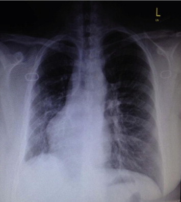
A 49-year-old female presented with pneumonia. On examination, heart sounds were heard on the right side of the chest, resulting in an initial impression of dextrocardia. Chest X-ray (Fig. 1) and echocardiography demonstrated dextro-position of the heart with no associated congenital anomalies. Subsequently, computed tomography of the chest was performed, revealing an absence of a right lung parenchyma with abrupt termination of right main bronchus after bifurcation of the carina, and a shift of the heart to the right side as shown in Fig. 2. No other congenital anomalies were detected.
Figure 1.

Chest X-ray of the chest showing possible dextrocardia.
Figure 2.

Computed tomographic scan of the chest showing agenesis of the right lung with dextro-position of the heart. The left lung has an area of consolidation and a large pleural effusion.
Discussion
Dextro-position of the heart is a rare condition, often misdiagnosed as dextrocardia. It can be congenital or acquired, but is mostly associated with congenital pulmonary anomalies. It is incidentally discovered, and most patients are asymptomatic or can present with pulmonary and/or gastrointestinal related symptoms. Dextro-position of the heart carries variable prognoses. When associated with other major extra-pulmonary abnormalities, patients frequently die in infancy [1], but when confined only to the lung, such as in our case, prolonged survival is possible. These cases are prone to recurrent episodes of lower respiratory tract infections [2].
Conflict of interest
There is no conflict of interest to declare.
Footnotes
Peer review under responsibility of King Saud University.
References
- 1.Schaffer A.J., Rider R.V. A note on the prognosis of pulmonary agenesis and hypoplasia according to the side affected. J Thorac Surg. 1957;33(3):379–382. [PubMed] [Google Scholar]
- 2.Cunningham M.L., Mann N. Pulmonary agenesis: a predictor of ipsilateral malformations. Am J Med Genet. 1997;70(4):391–398. doi: 10.1002/(sici)1096-8628(19970627)70:4<391::aid-ajmg11>3.0.co;2-c. [DOI] [PubMed] [Google Scholar]

