Abstract
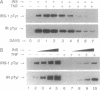
Insulin resistance is a common problem associated with infections and cancer and, most importantly, is the central component of non-insulin-dependent diabetes mellitus. We have recently shown that tumor necrosis factor (TNF) alpha is a key mediator of insulin resistance in animal models of non-insulin-dependent diabetes mellitus. Here, we investigate how TNF-alpha interferes with insulin action. Chronic exposure of adipocytes to low concentrations of TNF-alpha strongly inhibits insulin-stimulated glucose uptake. Concurrently, TNF-alpha treatment causes a moderate decrease in the insulin-stimulated autophosphorylation of the insulin receptor (IR) and a dramatic decrease in the phosphorylation of IR substrate 1, the major substrate of the IR in vivo. The IR isolated from TNF-alpha-treated cells is also defective in the ability to autophosphorylate and phosphorylate IR substrate 1 in vitro. These results show that TNF-alpha directly interferes with the signaling of insulin through its receptor and consequently blocks biological actions of insulin.
Full text
PDF




Images in this article
Selected References
These references are in PubMed. This may not be the complete list of references from this article.
- Bell G. I. Lilly lecture 1990. Molecular defects in diabetes mellitus. Diabetes. 1991 Apr;40(4):413–422. doi: 10.2337/diab.40.4.413. [DOI] [PubMed] [Google Scholar]
- Beutler B., Cerami A. The biology of cachectin/TNF--a primary mediator of the host response. Annu Rev Immunol. 1989;7:625–655. doi: 10.1146/annurev.iy.07.040189.003205. [DOI] [PubMed] [Google Scholar]
- Charron M. J., Kahn B. B. Divergent molecular mechanisms for insulin-resistant glucose transport in muscle and adipose cells in vivo. J Biol Chem. 1990 May 15;265(14):7994–8000. [PubMed] [Google Scholar]
- Clowes G. H., Jr, O'Donnell T. F., Blackburn G. L., Maki T. N. Energy metabolism and proteolysis in traumatized and septic man. Surg Clin North Am. 1976 Oct;56(5):1169–1184. doi: 10.1016/s0039-6109(16)41036-4. [DOI] [PubMed] [Google Scholar]
- Copeland G. P., Leinster S. J., Davis J. C., Hipkin L. J. Insulin resistance in patients with colorectal cancer. Br J Surg. 1987 Nov;74(11):1031–1035. doi: 10.1002/bjs.1800741124. [DOI] [PubMed] [Google Scholar]
- Cornelius P., Lee M. D., Marlowe M., Pekala P. H. Monokine regulation of glucose transporter mRNA in L6 myotubes. Biochem Biophys Res Commun. 1989 Nov 30;165(1):429–436. doi: 10.1016/0006-291x(89)91088-7. [DOI] [PubMed] [Google Scholar]
- Feinstein R., Kanety H., Papa M. Z., Lunenfeld B., Karasik A. Tumor necrosis factor-alpha suppresses insulin-induced tyrosine phosphorylation of insulin receptor and its substrates. J Biol Chem. 1993 Dec 15;268(35):26055–26058. [PubMed] [Google Scholar]
- Frayn K. N. Effects of burn injury on insulin secretion and on sensitivity to insulin in the rat in vivo. Eur J Clin Invest. 1975 Jul 29;5(4):331–337. doi: 10.1111/j.1365-2362.1975.tb00462.x. [DOI] [PubMed] [Google Scholar]
- Garcia de Herreros A., Birnbaum M. J. The acquisition of increased insulin-responsive hexose transport in 3T3-L1 adipocytes correlates with expression of a novel transporter gene. J Biol Chem. 1989 Nov 25;264(33):19994–19999. [PubMed] [Google Scholar]
- Garvey W. T., Huecksteadt T. P., Birnbaum M. J. Pretranslational suppression of an insulin-responsive glucose transporter in rats with diabetes mellitus. Science. 1989 Jul 7;245(4913):60–63. doi: 10.1126/science.2662408. [DOI] [PubMed] [Google Scholar]
- Grunfeld C., Feingold K. R. The metabolic effects of tumor necrosis factor and other cytokines. Biotherapy. 1991;3(2):143–158. doi: 10.1007/BF02172087. [DOI] [PubMed] [Google Scholar]
- Handberg A., Vaag A., Damsbo P., Beck-Nielsen H., Vinten J. Expression of insulin regulatable glucose transporters in skeletal muscle from type 2 (non-insulin-dependent) diabetic patients. Diabetologia. 1990 Oct;33(10):625–627. doi: 10.1007/BF00400207. [DOI] [PubMed] [Google Scholar]
- Hofmann C., Lorenz K., Braithwaite S. S., Colca J. R., Palazuk B. J., Hotamisligil G. S., Spiegelman B. M. Altered gene expression for tumor necrosis factor-alpha and its receptors during drug and dietary modulation of insulin resistance. Endocrinology. 1994 Jan;134(1):264–270. doi: 10.1210/endo.134.1.8275942. [DOI] [PubMed] [Google Scholar]
- Hotamisligil G. S., Shargill N. S., Spiegelman B. M. Adipose expression of tumor necrosis factor-alpha: direct role in obesity-linked insulin resistance. Science. 1993 Jan 1;259(5091):87–91. doi: 10.1126/science.7678183. [DOI] [PubMed] [Google Scholar]
- Igarashi M., Yamatani K., Fukase N., Daimon M., Ohnuma H., Takahashi H., Manaka H., Tominaga M., Sasaki H. Sepsis inhibits insulin-stimulated glucose transport in isolated rat adipocytes. Diabetes Res Clin Pract. 1992 Mar;15(3):213–218. doi: 10.1016/0168-8227(92)90027-o. [DOI] [PubMed] [Google Scholar]
- Kahn B. B., Charron M. J., Lodish H. F., Cushman S. W., Flier J. S. Differential regulation of two glucose transporters in adipose cells from diabetic and insulin-treated diabetic rats. J Clin Invest. 1989 Aug;84(2):404–411. doi: 10.1172/JCI114180. [DOI] [PMC free article] [PubMed] [Google Scholar]
- Kasuga M., Karlsson F. A., Kahn C. R. Insulin stimulates the phosphorylation of the 95,000-dalton subunit of its own receptor. Science. 1982 Jan 8;215(4529):185–187. doi: 10.1126/science.7031900. [DOI] [PubMed] [Google Scholar]
- Laemmli U. K. Cleavage of structural proteins during the assembly of the head of bacteriophage T4. Nature. 1970 Aug 15;227(5259):680–685. doi: 10.1038/227680a0. [DOI] [PubMed] [Google Scholar]
- Lang C. H., Dobrescu C., Bagby G. J. Tumor necrosis factor impairs insulin action on peripheral glucose disposal and hepatic glucose output. Endocrinology. 1992 Jan;130(1):43–52. doi: 10.1210/endo.130.1.1727716. [DOI] [PubMed] [Google Scholar]
- Le J., Vilcek J. Tumor necrosis factor and interleukin 1: cytokines with multiple overlapping biological activities. Lab Invest. 1987 Mar;56(3):234–248. [PubMed] [Google Scholar]
- Marano M. A., Moldawer L. L., Fong Y., Wei H., Minei J., Yurt R., Cerami A., Lowry S. F. Cachectin/TNF production in experimental burns and Pseudomonas infection. Arch Surg. 1988 Nov;123(11):1383–1388. doi: 10.1001/archsurg.1988.01400350097015. [DOI] [PubMed] [Google Scholar]
- McCall J. L., Tuckey J. A., Parry B. R. Serum tumour necrosis factor alpha and insulin resistance in gastrointestinal cancer. Br J Surg. 1992 Dec;79(12):1361–1363. doi: 10.1002/bjs.1800791240. [DOI] [PubMed] [Google Scholar]
- Myers M. G., Jr, Backer J. M., Sun X. J., Shoelson S., Hu P., Schlessinger J., Yoakim M., Schaffhausen B., White M. F. IRS-1 activates phosphatidylinositol 3'-kinase by associating with src homology 2 domains of p85. Proc Natl Acad Sci U S A. 1992 Nov 1;89(21):10350–10354. doi: 10.1073/pnas.89.21.10350. [DOI] [PMC free article] [PubMed] [Google Scholar]
- Roth R. A., Beaudoin J. Phosphorylation of purified insulin receptor by cAMP kinase. Diabetes. 1987 Jan;36(1):123–126. doi: 10.2337/diab.36.1.123. [DOI] [PubMed] [Google Scholar]
- Saad M. J., Araki E., Miralpeix M., Rothenberg P. L., White M. F., Kahn C. R. Regulation of insulin receptor substrate-1 in liver and muscle of animal models of insulin resistance. J Clin Invest. 1992 Nov;90(5):1839–1849. doi: 10.1172/JCI116060. [DOI] [PMC free article] [PubMed] [Google Scholar]
- Sivitz W. I., DeSautel S. L., Kayano T., Bell G. I., Pessin J. E. Regulation of glucose transporter messenger RNA in insulin-deficient states. Nature. 1989 Jul 6;340(6228):72–74. doi: 10.1038/340072a0. [DOI] [PubMed] [Google Scholar]
- Spiegelman B. M., Hotamisligil G. S. Through thick and thin: wasting, obesity, and TNF alpha. Cell. 1993 May 21;73(4):625–627. doi: 10.1016/0092-8674(93)90243-j. [DOI] [PubMed] [Google Scholar]
- Stephens J. M., Bagby G. J., Pekala P. H., Shepherd R. E., Spitzer J. J., Lang C. H. Differential regulation of glucose transporter gene expression in adipose tissue or septic rats. Biochem Biophys Res Commun. 1992 Mar 16;183(2):417–422. doi: 10.1016/0006-291x(92)90497-9. [DOI] [PubMed] [Google Scholar]
- Stephens J. M., Pekala P. H. Transcriptional repression of the GLUT4 and C/EBP genes in 3T3-L1 adipocytes by tumor necrosis factor-alpha. J Biol Chem. 1991 Nov 15;266(32):21839–21845. [PubMed] [Google Scholar]
- Sun X. J., Rothenberg P., Kahn C. R., Backer J. M., Araki E., Wilden P. A., Cahill D. A., Goldstein B. J., White M. F. Structure of the insulin receptor substrate IRS-1 defines a unique signal transduction protein. Nature. 1991 Jul 4;352(6330):73–77. doi: 10.1038/352073a0. [DOI] [PubMed] [Google Scholar]
- Takayama S., White M. F., Lauris V., Kahn C. R. Phorbol esters modulate insulin receptor phosphorylation and insulin action in cultured hepatoma cells. Proc Natl Acad Sci U S A. 1984 Dec;81(24):7797–7801. doi: 10.1073/pnas.81.24.7797. [DOI] [PMC free article] [PubMed] [Google Scholar]
- Tayek J. A. A review of cancer cachexia and abnormal glucose metabolism in humans with cancer. J Am Coll Nutr. 1992 Aug;11(4):445–456. doi: 10.1080/07315724.1992.10718249. [DOI] [PubMed] [Google Scholar]
- Thies R. S., Molina J. M., Ciaraldi T. P., Freidenberg G. R., Olefsky J. M. Insulin-receptor autophosphorylation and endogenous substrate phosphorylation in human adipocytes from control, obese, and NIDDM subjects. Diabetes. 1990 Feb;39(2):250–259. doi: 10.2337/diab.39.2.250. [DOI] [PubMed] [Google Scholar]
- Torti F. M., Dieckmann B., Beutler B., Cerami A., Ringold G. M. A macrophage factor inhibits adipocyte gene expression: an in vitro model of cachexia. Science. 1985 Aug 30;229(4716):867–869. doi: 10.1126/science.3839597. [DOI] [PubMed] [Google Scholar]
- Van Lint J., Agostinis P., Vandevoorde V., Haegeman G., Fiers W., Merlevede W., Vandenheede J. R. Tumor necrosis factor stimulates multiple serine/threonine protein kinases in Swiss 3T3 and L929 cells. Implication of casein kinase-2 and extracellular signal-regulated kinases in the tumor necrosis factor signal transduction pathway. J Biol Chem. 1992 Dec 25;267(36):25916–25921. [PubMed] [Google Scholar]
- Van der Poll T., Romijn J. A., Endert E., Borm J. J., Büller H. R., Sauerwein H. P. Tumor necrosis factor mimics the metabolic response to acute infection in healthy humans. Am J Physiol. 1991 Oct;261(4 Pt 1):E457–E465. doi: 10.1152/ajpendo.1991.261.4.E457. [DOI] [PubMed] [Google Scholar]
- Wang L. M., Myers M. G., Jr, Sun X. J., Aaronson S. A., White M., Pierce J. H. IRS-1: essential for insulin- and IL-4-stimulated mitogenesis in hematopoietic cells. Science. 1993 Sep 17;261(5128):1591–1594. doi: 10.1126/science.8372354. [DOI] [PubMed] [Google Scholar]
- White M. F., Maron R., Kahn C. R. Insulin rapidly stimulates tyrosine phosphorylation of a Mr-185,000 protein in intact cells. Nature. 1985 Nov 14;318(6042):183–186. doi: 10.1038/318183a0. [DOI] [PubMed] [Google Scholar]
- Wilden P. A., Siddle K., Haring E., Backer J. M., White M. F., Kahn C. R. The role of insulin receptor kinase domain autophosphorylation in receptor-mediated activities. Analysis with insulin and anti-receptor antibodies. J Biol Chem. 1992 Jul 5;267(19):13719–13727. [PubMed] [Google Scholar]
- Yki-Järvinen H., Sammalkorpi K., Koivisto V. A., Nikkilä E. A. Severity, duration, and mechanisms of insulin resistance during acute infections. J Clin Endocrinol Metab. 1989 Aug;69(2):317–323. doi: 10.1210/jcem-69-2-317. [DOI] [PubMed] [Google Scholar]
- Youn Y. K., LaLonde C., Demling R. The role of mediators in the response to thermal injury. World J Surg. 1992 Jan-Feb;16(1):30–36. doi: 10.1007/BF02067111. [DOI] [PubMed] [Google Scholar]
- Zhang Y. H., Lin J. X., Yip Y. K., Vilcek J. Enhancement of cAMP levels and of protein kinase activity by tumor necrosis factor and interleukin 1 in human fibroblasts: role in the induction of interleukin 6. Proc Natl Acad Sci U S A. 1988 Sep;85(18):6802–6805. doi: 10.1073/pnas.85.18.6802. [DOI] [PMC free article] [PubMed] [Google Scholar]


