Abstract
Context:
Somato-sensitive innervation of bowels are maintained by lower segments of spinal cord and the blood supply of the lower spinal cord is heavily dependent on Adamkiewicz artery. Although bowel problems are sometimes seen in subarachnoid hemorrhage neither Adamkiewicz artery spasm nor spinal cord ischemia has not been elucidated as a cause of bowel dilatation so far.
Aims:
The goal of this study was to study the effects Adamkiewicz artery (AKA) vasospasm in lumbar subarachnoid hemorrhage (SAH) on bowel dilatation severity.
Settings and Design:
An experimental rabbit study.
Materials and Methods:
The study was conducted on 25 rabbits, which were randomly divided into three groups: Spinal SAH (N = 13), serum saline (SS) (SS; N = 7) and control (N = 5) groups. Experimental spinal SAH was performed. After 21 days, volume values of descending parts of large bowels and degenerated neuron density of L5DRG were analyzed.
Statistical Analysis Used:
Statistical analysis was performed using the PASW Statistics 18.0 for Windows (SPSS Inc., Chicago, Illinois). Two-tailed t-test and Mann-Whitney U-tests were used. The statistical significance was set at P < 0.05.
Results:
The mean volume of imaginary descending colons was estimated as 93 ± 12 cm3 in the control group and 121 ± 26 cm3 in the SS group and 176 ± 49 cm3 in SAH group. Volume augmentations of the descending colons and degenerated neuron density L5DRG were significantly different between the SAH and other two groups (P < 0.05).
Conclusion:
An inverse relationship between the living neuronal density of the L5DRG and the volume of imaginary descending colon values was occurred. Our findings will aid in the planning of future experimental studies and determining the clinical relevance on such studies.
Keywords: Adamkiewicz artery, bowel dilatation, dorsal root ganglion, lumbar, spine, subarachnoid hemorrhage, vasospasm
INTRODUCTION
Subarachnoid hemorrhage (SAH) is one of the most important neurosurgical diseases.[1,2] Despite the recent developments in technology,[3,4,5] incidence of vasospasm is still high.[6,7] Extracerebral organ dysfunction after SAH is closely linked to the magnitude of the primary neurological insult.[8] It was reported that interruption of bilateral segmental arteries at the level of Adamkiewicz artery (AKA) risks producing ischemic spinal cord (SC) dysfunction in a dog model.[6] Kato et al., reported that interruption of bilateral segmental arteries at ≥4 consecutive levels including the level of AKA risks producing ischemic spinal cord dysfunction.[9] Having broad knowledge of anatomy is essential for practicing neurosurgery. Certain anatomical structures call for detailed study due to their functional importance.[10,11] One of this structure is DRG. Many studies on ganglionary and neuronal cell changes following SAH were published by various authors.[8,10,12,13,14,15,16,17] Spinal SAH is a rare entity.[1,18] Interruption of the artery of Adamkiewicz leads to the spinal cord ischemia because the blood supply of the lower spinal cord is heavily dependent on this artery. Vasospasm of this artery, following spinal SAH may lead to changes in dorsal root ganglion (DRG). The vasospasm following spinal SAH can lead to damage of the third and the second sensory neurons of the spino-cortical sensory pathways, and result in neurodegeneration of DRG. Upper cervical ganglions innervate many organs, glands and parts of the carotid system in the head and, also anterior spinal artery by vasodilating effects,[18,19] so that ischemic injuries of these structures secondary to SAH may lead to anterior spinal artery vasospasm. Kanat et al., recently reported that anterior spinal artery vasospasm after SAH may lead to degeneration in DRG neurons at C3 level.[20] Upper gastrointestinal motility inhibition after spinal cord injury has been classically considered to result from autonomic dysreflexia.[21] Animal models have been designed in rats to evaluate the presence of AD induced by colonic or bladder distension.[21] Previous studies in rat documented that DRG innervate large intestines in rats.[22] Also, clinical studies suggest that irritable bowel syndrome pain inputs from an inflamed colon sensitizes neurons that receive convergent input to the same DRG from an unaffected visceral organ,[23] but the cause of intestinal distension, dilatation or paralysis following SAH has not been studied so far. The aforementioned artery may be responsible for the pathogenesis of bowel dysfunctions after SAH. We investigated the effect of AKA vasospasm following spinal SAH on the L4DRG.
MATERIALS AND METHODS
This study was conducted on 25 male rabbits. The animal protocols were approved by the Ethics Committee of Erzurum Ataturk University, Medical Faculty. Rabbits were randomly divided into three groups: Spinal SAH (N = 13), serum saline (SS) (SS; N = 7) and control (N = 5) groups. Experimental spinal SAH was performed. After 21 days, volume values of descending parts of large bowels and degenerated neuron density of L5DRG were analyzed. The animals were anesthetized by subcutaneous injection of a mixture of ketamine hydrochloride (25 mg/kg), lidocaine hydrochloride (15 mg/kg), and acepromasine (1 mg/kg). After the occipito-cervical region was prepared, autologous blood (0.5 mL) was taken from the auricular artery and injected into the spinal subarachnoid space at the level L4 in the SAH group, and 0.5 mL SS injected to same spinal subarachnoid space of SS groups with a 22-gauge needle. Prior to injecting 0.5 cc of saline, 0.5 cc of blood was removed from the SS group. The animals in the control group were not subjected to this procedure. All animals were followed-up for three weeks and sacrificed. For the light microscopic analysis, these materials were preserved in 10% formalin solution. Their lumbar DRGs at the L5 levels and descending colons were removed. Volume values of 5 cm parts of descending colons were estimated ascylinder volume calculation methods (V = πr2 h) in normal, SHAM and study groups. AKA, lumbar L5DRG and descending parts of colons were examined histopathologically after stained by hematoxylin&eosin and tunel. Histopathological changes were investigated and the density of normal and degenerated neurons of L5DRG was calculated. Neuronal shrinkage, perinuclear halo formation, stoplasmic condensation, cellular angulation and neuronal loss were accepted as ganglionary degeneration criteria.
Stereological analyses of histopathological data were made by according to the principles described previously.[24,25,26] To obtain an estimation of the total degenerated neuron number, we used the two-dimensional dissector technique. A counting frame was placed on a monitor, and the sampled area was selected by a systematic uniform random manner via the dial indicator controlled specimen stage. Physical dissector method was used to evaluate the numbers of degenerated and live neurons of L5DRG cells. Two consecutive sections (dissector pairs) obtained from tissue samples with named reference were mounted on each slide. Reference and look-up sections were reversed in order to double the number of dissector pairs without taking new sections. The mean numerical density of neurons of L5DRG cells/mm3 was estimated using the following formula;
NvGN = ΣQ−N/txA.
Where ΣQ−N is the total number of counted neurons appearing only in the reference sections; t is the section thickness, and A is the area of the counting frame. Cavalieri volume estimation method was used to obtain the total number of neurons in each specimen. Total number of neurons was calculated by multiplication of the volume (mm3) and numerical density of neurons in each L5DRG.
To calculate the volumetric changes of the descending colon value due to dilatation factors DRG ischemia, a three-dimensional (3D) cylindrical colon model was created by the reconstruction of seven consecutive histological sections of each colon. In the colon model, the luminal radius is represented by “r”, and the height is represented by “h” 10 mm segment of colon was evaluated as a standard model and it accepted as the height of colon. Geometrical volume calculation methods were used in the reconstructed cylindrical colon sample. The standardized colon's volume was calculated with the following formula:
V = πr2 h
Colon dilatation index (CDI) was preferred over the only measurement of lumen radius and volume values because the volume estimation method can be readily performed, is intuitively simple, more reliable, free from assumptions about vessel diameter of various segments and is unaffected by overestimation error of radius values of the colons. The wall ring surface values were calculated as the following formula: S1 = πR12-πR22. The lumen surface area was calculated as the same method. So, lumen surface value (S2) = πR12. The CDI was calculated as the proportion of S1/S2. CDI = S1/S2 = πR12- πR22/πR12 = π (R12 -R12)/πR12 = R12 -R12 /R12: CDI = (R2 -R2)/R2 .
Statistical methods
The volumetric changes of the colon, alive and degenerated neuron number of L5DRG were compared between groups using two-tailed t-test. Nonparametric relationships were examined with Mann-Whitney U-tests. P < 0.05 was considered as significant.
RESULTS
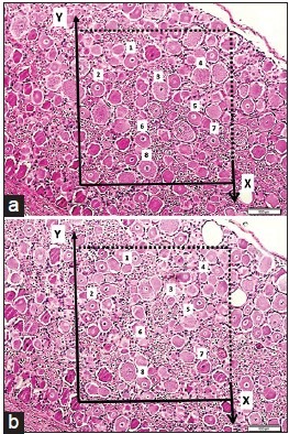
In the SAH group, bowel and bladder dysfunctions occurred in the majority of the animals. Their 5 cm parts of descending colons were removed, and volume values of were estimated as cylinder volume calculation methods (V = πr2 h) in normal, SHAM and study groups. Figure 1 shows a a gross anatomical appearance of L5 dorsal root ganglion anterior-posterior roots together with spinal cord nerve roots section with Adamkiewicz artery. Stereologic cell counting method of DRG of L5 root is seen in a rabbit [Figure 2a and b]. Application of the physical dissector method in which micrographs in same fields of view are taken from two paralel adjacent thin sections separated by a distance of 5 µm. Upper and right lines of unbiased counting frames represent the inclusion lines and the lower and left lines including the extensions are exclusion lines. Any neuron nucleolus hitting the inclusion lines were excluded and nucleolus profiles hitting the inclusion lines and located in side the frame are counted as dissector particles unless their profile extends up to the look-up section. The number of neurons from the two dissectors occurs in a volume given by the product of the counting frame are and distance between the sections. The numerical density of neurons was calculated from NvGN = ΣQ- GN/txA. In this application, the nucleoli of normal neurons marked with “1, 3, 5, 6” are dissector particles on A section as it disappeared section B, and the marked with “2, 4, 7 and 8” are not dissector particles. The nucleoli appears in both sections was not accepted as dissector particles. In Figure 3, gross anatomical appearance of L5 dorsal root ganglion roots together with spinal cord and histopathological appearance of L5 nerve roots section with AKAare seen of a rabbit with SAH. Demonstrable severe apoptosis in L5DRG were observed in a animal of SAH group [Figure 4]. Gross anatomical appearance of dilated colon at the descending segment, normal histological appearance of normal descending colon some apoptotic changes are detected in colonic structures [Figure 5]. The mean alive neuron density of the L5DRG was 17230 ± 1640/mm3 and degenerated neuron density was 65 ± 11/mm3 in the control group. Whereas, the density of living and degenerated neurons density were 16410 ± 1120/mm3 and 1340 ± 410/mm3 in serum saline (SS), 10540 ± 928/mm3 and 5580 ± 1030/mm3 in the SAH group. The mean volume of imaginary descending colons was estimated as 93 ± 12 cm3 in the control group and 121 ± 26 cm3 in the SS group and 176 ± 49 cm3 in SAH group. Volume augmentations of the descending colons and degenerated neuron density L6DRG were significantly different between the SAH and other two groups (P < 0.05).
Figure 1.

L5DRG anterior-posterior roots together with spinal cord (SC); nerve roots section with Adamkiewicz artery (AKA) are seen (LM, H and E, ×20)
Figure 2.

(a and b) Stereologic cell counting method of DRG of L5 root is seen in a rabbit. The degenerated neurons (DN) are estimated the same method of normal neurons (H and E, ×20, LM). Gross anatomical representation of L5DRG is seen at the right sides of the pictures
Figure 3.

L5 DRG roots together with spinal cord (SC); and histopathological appearance of L5 nerve roots section with Adamkiewicz artery (AKA) are seen of a rabbit with SAH created animal at the left upper corner (LM, H and E, ×10). At the base, histological appearance of L5 root with SAH appearance with normal (NN) and degenerated neurons (DN) (LM, H and E, ×20)
Figure 4.

Histopathological appearance of L5 dorsal root ganglion (DRG) roots together with spinal cord (SC); nerve roots (NR), Adamkiewicz artery (AKA) are seen of a rabbit with SAH at the left upper corner (LM, Tunnel stain, ×10). At the base, histological appearance of L5 root with SAH appearance with normal (NN) and apoptotic neurons (AN) (LM, Tunnel stain, ×40)
Figure 5.

Gross anatomical appearance of dilated colon, normal histological appearance of normal descending colon (At the right upper corner and of a dilated part with some apoptotic changes are detected at the right bottom (LM, Tunnel stain, ×20)
The mean alive neuron density of the L5DRG was 17230 ± 1640/mm3 and degenerated neuron density was 65 ± 11/mm3 in the control group. Whereas, the density of living neurons was 16410 ± 1120/mm3 and degenerated neuron density was in 1340 ± 410/mm3 for the SS group. Neuron density of L5DRG was 10540 ± 928/mm3 and degenerated neuron density was 5580 ± 1030/mm3 in the SAH group and hence we found that numerous neuron degenerations secondary to vasospasm of AKA at the L5DRG in the SAH group, but not in SS and control groups Table 1. Vasospasm of AKA was also not occurred in SS and control groups. The density of living neuron was statistically significantly reduced in the SAH group compared with the control and SS groups (P < 0.05).
Table 1.
Table shows mean number of living, degenerated of the L5DRG and, imaginary volume of descending colon

The mean volume of imaginary descending colons was estimated as 93 ± 12 cm3 in the control group and 121 ± 26 cm3 in the SF group and 176 ± 49 cm3 in SAH group. Volume augmentations of the transverse colons and degenerated neuron density L5DRG were significantly different between the SAH and other two groups (P < 0.05).
The CDI values of descending colon was 1.029 ± 0.20 in control group, 0.75 ± 0.28 in SF and 0.56 ± 0.10 in SAH group. The differences between the degenerated neuron density of L5DRG and CDI values was meaningful in SAH group (P < 0.005). Demonstrable severe apoptosis was detected on DRG of animals with high CDI in SAH group. Apoptotic degeneration of AKA was also noted especially in animals with massive SAH. Comparison for the SS group versus controls for the DRG, colon volumes, and CDI values were not showed statistically significant difference (P > 0.05).
DISCUSSION
Dysfunction of neuronal signal processing and transmission occurs after SAH and contributes to the high morbidity and mortality of this pathology. The underlying mechanisms may be neuronal cell death. Direct influence of subarachnoid blood metabolites on neuronal signaling should be considered.[27] In other hand, in cerebral hemorrhage, sensitive reflex arches of striated muscles and bowels may be disturbed due to DRG degeneration and results in spasticity and/or ileus.[13] The extrinsic sensory innervation of the gastrointestinal tract is the conduit through which the gut and the central nervous system communicate. The hindbrain receives information directly from the bowel via the vagus nerve, while information from spinal afferents arrives in the central nervous system through the dorsal root ganglia.[28] Intracerebral hemorrhage causes descending neurodegeneration from the cortex to the DRG.[3] Then, ICH causes neurodegeneration in the lumbar DRG.[29] This degeneration may be reason of bowel problem which could be sometimes observed in the patients suffering from spinal SAH,[30] which is a rare event.[1] Sensory information from the bowel is conveyed to the CNS by two separate extrinsic pathways. The vagal sensory innervation sends information to the brain via the nodose ganglia. Input to the spinal cord comes from the sensory innervation provided by the DRG.[28] The normal function of the gut requires both components of innervation, the intrinsic and extrinsic, to be intact and working in coordination.[28] Axons from neurons in the thoracic and lumbar DRG travel via the sympathetic chain and grow into the gut along the splanchnic nerves, traversing the celiac ganglion to reach the esophagus, stomach and small intestine and traveling through the mesenteric ganglia to reach the colon.[28] However, axons from neurons in sacral DRG follow the parasympathetic pelvic splanchnic nerves to supply the colon and rectum.[31] In this study, we showed the volume values of transverse parts of large bowels and histopathological feature degenerated neuron density of L5DRG following spinal SAH. Our result was occurred by AKA vasospasm. AKA is the most important feeding artery of the thoracolumbar spinal cord, also known as the great anterior radiculomedullary artery. Interruption of this artery by vasospasm leaded to L5 DRG neuron degeneration. As a result, colon dilatation occurred. Knowledge of the ischemic neurodegenerative changes of the L5DRGs in this study may also be meaningful for understanding of neuro-pathophysiologic mechanism of bowel dilatation following subarachnoid hemorrhage. Intracranial SAH may also lead to intestinal dysfunction and problems. Kamel et al., reported three cases in 2008.[32] Ruptured anterior spinal artery aneurysm may lead to urinary and bowel incontinence.[33] Urinary and bowel incontinence may be occurred by spinal spinal SAH affecting the spinl cord. Visceral organs such as the colorectum and the urinary bladder are innervated both by sensory and autonomic neurons.[34] Brumovsky et al., showed that that large intestines are innervated by DRG in rats.[22] Also, Li et al., suggest that irritable bowel syndrome pain inputs from an inflamed colon sensitizes neurons that receive convergent input to the same DRG from an unaffected visceral organ.[23] Our study first-time showed vasospasm of AKA secondary to spinal SAH. The DRG is located between the dorsal root and the spinal nerve. It contains pseudounipolar neurons that convey sensory information from the periphery to the CNS.[35] According the finding of present study, the AKA vasospasm seems to be responsible for the pathogenesis of bowel distension or paralysis after spinal SAH.
Clinical Implications of the present study
At present, neurosurgical practice is confronted by an explosion of technology,[36,37] vbut SAH is still a devastating condition.[1] Any contribution to our knowledge of the cause of the morbidity with bowel dilatation in SAH is always welcome. Present study investigated the effect of spinal SAH with AKA vasospasm on the L5DRG cells and descending colon dilatation severity. We found that decreased volume of the lumen of the artery of Adamkiewicz is important for descending colon diamaters of in animals with SAH compared with controls. Increased degenerations of the L5 DRG were noted in these animals. Results of this study are most likely due to ischemia or vasospasm in AKA. Edema of the cord and raised intramedullary pressure may be other responsible causes. We assumed that vasospasm of the AKA leads to apoptotic changes in transverse colon of animals. The model used by us would have value in cases of spinal SAH that is very rare. The spinal SAH may occur by trauma or vascular lesions. Our results are important explain the cause of bowel problems following thoraco-lumbar spinal surgical procedures, spinal trauma and SAH. It is a novel observation that that the arterial supply of L5DRG by AKA crucial for normal bowel function and dimension. The recognition of this fact is important. If indeed one is the first to report something and that something is of value.[4,5]
Limitation of the study
Several limitations of this study deserve mention. Stereologic methods were used for the determination of degenerative changes of the L5DRG cells and volume estimation of transvers colon. We know that spinal SAH is a rare entity. An estimate of the number of live or degenerated neurons in each specimen was the basis of our results. It was noted that there is a direct link between degeneration of L5DRG and AKA vasospasm and bowel dilatation. We strictly emphasize that this is an experimental, observational study, and the relationship between AKA vasospasm and degeneration L5DRG and bowel dilatation has first-time been reported in rabbits by us, and they can be occur in human too. In addition, blood was injected at the same lumbar level (L4) in each rabbit, but the AKA is often variable. An autopsy study by Koshino et al., showed that this artery was located on the left side in 72% and between Th8 and L1 in 91%,[38,39] and dilatation did not occur same degree in all animals. We stated that bowel and bladder dysfunction occurred in animals with SAH, however bladder dysfunction was not quantified. No motor functional testing was done because the aim of this study is not to show the motor and bladder dysfunction following spinal lumbar SAH in rabbits. An important limitation is that our experimental rabbit model of SAH may not accurately mimic the human disease process.[11] For that reason, our experimental rabbit model cannot be representing a human spinal SAH model. Our spinal SAH model of causing spasm in the AKA of rabbits by locally injecting blood will have a corresponding significance in human is as stated by us without any evidence. However, our study will promote further studies in this subject.
CONCLUSION
In this study, neurodegeneration of animals with bowel dilatation was occurred which were not observed in animals in SS and control groups. The balance between cell proliferation and cell death is crucial in all tissues, particularly in the nervous system and DRG. AKA artery is important structure for bowel function. Spine surgeons should know this fact. Our results show that AKA vasospasm with spinal SAH leads neurodegeneration of L5DRG related bowel dilatation, which was first-time reported. Knowledge of this neurodegeneration of L5DRG cells by the AKA vasospasm may be important in reducing the risk of paraplegia or paraparesis, disturbances of urination and defecation, and impairment of pain and temperature sensations following lumbar spinal surgery. In addition, documenting such an irreversible ischemic neuron degeneration of the L5DRG with AKA vasospasm related bowel dilatation will aid in the planning of future experimental and clinical studies and determining the clinical importance of this artery.
Abbreviations:
AKA: Adamkiewicz artery.
CDI: Colon dilatation index.
CNS: Central nervous system.
DRG: Dorsal root ganglion.
SAH: Subarachnoid hemorrhage.
SC: Spinal cord.
SS: Serum saline.
Footnotes
Source of Support: Nil
Conflict of Interest: None declared.
REFERENCES
- 1.Marconi F, Parenti G, Giorgetti V, Puglioli M. Spinal cavernous angioma producing subarachnoid hemorrhage. Case report. J Neurosurg Sci. 1995;39:75–80. [PubMed] [Google Scholar]
- 2.Tuzgen S, Kucukyuruk B, Aydin S, Ozlen F, Kizilkilic O, Abuzayed B. Decompressive craniectomy in patients with cerebral infarction due to malignant vasospasm after aneurysmal subarachnoid hemorrhage. J Neurosci Rural Pract. 2012;3:251–5. doi: 10.4103/0976-3147.102598. [DOI] [PMC free article] [PubMed] [Google Scholar]
- 3.Akca N, Ozdemir B, Kanat A, Batcik OE, Yazar U, Zorba OU. Describing a new syndrome in L5-S1 disc herniation: Sexual and sphincter dysfunction without pain and muscle weakness. J Craniovertebr Junction Spine. 2014;5:146–50. doi: 10.4103/0974-8237.147076. [DOI] [PMC free article] [PubMed] [Google Scholar]
- 4.Kanat A, Yazar U, Ozdemir B, Kazdal H, Balik MS. Neglected knowledge: Asymmetric features of lumbar disc disease. Asian J Neurosurg. 2014 doi: 10.4103/1793-5482.145573. DOI:10.4103/1793-5482.145573. [DOI] [PMC free article] [PubMed] [Google Scholar]
- 5.Kanat A, Balik MS, Kirbas S, Ozdemir B, Koksal V, Yazar U, et al. Paradox in the cubital tunnel syndrome - frequent involvement of left elbow: First report. Acta Neurochir (Wien) 2014;156:165–8. doi: 10.1007/s00701-013-1851-5. [DOI] [PubMed] [Google Scholar]
- 6.Chen T, Carter BS. Role of magnesium sulfate in aneurysmal subarachnoid hemorrhage management: A meta-analysis of controlled clinical trials. Asian J Neurosurg. 2011;6:26–31. doi: 10.4103/1793-5482.85632. [DOI] [PMC free article] [PubMed] [Google Scholar]
- 7.Venkataramana NK, Rao SA, Naik AL, Shetty K, Murthy P, Bansal A, et al. Innovative approach for prevention and treatment of post subarachnoid hemorrhage vasospasm: A preliminary report. Asian J Neurosurg. 2012;7:78–80. doi: 10.4103/1793-5482.98650. [DOI] [PMC free article] [PubMed] [Google Scholar]
- 8.Yolas C, Kanat A, Aydin MD, Turkmenoglu ON, Gundogdu C. Important casual association of carotid body and glossopharyngeal nerve and lung following experimental subarachnoid hemorrhage in rabbits. First report. J Neurol Sci. 2014;15:220–6. doi: 10.1016/j.jns.2013.10.047. [DOI] [PubMed] [Google Scholar]
- 9.Kato S, Kawahara N, Tomita K, Murakami H, Demura S, Fujimaki Y. Effects on spinal cord blood flow and neurologic function secondary to interruption of bilateral segmental arteries which supply the artery of Adamkiewicz: An experimental study using a dog model. Spine (Phila Pa 1976) 2008;33:1533–41. doi: 10.1097/BRS.0b013e318178e5af. [DOI] [PubMed] [Google Scholar]
- 10.Aydin MD, Kanat A, Turkmenoglu ON, Yolas C, Gundogdu C, Aydın N. Changes in number of water-filled vesicles of choroid plexus in early and late phase of experimental rabbit subarachnoid hemorrhage model; the role of petrous ganglion of glossopharyngeal nerve. Acta Neurochir (Wien) 2014;156:1311–7. doi: 10.1007/s00701-014-2088-7. [DOI] [PubMed] [Google Scholar]
- 11.Turkmenoglu ON, Kanat A, Yolas C, Aydin MD, Ezirmik N, Gundogdu C. First report of important causal relationship between the Adamkiewicz artery vasospasm and dorsal root ganglion cell degeneration in spinal subarachnoid hemorrhage: An experimental study using a rabbit model. Asian J Neurosurg. 2014 doi: 10.4103/1793-5482.145572. DOI:10.4103/1793-5482.145572. [DOI] [PMC free article] [PubMed] [Google Scholar]
- 12.Aydin MD, Akyol-Salman I, Sahin O. Histopathological changes in ciliary ganglion of rabbits with subarachnoid hemorrhage. Int J Neurosci. 2005;115:1595–602. doi: 10.1080/00207450590958079. [DOI] [PubMed] [Google Scholar]
- 13.Aydin MD, Erdogan AR, Cevli SC, Gundogdu C, Dane S, Diyarbakirli S. Ganglionary mechanisms of spasticity and ileus in cerebral hemorrhage: An experimental study. Int J Dev Neurosci. 2006;24:455–9. doi: 10.1016/j.ijdevneu.2006.07.001. [DOI] [PubMed] [Google Scholar]
- 14.Aydin MD, Kanat A, Yilmaz A, Cakir M, Emet M, Cakir Z, et al. The role of ischemic neurodegeneration of the nodose ganglia on cardiac arrest after subarachnoid hemorrhage: An experimental study. Exp Neurol. 2011;230:90–5. doi: 10.1016/j.expneurol.2010.09.018. [DOI] [PubMed] [Google Scholar]
- 15.Aydin MD, Serarslan Y, Gundogdu C, Aydin N, Aygul R, Kotan D, et al. The relationship between the neuron density of the trigeminal ganglion and the posterior communicating artery vasospasm in subarachnoid hemorrhage: An experimental study. Neurosurg Q. 2012;22:1–6. [Google Scholar]
- 16.Aydin MD, Ungoren MK, Izci Y, Acıkel M, Gundogdu C, Gursan N. Vagal Nerve Degeneration and Pulmonary Artery Vasospasm After Subarachnoid Hemorrhage. J Neurol Sci (Turkish) 2013;30:369–76. [Google Scholar]
- 17.Ulvi H, Demir R, Aygül R, Kotan D, Calik M, Aydin MD. Effects of ischemic phrenic nerve root ganglion injury on respiratory disturbances in subarachnoid hemorrhage: An experimental study. Arch Med Sci. 2013;30:1125–31. doi: 10.5114/aoms.2013.39227. [DOI] [PMC free article] [PubMed] [Google Scholar]
- 18.Mawad ME, Rivera V, Crawford S, Ramirez A, Breitbach W. Spinal cord ischemia after resection of thoracoabdominal aortic aneurysms: MR findings in 24 patients. AJR Am J Roentgenol. 1990;155:1303–7. doi: 10.2214/ajr.155.6.2122684. [DOI] [PubMed] [Google Scholar]
- 19.Shi TJ, Tandrup T, Bergman E, Xu ZQ, Ulfhake B, Hökfelt T. Effect of peripheral nerve injury on dorsal root ganglion neurons in the C57 BL/6J mouse: Marked changes both in cell numbers and neuropeptide expression. Neuroscience. 2001;105:249–63. doi: 10.1016/s0306-4522(01)00148-8. [DOI] [PubMed] [Google Scholar]
- 20.Kanat A, Yilmaz A, Aydin MD, Musluman M, Altas S, Gursan N. Role of degenerated neuron density of dorsal root ganglion on anterior spinal artery vasospasm in subarachnoid hemorrhage: Experimental study. Acta Neurochir (Wien) 2010;152:2167–72. doi: 10.1007/s00701-010-0793-4. [DOI] [PubMed] [Google Scholar]
- 21.Leal PR, Cruz PR, Lopes AC, Jr, Lima RC, Jr, Carvalho FM, da Graça JR, et al. A new model of autonomic dysreflexia induced by gastric distension in the spinal cord-transected rat. Auton Neurosci. 2008;141:66–72. doi: 10.1016/j.autneu.2008.05.006. [DOI] [PubMed] [Google Scholar]
- 22.Brumovsky PR, La JH, McCarthy CJ, Hokfelt T, Gebhart GF. Dorsal root ganglion neurons innervating pelvic organs in the mouse express tyrosine hydroxylase. Neuroscience. 2012;223:77–91. doi: 10.1016/j.neuroscience.2012.07.043. [DOI] [PMC free article] [PubMed] [Google Scholar]
- 23.Li J, Micevych P, McDonald J, Rapkin A, Chaban V. Inflammation in the uterus induces phosphorylated extracellular signal-regulated kinase and substance P immunoreactivity in dorsal root ganglia neurons innervating both uterus and colon in rats. J Neurosci Res. 2008;86:2746–52. doi: 10.1002/jnr.21714. [DOI] [PMC free article] [PubMed] [Google Scholar]
- 24.Gundersen HJ, Bendtsen TF, Korbo L, Marcussen N, Møller A, Nielsen K, et al. Some new, simple and efficient stereological methods and their use in pathological research and diagnosis. APMIS. 1988;96:379–94. doi: 10.1111/j.1699-0463.1988.tb05320.x. [DOI] [PubMed] [Google Scholar]
- 25.Gundersen HJ. Stereology of arbitrary particles. A review of unbiased number and size estimators and the presentation of some new ones, in memory of William R. Thompson. J Microsc. 1986;143:3–45. [PubMed] [Google Scholar]
- 26.Sterio DC. The unbiased estimation of number and sizes of arbitrary particles using the disector. J Microsc. 1984;134:127–36. doi: 10.1111/j.1365-2818.1984.tb02501.x. [DOI] [PubMed] [Google Scholar]
- 27.Kamp MA, Dibué M, Etminan N, Steiger HJ, Schneider T, Hänggi D. Evidence for direct impairment of neuronal function by subarachnoid metabolites following SAH. Acta Neurochir (Wien) 2013;155:255–60. doi: 10.1007/s00701-012-1559-y. [DOI] [PubMed] [Google Scholar]
- 28.Ratcliffe EM. Molecular development of the extrinsic sensory innervation of the gastrointestinal tract. Auton Neurosci. 2011;161:1–5. doi: 10.1016/j.autneu.2010.11.003. [DOI] [PMC free article] [PubMed] [Google Scholar]
- 29.Gundogdu C, Aydin MD, Kotan D, Aydin N, Bayram E, Ulvi H, et al. Vascular mechanism of axonal degeneration in peripheral nerves in hemiplegic sides after cerebral hemorrhage: An experimental study. J Brachial Plex Peripher Nerve Inj. 2008;3:13. doi: 10.1186/1749-7221-3-13. [DOI] [PMC free article] [PubMed] [Google Scholar]
- 30.Rappaport B, Emsellem HA, Shesser R, Millstein E. An unusual case of proctalgia. Ann Emerg Med. 1990;19:201–3. doi: 10.1016/s0196-0644(05)81809-8. [DOI] [PubMed] [Google Scholar]
- 31.Furness JB, Kunze WA, Clerc N. Nutrient tasting and signaling mechanisms in the gut. II The intestine as a sensory organ: Neural, endocrine, and immune responses. Am J Physiol. 1999;277:G922–8. doi: 10.1152/ajpgi.1999.277.5.G922. [DOI] [PubMed] [Google Scholar]
- 32.Kamel MH, Murphy M, Kamel MH. Mesenteric ischaemia after endovascular coiling of ruptured cerebral aneurysms. Acta Neurochir (Wien) 2008;150:367–70. doi: 10.1007/s00701-008-1518-9. [DOI] [PubMed] [Google Scholar]
- 33.Jiarakongmun P, Chewit P, Pongpech S. Ruptured anterior spinal artery aneurysm associated with coarctation of aorta. Case report and literature review. Interv Neuroradiol. 2002;8:285–92. doi: 10.1177/159101990200800308. [DOI] [PMC free article] [PubMed] [Google Scholar]
- 34.Robinson DR, Gebhart GF. Inside information: The unique features of visceral sensation. Mol Interv. 2008;8:242–53. doi: 10.1124/mi.8.5.9. [DOI] [PMC free article] [PubMed] [Google Scholar]
- 35.Sapunar D, Kostic S, Banozic A, Puljak L. Dorsal root ganglion - a potential new therapeutic target for neuropathic pain. J Pain Res. 2012;5:31–8. doi: 10.2147/JPR.S26603. [DOI] [PMC free article] [PubMed] [Google Scholar]
- 36.Kanat A, Yazar U. Spinal surgery and neurosurgeon: Quo vadis? J Neurosurg Sci. 2013;57:75–9. [PubMed] [Google Scholar]
- 37.Kanat A, Turkmenoglu O, Aydin MD, Yolas C, Aydin N, Gursan N, et al. Toward changing of the pathophysiologic basis of acute hydrocephalus after subarachnoid hemorrhage: A preliminary experimental study. World Neurosurg. 2013;80:390–5. doi: 10.1016/j.wneu.2012.12.020. [DOI] [PubMed] [Google Scholar]
- 38.Koshino T, Murakami G, Morishita K, Mawatari T, Abe T. Does the Adamkiewicz artery originate from the larger segmental arteries? J Thorac Cardiovasc Surg. 1999;117:898–905. doi: 10.1016/S0022-5223(99)70369-7. [DOI] [PubMed] [Google Scholar]
- 39.Takase K. Simultaneous evaluation of the whole aorta and artery of Adamkiewicz by MDCT. Ann Vasc Dis. 2011;4:286–92. doi: 10.3400/avd.di.11.00725. [DOI] [PMC free article] [PubMed] [Google Scholar]
