Abstract
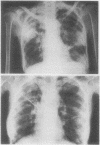
The first reported case of pulmonary infection with Nocardia caviae in Britain occurred in a 67 year old woman, in whom diabetes mellitus and liver cirrhosis probably contributed to impaired cell mediated immunity. She was successfully treated with gentamicin 60 mg eight hourly and sulphadimidine 500 mg six hourly for six months and then with sulphadimidine 2 g/day for a further three months. When Nocardia caviae is isolated from the sputum of a patient with chronic respiratory infection and fever, effective treatment should be started promptly.
Full text
PDF

Images in this article
Selected References
These references are in PubMed. This may not be the complete list of references from this article.
- Anast C. S., Winnacker J. L., Forte L. R., Burns T. W. Impaired release of parathyroid hormone in magnesium deficiency. J Clin Endocrinol Metab. 1976 Apr;42(4):707–717. doi: 10.1210/jcem-42-4-707. [DOI] [PubMed] [Google Scholar]
- Arroyo J. C., Nichols S., Carroll G. F. Disseminated Nocardia caviae infection. Am J Med. 1977 Mar;62(3):409–412. doi: 10.1016/0002-9343(77)90839-7. [DOI] [PubMed] [Google Scholar]
- Bar R. S., Wilson H. E., Mazzaferri E. L. Hypomagnesemic hypocalcemia secondary to renal magnesium wasting. Ann Intern Med. 1975 May;82(5):646–649. doi: 10.7326/0003-4819-82-5-646. [DOI] [PubMed] [Google Scholar]
- Feigin D. S. Nocardiosis of the lung: chest radiographic findings in 21 cases. Radiology. 1986 Apr;159(1):9–14. doi: 10.1148/radiology.159.1.3952335. [DOI] [PubMed] [Google Scholar]
- Palmer D. L., Harvey R. L., Wheeler J. K. Diagnostic and therapeutic considerations in Nocardia asteroides infection. Medicine (Baltimore) 1974 Sep;53(5):391–401. doi: 10.1097/00005792-197409000-00005. [DOI] [PubMed] [Google Scholar]
- Thomas H. C. The immune response in hepatic cirrhosis: animal and human studies. Proc R Soc Med. 1977 Aug;70(8):521–525. doi: 10.1177/003591577707000803. [DOI] [PMC free article] [PubMed] [Google Scholar]
- WEINSTEIN L., BOYER N. H., GOLDFIELD M. Rheumatic heart disease in scarlet-fever patients treated with penicillin; a follow-up study after seven years. N Engl J Med. 1955 Jul 7;253(1):1–7. doi: 10.1056/NEJM195507072530101. [DOI] [PubMed] [Google Scholar]
- Wallace R. J., Jr, Septimus E. J., Williams T. W., Jr, Conklin R. H., Satterwhite T. K., Bushby M. B., Hollowell D. C. Use of trimethoprim-sulfamethoxazole for treatment of infections due to Nocardia. Rev Infect Dis. 1982 Mar-Apr;4(2):315–325. doi: 10.1093/clinids/4.2.315. [DOI] [PubMed] [Google Scholar]

