Abstract
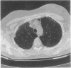
A pneumomediastinum occurred after a transbronchial biopsy in a woman with pulmonary fibrosis and was confirmed by computed tomography. Although pneumomediastinum has a pathogenesis similar to that of pneumothorax it has not been reported after transbronchial biopsy.
Full text
PDF

Images in this article
Selected References
These references are in PubMed. This may not be the complete list of references from this article.
- AISNER M., FRANCO J. E. Mediastinal emphysema. N Engl J Med. 1949 Nov 24;241(21):818–825. doi: 10.1056/NEJM194911242412105. [DOI] [PubMed] [Google Scholar]
 - Fulkerson W. J. Current concepts. Fiberoptic bronchoscopy. N Engl J Med. 1984 Aug 23;311(8):511–515. doi: 10.1056/NEJM198408233110806. [DOI] [PubMed] [Google Scholar]
 - Herf S. M., Suratt P. M., Arora N. S. Deaths and complications associated with transbronchial lung biopsy. Am Rev Respir Dis. 1977 Apr;115(4):708–711. doi: 10.1164/arrd.1977.115.4.708. [DOI] [PubMed] [Google Scholar]
 - Maunder R. J., Pierson D. J., Hudson L. D. Subcutaneous and mediastinal emphysema. Pathophysiology, diagnosis, and management. Arch Intern Med. 1984 Jul;144(7):1447–1453. [PubMed] [Google Scholar]
 - Pereira W., Jr, Kovnat D. M., Snider G. L. A prospective cooperative study of complications following flexible fiberoptic bronchoscopy. Chest. 1978 Jun;73(6):813–816. doi: 10.1378/chest.73.6.813. [DOI] [PubMed] [Google Scholar]
 

