Abstract
Neuropathology plays a key role in characterizing the pathogenesis of neurodegenerative diseases including forms of neurodegeneration with brain iron accumulation (NBIA). Despite important differences, several genetically diverse forms of NBIA nevertheless share common features in addition to iron deposition, such as the presence of neuroaxonal spheroids. Multiple forms of NBIA also demonstrate tau or synuclein pathology, suggesting parallels with both Alzheimer and Parkinson diseases. This chapter summarizes what has been learned from the study of human patient tissues. Gross and microscopic findings are delineated, and similarities and differences between forms of NBIA are presented. Neuropathologic findings often help characterize fundamental features of disease and provide a springboard for more focused hypothesis-driven studies. Lessons learned from neuropathology thus contribute much to the characterization of the molecular mechanisms of disease.
1. INTRODUCTION
Neuropathology has played a central role in defining the biology of neurodegenerative diseases. Postmortem studies of affected patients often provide important clues to disease pathogenesis. These findings can then be followed up with more specific biochemical assays or studies using in vitro or animal models. In fact, the lack of human autopsy material can be a limiting factor in disease research, particularly in the case of rare diseases such as neurodegeneration with brain iron accumulation (NBIA).
The recognition of the brain iron deposition syndromes began with the work of Julius Hallervorden and Hugo Spatz, German neuropathologists who noted a gross discoloration of the globus pallidus in postmortem brains from patients with extrapyramidal features. It was their work that led to the recognition of the brain iron accumulation disorders, and the two were credited for their discovery via the initial eponym for the disease. However, given their association or at the very least, tacit acquiescence with the mass euthanasia programs of the Third Reich (Shevell, 1992), the disorder was renamed once the causative gene was identified (Zhou et al., 2001).
Since the first recognition of the NBIA disorders, many papers delineating the neuropathology of NBIA have appeared in the literature. Early reports, published before the recognition of distinct subtypes of the disorder and the molecular genetic characterization of causative genes, relied on clinical findings and the unifying feature of brain iron to classify a disorder as “NBIA.” Although these important early manuscripts characterized a rich diversity of phenotypic findings, interpretation is complicated by the fact that these reports likely comprise a heterogenous group of disorders, only some of which would be classified as NBIA today. Furthermore, important differences exist among subtypes of NBIA, particularly as some forms of the disease can be grouped based on shared pathologic features that are not universal among forms of NBIA. In addition, although animal models are a valuable contributor to efforts to dissect mechanisms of disease, such models do not always faithfully recapitulate “core” features of the human condition (Kuo et al., 2005). For example, existing mouse models for subtypes of NBIA conspicuously lack iron accumulation (Kuo, Hayflick, & Gitschier, 2007; Malik et al., 2008; Potter et al., 2011; Schultheis et al., 2013; Wada et al., 2009; Zöller et al., 2008). Animal models thus require careful corroboration with human disease histopathology to identify important similarities and differences between species. For these reasons, this chapter will focus on molecularly characterized cases of human brain pathology.
Other neurodegenerative diseases, including Parkinson disease, Huntington disease, and multiple system atrophy, are known to feature brain iron accumulation. The overlap of the NBIA disorders with these more common forms of neurodegeneration has thus generated significant interest and suggests an element of shared pathophysiology (Schneider & Bhatia, 2013). However, significant differences also exist, such as the predominant sites of iron deposition (pallidal in most forms of NBIA and nigral in other neurodegenerative diseases) and in clinical features of disease. Furthermore, whether iron accumulation occurs as a result of converging molecular mechanisms or simply as an epiphenomenon is not known.
Pathologic hallmarks of NBIA include the disease-defining deposition of iron, the presence of neuroaxonal spheroids, and the variable accumulation of α-synuclein-positive Lewy bodies and/or tau pathology. Microscopic visualization of iron deposits has largely been performed using Perls’ stain (also referred to as the Prussian or Berlin blue stain), which detects Fe3+; Turnbull blue, which reacts more vigorously with Fe2+; and/or ferritin immuno-staining (typically using antibodies raised against ferritin light chain). Ferritin-associated iron largely occurs as Fe3+. Surprisingly, little is known about the subcellular location of iron deposits or the chemical form iron deposition occurs in. Correspondingly, little is also known about the origin and composition of spheroids, although ultrastructural characterization of spheroids in putative pantothenate kinase-associated neurodegeneration (PKAN) and infantile neuroaxonal dystrophy has been performed (Malandrini, Bonuccelli, et al., 1995; Malandrini, Cavallaro, et al., 1995). Reports have suggested that spheroids begin within the axon and spread retrogradely to the cell body, perhaps indicated an impairment of axonal transport (Malandrini, Bonuccelli, et al., 1995; Malandrini, Cavallaro, et al., 1995).
Recognizing the importance of studies of human histopathology, substantial challenges still exist in interpreting findings from this work. In particular, separating primary pathology from secondary effects, particularly in patients with end-stage disease, can be difficult. Downstream mechanisms can complicate interpretation, begging the question as to whether a response is compensatory or maladaptive. Furthermore, given the paucity of autopsy material from patients with NBIA, findings are derived from a small number of cases, sometimes challenging efforts to distinguish incidental findings or age-related pathology from cardinal features of the disease. Despite these inherent difficulties, analysis of autopsy and biopsy material has determined that subtypes of NBIA have distinct pathologic features that have provided important clues to the biological origins of disease (Table 8.1). These findings have clarified the nosological relationship between forms of NBIA and highlighted relationships to other neurodegenerative diseases.
Table 8.1.
Neuropathologic features of subtypes of NBIA
| Subtype | Associated gene | Iron deposition | Pathologic features |
|---|---|---|---|
| PKAN | PANK2 | GP, SN | NFTs, spheroids |
| PLAN | PLA2G6 | GP, SN | Lewy bodies, NFTs, spheroids |
| MPAN | c19orf12 | GP, SN | Lewy bodies, spheroids, tau |
| ACP | CP | P, CN, GP, Th, DN | GFSB; bizarre astrocytes |
| NFT | FTL | P, CN, GP, Th, DN | Distorted, iron-laden nuclei |
| FAHN | FA2H | GP, SN | ??? |
| KRS | ATP13A2 | CN, P | ??? |
| BPAN | WDR45 | SN, GP | Lewy bodies, NFTs, spheroids |
GP, globus pallidus; SN, substantia nigra; CN, caudate nucleus; P, putamen; Th, thalamus; DN, dentate nucleus; NFTs, neurofibrillary tangles; GFSB, grumose or foamy spheroid bodies.
2. PANTOTHENATE KINASE-ASSOCIATED NEURODEGENERATION (PKAN)
The most common form of NBIA, PKAN, was the first form of the disease to have the causative gene identified. Affected patients develop progressive dystonia and parkinsonism associated with a variable degree of intellectual decline. Neuroimaging demonstrates the characteristic “eye-of-the-tiger” appearance of the globus pallidus, with T2 hypointensity indicative of iron deposition surrounding a central region of hyperintensity. The eye-of-the-tiger sign is considered pathognomonic for this form of NBIA (Hayflick, Hartman, Coryell, Gitschier, & Rowley, 2006), although similar but “atypical” findings can occur in other subtypes of the disease. The pathology of PKAN has been largely described by Kruer et al. (2011) and Li et al. (2012).
2.1. Gross brain pathology
The brains of patients with PKAN do not show significant gross atrophy, consistent with neuroimaging findings. Sectioning of the brain reveals a rusty discoloration largely confined to the globus pallidus. The remainder of the brain is grossly unremarkable.
2.2. Histologic findings
Histologically, pathology is most apparent within the globus pallidus but diffuse cortical and subcortical involvement occurs. Although inflammation is not a prominent feature, CD163+ microglial infiltration of the globus pallidus is seen. Loss of both myelin (assessed by myelin basic protein staining) and axons (as determined by phosphorylated neurofilament heavy-chain immunohistochemistry) is prominent in the globus pallidus and adjacent white matter tracts. Neuronal degeneration is the predominant pathology, and reactive fibrillary astrogliosis occurs in affected brain regions. The cerebellum is largely spared. In addition, midbrain pathology is relatively mild, with preservation of the pigmented neurons of the substantia nigra. Rarefaction of the neuropil is seen most prominently in the globus pallidus. A demarcated region of profound rarefaction occurs within the central globus pallidus corresponding to the site of the “eye of the tiger” seen on neuroimaging.
2.3. Iron deposition
Perls’ staining of PKAN brain tissue shows a widespread perivascular deposition of iron largely confined to the globus pallidus but not strictly respecting the borders of this structure. Iron deposition occurs to a lesser extent in the substantia nigra. A coarse granular cytoplasmic appearance of both neurons and astrocytes is appreciable by Perls’ stain when compared to controls. Degenerating neurons show loss of this granularity. In addition, a fine “iron dusting” of the neuropil occurs. No significant iron deposition has been appreciated in oligodendrocytes. Occasional microglia contain coarse granular iron. Ferritin staining of both neurons and astrocytes is prominent in PKAN and in general mirrors the pattern seen by Perls’ staining. However, this correlation is incomplete, suggesting that iron not only occurs as ferritin deposits but also occurs in other forms.
2.4. Spheroids
A pathologic hallmark of NBIA, eosinophilic spheroids are seen in PKAN brains in the globus pallidus and to a lesser extent in the pars reticulata of the substantia nigra. Such spheroids range from 20 to 70 μm in diameter and may take on a variety of morphologies. In many if not all cases, these bodies are clearly neuronally derived. The larger spheroids have been alternately characterized as degenerating neurons or ovoid bodies, while the smaller structures are felt to represent classical “neuroaxonal spheroids,” sometimes surrounded by a myelin rim. It is likely that given the neuronal degeneration that occurs, these findings exist along a continuum. Spheroids are inconsistently tau- and amyloid precursor protein (APP)-positive and inconsistently iron-positive while usually not appearing heavily iron-laden.
Electron microscopic analysis of spheroids has been performed in autopsy samples with clinical and neuroimaging features of PKAN (Malandrini, Bonuccelli, et al., 1995). Although not molecularly confirmed, these cases can be classified as probable PKAN. Findings from EM demonstrated dense osmiophilic bodies associated with vesicles and amorphous material.
2.5. Tau and synuclein pathology
Gallyas silver stain and tau-positive neurofibrillary tangles are a feature of PKAN but affected patients vary widely in their burden of tau pathology, suggesting this is a secondary feature of the disease. Although PKAN was once purported to represent a synucleinopathy, more recent studies of molecularly confirmed cases have shown that these early reports likely represent another form of NBIA as Lewy bodies and synuclein deposition are conspicuously absent in PKAN. Although ubiquitin immunostaining is widespread in PKAN and shows overlap with spheroids, markers of other neurodegenerative disease, including TDP-43 and FUS, are absent.
2.6. Other affected organ systems
Although pigmentary retinopathy is seen in PKAN, studies reporting ocular pathology have not yet been published. Unlike other forms of NBIA, peripheral neuropathy is not a feature of PKAN. The cause of death is PKAN that is often unknown, although largely ascribed to cardiopulmonary failure. Prominent autonomic signs are not seen in PKAN, but it is not known if cardiac pathology exists. A single report described myopathy as a feature of PKAN (Malandrini, Cavallaro, et al., 1995), but this was not in a molecularly confirmed case.
Important aspects of PKAN neuropathology are portrayed in Figs. 8.1–8.3.
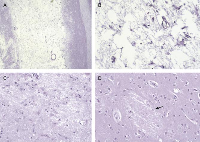
Figure 8.1.
Histopathologic features of affected tissues in PKAN. (A) Low-magnification view of hematoxylin and eosin stain of globus pallidus, with periodic acid Schiff's stain added to highlight vascular structures, showing the rarefied area that corresponds to the “eye of the tiger” observed radiographically (scale bar: 600 μm). (B) Both large degenerating neurons (arrowhead) and smaller neuroaxonal spheroids (arrow) were present in the globus pallidus in PKAN. Note also hemosiderin in the background (scale bar: 50 מm). (C) Glial fibrillary acidic protein immunohistochemistry of the globus pallidus, demonstrating widespread gliosis. Larger residual cells are astrocytes (scale bar: 100 מm). (D) Focal macrophage infiltrates in the globus pallidus as assessed by CD163 immunohistochemistry (scale bar: 50 μm). (E) Normal preservation of synaptic content in putamen as assessed by synaptophysin immunohistochemistry; for comparison, (E)–(G) were acquired at the same magnification and exposure under same light intensity (scale bar: 100 μm). (F) Relative synapse preservation more peripherally in the globus pallidus externa adjacent to the internal capsule as assessed by synaptophysin immunohistochemistry (scale bar: 100 μm). (G) Marked synapse loss in central region of globus pallidus as assessed by synaptophysin immunohistochemistry (scale bar: 100 μm). (H) Hematoxylin and eosin stain of the substantia nigra, showing good preservation of midbrain pigmented neurons (scale bar: 200 μm). (Modified from Kruer et al. (2011) with permission).
Figure 8.3.
Features of neuroaxonal spheroids and degenerating neurons. (A) Immunohistochemistry for amyloid precursor protein demonstrates intense staining of neuroaxonal spheroids (arrowhead) and a lower amount of staining, or no staining, of degenerating neurons (arrow) in the globus pallidus in PKAN (scale bar: 50 μm). (B) Immunohistochemistry for high-molecular-weight neurofilament protein reveals limited staining, mostly of smaller neuroaxonal spheroids (arrowheads), which are larger than residual axons (arrows), but significantly smaller than negatively staining degenerating neurons in the background (scale bar: 50 μm). (C) Tau-2 immunohistochemistry reveals variable expression of tau in degenerating neurons; an area of relatively intense staining is depicted (scale bar: 50 μm). (D) The spectrum of degenerating neurons and neuroaxonal spheroids in the globus pallidus is uniformly positive by anti-ubiquitin immunohistochemistry (scale bar: 200 μm). (E) Higher magnification of ubiquitin immunohistochemistry of globus pallidus, showing strong granular staining of degenerating neurons (upper left) as well as finely granular cytoplasmic staining in rare intact neurons (arrow) (scale bar: 50 μm). (F) The neuron in the center has developed eosinophilic cytoplasmic granularity and an indistinct nuclear contour compared with the intact neuron on the right (scale bar: 50 μm). (G) The lower neuron contains peripheral cytoplasmic lipofuscin pigment as well as paranuclear eosinophilic cytoplasm; the nucleus displays smudging. The upper neuron displays similar cytoplasmic changes, but the nucleus has degenerated and is no longer apparent (scale bar: 50 μm). (H) Toluidine blue-stained plastic-embedded section of relatively intact (upper) and degenerated (lower) neurons in the globus pallidus. Neurons with advanced degeneration did not have morphologically recognizable nuclei or distinct cytoplasmic boundaries; however, small axons tended to be relatively preserved (scale bar: 50 μm). (I) Lamin A/C immunohisto-chemistry of structures showing advanced degeneration in the globus pallidus reveals a residual nuclear outline, indicating their cellular origin. Nuclear size indicates neuronal origin; note pallor of staining compared with surrounding viable glial nuclei (scale bar: 50 μm). (Modified from Kruer et al. (2011) with permission).
3. PHOSPHOLIPASE-ASSOCIATED NEURODEGENERATION (PLAN)
In contrast to PKAN, phospholipase-associated neurodegeneration (PLAN) is related to mutations in PLA2G6 and widely considered a synucleinopathy, cross-listed as PARK14 (OMIM #612953). Iron deposition is not a universal feature of PLAN, present in roughly half of childhood-onset cases and cerebellar atrophy usually precedes iron accumulation on patient MRI scans. Patients presenting with adult-onset dystoniaparkinsonism do not typically show iron deposition (Paisan-Ruiz et al., 2009). The pathology of PLAN has been described primarily by Gregory et al. (2008) and Paisán-Ruiz et al. (2010).
3.1. Gross pathology
Gross brain pathology shows diffuse cortical and cerebellar atrophy, with cerebellar atrophy predominating. A rust-colored appearance of the globus pallidus may be appreciable, while pallor of the substantia nigra may also occur.
3.2. Histologic findings
Histologically, widespread neuronal loss occurs with corresponding astrogliosis. Purkinje cell degeneration leads to torpedo morphology and eventual dropout. Cerebellar granule cell loss may be prominent with associated astrogliosis. Atrophy of the molecular layer also occurs.
3.3. Iron deposition
Perls’ stain shows perivascular and intracellular iron accumulation largely confined to the globus pallidus, although the substantia nigra variably shows iron deposition. Affected neurons accumulate iron leading to a coarse intra-cellular appearance that recedes in degenerating cells.
3.4. Spheroids
Neuroaxonal spheroids are a prominent feature of PLAN, occurring throughout the brain and spinal cord. Spheroids can also be appreciated in peripheral nerve. Spheroids are eosinophilic, neuronally derived structures 30–100 μm in diameter. They may stain positively for neurofilament, ubiquitin, and α-synuclein. They are highlighted by the Bielschowsky silver stain method and have been observed to be surrounded with a rim of residual myelin. Electron microscopy of spheroids from a probable PLAN case has shown accumulation of membrano-tubular or granulo-vesicular material within neurons (Malandrini, Bonuccelli, et al., 1995; Malandrini, Cavallaro, et al., 1995).
3.5. Tau and synuclein pathology
Abundant tau and synuclein pathology can be seen in PLAN brain, although tau pathology is not an invariant feature. Widespread phosphorylated tau, Gallyas silver, and AT100-positive neurofibrillary tangles and neuropil threads can occur in PLAN brain and can be found in hippocampus and frontal and temporal cortex. Similarly, Lewy burden can be mild to severe, with both Lewy bodies and Lewy neurites observed. Lewy bodies can be confined to the substantia nigra or found diffusely throughout the mesial temporal structures and neocortex. These bodies stain positively for phosphorylated α-synuclein (Ser129).
3.6. Other affected organ systems
Spheroids can be observed via biopsy of the skin (cutaneous nerves), sural nerve, rectum, or conjunctiva. Peripheral nerve pathology includes thinning of myelin and a dystrophic appearance and massive enlargement of axons. Although optic atrophy is a typical feature of PLAN, optic nerve pathology has not yet been reported.
Depictions of PLAN pathology can be found in Figs. 8.4 and 8.5.
Figure 8.4.
Histologic findings in PLAN. (A) Significant degree of pigment deposition in the globus pallidus. (B) Empty baskets highlighting significant Purkinje cell loss in the cerebellar cortex. (C) Large neuroaxonal swellings in the gracile nucleus, which were often immunoreactive for neurofilament (D). (A and C) Hematoxylin and eosin (H&E); (B and D) phospho-neurofilament immunohistochemistry (pNF) (RT97 antibody). The bar on (A) represents 40 μm. (Modified from Paisán-Ruiz et al. (2012) with permission).
Figure 8.5.
Tau and synuclein pathology in PLAN. (A and B) Frequent Lewy bodies in substantia nigra neurons. Severe Lewy pathology is demonstrated in the entorhinal cortex (C), CA2 hippocampal subregion (D), and temporal neocortex (E). The tau pathology was extensive in some cases and is demonstrated here in the temporal cortex. (A) Hematoxylin and eosin (H&E); (B–E) α-synuclein immunohistochemistry (αSyn); (F) tau immunohistochemistry (AT8 antibody). The bar on (A) represents 80 μm. (Modified from Paisán-Ruiz et al. (2012) with permission).
4. MITOCHONDRIAL MEMBRANE PROTEIN-ASSOCIATED NEURODEGENERATION (MPAN)
Mitochondrial membrane protein-associated neurodegeneration (MPAN) was first identified among a founder population in Poland with a PANK2- and PLA2G6-negative form of NBIA. MPAN is caused by mutations in c19orf12, a mitochondrial membrane protein of cryptic function. Intermediate in phenotype, MPAN shares features of both PKAN and PLAN. Intriguingly, one of the early cases of MPAN was identified among a cohort of patients with idiopathic Parkinson disease (Hartig et al., 2011). The pathology of MPAN has been described by Hartig et al. (2011) and Hogarth et al. (2013).
4.1. Histologic findings
Similar to PKAN, the globus pallidus is selectively affected, showing rare-faction of the neuropil and widespread loss of neurons with associated astrogliosis. Large-scale neuronal loss within the substantia nigra also occurs. The cerebellum is largely spared with the exception of rare Lewy bodies and Lewy neurites within the dentate nucleus.
4.2. Iron deposition
Iron deposition is greater in the globus pallidus as compared to the substantia nigra. Perls’ stain shows iron in a perivascular distribution, within microglia, within neuronal concretions, and more diffusely within astrocytes.
4.3. Spheroids
Spheroids in MPAN occur within the neocortex, basal ganglia, cerebellum, brainstem, and spinal cord. Spheroids stain positively for ubiquitin, lightly positive for APP, and inconsistently positive for tau. Spheroids do not show immunoreactivity for TDP-43 or α-synuclein.
4.4. Tau and synuclein pathology
Widespread Lewy bodies and neurites are found within the globus pallidus, corpus striatum, neocortex, and substantia nigra. Relative Lewy body burdens in MPAN, PLAN, and Parkinson disease with dementia were recently compared (Hogarth et al., 2013). MPAN brain contained a Lewy body content more than 5 times that of PLAN and ~30 times greater than seen in individuals with Parkinson disease with dementia.
Hyperphosphorylated tau inclusions within neurons can be observed within the hippocampus. Perinuclear tau accumulation occurs in occasional pyramidal neurons, reminiscent of some forms of tauopathy. Only a few tau-positive bundles stain by silver staining methods, and fibrils and neurofibrillary tangles are not typical. Finally, apparently extracellular deposits of tau and synuclein have been noted in affected regions.
4.5. Other affected organ systems
Peripheral nerve biopsies from patients with MPAN have shown axonal spheroids.
An overview of MPAN pathology can be found in Figs. 8.6 and 8.7.
Figure 8.6.
Histopathologic features of mitochondrial membrane protein-associated neurodegeneration. (A) Low-magnification (4×) view of hematoxylin and eosin stain of the globus pallidus, showing central pallor and widespread dark hemosiderin deposits. (B) At higher magnification (20×), the predominantly perivascular distribution of hemosiderin and the near complete loss of neurons in the globus pallidus are apparent; residual small nuclei are glial-derived. (C) Eosinophilic spheroidal structures as described in pantothenate kinase-associated neurodegeneration (PKAN) are readily apparent; some of these harbor residual nuclear outlines and lipofuscin pigment, indicating an origin in degenerating neurons (40×). (D) Perls’ stain (blue) for iron highlights densely stained hemosiderin deposits (white arrowhead) as well as more diffuse iron in the globus pallidus and increased iron associated with eosinophilic spheroids (black arrowhead, 20×). (E) Ubiquitin immunohistochemistry shows uniform, strong staining of spheroids (white arrowheads) as in PKAN (20×). (F) An immunostain for tau labels a subpopulation of spheroids (white arrowheads); occasional tau-positive neurites are in the background (20×). (G) TDP-43 immunostaining does not label any structures in the globus pallidus (white arrowhead); the brown signal is derived from hemosiderin deposits (20×). (H) Spheroids in the globus pallidus are not labeled with an antibody to α-synuclein (white arrowhead, 40×). Scale bars: 100 μm. (Modified from Hogarth et al. (2013) with permission).
Figure 8.7.
Additional features of MPAN. (A) Lewy neurites are abundant in relatively intact areas at the periphery of the globus pallidus (40×). (B) α-Synuclein immunohistochemistry of the putamen developed with Vector Red identifies Lewy bodies (white arrowhead) and neurites (20×), inset at higher magnification (60×). (C) Hematoxylin and eosin stain of the midbrain demonstrates sclerosis of the substantia nigra with only isolated residual neurons (10×); (D) many of these contain Lewy bodies (white arrowhead, 60×). (E) Perls’ stain (blue) of the midbrain shows only occasional areas of minute parenchymal iron deposits, predominantly in a perivascular distribution (40×). (F) α-Synuclein immunohistochemistry revealed abundant Lewy bodies in the neocortex (20×), inset at higher magnification (60×); (G) α-synuclein immunohistochemistry also highlighted Lewy neurites in a widespread distribution, including the cerebral cortex (depicted, 40×), basal ganglia, pons, and midbrain. (H) Neocortical Lewy bodies were ubiquitin positive, as in the case of sporadic Lewy body disease (20×). Scale bars: 100 μm. (Modified from Hogarth et al. (2013) with permission).
5. KUFOR RAKEB SYNDROME (KRS)
Mutations in ATP13A2 were first identified in patients with a pallidopyramidal syndrome (KRS) and have since been identified in patients with juvenile parkinsonism (Crosiers et al., 2011; Paisán-Ruiz et al., 2010; Santoro et al., 2011) and neuronal ceroid lipofuscinosis (Bras, Verloes, Schneider, Mole, & Guerreiro, 2012). Several individuals have T2 hypointensity of the basal ganglia suggestive of brain iron deposition by MRI (Brüggemann et al., 2010; Schneider et al., 2010). For this reason, patients with ATP13A2 mutations have been characterized as having a form of NBIA, although like patients with PLAN, brain iron deposits appear to represent an inconsistent feature. A peripheral nerve biopsy in KRS showed reduced myelin fiber density, CD68 endoneurial macrophage infiltration, and degenerating axons with axonal+loss and perineurial and endoneurial edema (Paisán-Ruiz et al., 2010). Cytoplasmic inclusions were seen in vascular smooth muscle cells, endoneurium, and perineurium. Electron microscopic analysis of this nerve biopsy as well as skin biopsy from KRS patients (Malandrini, Rubegni, Battisti, Berti, & Federico, 2013) has shown electron-dense lamellated deposits ~1 μm in size. No postmortem studies of affected patients have yet been reported.
6. BETA PROPELLER PROTEIN-ASSOCIATED NEURODEGENERATION (BPAN)
A recently identified X-linked dominant form of NBIA, beta propeller protein-associated neurodegeneration (BPAN), features a course atypical from other forms of NBIA. Intellectual disability is noted in affected patients in early childhood, inconsistently accompanied by mild neuromotor impairment. BPAN patients then develop dystonia-parkinsonism in adulthood, sometimes over a short period of time.
Although no brain pathology from patients with mutations in WDR45 has yet been reported, a report almost three decades ago by Eidelberg et al. (1987) is highly suggestive of BPAN. Affected patients demonstrated early intellectual disability, followed by a rapidly progressive form of dystoniaparkinsonism in young adulthood. Although tissue is not available to confirm that these patients harbored a WDR45 mutation (Eidelberg, personal communication), they can be considered probable BPAN.
6.1. Gross pathology
In the three patients reported, findings were remarkably similar. Gross cortical atrophy was seen with relative sparing of the cerebellum. Rust-colored staining of the globus pallidus was evident ex vivo.
6.2. Histologic findings
H&E staining demonstrated widespread cortical neuronal loss, with corresponding loss of horizontal lamination. The globus pallidus featured substantial neuronal loss, as did the substantia nigra, with depigmentation of remaining neurons. Diffuse fibrillary astrocytosis occurred within the globus pallidus and substantia nigra. Corticospinal tracts, Clarke's column, and spinocerebellar tracts all exhibited myelin loss with co-occurring fibrillary astrocytosis.
6.3. Iron deposition
Iron deposition as measured by Perls’ stain was prominent within the globus pallidus and substantia nigra, particularly perivascularly and throughout the neuropil. Intracellular iron was largely observed within neurons in both the globus pallidus and substantia nigra.
6.4. Spheroids
Numerous eosinophilic axonal spheroids, 5–50 μm in diameter, were seen in the globus pallidus, substantia nigra, and gracile and cuneate nuclei. Axonal swellings occurred within the brainstem nuclei and cerebellum.
6.5. Tau and synuclein pathology
Tau and synuclein pathology was quite prominent in the cases examined. Approximately one-third of surviving neurons featured neurofibrillary tangle accumulation, with relative sparing of primary sensory and motor cortex, while Lewy bodies or Lewy neurites were seen in about one-fourth of remaining cells. Neurofibrillary tangles were widespread within pyramidal neurons and observed in the hippocampus, cortex, basal forebrain, subthalamic nucleus, and reticular formation. Tangles consisted of paired helical filaments 20–25 nm in diameter co-occurring alongside accumulated straight filaments. No neuritic plaques or amyloid deposition was appreciated.
6.6. Other pathology
Rare Hirano bodies and granulovacuolar degeneration were seen in the hippocampus. Anterior horn cell degeneration (chromatolysis) with axonal swelling was observed in the only case for whom the spinal cord was able to be examined. Manganese accumulation was detected within tangle-bearing hippocampal neurons by laser microprobe mass analysis.
Putative BPAN pathology is delineated in Figs. 8.8 and 8.9.
Figure 8.8.
Iron deposition and neuroaxonal spheroids in putative BPAN. (A) Perivascular and parenchymal deposits iron deposits within the pars reticularis of substantia nigra demonstrated by Perls’ stain. (B) Higher magnification showing axonal spheroids and perivascular pigment accumulation. (Modified from Eidelberg et al. (1987) with permission).
Figure 8.9.
Argyrophilic lesions in putative BPAN. (A) Most Bodian-positive elements within the hippocampus stain positively to PHF. (B) Higher magnification. (Modified from Eidelberg et al. (1987) with permission).
7. NEUROFERRITINOPATHY (NFT)
Neuroferritinopathy (NFT) is an autosomal dominant form of adult-onset NBIA that leads to a dystonia–chorea syndrome with dementia. It is caused by mutations in FTL, the ferritin light chain, which is predicted to lead to the formation of insoluble ferritin precipitates (Baraibar, Muhoberac, Garringer, Hurley, & Vidal, 2010). NFT pathology has been delineated by Mancuso et al. (2005) and Hautot et al. (2007).
7.1. Gross pathology
Grossly, the brains of patients with NFT exhibit diffuse atrophy of the cerebellum along with cavitary lesions of the putamen and rusty discoloration of the putamen, globus pallidus, and substantia nigra.
7.2. Histologic findings
Microscopic findings include a diffuse loss of neurons and glia with profound rarefaction of the putamen and globus pallidus. There is large-scale loss of oligodendrocytes in the paradentate white matter. There is a disproportionate loss of myelin compared to axons. Affected neurons exhibit pathognomonic distorted, enlarged, and vacuolated nuclei, most prominently in the putamen, while affected glia are predominantly carbonic anhydrase II-positive oligodendrocytes within white matter tracts. Extracellular hyaline deposits positive for both iron and ferritin can be seen. No substantial inflammatory infiltrate is observed.
7.3. Iron deposition
Intracellular and extracellular (perivascular) iron deposits are appreciable by both Turnbull and Perls’ stain and ferritin immunohistochemistry. Distorted nuclei react prominently for both Fe2+ and Fe3+. Birefringent crystals occur in neurons within the subthalamic nucleus, dentate nucleus, and putamen. These have been hypothesized to represent nonerythrocytic iron.
7.4. Spheroids
Neuroaxonal spheroids that were immunoreactive to ubiquitin, tau, and neurofilaments were observed in the putamen, although these were not prominent.
7.5. Tau and synuclein pathology
Tau pathology is not prominent in NFT, although spheroids can be tau-reactive. Synuclein pathology has not been described in NFT.
7.6. Other findings
A superconducting quantum interference device magnetometry analysis showed that the primary iron compounds in NFT are biogenic magnetite (Fe3O4) and maghemite (Fe2O3) (Hautot et al., 2007). Widespread oxidative stress, as evidenced by 4-HNE-, HO-1-, and MnSOD-positive cells and caspase-3-positive neurons, has been observed.
Figures 8.10–8.14 summarize the neuropathologic features of NFT.
Figure 8.10.
Histopathology of NFT. (A and B) Posterior putamen. Cavitary lesion with loss of almost all elements. (C and D) Anterior putamen. (C) Milder lesion with rarefaction and vacuolated nuclei. (D) Loss of glial nuclei from myelin-depleted intrinsic fiber bundle (arrow). Hematoxylin and eosin, original magnifications: (A) 10×; (B) 75×; (C) 75×; (D) 75 . (Modified from Mancuso et al. (2005) with permission).
Figure 8.14.
Hyaline deposits. Pallidum. (A) Pleomorphic hyaline deposits, some containing nuclei, within the same area of GPe as in Fig. 8.6A. (B) Prussian blue reactivity. (C) PTAH reactivity. (D) Polyclonal antiferritin immunoreactivity. (E) Rare association of hyaline deposits with GFAP-immunoreactive astrocyte. (F) HO-2-immunoreactivity. Original magnifications: (A) Hematoxylin and eosin, 150 ; (B) Perls’ stain, 220×; (C) 220×; (D) 250×; (E) 220×; (F) 250×. (Modified from Mancuso et al. (2005) with permission).
8. ACERULOPLASMINEMIA (ACP)
Aceruloplasminemia (ACP) occurs as a result of mutations in CP, which encodes ceruloplasmin. Ceruloplasmin is a plasma membrane glycophosphatidylinositol-anchored ferroxidase found largely on the surface of astrocytes in the brain. Ceruloplasmin interconverts Fe2+ and Fe3+ as part of the process of iron efflux and delivery to other cell types. Affected patients exhibit dystonia, chorea, diabetes mellitus, and pigmentary retinopathy. ACP pathology has been described in detail by Kaneko et al. (2002, 2012), Oide, Yoshida, Kaneko, Ohta, and Arima (2006), and Hattori et al. (2012).
8.1. Histologic findings
Pervasive pyramidal neuron dropout is seen in the caudate nucleus and putamen with accompanying widespread astrocytosis, along with enlarged and sometimes bizarrely distorted astrocytes. This deformation is consistent with the morphology of Alzheimer type 1 astrocytes.
8.2. Spheroids
GFAP-positive and synaptophysin- and neurofilament-negative eosinophilic globular structures described as “grumose or foamy spheroid bodies” appeared to represent ballooned, iron-overloaded astrocytes. These structures measured approximately 10–60 μm in diameter. The astrocytic origin of these structures distinguishes them from spheroids, which are derived from degenerating neurons. Globular bodies are positive for 4-HNE and ubiquitin. Ultrastructurally, globular structures have dense bodies and glial fibril-like elements by electron microscopy.
8.3. Iron deposition
Examination of several cases in different stages of disease has indicated that iron deposition begins in the caudate, putamen, thalamus, and dentate nucleus but subsequently spreads throughout the cortex with the frontal and temporal cortices being most profoundly affected. Iron deposition also occurs in the retina (Wolkow et al., 2011) and cerebellum (Oide et al., 2006). Iron deposition is most prominently detected with Perls’ stain, although Turnbull staining is also positive to a lesser extent. Iron is seen prominently localized to astrocytic end-feet in association with brain capillaries.
No significant tau or synuclein pathology has been reported in patients with ACP.
Figures 8.15 and 8.16 demonstrate key pathologic findings in ACP.
Figure 8.15.
Findings in the cerebral cortex in aceruloplasminemia. Iron accumulates in the cytoplasm of astrocytes (A, arrows) (Perls’ stain). Enlarged astrocytes (A, inset) and globular structures were clearly stained with anti-GFAP antibody. Anti-ferritin light-chain antibody strongly reacts to deformed astrocytes (F, arrows) and globular structures (F, arrowheads). Scale bar: 50 μm. (Modified from Kaneko et al. (2012) with permission).
Figure 8.16.
Low-magnification findings of frontal cortical sections. (A–C) Berlin blue-stained for iron detection. (D) Klüver–Barrera-stained specimen. (A and D) Present case; (B) elder sister of the present case (60-year-old woman); (C) control patient (50-year-old man). Remarkable iron deposition is seen in the present case (A). Weak (B) or little (C) iron deposition is observed in other cases. Klüver–Barrera-stained specimen for pyramidal cell count (D). Pyramidal cells in the cortical third layer inside the white square (1 mm2) were counted. Ten serial areas were counted and averaged. Bar, 500 μm. (Modified from Kaneko et al. (2012) with permission).
9. CONCLUSIONS
Despite differences in clinical features, neuroimaging, and pathologic findings in subtypes of NBIA, common features argue for a common nosology among these monogenic neurodegenerative diseases. However, whether ACP and NFT should be considered in the same category as the other forms of NBIA remains controversial, as these two disorders appear to be more clearly related to a primary disturbance in iron trafficking. Additional insight into pathogenic mechanisms is needed before this question can be resolved.
Pathologically, patients with NBIA show a degeneration of both neurons and astrocytes with relative sparing of oligodendrocytes. There are limited activation of microglia and little evidence of an inflammatory infiltrate. Iron deposition occurs primarily in the globus pallidus in most forms of NBIA. Iron accumulation occurs to a lesser extent in the substantia nigra in several NBIA subtypes, except in BPAN where iron is most evident in the substantia nigra. Spheroid bodies are common to many forms of NBIA, including PKAN, PLAN, MPAN, and likely BPAN. They may represent degenerating neurons and/or the accumulation of protein and lipid storage material and damaged organelles (mitochondria and vesicles).
Several forms of NBIA show pathologic similarities to more common neurodegenerative diseases. In particular, PKAN, PLAN, MPAN, and BPAN all feature neurofibrillary tangles, although without amyloid plagues and all have been associated with dementia. α-Synuclein-containing Lewy bodies are not only prominent in MPAN but also widely seen in PLAN and BPAN, while the brains of PKAN patients lack Lewy body deposition. In addition, the inconsistent association of these neuropathologic features with disease severity suggests that these findings represent downstream or secondary effects.
Is the deposition of iron in crucial brain regions such as the globus pallidus then singly responsible for disease? Likely not. Although this hypothesis is attractive, with free-radical formation catalyzed by free iron via the Fenton reaction, disease onset can precede iron deposition in PKAN, while in PLAN, KRS or FAHN patients might not develop iron deposition at all. Iron overload may contribute to the burden of disease and may even represent a viable therapeutic target, but there are likely other mechanisms that play a more central role in the neurodegeneration that occurs. What then might lead several monogenic disorders to exhibit a similar phenotype and a common pattern of secondary iron deposition? Genes leading to NBIA have been implicated in mitochondrial function, lipid metabolism, and autophagy. Perhaps, an inappropriate activation of genes with iron-response elements may occur, but further studies will be needed to answer these and other questions surrounding these enigmatic disorders.
Figure 8.2.
Iron deposits in PKAN. (A) Low-magnification view of the globus pallidus in PKAN, stained with Perls’ stain for iron. Some perivascular accentuation of iron deposits is present, with focal collections of hemosiderin-laden macrophages as may be encountered with normal aging (scale bar: 200 μm). (B) Perls’ stain for iron, demonstrating cellular localization of iron in the globus pallidus in PKAN. Degenerating neurons with relative preservation of cytoplasm demonstrate increased cytoplasmic iron staining (arrow) compared with neurons in control globus pallidus (D), as well as astrocytes with more intense, dense granular accumulation of cytoplasmic iron (arrowheads). In contrast, oligodendroglia and microglia displayed no increase in iron (scale bar: 50 μm). (C) Perls’ iron stain of the globus pallidus in PKAN, showing progressive decrease in iron content as neurons degenerate. Iron-positive astrocytes are more conspicuous and greatly outnumber those present in normal globus pallidus (refer to E for comparison). Note also increased iron diffusely present in the neuropil, manifest as a pale blue background tinge (scale bar: 50 μm). (D) Perls’ stain of control globus pallidus for comparison, showing very rare neurons with detectable iron accumulation (scale bar: 100 μm). (E) Perls’ stain of control globus pallidus. Rare astrocytes, predominantly in a juxtavascular distribution, were found to contain increased iron. The numbers of these were markedly less than encountered in PKAN (scale bar: 100 μm). (F) Perls’ stain of the midbrain in PKAN; no detectable iron was present in the substantia nigra (scale bar: 200 μm). (G) Ferritin immunohistochemistry of the globus pallidus in PKAN, showing ferritin association of iron in some neurons, sometimes in a peripheral distribution (arrowhead). As with iron stains, ferritin staining tended not to be present in extensively degenerated neurons (arrow) (scale bar: 50 μm). (H) Ferritin immunohistochemistry of astrocytes in the globus pallidus in PKAN. As with iron stains, astrocytes demonstrated the most intense cytoplasmic ferritin (scale bar: 50 μm). (I) Ferritin immunohistochemistry of astrocytes in control globus pallidus. Very rare astrocytes display detectable labeling (scale bar: 100 μm). (Modified from Kruer et al. (2011) with permission).
Figure 8.11.
Additional features of NFT. (A) Pallidum. Marked loss of fibers and neurons in most lateral portion of GPe. (B) Caudate. Vacuolated nuclei within intrinsic fiber bundle. (C) External capsule. Variably sized vacuolated nuclei. Hematoxylin and eosin, original magnifications: (A) 75×; (B) 150×; (C) 220×. (Modified from Mancuso et al. (2005) with permission).
Figure 8.12.
Vacuolated nuclei in NFT. (A) Putamen. GFAP-immunoreactive astrocytic cytoplasm around large vacuolated nucleus. (B) Caudate. Several CA II-immunoreactive oligodendroglial cells (nuclear and cytoplasmic) within intrinsic fibers. (C) Putamen. Mildly swollen nucleus within CD-68-immunoreactive microglial cell in center of field. Original magnifications: (A) 150×; (B) 150×; (C) 150×. (Modified from Mancuso et al. (2005) with permission).
Figure 8.13.
Additional vacuolated nuclei. Anterior putamen. (A) Markedly vacuolated nuclei (arrows). (B) Some partially immunoreactive for neurofilaments (arrow). Original magnifications: (A) Hematoxylin and eosin, 150×; (B) 150×. (Modified from Mancuso et al. (2005) with permission).
REFERENCES
- Baraibar MA, Muhoberac BB, Garringer HJ, Hurley TD, Vidal R. Unraveling of the E-helices and disruption of 4-fold pores are associated with iron mis-handling in a mutant ferritin causing neurodegeneration. Journal of Biological Chemistry. 2010;285(3):1950–1956. doi: 10.1074/jbc.M109.042986. [DOI] [PMC free article] [PubMed] [Google Scholar]
- Bras J, Verloes A, Schneider SA, Mole SE, Guerreiro RJ. Mutation of the parkinsonism gene ATP13A2 causes neuronal ceroid-lipofuscinosis. Human Molecular Genetics. 2012;21(12):2646–2650. doi: 10.1093/hmg/dds089. [DOI] [PMC free article] [PubMed] [Google Scholar]
- Brüggemann N, Hagenah J, Reetz K, Schmidt A, Kasten M, Buchmann I, et al. Recessively inherited parkinsonism: Effect of ATP13A2 mutations on the clinical and neuroimaging phenotype. Archives of Neurology. 2010;67(11):1357–1363. doi: 10.1001/archneurol.2010.281. [DOI] [PubMed] [Google Scholar]
- Crosiers D, Ceulemans B, Meeus B, Nuytemans K, Pals P, Van Broeckhoven C, et al. Juvenile dystonia-parkinsonism and dementia caused by a novel ATP13A2 frameshift mutation. Parkinsonism & Related Disorders. 2011;17(2):135–138. doi: 10.1016/j.parkreldis.2010.10.011. [DOI] [PubMed] [Google Scholar]
- Eidelberg D, Sotrel A, Joachim C, Selkoe D, Forman A, Pendlebury WW, et al. Adult onset Hallervorden-Spatz disease with neurofibrillary pathology. A discrete clinicopathological entity. Brain. 1987;110(Pt 4):993–1013. doi: 10.1093/brain/110.4.993. [DOI] [PubMed] [Google Scholar]
- Gregory A, Westaway SK, Holm IE, Kotzbauer PT, Hogarth P, Sonek S, et al. Neurodegeneration associated with genetic defects in phospholipase A(2). Neurology. 2008;71(18):1402–1409. doi: 10.1212/01.wnl.0000327094.67726.28. [DOI] [PMC free article] [PubMed] [Google Scholar]
- Hartig MB, Iuso A, Haack T, Kmiec T, Jurkiewicz E, Heim K, et al. Absence of an orphan mitochondrial protein, c19orf12, causes a distinct clinical subtype of neurodegeneration with brain iron accumulation. American Journal of Human Genetics. 2011;89(4):543–550. doi: 10.1016/j.ajhg.2011.09.007. [DOI] [PMC free article] [PubMed] [Google Scholar]
- Hattori A, Miyajima H, Tomosugi N, Tatsumi Y, Hayashi H, Wakusawa S. Clinicopathological study of Japanese patients with genetic iron overload syndromes. Pathology International. 2012;62(9):612–618. doi: 10.1111/j.1440-1827.2012.02848.x. [DOI] [PubMed] [Google Scholar]
- Hautot D, Pankhurst QA, Morris CM, Curtis A, Burn J, Dobson J. Preliminary observation of elevated levels of nanocrystalline iron oxide in the basal ganglia of neuroferritinopathy patients. Biochimica et Biophysica Acta. 2007;1772(1):21–25. doi: 10.1016/j.bbadis.2006.09.011. [DOI] [PMC free article] [PubMed] [Google Scholar]
- Hayflick SJ, Hartman M, Coryell J, Gitschier J, Rowley H. Brain MRI in neurodegeneration with brain iron accumulation with and without PANK2 mutations. American Journal of Neuroradiology. 2006;27(6):1230–1233. [PMC free article] [PubMed] [Google Scholar]
- Hogarth P, Gregory A, Kruer MC, Sanford L, Wagoner W, Natowicz MR, et al. New NBIA subtype: Genetic, clinical, pathologic, and radiographic features of MPAN. Neurology. 2013;80(3):268–275. doi: 10.1212/WNL.0b013e31827e07be. [DOI] [PMC free article] [PubMed] [Google Scholar]
- Kaneko K, Hineno A, Yoshida K, Ohara S, Morita H, Ikeda S. Extensive brain pathology in a patient with aceruloplasminemia with a prolonged duration of illness. Human Pathology. 2012;43(3):451–456. doi: 10.1016/j.humpath.2011.05.016. [DOI] [PubMed] [Google Scholar]
- Kaneko K, Yoshida K, Arima K, Ohara S, Miyajima H, Kato T, et al. Astrocytic deformity and globular structures are characteristic of the brains of patients with aceruloplasminemia. Journal of Neuropathology and Experimental Neurology. 2002;61(12):1069–1077. doi: 10.1093/jnen/61.12.1069. [DOI] [PubMed] [Google Scholar]
- Kruer MC, Hiken M, Gregory A, Malandrini A, Clark D, Hogarth P, et al. Novel histopathologic findings in molecularly-confirmed pantothenate kinase-associated neurodegeneration. Brain. 2011;134(Pt 4):947–958. doi: 10.1093/brain/awr042. [DOI] [PMC free article] [PubMed] [Google Scholar]
- Kuo YM, Duncan JL, Westaway SK, Yang H, Nune G, Xu EY, et al. Deficiency of pantothenate kinase 2 (Pank2) in mice leads to retinal degeneration and azoospermia. Human Molecular Genetics. 2005;14(1):49–57. doi: 10.1093/hmg/ddi005. [DOI] [PMC free article] [PubMed] [Google Scholar]
- Kuo YM, Hayflick SJ, Gitschier J. Deprivation of pantothenic acid elicits a movement disorder and azoospermia in a mouse model of pantothenate kinase-associated neurodegeneration. Journal of Inherited Metabolic Disease. 2007;30(3):310–317. doi: 10.1007/s10545-007-0560-8. [DOI] [PMC free article] [PubMed] [Google Scholar]
- Li A, Paudel R, Johnson R, Courtney R, Lees AJ, Holton JL, et al. Pantothenate kinase-associated neurodegeneration is not a synucleinopathy. Neuropathology and Applied Neurobiology. 2012 doi: 10.1111/j.1365-2990.2012.01269.x. Epub ahead of print. [DOI] [PMC free article] [PubMed] [Google Scholar]
- Malandrini A, Bonuccelli U, Parrotta E, Ceravolo R, Berti G, Guazzi GC. Myopathic involvement in two cases of Hallervorden-Spatz disease. Brain & Development. 1995;17(4):286–290. doi: 10.1016/0387-7604(95)00039-e. [DOI] [PubMed] [Google Scholar]
- Malandrini A, Cavallaro T, Fabrizi GM, Berti G, Salvestroni R, Salvadori C, et al. Ultrastructure and immunoreactivity of dystrophic axons indicate a different pathogenesis of Hallervorden-Spatz disease and infantile neuroaxonal dystrophy. Virchows Archiv. 1995;427(4):415–421. doi: 10.1007/BF00199391. [DOI] [PubMed] [Google Scholar]
- Malandrini A, Rubegni A, Battisti C, Berti G, Federico A. Electron-dense lamellated inclusions in 2 siblings with Kufor-Rakeb syndrome. Movement Disorders. 2013 doi: 10.1002/mds.25470. Epub ahead of print. [DOI] [PubMed] [Google Scholar]
- Malik I, Turk J, Mancuso DJ, Montier L, Wohltmann M, Wozniak DF, et al. Disrupted membrane homeostasis and accumulation of ubiquitinated proteins in a mouse model of infantile neuroaxonal dystrophy caused by PLA2G6 mutations. American Journal of Pathology. 2008;172(2):406–416. doi: 10.2353/ajpath.2008.070823. [DOI] [PMC free article] [PubMed] [Google Scholar]
- Mancuso M, Davidzon G, Kurlan RM, Tawil R, Bonilla E, Di Mauro S, et al. Hereditary ferritinopathy: A novel mutation, its cellular pathology, and patho-genetic insights. Journal of Neuropathology and Experimental Neurology. 2005;64(4):280–294. doi: 10.1093/jnen/64.4.280. [DOI] [PubMed] [Google Scholar]
- Oide T, Yoshida K, Kaneko K, Ohta M, Arima K. Iron overload and antioxidative role of perivascular astrocytes in aceruloplasminemia. Neuropathology and Applied Neurobiology. 2006;32(2):170–176. doi: 10.1111/j.1365-2990.2006.00710.x. [DOI] [PubMed] [Google Scholar]
- Paisan-Ruiz C, Bhatia KP, Li A, Hernandez D, Davis M, Wood NW, et al. Characterization of PLA2G6 as a locus for dystonia-parkinsonism. Annals of Neurology. 2009;65(1):19–23. doi: 10.1002/ana.21415. [DOI] [PMC free article] [PubMed] [Google Scholar]
- Paisán-Ruiz C, Guevara R, Federoff M, Hanagasi H, Sina F, Elahi E, et al. Early-onset L-dopa-responsive parkinsonism with pyramidal signs due to ATP13A2, PLA2G6, FBXO7 and spatacsin mutations. Movement Disorders. 2010;25(12):1791–1800. doi: 10.1002/mds.23221. [DOI] [PMC free article] [PubMed] [Google Scholar]
- Paisán-Ruiz C, Li A, Schneider SA, Holton JL, Johnson R, Kidd D, et al. Widespread Lewy body and tau accumulation in childhood and adult onset dystonia-parkinsonism cases with PLA2G6 mutations. Neurobiology of Aging. 2012;33(4):814–823. doi: 10.1016/j.neurobiolaging.2010.05.009. [DOI] [PMC free article] [PubMed] [Google Scholar]
- Potter KA, Kern MJ, Fullbright G, Bielawski J, Scherer SS, Yum SW, et al. Central nervous system dysfunction in a mouse model of FA2H deficiency. Glia. 2011;59(7):1009–1021. doi: 10.1002/glia.21172. [DOI] [PMC free article] [PubMed] [Google Scholar]
- Santoro L, Breedveld GJ, Manganelli F, Iodice R, Pisciotta C, Nolano M, et al. Novel ATP13A2 (PARK9) homozygous mutation in a family with marked phenotype variability. Neurogenetics. 2011;12(1):33–39. doi: 10.1007/s10048-010-0259-0. [DOI] [PMC free article] [PubMed] [Google Scholar]
- Schneider SA, Paisan-Ruiz C, Quinn NP, Lees AJ, Houlden H, Hardy J, et al. ATP13A2 mutations (PARK9) cause neurodegeneration with brain iron accumulation. Movement Disorders. 2010;25(8):979–984. doi: 10.1002/mds.22947. [DOI] [PubMed] [Google Scholar]
- Schneider SA, Bhatia KP. Excess iron harms the brain: The syndromes of neurodegeneration with brain iron accumulation (NBIA). Journal of Neural Transmission. 2013;120(4):695–703. doi: 10.1007/s00702-012-0922-8. [DOI] [PubMed] [Google Scholar]
- Schultheis PJ, Fleming SM, Clippinger AK, Lewis J, Tsunemi T, Giasson B, et al. Atp13a2-deficient mice exhibit neuronal ceroid lipofuscinosis, limited α-synuclein accumulation and age-dependent sensorimotor deficits. Human Molecular Genetics. 2013;22(10):2067–2082. doi: 10.1093/hmg/ddt057. [DOI] [PMC free article] [PubMed] [Google Scholar]
- Shevell M. Racial hygiene, active euthanasia, and Julius Hallervorden. Neurology. 1992;42(11):2214–2219. doi: 10.1212/wnl.42.11.2214. [DOI] [PubMed] [Google Scholar]
- Wada H, Yasuda T, Miura I, Watabe K, Sawa C, Kamijuku H, et al. Establishment of an improved mouse model for infantile neuroaxonal dystrophy that shows early disease onset and bears a point mutation in Pla2g6. American Journal of Pathology. 2009;175(6):2257–2263. doi: 10.2353/ajpath.2009.090343. [DOI] [PMC free article] [PubMed] [Google Scholar]
- Wolkow N, Song Y, Wu TD, Qian J, Guerquin-Kern JL, Dunaief JL. Aceruloplasminemia: Retinal histopathologic manifestations and iron-mediated melano-some degradation. Archives of Ophthalmology. 2011;129(11):1466–1474. doi: 10.1001/archophthalmol.2011.309. [DOI] [PMC free article] [PubMed] [Google Scholar]
- Zhou B, Westaway SK, Levinson B, Johnson MA, Gitschier J, Hayflick SJ. A novel pantothenate kinase gene (PANK2) is defective in Hallervorden-Spatz syndrome. Nature Genetics. 2001;28(4):345–349. doi: 10.1038/ng572. [DOI] [PubMed] [Google Scholar]
- Zöller I, Meixner M, Hartmann D, Büssow H, Meyer R, Gieselmann V, et al. Absence of 2-hydroxylated sphingolipids is compatible with normal neural development but causes late-onset axon and myelin sheath degeneration. Journal of Neuroscience. 2008;28(39):9741–9754. doi: 10.1523/JNEUROSCI.0458-08.2008. [DOI] [PMC free article] [PubMed] [Google Scholar]
















