Abstract
The clinical significance of Mycobacterium kansasii respiratory isolates is uncertain. The aims of this study were to determine the clinical relevance of M. kansasii isolates and to identify the clinical features and outcomes of M. kansasii lung disease. We reviewed the medical records of 104 patients from whom at least one respiratory M. kansasii isolate was obtained from January 2003 to July 2014 at Samsung Medical Center, South Korea. Of these 104 patients, 54 (52%) met the diagnostic criteria for nontuberculous mycobacterial lung disease; among them, 41 (76%) patients received antibiotic treatment for a median time of 15.0 months (interquartile range [IQR], 7.0–18.0 months). The remaining 13 (24%) without overt disease progression were observed for a median period of 24.0 months (IQR, 5.0–34.5 months). Patients with M. kansasii lung disease exhibited various radiographic findings of lung disease, including the fibrocavitary form (n = 24, 44%), the nodular bronchiectatic form (n = 17, 32%), and an unclassifiable form (n = 13, 24%). The fibrocavitary form was more common in patients who received treatment (n = 23, 56%), while the nodular bronchiectatic form was more common in patients with M. kansasii lung disease who did not receive treatment (n = 9, 70%). None of the patients with a single sputum isolate (n = 18) developed M. kansasii disease over a median follow-up period of 12.0 months (IQR, 4.0–26.5 months). In total, 52% of all patients with M. kansasii respiratory isolates exhibited clinically significant disease. Moreover, patients with M. kansasii lung disease displayed diverse radiographic findings in addition to the fibrocavitary form. The nodular bronchiectatic form was more common in patients with M. kansasii lung disease with an indolent clinical course. Thus, since the clinical significance of a single M. kansasii respiratory isolate is not definite, strict adherence to recommended diagnostic criteria is advised.
Introduction
Nontuberculous mycobacteria (NTM) are environmental organisms that can be isolated from water, soil, plants, animals, and dust [1, 2]. NTM are increasingly recognized as pathogenic to humans, with pulmonary disease being the most common manifestation of NTM infection [3, 4]. Unlike Mycobacterium tuberculosis, NTM derived from respiratory isolates must be examined to distinguish colonizer or contaminant from a true pathogen responsible for lung disease. Therefore, the American Thoracic Society (ATS) and the Infectious Diseases Society of America (IDSA) have issued diagnostic criteria for NTM lung disease [5].
Mycobacterium kansasii is a slow-growing NTM and the second most common cause of NTM lung disease in some European countries including the United Kingdom, Slovakia, and Poland [6]. Traditionally, M. kansasii has been considered the most virulent NTM species and the presence of a single M. kansasii isolate in a sputum sample has been believed to be clinically significant by many experts [7, 8]. However, the degree of correlation between M. kansasii isolation respiratory samples and true lung disease has not been definitely established. Previous reports from the United States and the United Kingdom found that more than 70% of all patients with a respiratory isolate of M. kansasii had clinically relevant disease [9–11]. However, studies from Asian countries found that only 17% of all M. kansasii isolates from respiratory samples were clinically relevant according to the ATS/IDSA diagnostic criteria [12].
The typically recognized clinical presentation of NTM lung disease, including M. kansasii lung disease, is an apical fibrocavitary form that is nearly identical to pulmonary tuberculosis. This type of disease usually develops in older males with a history of lung disease, such as previous pulmonary tuberculosis [5]. NTM lung disease can also present with nodular infiltrates, which frequently involve the right middle lobe and the lingular segment of the left upper lobe (nodular bronchiectatic form). This form of disease occurs predominantly in postmenopausal, non-smoking females and is also common in Mycobacterium avium complex (MAC) lung disease [13–15]. However, the nodular bronchiectatic form of M. kansasii lung disease has not been well described in the literature.
In South Korea, the frequency of NTM isolation and the number of patients diagnosed with NTM lung disease are both steadily increasing [16, 17]. M. kansasii has been shown to represent only 1–2% of all NTM isolates and pathogens in NTM lung disease in South Korea [16–18]. In this study, we reviewed the medical records of all patients from whom M. kansasii was isolated from respiratory specimens taken during a 12-year period at our institution. The aims of this study were to determine the clinical relevance of M. kansasii isolates and to identify the clinical features and outcomes of M. kansasii lung disease.
Patients and Methods
Using our mycobacterial laboratory database, all patients for whom an isolate of M. kansasii was present in at least one of two or more respiratory specimens taken at Samsung Medical Center (a 1,961-bed referral hospital in Seoul, South Korea) between January 2003 and July 2014 were identified. This retrospective observational study was approved by the Institutional Review Board of Samsung Medical Center (IRB No. 2014-10-093) and full permission was granted to review and publish information obtained from patient records. Informed consent was waived for the use of patient medical data because patient information was anonymized and de-identified prior to analysis.
During the study period, NTM species were identified using polymerase chain reaction (PCR)-restriction fragment length polymorphism analysis or a PCR-reverse blot hybridization assay of the mycobacterial rpoB gene [19, 20]. Antimicrobial susceptibility testing was performed at the Korean Institute of Tuberculosis. The minimum inhibitory concentration (MIC) of rifampin and clarithromycin was evaluated via the broth microdilution method and interpreted according to the National Committee for Clinical Laboratory Standard guidelines [21], which had been implemented since January 2009 in Korea.
For each patient, clinical, microbiological and radiographic data were evaluated. Chest radiography scans and chest high-resolution computed tomography (HRCT) images were available for all patients and these images were reviewed by two of the authors (S. M. Moon and H. Y. Park) with respect to the presence or absence of nodules, consolidation, cavitary lesions, and bronchiectasis [22]. Patients were then diagnosed with M. kansasii lung disease if they met the 2007 ATS/IDSA diagnostic criteria [5]. After evaluating the clinical significance the M. kansasii isolates, the chest radiography and HRCT findings were classified as showing either the fibrocavitary form or the nodular bronchiectatic form. If the disease did not belong to either of these categories, it was deemed unclassifiable [23, 24].
In patients with extensive lesions and respiratory symptoms, physicians started treatment for M. kansasii lung disease immediately. However, if patients had mild symptoms without clear progression, treatment was not initiated and they were instead followed regularly and sputum cultures were collected. During the follow-up period, patients who showed disease progression began treatment. At that time, the goal of treatment was maintenance of negative sputum conversion over 12 months with improvement in symptoms and performed images [15, 23]. When the patients were treated for M. kansasii lung disease, sputum conversion was defined as three consecutive negative cultures, with the time of conversion defined as the date of the first negative culture [15, 23]. The patients who completed treatment were followed regularly including repeated sputum acid-fast bacilli (AFB) culture for investigation of recurrence. Microbiologic recurrence was defined as two consecutive positive cultures after sputum conversion. Treatment outcomes were evaluated on December 31, 2014. At this point, if the intended treatment was finished, patient were categorized as having completed treatment and if patients were receiving treatment, they were categorized in the ongoing treatment group. If antibiotics were stopped with or without follow-up, patients were categorized as ‘discontinued’ or ‘lost to follow-up,’ respectively. Transfer of the patient to another hospital was described as ‘transfer’; if the patient died in our hospital because of the progression of M. kansasii lung disease, they were classified as ‘death during treatment’. In addition, for each patient, the test result of anti-human immunodeficiency virus (HIV) antibody screening was reviewed retrospectively.
All data are presented as medians and interquartile ranges (IQRs) for continuous variables and as numbers (percentages) for categorical variables. Data were compared using the Mann-Whitney U test for continuous variables and Pearson’s χ2 test or Fisher’s exact test for categorical variables. All statistical analyses were performed using PASW Statistics 21 (SPSS Inc., Chicago, IL, USA).
Results
Baseline Characteristics
From January 2003 to July 2014, 104 patients were identified with M. kansasii-positive cultures from 230 respiratory specimens. These specimens consisted of 217 sputum samples, 12 bronchial washing fluid samples and 1 lung tissue aspiration sample. Out of 104 patients, 102 patients had three or more available specimens. The patient baseline characteristics are detailed in Table 1. Of the 104 patients with M. kansasii respiratory isolates, 54 (52%) met the ATS/IDSA diagnostic criteria for NTM lung disease and 50 (48%) did not meet the 2007 ATS/IDSA criteria for M. kansasii lung disease. However, there was no significant difference in baseline characteristics between two groups. In total, 71 males (68%) and 33 females (32%) were included in this study, with a median age of 59 years (IQR, 45–67 years). The median body mass index was 20.6 kg/m2 (IQR, 18.8–22.9 kg/m2) and 48 (46%) patients were nonsmokers. The most frequent pre-existing pulmonary disease was a prior history of pulmonary tuberculosis (n = 39, 38%), followed by bronchiectasis (n = 37, 37%) and chronic obstructive pulmonary disease (n = 17, 16%). All patients were immunocompetent except one patient with myelodysplastic syndrome; Anti-HIV antibody test screening was performed in 85 (82%) of 104 patients, and none of the untested patients had risk factors for HIV infection.
Table 1. Baseline characteristics of the 104 patients with M. kansasii-positive cultures from respiratory specimens.
| Characteristics | Total (n = 104) | Met ATS criteria (n = 54) | Did not meet ATS criteria (n = 50) | P value |
|---|---|---|---|---|
| Males, n (%) | 71 (68) | 39 (72) | 32 (64) | 0.368 |
| Age, years | 59 (45–67) | 62 (45–66) | 57 (42–67) | 0.427 |
| Body mass index, kg/m2 | 20.6 (18.8–22.9) | 20.7 (18.7–22.8) | 20.3 (18.9–23.0) | 0.735 |
| Current or ex-smoker, n (%) | 60 (58) | 35 (65) | 25 (50) | 0.127 |
| Pre-existing pulmonary disease, n (%) | ||||
| Prior pulmonary tuberculosis | 39 (38) | 16 (30) | 23 (46) | 0.085 |
| Bronchiectasis | 38 (37) | 15 (28) | 23 (46) | 0.054 |
| Chronic obstructive pulmonary disease | 17 (16) | 11 (20) | 6 (12) | 0.249 |
| Interstitial lung disease | 6 (6) | 4 (7) | 2 (4) | 0.680 |
| History of previous lung surgery | 8 (8) | 3 (6) | 5 (10) | 0.477 |
| Comorbidity, n (%) | ||||
| Malignancy | 11 (11) | 5 (9) | 6 (12) | 0.650 |
| Diabetes mellitus | 11 (11) | 7 (13) | 4 (8) | 0.411 |
| Immunocompromised disease* | 1 (1) | 1 (2) | 0 (0) | 1.000 |
All data are presented as numbers (%) or as medians and interquartile ranges.
ATS: 2007 American Thoracic Society (ATS) and the Infectious Diseases Society of America (IDSA) diagnostic criteria for nontuberculous mycobacterial lung disease.
*This patient had myelodysplastic syndrome.
All 104 patients with M. kansasii isolates were followed for a median of 21.7 months (IQR, 9.0–33.2 months). After M. kansasii was isolated, a median of 7.0 (IQR 3.0–11.0) sputum cultures were obtained during follow-up period.
Comparison of Clinical Manifestations and Radiographic Findings Between Patients with M. kansasii Lung Disease Who Received Antibiotic Treatment Versus Those Who Did Not
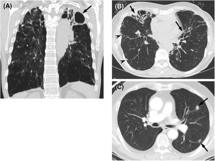
Among 54 patients who met the ATS/IDSA diagnostic criteria for NTM lung disease, 41 (76%) received antibiotic treatment and the median duration from diagnosis to initiation of treatment was 1.7 months (0.3–3.8 months). The remaining13 (24%) patients with mild symptoms underwent regular follow-up without antibiotic treatment for a median time of 26.5 months (IQR, 8.8–35.3 months) and a median of 8.0 (IQR 3.0–11.5) sputum cultures were obtained during follow-up. Based on the chest radiography and HRCT findings in all 54 patients, 24 (44%) patients manifested the fibrocavitary form, 17 (32%) had the nodular bronchiectatic form, and 13 (24%) exhibited an unclassifiable form of M. kansasii lung disease. The diverse radiographic findings are shown in Fig 1.
Fig 1. Diverse patterns in images of M. kansasii lung disease.
(A) A 64-year-old man with M. kansasii lung disease. A coronal thin-section (2.5-mm thickness) CT scan shows a thick-walled cavitary lesion (arrow) with consolidation in the left upper lobe. Severe pulmonary emphysema is also observed. (B) A 66-year-old woman with M. kansasii lung disease. A transaxial thin-section (2.5-mm thickness) CT scan obtained at the basal trunk level shows bronchiectasis (arrows) and multiple branching centrilobular nodules, the so-called tree-in-bud pattern (arrowheads), in both lungs. (C) A-77-year-old man with M. kansasii lung disease. A transaxial (5-mm thickness) CT scan obtained at the level of the left main bronchus shows two nodules in the left lung (arrows). Lung biopsy revealed chronic granuloma; M. kansasii was isolated from the bronchial washing fluid.
We compared clinical and radiographic manifestations between patients with M. kansasii lung disease who received antibiotic treatment versus those who did not. As shown in Table 2, many of the clinical manifestations, including symptoms and the number of patients with a positive AFB smear, did not differ between the two groups. However, patients with M. kansasii lung disease who received antibiotic treatment were more likely to have the fibrocavitary form of disease than those who did not receive antibiotic treatment (56% vs. 8%, p = 0.002), while the nodular bronchiectatic form was observed more often in patients with M. kansasii lung disease who did not receive antibiotic treatment compared with those who did (20% vs. 70%, p = 0.002). In accordance with the disease type, patients with M. kansasii lung disease who received antibiotic treatment had significantly higher proportion of cavitary lesions on chest radiographs and HRCT scans compared with patients who did not receive antibiotic treatment (p = 0.001 on chest radiographs and p < 0.001 on HRCT scans).
Table 2. Clinical manifestations of 54 patients diagnosed with M. kansasii lung disease.
| Total (n = 54, 100%) | Antibiotic treatment (n = 41, 76%) | Observation (n = 13, 24%) | P value | |
|---|---|---|---|---|
| Males, n | 39 (72) | 31 (76) | 8 (62) | 0.478 |
| Age, years | 62 (45–66) | 59 (45–66) | 64 (53–74) | 0.252 |
| Body mass index, kg/m2 | 20.7 (18.7–22.8) | 20.5 (18.7–22.4) | 20.9 (18.3–25.4) | 0.463 |
| Symptom | ||||
| Cough | 35 (65) | 28 (68) | 7 (54) | 0.342 |
| Sputum | 40 (74) | 31 (76) | 9 (70) | 0.722 |
| Hemoptysis | 11 (20) | 10 (24) | 1 (8) | 0.261 |
| Dyspnea | 18 (33) | 16 (39) | 2 (15) | 0.179 |
| Positive AFB smear | 36 (67) | 30 (73) | 6 (46) | 0.096 |
| Type of disease | ||||
| Fibrocavitary | 24 (44) | 23 (56) | 1 (8) | 0.002 |
| Nodular- bronchiectatic | 17 (32) | 8 (20) | 9 (70) | 0.002 |
| Unclassifiable | 13 (24) | 10 (24) | 3 (23) | 1.000 |
| Chest radiograph findings | ||||
| Cavity | 25 (46) | 24 (59) | 1 (8) | 0.001 |
| Bronchiectasis | 23 (43) | 15 (37) | 8 (62) | 0.113 |
| Nodules or consolidation | 30 (56) | 23 (56) | 7 (54) | 0.887 |
| HRCT findings | ||||
| Cavity | 27 (50) | 26 (63) | 1 (8) | <0.001 |
| Bronchiectasis | 32 (59) | 22 (54) | 10 (77) | 0.137 |
| Centrilobular nodules | 38 (70) | 27 (66) | 11 (85) | 0.301 |
| Consolidation | 26 (48) | 21 (51) | 5 (39) | 0.422 |
All data are presented as numbers (%) or as medians and interquartile ranges
AFB = acid-fast bacilli; HRCT = high-resolution computed tomography.
Management and Treatment Outcomes in Patients With M. kansasii Lung Disease Who Received Antibiotic Treatment
Among the 41 patients who received antibiotic treatment, 16 (39%) initiated anti-tuberculosis treatment for presumed pulmonary tuberculosis until the definitive identification of M. kansasii. Regarding treatment regimens for M. kansasii lung disease, 29 (71%) patients received isoniazid, rifampin, and ethambutol, whereas 12 (29%) were treated with macrolide (azithromycin or clarithromycin), rifampin, and ethambutol (Table 3). The MIC of rifampin and clarithromycin via the broth microdilution method was available for 23 (56%) of the 41 patients who received treatment and 5 out of 23 patients had resistance to rifampicin.
Table 3. Management and treatment outcomes of the 41 patients who received antibiotic treatment for M. kansasii lung disease.
| No. of patients (%) or median (IQR) | |
|---|---|
| Initially presumed as pulmonary tuberculosis | 16 (39) |
| Treatment regimen for M. kansasii disease | |
| INH / RIF / EMB | 29 (71) |
| Macrolide (AZT or CLR) / RIF / EMB | 12 (29) |
| RIF susceptible, n/total n* | 20 / 23 (87) |
| CLR susceptible, n/total n* | 23 / 23 (100) |
| Treatment outcomes | |
| Completed treatment | 24 (59) |
| Ongoing treatment | 8 (20) |
| Lost or transferred during treatment | 6 (15) |
| Discontinued treatment** | 3 (7) |
| Death during treatment due to disease | 0 (0) |
| Time from diagnosis to initiation of treatment, months | 1.7 (0.3–3.8) |
| Time to sputum negative conversion, months | 2.0 (1.0–3.0) |
| Treatment duration, months | 15.0 (7.0–18.0) |
| Follow-up duration after diagnosis, months | 24.1 (12.4–37.6) |
| Follow-up duration after treatment completion, months † | 13.7 (2.7–45.2) |
Data are presented as numbers (%) or as medians and interquartile ranges.
IQR = interquartile ranges; INH = isoniazid; RIF = rifampin; EMB = ethambutol; AZT = azithromycin; CLR = clarithromycin.
*The rifampin susceptibility test was performed in 23 patients.
**Two patients discontinued medications due to side effects like dyspepsia, anorexia, and urticarial; another patient self-discontinued due to improved respiratory symptoms.
†Calculated from the data of 24 patients who completed scheduled treatment.
All patients who completed the M. kansasii treatment course achieved symptomatic and radiographic improvement and negative microbiologic conversion. Relapse occurred in one patient after 5 months of following a successful 18-month treatment course of isoniazid, rifampin and ethambutol. This relapse was successfully treated with clarithromycin, rifampin and ethambutol for 12 months. Treatment of M. kansasii lung disease was discontinued in three (7%) patients due to dyspepsia, urticarial, and poor adherence. All patients who received antibiotic treatment for M. kansasii disease had negative microbiologic conversion after a median time of 2.0 months (IQR, 1.0–3.0 months). The median total treatment duration in 41 patients was 15.0 months (IQR, 7.0–18.0 months) and the median follow-up duration after completion of intended treatment in 24 patients was 13.7 months (IQR 2.7–45.2 months).
Patients Who Were Not Diagnosed With M. kansasii Lung Disease
As shown in Table 4, among 50 patients who did not meet the 2007 ATS/IDSA criteria for M. kansasii lung disease, 27 (54%) already had another pulmonary disease, including other NTM lung disease due to MAC (n = 14), Mycobacterium abscessus complex (n = 1), or mixed infection with MAC and M. abscessus (n = 2) and pulmonary tuberculosis (n = 10). These 27 patients were followed for a median of 22.1 months (IQR, 10.6–27.7months) and a median 6.0 (IQR, 2.0–9.0) sputum cultures were obtained in follow-up period. The remaining 23 (46%) patients had only a single sputum isolate out of two or more respiratory specimens taken during the follow-up period; this result was insufficient to meet the microbiological criteria for NTM lung disease. Although these patients did not fulfill the 2007 ATS/IDSA diagnostic criteria, 5 out of the 23 (22%) were treated with a presumed diagnosis of pulmonary tuberculosis or M. kansasii lung disease. The remaining 18 of 23 (78%) patients were observed without antibiotic treatment for a median 12.1 months (IQR, 4.4–32.0 months) follow-up period. A median of 4.0 (IQR 2.8–10.3) sputum cultures were performed and none of these patients developed M. kansasii lung disease.
Table 4. Reasons why 50 patients did not meet the 2007 ATS/IDSA diagnostic criteria for M. kansasii disease.
| Reason | No. of patients (%) |
|---|---|
| Clinical criteria | |
| Excluded due to other disease | 27 (54) |
| Mycobacterium avium complex | 14 |
| Mycobacterium abscessus complex | 1 |
| Mixed NTM infection* | 2 |
| Pulmonary tuberculosis** | 10 |
| Microbiologic criteria | |
| Culture-positive from only a single sputum sample † | 23 (46) |
*Two patients were diagnosed with mixed infection (M. avium complex and M. abscessus).
**Pulmonary tuberculosis was demonstrated by the presence of an M. tuberculosis culture isolate or by polymerase chain reaction.
†Of these patients, 18 (78%) underwent follow-up without antibiotic treatment for a median duration of 12.1 months (interquartile range 4.4–32.0 months). None of these patients developed M. kansasii lung disease.
Discussion
This study evaluated the clinical relevance and disease characteristics in 104 patients from whom M. kansasii respiratory isolates were obtained. We found that 52% of all patients with M. kansasii-positive respiratory cultures were ultimately diagnosed with M. kansasii lung disease; 76% of these patients received antibiotic treatment and had a favorable outcome. Moreover, M. kansasii lung disease exhibited diverse radiographic findings, including the nodular bronchiectatic form. Finally, we found that the isolation of M. kansasii from patients with tuberculosis or another NTM disease or a single sputum isolate was not associated with the development of M. kansasii lung disease during the follow-up period in patients who did not satisfy the diagnostic criteria.
Our study included more than 100 patients, none of whom had HIV. Moreover, 52% of all patients from whom an M. kansasii respiratory isolate was obtained had clinically relevant disease. This finding is consistent with recent epidemiologic studies in Israel, Croatia and the Netherlands using the 2007 ATS/IDSA diagnostic criteria [25–27]. However, the clinical significance of M. kansasii respiratory isolates has been shown to vary from 17% to 88% (Table 5). This wide range of clinical significance might be explained by small study sizes [28–30], the inclusion of many patients with pneumoconiosis [9] or HIV [11, 31], or the use of previous diagnostic criteria [10, 12, 32]. One epidemiologic study in the UK [33] excluded patients with a single sputum isolate, leading to a relatively high estimation of the clinical relevance of M. kansasii respiratory cultures.
Table 5. Clinical relevance of M. kansasii respiratory isolates in previous reports.
| Author, year, reference | Country | Study period | Clinical relevance* |
|---|---|---|---|
| Fogan, 1969 [34] | Oklahoma, USA | 1966–1968 | 50% (18/36) |
| Jenkins, 1981 [9] | Wales, UK | 1952–1978 | 84% (154/184) |
| O’Brien, 1987 [10] | USA | 1981–1983 | 75% (762/1016) |
| Pang, 1991 [35] | Australia | 1962–1987 | 48% (39/81) |
| Debrunner, 1992 [32] | Switzerland | 1983–1988 | 26% (9/35) |
| Bloch, 1998 [11] | California, USA | 1992–1996 | 88% (236/270)** |
| Corbett, 1999 [31] | South Africa | 1996–1997 | 41% (23/56) † |
| Koh, 2006 [16] | South Korea | 2002–2003 | 50% (7/14) |
| Bodle, 2008 [28] | New York City, USA | 2000–2003 | 70% (7/10) |
| Van Ingen, 2009 [29] | Netherlands | 1999–2005 | 71% (12/17) |
| Thomson, 2010 [36] | Australia | 2005 | 53% (10/19) |
| Winthrop, 2010 [30] | Oregon, USA | 2005–2006 | 38% (3/8) |
| Simons, 2011 [12] | Asia | 1971–2007 | 17% (34/198) |
| Davies, 2012 [33] | UK | 2000–2007 | 73% (40/55) |
| Braun, 2012 [25] | Israel | 2004–2010 | 50% (7/14) |
| Jankovic, 2013 [26] | Croatia | 2006–2010 | 50% (5/10) |
| Chien, 2014 [37] | Taiwan | 2000–2012 | 44% (234/526) |
| Gommans, 2015 [27] | Netherlands | 2001–2011 | 53% (10/19) |
| Current study | South Korea | 2003–2014 | 52% (54/104) |
USA = United States of America, UK = United Kingdom.
*Proportion of patients judged to have M. kansasii lung disease out of all patients from whom M. kansasii had been isolated.
**187 (69%) were HIV-positive.
†40 (34%) were HIV-positive.
In contrast to previous findings regarding the virulence and clinical significance of a single M. kansasii isolate, we found that 18 patients with a single sputum isolate did not develop M. kansasii lung disease during the follow-up period. This result supports the 2007 ATS/IDSA diagnostic criteria for infection with M. kansasii, MAC, and M. abscessus complex, according to which a single positive sputum culture is regarded as indeterminate for the diagnosis of NTM lung disease [5].
Patients with M. kansasii lung disease typically present with upper-lobe fibronodular infiltrates with cavitation on chest radiographs [7]. In our study, the nodular bronchiectatic and unclassifiable forms were also commonly observed in patients with M. kansasii lung disease, especially those who did not receive antibiotic treatment. This finding is consistent with a recent study [27] in which, various radiographic findings of M. kansasii lung disease were reported. Our findings imply that patients with M. kansasii lung disease can also exhibit the nodular bronchiectatic form, similar to other patients with NTM lung disease.
Regarding treatment for M. kansasii lung disease, we found that 76% of all patients with M. kansasii disease received antibiotic treatment, while the remaining 24% presented an indolent course and did not require antibiotic treatment. Similar to previous reports of good prognoses [5, 7, 38], all patients who completed treatment showed a favorable response. Moreover, no treatment failure occurred, despite the presence of rifampin-resistant isolates in 3 out of the 23 patients. Regarding treatment regimen, 29% of all patients who underwent antibiotic treatment for M. kansasii lung disease received a macrolide-containing regimen with rifampin. The current ATS/IDSA recommendation for treating M. kansasii lung disease is an 18-month regimen consisting of daily isoniazid, rifampin, and ethambutol therapy. However, untreated M. kansasii strains are easily inhibited in vitro by clarithromycin at lower concentrations than those required for MAC treatment [39], a result that is readily achievable with the standard therapeutic doses. In addition, a preliminary study showed that the administration of clarithromycin, rifampin, and ethambutol for the treatment of M. kansasii lung disease resulted in favorable treatment outcomes in 18 patients [40]. At our institution, the treatment protocol was changed from including isoniazid to including macrolide antibiotics in January 2013 after discussion regarding treatment of M. kansasii lung disease. Although our sample size was small and some patients are still treatment, our study yielded important preliminary observations regarding the potential of regimens containing macrolide, rifampin, and ethambutol for treating M. kansasii lung disease. Further studies with larger sample sizes are needed to confirm this finding.
Our study did have several limitations. First, this retrospective study was conducted at a single referral institution and thus we were unable to calculate the population-based prevalence. Second, the clinical significance of M. kansasii positivity in patients with M. kansasii isolates who were administered antibiotics (including rifampin) due to accompanying tuberculosis or another NTM disease remains unclear. In addition, as genotyping was not performed in one recurred case, relapse could not be distinguished from re-infection. Finally, although M. kansasii is a heterogeneous species with several distinct subtypes [41], clinical significance was not evaluated according to M. kansasii subtype.
In conclusion, about half of all patients from whom M. kansasii was isolated from the respiratory specimen presented clinically significant lung disease with diverse radiographic findings. Similar to other NTM lung disease, patients with M. kansasii lung disease can exhibit the nodular bronchiectatic form, especially with an indolent clinical course. The clinical significance of a single M. kansasii isolate was not conclusive, suggesting strict adherence to the recommended diagnostic criteria.
Acknowledgments
This study was supported by a grant of the Korean Health Technology R&D Project, Ministry for Health & Welfare, Republic of Korea (A120647).
Data Availability
All relevant data are within the paper.
Funding Statement
This study was supported by a grant of the Korean Health Technology R&D Project, Ministry for Health & Welfare, Republic of Korea (A120647). The funders had no role in study design, data collection and analysis, decision to publish, or preparation of the manuscript.
References
- 1. Falkinham JO 3rd. Ecology of nontuberculous mycobacteria-where do human infections come from? Semin Respir Crit Care Med. 2013;34: 95–102. 10.1055/s-0033-1333568 [DOI] [PubMed] [Google Scholar]
- 2. Falkinham JO 3rd. Reducing human exposure to Mycobacterium avium . Ann Am Thorac Soc. 2013;10: 378–382. 10.1513/AnnalsATS.201301-013FR [DOI] [PubMed] [Google Scholar]
- 3. Kendall BA, Winthrop KL. Update on the epidemiology of pulmonary nontuberculous mycobacterial infections. Semin Respir Crit Care Med. 2013;34: 87–94. 10.1055/s-0033-1333567 [DOI] [PubMed] [Google Scholar]
- 4. Prevots DR, Marras TK. Epidemiology of human pulmonary infection with nontuberculous mycobacteria: a review. Clin Chest Med. 2015;36: 13–34. 10.1016/j.ccm.2014.10.002 [DOI] [PMC free article] [PubMed] [Google Scholar]
- 5. Griffith DE, Aksamit T, Brown-Elliott BA, Catanzaro A, Daley C, Gordin F, et al. An official ATS/IDSA statement: diagnosis, treatment, and prevention of nontuberculous mycobacterial diseases. Am J Respir Crit Care Med. 2007;175: 367–416. [DOI] [PubMed] [Google Scholar]
- 6. Hoefsloot W, van Ingen J, Andrejak C, Angeby K, Bauriaud R, Bemer P, et al. The geographic diversity of nontuberculous mycobacteria isolated from pulmonary samples: an NTM-NET collaborative study. Eur Respir J. 2013;42: 1604–1613. 10.1183/09031936.00149212 [DOI] [PubMed] [Google Scholar]
- 7. Griffith DE. Management of disease due to Mycobacterium kansasii . Clin Chest Med. 2002;23: 613–621. [DOI] [PubMed] [Google Scholar]
- 8. Stout JE. Evaluation and management of patients with pulmonary nontuberculous mycobacterial infections. Expert Rev Anti Infect Ther. 2006;4: 981–993. [DOI] [PubMed] [Google Scholar]
- 9. Jenkins PA. The epidemiology of opportunist mycobacterial infections in Wales, 1952–1978. Rev Infect Dis. 1981;3: 1021–1023. [DOI] [PubMed] [Google Scholar]
- 10. O'Brien RJ, Geiter LJ, Snider DE Jr. The epidemiology of nontuberculous mycobacterial diseases in the United States. Results from a national survey. Am Rev Respir Dis. 1987;135: 1007–1014. [DOI] [PubMed] [Google Scholar]
- 11. Bloch KC, Zwerling L, Pletcher MJ, Hahn JA, Gerberding JL, Ostroff SM, et al. Incidence and clinical implications of isolation of Mycobacterium kansasii: results of a 5-year, population-based study. Ann Intern Med. 1998;129: 698–704. [DOI] [PubMed] [Google Scholar]
- 12. Simons S, van Ingen J, Hsueh PR, Van Hung N, Dekhuijzen PN, Boeree MJ, et al. Nontuberculous mycobacteria in respiratory tract infections, eastern Asia. Emerg Infect Dis. 2011;17: 343–349. 10.3201/eid1703.100604 [DOI] [PMC free article] [PubMed] [Google Scholar]
- 13. Kartalija M, Ovrutsky AR, Bryan CL, Pott GB, Fantuzzi G, Thomas J, et al. Patients with nontuberculous mycobacterial lung disease exhibit unique body and immune phenotypes. Am J Respir Crit Care Med. 2013;187: 197–205. 10.1164/rccm.201206-1035OC [DOI] [PMC free article] [PubMed] [Google Scholar]
- 14. Lee G, Lee KS, Moon JW, Koh WJ, Jeong BH, Jeong YJ, et al. Nodular bronchiectatic Mycobacterium avium complex pulmonary disease. Natural course on serial computed tomographic scans. Ann Am Thorac Soc. 2013;10: 299–306. 10.1513/AnnalsATS.201303-062OC [DOI] [PubMed] [Google Scholar]
- 15. Jeong BH, Jeon K, Park HY, Kim SY, Lee KS, Huh HJ, et al. Intermittent antibiotic therapy for nodular bronchiectatic Mycobacterium avium complex lung disease. Am J Respir Crit Care Med. 2015;191: 96–103. 10.1164/rccm.201408-1545OC [DOI] [PubMed] [Google Scholar]
- 16. Koh WJ, Kwon OJ, Jeon K, Kim TS, Lee KS, Park YK, et al. Clinical significance of nontuberculous mycobacteria isolated from respiratory specimens in Korea. Chest. 2006;129: 341–348. [DOI] [PubMed] [Google Scholar]
- 17. Koh WJ, Chang B, Jeong BH, Jeon K, Kim SY, Lee NY, et al. Increasing recovery of nontuberculous mycobacteria from respiratory specimens over a 10-year period in a tertiary referral hospital in South Korea. Tuberc Respir Dis (Seoul). 2013;75: 199–204. [DOI] [PMC free article] [PubMed] [Google Scholar]
- 18. Jang MA, Koh WJ, Huh HJ, Kim SY, Jeon K, Ki CS, et al. Distribution of nontuberculous mycobacteria by multigene sequence-based typing and clinical significance of isolated strains. J Clin Microbiol. 2014;52: 1207–1212. 10.1128/JCM.03053-13 [DOI] [PMC free article] [PubMed] [Google Scholar]
- 19. Kim S, Park EM, Kwon OJ, Lee JH, Ki CS, Lee NY, et al. Direct application of the PCR restriction analysis method for identifying NTM species in AFB smear-positive respiratory specimens. Int J Tuberc Lung Dis. 2008;12: 1344–1346. [PubMed] [Google Scholar]
- 20. Wang HY, Bang H, Kim S, Koh WJ, Lee H. Identification of Mycobacterium species in direct respiratory specimens using reverse blot hybridisation assay. Int J Tuberc Lung Dis. 2014;18: 1114–1120. 10.5588/ijtld.14.0140 [DOI] [PubMed] [Google Scholar]
- 21.Clinical Laboratory Standards Institute. Susceptibility testing of mycobacteria, nocardiae, and other aerobic actinomycetes; approved standard. 2nd ed. CLSI document No. M24-A2. Wayne, PA: Clinical Laboratory Standards Institute; 2011. [PubMed]
- 22. Chung MJ, Lee KS, Koh WJ, Lee JH, Kim TS, Kwon OJ, et al. Thin-section CT findings of nontuberculous mycobacterial pulmonary diseases: comparison between Mycobacterium avium-intracellulare complex and Mycobacterium abscessus infection. J Korean Med Sci. 2005;20: 777–783. [DOI] [PMC free article] [PubMed] [Google Scholar]
- 23. Koh WJ, Jeong BH, Jeon K, Lee NY, Lee KS, Woo SY, et al. Clinical significance of the differentiation between Mycobacterium avium and Mycobacterium intracellulare in M. avium complex lung disease. Chest. 2012;142: 1482–1488. 10.1378/chest.12-0494 [DOI] [PubMed] [Google Scholar]
- 24. Shin SJ, Choi GE, Cho SN, Woo SY, Jeong BH, Jeon K, et al. Mycobacterial genotypes are associated with clinical manifestation and progression of lung disease caused by Mycobacterium abscessus and Mycobacterium massiliense . Clin Infect Dis. 2013;57: 32–39. 10.1093/cid/cit172 [DOI] [PubMed] [Google Scholar]
- 25. Braun E, Sprecher H, Davidson S, Kassis I. Epidemiology and clinical significance of non-tuberculous mycobacteria isolated from pulmonary specimens. Int J Tuberc Lung Dis. 2013;17: 96–99. 10.5588/ijtld.12.0237 [DOI] [PubMed] [Google Scholar]
- 26. Jankovic M, Samarzija M, Sabol I, Jakopovic M, Katalinic Jankovic V, Zmak L, et al. Geographical distribution and clinical relevance of non-tuberculous mycobacteria in Croatia. Int J Tuberc Lung Dis. 2013;17: 836–841. 10.5588/ijtld.12.0843 [DOI] [PubMed] [Google Scholar]
- 27. Gommans EP, Even P, Linssen CF, van Dessel H, van Haren E, de Vries GJ, et al. Risk factors for mortality in patients with pulmonary infections with non-tuberculous mycobacteria: a retrospective cohort study. Respir Med. 2015;109: 137–145. 10.1016/j.rmed.2014.10.013 [DOI] [PubMed] [Google Scholar]
- 28. Bodle EE, Cunningham JA, Della-Latta P, Schluger NW, Saiman L. Epidemiology of nontuberculous mycobacteria in patients without HIV infection, New York City. Emerg Infect Dis. 2008;14: 390–396. 10.3201/eid1403.061143 [DOI] [PMC free article] [PubMed] [Google Scholar]
- 29. van Ingen J, Bendien SA, de Lange WC, Hoefsloot W, Dekhuijzen PN, Boeree MJ, et al. Clinical relevance of non-tuberculous mycobacteria isolated in the Nijmegen-Arnhem region, The Netherlands. Thorax. 2009;64: 502–506. 10.1136/thx.2008.110957 [DOI] [PubMed] [Google Scholar]
- 30. Winthrop KL, McNelley E, Kendall B, Marshall-Olson A, Morris C, Cassidy M, et al. Pulmonary nontuberculous mycobacterial disease prevalence and clinical features: an emerging public health disease. Am J Respir Crit Care Med. 2010;182: 977–982. 10.1164/rccm.201003-0503OC [DOI] [PubMed] [Google Scholar]
- 31. Corbett EL, Blumberg L, Churchyard GJ, Moloi N, Mallory K, Clayton T, et al. Nontuberculous mycobacteria: defining disease in a prospective cohort of South African miners. Am J Respir Crit Care Med. 1999;160: 15–21. [DOI] [PubMed] [Google Scholar]
- 32. Debrunner M, Salfinger M, Brandli O, von Graevenitz A. Epidemiology and clinical significance of nontuberculous mycobacteria in patients negative for human immunodeficiency virus in Switzerland. Clin Infect Dis. 1992;15: 330–345. [DOI] [PubMed] [Google Scholar]
- 33. Davies BS, Roberts CH, Kaul S, Klein JL, Milburn HJ. Non-tuberculous slow-growing mycobacterial pulmonary infections in non-HIV-infected patients in south London. Scand J Infect Dis. 2012;44: 815–819. 10.3109/00365548.2012.694469 [DOI] [PubMed] [Google Scholar]
- 34. Fogan L. PPD antigens and the diagnosis of mycobacterial diseases. A study of atypical mycobacterial disease in Oklahoma. Arch Intern Med. 1969;124: 49–54. [PubMed] [Google Scholar]
- 35. Pang SC. Mycobacterium kansasii infections in Western Australia (1962–1987). Respir Med. 1991;85: 213–218. [DOI] [PubMed] [Google Scholar]
- 36. Thomson RM, Centre NTMwgaQTC, Queensland Mycobacterial Reference L. Changing epidemiology of pulmonary nontuberculous mycobacteria infections. Emerg Infect Dis. 2010;16: 1576–1583. 10.3201/eid1610.091201 [DOI] [PMC free article] [PubMed] [Google Scholar]
- 37. Chien JY, Lai CC, Sheng WH, Yu CJ, Hsueh PR. Pulmonary infection and colonization with nontuberculous mycobacteria, Taiwan, 2000–2012. Emerg Infect Dis. 2014;20: 1382–1385. 10.3201/eid2008.131673 [DOI] [PMC free article] [PubMed] [Google Scholar]
- 38. Matveychuk A, Fuks L, Priess R, Hahim I, Shitrit D. Clinical and radiological features of Mycobacterium kansasii and other NTM infections. Respir Med. 2012;106: 1472–1477. 10.1016/j.rmed.2012.06.023 [DOI] [PubMed] [Google Scholar]
- 39. Brown BA, Wallace RJ Jr, Onyi GO. Activities of clarithromycin against eight slowly growing species of nontuberculous mycobacteria, determined by using a broth microdilution MIC system. Antimicrob Agents Chemother. 1992;36: 1987–1990. [DOI] [PMC free article] [PubMed] [Google Scholar]
- 40. Griffith DE, Brown-Elliott BA, Wallace RJ Jr. Thrice-weekly clarithromycin-containing regimen for treatment of Mycobacterium kansasii lung disease: results of a preliminary study. Clin Infect Dis. 2003;37: 1178–1182. [DOI] [PubMed] [Google Scholar]
- 41. Taillard C, Greub G, Weber R, Pfyffer GE, Bodmer T, Zimmerli S, et al. Clinical implications of Mycobacterium kansasii species heterogeneity: Swiss National Survey. J Clin Microbiol. 2003;41: 1240–1244. [DOI] [PMC free article] [PubMed] [Google Scholar]
Associated Data
This section collects any data citations, data availability statements, or supplementary materials included in this article.
Data Availability Statement
All relevant data are within the paper.

