Abstract
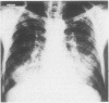
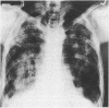
Surface coalminers are generally thought to be at minimal risk of developing pneumoconiosis. Biopsy-proved silicoproteinosis was found in a 34-year-old surface coalmine driller, and two of nine other drill crew members who worked for the same company had chest radiographic findings compatible with simple silicosis. Reanalysis of data from a previous United States Public Health Service survey of surface coalminers, after exclusion of those with underground mining experience, showed that 38% of the cases of pneumoconiosis occurred in drill crew members, a group comprising only 11% of the study population. On the basis of these data surface coalmine drillers appear to have an increased risk of developing occupational lung disease.
Full text
PDF



Images in this article
Selected References
These references are in PubMed. This may not be the complete list of references from this article.
- Buechner H. A., Ansari A. Acute silico-proteinosis. A new pathologic variant of acute silicosis in sandblasters, characterized by histologic features resembling alveolar proteinosis. Dis Chest. 1969 Apr;55(4):274–278. doi: 10.1378/chest.55.4.274. [DOI] [PubMed] [Google Scholar]
- Digeon M., Laver M., Riza J., Bach J. F. Detection of circulating immune complexes in human sera by simplified assays with polyethylene glycol. J Immunol Methods. 1977;16(2):165–183. doi: 10.1016/0022-1759(77)90051-5. [DOI] [PubMed] [Google Scholar]
- Fairman R. P., O'Brien R. J., Swecker S., Amandus H. E., Shoub E. P. Respiratory status of surface coal miners in the United States. Arch Environ Health. 1977 Sep-Oct;32(5):211–215. doi: 10.1080/00039896.1977.10667284. [DOI] [PubMed] [Google Scholar]
- Morris J. F., Koski A., Johnson L. C. Spirometric standards for healthy nonsmoking adults. Am Rev Respir Dis. 1971 Jan;103(1):57–67. doi: 10.1164/arrd.1971.103.1.57. [DOI] [PubMed] [Google Scholar]



