Abstract
Background & Aims
Polycystic liver disease (PLD), the most common extra-renal manifestation of autosomal-dominant polycystic kidney disease (ADPKD), has become more prevalent due to increased life expectancy, improved renal survival, reduced cardiovascular mortality, and renal replacement therapy. No studies have fully characterized PLD in large cohorts. We investigated whether liver and cyst volumes associate with volume of the hepatic parenchyma, results from liver laboratory tests, and patient-reported outcomes.
Methods
We performed a cross-sectional analysis of baseline liver volumes, measured by magnetic resonance imaging, and their association with demographics, results from liver laboratory and other tests, and quality of life. The data were collected from a randomized, placebo-controlled trial underway at 7 tertiary-care medical centers to determine whether the combination of an angiotensin I converting enzyme inhibitor and angiotensin II receptor blocker was superior to the inhibitor alone, and whether low blood pressure (<110/75mmHg) was superior to standard blood pressure (120–130/70–80mmHg), in delaying renal cystic progression in 558 patients with ADPKD, stage 1–2 chronic kidney disease, and hypertension (15–49 years old).
Results
We found hepatomegaly to be common among patients with ADPKD. Cysts and parenchyma contributed to hepatomegaly. Cysts were more common and liver and cyst volumes were greater in women, increasing with age. Patients with advanced disease had relative loss of liver parenchyma. We observed small abnormalities in results from liver laboratory tests, and that splenomegaly and hypersplenism associated with the severity of PLD. Higher liver volumes were associated with lower quality of life.
Conclusions
Hepatomegaly is common even in early-stage ADPKD and not accounted for by cysts alone. Parenchymal volumes are larger, compared with liver volumes of patients without ADPKD or with those predicted by standardized equations—even among patients without cysts. The severity of PLD is associated with altered biochemical and hematologic features, as well as quality of life.
Keywords: HALT-PKD-A, hepatic cyst, CKD, MRI analysis
INTRODUCTION
Autosomal dominant polycystic kidney disease (ADPKD) is the most common monogenic kidney disease and the fourth leading cause of end-stage kidney disease worldwide.1, 2 Polycystic liver disease (PLD), arbitrarily defined as the presence of any liver cyst, is its most common extrarenal expression.3, 4 Liver cysts often remain asymptomatic, but some individuals experience chronic manifestations related to progressive liver enlargement leading to disability and severely impacting quality of life.5 Symptoms of PLD relate to effects from the volume of hepatic cysts or complications such as cyst hemorrhage, rupture, or infection. Massive hepatomegaly can cause compression of the adjacent gastrointestinal tract, vasculature, and diaphragm. Highly symptomatic PLD has become more common due to reduced cardiovascular mortality, extended renal survival and life expectancy on renal replacement therapy.6-11 Some individuals require interventions including cyst aspiration and/or sclerosis, fenestration and/or combined liver resection/cyst fenestration, hepatic artery embolization, or in extreme cases, liver or combined liver-kidney transplantation. Several interventional clinical trials with the objective of delaying the progression of PLD have been published.12-17
No studies have fully characterized PLD burden in large cohorts with ADPKD. This characterization is needed, as its full clinical impact is not well understood. The HALT Progression of Polycystic Kidney Disease Study A (HALT-PKD-A) is the largest clinical cohort of ADPKD patients with liver and kidney imaging studied to date and is comprised of 558 individuals with early disease (estimated glomerular filtration rate (eGFR) >60 ml/min/1.73 m2) and hypertension, prospectively followed for up to 8 years.18,19 The objective of this study was to systematically characterize PLD-associated morbidities in this cohort and correlate the extent of PLD assessed by magnetic resonance imaging (MRI) with relevant baseline clinical and laboratory data.
METHODS
The HALT-PKD A trial is multicenter, randomized, placebo-controlled trial to investigate the effect of blockade of the renin-angiotensin-aldosterone system on total kidney volume and renal function in adults with ADPKD; eligibility criteria and protocol design are published.18 Full description of methods can be found in the supplemental material.
RESULTS
LVs (available on 534 individuals) (Figure 1A, 1B; 267 males; 267 females) were higher in men (2022±740 mL) than women (1905±859 mL) (P=.0003). After height adjustment there was no gender difference: 1115±405 mL/m (males) versus 1141±518 mL/m (females) (Table 1, Figure 1A).
Figure 1. Effects of sex on height adjusted total liver volume (HtLV) and relationship of HtLV to height adjusted liver parenchymal volume (HtLPV).
(A) Distribution of liver cyst volumes (HtLCV) in relation to HtLVs. A subpopulation of women have more severe PLD with higher HtLCV. (B) Plot of HtLPV and HtLCV versus HtLV. As HtLV increases, HtLPV also increases, but then plateaus. Interrupted diagonal line (slope=1) denotes the maximum values for HtLPV and HtLCV indicating HtLPV closely parallels HtLV for the majority of individuals until HtLV reaches ~1800 mL/m (vertical interrupted line). To illustrate this, the patient with liver cysts and mildest disease (lower left) had HtLV 475 mL/m (mild disease; HtLV<1000ml/m, vertical interrupted line), HtLCV 1 mL/m, and HtLPV 475 mL/m, and the most severe case (points farthest right) had HtLV of 6382 mL/m, HtLCV of 5287 mL/m, and HtLPV of 1095mL/m but their HtLPV is no different than less severe PLD cases with lower HtLVs. X and Y axes are log scale in both figures. The correlation between log (HtLV) and log (HtLPV) was r=0.65 (P<0.001). Note second vertical interrupted line (HtLV>1800 mL/m), the cutoff point for HtLV that delineated Group 3 or the group with the highest htLVs (see Table 3). To the right of the graph are two additional vertical lines delineating HtLVs ≥2x those of normal female (1x=1858 mL/m) and male (1x= 1986 mL/m) controls.
Table 1.
Baseline Characteristics of the Study Population
| Male (N=283, 51%) | Female (N=275, 49%) | ||||
|---|---|---|---|---|---|
| Variable | n | mean±std | n | mean±std | P value |
|
Vital Statistics
| |||||
| Age (years) | 283 | 35.7±8.1 | 275 | 37.6±8.4 | .006* |
| Weight (kg) | 275 | 90.5±15.5 | 273 | 74.3±16.4 | <.0001* |
| Height (cm) | 275 | 181.0±7.8 | 271 | 166.5±6.5 | <.0001* |
| BMI (kg/m2) | 274 | 27.7±4.5 | 271 | 26.8±5.7 | .044* |
| BSA (m2) | 274 | 2.1±0.2 | 271 | 1.8±0.2 | <.0001* |
| SBP home | 192 | 126.6±9.3 | 180 | 121.3±8.9 | <.0001* |
| DBP home | 192 | 82.2±8.1 | 180 | 83.0±7.4 | .2956 |
|
Image analysis | |||||
| Patients with liver cysts (%) | 185 | 69.3 | 210 | 78.7 | .0137* |
| LV (mL) | 267 | 2021.8±748.5 | 267 | 1904.6±859.5 | .0003*1 |
| htLV (mL/m) | 259 | 1115.2±405.5 | 263 | 1141.2±517.6 | .72511 |
| LCV (mL) | 267 | 121.6 (±647.6) | 267 | 310.8 (±763) | <.0001*1 |
| htLCV (mL/m) | 259 | 64.6 (±351.3) | 263 | 184.3 (±459.3) | <.0001*1 |
| LPV | 267 | 1900.2±343.9 | 267 | 1593.8± 336.7 | <.0001*1 |
| htLPV (mL/m) | 259 | 1050.6±184.5 | 263 | 956.9±196.8 | <.0001*1 |
| TKV (mL) | 269 | 1403.7±752.6 | 269 | 1014.6±618.8 | <.0001*1 |
| htTKV | 261 | 773±408 | 265 | 610±368 | <.0001*1 |
| Spleen volume (mL) | 273 | 339.7±129.2 | 272 | 252.6 ±91.4 | <.0001*1 |
| htSV (mL/m) | 265 | 187.3±69.1 | 268 | 151.3±53.7 | <.0001*1 |
|
Laboratory | |||||
| eGFR (mL/min) | 282 | 90.4±17.8 | 275 | 92.7±17.1 | .12 |
| Serum albumin (mg/dL) | 280 | 4.3±0.7 | 274 | 4.1±0.5 | <.0001* |
| Serum sodium (mEq/L) | 283 | 139.3± 2.1 | 275 | 138.6±7.8 | .1371 |
| Hemoglobin (g/dL) | 281 | 15.0±2.1 | 270 | 13.8±7.1 | .005* |
| WBC (cells/μL) | 281 | 6.24±1.8 | 271 | 6.6±5.9 | .295 |
| Platelets (cells/μL) | 281 | 248.2±58.5 | 272 | 260.4±60.4 | .017* |
| AST (u/L) | 282 | 26.4±13.1 | 275 | 21.8±6.9 | <.0001* |
| ALT (u/L) | 282 | 29.3±17 | 275 | 19.1±9.0 | <.0001* |
| Alkaline Phos (u/L) | 282 | 64.7±28.7 | 275 | 54.5±17.3 | <.0001* |
| Bilirubin (mg/dL) | 282 | 0.85±0.41 | 275 | 0.66±0.3 | <.0001* |
|
SF-36 QOL | |||||
| Physical functioning | 278 | 91.5±18.2 | 270 | 90.5±17.5 | .49 |
| Physical role | 277 | 91.6±19.9 | 269 | 88.3±21.5 | .058 |
| Bodily pain | 277 | 80.8±20.5 | 268 | 74.4±22.3 | .0006* |
| General health | 278 | 67.0±19.7 | 270 | 64.5±20.0 | .13 |
| Vitality | 277 | 64.7±18.2 | 269 | 59.8±20.9 | .003* |
| Social functioning | 277 | 90.3±2 | 269 | 85.5±21.6 | .004* |
| Role emotional | 276 | 91.9±2 | 267 | 88.6±20.6 | .04* |
| Mental health | 278 | 91.5±18.2 | 270 | 90.5±17.5 | .49 |
| Standardized mental component | 277 | 51.7±7.9 | 268 | 50±9.8 | .021* |
| Standardized physical component | 277 | 52.8±7.3 | 268 | 51.5±7.8 | .0503 |
Abbreviations: ALT, alanine aminotransferase; AST, aspartate aminotransferase; BMI, body mass index; BSA(m2), body surface area (corrected for height); DBP home, home diastolic blood pressure; eGFR, estimated glomerular filtration rate; htLCV, height adjusted liver cyst volume; htLPV, height adjusted liver parenchymal volume; htLV, height adjusted total liver volume; htSV, height adjusted spleen volume; htTKV, height adjusted total kidney volume; LCV, liver cyst volume; LPV, liver parenchymal volume; LV, total liver volume; MCS, Mental component of health summary score; PCS, physical component of health summary score derived from the SF-36 quality of life form; SBP home, home systolic blood pressure; TKV, total kidney volume; WBC, peripheral white blood cell count.
Significant P value.
Higher prevalence and earlier development of liver cysts in women
LCV (unadjusted for height) was significantly higher in women (311±763 mL) than men (122±648 mL) (P<.0001; Table 1, Figure 1A). Females had higher liver cyst prevalence (78.7%) than males (69.3%) (P=.0137); age adjusted OR=1.54, P=.032 (Table 1).Older men and women had higher liver cyst prevalence (44%, 68%, and 84% of women ≤24, 25-34, and ≥ 35 years old, compared to 17%, 57%, and 79% of men in the same age groups. Eighty-three percent (20 patients) of those with htLCV >700 mL/m were women, as compared to 49% (275 of 558) in the entire cohort (Figure 1B).
Both LCV and LPV contribute to hepatomegaly
In both sexes, LVs were significantly larger in the ADPKD patients than those reported in a group of potential liver donors and for the general population.20 Using a standardized equation for Caucasians, LVs were also higher than those predicted for the same HALT-PKD ADPKD patients (Table 2).20, 21, 22 When adjusted to height, htLPVs were higher in men and htLCVs higher in women (Table 1). To ascertain whether cyst development fully accounts for hepatomegaly, we compared LPVs in the cohort to observed and expected normal LVs in the general population and found that LPVs in our cohort were significantly larger than the LVs in liver transplant living donors (P<.0001), LVs reported in healthy controls (P<.0001), and predicted LVs in our participants using a standardized equation. Even in those without liver cysts, this was significant (P<.0001).22
Table 2.
Comparison of liver and liver parenchymal volumes and predicted liver volumes using a standardized equation versus liver volumes for healthy controls.
| Liver Volume (mL) | Liver Parenchymal Volume (mL) | |||||
|---|---|---|---|---|---|---|
| Normal living liver transplant donors | HALT (predicted) | HALT (observed) | HALT (all patients) | HALT (patients with cysts) | HALT (patients without cysts) | |
| Men | ||||||
| mean±std (n) | 1772±393 (11) | 1875 ±238 (274) | 2022±749 (267) | 1900±344 (267) | 1892 ±331 (185) | 1918 ±372 (82) |
| P value vs. normal donors | ------ | ------ | <.0001* | <.0001* | <.0001* | <.0001* |
| P value vs. predicted LV | ------ | ------ | .0004** | .6046** | .7931** | .5969** |
| Women | ||||||
| mean±std (n) | 1495±357 (21) | 1511±235 (271) | 1905±860 (267) | 1594±337 (267) | 1555 ±289 (210) | 1735 ±448 (57) |
| P value vs. normal donors | ------ | ------ | <.0001* | <.0001* | <.0001* | <.0001* |
| P value vs. predicted LV | ------ | ------ | <.0001** | <.0001** | .0001** | <.0663** |
To determine predicted LV (reported as “HALT predicted”) we used the Vauthey formula, a validated equation for the estimation of standard liver volume in the Caucasian population (LV in mL = −794.41+1,267.28 × BSA in m2).22 Note values in this table are unadjusted for height to permit between group comparisons.
One-sample t test compared to healthy controls.
Paired t test compared to predicted LV.
Normal liver transplant donor MRI-derived LVs were obtained at the University of Pittsburgh from patients considering liver donation. Similar results were obtained using LVs from a CT-based study from another published healthy population (males 1710±288 mL (41) and females 1411±263 mL (36)) 20
Relative reduction in LPV in severe PLD
As expected, htLCV correlated positively with htLV, particularly in severe PLD (Figure 1A) (females r=0.69; males r=0.48). After reaching an htLCV threshold of ~700 mL/m, htLPV does not continue to increase (Figures 1B, Figure 2A, 2B). Because most of these cases are women, the trends of htLV, htLCV, and htLPV (in Figure 1B) account for the lower LPVs in women with compared to those without liver cysts (1555±289 vs. 1735±448 mL, P=.0003, Table 2). Thus, while LPV is normal or larger compared to healthy normals in the majority of ADPKD patients, relative reductions in htLPV occur in a small subset with severe PLD (Figure 1B,).
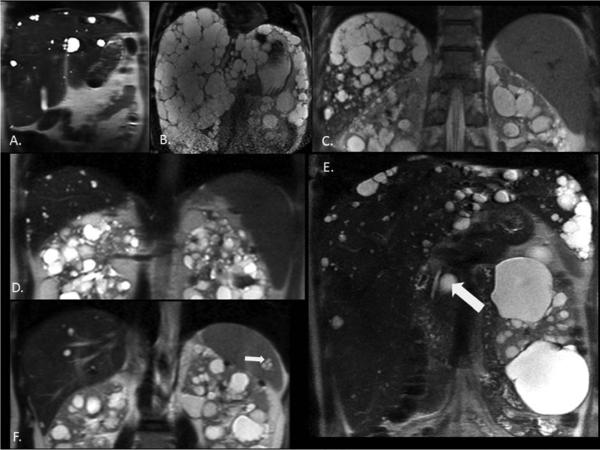
Figure 2. MR images illustrating.
(A) Hepatomegaly (TLV 2677 mL) with larger contribution of LPV (2576 mL) compared to LCV (101 mL); (B) Hepatomegaly (11834 mL) with larger contribution of LCV (9806 mL) compared to LPV (2028 mL); (C) Splenomegaly (601 mL) associated with severe PLD(3388 mL) with LCV (1044 mL); (D) Splenomegaly (542 mL) associated with moderate PLD (LV 2082 mL, LCV 110 mL) (E) Pancreatic cyst (diameter 21.8 mm) (F) Splenic cysts (diameter 12.2 mm).
Classification of PLD into mild, moderate, and severe
We used the data depicted in Figure 1B to classify the extent of PLD into mild, moderate, and severe. We arbitrarily defined mild PLD as htLV <1000 mL/m, and considered htLV between 1000 - 1800 mL/m to represent moderate PLD. We defined severe PLD as htLV >1800 mL/m, (women were 81%) concordant with the plateauing of htLPV at this cutoff point, which approximately corresponds to htLCV >700 mL/m. Table 3 compares demographic, laboratory, and imaging characteristics of patients according to PLD severity. Alternatively arbitrary htLCV cutoffs can be used to define disease (Supplemental Table 5). Patients with severe PLD were older (females in their fourth decade) with lower platelet counts, albumin, eGFR, quality of life, and higher alkaline phosphatase (ALP), alanine aminotransferase (ALT), height adjusted spleen volume (htSV) (Figure 2C).
Table 3.
Demographics, laboratory values, image analysis, and SF-36 by htLV category (mild, moderate, severe polycystic liver disease)
| Variable | htLV (1) <1000 mL/m (Mild PLD) (n=230) | htLV (2) 1000-1800 mL/m (Moderate PLD) (n=264) | htLV (3) >1800 mL/m (Severe PLD) (n=28) | P value |
|---|---|---|---|---|
|
Vital Statistics
| ||||
| Age, mean±std, (years) | 35.2±9.0 | 37.2±7.4 | 42.5±4.5 | P<.0001* |
| vs 2, P=.0160 | ||||
| 1 vs 3, P<.0001 | ||||
| 2 vs 3, P=.0026 | ||||
| Sex, No. (% female) | 123 (43.16%) | 106 (54.36%) | 34 (80.95%) | P<.0001* |
| 1 vs 2, P=.0158 | ||||
| 1 vs 3, P<.0001 | ||||
| 2 vs 3, P=.0015 | ||||
| Age (median and range) | 33.71, 34.22 | 40.53, 30.70 | 43.24, 22.01 | |
|
Laboratory (mean±std) | ||||
| eGFR | 95.5±17.8 | 89.1±16.7 | 84.2±16.7 | P<.0001* |
| 1 vs 2, P=.0010 | ||||
| 1 vs 3, P=.0029 | ||||
| sAlbumin, mg/dL (n) | 4.3±0.8 (229) | 4.1±0.4 (262) | 4.0±0.7 | P=.0042* |
| 1 vs 2, P=.0135 | ||||
| 1 vs 3, P=.046 | ||||
| Bilirubin, mg/dL | 0.8±0.4 | 0.8±0.3 | 0.6±0.2 | P=.1451 |
| Alk phosphatase | 57.8±22.2 | 59.9±26.5 | 74.0±22.7 | P=.0042* |
| 1 vs 3, P=.0028 | ||||
| 2 vs 3, P=.0108 | ||||
| AST (u/L) | 23.2±8.8 | 24.8±12.6 | 26.4±8.3 | P=.1531 |
| ALT (u/L) | 21.1±3.9 | 27.4±15.3 | 26.2±11.4 | P<.0001* |
| 1 vs 2, P<.0001 | ||||
| s Sodium, mEq/L | 139.2±2.2 | 138.6±8.0 | 140.1±2.0 | P=.2638 |
| Hemoglobin, g/dL (n) | 14.0±2.5 (226) | 14.8±7.2 (262) | 13.7±0.8 | P=.2072 |
| Platelets, cells/uL (n) | 254.3±57.5 (227) | 259.7±58.9 (263) | 219.2±45.6 | P=.0020* |
| 1 vs 3, P=.0070 | ||||
| vs 3, P=.0013 | ||||
| WCC, cells/uL (n) | 6.5±6.4 (226) | 6.4±1.8 (262) | P=.9372 | |
|
Image Analysis (mean±std) | ||||
| LCV, mL | 33.4±73.6 | 140.8±263.3 | 2358.9±2004.8 | P<.0001*1 |
| 1 vs 2, P<.0001 | ||||
| 1 vs 3, P<.0001 | ||||
| 2 vs 3, P<.0001 | ||||
| htLCV, mL/m (n) | 19.8±44.3 (230) | 82.4±156.0 | 1389.9±1127.4 | P<.0001*1 |
| 1 vs 2, P<.0001 | ||||
| 1 vs 3, P<.0001 | ||||
| 2 vs 3, P<.0001 | ||||
| TKV, mL (n) | 1197.3±748.7 (226) | 1204.1±72.9 (259) | 1303.6±744.8 | P=.41811 |
| htTKV, mL/m (n) | 685.9±412.3 (226) | 683.6±370.5 (259) | 766.0±430.6 | P=.34091 |
| LPV, mL | 1488.7±205.4 | 1948.4±329.2 | 1972.8±517.7 | P<.0001*1 |
| 1 vs 2, P<.0001 | ||||
| 1 vs 3, P<.0001 | ||||
| htLPV, mL/m | 858.9±92.2 | 1165.5±292.0 | P<.0001*1 | |
| 1 vs 2, P<.0001 | ||||
| 1 vs 3, P<.0001 | ||||
| Spleen Volume, mL (n) | 255.4±97.9 (224) | 328.5±125.8 | 318.0±126.7 | P<.0001*1 |
| 1 vs 2, P<.0001 | ||||
| 1 vs 3, P=.0148 | ||||
| htSV, mL/m (n) | 147.0±52.5 (224) | 186.5±66.3 | 186.7±70.6 | P<.0001*1 |
| 1 vs 2, P<.0001 | ||||
| 1 vs 3, P=.0032 | ||||
|
SF-36 QOL (mean±std) | ||||
| Physical functioning (n) | 90.4±19.3 (226) | 91.8±15.7 (260) | 89.8±18.1 | P=.6325 |
| Physical role (n) | 92.0±17.0 (225) | 88.8±23.2 (259) | 82.4±22.3 | P=.0358* |
| Bodily pain (n) | 78.4±21.5 (224) | 77.8±21.7 (259) | 68.9±23.5 | P=.0881 |
| General health (n) | 66.9±20.4 (226) | 65.0±19.5 (260) | 59.8±20.4 | P=.1699 |
| Vitality (n) | 63.1±19.5 (225) | 61.7±20.3 (259) | 58.2±22.8 | P=.4266 |
| Social functioning (n) | 88.2±19.6 (225) | 88.0±20.4 (259) | 80.8±21.4 | P=.1781 |
| Role emotional (n) | 90.2±18.4 (223) | 90.4±19.8 (258) | 84.5±20.5 | P=.3040 |
| Mental health (n) | 77.8±15.8 (225) | 77.3±14.5 (259) | 74.5±12.4 | P=.5419 |
| Standardized mental component (n) | 51.0±9.6 (224) | 50.7±8.6 (259) | 48.4±9.4 | P=.3542 |
| Standardized physical component (n) | 52.5±7.3 (224) | 52.1±7.4 (259) | 49.8±8.4 | P=.1905 |
P value calculated using log transformed variables.
Significant P value. For quality of life data, despite an overall P<.05, there were still no statistically significant pairwise comparisons values (probably due to the marginal P value P =.0358).
Abbreviations: ALT, alanine aminotransferase; AST, aspartate aminotransferase; eGFR, estimated glomerular filtration rate; htLCV, height adjusted liver cyst volume; htLPV, height adjusted liver parenchymal volume; htLV, height adjusted total liver volume; htSV, height adjusted spleen volume; htTKV, height adjusted total kidney volume; LCV, liver cyst volume; LPV, liver parenchymal volume; LV, total liver volume; TKV, total kidney volume; WCC, white cell count.
Determinants of LV, LCV, and LPV
In bivariate analyses, age, eGFR, htTKV (women only), body weight, BSA and BMI, BPs, and caffeine intake associated with htLV (Supplemental Table 1 and data not shown). Variables associated with htLCV were similar, including age, eGFR, htTKV (women only), body weight, BSA and BMI (women only) (Supplemental Table 1). Baseline variables associated with htLPV were body weight, BSA, BMI, and BPs (Supplemental Table 1). In multivariable analyses (not shown), sex (P=.004), age (P=.001), weight (P<.001), and systolic BP (P=.010) were independently associated with htLV; sex (P<.001), age (P<.001) and lower eGFR (P=.046) were associated with htLCV; weight (P<.001) and systolic BP (P=.002) were independently associated with htLPV.
Subtle liver laboratory test elevations in women with PLD
Liver laboratory tests were mostly within normal range (Table 1). Only 2.3%, 2.7%, and 4.5% of patients had levels of serum ALP, aspartate aminotransferase (AST), and ALT above the upper limit of laboratory normal, and 5.1% had a serum albumin concentration below the lower limit of normal. Serum albumin and blood platelets were lower, whereas serum ALP, spleen volume, and physical role were higher in the severe PLD group (Table 3). In both sexes, ALT correlated with htLV and htLPV (Table 3; data not shown; Supplemental Table 2). ALP (both sexes) and AST (women only) correlated positively with htLV (P=.0042 and P=.0471, respectively), while serum albumin negatively correlated with htLV (P=.0042) and htLPV (P<.0001) (Supplemental Table 2). Correlations between ALP, ALT, or serum albumin and htLV in women remained significant after adjusting for age (P=.001, P=.001, and P=.003, respectively). In men, the correlation between ALT and htLV or htLPV persisted after adjusting for age (P=.006).
LV, QOL, and pain
Scores on several health-related quality of life (HRQoL) questionnaire subdomains (SF-36) including physical role, general health, vitality, mental health, and standardized component, were lower in women compared to men (Table 1). There was a weak association between htLV and SF-36 role-physical (P=.0017) and physical component of health summary score (PCS) in both sexes (P=.0053) with general heath (P=.0048), vitality (P=.0359) and mental health (P=.0450) in men (Table 3). When analyzed by htLV severity, there was an association with decreased physical role (P=.0358) (Table 3). The associations between QOL parameters and htLV did not persist after adjusting for age, BMI, and TKV. When we considered additive effects of htSV+htLV+htTKV (data not shown), we did not see any correlation with QOL measurements in the multivariate analysis, after adjusting for age and BMI for either sex. There were no significant differences across each subdomain according to LCV burden (Supplemental table 5).
Mild splenomegaly and hypersplenism. (see online supplemental results)
Impact of estrogen use and pregnancy number on PLD severity (see online supplemental results)
Prevalence of pancreatic and splenic cysts in ADPKD (see online supplemental results).
DISCUSSION
Despite its significance in ADPKD, few studies have investigated the impact of PLD.23-26 HALT-PKD-A provides an opportunity to correlate MR imaging with clinical, laboratory, and other parameters in a large cohort of patients with ADPKD and CKD stages 1 and 2. Patient selection criteria did not include presence of or extent of PLD.18 Therefore, although this cohort represents a highly selected ADPKD population, recruitment was unaffected by biases favoring inclusion or exclusion of patients with severe PLD. Beyond confirming the recognized higher prevalence and severity of PLD in women compared to men, this study reveals a number of novel observations that advance the understanding of PLD.26 Observed LVs (both male and females) were significantly higher than in the general population, and in women, LPVs were significantly larger than LVs predicted for the same patients. The finding of increased LPV compared to normals indicates that hepatomegaly cannot be entirely accounted for by macroscopic cysts detectable by MRI. It is possible that microscopic cysts or bile duct proliferation contribute to LPV.27, 28 Alternatively hepatocyte hyperplasia or hypertrophy may also contribute to hepatomegaly.29 Indeed this novel observation is consistent with the recent description of hepatocyte hypertrophy in a mouse model of ADPKD and PLD generated by the insertion of a human PKD1 mutation, and demonstration that polycystin 1 and polycystin 2 are expressed in hepatocytes where their reduced expression/function may cause the hepatocyte hypertrophy observed by Hopp et al. 31 Interestingly, many cytokine and growth factors implicated in hepatic regeneration after liver mass reduction are upregulated in PLD. 30,32-36
A previous small study had shown that hepatic parenchyma and function remain normal even in the presence of hepatomegaly.26 Our study shows a relative reduction in LPV in patients with severe PLD. Furthermore, hepatomegaly is accompanied by subtle changes in LLTs (reflected in positive correlations with liver enzymes and negative correlation with serum albumin) and mild hypersplenism (reflected in the positive correlation with spleen volume and negative correlation with platelet count). Therefore, mild elevations in LLTs and mild thrombocytopenia are associated with hepatomegaly in PLD.28
While the association of pancreatic cysts is well recognized, splenic cysts have only been anecdotally reported.31-33 In the current study, the prevalence of splenic cysts was 2.7%, but their origin (epithelial, lymphatic, or other) is unknown. Mild common bile duct dilatation occurs frequently in ADPKD.34 Common bile duct diameter correlated positively with htLV and htLPV, possibly due to shared pathogenic mechanisms. Awareness of this association is important to avoid unnecessary invasive diagnostic procedures.
The correlation between systolic BP and htLPV was unexpected. Angiotensinogen is synthesized in both liver and proximal renal tubules, and overexpression at either site might increase BP, potentially accounting for this correlation. Hormone overproduction at either site is associated with hypertension in mouse transgenic models, and there is some basis for this underlying mechanism in humans.35, 36
Another notable finding is the significant impact of LV on quality of life. Consistent with greater PLD severity in women, the impact was also more pronounced in females. Even though life-threatening hepatic dysfunction is rare in ADPKD, the effect of massive organ enlargement per se on QOL provides a strong rationale for medical interventions to retard liver growth. Liver cyst prevalence and LVs were higher in women with a history of pregnancy compared to nulliparous women, regardless of prior birth control pill use. This difference, however, disappeared after adjusting for age. Therefore we could not demonstrate an independent effect of pregnancy or exogenous estrogens on LV, likely due to the relatively young age and low PLD severity of the patients in our study and the lower estrogen content of contemporary contraceptives.37, 38
The strengths of this study are cohort design, large size, prospective data collection, including QOL assessments, high quality imaging and analysis. LCV is more difficult than total LV measurement.39
There are several study limitations. Cases were selected for early CKD and likely underestimate the burden of PLD because the HALT-PKD-A cohort is limited by its narrow age inclusion criteria (15-49 years). In fact, the patients in this study are more likely to represent the more general PLD population seeking specialty care (for hypertension management, disease specific complications, and counseling) rather than individuals with severe symptomatic PLD and hepatomegaly or other liver-specific complications, which tend to be over-represented in the medical literature and often referred to gastroenterologists. Additional clinical information will emerge from longitudinal analysis of this cohort. Because MR protocols did not use gadolinium, portal, hepatic veins and arteries could not be accurately assessed.
Although we do not have a clear explanation for the observed reductions in QOL, they are most likely due to the impact of progressive liver mass effects, which are more frequent and severe in women than men, as seen in other studies.25, 40The SF-36 questionnaire has not been validated in PLD and better patient-reported outcome tools are needed.
In summary, we have used data from the HALT-PKD-A cohort to better define PLD burden. Previous studies have proven MRI to be a useful tool in assessing kidney volume in ADPKD, and kidney volume is being considered as a biomarker of disease severity. We demonstrate the relationship between MRI-measured LVs with baseline biochemical/hepatologic perturbations and QOL, thus demonstrating their potential for validation as outcome measures for clinical trials in PLD. Over the course of this study, sequential longitudinal imaging will provide liver growth rates and a deeper understanding of spectrum of disease severity in PLD and its complications.
Supplementary Material
Acknowledgments
Grant support: The investigators involved in this study received funding from the NIH (U01 DK082230) and this study was supported in part by Boehringer Ingelheim Pharmaceuticals Inc. (see conflict of interest statement).
Abbreviations
- ADPKD
Autosomal dominant polycystic kidney disease
- AST
aspartate aminotransferase
- ALP
alkaline phosphatase
- ALT
alanine aminotransferase
- BMI
body mass index
- BP
blood pressure
- BSA(m2)
body surface area (corrected for height)
- CKD
chronic kidney disease
- eGFR
estimated glomerular filtration rate
- DBP home
home diastolic blood pressure
- HALT-PKD
Halt Progression of Polycystic Kidney Disease studies
- HALT-PKD-A
Halt Progression of Polycystic Kidney Disease Study A
- HRQoL
health-related quality of life
- htLCV
height adjusted liver cyst volume
- htLV
height adjusted total liver volume
- htTKV
height adjusted total kidney volume
- htLPV
height adjusted liver parenchymal volume
- htSV
height adjusted spleen volume
- LCV
Liver cyst volume
- LLT
Liver laboratory test LPV, liver parenchymal volume
- LV
total liver volume
- MCS
Mental component of health summary score
- PCC
participating clinical center
- PCS
physical component of health summary score
- PLD
polycystic liver disease
- QOL
quality of life SBP home, home systolic blood pressure
- SF-36
health-related quality of life (HRQoL) questionnaire short form 36
- TKV
total kidney volume
- WBC
peripheral white blood cell count
Footnotes
Publisher's Disclaimer: This is a PDF file of an unedited manuscript that has been accepted for publication. As a service to our customers we are providing this early version of the manuscript. The manuscript will undergo copyediting, typesetting, and review of the resulting proof before it is published in its final citable form. Please note that during the production process errors may be discovered which could affect the content, and all legal disclaimers that apply to the journal pertain.
Conflict of Interest Disclosures: Drs. Hogan and Torres are conducting a clinical trial sponsored by Novartis in polycystic liver disease and from whom Dr. Hogan receives funding support. Dr. Torres receives research funding from Otsuka Pharmaceuticals (Otsuka). Dr. Schrier sits on the advisory board of Otsuka, Janssen Pharmaceutical, and Ikaria. Dr. Perrone receives research support from and is a consultant to Otsuka and is a consultant to Sanofi-Genzyme. Dr. Bae is a consultant to Otsuka. The remaining authors report they have no disclosures.
Author contributions:
The author(s) meet criteria for authorship as recommended by the International Committee of Medical Journal Editors (ICMJE).
Drs. Hogan and Abebe had full access to all of the data in the study and take responsibility for the integrity of the data and the accuracy of the data analysis.
Acquisition of data: Theodore Steinman, MD, (Beth Israel Deaconess Medical Center); William Braun, MD, (Cleveland Clinic Foundation); Arlene Chapman, MD, Frederic Rahbari-Oskoui, MD, MS (Emory University);Vicente Torres, MD, Marie Hogan, MD, PhD (Mayo Clinic); Ronald Perrone, MD, Dana Miskulin, MD (Tufts Medical Center); Robert Schrier, MD, Godela Brosnahan, MD, Amirali Masoumi, MD (University of Colorado); Franz Winklhofer, MD, Jared Grantham, MD, (University of Kansas Medical Center). Kyongtae Ty Bae, MD, PhD, Cheng Tao, MD, and Hongliang Sun, MD (University of Pittsburgh Image Analysis Core); Research Program Coordinators and Program Managers at Washington University (Gigi Flynn and Robin Woltman), University of Pittsburgh (Susan Spillane and Patty Smith), and the study coordinators at the clinical centers (Darlene Baker, Julie Driggs, Maria Fishman, Stacie Hitchcock, Andee Jolley, Pamela Lanza, Bonnie Maxwell, Pamela Morgan, Kristine Otto, Heather Ondler, Linda Perkins, Gertrude Simon, Rita Spirko, Veronika Testa, Diane Watkins).
Analysis and interpretation of data: Marie Hogan, Kaleab Abebe, Vicente Torres, Kyongtae Ty Bae, Irina O. Karpov.
Drafting of the manuscript: Marie Hogan, Kaleab Abebe, Vicente Torres.
Critical revision of the manuscript for important intellectual content: Ronald Perrone, Charity Moore, Robert Schrier, Kaleab Abebe, Michael Flessner, Vicente Torres, Kyongtae Ty Bae, Frederic Rahbari-Oskoui.
Statistical analysis: Kaleab Abebe. Irina O Karpov.
Obtained funding: Robert Schrier, Ron Perrone, Arlene Chapman, Vicente Torres.
Administrative, technical, or material support: Susan Spillane, Patty Smith, Charity Moore. Study supervision: HALT PKD Steering Committee members.
Role of the Sponsors: Drs. Fleissner and Moxey-Mimms, Scientific Program Officers for the HALT PKD Cohort study at NIDDK, participated in the design and conduct of the study; the collection, management, analysis, and interpretation of the data; and the preparation of the manuscript. This study was supported in part by Boehringer Ingelheim Pharmaceuticals Inc. (BIPI); BIPI had no role in the design, analysis or interpretation of the results in this study. BIPI was given the opportunity to review the manuscript for medical and scientific accuracy as it relates to their respective substances as well as intellectual property considerations.
Dr. Masoumi's current address is Columbia University College of Surgeons and Physicians, New York City.
ClinicalTrials.gov identifier NCT00283686.
References
- 1.Gabow PA. Autosomal dominant polycystic kidney disease. N Engl J Med. 1993;329(5):332–42. doi: 10.1056/NEJM199307293290508. [DOI] [PubMed] [Google Scholar]
- 2.U S Renal Data System U Atlas of Chronic Kidney Disease and End-Stage Renal Disease in the United States. 2012. [2013 5/8/2013].
- 3.Everson GT, Taylor MR, Doctor RB. Polycystic disease of the liver. Hepatology. 2004;40(4):774–82. doi: 10.1002/hep.20431. [DOI] [PubMed] [Google Scholar]
- 4.Comfort MW, Gray HK, Dahlin DC, et al. Polycystic disease of the liver: a study of 24 cases. Gastroenterology. 1952;20(1):60–78. Epub 1952/01/01. [PubMed] [Google Scholar]
- 5.Chauveau D, Fakhouri F, Grunfeld JP. Liver involvement in autosomal-dominant polycystic kidney disease: therapeutic dilemma. J Am Soc Nephrol. 2000;11(9):1767–75. doi: 10.1681/ASN.V1191767. [DOI] [PubMed] [Google Scholar]
- 6.Everson GT. Hepatic cysts in autosomal dominant polycystic kidney disease. Mayo Clinic proceedings Mayo Clinic. 1990;65(7):1020–5. doi: 10.1016/s0025-6196(12)65165-9. Epub 1990/07/01. [DOI] [PubMed] [Google Scholar]
- 7.Patch C, Charlton J, Roderick PJ, et al. Use of antihypertensive medications and mortality of patients with autosomal dominant polycystic kidney disease: a population-based study. American journal of kidney diseases : the official journal of the National Kidney Foundation. 2011;57(6):856–62. doi: 10.1053/j.ajkd.2011.01.023. Epub 2011/04/05. [DOI] [PubMed] [Google Scholar]
- 8.Orskov B, Romming Sorensen V, Feldt-Rasmussen B, et al. Improved prognosis in patients with autosomal dominant polycystic kidney disease in Denmark. Clin J Am Soc Nephrol. 2010;5(11):2034–9. doi: 10.2215/CJN.01460210. Epub 2010/07/31. [DOI] [PMC free article] [PubMed] [Google Scholar]
- 9.Orskov B, Sorensen VR, Feldt-Rasmussen B, et al. Changes in causes of death and risk of cancer in Danish patients with autosomal dominant polycystic kidney disease and end-stage renal disease. Nephrol Dial Transplant. 2011 doi: 10.1093/ndt/gfr467. Epub 2011/08/30. [DOI] [PubMed] [Google Scholar]
- 10.Perrone RD, Abebe KZ, Schrier RW, et al. Cardiac Magnetic Resonance Assessment of Left Ventricular Mass in Autosomal Dominant Polycystic Kidney Disease. Clin J Am Soc Nephro. 2011;6(10):2508–15. doi: 10.2215/CJN.04610511. [DOI] [PMC free article] [PubMed] [Google Scholar]
- 11.Ecder T, Edelstein CL, Chapman AB, et al. Reversal of left ventricular hypertrophy with angiotensin converting enzyme inhibition in hypertensive patients with autosomal dominant polycystic kidney disease. Nephrology, dialysis, transplantation : official publication of the European Dialysis and Transplant Association - European Renal Association. 1999;14(5):1113–6. doi: 10.1093/ndt/14.5.1113. Epub 1999/05/27. [DOI] [PubMed] [Google Scholar]
- 12.Keimpema LV, Nevens F, Vanslembrouck R, et al. Lanreotide Reduces the Volume of Polycystic Liver: A Randomized, Double-Blind, Placebo-Controlled Trial. Gastroenterology. 2009 doi: 10.1053/j.gastro.2009.07.052. [DOI] [PubMed] [Google Scholar]
- 13.Caroli A, Antiga L, Cafaro M, et al. Reducing polycystic liver volume in ADPKD: effects of somatostatin analogue octreotide. Clin J Am Soc Nephrol. 2010;5(5):783–9. doi: 10.2215/CJN.05380709. [DOI] [PMC free article] [PubMed] [Google Scholar]
- 14.Hogan MC, Masyuk TV, Page LJ, et al. Randomized Clinical Trial of Long-Acting Somatostatin for Autosomal Dominant Polycystic Kidney and Liver Disease. Journal of the American Society of Nephrology. 2010;21(6):1052–61. doi: 10.1681/ASN.2009121291. [DOI] [PMC free article] [PubMed] [Google Scholar]
- 15.Hogan MC, Masyuk TV, Page L, et al. Somatostatin analog therapy for severe polycystic liver disease: results after 2 years. Nephrology, dialysis, transplantation : official publication of the European Dialysis and Transplant Association - European Renal Association. 2012;27(9):3532–9. doi: 10.1093/ndt/gfs152. Epub 2012/07/10. [DOI] [PMC free article] [PubMed] [Google Scholar]
- 16.Gevers TJG, IntHout J, Caroli A, et al. Young Women with Polycystic Liver Disease Respond Best to Somatostatin Analogues: a Pooled Analysis of Individual Patient Data. Gastroenterology. doi: 10.1053/j.gastro.2013.04.055. (0) [DOI] [PubMed] [Google Scholar]
- 17.Chrispijn M, Gevers TJ, Hol JC, et al. Everolimus does not further reduce polycystic liver volume when added to long acting octreotide: Results from a randomized controlled trial. Journal of Hepatology. 2013 doi: 10.1016/j.jhep.2013.03.004. Epub 2013/03/19. [DOI] [PubMed] [Google Scholar]
- 18.Chapman AB, Torres VE, Perrone RD, et al. The HALT Polycystic Kidney Disease Trials: Design and Implementation. Clin J Am Soc Nephro. 2010;5(1):102–9. doi: 10.2215/CJN.04310709. [DOI] [PMC free article] [PubMed] [Google Scholar]
- 19.Torres VE, Chapman AB, Perrone RD, et al. Analysis of baseline parameters in the HALT polycystic kidney disease trials. Kidney International. 2012;81(6):577–85. doi: 10.1038/ki.2011.411. [DOI] [PMC free article] [PubMed] [Google Scholar]
- 20.Geraghty EM, Boone JM, McGahan JP, et al. Normal organ volume assessment from abdominal CT. Abdominal imaging. 2004;29(4):482–90. doi: 10.1007/s00261-003-0139-2. Epub 2004/03/17. [DOI] [PubMed] [Google Scholar]
- 21.Heinemann A, Wischhusen F, Püschel K, et al. Standard liver volume in the caucasian population. Liver Transplantation and Surgery. 1999;5(5):366–8. doi: 10.1002/lt.500050516. [DOI] [PubMed] [Google Scholar]
- 22.Vauthey JN, Abdalla EK, Doherty DA, et al. Body surface area and body weight predict total liver volume in Western adults. Liver Transpl. 2002;8(3):233–40. doi: 10.1053/jlts.2002.31654. Epub 2002/03/23. [DOI] [PubMed] [Google Scholar]
- 23.Perrone RD, Ruthazer R, Terrin NC. Survival after end-stage renal disease in autosomal dominant polycystic kidney disease: contribution of extrarenal complications to mortality. Am J Kidney Dis. 2001;38(4):777–84. doi: 10.1053/ajkd.2001.27720. [DOI] [PubMed] [Google Scholar]
- 24.Bae KT, Zhu F, Chapman AB, et al. Magnetic resonance imaging evaluation of hepatic cysts in early autosomal-dominant polycystic kidney disease: the Consortium for Radiologic Imaging Studies of Polycystic Kidney Disease cohort. Clin J Am Soc Nephrol. 2006;1(1):64–9. doi: 10.2215/CJN.00080605. [DOI] [PubMed] [Google Scholar]
- 25.Schnelldorfer T, Torres VE, Zakaria S, et al. Polycystic liver disease: a critical appraisal of hepatic resection, cyst fenestration, and liver transplantation. Ann Surg. 2009;250(1):112–8. doi: 10.1097/SLA.0b013e3181ad83dc. [DOI] [PubMed] [Google Scholar]
- 26.Everson GT, Scherzinger A, Berger-Leff N, et al. Polycystic liver disease: quantitation of parenchymal and cyst volumes from computed tomography images and clinical correlates of hepatic cysts. Hepatology. 1988;8(6):1627–34. doi: 10.1002/hep.1840080626. [DOI] [PubMed] [Google Scholar]
- 27.Itai Y, Ebihara R, Eguchi N, et al. Hepatobiliary cysts in patients with autosomal dominant polycystic kidney disease: prevalence and CT findings. AJR American Journal of Roentgenology. 1995;164(2):339–42. doi: 10.2214/ajr.164.2.7839965. Epub 1995/02/01. [DOI] [PubMed] [Google Scholar]
- 28.Gupta S, Seith A, Dhiman RK, et al. CT of Liver Cysts in Patients with Autosomal Dominant Polycystic Kidney Disease. Acta Radiologica. 1999;40(4):444–8. doi: 10.3109/02841859909177762. [DOI] [PubMed] [Google Scholar]
- 29.Nagy P, Teramoto T, Factor VM, et al. Reconstitution of liver mass via cellular hypertrophy in the rat. Hepatology. 2001;33(2):339–45. doi: 10.1053/jhep.2001.21326. [DOI] [PubMed] [Google Scholar]
- 30.Hopp K, Hommerding CJ, Wang X, et al. Tolvaptan plus pasireotide shows enhanced efficacy in a PKD1 model. J Am Soc Nephrol. 2014 doi: 10.1681/ASN.2013121312. In press. [DOI] [PMC free article] [PubMed] [Google Scholar]
- 31.Torra R, Nicolau C, Badenas C, et al. Ultrasonographic study of pancreatic cysts in autosomal dominant polycystic kidney disease. Clinical Nephrology. 1997;47(1):19–22. [PubMed] [Google Scholar]
- 32.Malka D, Hammel P, Vilgrain V, et al. Chronic obstructive pancreatitis due to a pancreatic cyst in a patient with autosomal dominant polycystic kidney disease. Gut. 1998;42(1):131–4. doi: 10.1136/gut.42.1.131. Epub 1998/03/20. [DOI] [PMC free article] [PubMed] [Google Scholar]
- 33.Mosetti MA, Leonardou P, Motohara T, et al. Autosomal dominant polycystic kidney disease: MR imaging evaluation using current techniques. Journal of Magnetic Resonance Imaging. 2003;18(2):210–5. doi: 10.1002/jmri.10347. [DOI] [PubMed] [Google Scholar]
- 34.Ishikawa I, Chikamoto E, Nakamura M, et al. High incidence of common bile duct dilatation in autosomal dominant polycystic kidney disease patients. Am J Kidney Dis. 1996;27(3):321–6. doi: 10.1016/s0272-6386(96)90353-4. Epub 1996/03/01. [DOI] [PubMed] [Google Scholar]
- 35.Gordon DB. The role of renin substrate in hypertension. Hypertension. 1983;5(3):353–62. doi: 10.1161/01.hyp.5.3.353. [DOI] [PubMed] [Google Scholar]
- 36.Ramkumar N, Stuart D, Ying J, et al. A Possible Interaction Between Systemic and Renal Angiotensinogen in the Control of Blood Pressure. American Journal of Hypertension. 2013;26(4):473–80. doi: 10.1093/ajh/hps078. [DOI] [PMC free article] [PubMed] [Google Scholar]
- 37.Gabow PA, Johnson AM, Kaehny WD, et al. Risk factors for the development of hepatic cysts in autosomal dominant polycystic kidney disease. Hepatology. 1990;11(6):1033–7. doi: 10.1002/hep.1840110619. [DOI] [PubMed] [Google Scholar]
- 38.Sherstha R, McKinley C, Russ P, et al. Postmenopausal estrogen therapy selectively stimulates hepatic enlargement in women with autosomal dominant polycystic kidney disease. Hepatology. 1997;26(5):1282–6. doi: 10.1002/hep.510260528. [DOI] [PubMed] [Google Scholar]
- 39.Zollner FG, Svarstad E, Munthe-Kaas AZ, et al. Assessment of kidney volumes from MRI: acquisition and segmentation techniques. AJR American journal of roentgenology. 2012;199(5):1060–9. doi: 10.2214/AJR.12.8657. Epub 2012/10/26. [DOI] [PubMed] [Google Scholar]
- 40.Wijnands TF, Neijenhuis MK, Kievit W, et al. Evaluating health-related quality of life in patients with polycystic liver disease and determining the impact of symptoms and liver volume. Liver international : official journal of the International Association for the Study of the Liver. 2013 doi: 10.1111/liv.12430. Epub 2013/12/10. [DOI] [PubMed] [Google Scholar]
Associated Data
This section collects any data citations, data availability statements, or supplementary materials included in this article.



