Abstract
Background
One of the most common uses of stents in patients with congenitally malformed hearts is treatment of pulmonary arterial stenosis. Although there are reports of fractured pulmonary arterial stents, little is known about the risk factors for, and implications of, such fractures.
Methods
We reviewed angiograms to identify fractures in stents previously inserted to relieve stenoses in pulmonary arteries from 1990 through 2001 in patients who also underwent follow-up catheterization at least 3 years after placement of the stent. We undertook matched cohort analysis, matching a ratio of 2 fractured to 1 unfractured stent.
Results
Overall, 166 stents meeting the criterions of our study had been placed in 120 patients. We identified fractures in 35 stents (21%) in 29 patients. All fractured stents were in the central pulmonary arteries, 24 (69%) in the central part of the right pulmonary artery, and all were complete axial fractures, or complex fractures along at least 2 planes. Stent-related factors associated with increased risk of fracture identified by multivariable logistic regression included placement in close apposition to the ascending aorta (p = 0.001), and a larger expanded diameter (p = 0.002). There was obstruction across 28 of 35 fractured stents, which was severe in 11. We re-stented 21 of the fractured stents, and recurrent fracture was later diagnosed in 3 of these. A fragment of the fractured stent embolized distally in 2 patients, without clinically important effects.
Conclusions
In situ fracture of pulmonary arterial stents is relatively common, and in most cases is related to compression by the aorta. There is usually recurrent obstruction across the fractured stent, but fractured stents rarely embolize, and are not associated with other significant complications.
Keywords: Tetralogy of fallot, angioplasty, catheterization
The development and widening use of balloon-expandable stents has revolutionized the management of many vascular disorders in children and adults alike. In patients with congenitally malformed hearts, stenting is used for the treatment of systemic and pulmonary arterial and venous obstructions, as well as to establish and maintain communications between cardiac chambers.1–7 In essentially all cases, such stents are used off-label, for indications for which the stents were not developed or approved. Frequently, stents are placed in sites that are exposed to high cyclic mechanical stress, and sometimes to dynamic compression between relatively inelastic adjacent structures, such as the sternum and the heart in patients who undergo stenting for treatment of an obstructed conduit placed from the right ventricle to the pulmonary arteries.8 As we and others have recently reported, in situ fracture, as opposed to deliberate or iatrogenic fracture, of stents placed for some congenital conditions is relatively common.8–12 Fractures occurring in stents used for a variety of other vascular and visceral applications, have also been recognized with increasing frequency.13–29
One of the most common and effective applications of vascular stents in the setting of the congenitally malformed heart is treatment of pulmonary arterial stenosis. Stents may be useful for treating pulmonary arterial stenoses that are resistant to dilation or subject to recoil after simple balloon angioplasty, stenoses caused by kinking or distortion of the vessel, stenoses of freshly operated pulmonary arteries that are at risk for disruption with angioplasty alone, or for stabilizing tears or intimal flaps that occur after angioplasty. Although there are many advantages to stenting for the treatment of pulmonary arterial stenosis, there are potential problems as well, including “jailing” of lobar or segmental branches, in-stent restenosis due to neo-intimal proliferation, and limited capacity for reexpansion of small stents.3,5,30 We have recognized that, like stents used to treat obstructed conduits placed between the right ventricle and the pulmonary arteries, stents in the pulmonary arteries are also subject to fracture in situ, presumably due to fatigue from cyclic compressive stress. Although there are published case reports of fractured pulmonary arterial stents,31 little is known about the risk factors for, and implications of, such fractures. We hypothesized that the primary risk factor for in situ fracture of stents placed in the pulmonary arterial branches is fatigue related to cyclic compression by adjacent cardiovascular structures, most often by the ascending aorta or between the ascending aorta and other mediastinal structures.
Methods
Patients
We accessed the computerized database of the Cardiovascular Program to identify patients who had one or more stents placed for stenosis of pulmonary arterial branches at Children's Hospital between 1990 and 2001 inclusive. For this study, we only included patients who also underwent follow-up catheterization at Children's Hospital at least 3 years after placement of the stent. Stents that were removed or modified surgically prior to 3-year post-stent follow-up catheterization were excluded, as were stents placed in conduits between the right ventricle and the pulmonary arteries, or those spanning the pulmonary arterial anastomosis of such conduits but extending into a pulmonary artery.8 Patients with multiple pulmonary arterial stents were included, as long as the stents were not placed in the same vessel overlapping one another. Additional non-overlapping stents placed at subsequent catheterizations were included as long as follow-up catheterization was performed at least 3 years after placement of the additional stent or stents. If an additional stent was placed overlapping the original stent for reasons other than fracture, the original stent was included only up through the time the overlapping stent was implanted, provided the overlapping stent was inserted at least 3 years after the original stent. Otherwise, the original stent was excluded. Stents placed in systemic-to-pulmonary collateral arteries prior to unifocalization were not included. Because Palmaz®™ (Cordis Endovascular, Warren, NJ) iliac (P128, P188, P308; 8 to 12 millimetres) and renal (P104R, P154R, P204R; 4 to 9 millimetres) stents were used almost exclusively during this time period, with others used only sporadically, we did not include the other types in this study. Follow-up catheterization at our institution after pulmonary arterial stenting is performed on the basis of a variety of factors, but not routinely in all patients.
Cardiac catheterization and placement of stents
Catheterization reports and angiograms were reviewed to determine the clinical details of placement, including the location of the stent, that is, the right versus left pulmonary arteries, placement in the central portion of the artery as opposed to lobar or segmental branches, placement of the stent immediately posterior to the ascending aorta, placement of the stent in close juxtaposition to the ascending aorta, either posteriorly, laterally, or anteriorly, the type and size of stent, the size of balloon on which the stent was deployed, and presence of a residual waist on the deployed stent. Central location was defined as placement proximal to the first point of lobar branching. Additional patient- related and procedural variables, including primary diagnosis, sidedness of the aortic arch, ascending aortic Z-score, primary catheterization operator, and year of catheterization were collected from the catheterization report, angiograms, or other elements of the medical record. Follow-up catheterization data were also reviewed to determine the earliest catheterization at which fracture was noted, and details of any redilation procedures prior to the diagnosis of fracture. The study was conducted according to a protocol approved by the Committee for Clinical Investigations at Children's Hospital.
Fracture of stents
Review of fluoroscopic images from follow-up catheterizations allowed identification and characterization of fractures. In situ fracture was defined as clearly visible separation or overlap between adjacent cells of the stent, with or without collapse of the stent. Fracture of struts between cells due to overexpansion or flaring of the ends of the stent, or complete fracture due to high-pressure dilation of fully expanded stents, were classified as iatrogenic fractures, as opposed to in situ fractures, and were not included in this study. We recorded the following characteristics:
Complete, full-length or circumferentially, as opposed to partial fracture
Axial, or longitudinal, as opposed to circumferential as opposed to complex fractures, the latter consisting of both axial and circumferential fractures
Plane or planes of axial fracture, considering superior, inferior, anterior, and posterior planes, and so on
Number of planes of fracture
Fracture through struts as opposed to nodes formed by the junction of adjacent struts or zigs
The eccentricity index, identified as the index of cross-sectional asymmetry, calculated as ratio of the maximal to minimal orthogonal diameters of the stent
severity of collapse, deemed mild with an eccentricity index from 1.0 to 1.25, moderate from 1.26 to 1.99, and severe when greater than or equal to 2.0
Overlap of fractured edges
Haemodynamic significance of the identified fracture
Embolization of fragments, and site or sites of embolization.
Analysis of data
The study was designed as a matched cohort analysis, with two-to-one matching of fractured to unfractured stents, matching on the basis of age and duration from placement to most recent catheterization. The unit of analysis was the stent. Given that we excluded overlapping stents in a single pulmonary arterial branch, multiple stents in a single patient were assumed to be independent of one another. Although fracture is almost certainly a function of time, the outcome was not analyzed as a time-related function, but rather as a time-independent categorical outcome. The reason for this analytic strategy was primarily that we cannot hope to identify the duration from implant to fracture with any accuracy, only the duration from implant to diagnosis of fracture. In other words, the diagnosis of fracture can be discerned reliably only from dynamic high-resolution imaging such as that provided by fluoroscopy, which may be removed from the time of fracture itself by years. Furthermore, the frequency of follow-up catheterization varied widely. In order to compensate for this analytic simplification, we adopted a conservative approach. Because of the often subtle nature of fractures and the limited radiographic contrast between the stent and mediastinal structures, which makes simple radiography unreliable for documenting fractures, we limited our inception cohort to patients who underwent follow-up catheterization. Also, to provide a more reasonable estimate of incidence, we only included patients who underwent follow-up catheterization at least 3 years after placement of the stents, thus eliminating patients who were catheterized relatively soon after placement, in whom the likelihood of fracture would be much lower. Comparison of independent variables between cases and controls was performed using chi-square analysis or Fisher's exact test for categorical variables, and a two-sample t-test or Wilcoxon rank sum test for continuous variables. Multivariable analysis was performed with logistic regression. Factors related to the patients and catheterization procedures were also assessed for association with fracture. For patients with multiple stents, the patient was categorized as having any fracture, or no fractures, to allow for analysis of these factors without duplication of data. Data are presented as mean plus or minus standard deviation or median with range.
Results
Patients
During the period inclusive from 1990 through 2001, 287 patients underwent 368 catheterization procedures during which one or more pulmonary arterial stents was implanted. Among these, a total of 166 pulmonary arterial stents met our criterions, and had been placed in 120 patients at a median age of 6.0 years, with a range from 0.3 to 40 years. Of these, 96 stents (58%) were in the right pulmonary artery, and 125 (75%) were deemed to have been placed centrally. Demographic and diagnostic data are summarized in Table 1.
Table 1.
Demographic and diagnostic data for patients with and without any fracture.
| All patients | Patients with any stent fracture | Patients with no stent fracture | p value | |
|---|---|---|---|---|
| Number of patients | 120 | 29 (24%) | 91 (76%) | - |
| Number of stents | 166 | - | - | - |
| Patients with multiple stents | 34 (28%) | 8 (27%) | 26 (28%) | 0.92 |
| Age at placement (years)1 | 8.6±8.1 | 10.5±7.3 | 7.8±8.2 | 0.12 |
| Duration from placement to most recent catheterization (years)1 | 7.2±2.8 | 7.1±2.9 | 7.2±2.8 | 0.91 |
| Catheterization after 1995 | 60 (50%) | 14 (48%) | 46 (51%) | 0.83 |
| Underlying diagnosis | ||||
| Tetralogy of Fallot with pulmonary atresia | 45 (38%) | 9 (31%) | 36 (40%) | 0.41 |
| Tetralogy of Fallot | 27 (23%) | 4 (14%) | 23 (25%) | 0.20 |
| Common arterial trunk | 16 (13%) | 8 (28%) | 8 (9%) | 0.01 |
| Palliated functionally univentricular hearts | 15 (12%) | 3 (10%) | 12 (13%) | 0.69 |
| Transposition after arterial switch operation | 7 (6%) | 4 (14%) | 3 (3%) | 0.06 |
| Isolated pulmonary arterial stenosis | 4 (3%) | 0 (0%) | 4 (4%) | - |
| Transposition or double-outlet right ventricle after Rastelli procedure | 3 (3%) | 1 (3%) | 2 (2%) | - |
| Other | 3 (3%) | 0 (0%) | 3 (3%) | - |
| Right aortic arch | 12 (10%) | 6 (21%) | 6 (7%) | 0.03 |
| Ascending aortic Z-score at follow-up | 4.0±2.8 | 5.0±2.4 | 3.7±2.8 | 0.09 |
Age at placement, and duration from placement, to most recent catheterization refer to the first placement if multiple stents were placed at different catheterizations.
Fractures
We identified fractures in 35 of the stents (21%), placed in 29 patients, 5.5 plus or minus 2.6 years after placement. All fractured stents were in the central pulmonary arteries, with 24 (69%) in the right and 11 (31%) in the left pulmonary artery. All of the identified fractures were complete, and all were either axial or complex. Axial fractures always occurred along at least 2 planes, typically superiorly and inferiorly (Fig. 1), and fractures along 3 or 4 planes were visualized in 13 patients (Fig. 2). All fractures appeared to be predominantly or exclusively through stent nodes, as opposed to struts. Clear separation of fractured edges was identified along at least 1 plane in all cases, and overlapping of fractured edges was evident in all but 3. Eccentricity, observed in all fractured stents, was mild in 9 (26%), moderate in 19 (54%), and severe in 7 (20%). A fragment of the fractured stent embolized to the distal pulmonary artery in 2 patients, in 1 case after the fractured stent was restented (see below).
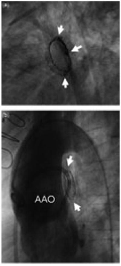
Figure 1.

Fractured central right pulmonary arterial stents in two patients: (a) one with tetralogy of Fallot and pulmonary atresia, and (b) one with common arterial trunk. Both stents were posterior to the ascending aorta, and were severely compressed in the anteroposterior dimension, assuming a lenticular configuration. The stent in (a) is fractured along three axial planes: superior, inferior, and posterior, as indicated by the arrows. The stent in (b) is fractured along the superior and inferior planes (arrows). The relationship between the stent and the large ascending aorta is demonstrated by the aortogram in (b).
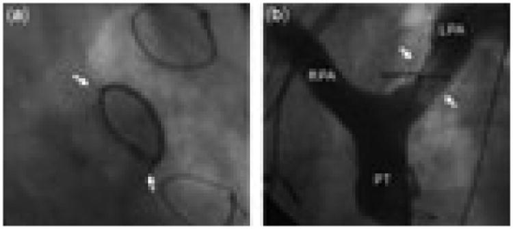
Figure 2.

This stent was placed in the central left pulmonary artery, in the crook of the reconstructed aortic arch, in a patient with double inlet left ventricle who had previously undergone reconstruction of the aortic arch. (a) The native pulmonary root (P) is large and directly apposed to the stented left pulmonary artery, and the arch is pulled down and anteriorly by the reconstruction, such that the normal space beneath the arch is smaller than usual. (b) In the lateral projection, four axial fracture planes, with overlapping edges, can be appreciated clearly (arrows). The stent collapsed inward around its circumference, and the fractured edges overlap in such a manner that the stent retains a relatively cylindrical geometry, in contrast to the anteroposterior collapse of the stents in Figure 1. (c) From a left anterior oblique projection, the fracture is not as readily apparent, although disarticulated struts can be seen along the superior margin of the stent (arrows).
Factors associated with increased risk of fracture by univariable analysis, compared with controls, are summarized in Table 2. By multivariable logistic regression, placement in close apposition to the ascending aorta (p = 0.001) and a larger expanded diameter of the stent (p = 0.002) were independent risk factors for fracture. In most cases of fracture, the stent was placed in the central right pulmonary artery, posterior to the ascending aorta (Fig. 1), but stents in the left pulmonary artery were also observed to fracture. Fracture of left pulmonary arterial stents was seen most often in patients with transposition repaired with an arterial switch operation, in whom translocation of the pulmonary arteries anterior to the ascending aorta may leave the branches draped across the ascending aorta anteriorly (Fig. 3), or in patients with a functionally univentricular circulation and a reconstructed aortic arch (Fig. 2). In 1 patient, with crossed pulmonary arteries after repair of common arterial trunk, the right pulmonary artery passed posterior and lateral to the ascending aorta and directly beneath the central part of the left pulmonary artery. The stent, which was compressed between these 2 vessels, fractured in multiple planes and a fragment embolized to the distal pulmonary artery.
Table 2.
Stent- and vessel-related factors associated with risk of fracture in case-control analysis.
| Variable | Fractured stents (n=35) | Control stents (n=70) | OR (95% CI) | Univariable p value |
|---|---|---|---|---|
| Right pulmonary arterial stent | 24 (69%) | 40 (57%) | 1.6 (0.7-3.9) | 0.25 |
| Central pulmonary arterial stent | 35 (100%) | 54 (77%) | - | 0.002 |
| Central right pulmonary arterial stent | 24 (69%) | 27 (39%) | 3.5 (1.5-8.2) | 0.004 |
| Stent juxtaposed to ascending aorta | 30 (86%) | 17 (25%) | 18.3 (6.1-55) | 0.001 |
| Diameter of final balloon used to dilate stent at time of deployment (millimetres) | 14.1 ±3.4 | 10.7±3.1 | - | 0.001 |
| Undeployed stent length (millimetres) | 23.3 ±6.8 | 18.1±5.5 | - | 0.001 |
| Palmza iliac stent (8-12 millimetres) | 30 (86%) | 38 (54%) | 5.1 (1.8-14) | 0.001 |
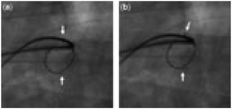
Figure 3.

(a) A central left pulmonary arterial stent in this patient with transposition who underwent repair with an arterial switch operation and anterior translocation of the pulmonary arteries is fractured along two axial planes (arrows), anteroinferior and posterosuperior, and severely compressed. (b) A pulmonary angiogram with cranial angulation demonstrates severe obstruction across the fractured and compressed stent, with obvious thinning of the contrast column within the stent, indicating a narrow anteroposterior vessel diameter. LPA, left pulmonary artery; PT, pulmonary trunk; RPA, right pulmonary artery.
Patient-related factors in patients with and without any fracture are summarized in Table 1. Patients with common arterial trunk, a right aortic arch, or transposition and an arterial switch operation, were more likely than patients without any of these diagnoses to suffer fracture. There was a trend toward larger ascending aortic Z-score in patients with any fracture than those without (p = 0.09). No factors related to catheterization itself were found to be associated with an increased risk of fracture.
Of the 35 fractured stents, 14 (40%) had been evaluated with at least one follow-up catheterization prior to diagnosis of fracture, and 10 were redilated during at least one prior catheterization.
There was a median gradient of 15 millimetres of mercury, with a range from 5 to 70 millimetres of mercury, and/or significant angiographic stenosis, at the site of the fractured stent in 28 of 35 cases (80%), and in 11 (31%) the peak gradient across the vessel containing the fractured stent was at least 30 millimetres of mercury. An additional stent was deployed within the fractured stent in 21 cases, and 9 other fractured stents, which had produced less severe obstruction, were treated with redilation only. Of the 21 fractured stents that were restented, 8 were subsequently studied with catheterization 3.0 plus or minus 1.4 years after the new stent was placed, and in 3 cases the second stent was also found to be fractured.
Discussion
Risk factors for in situ fracture of pulmonary arterial stents
In our experience, in situ fracture of stents used to treat central pulmonary arterial stenosis is relatively common. Although the design of our study does not allow a true estimate of the incidence of fracture, or of time to failure of the initial stent, we found that, of pulmonary arterial stents evaluated by catheterization at least 3 years after placement, one-fifth were fractured. Pulmonary arterial stents implanted in environments exposed to large cyclic external compressive forces appear to be particularly susceptible to fracture. Stents juxtaposed to the ascending aorta, most often in the central right pulmonary artery, posterior to the ascending aorta, had the highest risk of fracture. Larger stents, both in length and deployed diameter, were also more prone to fracture, which may speak to environmental effects resulting in an increased likelihood of compression, or to stent-related factors such as size- dependent differences in biomechanics. Patient-related factors associated with higher risk of fracture included a diagnosis of common arterial trunk or transposition after an arterial switch operation, and the presence of a right aortic arch. These factors are most likely important because of their association with increased risk of pulmonary arterial compression. For example, the space between the ascending and proximal descending aorta may be relatively small when the aortic arch is right-sided, or in patients with a particularly large aortic root or ascending aorta, as is often seen in association with common arterial trunk (Fig. 1), which may increase the likelihood of compression of the right pulmonary artery. Similarly, after the arterial switch operation with the Lecompte manoeuvre, the branches of the pulmonary trunk may be draped around, and consequently subject to compression by, the ascending aorta (Fig. 3). In fact, 4 of the 11 fractured stents in the central left pulmonary artery in this series were in patients who had undergone an arterial switch operation. Other circumstances in which stents in the left pulmonary artery fractured were in patients with tetralogy of Fallot, in whom the angle of origin of the left pulmonary artery from the pulmonary trunk is abnormally acute and prone to kinking, and in patients with functionally univentricular disease who had undergone reconstruction of the aortic pathway, and subsequently developed compression and stenosis of the central left pulmonary artery by the large neo-ascending aorta anteriorly (Fig. 2).
Manifestations and clinical implications of in situ fracture of pulmonary arterial stents
The manifestations of fracture may vary considerably. The effect of fracture and compression on luminal size and haemodynamic obstruction is a function both of the relief of stenosis from angioplasty and stenting in the first place, and the cross-sectional area of the lumen. When exposed to very high or complex multiaxial compressive forces, a fractured stent may collapse almost completely, or fracture along multiple planes, resulting in a vascular cross-section that takes a lenticular shape (Fig. 1). Severe eccentricity was observed in one-fifth of fractured stents, and in three-tenths of cases there was severe obstruction of the stented pulmonary arterial segment (Fig. 3). On the other hand, most of the fractures identified were associated with modest collapse and mild obstruction. In some of these cases, the compressive forces acting on the stent may be such that very little deformation of the cross-sectional geometry occurs once the point of plastic deformation has been reached, and in others, the fractured edges of the stent overlap, with the contour of the separate segments remaining more or less intact, resulting in a relatively circular cross-sectional area, only with a smaller diameter (Figs. 2 and 4).
Figure 4.

This central right pulmonary arterial stent in a patient with common arterial trunk and interruption of the aortic arch is fractured along superior and inferior axial planes, but is only mildly distorted in its geometry. Over the course of a cardiac cycle, two points of which are demonstrated in (a) and (b), the torsion and compression of the vessel can be appreciated by the movement of the fractured edges of the stent (arrows) relative to one another.
By definition, the structural integrity of a stent is compromised once the yield point is reached, with the transition from elastic to plastic deformation. Clinically, we can consider whether the compromised structural integrity leads to impaired therapeutic efficacy, that is, whether the fractured stent is able to serve its purpose of stenting the vessel open. Of course, it is difficult to assess the relative importance of the underlying lesion and the fracture itself as contributors to recurrent obstruction, but effectiveness of the fractured stent was compromised to some extent in most cases, and severely in one-third (Figs. 1 and 3). Both redilation and restenting were attempted to relieve recurrent obstruction. In cases of mild obstruction, redilation without stenting often provided relief. In all cases of restenting within the fractured stent, this manoeuvre was acutely successful, although among the 8 vessels studied after restenting, fracture recurred in 3.
Other than compromised integrity, there were no apparent complications of fracture. Embolization of fractured fragments to the distal pulmonary artery was noted in 2 cases, which were among the most severely deformed stents, with no clinical sequels. In both cases, an additional stent placed within the initial stent subsequently fractured as well.
Mechanisms of fracture in the pulmonary arteries
Multiple factors contribute to the propensity of a stent to fracture. Fundamentally, strength of the stent, or its resistance to fracture, is a function of the properties of the material from which the stent is made, and the forces to which it is exposed. Balloon expandable stents may be composed of various alloys, thicknesses, and configurations of struts, and manufactured by different processes, all of which may affect the stress-strain properties of the stent once it has been deployed.7,32–35 Almost all expanded stents respond to compression with elastic deformation up to a certain level of stress, the yield point, beyond which they exhibit plastic deformation.36,37 The transition from elastic to plastic deformation is not synonymous with fracture, but an expanded stent subject to compression sufficient to cause plastic deformation loses the strength to resist compression in the direction of the compressing force, and effectively loses structural integrity in that dimension.
When a stent is subjected to a general compressive force, the individual struts or joints of the stent bend, the direction of the deformation depending on the nature of the compressive force. This cyclic bending causes a predominant compressive stress along the inner curvature of the bend, and produces tensile stress along the outer curvature. This localized plastic deformation may cause surface irregularities at which fatigue cracks initiate, typically on the aspect of the strut or joint with a tensile stress. The crack propagates, ultimately leading to full thickness fracture. With axial fracture, this process occurs at the multiple struts or joints along the fracture plane.
Although most fractures appear to be related to fatigue from cyclic external compressive forces, there is also intrinsic stress in the vessel wall. The purpose of an intravascular stent is to resist the recoil, or inward hoop stress, of a vessel, and a deployed stent is inevitably subject to inward stress imparted by the stented vessel. This inward stress is typically anisotropic along the length of the stent, as the stent is usually longer than the stenosis, and the magnitude of stress differs at the site of stenosis and contiguous sections of more normal vessel wall. As with a stent, the vessel wall responds to distending stress with elastic deformation up to the yield point, beyond which the stress-strain relationship changes. In order to treat a vascular stenosis effectively with angioplasty, sufficient stress must be applied to the stenosis to reach its yield point, that is, to tear the tissue. With stenting, it is possible to increase luminal size without creating a tear. In these conditions, the stored potential energy, or the hoop stress, of a stenosis that remains within its range of elastic deformation will be applied continuously to the stent. It is possible that successful angioplasty prior to implantation of a stent will reduce the stored potential energy, thereby minimizing the likelihood and/or consequences of fracture.
Stent fractures in congenitally malformed hearts and other applications
As we and others have previously reported, stents used to treat obstructed conduits placed between the right ventricle and the pulmonary arteries fracture relatively often.8,9 Most of the cases in which fractures were observed in our previously published series were characterized by obstruction of the conduit immediately behind the anterior chest wall, such that the stent was effectively compressed between the chest wall and the heart.8 Calcification of the conduit may also play a role by imparting a brittleness that probably limits the range of elastic deformation, which may affect the inward hoop stress of the stented conduit, or alternatively, provide added radial strength that supplements the strength of the stent to resist against compressive forces. Compared with fractured stents in the pulmonary arteries, fractured stents placed in conduits have been more likely to embolize in our experience,8 which may be due to local factors such as variable apposition to the vessel wall, or to more rapid fracture and concomitantly less stabilization by endothelialization of the stent.
We and others have also observed that stents used to treat aortic coarctation appear to fracture relatively often,10–12 probably from to a different mechanism than stents placed in conduits or pulmonary arteries. Among 79 patients with coarctation undergoing follow-up angiography or fluoroscopy in our series, fractures were identified in 11 (14%).10 The sections of the fractured stents did not embolize or cause noticeable haemodynamic compromise, and in contrast to stents in the pulmonary arteries or conduits, most fractures were not associated with recurrent obstruction. The mechanism of fracture in the setting of aortic coarctation is unknown, but may be a function of high residual hoop stress at the site of coarctation, combined with regional weakening due to shear stress at the point of compliance mismatch between the stenotic and adjacent segments of aortic wall.
Limitations
Our study is limited by its retrospective design, which prevents us from assessing a variety of factors specific to the patient and the procedure of stenting. Several factors relating to the operator and equipment may influence the stresses to which a stent is exposed prior to implantation, most importantly, the extent and method of hand-crimping the stent onto the delivery balloon. This process inevitably exerts deforming stresses on the stent that may weaken it, and may alter its brittleness or introduce small flaws from which cracks, and ultimately fractures, can propagate. The variable frequency and duration of follow-up also limits our ability to assess the true incidence of fracture, or freedom from fracture over time. Also, this study only provides insight into the behaviour of Palmaz renal and iliac stents, stainless steel stents with a simple slotted design that produces diamond-shaped cells when expanded, and which are no longer available commercially.
Implications for design and testing
The mechanical characteristics and response to in situ stresses will vary among different stents, with material, thickness, design, and manufacturing all playing an important part. Moreover, the propensity of stents to fracture may not be uniform within the stent, and observation of clinical behaviour can elucidate specific vulnerabilities. For example, in all of our cases, the planes of fracture were through joints, as opposed to struts, suggesting that joints are more vulnerable to fatigue and fracture in the face of cyclic external compression. Experimental studies have confirmed that, after the deformation caused by deployment, the joints in Palmaz stents become areas of high concentration of stress that are more prone to initiate cracks and fracture than the struts (Unpublished data, personal communication, M. Zhu, Medtronic). Also, as we and others12 have observed, newer generation Palmaz® Genesis™ stents (Cordis Endovascular, Miami, FL) tend to fracture in a circumferential or transverse plane, which we have not seen to occur with Palmaz iliac or renal stents (Unpublished data). The design of the Genesis stent incorporates sigma hinges that link adjacent rings of cells, imparting flexibility during delivery.7 These hinges appear to constitute a relatively weak link, and fracture of Genesis stents seems to occur circumferentially through planes of sigma hinges, rather than axially through nodes, as with Palmaz iliac and renal stents.
One of the major considerations in the design of vascular stents is the balance between strength, ductility, flexibility, and thickness. The standard methods of bench-testing for strength and fatigue, which typically include compression by two flat plates, are inevitably simpler and more controlled than the typical clinical situation.7,32–35 In order to facilitate the development of more resilient stents for applications known to harbour a high risk of fracture, it will be necessary to understand better the stresses to which a stent is exposed. This is a complex task, but more sophisticated clinical imaging and computational modeling, coupled with an improved understanding of the behavior of stents in experimental settings, may help lead to more incisive evaluation of biomechanics of the inserted stents, and ultimately to the design of more sophisticated and sturdy devices.
Conclusions
In situ fracture of stents used to treat pulmonary arterial stenosis is more common than previously appreciated, and in most cases appears to be related in part to cyclic compression stress by the aorta. Recurrent obstruction across the stented segment of vessel is common once a stent fractures. Fractured stents rarely fragment or embolize, and, aside from restenosis, are not associated with significant complications.
Acknowledgments
We thank Mike Zhu, PhD, and James Lock, MD, for their review of, and comments on, the manuscript. This work was supported by the National Institutes of Health under award number: T32HL007572. The content is solely the responsibility of the authors and does not necessarily represent the official views of the National Institutes of Health.
References
- 1.O'Laughlin MP, Perry SB, Lock JE, Mullins CE. Use of endovascular stents in congenital heart disease. Circulation. 1991;83:1923–1939. doi: 10.1161/01.cir.83.6.1923. [DOI] [PubMed] [Google Scholar]
- 2.O'Laughlin MP, Slack MC, Grifka RG, Perry SB, Lock JE, Mullins CE. Implantation and intermediate- term follow-up of stents in congenital heart disease. Circulation. 1993;88:605–614. doi: 10.1161/01.cir.88.2.605. [DOI] [PubMed] [Google Scholar]
- 3.Fogelman R, Nykanen D, Smallhorn J, McCrindle BW, Freedom RM, Benson LN. Endovascular stents in the pulmonary circulation: clinical impact on management and medium-term follow-up. Circulation. 1995;92:881–885. doi: 10.1161/01.cir.92.4.881. [DOI] [PubMed] [Google Scholar]
- 4.Bar-Cohen Y, Perry SB, Keane JF, Lock JE. Use of stents to maintain atrial defects and fontan fenestrations in congenital heart disease. J Interv Cardiol. 2005;18:111–118. doi: 10.1111/j.1540-8183.2005.04049.x. [DOI] [PubMed] [Google Scholar]
- 5.McMahon CJ, El-Said HG, Grifka RG, Fraley JK, Nihill MR, Mullins CE. Redilation of endovascular stents in congenital heart disease: factors implicated in the development of restenosis and neointimal proliferation. J Am Coll Cardiol. 2001;38:521–526. doi: 10.1016/s0735-1097(01)01406-1. [DOI] [PubMed] [Google Scholar]
- 6.McMahon CJ, El Said HG, Vincent JA, et al. Refinements in the implantation of pulmonary arterial stents: impact on morbidity and mortality of the procedure over the last two decades. Cardiol Young. 2002;12:445–452. doi: 10.1017/s1047951102000768. [DOI] [PubMed] [Google Scholar]
- 7.Forbes TJ, Rodriguez-Cruz E, Amin Z, et al. The Genesis stent: A new low-profile stent for use in infants, children, and adults with congenital heart disease. Catheter Cardiovasc Interv. 2003;59:406–414. doi: 10.1002/ccd.10547. [DOI] [PubMed] [Google Scholar]
- 8.Peng LF, McElhinney DB, Nugent AW, et al. Endovascular stenting of obstructed right ventricle-to-pulmonary artery conduits: a fifteen-year experience. Circulation. 2006;113:2598–2605. doi: 10.1161/CIRCULATIONAHA.105.607127. [DOI] [PubMed] [Google Scholar]
- 9.Nordmeyer J, Khambadkone S, Coats L, et al. Risk stratification, systematic classification, and anticipatory management strategies for stent fracture after percutaneous pulmonary valve implantation. Circulation. 2007;115:1392–1397. doi: 10.1161/CIRCULATIONAHA.106.674259. [DOI] [PubMed] [Google Scholar]
- 10.Qureshi AM, McElhinney DB, Lock JE, Landzberg MJ, Lang P, Marshall AC. Acute and intermediate outcomes, and evaluation of injury to the aortic wall, as based on 15 years experience of implanting stents to treat aortic coarctation. Cardiol Young. 2007;17:1–12. doi: 10.1017/S1047951107000339. [DOI] [PubMed] [Google Scholar]
- 11.Ledesma M, Jauregui R, Ceron CK, et al. Stent fracture after stent therapy for aortic coarctation. J Invasive Cardiol. 2003;15:719–721. [PubMed] [Google Scholar]
- 12.Carrozza M, Santoro G, Giovanna Russo M, Caianiello G, Calabro R. Stress stent fracture: is stent angioplasty really a safe therapeutic option in native aortic coarctation? Int J Cardiol. 2006;113:127–128. doi: 10.1016/j.ijcard.2005.08.041. [DOI] [PubMed] [Google Scholar]
- 13.Lee MS, Jurewitz D, Aragon J, Forrester J, Makkar RR, Kar S. Stent fracture associated with drug- eluting stents: clinical characteristics and implications. Catheter Cardiovasc Interv. 2007;69:387–394. doi: 10.1002/ccd.20942. [DOI] [PubMed] [Google Scholar]
- 14.Koh TW, Mathur A. Coronary stent fracture in a saphenous vein graft to right coronary artery – successful treatment by the novel use of the Jomed coronary stent graft: case report and review of the literature. Int J Cardiol. 2007;119:e43–45. doi: 10.1016/j.ijcard.2007.01.106. [DOI] [PubMed] [Google Scholar]
- 15.Valibhoy AR, Mwipatayi BP, Sieunarine K. Fracture of a carotid stent: an unexpected complication. J Vasc Surg. 2007;45:603–606. doi: 10.1016/j.jvs.2006.08.086. [DOI] [PubMed] [Google Scholar]
- 16.Tsutsumi M, Kazekawa K, Onizuka M, et al. Stent fracture in revascularization for symptomatic ostial vertebral artery stenosis. Neuroradiology. 2007;49:253–257. doi: 10.1007/s00234-006-0185-x. [DOI] [PubMed] [Google Scholar]
- 17.Kessler IM, Mounayer C, Piotin M, Spelle L, Vanzin JR, Moret J. The use of balloon-expandable stents in the management of intracranial arterial diseases: a 5-year single-center experience. AJNR Am J Neuroradiol. 2005;26:2342–2348. [PMC free article] [PubMed] [Google Scholar]
- 18.Sahin S, Memis A, Parildar M, Oran I. Fracture of a renal artery stent due to mobile kidney. Cardiovasc Intervent Radiol. 2005;28:683–685. doi: 10.1007/s00270-004-0337-5. [DOI] [PubMed] [Google Scholar]
- 19.Sacks BA, Miller A, Gottlieb M. Fracture of an iliac artery Palmaz stent. J Vasc Interv Radiol. 1996;7:53–55. doi: 10.1016/s1051-0443(96)70733-9. [DOI] [PubMed] [Google Scholar]
- 20.Scheinert D, Scheinert S, Sax J, et al. Prevalence and clinical impact of stent fractures after femoropopliteal stenting. J Am Coll Cardiol. 2005;45:312–315. doi: 10.1016/j.jacc.2004.11.026. [DOI] [PubMed] [Google Scholar]
- 21.Schlager O, Dick P, Sabeti S, et al. Long-segment SFA stenting – the dark sides: instent restenosis, clinical deterioration, and stent fractures. J Endovasc Ther. 2005;12:676–684. doi: 10.1583/05-1672.1. [DOI] [PubMed] [Google Scholar]
- 22.Solis J, Allaqaband S, Bajwa T. A case of popliteal stent fracture with pseudoaneurysm formation. Catheter Cardiovasc Interv. 2006;67:319–322. doi: 10.1002/ccd.20600. [DOI] [PubMed] [Google Scholar]
- 23.Meier GH, Pollak JS, Rosenblatt M, Dickey KW, Gusberg RJ. Initial experience with venous stents in exertional axillary-subclavian vein thrombosis. J Vasc Surg. 1996;24:974–981. doi: 10.1016/s0741-5214(96)70043-5. [DOI] [PubMed] [Google Scholar]
- 24.Seriki DM, Ashleigh RJ, Butterfield JS, et al. Midterm follow-up of a single-center experience of endovascular repair of abdominal aortic aneurysms with use of the Talent stent-graft. J Vasc Interv Radiol. 2006;17:973–977. doi: 10.1097/01.RVI.0000222661.64390.3e. [DOI] [PubMed] [Google Scholar]
- 25.Zaleski GX, Funaki B, Rosenblum J, Theoharis J, Leef J. Metallic stents deployed in synthetic arteriovenous hemodialysis grafts. AJR Am J Roentgenol. 2001;176:1515–1519. doi: 10.2214/ajr.176.6.1761515. [DOI] [PubMed] [Google Scholar]
- 26.Yoshida H, Mamada Y, Taniai N, et al. Fracture of an expandable metallic stent placed for biliary obstruction due to common bile duct carcinoma. J Nippon Med Sch. 2006;73:164–168. doi: 10.1272/jnms.73.164. [DOI] [PubMed] [Google Scholar]
- 27.Forshaw MJ, Sankararajah D, Stewart M, Parker MC. Self-expanding metallic stents in the treatment of benign colorectal disease: indications and outcomes. Colorectal Dis. 2006;8:102–111. doi: 10.1111/j.1463-1318.2005.00806.x. [DOI] [PubMed] [Google Scholar]
- 28.Schoefl R, Winkelbauer F, Haefner M, Poetzi R, Gangl A, Lammer J. Two cases of fractured esophageal nitinol stents. Endoscopy. 1996;28:518–520. doi: 10.1055/s-2007-1005534. [DOI] [PubMed] [Google Scholar]
- 29.Zakaluzny SA, Lane JD, Mair EA. Complications of tracheobronchial airway stents. Otolaryngol Head Neck Surg. 2003;128:478–488. doi: 10.1016/S0194-59980300002-0. [DOI] [PubMed] [Google Scholar]
- 30.van Gameren M, Witsenburg M, Takkenberg JJ, et al. Early complications of stenting in patients with congenital heart disease: a multicentre study. Eur Heart J. 2006;27:2709–2715. doi: 10.1093/eurheartj/ehl328. [DOI] [PubMed] [Google Scholar]
- 31.Knirsch W, Haas NA, Lewin MA, Uhlemann F. Longitudinal stent fracture 11 months after implantation in the left pulmonary artery and successful management by a stent-in-stent maneuver. Catheter Cardiovasc Interv. 2003;58:116–118. doi: 10.1002/ccd.10379. [DOI] [PubMed] [Google Scholar]
- 32.Flueckiger F, Sternthal H, Klein GE, Aschauer M, Szolar D, Kleinhappl G. Strength, elasticity, and plasticity of expandable metal stents: in vitro studies with three types of stress. J Vasc Interv Radiol. 1994;5:745–750. doi: 10.1016/s1051-0443(94)71594-3. [DOI] [PubMed] [Google Scholar]
- 33.Duda SH, Wiskirchen J, Tepe G, et al. Physical properties of endovascular stents: an experimental comparison. J Vasc Interv Radiol. 2000;11:645–654. doi: 10.1016/s1051-0443(07)61620-0. [DOI] [PubMed] [Google Scholar]
- 34.Lossef SV, Lutz RJ, Mundorf J, Barth KH. Comparison of mechanical deformation properties of metallic stents with use of stressstrain analysis. J Vasc Interv Radiol. 1994;5:341–349. doi: 10.1016/s1051-0443(94)71499-8. [DOI] [PubMed] [Google Scholar]
- 35.Marrey RV, Burgermeister R, Grishaber RB, Ritchie RO. Fatigue and life prediction for cobalt- chromium stents: a fracture mechanics analysis. Biomaterials. 2006;27:1988–2000. doi: 10.1016/j.biomaterials.2005.10.012. [DOI] [PubMed] [Google Scholar]
- 36.Smith WF. Principles of Materials Science and Engineering. McGraw-Hill Higher Education; New York: 1986. Mechanical properties of metals; pp. 286–287. [Google Scholar]
- 37.Hausdorf G. Mechanical and biophysical aspects of stents. In: Rao PS, Kern MJ, editors. Catheter Based Devices for The Treatment of Non-Coronary Cardiovascular Disease In Adults and Children. Lippincott Williams & Wilkins; Philadelphia: 2003. pp. 271–284. [Google Scholar]
