Full text
PDF





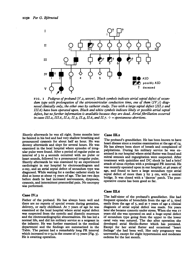
Images in this article
Selected References
These references are in PubMed. This may not be the complete list of references from this article.
- Amarasingham R., Fleming H. A. Congenital heart disease with arrhythmia in a family. Br Heart J. 1967 Jan;29(1):78–82. doi: 10.1136/hrt.29.1.78. [DOI] [PMC free article] [PubMed] [Google Scholar]
- Bizarro R. O., Callahan J. A., Feldt R. H., Kurland L. T., Gordon H., Brandenburg R. O. Familial atrial septal defect with prolonged atrioventricular conduction. A syndrome showing the autosomal dominant pattern of inheritance. Circulation. 1970 Apr;41(4):677–683. doi: 10.1161/01.cir.41.4.677. [DOI] [PubMed] [Google Scholar]
- CAMPBELL M., POLANI P. E. Factors in the aetiology of atrial septal defect. Br Heart J. 1961 Sep;23:477–493. doi: 10.1136/hrt.23.5.477. [DOI] [PMC free article] [PubMed] [Google Scholar]
- DAVIDSEN H. G. Atrial septal defect in a mother and her children. Acta Med Scand. 1958 May 6;160(6):447–454. doi: 10.1111/j.0954-6820.1958.tb10369.x. [DOI] [PubMed] [Google Scholar]
- Ehlers K. H., Engle M. A. Familial congenital heart disease. I. Genetic and environmental factors. Circulation. 1966 Sep;34(3):503–516. doi: 10.1161/01.cir.34.3.503. [DOI] [PubMed] [Google Scholar]
- HOLT M., ORAM S. Familial heart disease with skeletal malformations. Br Heart J. 1960 Apr;22:236–242. doi: 10.1136/hrt.22.2.236. [DOI] [PMC free article] [PubMed] [Google Scholar]
- HOWITT G. Atrial septal defect in three generations. Br Heart J. 1961 Sep;23:494–496. doi: 10.1136/hrt.23.5.494. [DOI] [PMC free article] [PubMed] [Google Scholar]
- Nora J. J., McNamara D. G., Fraser F. C. Hereditary factors in atrial septal defect. Circulation. 1967 Mar;35(3):448–456. doi: 10.1161/01.cir.35.3.448. [DOI] [PubMed] [Google Scholar]
- Zetterqvist P., Turesson I., Johansson B. W., Laurell S., Ohlsson N. M. Dominant mode of inheritance in atrial septal defect. Clin Genet. 1971;2(2):78–86. doi: 10.1111/j.1399-0004.1971.tb00259.x. [DOI] [PubMed] [Google Scholar]

