Highlights
-
•
Hydrometrocolpos is a rare congenital malformation of the female in neonate.
-
•
CA 19-9 and CA 125 are widely used as tumor markers, however several benign conditions are also known to increase levels.
-
•
Here we report a newborn with hydrometrocolpos due to distal vaginal atresia and elevated serum CA 19-9 and CA 125 levels.
1. Introduction–objective
Hydrometrocolpos is a rare congenital anomaly formed by cystic dilatation of vagina and uterus due to conditions like imperforated hymen, distal vaginal atresia or transverse vaginal septum [1]. CA 19-9 is widely used as a tumor marker for cancers of the pancreas, stomach, colon, cholangial duct, ovaries, endometrium, and lung (adenocarcinoma). However, several benign conditions are also known to increase serum CA 19-9 levels [2]. CA 125 is an antigenic determinant widely used for screening of ovarian, pancreatic, breast, colon and lung cancers. It also increases in some benign and physiological conditions like pregnancy, menstruation and endometriosis [2].
2. Case
The baby was born to 28 years old healthy mother in the 38th gestational week by cesarean section with an Apgar score at 1 and 5 min were 8 and 9, respectively. The birthweight, height and head circumference were 3940 g (>90p), 50 cm (50–75p) and 34.8 cm (50–75p), respectively. In the prenatal period the newborn was diagnosed with giant cystic mass that fills the all the abdominal cavity and amniotic fluid volume was normal. In preliminary diagnosis bilateral polycystic kidneys was reported. After the delivery, the patient was intubated because of respiratory failure. In the follow-up of patient requiring mechanical ventilation support with low pressure and there is good ventilation on chest radiograph we did not accept pulmonary hypoplasia. The main cause of intubation accepted as the compression of abdominal mass.
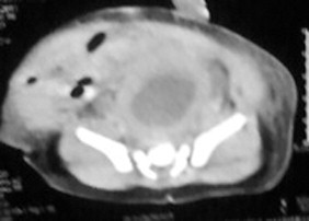
Laboratory data (white cell count, C-reactive protein, biochemical tests) were normal. Abdominal examination revealed a grossly enlarged mass. Abdominal ultrasound showed a cystic structure posterior to the urinary bladder measuring 61 × 46 × 77 mm, with a thick wall structure and anechoic fluid level, and dilatation of ureters (Fig. 1). The renal collecting system had grade 2 pelvicaliceal ectasia on ultrasound. Abdominal computed tomography confirmed the presence of a cystic structure in the uterine compartment (Fig. 2).
Fig.1.

Transabdominal sonography, dilatation of ureters.
Fig. 2.

CT scan shows a well-defined cystic mass in the pelvis.
The urinary outflow decreased in the postnatal 12th hour, which was thought to be compression by the mass and thus 400 ml of fluid was aspirated underwent ultrasound guided percutaneous drainage. Biochemical, cytological and microbiological analysis of the drainage fluid revealed no pathology. Among the tests performed for differential diagnosis, levels of alpha-fetoprotein and beta-hCG were normal but serum CA 19-9 level was 110.1 u/ml (reference value: <27 u/ml) and CA 125 level was 278.7 u/ml (reference value: <35 u/ml).
The urinary system was found to be normal but distal vaginal atresia was found with cystoscopy. Diagnostic laparoscopy revealed hydrometrocolpos. The drainage level decreased and ceased on the 7th day and abdominal distention did not recur. On the 8th day the levels of CA 19.9 and CA 125 turned back to normal (17 u/ml and 21 u/ml respectively). In the follow-up of patient requiring mechanical ventilation support with low pressure was discontinued on the eighth day.
3. Discussion
Hydrometrocolpos is a rare congenital anomaly with an estimated incidence of 0.1–3.8 % (3). During the newborn period the incidence is much lower, around 0.006% [1]. The condition occurs as a result of accumulation of cervical and vaginal secretions due to the obstruction of vaginal outlet [1]. Most cases present with abdominal mass, recurrent urinary tract infections or primary amenorrhea in the pubertal period. In the neonatal period it may present with abdominal mass, recurrent urinary tract infection, sepsis, obstructive uropathy and respiratory failure [3,4].
CA 19-9 is widely used as a tumor marker for pancreatic, colon, ovarian, endometrial and lung carcinoma. However several benign conditions such as inflammatory or proliferative diseases (cholangitis, pancreatitis, bronchial cyst, bronchiectasis, pulmonary fibrosis, endometriosis, pregnancy and ovarian cysts), ductal obstructions (pancreatic and choledochal) and chronic diseases (hepatitis, glomerulonephritis, diabetes mellitus, hemodialysis, peritoneal dialysis) also increase serum CA 19-9 levels [2,5].
CA 125 is also used as a tumor marker for ovarian, pancreatic, breast, colon and lung carcinomas. Also some other physiologic conditions such as pregnancy and menstruation can cause elevated serum CA 125 levels [2].
In a study which evaluated patients with CA 125 levels over 1000 u/ml; 37% of patients had non-malignant gynecological disease (43.9% endometriosis, 12.2% adenomyosis, 9.7% pelvic inflammatory disease, 7.3% uterine leiomyoma, 2.4% imperforated hymen). However serum CA 125 levels in non-malignant gynecological diseases were significantly lower than those in malignant diseases [6].
There is two case report with elevated levels of CA 19-9 and CA 125 in hydrometrocolpos due to imperforated hymen which is a benign condition [7,8]. Both reported cases were in premenarcheal age group and the levels were both higher than our case.
This is the first incident reported in literature in the neonatal period presenting with hydrometrocolpos and elevated levels of CA 19-9 and CA 125. Hydrometrocolpos is a rare benign condition which may be kept in mind in girl newborn baby with abdominal mass and associated with high CA 19-9 and CA 125 levels.
Conflict of interest
The authors reports no conflict of interest.
Funding
This study had no sponsors.
Consent
Patient’s consent has been obtained.
Author contribution
Muhittin Celik: Writing.
Ali Bulbul: Data collection.
Sinan Uslu: Edit.
Mesut Dursun: Data collection.
Ebru Turkoglu: Writing and edit.
Nihat Sever: Performed surgery.
Contributor Information
Muhittin Celik, Email: mehdincelik@hotmail.com.
Ali Bulbul, Email: drbulbul@yahoo.com.
Sinan Uslu, Email: hsinanuslu@hotmail.com.
Mesut Dursun, Email: mesutdursun74@gmail.com.
Ebru Turkoglu, Email: dr_ebruturkoglu@yahoo.com.
References
- 1.Shaked O., Tepper R., Klein Z., Beyth Y. Hydrometrocolpos-diagnostic and therapeutic dilemmas. J. Pediatr. Adolesc. Gynecol. 2008;21:317–321. doi: 10.1016/j.jpag.2007.12.011. [DOI] [PubMed] [Google Scholar]
- 2.Reynolds K., Menon U., Jacobs I. Development and identification of tumor markers. In: Hoskins W., Perez C., Young R., Barakat R., editors. Principles and practice of gynecologic oncology. fourth edition. Williams and Wilkins, Lippincott; Philadelphia: 2005. pp. 157–159. [Google Scholar]
- 3.Nazir Z., Rizvi R.M., Qureshi R.N., Khan Z.S., Khan Z. Congenital vaginal obstructions: varied presentation and outcome. Pediatr. Surg. Int. 2006;22:749–753. doi: 10.1007/s00383-006-1730-8. [DOI] [PubMed] [Google Scholar]
- 4.Imamoglu M., Cay A., Sarihan H., Kosucu P., Ozdemir O. Two cases of pyometrocolpos due to distal vaginal atresia. Pediatr. Surg. Int. 2005;21:217–219. doi: 10.1007/s00383-004-1323-3. [DOI] [PubMed] [Google Scholar]
- 5.Satoshi I., Fumitake G. Elevation of serum CA19-9 levels in benig conditions. Int. Med. 1999;38:840–841. doi: 10.2169/internalmedicine.38.840. [DOI] [PubMed] [Google Scholar]
- 6.He R.H., Yao W.M., Wu L.Y., Mao Y.Y. Epub 2010 Nov 11: highly elevated serum CA-125 levels in patients with non-malignant gynecological diseases. Arch. Gynecol. Obstet. 2011;283:107–110. doi: 10.1007/s00404-010-1717-5. [DOI] [PubMed] [Google Scholar]
- 7.Buyukbayrak E.E., Ozyapi A.G., Karsidag Y.K., Pirimoglu Z.M., Unal O., Turan C. Imperforate hymen: a new benign reason for highly elevated serum CA 19.9 and CA 125 levels. Arch. Gynecol. Obstet. 2008;277:475–477. doi: 10.1007/s00404-007-0493-3. [DOI] [PubMed] [Google Scholar]
- 8.Partsinevelos G.A., Rodolakis A., Loutradis D., Antsaklis A. Imperforate hymen is associated with elevated serum CA125 and CA19-9 levels: a reappraisal. J. Obstet. Gynaecol. 2009;29:560–561. doi: 10.1080/01443610902984979. [DOI] [PubMed] [Google Scholar]
