Abstract
Background
Tumor of the follicular infundibulum (TFI) is considered as a rare benign neoplasm providing two distinctive clinical patterns: the solitary and the eruptive form. The clinical presentations resemble many other dermatologic conditions and require histopathological study to make a definite diagnosis.
Objective
To inform physicians of a clinical presentation of TFI.
Case Report
We report on a 50-year-old man who presented with multiple asymptomatic hypopigmented macules resistant to the treatments. The histopathological study was consistent with tumors of the follicular infundibulum.
Conclusion
Hypopigmented macules are one of the more common clinical presentations in dermatological practices. It is important to include TFI in the differential diagnosis when a patient with hypopigmented lesions does not respond to the treatment based on the clinical diagnosis.
Electronic supplementary material
The online version of this article (doi:10.1007/s13555-015-0079-0) contains supplementary material, which is available to authorized users.
Keywords: Eruptive, Hypopigmentation, Neoplasms, Tumor of the follicular infundibulum
Introduction
Tumor of the follicular infundibulum (TFI) is a rare benign neoplasm providing two distinctive clinical patterns: the solitary and the eruptive form. The clinical presentations resemble many other dermatologic conditions and require histopathological study to make a definite diagnosis. TFI has a unique histopathological finding but still debatable histogenesis. Although the tumor is called a TFI, it is not a neoplasm with infundibular differentiation. The tumor differentiates towards the isthmus part of the follicular epithelium. We herein report the case of a TFI patient who presented with multiple asymptomatic hypopigmented macules resistant to the treatments.
Case Report
A 50-year-old man presented with a clinical history of multiple asymptomatic lesions of the face, neck, upper chest and back spanning more than 20 years. The individual lesions were hypopigmented angular-shaped scaly macules with minimal central atrophy. The lesions were symmetrically distributed in the affected area. The size of the lesions ranged from approximately 3 to 20 mm in diameter (Fig. 1a, b). The patient was treated several times for tinea versicolor and pityriasis alba without success. Administration of 5% liquor carbonis detergens for many years resulted in only minimal improvement.
Fig. 1.

Hypopigmented angulated macules on face, neck (a) and upper chest (b)
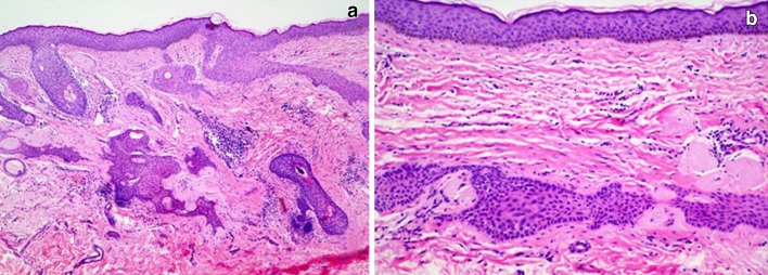
A biopsy was performed and histopathologic examination revealed a plate-like fenestrated subepidermal tumor extending horizontally under the epidermis with multiple cord-like connections to the overlying epidermis. Peripheral palisading of the basaloid cells was observed (Fig. 2a, b). These histologic findings were consistent with a TFI. This patient was treated with carbon dioxide laser ablation.
Fig. 2.

a Plate-like fenestrated subepidermal tumor extending horizontally under the epidermis with multiple cord-like connections to the overlying epidermis (H&E ×20). b Peripheral palisading of the basaloid cells (H&E ×40)
Compliance with Ethics
All procedures followed were in accordance with the ethical standards of the responsible committee on human experimentation (institutional and national) and with the Helsinki Declaration of 1975, as revised in 2000 and 2008. Informed consent was obtained from all patients for being included in the study.
Discussion
Tumor of the follicular infundibulum is considered as a rare benign neoplasm, first described by Mehregan and Butler in 1961 [1]. The incidence of TFI is still unknown. However, the estimated frequency is 3–10 per 100,000 biopsies and the tumor develops predominantly in women [2].
The clinical manifestations of TFI are generally classified as the solitary and eruptive form. The solitary form clinically shows no distinctive features. Usually, solitary tumor presents as scaly papule or nodule up to 1.5 cm in diameter and distributed on the head and neck or trunk of middle-aged and elderly patients [2–4]. This form is frequently misdiagnosed as seborrheic keratosis or basal cell carcinoma. The eruptive form is rare and appears much less frequently than the solitary form. There are two research articles which report its frequency. Abbas and Mahalingam reported 3 cases of multiple TFI (6%) from 50 cases in 2009 and Alomari et al. reported 13 cases (7.7%) from total 168 cases in their study [3, 4]. The eruptive form has been described in most reports as symmetrically distributed tumors of variable scaling, hypopigmented macules and papules with irregular or angulated borders confined to the face, neck and upper trunk [3]. Rarely, the tumors occur on the extremities and buttocks [5, 6]. The number of tumors varies from fewer than twenty to more than a hundred, and they are usually asymptomatic [5]. There are some reports of pruritus following sun exposure [5, 6].
The differential diagnosis of TFI is one of the most challenging issues because the tumor also resembles many other dermatologic conditions. Differential diagnosis of hypopigmented macular lesions includes tinea versicolor, pityriasis alba, vitiligo, tuberculoid leprosy and idiopathic guttate hypomelanosis [3, 5]. For the depressed lesions, differential diagnosis includes acne scars, atrophic lichen planus, lichen sclerosus et atrophicus, disseminated superficial actinic porokeratosis and discoid lupus erythematosus [3, 6]. Finally, differential diagnosis of papular lesions includes basal cell carcinoma, melanocytic nevi, seborrheic keratosis, actinic keratosis, prurigo nodularis, warts and trichoblastoma [3, 6, 7]. Because of the variety of clinical presentations, the histopathological study is the most important method for providing a definite diagnosis.
Histopathological findings in both forms of TFI consist of the plate-like growth of epithelial cells in the upper part of the dermis, expanding parallel to the epidermis, and showing peripheral nuclear palisading of the individual nest [2, 5, 8]. Some articles report an increase in elastic fibers surrounding the tumor [2, 4]. The histopathological difference between the solitary and eruptive form is the decrease of epidermal melanin, particularly in the tumor area, which can be correlated with the clinical form of hypopigmentation presented in the eruptive variant [2, 3]. Histologically, TFI should be differentiated from basal cell carcinoma, superficial fibroepithelial tumor of Pinkus, trichilemmoma, inverted follicular keratosis and pilar sheath acanthoma [4, 5].
The histogenesis of TFI has been hypothesized. Most articles propose that the origin of the tumor is the follicular infundibulum, regarding the topography of the tumor proliferation and glycogen in the tumor cells [1, 2]. Others hypothesize that the origin of the tumor is the isthmus part of the follicle, regarding tumor cells showing trichilemmal differentiation and the reports of sebaceous differentiation [9, 10].
TFI is generally considered to be a chronic benign adnexal tumor. The eruptive form has been reported in association with Cowden’s disease, nevus sebaceous, actinic keratosis, junctional melanocytic nevus, desmoplastic malignant melanoma, trichilemmoma, epidermal inclusion cysts and transformation to basal cell carcinoma [2]. However, the associations are not strong and should be considered only in additional cases which raise clinical concerns.
Treatments reported for TFI include topical steroids, topical retinoic acid, topical keratolytics, topical imiquimod, etretinate, cryotherapy, curettage, excision and ablative laser, all with unpleasant results [6]. There was a reported case of 10 months recurrence following excision [4]. Our patient was treated with carbon dioxide laser ablation and the short-term result was satisfactory. Although only a single reported case of transformation to basal cell carcinoma exists, the possibility of this outcome should be considered [11, 12]. Long-term follow-up, especially in the case of eruptive form, should be performed since complete treatment is not practicable.
Conclusion
In conclusion, we report the case of TFI to remind physicians of the clinical presentation of this rare tumor. Moreover, hypopigmented macules are one of the more common clinical presentations in dermatological practices. TFI should be included in the differential diagnosis when a patient with hypopigmented lesions, particularly on the head and neck area, does not respond to the treatment based on the clinical diagnosis.
Electronic supplementary material
Below is the link to the electronic supplementary material.
Acknowledgments
No funding or sponsorship was received for this study or publication of this article. All named authors meet the International Committee of Medical Journal Editors (ICMJE) criteria for authorship for this manuscript, take responsibility for the integrity of the work as a whole, and have given final approval for the version to be published.
Conflict of interest
P. Suchonwanit, P. Ruangchainikom and Y. Apibal have no disclosures to declare.
Compliance with ethics guidelines
All procedures followed were in accordance with the ethical standards of the responsible committee on human experimentation (institutional and national) and with the Helsinki Declaration of 1975, as revised in 2000 and 2008. Informed consent was obtained from all patients for being included in the study.
Open Access
This article is distributed under the terms of the Creative Commons Attribution Noncommercial License which permits any noncommercial use, distribution, and reproduction in any medium, provided the original author(s) and the source are credited.
References
- 1.Mehregan AH, Butler JD. A tumor of follicular infundibulum: report of a case. Arch Dermatol. 1961;83:924–927. doi: 10.1001/archderm.1961.01580120036007. [DOI] [PubMed] [Google Scholar]
- 2.Cribier B, Grosshans E. Tumor of the follicular infundibulum: a clinicopathologic study. J Am Acad Dermatol. 1995;33:979–984. doi: 10.1016/0190-9622(95)90290-2. [DOI] [PubMed] [Google Scholar]
- 3.Alomari A, Subtil A, Owen CE, McNiff JM. Solitary and multiple tumors of follicular infundibulum: a review of 168 cases with emphasis on staining patterns and clinical variants. J Cutan Pathol. 2013;40:532–537. doi: 10.1111/cup.12137. [DOI] [PubMed] [Google Scholar]
- 4.Abbas O, Mahalingam M. Tumor of the follicular infundibulum: an epidermal reaction pattern? Am J Dermatopathol. 2009;31:626–633. doi: 10.1097/DAD.0b013e31819c8608. [DOI] [PubMed] [Google Scholar]
- 5.Kolivras A, Moulonguet I, Ruben BS, Sass U, Cappelletti L, André J. Eruptive tumors of the follicular infundibulum presenting as hypopigmented macules on the buttocks of two Black African males. J Cutan Pathol. 2012;39:444–448. doi: 10.1111/j.1600-0560.2012.01863.x. [DOI] [PubMed] [Google Scholar]
- 6.Kolenik SA, 3rd, Bolognia JL, Castiglione FM, Jr, Longley BJ. Multiple tumors of the follicular infundibulum. Int J Dermatol. 1996;35:282–284. doi: 10.1111/j.1365-4362.1996.tb03003.x. [DOI] [PubMed] [Google Scholar]
- 7.Kubba A, Batrani M, Taneja A, Jain V. Tumor of follicular infundibulum: an unsuspected cause of macular hypopigmentation. Indian J Dermatol Venereol Leprol. 2014;80:141–144. doi: 10.4103/0378-6323.129391. [DOI] [PubMed] [Google Scholar]
- 8.Kossard S, Finley AG, Poyzer K, Kocsard E. Eruptive infundibulomas. A distinctive presentation of the tumor of follicular infundibulum. J Am Acad Dermatol. 1989;21:361–366. doi: 10.1016/S0190-9622(89)80035-0. [DOI] [PubMed] [Google Scholar]
- 9.Cheng AC, Chang YL, Wu Y, Hu SL, Chuan MT. Multiple tumors of the follicular infundibulum. Dermatol Surg. 2004;30:1246–1248. doi: 10.1111/j.1524-4725.2004.30385.x. [DOI] [PubMed] [Google Scholar]
- 10.Lee DW, Yang JH, Lee HM, et al. A case of tumor of the follicular infundibulum with sebaceous differentiation. Ann Dermatol. 2011;23(2):198–200. doi: 10.5021/ad.2011.23.2.198. [DOI] [PMC free article] [PubMed] [Google Scholar]
- 11.Starink TM, Meijer CJ, Brownstein MH. The cutaneous pathology of Cowden’s disease: new findings. J Cutan Pathol. 1985;12:83–93. doi: 10.1111/j.1600-0560.1985.tb01607.x. [DOI] [PubMed] [Google Scholar]
- 12.Zhu JW, Zheng M, Lu ZF. Multiple tumors of the follicular infundibulum: a cutaneous reaction pattern? Cutis. 2014;94:301–303. [PubMed] [Google Scholar]
Associated Data
This section collects any data citations, data availability statements, or supplementary materials included in this article.
