.2012.0496. [DOI] [PubMed] [Google Scholar]
- 8.Masnou P., Gagnepain J.P., Fouad A., Ducreux D., Adams D. Pilomotor seizures associated with sequential changes in magnetic resonance imaging. Epileptic Disord. 2006;8:232–237. [PubMed] [Google Scholar]
- 9.Wieser S., Kelemen A., Barsi P., Vincent A., Borbely C., Rasonyi G. Pilomotor seizures and status in non-paraneoplastic limbic encephalitis. Epileptic Disord. 2005;7:205–211. [PubMed] [Google Scholar]
- 10.Urbach H., Soeder B.M., Jeub M., Klockgether T., Meyer B., Bien C.G. Serial MRI of limbic encephalitis. Neuroradiology. 2006;48:380–386. doi: 10.1007/s00234-006-0069-0. [DOI] [PubMed] [Google Scholar]
- 11.Tan K.M., Lennon V.A., Klein C.J., Boeve B.F., Pittock S.J. Clinical spectrum of voltage-gated potassium channel autoimmunity. Neurology. 2008;70:1883–1890. doi: 10.1212/01.wnl.0000312275.04260.a0. [DOI] [PubMed] [Google Scholar]
- 12.Vincent A., Buckley C., Schott J.M., Baker I., Dewar B.K., Detert N. Potassium channel antibody-associated encephalopathy: a potentially immunotherapy-responsive form of limbic encephalitis. Brain. 2004;127:701–712. doi: 10.1093/brain/awh077. [DOI] [PubMed] [Google Scholar]
- 13.Chan S., Chin S.S., Kartha K., Nordli D.R., Goodman R.R., Pedley T.A. Reversible signal abnormalities in the hippocampus and neocortex after prolonged seizures. AJNR Am J Neuroradiol. 1996;17:1725–1731. [PMC free article] [PubMed] [Google Scholar]
- 14.Raghavendra S., Ashalatha R., Krishnamoorthy T., Kesavadas C., Thomas S.V., Radhakrishnan K. Reversible periictal MRI abnormalities: clinical correlates and long-term outcome in 12 patients. Epilepsy Res. 2007;73:129–136. doi: 10.1016/j.eplepsyres.2006.10.007. [DOI] [PubMed] [Google Scholar]
- 15.Milligan T.A., Zamani A., Bromfield E. Frequency and patterns of MRI abnormalities due to status epilepticus. Seizure. 2009;18:104–108. doi: 10.1016/j.seizure.2008.07.004. [DOI] [PubMed] [Google Scholar]
- 16.Tien R.D., Felsberg G.J. The hippocampus in status epilepticus: demonstration of signal intensity and morphologic changes with sequential fast spin-echo MR imaging. Radiology. 1995;194:249–256. doi: 10.1148/radiology.194.1.7997562. [DOI] [PubMed] [Google Scholar]
