Abstract
Caesarean scar pregnancy is a rare type of ectopic pregnancy. The authors present a 24-year-old woman 5 weeks after her last menstrual period. She had a history of a single caesarean section which was followed by a normal vaginal delivery. Ultrasound imaging revealed a pregnancy in her lower segment caesarean section scar. The decision on the choice of treatment was influenced mainly by the β-human chorionic gonadotropin levels in the patient's blood. Although a few reports have been published on similar cases, spontaneous resolution of a caesarean scar ectopic pregnancy of less than 5 weeks gestation is yet to be reported. The patient is now asymptomatic and her urine pregnancy test has been confirmed negative.
Background
Lower segment caesarean section (LSCS) scar pregnancy is the rarest type of ectopic pregnancy with an incidence of approximately 1 in every 2000 pregnancies.1 2 This is a life-threatening form of pregnancy due to the increased risk of uterine rupture and haemorrhage that may require an urgent hysterectomy and blood transfusion.3 A uterine scar pregnancy is thought to have taken place when an embryo passes through a fistula formed between the uterus and the old caesarean section scar.4 5 Previous dilation and curettage, caesarean sections, trauma and myomectomies are risk factors that may contribute to the formation of this fistula.6 Patients can present with pain, bleeding per vagina or both. Severe cases may present with signs of uterine rupture and hypovolaemic shock.7 Detecting a hysterotomy scar that increased in size with an implanted mass using ultrasound imaging is a highly accurate method in diagnosing a caesarean scar pregnancy.8 A few standards in making the diagnosis of a caesarean scar pregnancy were expressed when using imaging. These include finding an empty uterus or cervix, and the presence of a mass in the anterior uterine wall. A closed cervix and the thinning or absence of the endometrium between the bladder and gestational sac also help in the exclusion of a cervical pregnancy.3 7
Management options of this condition include laparoscopic, open or hysteroscopic resection, local potassium chloride and local or systemic methotrexate treatment. More than one of these management options may be required to successfully resolve the ectopic pregnancy.7 However, the decision for the treatment plan varies between patients and is usually based on the size of the sac and gestational age, the severity of the patient's condition and her preference on having any future pregnancies.7
Case presentation
A very anxious 24-year-old gravida 3 para 2 was admitted to the gynaecology ward after a referral from the accidents and emergencies department. She presented 5 weeks after her last menstrual period with a 2-day history of stabbing pain in her left iliac fossa. No analgesia was taken for the pain and associated nausea. However, no vomiting was reported. Since all women within the reproductive age group who present to the accidents and emergency department undergo a urinary pregnancy test regardless of their presenting complaint, our patient was tested and pregnancy was confirmed. The patient denied any vaginal bleeding, bladder or bowel problems.
Her obstetric history included a caesarean section delivery (first child) and a normal vaginal delivery.
The gynaecological history revealed a regular monthly menstrual cycle and no use of contraception before this pregnancy.
There was no known family history of miscarriage, ectopic pregnancy or any other significant complications in pregnancy.
Her observations were normal, she had no fever and examination revealed a soft abdomen with no guarding. No masses were found. Speculum examination confirmed a closed cervical os, which was of normal appearance and no products or active bleeding was seen. Her body mass index was 45 kg/m2.
The patient was initially sent home as there was no clinical indication to anything else with all normal clinical findings suggesting early pregnancy. The plan was conservative management with advice to contact the emergency gynaecological unit if any further concerns arose.
She returned on the same day after three episodes of vomiting and dizziness without any bleeding per vagina.
She also expressed her preference to stay in the hospital.
The β-human chorionic gonadotropin (β-hCG) was 1066 mIU/ml on admission. During the next day after admission the patient was no longer in pain due to painkillers. She started bleeding and passing some clots.
On the third day post-admission, the patient was still bleeding and passing clots per vagina. Therefore, a transvaginal ultrasound scan (TVUS) was carried out, which showed a small gestational sac with a double decidual sac sign without a fetal pole within the anterior myometrium to the site of the scar from the previous caesarean section. It was suggested that she was on her fourth to fifth week of gestation.
Investigations
Her β-hCG remained high at 1846 mIU/ml on the third day postadmission.
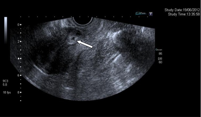
On the fourth postadmission day, a second TVUS reported appearances in keeping with the previous scan (see figure 1).
Figure 1.

Transvaginal ultrasound showing an ectopic pregnancy in an old caesarean scar.
This patient was diagnosed with LSCS scar pregnancy.
Differential diagnosis
LSCS scar pregnancy
Spontaneous miscarriage in progress
Cervico-isthmic pregnancy
Treatment
During the fourth day postadmission, our patient was informed of the diagnosis with a caesarean scar pregnancy.
She was also counselled about treatment with methotrexate, its side effects and toxicity.
The patient's β-hCG, full blood count, urea and electrolytes and liver function tests were requested. Her height was 5.5 and her weight was 124 kg. The administration of 112 mg of methotrexate was to be started when blood results were made available.
Although the patient was bleeding, it was not significant enough for an immediate active intervention such as surgical evacuation in a caesarean scar pregnancy considering the inherent risk over conservative management. Hence the delay.
On the fifth postadmission day, a repeat β-hCG assay was performed. The β-hCG level fell from 1846 to 679 mIU/ml within 48 h.
The decision was changed to a conservative route before the administration of methotrexate took place due to a significant fall in the serum β-hCG level.
Outcome and follow-up
The patient was reviewed and monitored during day 6 postadmission. She was pain free with slight bleeding per vagina.
She was then discharged home 1 day later. Methotrexate therapy was not recommended at that time as her pregnancy seemed to be resolving spontaneously. Her serum β-hCG was monitored every 48 h. One day later, the patient experienced heavy bleeding and one episode of fainting but did not seek medical help. She returned the following day for her regular serum β-hCG check.
Her β-hCG level was 88 mIU/ml. She had no fever and her observations were normal. She is now pain free and a urine home pregnancy test 1 week after discharge has been confirmed to be negative.
Considering current pregnancy test kits are as sensitive as having 10 mIU/ml concentration of β-hCG, it was decided that a negative pregnancy test will be sufficient to confirm spontaneous complete resolution without recourse to ultrasound imaging.9
Discussion
Although currently very rare, LSCS scar pregnancy is becoming increasingly common due to the rise in the number of caesarean sections taking place worldwide.10 The presence of a high risk of rupture, haemorrhage and possible loss of fertility causes suspicion of such pregnancy and the ability to interpret related imaging findings is crucial.11 12
Owing to the rarity of this condition, only small studies, and a few case reports are available in the literature regarding management options. Ahmadi et al11 published a case report on a spontaneously resolving caesarean scar pregnancy of 6 weeks gestation with no medical or surgical intervention.
Reports of cases with caesarean scar pregnancies treated successfully with methotrexate include a case described by Seow et al. This patient was managed with a local injection of methotrexate resulting in a rapid drop in her serum β-hCG level.13 However, a fall in serum β-hCG to normal levels does not always suggest the resolution of a pregnancy as Deb et al reported. The report was of a woman who was treated with a single injection of methotrexate and her β-hCG levels were monitored. Although all of her biochemistry results returned to normal, the ectopic pregnancy enlarged in size. Surgical intervention was later requested by the patient.14
Tan et al reported two cases which were managed with ultrasound-guided aspiration of the sac, intrasac methotrexate injection and later local injection of methotrexate to successfully reduce vascularity around the sac. One of the cases involved a viable pregnancy; therefore, potassium chloride was also injected into the fetal heart.10
Marchiole et al reported that due to the risks of haemorrhage and damage to the uterus and bladder walls, dilation and curettage should not be considered as first line management of LSCS scar pregnancy.12
Both medical and expectant management provide slower results which may put the patient at risk of uterine rupture requiring an urgent hysterectomy and blood transfusion. However, the success rates of medical management (71%) are much higher than expectant management (33%) as reported by Jurkovic et al. None of the five out of the seven medically treated patients experienced any side effects related to the medication. Serum β-hCG returned to normal levels at around 8 weeks after starting methotrexate administration.1
Furthermore, systemic methotrexate injection is suitable for asymptomatic and haemodynamically stable women who are at less than 8 weeks of gestation as reported by Maymon et al. However, the necessity for a local methotrexate injection, sac aspiration or even a hysterotomy must not be excluded.15
Finally, Seow et al13 concluded that methotrexate therapy is the preferred choice of management for women who prefer to preserve their fertility.
The choice of intervention varies between different patients, but expectant management is not usually advised due to the risk of rupture and haemorrhage.
Whether a caesarean scar pregnancy will occur in subsequent pregnancies is still not fully known.3 However, subsequent pregnancies are advised to be delivered using a caesarean section as early as possible, once the fetal lungs become mature.16 Therefore, once the resolution of such a pregnancy is established, it is advised to counsel the patient on the risk of rupture in subsequent pregnancies due to a possible weakness in the caesarean scar. Waiting for at least 1 year is also advised before becoming pregnant again.16
Learning points.
To prevent the possible risks of a delayed treatment in caesarean scar pregnancies, a high suspicion rate and patient admission may be required to carry out the relevant tests and imaging and to establish a timely diagnosis.
The need for a medical or surgical intervention for a caesarean scar pregnancy may not be required in presentations of early gestational age if the mother is haemodynamically stable and intensive monitoring is provided. However, current evidence suggests that the risks outweigh the benefits of expectant management in caesarean scar pregnancies. Therefore, further research to compare the risks of waiting versus the risks of medical and surgical interventions is required.
Footnotes
Competing interests: None.
Patient consent: Obtained.
References
- 1.Jurkovic D, Hillaby K, Woelfer B, et al. First-trimester diagnosis and management of pregnancies implanted into the lower uterine segment cesarean section scar. Ultrasound Obstet Gynecol 2003;21:220–7. [DOI] [PubMed] [Google Scholar]
- 2.Fylstra DL, Pound-Chang T, Miller MG, et al. Ectopic pregnancy within a cesarean delivery scar: a case report. Am J Obstet Gynecol 2002;187:302–4. [DOI] [PubMed] [Google Scholar]
- 3.Ash A, Smith A, Maxwell D. Caesarean scar pregnancy. BJOG 2007;114:253–63. [DOI] [PubMed] [Google Scholar]
- 4.Godin PA, Bassil S, Donnez J. An ectopic pregnancy developing in a previous caesarian section scar. Fertil Steril 1997;67:398–400. [DOI] [PubMed] [Google Scholar]
- 5.Fylstra DL. Ectopic pregnancy within a cesarean scar: a review. Obstet Gynecol Surv 2002;57:537–43. [DOI] [PubMed] [Google Scholar]
- 6.Fait G, Goyert G, Sundareson A, et al. Intramural pregnancy with fetal survival: case history and discussion of etiologic factors. Obstet Gynecol 1987;70(3 Pt 2):472–4. [PubMed] [Google Scholar]
- 7.Rotas MA, Haberman S, Levgur M. Cesarean scar ectopic pregnancies: etiology, diagnosis, and management. Obstet Gynecol 2006;107:1373–81. [DOI] [PubMed] [Google Scholar]
- 8.Armstrong V, Hansen WF, Van Voorhis BJ, et al. Detection of cesarean scars by transvaginal ultrasound. Obstet Gynecol 2003;101:61–5. [DOI] [PubMed] [Google Scholar]
- 9.Baby Hopes. Pregnancy test—sensitivity comparison. http://www.babyhopes.com/pregnancy-test-sensitivity-comparison.html(accessed 18 Oct 2012).
- 10.Tan G, Chong YS, Biswas A. Caesarean scar pregnancy: a diagnosis to consider carefully in patients with risk factors. Ann Acad Med Singapore 2005;34:216–19. [PubMed] [Google Scholar]
- 11.Ahmadi F, Haghighi H, Niknejadi M. Ectopic pregnancy in cesarean section scar: a case report. Int J Fertil Steril 2010;4:140–2. [Google Scholar]
- 12.Marchiole P, Gorlero F, de Caro G, et al. Intramural pregnancy embedded in a previous cesarean section scar treated conservatively. Ultrasound Obstet Gynecol 2004;23:307–9. [DOI] [PubMed] [Google Scholar]
- 13.Seow KM, Cheng WC, Chuang J, et al. Methotrexate for cesarean scar pregnancy after in vitro fertilization and embryo transfer. A case report. J Reprod Med 2000;45:754–7. [PubMed] [Google Scholar]
- 14.Deb S, Clewes J, Hewer C, et al. The management of cesarean scar ectopic pregnancy following treatment with methotrexate—a clinical challenge. Ultrasound Obstet Gynecol 2007;30:889–92. [DOI] [PubMed] [Google Scholar]
- 15.Maymon R, Halperin R, Mendlovic S, et al. Ectopic pregnancies in a Caesarean scar: review of the medical approach to an iatrogenic complication. Hum Reprod Update 2004;10:515–23. [DOI] [PubMed] [Google Scholar]
- 16.Seow KM, Huang LW, Lin YH, et al. Cesarean scar pregnancy: issues in management. Ultrasound Obstet Gynecol 2004;23:247–53. [DOI] [PubMed] [Google Scholar]
