Abstract
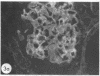
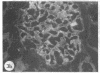
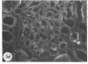
In passive Heymann nephritis (PHN) in rats, antibody (anti-Fx1A) reacts in situ with a glomerular epithelial antigen and induces complement (C)-mediated cell-independent proteinuria. To assess the role of the membrane attack complex (MAC), we determined the need for C8 in the pathogenesis of proteinuria in an autologous-phase model of PHN. Isolated rat kidneys, containing nonnephritogenic, non-C-fixing gamma 2 sheep anti-Fx1A (planted antigen), when perfused in vitro with C-fixing guinea pig anti-sheep IgG and a source of C (fresh human plasma 50% vol/vol in buffer containing bovine serum albumin), developed marked proteinuria after 20 min (0.58 +/- 0.08 mg/min X g, n = 8) that increased further to 3.20 +/- 0.93 mg/min X g after 80 min. In contrast, identical kidneys perfused with antibody and heat-inactivated or C8-deficient human plasma and normal kidneys perfused with antibody and fresh plasma excreted only 0.27 +/- 0.03 (n = 6), 0.27 +/- 0.04 (n = 5), and 0.40 +/- 0.05 mg/min X g (n = 6) after 20 min, and 0.13 +/- 0.02, 0.22 +/- 0.03, and 0.32 +/- 0.05 mg/min X g after 80 min, respectively. When C8-deficient plasma was reconstituted with sources of C8 (n = 3), proteinuria was restored to the level observed with fresh normal plasma. Differences in protein excretion could not be explained by quantitative differences in glomerular antigen or antibody content. Extensive ultrastructural damage to glomerular visceral epithelial cells was exclusively seen in antigen-containing kidneys perfused with antibody and C8-replete plasma. Thus, glomerular injury in this model results from an antigen-specific, antibody-directed, C8-dependent reaction involving assembly of the MAC. The ultrastructural findings argue in favor of MAC-induced cytotoxicity of the glomerular visceral epithelial cells.
Full text
PDF











Images in this article
Selected References
These references are in PubMed. This may not be the complete list of references from this article.
- Adler S., Baker P. J., Pritzl P., Couser W. G. Detection of terminal complement components in experimental immune glomerular injury. Kidney Int. 1984 Dec;26(6):830–837. doi: 10.1038/ki.1984.225. [DOI] [PubMed] [Google Scholar]
- Adler S., Salant D. J., Dittmer J. E., Rennke H. G., Madaio M. P., Couser W. G. Mediation of proteinuria in membranous nephropathy due to a planted glomerular antigen. Kidney Int. 1983 Jun;23(6):807–815. doi: 10.1038/ki.1983.99. [DOI] [PubMed] [Google Scholar]
- Assel E., Neumann K. H., Schurek H. J., Sonnenburg C., Stolte H. Glomerular albumin leakage and morphology after neutralization of polyanions. I. Albumin clearance and sieving coefficient in the isolated perfused rat kidney. Ren Physiol. 1984;7(6):357–364. [PubMed] [Google Scholar]
- Biesecker G. Membrane attack complex of complement as a pathologic mediator. Lab Invest. 1983 Sep;49(3):237–249. [PubMed] [Google Scholar]
- Biesecker G., Noble B., Andres G. A., Koffler D. Immunopathogenesis of Heymann's nephritis. Clin Immunol Immunopathol. 1984 Dec;33(3):333–338. doi: 10.1016/0090-1229(84)90304-0. [DOI] [PubMed] [Google Scholar]
- Camussi G., Brentjens J. R., Noble B., Kerjaschki D., Malavasi F., Roholt O. A., Farquhar M. G., Andres G. Antibody-induced redistribution of Heymann antigen on the surface of cultured glomerular visceral epithelial cells: possible role in the pathogenesis of Heymann glomerulonephritis. J Immunol. 1985 Oct;135(4):2409–2416. [PubMed] [Google Scholar]
- Couser W. G., Darby C., Salant D. J., Adler S., Stilmant M. M., Lowenstein L. M. Anti-GBM antibody-induced proteinuria in isolated perfused rat kidney. Am J Physiol. 1985 Aug;249(2 Pt 2):F241–F250. doi: 10.1152/ajprenal.1985.249.2.F241. [DOI] [PubMed] [Google Scholar]
- Couser W. G., Steinmuller D. R., Stilmant M. M., Salant D. J., Lowenstein L. M. Experimental glomerulonephritis in the isolated perfused rat kidney. J Clin Invest. 1978 Dec;62(6):1275–1287. doi: 10.1172/JCI109248. [DOI] [PMC free article] [PubMed] [Google Scholar]
- Couser W. G., Stilmant M. M., Darby C. Autologous immune complex nephropathy. I. Sequential study of immune complex deposition, ultrastructural changes, proteinuria, and alterations in glomerular sialoprotein. Lab Invest. 1976 Jan;34(1):23–30. [PubMed] [Google Scholar]
- Dahl M. V., Falk R. J., Carpenter R., Michael A. F. Deposition of the membrane attack complex of complement in bullous pemphigoid. J Invest Dermatol. 1984 Feb;82(2):132–135. doi: 10.1111/1523-1747.ep12259679. [DOI] [PubMed] [Google Scholar]
- Deen W. M., Satvat B. Determinants of the glomerular filtration of proteins. Am J Physiol. 1981 Aug;241(2):F162–F170. doi: 10.1152/ajprenal.1981.241.2.F162. [DOI] [PubMed] [Google Scholar]
- Densen P., Brown E. J., O'Neill G. J., Tedesco F., Clark R. A., Frank M. M., Webb D., Myers J. Inherited deficiency of C8 in a patient with recurrent meningococcal infections: further evidence for a dysfunctional C8 molecule and nonlinkage to the HLA system. J Clin Immunol. 1983 Jan;3(1):90–99. doi: 10.1007/BF00919144. [DOI] [PubMed] [Google Scholar]
- Falk R. J., Dalmasso A. P., Kim Y., Tsai C. H., Scheinman J. I., Gewurz H., Michael A. F. Neoantigen of the polymerized ninth component of complement. Characterization of a monoclonal antibody and immunohistochemical localization in renal disease. J Clin Invest. 1983 Aug;72(2):560–573. doi: 10.1172/JCI111004. [DOI] [PMC free article] [PubMed] [Google Scholar]
- Forbes R. D., Guttmann R. D., Kuramochi T., Klassen J., Knaack J. Nonessential role of neutrophils as mediators of hyperacute cardiac allograft rejection in the rat. Lab Invest. 1976 Mar;34(3):229–234. [PubMed] [Google Scholar]
- Forbes R. D., Pinto-Blonde M., Guttmann R. D. The effect of anticomplementary cobra venom factor on hyperacute rat cardiac allograft rejection. Lab Invest. 1978 Nov;39(5):463–470. [PubMed] [Google Scholar]
- Fray J. C. Stretch receptor model for renin release with evidence from perfused rat kidney. Am J Physiol. 1976 Sep;231(3):936–944. doi: 10.1152/ajplegacy.1976.231.3.936. [DOI] [PubMed] [Google Scholar]
- Groggel G. C., Adler S., Rennke H. G., Couser W. G., Salant D. J. Role of the terminal complement pathway in experimental membranous nephropathy in the rabbit. J Clin Invest. 1983 Dec;72(6):1948–1957. doi: 10.1172/JCI111159. [DOI] [PMC free article] [PubMed] [Google Scholar]
- Groggel G. C., Salant D. J., Darby C., Rennke H. G., Couser W. G. Role of terminal complement pathway in the heterologous phase of antiglomerular basement membrane nephritis. Kidney Int. 1985 Apr;27(4):643–651. doi: 10.1038/ki.1985.59. [DOI] [PubMed] [Google Scholar]
- Hadding U., Müller-Eberhard H. J. Complement: substitution of the terminal component in immune hemolysis by 1,10-phenanthroline. Science. 1967 Jul 28;157(3787):442–443. doi: 10.1126/science.157.3787.442. [DOI] [PubMed] [Google Scholar]
- Hammer C. H., Wirtz G. H., Renfer L., Gresham H. D., Tack B. F. Large scale isolation of functionally active components of the human complement system. J Biol Chem. 1981 Apr 25;256(8):3995–4006. [PubMed] [Google Scholar]
- Hänsch G. M., Seitz M., Martinotti G., Betz M., Rauterberg E. W., Gemsa D. Macrophages release arachidonic acid, prostaglandin E2, and thromboxane in response to late complement components. J Immunol. 1984 Oct;133(4):2145–2150. [PubMed] [Google Scholar]
- Imagawa D. K., Osifchin N. E., Paznekas W. A., Shin M. L., Mayer M. M. Consequences of cell membrane attack by complement: release of arachidonate and formation of inflammatory derivatives. Proc Natl Acad Sci U S A. 1983 Nov;80(21):6647–6651. doi: 10.1073/pnas.80.21.6647. [DOI] [PMC free article] [PubMed] [Google Scholar]
- Inoue K., Kinoshita T., Okada M., Akiyama Y. Release of phospholipids from complement-mediated lesions on the surface structure of Escherichia coli. J Immunol. 1977 Jul;119(1):65–72. [PubMed] [Google Scholar]
- Kefalides N. A., Alper R., Clark C. C. Biochemistry and metabolism of basement membranes. Int Rev Cytol. 1979;61:167–228. doi: 10.1016/s0074-7696(08)61998-1. [DOI] [PubMed] [Google Scholar]
- Kerjaschki D., Farquhar M. G. Immunocytochemical localization of the Heymann nephritis antigen (GP330) in glomerular epithelial cells of normal Lewis rats. J Exp Med. 1983 Feb 1;157(2):667–686. doi: 10.1084/jem.157.2.667. [DOI] [PMC free article] [PubMed] [Google Scholar]
- Koffler D., Biesecker G., Noble B., Andres G. A., Martinez-Hernandez A. Localization of the membrane attack complex (MAC) in experimental immune complex glomerulonephritis. J Exp Med. 1983 Jun 1;157(6):1885–1905. doi: 10.1084/jem.157.6.1885. [DOI] [PMC free article] [PubMed] [Google Scholar]
- Kopp W. C., Burrell R. Evidence for antibody-dependent binding of the terminal complement component to alveolar basement membrane. Clin Immunol Immunopathol. 1982 Apr;23(1):10–21. doi: 10.1016/0090-1229(82)90066-6. [DOI] [PubMed] [Google Scholar]
- Koski C. L., Ramm L. E., Hammer C. H., Mayer M. M., Shin M. L. Cytolysis of nucleated cells by complement: cell death displays multi-hit characteristics. Proc Natl Acad Sci U S A. 1983 Jun;80(12):3816–3820. doi: 10.1073/pnas.80.12.3816. [DOI] [PMC free article] [PubMed] [Google Scholar]
- Maack T. Physiological evaluation of the isolated perfused rat kidney. Am J Physiol. 1980 Feb;238(2):F71–F78. doi: 10.1152/ajprenal.1980.238.2.F71. [DOI] [PubMed] [Google Scholar]
- Mayer M. M. Mechanism of cytolysis by complement. Proc Natl Acad Sci U S A. 1972 Oct;69(10):2954–2958. doi: 10.1073/pnas.69.10.2954. [DOI] [PMC free article] [PubMed] [Google Scholar]
- McConahey P. J., Dixon F. J. A method of trace iodination of proteins for immunologic studies. Int Arch Allergy Appl Immunol. 1966;29(2):185–189. doi: 10.1159/000229699. [DOI] [PubMed] [Google Scholar]
- Neale T. J., Couser W. G., Salant D. J., Lowenstein L. M., Wilson C. B. Specific uptake of Heymann's nephritic kidney eluate by rat kidney: studies in vivo and in isolated perfused kidneys. Lab Invest. 1982 Apr;46(4):450–453. [PubMed] [Google Scholar]
- Nishiitsutsuji-Uwo J. M., Ross B. D., Krebs H. A. Metabolic activities of the isolated perfused rat kidney. Biochem J. 1967 Jun;103(3):852–862. doi: 10.1042/bj1030852. [DOI] [PMC free article] [PubMed] [Google Scholar]
- O'Regan C. C., Robitaille P., Pinto-Blonde M., Chartrand C. Delayed rejection of cardiac xenografts in C6-deficient rabbits. Immunology. 1979 Oct;38(2):245–248. [PMC free article] [PubMed] [Google Scholar]
- Parra G., Platt J. L., Falk R. J., Rodriguez-Iturbe B., Michael A. F. Cell populations and membrane attack complex in glomeruli of patients with post-streptococcal glomerulonephritis: identification using monoclonal antibodies by indirect immunofluorescence. Clin Immunol Immunopathol. 1984 Dec;33(3):324–332. doi: 10.1016/0090-1229(84)90303-9. [DOI] [PubMed] [Google Scholar]
- Perkinson D. T., Baker P. J., Couser W. G., Johnson R. J., Adler S. Membrane attack complex deposition in experimental glomerular injury. Am J Pathol. 1985 Jul;120(1):121–128. [PMC free article] [PubMed] [Google Scholar]
- Podack E. R., Biesecker G., Müller-Eberhard H. J. Membrane attack complex of complement: generation of high-affinity phospholipid binding sites by fusion of five hydrophilic plasma proteins. Proc Natl Acad Sci U S A. 1979 Feb;76(2):897–901. doi: 10.1073/pnas.76.2.897. [DOI] [PMC free article] [PubMed] [Google Scholar]
- Salant D. J., Adler S., Darby C., Capparell N. J., Groggel G. C., Feintzeig I. D., Rennke H. G., Dittmer J. E. Influence of antigen distribution on the mediation of immunological glomerular injury. Kidney Int. 1985 Jun;27(6):938–950. doi: 10.1038/ki.1985.102. [DOI] [PubMed] [Google Scholar]
- Salant D. J., Belok S., Madaio M. P., Couser W. G. A new role for complement in experimental membranous nephropathy in rats. J Clin Invest. 1980 Dec;66(6):1339–1350. doi: 10.1172/JCI109987. [DOI] [PMC free article] [PubMed] [Google Scholar]
- Salant D. J., Darby C., Couser W. G. Experimental membranous glomerulonephritis in rats. Quantitative studies of glomerular immune deposit formation in isolated glomeruli and whole animals. J Clin Invest. 1980 Jul;66(1):71–81. doi: 10.1172/JCI109837. [DOI] [PMC free article] [PubMed] [Google Scholar]
- Sandberg A. L., Raisz L. G., Wahl L. M., Simmons H. A. Enhancement of complement-mediated prostaglandin synthesis and bone resorption by arachidonic acid and inhibition by cortisol. Prostaglandins Leukot Med. 1982 May;8(5):419–427. [PubMed] [Google Scholar]
- Schneeberger E. E., Grupe W. E. The ultrastructure of the glomerular slit diaphragm in autologous immune complex nephritis. Lab Invest. 1976 Mar;34(3):298–305. [PubMed] [Google Scholar]
- Sharon Z., Schwartz M. M., Pauli B. U., Lewis E. J. Impairment of glomerular clearance of macroaggregates in immune complex glomerulonephritis. Kidney Int. 1982 Jul;22(1):8–12. doi: 10.1038/ki.1982.125. [DOI] [PubMed] [Google Scholar]
- Sonnenburg-Hatzopoulos C., Assel E., Schurek H. J., Stolte H. Glomerular albumin leakage and morphology after neutralization of polyanions. II. Discrepancy of protamine induced albuminuria and fine structure of the glomerular filtration barrier. J Submicrosc Cytol. 1984 Oct;16(4):741–751. [PubMed] [Google Scholar]
- Stolfi R. L. Immune lytic transformation: a state of irreversible damage generated as a result of the reaction of the eighth component in the guinea pig complement system. J Immunol. 1968 Jan;100(1):46–54. [PubMed] [Google Scholar]
- Stolte H., Schurek H. J., Alt J. M. Glomerular albumin filtration: a comparison of micropuncture studies in the isolated perfused rat kidney with in vivo experimental conditions. Kidney Int. 1979 Sep;16(3):377–384. doi: 10.1038/ki.1979.140. [DOI] [PubMed] [Google Scholar]
- Swanson J. W., Besarab A., Pomerantz P. P., DeGuzman A. Effect of erythrocytes and globulin on renal functions of the isolated rat kidney. Am J Physiol. 1981 Aug;241(2):F139–F150. doi: 10.1152/ajprenal.1981.241.2.F139. [DOI] [PubMed] [Google Scholar]
- Tamura N., Shimada A., Chang S. Further evidence for immune cytolysis by antibody and the first eight components of complement in the absence of C9. Immunology. 1972 Jan;22(1):131–140. [PMC free article] [PubMed] [Google Scholar]
- Tan-Wilson A. L., Rightmire B. R., Wilson K. A. Determination of relative antigen-antibody avidities by radial immunodiffusion. J Immunol Methods. 1983 Jun 24;61(1):99–106. doi: 10.1016/0022-1759(83)90013-3. [DOI] [PubMed] [Google Scholar]
- Tedesco F., Densen P., Villa M. A., Petersen B. H., Sirchia G. Two types of dysfunctional eighth component of complement (C8) molecules in C8 deficiency in man. Reconstitution of normal C8 from the mixture of two abnormal C8 molecules. J Clin Invest. 1983 Feb;71(2):183–191. doi: 10.1172/JCI110758. [DOI] [PMC free article] [PubMed] [Google Scholar]
- Vaerman J. P., Lebacq-Verheyden A. M., Scolari L., Heremans J. F. Further studies on single radial immunodiffusion. II. The reversed system: diffusion of antibodies in antigen-containing gels. Immunochemistry. 1969 Mar;6(2):287–293. doi: 10.1016/0019-2791(69)90165-7. [DOI] [PubMed] [Google Scholar]
- de Heer E., Daha M. R., Bhakdi S., Bazin H., van Es L. A. Possible involvement of terminal complement complex in active Heymann nephritis. Kidney Int. 1985 Feb;27(2):388–393. doi: 10.1038/ki.1985.21. [DOI] [PubMed] [Google Scholar]








