Abstract
Paraneoplastic syndromes can precede the initial manifestation and diagnosis of cancer. Paraneoplastic syndromes are a heterogeneous group of disorders caused by mechanisms other than the local presence of tumor cells. These phenomena are mediated by humoral factors secreted by tumor cells or by tumor mediated immune responses. Among paraneoplastic syndromes, chronic intestinal pseudo-obstruction (CIPO) is rare and represents a particularly difficult clinical challenge. Paraneoplastic CIPO is a highly morbid syndrome characterized by impaired gastrointestinal propulsion with symptoms and signs of mechanical bowel obstruction. Clinical outcomes of paraneoplastic CIPO are often deleterious. The current standard of care for the management of CIPO includes supportive treatment with promotility and anti-secretory agents. However, the majority of patients with CIPO eventually require the resection of the non-functioning gut segment. Here, we present a 62-year-old patient with anti-Hu antibody associated paraneoplastic CIPO and underlying small cell lung cancer who underwent treatment with cisplatin and etoposide. Herein, we discuss diagnosis, prognosis, proposed mechanisms, treatment options, and future potential therapeutic strategies of paraneoplastic CIPO.
Keywords: Paraneoplastic chronic intestinal pseudo-obstruction, Anti-Hu antibodies, Myenteric ganglioneuritis, Small cell lung cancer
Background
Paraneoplastic syndromes are disorders associated with cancer and reflect the interaction between tumor cells, host cells, and cells of the immune system. They are not a direct effect of the underlying malignancy and occur at remote sites from the primary or metastatic lesions [1,2]. Paraneoplastic neurologic syndromes (PNS) are rare among the paraneoplastic syndromes, and less than 1% of cancer patients are affected by PNS [1]. The pathogenesis of PNS is incompletely understood, however it is thought that immunologic factors such as auto-antibodies and T-cell responses against the nervous system, as well as a breakdown of immune tolerance, play an important role [2-4]. Auto-antibody formation is thought to be triggered by an aberrant expression of neuronal antigens by tumor cells [1]. Examples of well-characterized auto-antibodies in conjunction with PNS are type 1 anti-neuronal nuclear (anti-Hu or ANNA1), anti-voltage gated calcium channel, anti-Yo and anti-amphiphysin antibodies (Table 1) [5]. Paraneoplastic CIPO is a rare PNS mainly associated with small cell lung cancer and carcinoid tumor. Similar to other PNS, the pathophysiologic mechanism hypothetically involves auto-antibody mediated inflammation of the nervous system.
Table 1.
Antibodies in paraneoplastic neurologic syndromes
| Antibody | Paraneoplastic neurologic syndrome | Associated malignancies |
|---|---|---|
| Anti-Hu (ANNA-1) | Encephalomyelitis, cerebellar degeneration, sensory neuronopathy, autonomic dysfunction | SCLC |
| Anti-Yo (PCA-1) | Cerebellar degeneration | Gynecological, breast |
| Anti-Ri (ANNA-2) | Cerebellar degeneration, opsoclonus-myoclonus | Gynecological, breast, SCLC |
| Anti-Tr (DNER) | Cerebellar degeneration | Hodgkin lymphoma |
| Anti-amphiphysin | Stiff-person syndrome | Breast, lung cancer |
| Anti-Ma2 (Ta) | Limbic encephalitis | Teratoma, lung cancer |
| Anti-CRMP5 (CV2) | Encephalomyelitis, peripheral neuropathy | SCLC, thymoma |
| Anti-recoverin | Retinopathy | SCLC |
| Anti-VGCC | Lambert-Eaton syndrome | SCLC |
| Anti-VGKC | Neuromyotonia | Thymoma |
| Hodgkin lymphoma | ||
| SCLC | ||
| Anti-AChR | Myasthenia gravis | Thymoma |
| Anti-titin | ||
| Anti-ryanodine | ||
| Anti-JO1 | Inflammatory myopathies | Ovarian cancer |
| Anti-Mi2 | Lung cancer | |
| Anti-p155 | Gastric cancer | |
| Non-Hodgkin lymphoma |
Case presentation
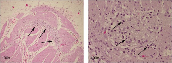
A 62-year-old gentleman with chronic obstructive pulmonary disease (COPD) from chronic smoking presented with worsening cough and constipation for three months. Within the last year, the patient was recurrently treated for COPD exacerbations without significant clinical improvement. The patient denied having had fever, pain, nausea, vomiting, night sweats, or weight loss. Vital signs were unremarkable and pertinent findings on physical exam included mild wheezes on both lungs with decreased breath sounds over the left upper lobe, enlarged left supraclavicular lymph nodes, and hypoactive bowel sounds. Laboratory exams revealed a low sodium concentration of 130 mEq/L (normal 136–145 mEq/L), however other results were all within normal range. Computed tomography (CT) and positron emission tomography (PET) scans showed a large left upper lobe fludeoxyglucose (FDG)-avid mass (standardized uptake value (SUV) 14.3) and enlarged left supraclavicular lymph nodes with avid FDG uptake (SUV 4.0) (Figures 1 and 2). Brain magnetic resonance imaging (MRI) revealed no metastatic disease in the brain. Subsequent fine-needle aspiration of the left supraclavicular mass and immunohistochemistry staining confirmed small cell neuroendocrine cancer positive for thyroid transcription factor (TTF-1) and synaptophysin confirming the diagnosis of small cell lung cancer (SCLC). The disease was determined as extensive disease due to the fact that tumor/nodal volume was too large to be encompassed in a tolerable radiation plan. During the hospital course, the patient’s bowel movements further declined despite an aggressive bowel regimen. Ultimately, the patient developed symptoms akin to bowel obstruction and a CT scan revealed small bowel distention with multiple air-fluid levels (Figure 3). Considering possible mechanical bowel obstruction surgery was consulted and the patient underwent small bowel resection of the terminal ileum and cecum. However, no tumorous obstruction was found and histologic examination of the resected sample revealed intense lymphoplasmacytic infiltration consistent with myenteric ganglioneuritis as this is typically found in CIPO (Figure 4). Anti-Hu antibodies were positive with a titer of 1:640. Collectively, the laboratory and pathologic findings were consistent with paraneoplastic CIPO with underlying SCLC.
Figure 1.

CT scan of the chest. CT of the thorax (horizontal section) showing a large mass measuring 4.6 × 12.0 × 8.1 cm, encasing the left pulmonary artery and segmental branches (arrows).The mass also abutts the left mainstem bronchus with partial encasement. Moderate-sized left pleural effusion (arrow heads).
Figure 2.

Whole body PET scan using 18 F-FDG. PET scan shows a left upper thorax tumor mass (arrow) and metastases to left supraclavicular lymph nodes (arrow head).
Figure 3.

CT scan of the abdomen. CT scan of the abdomen showing a distention of small bowel loops with several air-fluid levels.
Figure 4.

H & E stains of resected sample of the small intestine. The myenteric plexi show an increased lymphoid infiltrate (100x, arrows), with a few plexi having a rather dense lymphoplasmacytic infiltrate (400x, arrows) consistent with myenteric ganglioneuritis. Magnification as indicated.
10 days after surgery the patient underwent a first cycle of chemotherapy with cisplatin (80 mg/m2 on day 1 and etoposide (100 mg/m2 on day 1–3) without any improvement of his bowel activities despite promotility and anti-secretory agents including intravenous octreotide (200 mcg, three times a day), metoclopramide (10 mg, three times a day), and dexamethasone (20 mg, once a day). He was given parenteral nutrition. The course was complicated by neutropenic sepsis requiring treatment with broad spectrum antibiotics. After successful recovery the patient was given a second cycle of chemotherapy with cisplatin and etoposide. Anti-Hu antibody levels re-checked prior to the second cycle of chemotherapy demonstrated marked improvement with titers down to 1:160 from 1:640. Repeated CT scan of the chest shortly after the second cycle of chemotherapy revealed substantial shrinkage of the primary tumor and the metastases, however bowel function remained absent. Unfortunately, while neutropenic after the second cycle of chemotherapy the patient developed severe sepsis requiring intubation and intensive care medicine. Despite all the efforts the patient died from multi-organ failure.
Discussion
Paraneoplastic disorders are present in 7-10% of the cancer patients with malignancies, while paraneoplastic neurological syndromes (PNS) are observed only in 0.01% of cancer patients. PNS are mainly associated with lung, breast, ovarian, and stomach cancer [1,6,7]. Limbic encephalitis, opsoclonus-myoclonus, cerebellar degeneration, stiff person syndrome, retinopathy, CIPO, peripheral neuropathy, Lambert-Eaton syndrome, and myasthenia gravis are examples of PNS (Table 1) [7,8]. Neurologic manifestations associated with these diseases are clinically important because it was found that more than 80% of PNS precede the diagnosis of underlying malignancy [9]. Moreover, PNS are thought to be associated with favorable prognosis and better outcome, as suggested in SCLC patients [1,10,11].
CIPO is characterized by signs and symptoms of mechanical bowel obstruction in the absence of an anatomic lesion [12]. CIPO is idiopathic in most cases. Etiologies causing CIPO include neurologic, endocrine, collagen vascular, paraneoplastic, infectious and genetic disorders (Table 2) [12-14]. Histological features of CIPO include myenteric plexus infiltration with plasma cells and lymphocytes associated with axonal and neuronal degeneration [15,16]. Although paraneoplastic CIPO has been reported in connection with several solid tumors, SCLC and carcinoid tumors are by far the most common culprits [17,18]. Auto-antibodies such as anti-Hu that are frequently found to be positive in paraneoplastic, but not in non-paraneoplastic CIPO, often precede the overt manifestation of the underlying malignancy, rendering these antibodies to be potentially diagnostic and prognostic markers [2,19]. Anti-Hu antibodies are polyclonal complement-fixing immunoglobulins directed against nuclear proteins expressed in the neurons. A hypothesis is that these antibodies, together with the extensive lymphoplasmacytic infiltration, interact with the enteric plexus leading to its malfunction and, finally, to its irreversible damage resulting in un-correctable gut dysmotility [5,20,21]. To date, a relationship between anti-Hu antibody titers and severity of the clinical symptoms could not be demonstrated and convincing data indicating that a decrease in anti-Hu levels correlates with improved CIPO or better prognostic outcome are lacking [22-24]. In addition to CIPO, anti-Hu antibodies are also known to be involved in paraneoplastic CNS dysfunctions such as limbic encephalopathy and cerebellar degeneration as well as other paraneoplastic motor and autonomic neuropathies [20]. In general, anti-Hu antibodies associated with paraneoplastic neurologic conditions are called anti-Hu syndromes [20,25,26].
Table 2.
Etiologies of chronic intestinal pseudo-obstruction
| Etiology | Underlying disorders | Mechanisms |
|---|---|---|
| Degenerative neuropathy | Shy-Drager syndrome | Altered Ca signaling |
| Diabetes mellitus | Mitochondrial dysfunction | |
| Parkinson’s disease | ||
| Immune mediated | Scleroderma | Antibody mediated neuron or smooth muscle involvement |
| Dermatomyositis | ||
| Systemic lupus erythematosus | ||
| Paraneoplastic | Small cell lung cancer | Antibody mediated inflammatory response and cellular infiltration |
| Carcinoid tumor | ||
| Infectious | Chagas disease | Inflammatory change of the enteric nerve system |
| Chronic JC virus infection | ||
| Radiation or chemotherapy induced | Post radiation or chemotherapy | Associated with treatments |
| Genetic | Hirschsprung disease | Associated with genetic abnormality of SOX10 |
| Mitochondrial encephalopathy with lactic acidosis and stroke like episodes (MELAS) | DNA polymerase γ | |
| Filamin A | ||
| Myoclonus epilepsy associated with ragged red fibers (MERRF) | L1 cell adhesion molecule | |
| Thymidine phosphorylase | ||
| PTEN | ||
| RNA binding protein for multiple splicing 2 (RBPMS2) |
Treatment of paraneoplastic CIPO is rarely successful [27-29]. Previous reports revealed the effect of prokinetic as well as anti-secretory agents to be very limited [29]. The combination of chemotherapy with plasmapheresis compared to chemotherapy alone also failed to show improvement in clinical outcome in most cases, although anti-Hu antibodies were successfully removed from the circulation [28]. The lack of clinical response despite the removal of the anti-Hu antibodies is thought to be, at least in part, due to irreversible neuronal damage [5]. The persisting absence of bowel function in our patient despite receiving chemotherapy could also be secondary due to Ogilvie’s syndrome triggered by surgical procedure, critical illness and/or chemotherapy. However, given the histological findings of lymphoplasmacytic infiltration of the intestinal plexus and given the disease course, we believed that paraneoplastic CIPO, and not Ogilvie’s syndrome, was most likely the cause of the absent bowel function in our patient [30]. Recently, Badari et al. and Coret et al. reported cases where patients with paraneoplastic CIPO were partially successfully treated with either combination treatment with rituximab (RTX) and cyclophosphamide or RTX alone [8,31]. A hypothesized mechanism in this scenario is that the inhibitory effect of RTX on B-cells prevents them to function as efficient antigen-presenting cells. This may result in a reduction of B-cell-triggered cytotoxic T-cells, which are directed towards anti-Hu antigens in neurons [31].
The mechanisms involved in anti-Hu antibody-associated PNS appeared tightly linked to the development of a partially efficient anti-tumor immune response [9-11].
Future goals to improve outcomes in paraneoplastic CIPO and other PNS may include the development of effective immunotherapies. As mentioned, PNS often develop prior to the diagnosis of cancer and anti-Hu antibodies were found to be highly specific biomarkers for PNS in the setting of SCLC [9,20]. As such, further studies may also explore the question of whether anti-Hu antibodies can serve as reliable markers for the early detection of SCLC presenting with neurologic symptoms. If so, this may lead to prompt treatment and better clinical outcome of SCLC.
Conclusion
Paraneoplastic CIPO is rare and difficult to treat. Symptomatic treatments including plasmapheresis, prokinetic, and anti-secretory agents have been tried, but without significant benefit. Recent studies, however, have indicated success with single agent and combined regimens with RTX suggesting a role for immunomodulation in the treatment of CIPO. Future studies focusing on understanding the intricate pathophysiology associated with paraneoplastic CIPO and other PNS will hopefully open new horizons in the management of these rare and highly morbid disorders.
Consent
Written informed consent was obtained from the patient’s next kin for publication of this Case report and any accompanying images. A copy of the written consent is available for review by the Editor-in-Chief of this journal.
Acknowledgements
We thank the department of radiology at Southern Arizona VA Health Care System, Tucson, AZ, USA, for help with figures 1 and 2.
Abbreviations
- CIPO
Chronic intestinal pseudo-obstruction
- PNS
Paraneoplastic neurologic syndrome
- COPD
Chronic obstructive pulmonary disease
- PET/CT
Positron emission tomography/computed tomography
- SUV
Standardized Uptake values
- FDG
Fludeoxyglucose
- TTF-1
Thyroid transcription factor
- SCLC
Small cell lung cancer
- ANNA-1
Anti-neuronal nuclear antibody
- PCA-1
Purkinje cell antibody 1
- DNER
Delta/Notch-like epidermal growth factor-related receptor
- CRMP-5
Collapsin response mediator protein family 5
- VGCC
Voltage gated calcium channel
- VGKC
Voltage gated potassium channel
- AchR
Acetylcholine receptor
- JC virus
John Cunningham virus
- MELAS
Mitochondrial encephalopathy with lactic acidosis and stroke like episodes
- MERRF
Myoclonus epilepsy associated with ragged red fibers
- DNA
Deoxyribonucleic acid
- SOX
Sry related HMG box
- PTEN
Phosphatase and tensin homolog
- RBPMS2
RNA binding protein for multiple splicing 2
Footnotes
Competing interests
The authors declare that they have no competing interests.
Authors’ contributions
JT and TE reviewed the literature and wrote the paper. TE treated the patient and collected the data. HB, SY, and MB corrected the manuscript and made helpful suggestions. PM performed the histological analyses and the H & E stainings. SL helped with the manuscript and the histological data. All authors read and approved the final manuscript.
Contributor Information
Josephine A Taverna, jtaverna@email.arizona.edu.
Hani M Babiker, hanibabiker@email.arizona.edu.
Seongseok Yun, syun@email.arizona.edu.
Maria C Bishop, mbishop@email.arizona.edu.
Sarah Lau-Braunhut, lau3@email.arizona.edu.
Paul N Meyer, Email: paul.meyer2@va.gov.
Thomas Enzler, tenzler@email.arizona.edu.
References
- 1.Tischler M, Schoenfield Y. Paraneoplastic Syndromes. In: Schoenfield Y, Gershwin ME, editors. Cancer and Autoimmunity. Amsterdam, The Netherlands: Elsevier; 2000. pp. 121–131. [Google Scholar]
- 2.Ansari J, Nagabhushan N, Syed R, Bomanji J, Bacon CM, Lee SM. Small cell lung cancer associated with anti-Hu paraneoplastic sensory neuropathy and peripheral nerve microvasculitis: case report and literature review. Clin Oncol. 2004;16:71–76. doi: 10.1016/j.clon.2003.09.008. [DOI] [PubMed] [Google Scholar]
- 3.Voltz R, Dalmau J, Posner JB, Rosenfeld MR. T-cell receptor analysis in anti-Hu associated paraneoplastic encephalomyelitis. Neurology. 1998;51:1146–1150. doi: 10.1212/WNL.51.4.1146. [DOI] [PubMed] [Google Scholar]
- 4.Sutton I, Winer JB. The immunopathogenesis of paraneoplastic neurological syndromes. Clin Sci. 2002;102:475–486. doi: 10.1042/CS20010121. [DOI] [PubMed] [Google Scholar]
- 5.Senties-Madrid H, Vega-Boada F. Paraneoplastic syndromes associated with anti-Hu antibodies. Isr Med Assoc J. 2001;3:94–103. [PubMed] [Google Scholar]
- 6.Molina-Garrido MJ, Guillen-Ponce C, Martinez S, Guirado-Risueno M. Diagnosis and current treatment of neurological paraneoplastic syndromes. Clin Transl Oncol. 2006;8:796–801. doi: 10.1007/s12094-006-0134-5. [DOI] [PubMed] [Google Scholar]
- 7.Honnorat J, Antoine JC. Paraneoplastic neurological syndromes. Orphanet J Rare Dis. 2007;2:22. doi: 10.1186/1750-1172-2-22. [DOI] [PMC free article] [PubMed] [Google Scholar]
- 8.Badari A, Farolino D, Nasser E, Mehboob S, Crossland D. A novel approach to paraneoplastic intestinal pseudo-obstruction. Support Care Cancer. 2012;20:425–428. doi: 10.1007/s00520-011-1305-7. [DOI] [PubMed] [Google Scholar]
- 9.Pignolet BS, Gebauer CM, Liblau RS. Immunopathogenesis of paraneoplastic neurological syndromes associated with anti-Hu antibodies: A beneficial antitumor immune response going awry. Oncoimmunology. 2013;2:e27384. doi: 10.4161/onci.27384. [DOI] [PMC free article] [PubMed] [Google Scholar]
- 10.Maddison P, Newsom-Davis J, Mills KR, Souhami RL. Favourable prognosis in Lambert-Eaton myasthenic syndrome and small-cell lung carcinoma. Lancet. 1999;353:117–118. doi: 10.1016/S0140-6736(05)76153-5. [DOI] [PubMed] [Google Scholar]
- 11.Mawhinney E, Gray OM, McVerry F, McDonnell GV: Paraneoplastic sensorimotor neuropathy associated with regression of small cell lung carcinoma.BMJ Case Rep 2010, 2010ᅟ. [DOI] [PMC free article] [PubMed]
- 12.De Giorgio R, Sarnelli G, Corinaldesi R, Stanghellini V. Advances in our understanding of the pathology of chronic intestinal pseudo-obstruction. Gut. 2004;53:1549–1552. doi: 10.1136/gut.2004.043968. [DOI] [PMC free article] [PubMed] [Google Scholar]
- 13.Antonucci A, Fronzoni L, Cogliandro L, Cogliandro RF, Caputo C, De Giorgio R, Pallotti F, Barbara G, Corinaldesi R, Stanghellini V. Chronic intestinal pseudo-obstruction. World J Gastroenterol. 2008;14:2953–2961. doi: 10.3748/wjg.14.2953. [DOI] [PMC free article] [PubMed] [Google Scholar]
- 14.Khairullah S, Jasmin R, Yahya F, Cheah TE, Ng CT, Sockalingam S. Chronic intestinal pseudo-obstruction: a rare first manifestation of systemic lupus erythematosus. Lupus. 2013;22:957–960. doi: 10.1177/0961203313492873. [DOI] [PubMed] [Google Scholar]
- 15.De Giorgio R, Guerrini S, Barbara G, Stanghellini V, De Ponti F, Corinaldesi R, Moses PL, Sharkey KA, Mawe GM. Inflammatory neuropathies of the enteric nervous system. Gastroenterology. 2004;126:1872–1883. doi: 10.1053/j.gastro.2004.02.024. [DOI] [PubMed] [Google Scholar]
- 16.Di Nardo G, Blandizzi C, Volta U, Colucci R, Stanghellini V, Barbara G, Del Tacca M, Tonini M, Corinaldesi R, De Giorgio R. Review article: molecular, pathological and therapeutic features of human enteric neuropathies. Aliment Pharmacol Ther. 2008;28:25–42. doi: 10.1111/j.1365-2036.2008.03707.x. [DOI] [PubMed] [Google Scholar]
- 17.Sodhi N, Camilleri M, Camoriano JK, Low PA, Fealey RD, Perry MC. Autonomic function and motility in intestinal pseudoobstruction caused by paraneoplastic syndrome. Dig Dis Sci. 1989;34:1937–1942. doi: 10.1007/BF01536716. [DOI] [PubMed] [Google Scholar]
- 18.Lee HR, Lennon VA, Camilleri M, Prather CM. Paraneoplastic gastrointestinal motor dysfunction: clinical and laboratory characteristics. Am J Gastroenterol. 2001;96:373–379. doi: 10.1111/j.1572-0241.2001.03454.x. [DOI] [PubMed] [Google Scholar]
- 19.Darnell RB, DeAngelis LM. Regression of small-cell lung carcinoma in patients with paraneoplastic neuronal antibodies. Lancet. 1993;341:21–22. doi: 10.1016/0140-6736(93)92485-C. [DOI] [PubMed] [Google Scholar]
- 20.Dalmau J, Graus F, Rosenblum MK, Posner JB. Anti-Hu-associated paraneoplastic encephalomyelitis/sensory neuronopathy. A clinical study of 71 patients. Medicine. 1992;71:59–72. doi: 10.1097/00005792-199203000-00001. [DOI] [PubMed] [Google Scholar]
- 21.Lennon VA, Sas DF, Busk MF, Scheithauer B, Malagelada JR, Camilleri M, Miller LJ. Enteric neuronal autoantibodies in pseudoobstruction with small-cell lung carcinoma. Gastroenterology. 1991;100:137–142. doi: 10.1016/0016-5085(91)90593-a. [DOI] [PubMed] [Google Scholar]
- 22.Llado A, Mannucci P, Carpentier AF, Paris S, Blanco Y, Saiz A, Delattre JY, Graus F. Value of Hu antibody determinations in the follow-up of paraneoplastic neurologic syndromes. Neurology. 2004;63:1947–1949. doi: 10.1212/01.WNL.0000144340.03364.BF. [DOI] [PubMed] [Google Scholar]
- 23.Darnell RB, Posner JB. Paraneoplastic syndromes involving the nervous system. N Engl J Med. 2003;349:1543–1554. doi: 10.1056/NEJMra023009. [DOI] [PubMed] [Google Scholar]
- 24.Graus F, Dalmou J, Rene R, Tora M, Malats N, Verschuuren JJ, Cardenal F, Vinolas N, Garcia Del Muro J, Vadell C, Mason WP, Rosell R, Posner JB, Real FX. Anti-Hu antibodies in patients with small-cell lung cancer: association with complete response to therapy and improved survival. J Clin Oncol. 1997;15:2866–2872. doi: 10.1200/JCO.1997.15.8.2866. [DOI] [PubMed] [Google Scholar]
- 25.Schulz U, Randalls B, Counsell C. Anti-Hu syndrome: a rare presentation and a very difficult decision. Pract Neurol. 2007;7:336–341. doi: 10.1136/jnnp.2007.129056. [DOI] [PubMed] [Google Scholar]
- 26.Graus F, Keime-Guibert F, Rene R, Benyahia B, Ribalta T, Ascaso C, Escaramis G, Delattre JY. Anti-Hu-associated paraneoplastic encephalomyelitis: analysis of 200 patients. Brain. 2001;124:1138–1148. doi: 10.1093/brain/124.6.1138. [DOI] [PubMed] [Google Scholar]
- 27.Graus F, Abos J, Roquer J, Mazzara R, Pereira A. Effect of plasmapheresis on serum and CSF autoantibody levels in CNS paraneoplastic syndromes. Neurology. 1990;40:1621–1623. doi: 10.1212/WNL.40.10.1621. [DOI] [PubMed] [Google Scholar]
- 28.Graus F, Vega F, Delattre JY, Bonaventura I, Rene R, Arbaiza D, Tolosa E. Plasmapheresis and antineoplastic treatment in CNS paraneoplastic syndromes with antineuronal autoantibodies. Neurology. 1992;42:536–540. doi: 10.1212/WNL.42.3.536. [DOI] [PubMed] [Google Scholar]
- 29.Sorhaug S, Steinshamn SL, Waldum HL. Octreotide treatment for paraneoplastic intestinal pseudo-obstruction complicating SCLC. Lung Cancer. 2005;48:137–140. doi: 10.1016/j.lungcan.2004.09.008. [DOI] [PubMed] [Google Scholar]
- 30.Vanek VW, Al-Salti M. Acute pseudo-obstruction of the colon (Ogilvie’s syndrome). An analysis of 400 cases. Dis Colon Rectum. 1986;29:203–210. doi: 10.1007/BF02555027. [DOI] [PubMed] [Google Scholar]
- 31.Coret F, Bosca I, Fratalia L, Perez-Griera J, Pascual A, Casanova B. Long-lasting remission after rituximab treatment in a case of anti-Hu-associated sensory neuronopathy and gastric pseudoobstruction. J Neuro-Oncol. 2009;93:421–423. doi: 10.1007/s11060-008-9787-y. [DOI] [PubMed] [Google Scholar]
