Abstract
Multiple synchronous malignancies are rarer than metachronous ones. Primary synchronous breast and renal cancer is even rare. Such a case requires strict exclusion of possible metastasis to either site and to confirm the primary nature of each malignancy for better outcome of management and survival benefit. Multiple primary synchronous malignancies may be due to shared genetic mutations if any common carcinogenic factor cannot be found. The role of estrogens in cases in which human renal carcinoma is associated with other primary tumours involving steroid-hormone target tissues, is tentative and can only be hypothesised due to paucity of such data in literature. One should consider the possibility of concomitant dual or multiple primary tumours in a patient presented with mass lesions at various sites, especially if one of the sites is the kidney. We present a case report of a patient with synchronous primary breast and renal cancer.
Keywords: Primary, Multiple, Synchronous, Breast carcinoma, Renal carcinoma
Background
Primary malignancies of different organs can occur in the same patient. The patient may not be symptomatic for other malignancies. If two or more primary malignancies are detected in the same patient at the same time, they are known as synchronous malignancies. The metachronous malignancies arise anew in some different organ and detected later in a patient who was suffering from a cancer of another organ. Knowledge of multiple synchronous malignancies helps in better patient management and outcome.
We present a case of patient of breast cancer with incidental synchronous primary malignancy of kidney.
Case Findings
A 57-year-old female presented with a painless mass in the upper outer quadrant mass of the left breast noticed since the last 3 months. There was no nipple discharge or axillary mass. Patient had no systemic complaints. She had no co-morbidities.
On examination of the left breast, a hard mass of 3 × 3 cm was noticed in the superolateral quadrant with a single mobile left axillary node of 1 × 1 cm. Opposite breast and axilla were normal. Systemic examination was normal.
Mammography showed spiculated opacity of 24 × 13 mm in the upper outer quadrant of left breast. Sonomammography showed same lesion as hypoechoeic with irregular margins, taller than wide. Fine-needle aspiration cytology was suggestive of carcinoma of breast.
For preoperative workup, an abdominal sonography was done which showed a solid mass in the upper pole right kidney of size 4.9 × 4.6 cm; mass was predominantly solid with cystic areas. Liver was normal.
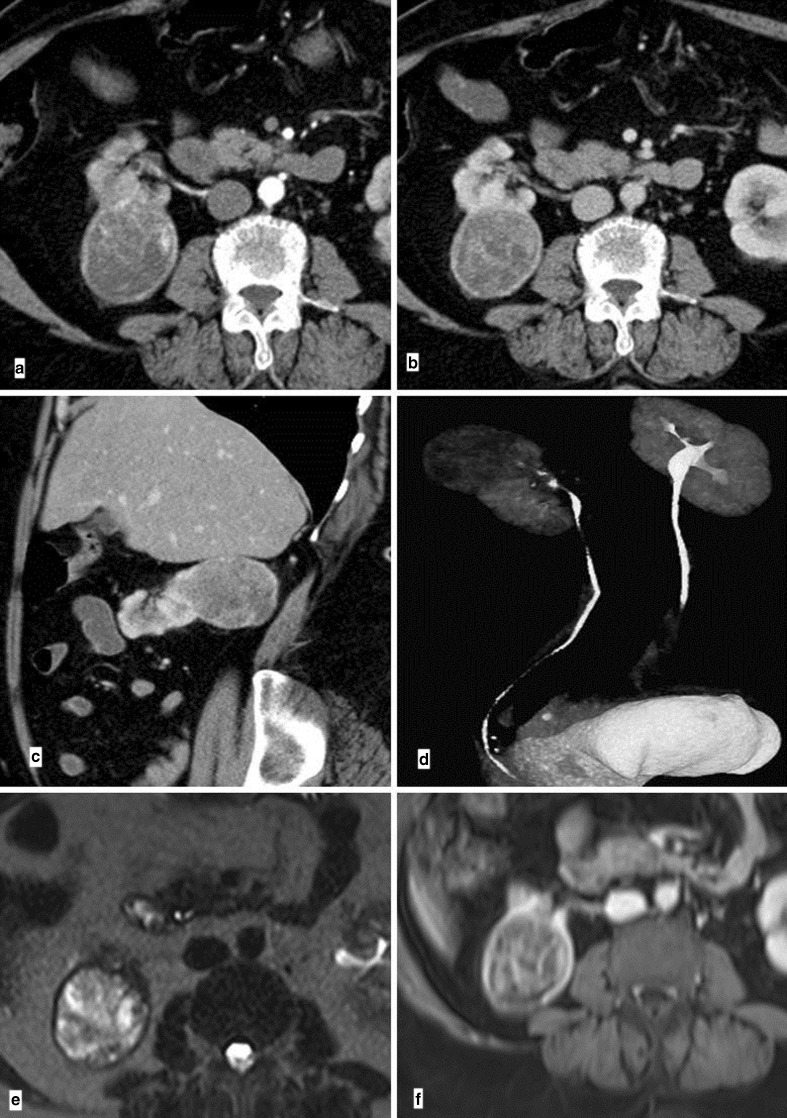
Computed tomography (Fig. 1a–d) showed a well-defined exophytic mass in the upper pole of the right kidney, 5.3 × 4.8 × 4.9 cm, with no obvious perilesional fat stranding. Mass was indenting upon psoas and liver but the fat planes were intact. There was no venous thrombus nor any other intra-abdominal masses or nodes. Whole body magnetic resonance imaging showed a heterogeneous lesion of 5.21 × 4.68 × 5.11 cm at superior pole of right kidney, separate from the right adrenal. The lesion was hyperintense on T2w images (Fig.1e), hypointense on T1w images (Fig.1f). Mass showed intense enhancement on arterial phase and persistent enhancement on venous and portal phases. Fat planes and inferior vena cava were normal. No other lesions were seen anywhere in the body.
Fig. 1.
Contrast-enhanced computed tomography (a, b, c, d) showing well-defined exophytic mass in the upper pole of the right kidney, intact fat planes, and no venous thrombus. Magnetic resonance images showing heterogeneous lesion at the superior pole of the right kidney; hyperintense on T2w images (e) and hypointense on T1w images (f), fat planes are normal and no venous thrombosis
Left modified radical mastectomy and right partial nephrectomy were performed.
The histopathological examination of breast revealed an infiltrating tumour measuring 3 × 3 × 1.5 cm in the superolateral quadrant. On microscopy, it was an infiltrating lobular carcinoma with tumour cells arranged in single cords and clusters with prominent Indian file pattern (Fig. 2a). Mitotic activity was seen. No evidence of haemorrhage or necrosis. There were no lymphovascular emboli or perineural invasion. Nineteen nodes were dissected, none were metastatic. All the margins and the rest of the breast were free of tumour. Breast carcinoma was of stage pT2N0M0. On immunohistochemistry, the tumour was reactive for both oestrogen and progesterone receptors [Fig. 2b, c].
Fig. 2.
Infiltrating lobular carcinoma of breast with classical Indian file pattern (a). Staining of cells of breast lesion showing positivity for oestrogen receptors (b) and positivity (c) for progesterone receptors. Renal cell carcinoma: clear-cell variant. No invasion into capsule. High-resolution view demonstrates clear-cell carcinoma. (d) Cells of renal lesion showing absence of both oestrogen receptors (e) and progesterone receptors (f)
The histopathological examination of renal specimen revealed a well circumscribed encapsulated mass of 4.5 × 4 × 4.5-cm size showing haemorrhagic and variegated appearance on cut surface. Microscopy showed conventional clear-cell renal carcinoma confined to kidney [Fig. 2d]. The tumour was well encapsulated with wide areas of haemorrhage and necrosis and with brisk mitotic activity. There was no invasion into the capsule nor perinephric fat. All the margins were free. On immunohistochemistry, the tumour was non-reactive for both oestrogen and progesterone receptors. [Fig. 2e, f]. Renal carcinoma was of stage pT1bN0M0 Fuhrman grade III.
Patient received adjuvant chemotherapy for breast and was advised close follow-up for renal carcinoma. To date (18 months post-operative), there is no recurrence nor metastases have been identified. She is asymptomatic and leading a good quality of life.
Discussion
Concurrent occurrence of malignancies of different organs can be seen in the same patient. Multiple synchronous malignancies are rarer than metachronous ones [1–7].
Literature reveals that renal cell carcinoma has been associated with other primary malignancies (synchronous and metachronous); like those of colon [2], rectum [2], stomach [5], prostate [2], bladder [2], endometrium [1], ovary [1], breast [2], nasopharynx [5], lung [6] and haematological malignancies.
The proposed factors for multiple malignancies in renal cell carcinoma could be a common carcinogenic exposure such as tobacco or alcohol, germ line mutations of p53 as seen in Li-Fraumeni syndrome, Beckwith-Weidman syndrome or side effects of radiotherapy and chemotherapy. [3, 4]. None of the aforementioned factors contributed in our patient.
Multiple primary synchronous malignancies may be due to shared genetic mutations if any common carcinogenic factor cannot be found [1–3].
Estrogens may act like (a) carcinogen forming direct covalent linkage to DNA, (b) promoter of other carcinogens, (c) permissive influence on growth factors.[1, 8]. Though oestrogen-dependent renal cell carcinomas are described; oestrogen could not be implied as a carcinogenic in our patient.
The role of estrogens in cases wherein human renal cell carcinoma is associated with other primary tumours involving steroid-hormone target tissues is tentative and can only be hypothesised. [8].
Conclusion
In cases with incidentalomas, histopathology and immunohistochemistry confirm the primary nature of each malignancy and exclusion of possible metastasis from either site; for the better outcome of management and survival benefit.
One should consider the possibility of concomitant dual or multiple primary tumours in a patient presenting with mass lesions at various sites, especially if one of the sites is the kidney.
Acknowledgements
The authors would like to thank Dr. Dhananjay Kelkar, Medical Director, and Dr Shridhar Kanitkar, Consultant Surgeon, Deenanath Mangeshkar Hospital, Pune, India. Written informed consent was obtained from the patient for publication of this case report and any accompanying images.
Conflict of interest
The authors declare that they have no competing interests.
Contributor Information
U. A. Kurlekar, Email: ukurlekar@gmail.com
A. S. Rayate, Phone: +91-920-9295967, FAX: +91-204-0541003, Email: asrayate@yahoo.com
References
- 1.Di Silverio F, Sciarra A, Flammia GP, Mariani M, De Vico A. Multiple primary tumours: 17 cases of renal cell carcinoma associated with primary tumours involving different steroid hormone target tissues. World J Urol. 1997;15(3):203–209. doi: 10.1007/BF02201858. [DOI] [PubMed] [Google Scholar]
- 2.Hayat MJ, Howlader N, Reichman ME, Edwards BK. Cancer statistics, trends, and multiple primary cancer analyses from the Surveillance, Epidemiology, and End Results (SEER) Program. Oncologist. 2007;12:20–37. doi: 10.1634/theoncologist.12-1-20. [DOI] [PubMed] [Google Scholar]
- 3.Rabbani F, Grimaldi G, Russo P. Multiple primary malignancies in renal cell carcinoma. J Urol. 1998;160(4):1255–1259. doi: 10.1016/S0022-5347(01)62510-2. [DOI] [PubMed] [Google Scholar]
- 4.Rabbani F, Reuter VE, Katz J, Russo P. Second primary malignancies associated with renal cell carcinoma: influence of histologic type. Urology. 2000;56(3):399–403. doi: 10.1016/S0090-4295(00)00682-8. [DOI] [PubMed] [Google Scholar]
- 5.Fraumeni JF, Jr, Curtis RE, Edwards BK, et al. et al. Introduction. In: Curtis RE, Freedman DM, Ron E, et al.et al., editors. New malignancies among cancer survivors: SEER Cancer Registries, 1973–2000. Bethesda, MD: National Cancer Institute; 2006. [Google Scholar]
- 6.Beisland C, Talleraas O, Bakke A, Norstein J. Multiple primary malignancies in patients with renal cell carcinoma: a national population based cohort study. BJU Int. 2006;97(4):698–702. doi: 10.1111/j.1464-410X.2006.06004.x. [DOI] [PubMed] [Google Scholar]
- 7.Piccinini L, Luppi G, Zoboli A, Torricelli P. Occasional diagnosis of synchronous renal cell carcinoma during staging of other primary tumours. Tumori. 1996;82(5):488–490. doi: 10.1177/030089169608200516. [DOI] [PubMed] [Google Scholar]
- 8.Banerjee SK, Banerjee S, Li SA, Li J. Cytogenetic changes in hamster renal tumor induced by estrogens. Proc Annu Meet Am Assoc Cancer Res. 1991;32:967A. [Google Scholar]


