Abstract
Tornwaldt’s cyst is a benign cyst located in the upper posterior nasopharynx. It is a relatively rare lesion and most are small and asymptomatic whereas some cause nasal obstruction, postnasal drip, occipital headache or eustachian tube dysfunction. In our case a 28- year-old man presented with nasal obstruction since 10-years whose diagnostic nasal endoscopy showed a large well-encapsulated lesion arising from the posterior wall of the nasopharynx. A magnetic resonance imaging (MRI) was performed which was suggestive of a fluid filled cystic lesion. The patient underwent successful marsupialisation using endonasal endoscopic approach using rigid endoscopes and powered instrumentation. Histopathology of the aspirate revealed a respiratory lined epithelial cyst. Based on the clinical, radiological and histopathological findings a diagnosis of Tornwaldt’s cyst was made. We report this case to highlight the role of MRI in diagnosis and use of endoscopic assisted powered instrumentation for treatment of Tornwaldt’s cyst.
Keywords: Marsupialisation, Nasal obstruction, Tornwaldt’s cyst
Case Report
A 28-year-old man presented with nasal obstruction since 10-years. Nasal obstruction used to aggravate during episodes of cold. He also had history of episodic dull moderate occipital headache. He had no otologic symptoms like hearing difficulty, otorrhea, ear fullness etc. Neurological examination was normal.
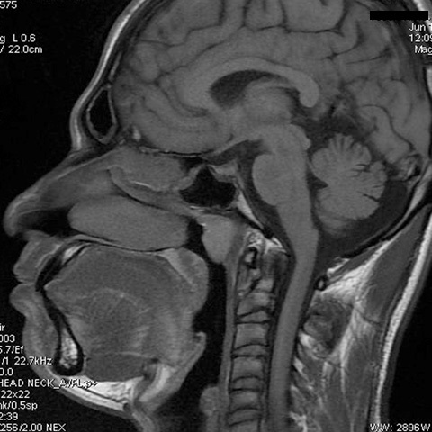
On examination, anterior rhinoscopy and otoscopic findings were normal. Diganostic nasal endoscopy using 00 rigid endoscope [Table/Fig-1] showed a large well encapsulated lesion arising from the posterior wall of the nasopharynx which was covered by smooth mucosa. The lesion was oval shaped, non tender and immobile. Magnetic resonance imaging (MRI) [Table/Fig-2] showed a well-defined oval thick fluid filled cystic lesion measuring 2.2 x 1.6 cm attached to roof of nasopharynx. The lesion was hyperintense on T 1 W images and hypointense on T2 W images.
[Table/Fig-1]:
![[Table/Fig-1]:](https://cdn.ncbi.nlm.nih.gov/pmc/blobs/2fc4/4190747/175b24b498e1/jcdr-8-KD03-g001.jpg)
Endoscopic view of the cystic lesion in the nasopharynx
[Table/Fig-2]:
![[Table/Fig-2]:](https://cdn.ncbi.nlm.nih.gov/pmc/blobs/2fc4/4190747/7736fc8db086/jcdr-8-KD03-g002.jpg)
T1 weighted MRI image showing hyperintense signal
The patient underwent successful marsupialisation using endonasal endoscopic approach using rigid endoscopes and powered instrumentation. Cheesy material was aspirated from the cyst. Histopathology revealed a respiratory lined epithelial cyst. Based on the clinical, radiological and histopathological findings a diagnosis of Tornwaldt’s cyst was made. The patient was relieved of nasal obstruction and headache following surgery. The patient was on a regular followup till two years and was symptom free.
Discussion
Tornwaldt’s cyst is a benign developmental nasopharyngeal midline cyst covered by mucosa anteriorly and bounded by longus muscles posteriorly. It was first noted by Mayer in 1840 in autopsy specimens [1]. It was established as a pathologic entity by Tornwaldt in 1885 [2]. It is also known as Nasopharyngeal bursa, Pharyngeal bursa or Thornwaldt cyst. Huber later described how irregular notochord regression in the sixth week of gestation leads to its formation [3]. Tornwaldt’s cyst may be totally asymptomatic or can have a myriad of presentations. We present a case of Tornwaldt’s cyst who presented with nasal obstruction which was successfully managed by endoscopic marsupialisation. To the best of our knowledge, not many cases have been reported where it has been managed endoscopically.
Tornwaldt’s cysts have been seen in all age groups, with a peak incidence of 15-30 years. There is no sex preponderance. Tornwaldt’s cysts are classified as crusting and cystic. The crusting types drain regularly and spontaneously into the nasopharynx while the cystic types do not drain because the drainage pathway is completely obstructed. The aetiology could be mechanical obstruction, inflammation, or abscess of the pharyngeal bursa [4]. Adenoidectomy has been implicated as the etiologic factor in more than 75% of cases [5]. The cyst has a respiratory epithelium lining without abundant lymphoid tissue [6]. The overall incidence of Tornwaldt’s cyst has not been clearly established. Some authors have reported an incidence of 1.4% to 3.3% in autopsy specimens while others have reported incidental findings of Tornwaldt’s cyst on MRI ranging from 0.2% to as high as 5% [7].
Most cysts are small, measuring less than 1 cm in diameter and are discovered incidentally. Some are larger, causing nasal obstruction, snoring, halitosis, clearing of the throat, eustachian tube dysfunction, and a feeling of ear fullness. When the cysts become inflamed or infected, fluid may accumulate within the cyst leading to symptoms of occipital headache, pharyngeal pain, purulent postnasal drip with a foul taste, and changes in olfaction [8]. Nasal endoscopy by either a fiberscope or a telescope (00) is a simple and rapid procedure to visualize the cyst, which is usually located in the posterior midline in the superior recess of the nasopharynx [9].
Computed tomogram (CT) scan shows a well-defined midline low density cyst on posterior nasopharyngeal wall. On contrast enhanced CT scan a rim of cyst may enhance but tornwaldts cyst itself remains low attenuation. MRI is now considered the best radiographic imaging study to diagnose the tornwaldt’s cyst as the findings are highly characteristic [8]. On MRI, it may have high signal on both T1- and T2- weighted sequences, presumably because the cyst contains a high concentration of protein, or blood products from prior hemorrhage, or both [10-12]. Post contrast studies usually demonstrate peripheral enhancement of the nasopharyngeal mucosa [8]. Also, it may be hyperintense relative to gray matter on fluid-attenuated inversion recovery images [12].
Asymptomatic cysts, which may be an incidental finding on a CT or MRI, require no treatment [13]. When the lesion is large, symptomatic, or close to the eustachian tube torus, surgery by marsupialisation is the treatment option [9]. For small lesions, the endonasal approach is recommended but for large lesions, a trans oral retrovelar approach using a 700 telescope is the method of choice [8]. The present case highlights the role of MRI in diagnosis and usefulness of endoscopic assisted powered instrumentation for treatment of tornwaldt cyst.
Conclusion
Tornwaldt’s cyst can present as nasal obstruction. Although uncommon, it should be considered when all other causes have been ruled out. MRI of the nasopharynx should be considered when such a diagnosis seems plausible. The endonasal endoscopic approach and marsupialisation of the cyst with powered instrumentation leads to minimal morbidity and better postoperative results.
Financial or Other Competing Interests
None.
References
- [1].Mayer AFCJ. Bursa seu Cystis tubae eustachianae bei eingen saugethieren. Neue Notizen aus dem Gebiete der Nature und heilkunde von Froeiep. :1840–14. German. [Google Scholar]
- [2].GL Tornwaldt. J.F.Bergmann. Krankheiten: Weisbaden; 1885. Uber die Bedeutung der bursa pharygea fur die erkennung und behandlung gewisser nasenrauchenraum. [Google Scholar]
- [3].CC Huber. On the relation of the chorda dorsalis to the anlage of the pharyngeal bursa or the median pharyngeal recess. Anat Rec. 1934;3:373–404. [Google Scholar]
- [4].H Miyahara, T Matsunaga. Tornwaldt’s disease. Acta Otolaryngol Suppl. 1994;517:36–9. doi: 10.3109/00016489409124336. [DOI] [PubMed] [Google Scholar]
- [5].WW Eagle. Pharyngeal bursa (Thornwaldt’s bursae): Report of 64 cases. Laryngoscope. 1939;56:199–207. [Google Scholar]
- [6].AD Kornblut. Philadelphia: WB Saunders Company; 1991. Otolaryngology. In: Paparella MM, Shumrick DA, eds. Nonneoplastic diseases of the tonsils and adenoids. pp. 2129–48. [Google Scholar]
- [7].MW Moody, DM Chi, JC Mason, et al. Tornwaldt’s cyst: Incidence and a case report. Ear Nose Throat J. 2007;86(45):7–52. [PubMed] [Google Scholar]
- [8].P Eloy, JB Watelet, AS Hatert, B Bertrand. Thornwaldt’s cyst and surgery with powered instrumentation. B-ENT. 2006;2:135–39. [PubMed] [Google Scholar]
- [9].E Yanagisawa, K Yanagisawa. Endoscopic view of Thornwaldt cyst of the nasopharynx. Ear Nose Throat J. 1994;73:884–85. [PubMed] [Google Scholar]
- [10].WJ Ford, BS Brooks, T El-Gammal. Thornwaldt cyst: An incidental MR diagnosis (letter). Am J Neuroradiol. 187(8):922–23. [PMC free article] [PubMed] [Google Scholar]
- [11].RA Battino, MS Khangure. Is that another Thornwaldt’s cyst on MRI? Australas Radiol. 1990;34:19–23. doi: 10.1111/j.1440-1673.1990.tb02802.x. [DOI] [PubMed] [Google Scholar]
- [12].I Ikushima, Y Korogi, O Matika, et al. MR imaging of Tornwaldt’s cysts. AJR Am J Roentgenol. 1999;172:1663–65. doi: 10.2214/ajr.172.6.10350312. [DOI] [PubMed] [Google Scholar]
- [13].JL Weissman. Thornwaldt cysts. Am J Otolaryngol. 1992;13:381–85. doi: 10.1016/0196-0709(92)90080-d. [DOI] [PubMed] [Google Scholar]
