Abstract
A 23-year-old primigravida presented to accident and emergency department with a 4-day history of generalised abdominal pain associated with vomiting and diarrhoea. She had previously given birth to her first child by vaginal delivery 6 days previously at another hospital and suffered a third-degree vaginal tear following prolonged labour. Shortly after birth, the patient had described the unusual symptom of soft tissue crepitations in the neck, but had been reassured and discharged without further investigation by her obstetrics team and reassured by a visiting general practitioner. At representation, the patient had obvious pneumoperitoneum, which was missed by the admitting team and underwent laparotomy for perforated duodenal ulcer.
Background
Postpartum pneumoperitoneum is a rarely reported phenomenon, but may have devastating consequences if not recognised in time.1 Everyone must be aware of it, and must treat this condition with respect. I have now reported on two cases where the very obvious signs of air under the diaphragm have been missed by juniors and hence a timely educational piece is called for I feel, both for gynaecologists, and emergency room juniors. Since this report has been submitted, a further patient has died from an unrecognised duodenal perforation, again manifested by radiological features of pneumoperitoneum.
Case presentation
A 23-year-old primagravida presented to accident and emergency department with a 4-day history of gradually increasing severe generalised abdominal pain associated with faeculent vomiting and constipation. She had previously given birth to her first child by vaginal delivery 6 days previously at another hospital and suffered a third-degree vaginal tear following prolonged labour. Two days after birth, the patient had described the unusual symptom of heaviness in the chest and neck and difficulty in breathing. A visiting general practitioner diagnosed surgical emphysaema after finding soft tissue crepitations in the soft tissues of the neck, but the patient was reassured without further investigation or referral back to the obstetrics team. The patient developed increasing abdominal pain and distension over the ensuing days, and on presentation to our emergency department 6 days later with severe abdominal pain, the patient was tachycardic, with mild abdominal distension and marked right-sided tenderness. Signs of rebound tenderness or guarding, however, were absent.
Investigations
Laboratory markers demonstrated evidence of infection with a white cell count of 19.96×109/l, (neutrophils 16.39×109/l) and C reactive protein of 20. Liver function and clotting factors were deranged. In view of the abnormal results, haemophilia experts advised further screening.
The initial chest and abdominal x-rays showed dilated loops of bowel on the right side with signs of perforation; however, this finding was not immediately apparent to the admitting team (figures 1 and 2). The patient's condition progressively deteriorated and a surgical referral was made. On review of the imaging that had been performed on admission, large volumes of free subdiaphragmatic air as well as evidence of subcutaneous emphysaema in the soft tissues of the neck were identified. The abdominal films showed dilated bowel loops and evidence of Rigler's sign.
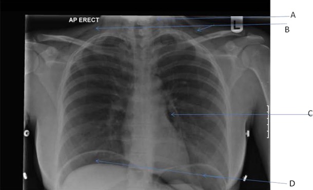
Figure 1.

Plain anteroposterior chest radiograph extensive surgical emphysaema in the neck (A) as well as the right and left supraclavicular fossae (B). Pneumomediastinum (C) is evident in addition to obvious air under the diaphragm (D).
Figure 2.

Plain supine abdominal radiograph mural thickening of small bowel loops, with Rigler's sign evident. Rigler's sign describes the ability to see both the inner and outer wall of the bowel, due to the (usually) massive pneumoperitoneum resulting in air on both sides of the bowel wall.
CT confirmed extensive surgical emphysaema in the neck, supraclavicular fossae and evidence of pneumomediastinum and pneumoperitoneum (figures 3 and 4). Small bilateral pleural effusions suggesting atelectasis were also reported. The patient was reviewed by the surgical consultant again following the results of her CT scan, and in view of her persistent, non-settling pain, massive pneumoperitoneum on imaging and coagulopathy, a decision was made for laparotomy after appropriate resuscitation. At the time of surgery, the patient had an international normalised ratio of 1.9 and required vitamin K supplement and fresh frozen plasma to correct her coagulopathy, thought to be attributable to disseminated intravascular coagulopathy (DIC).
Figure 3.

CT scan through L2 This CT slice taken through L2, shows a small amount of perihepatic and right subhepatic. In the subphrenic space there is a 4.7 cm more loculated collection. Pneumoperitoneum is easily seen here below the anterior abdominal wall (A). In later images, pelvic free fluid was also identified and uterine appearances were normal for 8 days postpartum.
Figure 4.

A sagittal scout view of the abdominal segment only, demonstrating air anterior to the bowel from the perforated viscus.
Differential diagnosis
▸ Tubal pneumoperitoneum, postvaginal laceration and other perforated viscus.
Treatment
At laparotomy, 2 litres of purulent free fluid were identified and on inspection of the duodenum a 10 mm prepyloric anterior perforation was found. The defect was repaired with a tension-free omental patch with peritoneal lavage and cleansing and drainage.
Outcome and follow-up
The patient made an uncomplicated postoperative recovery and was given a 5 day course of co-amoxiclav and started on daily proton pump inhibitors (omeprazole 40 mg daily). Arrangements were made for routine oesophagogastroduodenoscopy 3 months after discharge.
Discussion
Pneumoperitoneum (the presence of free gas in the peritoneal cavity), in the absence of a history of recent surgical intervention, is usually indicative of gastrointestinal perforation. Non-surgical causes of pneumoperitoneum include pneumomediastinum/pneumothorax, pneumatosis cystoides intestinalis and intraperitoneal abscess with gas-forming organisms. In women, air may track up through the genital tract and enter the peritoneal cavity, thereby resulting in pneumoperitoneum and is well described.2 Mechanisms for this include pelvic manipulation/insufflation, postpartum knee–chest exercises, vaginal douching, vigorous sexual intercourse, jacuzzi use and postvaginal laceration.2 3
Pneumoperitoneum immediately after a normal vaginal delivery is rare, having only been reported in a handful of cases in the medical literature.1 4–7 The majority of cases of postpartum pneumoperitoneum occurred in the 1950s and the 1960s when (the now obsolete) ‘knee–chest’ exercises were recommended to return a retroverted uterus to the anteverted position.4 A patient with pneumoperitoneum associated with systemic upset and biochemical derangement requires exploratory laparotomy.
We draw your attention to a previous report of a case of postpartum pneumoperitoneum that presented 7 days after a spontaneous water birth delivery where the patient had unremarkable evidence for peritonism which was largely attributable to postpartum abdominal wall laxity.5 Similarly, in that case, the patient presented a number of days following delivery and also in that case, due to adverse clinical presentation, laparotomy was mandated.
In our present case we describe a woman with pneumoperitoneum that mandated surgical intervention. A duodenal ulcer was found with widespread peritoneal contamination. Surgical management comprised an omental patch along with peritoneal lavage and cleansing which saved her life. The authors suggest that postpartum pneumoperitoneum can be far from ‘benign’ as suggested by Mohamed et al1 in ANJS, as the patient in our case had certain subtle (and certain not so subtle) signs that were only detected on surgical review. With increasing pain described by the patient, evidence of sepsis on blood profile and worsening coagulopathy, concerns were also raised about the patient progressing into DIC. Initial radiological imaging all demonstrated evidence of widespread pneumoperitoneum as evidenced by Rigler's sign (air in the peritoneal cavity resulting in both sides of the bowel wall being delineated).8 In addition, the patient had clinical and radiological evidence of surgical emphysema in the supraclavicular soft tissues and pneumomediastinum. The authors suggest that the presence of such widespread pneumoperitoneum would raise the very likely possibility of visceral perforation.
In a report entitled ‘Postpartum pneumoperitoneum: not a surgical emergency’ Mohamed et al emphasise that where evidence of peritonitis is lacking, ‘benign’ or non-surgical explanations should be borne in mind. Our own feeling is that in postpartum patients, clinical evidence of peritonitis may well be lacking due to abdominal wall laxity in the postpartum period and a surgical cause may still be to blame despite lack of convincing physical signs. We suggest all patients presenting with radiological evidence of pneumoperitoneum after delivery are reviewed by the surgical team to evaluate whether surgical intervention is indicated, as in this case. All doctors involved in the care of patients in an acute setting, irrespective of their specialty, should be aware of the clinical and radiological features of pneumoperitoneum.
Learning points
Not all cases of postpartum pneumoperitoneum are benign and tubal! Our case had a duodenal ulcer!
Patients may present without any obvious inflammatory upset or evidence of peritonism 6 days postpartum but despite unimpressive signs may still be very unwell.
All emergency doctors need to be aware of the clinical and radiological features of pneumoperitoneum which were amply present in this case, but missed.
Footnotes
Competing interests: None.
Patient consent: Obtained.
References
- 1.Mohamed MA, Leung JC, Game PA, et al. Post-partum pneumoperitoneum: not a surgical emergency. Aust N Z J Obstet Gynaecol 2009;49:561–2. [DOI] [PubMed] [Google Scholar]
- 2.Worley JA. Postpartal pneumoperitoneum. J La State Med Soc 1961;113:52–5. [PubMed] [Google Scholar]
- 3.Williams T, Kanne J, Lalani T. Jacuzzi jet-induced pneumoperitoneum. Emerg Radiol 2004;10:259–26. [DOI] [PubMed] [Google Scholar]
- 4.Ely J, Iler L. Postpartum pneumoperitoneum. Iowa Med 1990;80:352–3. [PubMed] [Google Scholar]
- 5.Brown VS, Dua RS, Athow A, et al. Postpartum pneumoperitoneum and peritonitis after water birth. Radiol Case 2009;3:1–4. [DOI] [PMC free article] [PubMed] [Google Scholar]
- 6.Lapin H, Fred H. Postpartum pneumoperitoneum. Arch Intern Med 1962;110:328–30. [Google Scholar]
- 7.Lozman H, Newman AJ. Spontaneous pneumoperitoneum occurring during postpartum exercises in the knee-chest position. Am J Obstet Gynecol 1956;72:903–5. [DOI] [PubMed] [Google Scholar]
- 8.Ly JQ. The Rigler sign. Radiology 2003;228:706–7. [DOI] [PubMed] [Google Scholar]
