Abstract
Introduction
BTB and CNC homology 1 (Bach1) is a transcriptional repressor of Heme oxygenase-1 (HO-1), which is cytoprotective through its antioxidant effects. The objective of this study was to define the role of Bach1 in cartilage homeostasis and osteoarthritis (OA) development using in vitro models and Bach1-/- mice.
Methods
HO-1 expression in Bach1-/- mice was analyzed by real-time PCR, immunohistochemistry and immunoblotting. Knee joints from Bach1-/- and wild-type mice with age-related OA and surgically-induced OA were evaluated by OA scoring systems. Levels of autophagy proteins and superoxide dismutase 2 (SOD2) were determined by immunohistochemistry. The relationship between HO-1 and the protective effects for OA was determined in chondrocytes treated with small interfering RNA (siRNA) targeting HO-1 gene.
Results
HO-1 expression decreased with aging in articular cartilages and menisci of mouse knees. Bach1-/- mice showed reduced severity of age-related OA and surgically-induced OA compared with wild-type mice. Microtubule-associated protein 1 light chain 3 (LC3), autophagy marker, and SOD2 were increased in articular cartilage of Bach1-/- mice compared with wild-type mice. Interleukin-1β (IL-1β) induced a significant increase in Adamts-5 in wild-type chondrocytes but not in Bach1-/- chondrocytes. The expression of SOD2 and the suppression of apoptosis in Bach1-/- chondrocytes were mediated by HO-1.
Conclusions
Bach1 deficiency reduces the severity of OA-like changes. This may be due to maintenance of cartilage homeostasis and joint health by antioxidant effects through HO-1 and downregulation of extracellular matrix degrading enzymes. These results suggest that inactivation of Bach1 is a novel target and signaling pathway in OA prevention.
Introduction
Osteoarthritis (OA), the most prevalent aging-related joint disease, is characterized by degradation of articular cartilage and alterations in other joint tissues. The most important risk factors are aging, obesity, mechanical stress, and inflammation, and these factors impair tissue homeostasis through dysregulation of intracellular signaling mechanisms and extracellular matrix (ECM) remodeling [1, 2]. The interaction of aging-associated changes in cartilage and molecular mechanisms of OA pathogenesis remains to be elucidated. Oxidative stress has been established as an important factor as it is elevated in joint tissues including articular cartilage in aging and OA [3–5].
Increased oxidative stress results from increased reactive oxygen species (ROS) generation and from reduced antioxidants, and is accompanied by a progressive accumulation of damaged molecules and organelles, leading to activation of catabolic factors such as inflammatory cytokines and extracellular matrix (ECM)-degrading proteases [1, 2]. Antioxidant enzymes such as Heme oxygenase-1 (HO-1) and superoxide dismutase 2 (SOD2) are an important defense against ROS-mediated damage [6, 7]. HO-1 promotes iron recycling by degrading heme into ferrous iron, carbon monoxide and biliverdin, and protects cells from various stresses [6, 8]. Previous studies revealed that induction of HO-1 has beneficial effects in several diseases [9–11]. The expression of HO-1 gene (Hmox-1) is negatively regulated by BTB and CNC homology 1 (Bach1), a transcriptional repressor, which binds to Hmox-1 enhancers. Bach1 deficient mice thus have high constitutive HO-1 expression in various tissues under physiological conditions [12]. These mice have reduced disease severity in several injury models [13–15] and age-related degeneration of the meniscus [16]. However, potential beneficial effects of HO-1 in OA development have not been determined. The objectives of this study were to investigate the impact of Bach1 deficiency on two different animal models of OA, an aging model, primary OA, and a surgical model, posttraumatic OA.
Methods
Animal models of OA
Bach1-/- mice on C57BL/6 background were described previously [12]. Only male mice were used in this study. All animal experiments were performed according to protocols approved by Hiroshima University Animal care and Use Committee. Knee joints were harvested at 6 months (n = 7), 12 months (n = 11), and 22 months (n = 14) to monitor spontaneous age-related OA. Experimental OA was induced in 10 week-old, wild-type mice (n = 13) and Bach1-/- mice (n = 11) by transection of the medial meniscotibial ligament (MMTL) and the medial collateral ligament (MCL) in the right knees [17]. Mice were sacrificed 8 weeks after surgery, and the knee joints were collected for histological analysis.
Histological assessments
All knee joints were embedded intact in paraffin after fixation in 4 % Paraformaldehyde Phosphate Buffer Solution and decalcification in K-CX (FALMA, Tokyo, Japan). Knee joints sectioned (4.5 μm) in the sagittal plane through the central weight-bearing region of the medial and lateral femorotibial joint. The sections were stained with Safranin O/fast green and at least two different sections per sample were analyzed microscopically. In this study, we applied multiple separate scoring systems for articular cartilage, meniscus, synovitis, osteophyte formation and subchondral bone thickening. Osteoarthritic damage of articular cartilage was scored using a modified Mankin system [18, 19]. Meniscus degradation was evaluated using a scoring system [20] which included the following 6 criteria, meniscus integrity (0 = smooth surface, 1 = irregularity of superficial layer or slight fibrillation, 2 = moderate fibrillation, 3 = severe fraying, tear or disruption), collagen structure (0 = normal, 1 = slight disturbance, 2 = moderate disturbance, 3 = severe disturbance or mucoid substances), cellular abnormalities (0 = normal, 1 = hypercellularity, 2 = cloning tendency, 3 = hypocellularity), stainability of safranin O staining (0 = normal, 1 = slight reduction, 2 = moderate reduction, 3 = severe reduction), calcification and cyst formation (0 = normal, 1 = slight, 2 = moderate, 3 = severe). The maximum possible score per meniscus was 18. Osteophyte formation and subchondral bone thickening were scored on a scale of 0–3, where 0 = normal, 1 = mild, 2 = moderate and 3 = severe changes, and the average scores for tibia and femur were recorded. The severity of synovitis was evaluated according to a previously described histopathological classification system [21]. The parameters of synovitis included hyperplasia/enlargement of synovial lining layer, degree of inflammatory cell infiltration and activation of resident cells/synovial stroma. All parameters were graded from 0 (absent), 1 (slight), 2 (moderate) to 3 (strongly positive) and summarized ranging from 0–9, where 0–1 corresponds to no synovitis (grade = 0), 2–3 to a slight synovitis (grade 1), 4–6 to moderate synovitis (grade 2), and 7–9 to severe synovitis (grade 3).
Immunohistochemical analysis
Knee joint sections were immunostained with anti-HO-1 antibody (1:75, ab52947, Abcam, Austin, TX, USA) using Vectastain ABC-AP alkaline phosphatase (Vector Laboratories, Burlingame, CA, USA) as described previously [22]. For anti-microtubule-associated protein 1 light chain 3 (LC3) antibody (1:100, AP1801a, ABGENT, San Diego, CA, USA), anti-manganese superoxide dismutase (MnSOD) antibody (1:100, SPC-117, StressMarq, Victoria, BC, Canada), sections in Immunoactive pH 6.0 (Matsunami Glass, Osaka, Japan) were heated in a microwave oven and kept at 85 °C for 1.5 minutes. Slides were cooled for 20 minutes at room temperature after antigen unmasking. After washing with PBS, 3 % H2O2 treated for 10 minutes, sections were blocked with 10 % serum for 20 minutes at room temperature. Antibodies were applied and incubated overnight at 4 °C. After washing with PBS, sections were incubated with biotinylated secondary antibody for 30 minutes at room temperature and then incubated using the peroxidase based Elite ABC system (Vector Laboratories) for 30 minutes. Slides were washed, and sections were incubated with 3,3 -diaminobenzidine (DAB) substrate.
Isolation and culture of mouse articular chondrocytes
Primary articular chondrocytes were dissected from the femoral heads of 1-month-old Bach1-/- and wild-type mice by digestion with 0.3 % collagenase Type 2 (Worthington, Lakewood, NJ, USA) in Dulbecco’s modified Eagle’s medium (DMEM) (Wako, Osaka, Japan) for 2 h. Isolated chondrocytes were cultured in DMEM with 10 % fetal bovine serum.
Transfection of small interfering RNA into mouse articular chondrocytes
Articular chondrocytes from wild-type mice and Bach1-/- mice were seeded at 5 × 104 cells/well on a 24-well plate and were transfected with small interfering RNA (siRNA) for HO-1 using Lipofectamine RNAiMax Reagent (Invitrogen, Carlsbad, CA, USA). The sequences of the siHO-1 were: (sense) 5′- CAACAGUGGCAGUGGGAAUTT -3′ and (antisense) 5′- AUUCCCACUGCCACUGUUGTT-3′ (Hokkaido System Sciences, Hokkaido, Japan). Control siRNAs were also prepared for the control group (siRNA negative control; siNega #1, Invitrogen). At 24 h after transfection, articular chondrocytes were treated with IL-1β (1 ng/ml; PeproTech, Rocky Hill, NJ, USA) for an additional 24 h.
Quantitative real-time polymerase chain reaction (PCR)
Total RNA was extracted from chondrocytes using TRIzol Reagent (Invitrogen). Complementary DNA (cDNA) was synthesized using 500 ng of total RNA with the SuperScript VILO cDNA Synthesis Kit (Invitrogen). A real-time PCR assay was performed using TaqMan Gene Expression Assay probes (Applied Biosystems, Foster City, CA, USA) to amplify the Bach1 (Mm01344527), Hmox-1 (Mm00516005), Col2a1 (Mm01309565_m1), Acan (Mm00545807), Mmp-13 (Mm01168713), Adamts-5 (Mm01344182_m1), and Sod2 (Mm01313000_m1), and Gapdh (Mm99999915_g1) was used as the internal control to normalize the sample differences. Relative expression was calculated using the ΔΔCt values, and results were expressed as 2-ΔΔCt.
DNA microarray analysis
DNA microarray (TORAY, Tokyo, Japan, 3D-Gene, Mouse Oligo chip 24 k) analysis was performed using total RNA from chondrocytes from wild-type mice and Bach1-/- mice.
Immunoblotting assay
For immunoblotting, proteins were extracted from cultured chondrocytes using M-PERTM protein extraction reagent including protease inhibitor cocktail (Thermo Fisher Scientific, Waltham, MA, USA). Anti-HO-1 antibody (diluted 1:2000), anti-LC3 antibody (diluted 1:1000), and anti-MnSOD antibody (diluted 1:1000) were used as primary antibodies. Horseradish peroxidase (HRP)-conjugated goat anti-rabbit immunoglobulin G (IgG) antibody (sc-2030; Santa Cruz Biotechnology, Dallas, TX, USA) and anti-mouse IgG antibody (sc-2005; Santa Cruz Biotechnology) were used as secondary antibody. The signal was detected with chemiluminescence of enhanced immuno-enhancer (Wako, Osaka, Japan) using the ImageQuant LAS 4000 system (GE Healthcare, Uppsala, Sweden).
Apoptosis assay
Articular chondrocytes were seeded at 1.5 × 104 cells/well on 96-well plates and transfected with siHO-1 or siRNA negative control. Articular chondrocytes were treated with tert-butyl hydroperoxide (t-BHP) (200 uM; Wako) for 5 h at 24 h after transfection. Apoptotic chondrocytes were quantitated by counting the numbers of cell nuclei stained with Cell Event Caspase-3/7 Green Detection ReagentTM and NucBlue Live cell stain ReadyProbesTM (Invitrogen) in three random fields on each duplicate well at a magnification of × 10 under a fluorescence microscope (BZ-9000; Keyence, Osaka, Japan).
Statistical analysis
The data were analyzed using the Mann–Whitney U test, Steel or Steel–Dwass to determine statistical differences. Differences were considered statistically significant at P <0.05 (*) and P <0.01 (**).
Results
Expression of HO-1 in articular cartilage
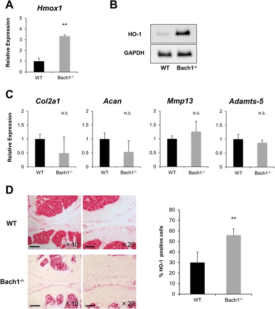
To examine the genes regulated by Bach1, DNA microarray analysis was performed on articular chondrocytes of wild-type mice and Bach1-/- mice. The results showed that expression of 34 mRNAs was increased more than three-fold in Bach1-/- articular chondrocytes, and only Hmox1 was among the top 20 differentially expressed genes and highly expressed genes in Bach1-/- chondrocytes (Table 1). The expression of HO-1 gene and protein were significantly increased in Bach1-/- chondrocytes compared with wild-type chondrocytes (Fig. 1a, b). Studies to further evaluate the phenotype of Bach1-/-articular chondrocytes from 1-month-old mice observed a decrease in Col2a1 and Acan with a simultaneous increase in Mmp-13. However, these differences were not significantly different between Bach1-/- and wild-type chondrocytes (Fig. 1c), and articular cartilages from Bach1-/- mice at 1 month of age did not have reduced Safranin O staining (data not shown). Furthermore, we evaluated the expression of HO-1 in knee joints from 22-month-old mice. Articular cartilage and meniscus in Bach1-/- mice had significantly more HO-1 positive cells than wild-type mice (Fig. 1d).
Table 1.
Gene expression in chondrocytes from Bach1-/- mice
| Top 20 | Symbol | Ratio (Bach1-/- : wild) | Top 20 | Symbol | Normalized expression level |
|---|---|---|---|---|---|
| 1 | LOC635992 | 5.82 | 1 | Fth1 | 23704 |
| 2 | Mllt3 | 5.79 | 2 | Ftl2 | 21177 |
| 3 | 4930481F22Rik | 4.69 | 3 | mt-Nd1 | 18945 |
| 4 | Unknown | 4.31 | 4 | Fn1 | 18837 |
| 5 | Tnfrsf26 | 4.29 | 5 | unknown | 18423 |
| 6 | Nlrp4d | 4.19 | 6 | Rps3a | 18007 |
| 7 | Ly9 | 4.06 | 7 | Ubb | 17696 |
| 8 | V1re10 | 4.01 | 8 | Vim | 17167 |
| 9 | V1rh21 | 3.64 | 9 | unknown | 17069 |
| 10 | Hmox1 | 3.63 | 10 | Rpl35 | 16832 |
| 11 | Lefty2 | 3.6 | 11 | Gapdh | 16831 |
| 12 | Cdkl3 | 3.58 | 12 | Col2a1 | 16623 |
| 13 | Unknown | 3.55 | 13 | Ubb | 16615 |
| 14 | 4933407L21Rik | 3.52 | 14 | unknown | 16589 |
| 15 | Arhgap4 | 3.5 | 15 | Hmox1 | 16534 |
| 16 | Serpina1f | 3.43 | 16 | EG432768 | 16487 |
| 17 | Xmr | 3.38 | 17 | Tpt1 | 16335 |
| 18 | Gldn | 3.35 | 18 | Ftl1 | 15922 |
| 19 | Ckt2 | 3.35 | 19 | Rpl32 | 15662 |
| 20 | Hmgb1l | 3.34 | 20 | Ppia | 15642 |
Total RNA was isolated from articular chondrocytes in wild-type and Bach1-/- mice. Left side: top 20 of differentially expressed genes are shown as the ratio of chondrocytes in Bach1-/- mice to chondrocytes in wild-type mice. Right side: the 20 genes of the highest expression level in chondrocytes from Bach1-/- mice
Fig. 1.

Expression of heme oxygenase-1 (HO-1) in articular cartilages from wild-type (WT) mice and Bach1-/- mice. Primary articular chondrocytes were isolated from mouse femoral head cartilage (n = 4 per group) at the age of 1 month. a Real-time PCR assay for Hmox1. b Western blot analysis of HO-1 protein (n = 4). c Evaluation of the phenotype of articular chondrocytes in Bach1-/- mice. Expression of cartilage-associated genes was determined by real-time PCR assay (n = 4 per group). d Comparison of HO-1 expression in articular cartilage from 22-month-old wild-type mice and Bach1-/- mice (n = 4 per group). Knee joints were assessed by immunohistochemistry using anti-HO-1 antibody. Original magnification × 10 (left; scale bars 200 μm, and × 20 (right; scale bars 100 μm). Values in a, c and d were expressed as means ± SD. Statistical analysis was performed with the Mann–Whitney U test; **P <0.01
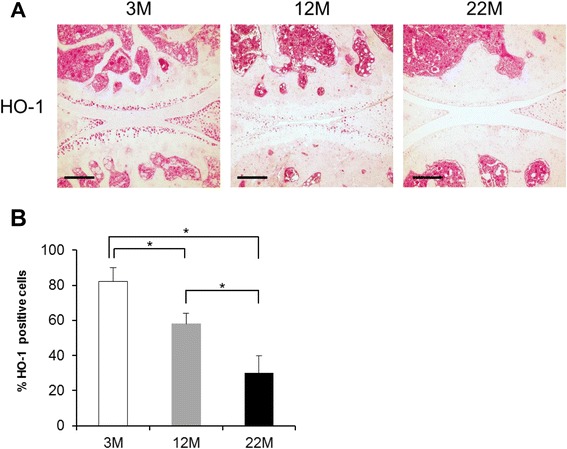
Expression of HO-1 in articular cartilage with aging
To examine aging-related changes in HO-1 expression in mouse knee joints, we performed immunohistochemical analysis. HO-1 was expressed in chondrocytes in the articular cartilage and the menisci in knee joints from wild-type mice at 3 months of age (Fig. 2a). By 12 months of age, HO-1 expression was substantially reduced to only a subset of cells in the superficial zone of cartilage (Fig. 2a). In 22-month-old mice that did not have structural cartilage defects, HO-1 staining in articular cartilage was no longer detectable, with the exception of a few cells at the joint margin (Fig. 2a). Thus, there is a significant reduction in HO-1 positive cells with aging in the articular cartilages (Fig. 2b).
Fig. 2.

Expression of heme oxygenase-1 (HO-1) in knee joints in aging and osteoarthritis (OA). a Knee joints from 3-month- (3 M), 12-month (12 M) and 22-month (22 M)-old wild-type mice (n = 3–4 per group) were collected and the sections were assessed by immunohistochemistry. Original magnification × 10; scale bars 200 μm. b Values are expressed as means ± SD. Statistical analysis was performed with the Steel–Dwass test; *P <0.05
Reduced severity of osteoarthritis in Bach1-/- mice
Skeletal development in Bach1-/- mice was normal. There were no differences in overall joint architecture or changes in the articular cartilage and growth plate. The body weight of Bach1-/- mice was not significantly different at 4 and 10 weeks, however, at 22 months it was significantly lower than in wild-type mice (Fig. 3a). To examine whether Bach1 affected age-related OA development, spontaneous osteoarthritic changes in the knee joints from Bach1-/- and wild-type mice were evaluated at 6, 12 and 22 months of age. From 1 to 6 months of age, both strains of mice had intact articular cartilage and similar proteoglycan staining (data not shown). At 12 months of age, wild-type mice had a reduction in proteoglycan. OA severity in wild-type mice at 22 months of age ranged from minimal changes to cartilage fibrillation or partial and full-thickness defects with exposure of subchondral bone. These changes were significantly less severe in Bach1-/- mice (Fig. 3b). Wild-type mice also exhibited meniscus degradation, inflammatory changes in synovium, osteophyte formation and subchondral bone thickening. Semiquantitative scoring systems also indicated a significant decrease in the severity of OA-like changes in all joint tissues in Bach1-/- mice at 22 months of age compared with the wild-type mice (Fig. 3c). Next, we used the surgical OA model with transection of MMTL and MCL in 10-week-old mice. Consistent with observations in the aging OA model, the surgical OA model demonstrated significantly reduced articular cartilage scores in Bach1-/- mice (Fig. 3d). Although the severity of meniscus degradation was accelerated by transection of the MMTL, meniscus degradation was significantly different between the wild-type and Bach1-/- mice. However, inflammatory changes in synovium were not significantly different (Fig. 3e).
Fig. 3.

Bach1-/- mice have reduced severity of osteoarthritis (OA) in an aging model and a surgical OA model. a Body weight of wild-type mice and Bach1-/- mice at 4 (4 W) and 10 weeks (10 W) and 22 months (22 M) (n = 5–9 animals per time point). b Histological assessment using modified Mankin scoring system of spontaneous cartilage degeneration exacerbated with aging in wild-type mice and Bach1-/- mice. Photographs of a knee from a representative mouse at 22 months old, from each group are also shown. Original magnification × 10; scale bars 200 μm. c Analyses of OA pathology using the semiquantitative scoring system in mice at 22 months old, including synovitis, osteophyte formation, subchondral bone thickening and meniscus degradation. Original magnification × 20; scale bars 100 μm. d Analyses of cartilage pathology in a surgically induced OA model. Original magnification × 20; scale bars 100 μm. e Analyses of OA pathology in a surgically induced OA model, including synovitis, osteophyte formation, subchondral bone thickening and meniscus degradation. Original magnification × 20; scale bars 100 μm. Values are the mean ± SD. Statistical analysis was performed with the Mann–Whitney U test; *P <0.05, **P <0.01 versus wild-type mice
SOD2 and LC3 expression in articular cartilage of aged mice
SOD2 and autophagy are essential cellular homeostasis mechanisms and protect against aging-related diseases [23]. To determine whether the increase in HO-1-positive cells in articular cartilage was associated with changes in SOD2 expression and autophagy, the expression of SOD2 and LC3, a main marker of autophagy, was characterized by immunohistochemistry. At 12 and 22 months of age, Bach1-/- mice showed significantly increased numbers of SOD2- and LC3-positive chondrocytes compared with wild-type mice (Fig. 4a). Bach1-/- mice also showed increased numbers of SOD2- and LC3-positive cells as compared to wild-type mice in the surgical OA model (Fig. 4b). These results suggest that articular cartilage in Bach1-/- mice maintained not only HO-1 but also expression of SOD2 and the autophagy marker LC3 in the surgical and the aging-related OA model.
Fig. 4.

Expression of microtubule-associated protein 1 light chain 3 (LC3) and superoxide dismutase 2 (SOD2) in articular cartilage. Knee joints from wild-type (WT) mice and Bach1-/- mice were analyzed by immunohistochemistry for LC3 and SOD2. Total number of LC3- and SOD2-positive cells in six fields were counted and the percentage of positive cells was calculated. a Representative immunostaining of articular cartilage from 12-month- (12 M) and 22 month (22 M)-old mice (aging model) (n = 4 per group). b Representative immunostaining of articular cartilage from a surgically induced osteoarthritis (OA) model (n = 4 per group). Original magnification × 20; scale bars 100 μm. Values are the mean ± SD. Statistical analysis was performed with the Mann–Whitney U test; *P <0.05, **P <0.01 versus wild-type mice
The role of HO-1 and Bach1 in SOD2 and LC3 expression in mouse chondrocytes
The expression of both SOD2 and LC3 increased during aging in articular cartilage of Bach1-/- mice compared with wild-type mice, similar to HO-1 (Fig. 4). Thus, to elucidate the relation between Bach1, HO-1 and SOD2, LC3, articular chondrocytes from wild-type and Bach1-/- mice were treated with siHO-1 or negative control siRNA. Expression SOD2 was significantly greater in chondrocytes from Bach1-/- mice at 1 month of age (Fig. 5a). Furthermore, the increased SOD2 expression in Bach1-/- mice was reduced by HO-1 knockdown (Fig. 5a). LC3 expression was not significantly different between wild-type and Bach1-/- chondrocytes with or without siHO-1 (data not shown). We also examined key enzymes in OA cartilage degradation, Mmp-13 and Adamts-5 in IL-1β-treated Bach1-/- chondrocytes. IL-1β induced a significant increase in Adamts-5 in wild-type chondrocytes but not in Bach1-/- chondrocytes. There were trends towards increased Mmp-13 in IL-1β-treated wild-type chondrocytes but not in Bach1-/- chondrocytes. Furthermore, their expression was not directly regulated by HO-1 because the knockdown of HO-1 did not significantly affect expression of these genes (Fig. 5b). Bach1-/-mouse chondrocytes had significantly decreased numbers of caspase-3/7-positive cells following treatment with the oxidant t-BHP. Compared with wild-type mice, the number of positive cells was significantly increased in chondrocytes treated with siHO-1 (Fig. 5c). These results suggest that upregulated SOD2 and the suppression of apoptosis in Bach1-/- chondrocytes were mediated by HO-1.
Fig. 5.

The involvement of heme oxygenase-1 (HO-1) in changes observed in Bach1-/- articular chondrocytes. Small interfering HO-1 (siHO-1) or control siRNA (10 uM) was transfected into chondrocytes from wild-type (WT) and Bach1-/- mice at 1 month of age (n = 4 per group). a The expression of superoxide dismutase 2 (SOD2) protein was detected by immunoblot analysis. Values are the mean ± SD. Statistical analysis was performed with the Steel–Dwass test; *P <0.05 versus wild-type chondrocytes. b The expression of Mmp-13 and Adamts-5 in Bach1-/- chondrocytes with IL-1β (1 ng/ml) for 24 h. Values are the mean ± SD. Statistical analysis was performed with the Steel test; *P <0.05 versus wild-type chondrocytes (-IL); # P <0.05 versus Bach1-/- chondrocytes (-IL). c Caspase-3/7 was detected in wild-type and Bach1-/- mouse chondrocytes with or without the oxidant tert-butyl hydroperoxide (t-BHP) (200 uM) for 5 h. Values are the mean ± SD. Statistical analysis was performed with the Steel–Dwass test; *P <0.05, **P <0.01 versus wild-type chondrocytes with t-BHP; ## P <0.01 versus Bach1-/- chondrocytes treated with t-BHP. GAPDH glyceraldehyde–3–phosphate dehydrogenase
Discussion
In aging and OA, oxidative stress is elevated in joint tissues including cartilage [4]. The antioxidant enzyme HO-1 mediates general adaptive responses and provides enhanced resistance to various stresses. HO-1 is negatively regulated by Bach1, a transcriptional repressor. Bach1 is induced by transforming growth factor β (TGF-β), and is inactivated by oxidative stress, binding of heme, and oxidation of cysteine residue [12, 24–26]. HO-1 was markedly decreased in articular cartilage with aging in wild-type mice. These results suggest that maintenance of HO-1 expression has potential to protect against OA development and aging.
In the present study, Bach1-/- mice exhibited highly increased HO-1 expression even in articular cartilage of aged mice and reduced severity of age-related OA-like changes. However, Bach1 deficiency and accompanying overexpression of HO-1 did not influence aging and life span [27]. Inflammation and obesity generally increase with aging. Our study showed that weight of Bach1-/- mice were lower than wild-type mice at 22 months old. Thus, although the decreased weight of aged Bach1-/- mice may contribute to joint health through metabolic changes, the level of proinflammatory cytokines in serum was not significant different between wild-type mice and Bach1-/- mice at 22 months old (data not shown). Previously, it was reported that inflammatory diseases are less severe in Bach1-/- mice, in part through increased HO-1 in macrophages [28]. In a similar fashion, bone destruction is attenuated in Bach1-deficient mice via altered osteoclastogenesis [29]. The induction of HO-1 also results in protective effects against inflammatory and degradative responses in OA chondrocytes and OA synoviocytes [30–32]. Thus, the reduced severity of OA-like changes in Bach1-/- mice might occur through suppression of inflammation by higher constitutively expressed HO-1 in various cells, including chondrocytes. In aged mice and the surgical OA model, however, the level of proinflammatory cytokines in serum was not significantly different between wild-type mice and Bach1-/- mice. In addition, the level of proinflammatory cytokines in serum from Bach1-/-mice was increased post-surgically compared with pre-surgical levels in the same mice (data not shown). Thus, in spite of increased proinflammatory cytokines in Bach1-/- mice with surgical OA, the OA-like changes were attenuated, indicating that the reduction of OA-like changes in Bach1-/- mice may be not only due to the anti-inflammatory effect of HO-1 upregulation.
SOD2 and autophagy also are key mediators of aging-related diseases and prevent the accumulation of defective mitochondria that produce high levels of ROS in chondrocytes [23]. SOD2 is the main antioxidant enzyme that scavenges superoxide anions in the inner mitochondrial matrix [33]. Autophagy has important anti-aging functions and reduces aging-associated cell death, dysfunction, and disease [34]. Recently, it was reported that SOD2 is reduced during OA development and in aging [5, 35], and autophagy decreased in articular cartilage of human OA, aging-related and surgically-induced OA in mice [36]. Autophagy is involved in maintenance of articular cartilage homeostasis, and reduces severity in mouse OA models [22, 37]. In the present study, Bach1-/- mice maintained the expression of SOD2 and LC3 in articular cartilage, as well as HO-1. Although the upregulated LC3 expression in Bach1-/- mice was not significantly reduced by HO-1 knockdown, SOD2 was regulated by HO-1. Chondrocyte-specific deletion of SOD2 in human cells and mice accelerates OA-like changes accompanied by oxidative damage and mitochondrial dysfunction [38]. Thus, maintenance of SOD2 in chondrocytes also may be important for OA prevention. While increased Mmp-13, Adamts-5 and apoptosis, key OA-related factors, were suppressed in Bach1-/- mouse chondrocytes under stress, only apoptosis was significantly regulated by HO-1. Our findings indicate that the protective effects against OA development in Bach1-/- mice appear to be antioxidant activity and cytoprotective effects through HO-1 in chondrocytes and downregulation of ECM-degrading enzymes. Thereby, Bach1 deficiency coordinates maintenance of cartilage homeostasis and joint health.
Our observations suggest that inducers of HO-1 may be effective therapeutic agents for OA prevention. Local gene delivery of HO-1 into the mouse knee joint results in transduction of the joint tissues such as synovium, except for cartilage, however, it does not reduce OA-like changes [39]. This result suggests that the expression of HO-1 in cartilage is important for the protection and the treatment of OA. Thus, the pharmacological inhibition of Bach1 and induction of HO-1 in cartilage might have potential in the prevention or treatment of OA.
Conclusions
Bach1-/- mice have reduced severity of OA in aging and surgical models and this is at least in part mediated through regulation of HO-1, ECM degrading enzymes and chondrocyte viability. These findings suggest that approaches to reduce Bach1 expression have potential as a novel therapeutic approach.
Acknowledgements
This research was supported by MEXT/JPS KAKENHI Grant-in-Aid for Scientific Research (A) Grant Number 21249079 (MO), Young Scientists (A) Grant Number 24689057 (SM), Challenging Exploratory Research Grant Number 25670651 (SM), Kanae Foundation (SM), Fujii Setsuro Memorial Foundation (TT, SM) and NIH grant AG007996 (ML). We thank T Miyata, L Creighton and Y Yoshida for excellent technical support.
Abbreviations
- Acan
aggrecan
- Adamts-5
a disintegrin and metalloproteinase with thrombospondin motifs-5
- Bach1
BTB and CNC homology 1
- cDNA
complementary DNA
- Col2a1
collagen type II alpha 1
- DMEM
Dulbecco’s modified Eagle’s medium
- ECM
extracellular matrix
- HO-1
heme oxygenase-1
- GAPDH
glyceraldehyde–3–phosphate dehydrogenase
- HRP
horseradish peroxidase
- IgG
immunoglobulin G
- IL-1β
Interleukin-1β
- LC3
microtubule-associated protein 1 light chain 3
- MCL
medial collateral ligament
- Mmp13
matrix metalloproteinase 13
- MMTL
medial meniscotibial ligament
- MnSOD
manganese superoxide dismutase
- OA
osteoarthritis
- PBS
phosphate-buffered saline
- PCR
polymerase chain reaction
- ROS
reactive oxygen species
- siRNA
small interfering RNA
- SOD2
superoxide dismutase 2
- t-BHP
tert-butyl hydroperoxide
Footnotes
Competing interests
The authors declare that they have no competing interests.
Authors’ contributions
TT conceived of the study, carried out the experimental work using mice, the histological assessment and the statistical analysis, drafted the manuscript and revised the manuscript. SM participated in its design and coordination, interpreted the data, drafted the manuscript and revised the manuscript. HI carried out the gene expression assay, the immunoassays and the apoptosis assay, and helped to revise the manuscript. YH and TN carried out the immunoassays and participated in histological assessment, and helped to revise the manuscript. KI provided Bach1-deficient mice and information about the mouse, and helped to draft the manuscript. MKL interpreted the data, helped to draft the manuscript and revised the manuscript. MO participated in its design, coordination and interpretation of the data, and contributed to drafting and revising the manuscript. All authors made substantive intellectual contributions to the study and read and approved the final manuscript.
Contributor Information
Tsuyoshi Takada, Phone: +81-82-257-5233, Email: ttakada65@gmail.com.
Shigeru Miyaki, Email: miyaki@hiroshima-u.ac.jp.
Hiroyuki Ishitobi, Email: tobikowa@gmail.com.
Yuya Hirai, Email: b091644@hiroshima-u.ac.jp.
Tomoyuki Nakasa, Email: tnakasa0@gmail.com.
Kazuhiko Igarashi, Email: igarak@m.tains.tohoku.ac.jp.
Martin K. Lotz, Email: mlotz@scripps.edu
Mitsuo Ochi, Email: ochim@hiroshima-u.ac.jp.
References
- 1.Lotz MK, Carames B. Autophagy and cartilage homeostasis mechanisms in joint health, aging and OA. Nat Rev Rheumatol. 2011;7:579–87. doi: 10.1038/nrrheum.2011.109. [DOI] [PMC free article] [PubMed] [Google Scholar]
- 2.Miyaki S, Asahara H. Macro view of microRNA function in osteoarthritis. Nat Rev Rheumatol. 2012;8:543–52. doi: 10.1038/nrrheum.2012.128. [DOI] [PMC free article] [PubMed] [Google Scholar]
- 3.Carlo MD, Jr, Loeser RF. Increased oxidative stress with aging reduces chondrocyte survival: correlation with intracellular glutathione levels. Arthritis Rheum. 2003;48:3419–30. doi: 10.1002/art.11338. [DOI] [PubMed] [Google Scholar]
- 4.Loeser RF, Carlson CS, Del Carlo M, Cole A. Detection of nitrotyrosine in aging and osteoarthritic cartilage: Correlation of oxidative damage with the presence of interleukin-1beta and with chondrocyte resistance to insulin-like growth factor 1. Arthritis Rheum. 2002;46:2349–57. doi: 10.1002/art.10496. [DOI] [PubMed] [Google Scholar]
- 5.Scott JL, Gabrielides C, Davidson RK, Swingler TE, Clark IM, Wallis GA, et al. Superoxide dismutase downregulation in osteoarthritis progression and end-stage disease. Ann Rheum Dis. 2010;69:1502–10. doi: 10.1136/ard.2009.119966. [DOI] [PMC free article] [PubMed] [Google Scholar]
- 6.Son Y, Lee JH, Chung HT, Pae HO. Therapeutic roles of heme oxygenase-1 in metabolic diseases: curcumin and resveratrol analogues as possible inducers of heme oxygenase-1. Oxid Med Cell Longev. 2013;2013:639541. doi: 10.1155/2013/639541. [DOI] [PMC free article] [PubMed] [Google Scholar]
- 7.Miriyala S, Holley AK, St Clair DK. Mitochondrial superoxide dismutase--signals of distinction. Anticancer Agents Med Chem. 2011;11:181–90. doi: 10.2174/187152011795255920. [DOI] [PMC free article] [PubMed] [Google Scholar]
- 8.Morse D, Choi AM. Heme oxygenase-1: the “emerging molecule” has arrived. Am J Respir Cell Mol Biol. 2002;27:8–16. doi: 10.1165/ajrcmb.27.1.4862. [DOI] [PubMed] [Google Scholar]
- 9.Benallaoua M, Francois M, Batteux F, Thelier N, Shyy JY, Fitting C, et al. Pharmacologic induction of heme oxygenase 1 reduces acute inflammatory arthritis in mice. Arthritis Rheum. 2007;56:2585–94. doi: 10.1002/art.22749. [DOI] [PubMed] [Google Scholar]
- 10.Brines R, Maicas N, Ferrandiz ML, Loboda A, Jozkowicz A, Dulak J, et al. Heme oxygenase-1 regulates the progression of K/BxN serum transfer arthritis. PLoS One. 2012;7 doi: 10.1371/journal.pone.0052435. [DOI] [PMC free article] [PubMed] [Google Scholar]
- 11.Devesa I, Ferrandiz ML, Terencio MC, Joosten LA, van den Berg WB, Alcaraz MJ. Influence of heme oxygenase 1 modulation on the progression of murine collagen-induced arthritis. Arthritis Rheum. 2005;52:3230–8. doi: 10.1002/art.21356. [DOI] [PubMed] [Google Scholar]
- 12.Sun J, Hoshino H, Takaku K, Nakajima O, Muto A, Suzuki H, et al. Hemoprotein Bach1 regulates enhancer availability of heme oxygenase-1 gene. EMBO J. 2002;21:5216–24. doi: 10.1093/emboj/cdf516. [DOI] [PMC free article] [PubMed] [Google Scholar]
- 13.Ohta R, Tanaka N, Nakanishi K, Kamei N, Nakamae T, Izumi B, et al. Heme oxygenase-1 modulates degeneration of the intervertebral disc after puncture in Bach 1 deficient mice. Eur Spine J. 2012;21:1748–57. doi: 10.1007/s00586-012-2442-5. [DOI] [PMC free article] [PubMed] [Google Scholar]
- 14.Omura S, Suzuki H, Toyofuku M, Ozono R, Kohno N, Igarashi K. Effects of genetic ablation of bach1 upon smooth muscle cell proliferation and atherosclerosis after cuff injury. Genes Cells. 2005;10:277–85. doi: 10.1111/j.1365-2443.2005.00832.x. [DOI] [PubMed] [Google Scholar]
- 15.Yamada K, Tanaka N, Nakanishi K, Kamei N, Ishikawa M, Mizuno T, et al. Modulation of the secondary injury process after spinal cord injury in Bach1-deficient mice by heme oxygenase-1. J Neurosurg Spine. 2008;9:611–20. doi: 10.3171/SPI.2008.10.08488. [DOI] [PubMed] [Google Scholar]
- 16.Ochiai S, Mizuno T, Deie M, Igarashi K, Hamada Y, Ochi M. Oxidative stress reaction in the meniscus of Bach 1 deficient mice: potential prevention of meniscal degeneration. J Orthop Res. 2008;26:894–8. doi: 10.1002/jor.20579. [DOI] [PubMed] [Google Scholar]
- 17.Kamekura S, Hoshi K, Shimoaka T, Chung U, Chikuda H, Yamada T, et al. Osteoarthritis development in novel experimental mouse models induced by knee joint instability. Osteoarthritis Cartilage. 2005;13:632–41. doi: 10.1016/j.joca.2005.03.004. [DOI] [PubMed] [Google Scholar]
- 18.Kuroki H, Nakagawa Y, Mori K, Ohba M, Suzuki T, Mizuno Y, et al. Acoustic stiffness and change in plug cartilage over time after autologous osteochondral grafting: correlation between ultrasound signal intensity and histological score in a rabbit model. Arthritis Res Ther. 2004;6:R492–504. doi: 10.1186/ar1219. [DOI] [PMC free article] [PubMed] [Google Scholar]
- 19.Mankin HJ, Dorfman H, Lippiello L, Zarins A. Biochemical and metabolic abnormalities in articular cartilage from osteo-arthritic human hips. II. Correlation of morphology with biochemical and metabolic data. J Bone Joint Surg Am. 1971;53:523–37. [PubMed] [Google Scholar]
- 20.Pauli C, Grogan SP, Patil S, Otsuki S, Hasegawa A, Koziol J, et al. Macroscopic and histopathologic analysis of human knee menisci in aging and osteoarthritis. Osteoarthritis Cartilage. 2011;19:1132–41. doi: 10.1016/j.joca.2011.05.008. [DOI] [PMC free article] [PubMed] [Google Scholar]
- 21.Krenn V, Morawietz L, Haupl T, Neidel J, Petersen I, Konig A. Grading of chronic synovitis – a histopathological grading system for molecular and diagnostic pathology. Pathol Res Pract. 2002;198:317–25. doi: 10.1078/0344-0338-5710261. [DOI] [PubMed] [Google Scholar]
- 22.Carames B, Hasegawa A, Taniguchi N, Miyaki S, Blanco FJ, Lotz M. Autophagy activation by rapamycin reduces severity of experimental osteoarthritis. Ann Rheum Dis. 2012;71:575–81. doi: 10.1136/annrheumdis-2011-200557. [DOI] [PMC free article] [PubMed] [Google Scholar]
- 23.Sasaki H, Takayama K, Matsushita T, Ishida K, Kubo S, Matsumoto T, et al. Autophagy modulates osteoarthritis-related gene expression in human chondrocytes. Arthritis Rheum. 2012;64:1920–8. doi: 10.1002/art.34323. [DOI] [PubMed] [Google Scholar]
- 24.Dohi Y, Ikura T, Hoshikawa Y, Katoh Y, Ota K, Nakanome A, et al. Bach1 inhibits oxidative stress-induced cellular senescence by impeding p53 function on chromatin. Nat Struct Mol Biol. 2008;15:1246–54. doi: 10.1038/nsmb.1516. [DOI] [PubMed] [Google Scholar]
- 25.Okita Y, Kamoshida A, Suzuki H, Itoh K, Motohashi H, Igarashi K, et al. Transforming growth factor-beta induces transcription factors MafK and Bach1 to suppress expression of the heme oxygenase-1 gene. J Biol Chem. 2013;288:20658–67. doi: 10.1074/jbc.M113.450478. [DOI] [PMC free article] [PubMed] [Google Scholar]
- 26.Ishikawa M, Numazawa S, Yoshida T. Redox regulation of the transcriptional repressor Bach1. Free Radic Biol Med. 2005;38:1344–52. doi: 10.1016/j.freeradbiomed.2005.01.021. [DOI] [PubMed] [Google Scholar]
- 27.Ota K, Brydun A, Itoh-Nakadai A, Sun J, Igarashi K. Bach1 deficiency and accompanying overexpression of heme oxygenase-1 do not influence aging or tumorigenesis in mice. Oxid Med Cell Longev. 2014;2014:757901. doi: 10.1155/2014/757901. [DOI] [PMC free article] [PubMed] [Google Scholar]
- 28.Harusato A, Naito Y, Takagi T, Uchiyama K, Mizushima K, Hirai Y, et al. BTB and CNC homolog 1 (Bach1) deficiency ameliorates TNBS colitis in mice: role of M2 macrophages and heme oxygenase-1. Inflamm Bowel Dis. 2013;19:740–53. doi: 10.1097/MIB.0b013e3182802968. [DOI] [PubMed] [Google Scholar]
- 29.Hama M, Kirino Y, Takeno M, Takase K, Miyazaki T, Yoshimi R, et al. Bach1 regulates osteoclastogenesis in a mouse model via both heme oxygenase 1-dependent and heme oxygenase 1-independent pathways. Arthritis Rheum. 2012;64:1518–28. doi: 10.1002/art.33497. [DOI] [PubMed] [Google Scholar]
- 30.Garcia-Arnandis I, Guillen MI, Castejon MA, Gomar F, Alcaraz MJ. Haem oxygenase-1 down-regulates high mobility group box 1 and matrix metalloproteinases in osteoarthritic synoviocytes. Rheumatology (Oxford) 2010;49:854–61. doi: 10.1093/rheumatology/kep463. [DOI] [PubMed] [Google Scholar]
- 31.Guillen M, Megias J, Gomar F, Alcaraz M. Haem oxygenase-1 regulates catabolic and anabolic processes in osteoarthritic chondrocytes. J Pathol. 2008;214:515–22. doi: 10.1002/path.2313. [DOI] [PubMed] [Google Scholar]
- 32.Megias J, Guillen MI, Clerigues V, Rojo AI, Cuadrado A, Castejon MA, et al. Heme oxygenase-1 induction modulates microsomal prostaglandin E synthase-1 expression and prostaglandin E(2) production in osteoarthritic chondrocytes. Biochem Pharmacol. 2009;77:1806–13. doi: 10.1016/j.bcp.2009.03.009. [DOI] [PubMed] [Google Scholar]
- 33.El Assar M, Angulo J, Rodriguez-Manas L. Oxidative stress and vascular inflammation in aging. Free Radic Biol Med. 2013;65:380–401. doi: 10.1016/j.freeradbiomed.2013.07.003. [DOI] [PubMed] [Google Scholar]
- 34.Mizushima N, Komatsu M. Autophagy: renovation of cells and tissues. Cell. 2011;147:728–41. doi: 10.1016/j.cell.2011.10.026. [DOI] [PubMed] [Google Scholar]
- 35.Ruiz-Romero C, Calamia V, Mateos J, Carreira V, Martinez-Gomariz M, Fernandez M, et al. Mitochondrial dysregulation of osteoarthritic human articular chondrocytes analyzed by proteomics: a decrease in mitochondrial superoxide dismutase points to a redox imbalance. Mol Cell Proteomics. 2009;8:172–89. doi: 10.1074/mcp.M800292-MCP200. [DOI] [PMC free article] [PubMed] [Google Scholar]
- 36.Carames B, Taniguchi N, Otsuki S, Blanco FJ, Lotz M. Autophagy is a protective mechanism in normal cartilage, and its aging-related loss is linked with cell death and osteoarthritis. Arthritis Rheum. 2010;62:791–801. doi: 10.1002/art.27305. [DOI] [PMC free article] [PubMed] [Google Scholar]
- 37.Zhang Y, Vasheghani F, Li YH, Blati M, Simeone K, Fahmi H, et al. Cartilage-specific deletion of mTOR upregulates autophagy and protects mice from osteoarthritis. Ann Rheum Dis. 2015;74:1432–40. doi: 10.1136/annrheumdis-2013-204599. [DOI] [PubMed] [Google Scholar]
- 38.Gavriilidis C, Miwa S, von Zglinicki T, Taylor RW, Young DA. Mitochondrial dysfunction in osteoarthritis is associated with down-regulation of superoxide dismutase 2. Arthritis Rheum. 2013;65:378–87. doi: 10.1002/art.37782. [DOI] [PubMed] [Google Scholar]
- 39.Koike M, Nojiri H, Ozawa Y, Watanabe K, Muramatsu Y, Kaneko H, et al. Mechanical overloading causes mitochondrial superoxide and SOD2 imbalance in chondrocytes resulting in cartilage degeneration. Sci Rep. 2015;5:11722. doi: 10.1038/srep11722. [DOI] [PMC free article] [PubMed] [Google Scholar]
