Abstract
Pancreatic ductal adenocarcinoma (PDAC) is characterized by a fibrotic and inflammatory microenvironment that is formed primarily by activated, myofibroblast-like, stellate cells. Although the stellate cells are thought to contribute to tumorigenesis, metastasis and drug resistance of PDAC, the signaling events involved in activation of the stellate cells are not well defined. Functioning as transcription co-factors, Yes-associated protein (YAP) and its homolog transcriptional co-activator with PDZ-binding motif (TAZ) modulate the expression of genes involved in various aspects of cellular functions, such as proliferation and mobility. Using human tissues we show that YAP and TAZ expression is restricted to the centroacinar and ductal cells of normal pancreas, but is elevated in cancer cells. In particular, YAP and TAZ are expressed at high levels in the activated stellate cells of both chronic pancreatitis and PDAC patients as well as in the islets of Langerhans in chronic pancreatitis tissues. Of note, YAP is up regulated in both acinar and ductal cells following induction of acute and chronic pancreatitis in mice. These findings indicate that YAP and TAZ may play a critical role in modulating pancreatic tissue regeneration, neoplastic transformation, and stellate cell functions in both PDAC and pancreatitis.
Pancreatic cancer is the fourth leading cause of cancer-related death1,2,3. Pancreatic ductal adenocarcinoma (PDAC) comprises more than 85% of all pancreatic cancer and has extremely poor prognosis, with an overall five-year survival rate at less than 5%2,4. Chronic pancreatitis, a clinical syndrome of persistent pancreatic inflammation, is one of the leading risk factors for pancreatic cancer5,6. The normal exocrine pancreas primarily consists of acinar cells, which produce digestive enzymes, and ductal cells that form the lining of the secretory ductal system. Centroacinar cells are located at the junction between acinar cells and the terminal ductal epithelium. In addition, pancreatic stellate cells (PSCs) are myofibroblastlike cells that are normally quiescent but become activated in damaged pancreas and produce collagen, fibronectin and other fibrosis related proteins7,8. Both PDAC and chronic pancreatitis are characterized by a fibrotic and inflammatory microenvironment that is dominated by activated stellate cells.
The Hippo-YAP signaling pathway was initially identified as a mechanism involved in regulation of organ size and tissue growth and is more recently implicated in playing a role in cell proliferation, migration, stem cell self-renewal, and tissue regeneration9,10,11,12,13. In mammalian cells, YAP and its homolog TAZ (also known as WW Domain Containing Transcription Regulator 1, or WWTR1) function as transcriptional cofactors and the core of this signaling pathway14. The transcriptional activity of YAP and TAZ is subjected to negative regulation by a cascade of phosphorylation events, mediated by Mst1/2 and LATS1/2, leading to cytoplasmic sequestration or ubiquitin-mediated degradation9,10. In particular, YAP can be phosphorylated at S127 in a cell density-dependent manner and forms a more stable complex with the 14-3-3 proteins, thereby becoming retained in the cytoplasm15,16,17. YAP phosphorylation is mediated by signaling events are initiated from cell surface adhesion molecules, including E-cadherin-like molecules and proteins of the adherens junction and tight junction protein complexes9,10. In addition, YAP activity can be inhibited through the interactions with angiomotin (AMOT) family proteins, which lead to localization and sequestration of the YAP protein to tight junction9,18,19, or through interactions with PTPN1410,20,21,22,23, a non-receptor tyrosine phosphatase that is localized to the tight junction of epithelial cells9,24,25,26.
Here, we provide evidence that YAP and TAZ are present in normal pancreatic centroacinar and ductal cells, and are up regulated in pancreatic cancer cells and in the activated pancreatic stellate cells that define the stromal environment of chronic pancreatitis and pancreatic cancer. We also find significant increase in the cells of the islets of Langerhans in chronically inflamed but not normal pancreas. Moreover, YAP levels are increased in experimental acute and chronic pancreatitis. Our results support the notion that YAP and TAZ deregulation may play a role in pathogenesis of pancreatic diseases.
Results
YAP and TAZ/WWTR1 are primarily expressed in the centroacinar and ductal cells in normal human pancreas
We performed immunohistochemistry to examine the expression patterns of YAP and TAZ/WWTR1 in normal human pancreatic tissues obtained from four individuals. The YAP expression patterns resemble those of the centroacinar cells and ductal cells (Fig. 1), the subpopulations of the exocrine compartments that are implicated in having certain stem cell properties during tissue regeneration following injury27,28,29,30,31,32. In these cells, YAP and TAZ show diffused localization and the proteins can be found in both nuclei and cytoplasm (Fig. 1). In contrast, YAP is not expressed in acinar cells, or in islets of Langerhans (Fig. 1). These expression patterns of YAP were confirmed using three additional anti-YAP antibodies, including antibodies specific for the S127 phosphorylated form of YAP (Supplemental Figure S1). Furthermore, we observed similar centroacinar/ductal localization patterns for TAZ (Fig. 1).
Figure 1. Immunohistochemistry analysis of YAP and TAZ/WWTR1 in normal human pancreas.
(A,B) Immunohistochemistry analysis of normal human pancreatic tissue using anti-YAP antibody (H125); Two representative fields of the same sample are shown. Specimens obtained from an additional three individuals were also analyzed and shown in Supplemental Figure S2. The islet of Langerhans is indicated. Magnification: 20 x, error bar: 100 μm. (C,D) Immunohistochemistry analysis of normal human pancreatic tissue using anti-TAZ/WWTR1 antibody. Two representative fields of the same sample are shown. The islet of Langerhans is indicated. Magnification: 20 x, error bar: 100 μm.
Immunofluorescence studies were carried out to determine whether YAP is co-expressed with established markers of centroacinar cells and ductal cells, such as carbonic anhydrase II (CA II)33,34,35. Similar to a previous study36, our study showed that annexin A2 (ANXA2) staining exhibits a pattern indicative of centroacinar and ductal cell specific expression (Supplemental Figure S4). In addition, we found that ANXA2 is co-expressed with CA II in normal pancreas and thus established it as another marker for the centroacinar and ductal cells (Fig. 2A and supplemental Table S1). Moreover, our results clearly show co-expression of YAP and ANXA2 in the normal pancreas (Fig. 2B and supplemental Table S1), which indicates that YAP expression is primarily restricted to the centroacinar and ductal cells. Notably, ANXA2 is predominantly localized to the plasma membrane in these cells, whereas YAP is primarily found in the cytoplasm and to a lesser extent in the nuclei (Fig. 2).
Figure 2. Immunofluorescence staining of YAP in normal human pancreas.
(A) annexin A2 (ANXA2) (green), carbonic anhydrase II (CA II) (red), DAPI (blue); Magnification: 63 x. Note that ANXA2 is expressed in the same cells that are positive of CA II, a marker for pancreatic centroacinar and ductal cells. (B) YAP (anti-YAP, H-125) (red) and ANXA2 (green), DAPI (blue). Magnification: 63 x. Note that YAP and ANXA2 are co expressed in the same set of cells.
YAP and TAZ expression in pancreatic intraepithelial neoplasia, PDAC and chronic pancreatitis
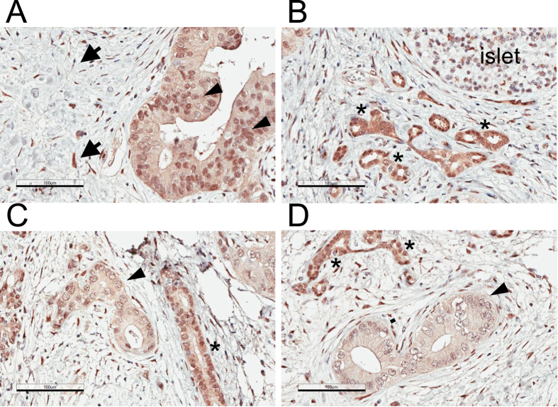
Among the PDAC tissues collected from four individual patients, high levels of YAP were detected in pancreatic cancer cells that exhibit epithelial morphology (Fig. 3 and Supplemental Figure S2). Similar, the levels of TAZ are also elevated in PDAC (Fig. 4). In particular, YAP and TAZ can be detected in cells that show characteristics of pancreatic intraepithelial neoplasia (PanIN) (Figs 3 and 4), which represent the majority of the early neoplastic lesions37,38. Both YAP and TAZ show a more prominent nuclear localization pattern, which is consistent with the notion that these proteins are functionally activated. Moreover, a fraction of stromal cells are also stained positive for YAP and TAZ (Figs 3 and 4).
Figure 3. YAP expression in human pancreatic cancer tissues.
(A–D) YAP staining (anti-YAP antibody, H125) in PDAC #1 tissue. Specimens obtained from an additional three PDAC individuals were also analyzed and shown in Supplemental Figure 2. Representative images of four different fields of the same sample are shown. Note that YAP can be detected in stellate cells (arrows), cancer cells (arrowheads) and in structures showing morphology of early PanIN or normal ducts (asterisks). Magnification: 20 x, error bar: 100 μm.
Figure 4. TAZ/WWTR1 expression in human pancreatic cancer tissues.
(A–D) TAZ/WWTR1 in PDAC tissues (arrows: stellate cells; arrowheads: cancer cells; asterisks: PanIN or ducts with normal morphology). Representative images of four different fields of the same sample are shown. Magnification: 20 x, error bar: 100 μm.
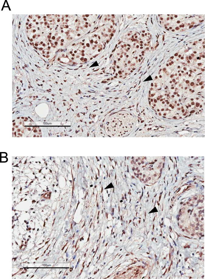
Notably, in tissues of chronic pancreatitis, YAP and TAZ levels are expressed in a sub-population of stromal cells (Fig. 5 and Supplemental Figure S3). YAP and TAZ levels also appear to be elevated in the islets of Langerhans in the chronic pancreatitis tissue in contrast to normal pancreas. The localization is predominantly nuclear in the islet cells (Fig. 5 and Supplemental Figure S3).
Figure 5. YAP and TAZ/WWTR1 expression in human chronic pancreatitis (CP) tissues.

(A) Chronic pancreatitis tissue isolated from CP patient #1, stained using anti-YAP antibody (H125). Specimens obtained from an additional three individuals were also analyzed and shown in Supplemental Figure S3. Representative images are shown. (B) Chronic pancreatitis tissue (CP#1) stained using anti-WWTR1/TAZ antibody. The arrowheads indicate expression of YAP or TAZ in stellate cells. Magnification: 20 x, error bar: 100 μm.
YAP is expressed at high levels in activated stellate cells associated with chronic pancreatitis and PDAC
We noted that, in both chronic pancreatitis and pancreatic cancer tissues, the stromal cells stained positive for YAP and TAZ show morphology of stellate cells, which are characterized by elongated nuclei and branching cell body (Figs 3,4 and 5; Supplemental Figures 2 and 3). By immunofluorescence, we found that YAP can be detected in the same set of cells that are stained positive for α-SMA, a marker for activated stellate cells. While α-SMA is localized to the cytoplasm in these cells, YAP can be found in both the nuclei and the cytoplasm (Figs 6 and 7). Thus, our results indicate that YAP is expressed in the stellate cells of both chronic pancreatitis and PDAC. Interestingly, ANXA2 is co-expressed with YAP in activated stellate cells (Fig. 7) and in cancer cells (Fig. 8).
Figure 6. Immunofluorescence analysis of YAP in stellate cells of human PDAC tissues.
(A) YAP (red) and α-SMA (green), and DAPI (blue). Note that YAP can be detected in both the cancer cells and the stromal cells. Magnification: 20 x. (B) Image of PDAC tissue stained in the same way as in (A), showing a field predominantly of stellate cells. Magnification: 63x.
Figure 7. Co-expression of YAP and annexin A2 (ANXA2) in human PDAC tissues.
(A) YAP (red), ANXA2 (green), and DAPI (blue). Note that YAP and ANXA2 are co-expressed in the cancer cells. (B) ANXA2 (red), α-SMA (green), and DAPI (blue). Note that the field shows predominantly stellate cells. Magnification: 63 x.
Figure 8. Immunofluorescence analysis of YAP in stellate cells of human chronic pancreatitis tissues.
YAP (red), α-SMA (green) and DAPI (blue). The arrows indicate examples of cells in which YAP and α-SMA are co-expressed. Magnification: 63 x.
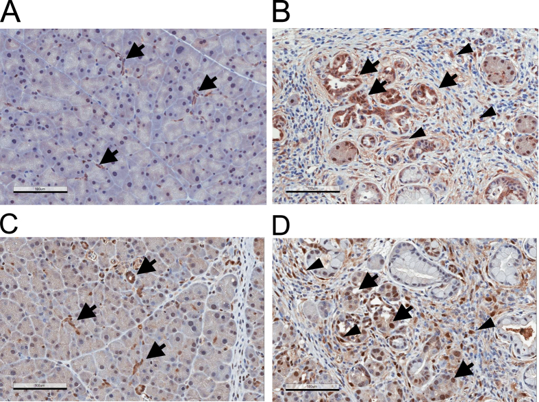
YAP is up regulated in Kras G12D mutant-mediated pancreatic intraepithelial neoplastic lesion and in experimental acute and chronic pancreatitis
The Kras gene is frequently mutated in pancreatic cancer patient and is thought to contribute to development of early neoplastic lesions4. In particular, the G12D mutation of Kras leads to abnormal activation of Kras functions and can promote development of PanIN in the Pdx1-Cre/LSL-KrasG12D (KC) transgenic mice, in which the KrasG12D can be induced in pancreatic cells via Pdx1 promoter-mediated expression of Cre recombinase39. We therefore examined YAP and TAZ expression patterns in these animals. Consistent with previous report39, at the age of seven month, the pancreata of KC mice show extensive areas of PanIN but no PDAC. Our IHC studies indicate that, in the control Pdx1-Cre mice, YAP and TAZ exhibit a pattern of expression in the ductal cells (Fig. 9A,C). In the KC mice, the overall expression levels of YAP and TAZ are increased and both proteins can be detected in the nuclei of PanIN cells, as well as in stellate cells associated with the neoplastic lesion (Fig. 9B,D).
Figure 9. Immunohistochemistry analysis of YAP and TAZ in mouse pancreas.
Immunohistochemistry analysis of mouse pancreatic tissue using anti-YAP antibody (A,B) or anti-TAZ (C,D). Representative images are shown. (A,C): tissues isolated from Pdx1-Cre mice; (B,D): tissues isolated from Pdx1-Cre/LSL-KrasG12D mice. Examples of cells with up regulation of YAP or TAZ are indicated by arrows (duct-like cells) or arrowheads (stellate cells). Magnification: 20 x, error bar: 100 μm.
We also examined YAP levels in the process of tissue injury and regeneration using a previously established mouse model, in which acute or chronic pancreatitis develops upon exposure of mice to cerulein6,40,41,42. In particular, short-term administration of cerulein induces a mild and reversible form of acute pancreatitis in mice, characterized with edema, cellular stress, necrosis, and inflammation6,40,42. Our H & E staining confirmed that cerulein induced tissue injury in the pancreas by 8 hours (Fig. 10B,D). At this time point, an abrupt increase of YAP expression, with prominent nuclear localization, was detected in not only the ductal but also the acinar cells (Fig. 10C,D). YAP expression remains at high levels 3 days after the initial induction of injury, when the injured tissue has undergone extensive recovery and shows characteristics of acinar-to-ductal metaplasia (ADM) (Fig. 10E,F).
Figure 10. YAP is up regulated in experimental pancreatitis.
Left panels: Immunohistochemistry analysis of mouse pancreatic tissues using anti-YAP antibody; Right panels: H&E staining. Representative images are shown. (A,B): control; (C,D): Eight hours after initial cerulein-induction of acute pancreatitis; (E,F): Three days after initial cerulein-induction of acute pancreatitis; (G,H): cerulein-induced chronic pancreatitis (CP). Note that H&E staining shows cerulein induced tissue damage (D,H) and fibrosis (H). The arrowheads indicate examples of cells with up regulation of YAP. Magnification: 20 x, error bar: 100 μm.
Repeated and prolonged exposure of cerulein induces a form of chronic pancreatitis6,41, which is distinguished by development of fibrosis and irreversible tissue degeneration (Fig. 10G). Under this experimental condition, YAP is up regulated, notably in the nuclei of both the acinar cells and in the expanded ductal structures that are frequently present in the chronic lesions (Fig. 10H).
Discussion
In this study, we characterized YAP-expressing cells using cell population-specific markers (i.e. alpha-SMA for activated stellate cells, and CAII and Anxa2 for centroacinar and ductal cells) in normal and diseased pancreas. Our results indicate that YAP and TAZ expression in centroacinar and ductal cells of normal human pancreas. The centroacinar and ductal cells exhibit the capacity as multi-lineage pancreatic progenitors that are important for tissue repair and regeneration27,28,29,30,31,32. These cells express several markers previously associated with the progenitor phenotypes in embryonic pancreas and other tissues, such as Sca1, Sdf1, c-Met, nestin, and SOX943,44,45. In particular, SOX-9 has been identified as a marker of pancreatic centroacinar and ductal cells and is crucial for development and regeneration44,46,47,48. The functional linkage between YAP and SOX9 has been revealed by a recent study49. Moreover, acinar cells exhibit regenerative potentials and undergo acinar-to-ductal metaplasia following injury of exocrine pancreas50,51,52. In this process, the acinar cells transdifferentiate to a precursor state that demonstrates phenotypes of ductal cells. Indeed, recent studies indicate that YAP signaling pathway is essential for development of the pancreas and activation of YAP in the adult pancreas results in pancreatitis-like phenotypes53,54. YAP and TAZ have been implicated in stem cell functions in other tissues, such as the small intestine11,55,56,57,58,59, the lung60,61, the liver62, the skin63, the bone64, or in developing embryos12,65. In the current study, we observed up regulation of YAP in both acinar and ductal cells, following induction of acute or chronic pancreatitis by extensive cerulein exposure. Thus, these findings suggest that YAP and TAZ may represent a set of new markers for the “stem-cell” like phenotype and play a role in modulating progenitor cell functions in pancreatic regeneration in events of pancreatic injury, such as acute or chronic pancreatitis.
We show that YAP and TAZ are expressed predominantly in the nuclei in the epithelial compartment of PDAC, which is in agreement with the notion that these proteins are functionally activated. Of note, nuclear localization patterns of YAP and TAZ expression can be readily detected in cells with morphological features of PanIN in both human tissues and Kras G12D mutant mice. These observations are consistent with the recent report that YAP plays an essential role in the early neoplastic transformation in the pancreas using a mouse model of pancreatic cancer66.
We previously show that YAP mediates cancer cell sensitivity to a number of therapeutics, including cisplatin, taxol, EGFR tyrosine kinase inhibitor, or small molecule inhibitor of survivin10. More recent studies revealed that deregulation of YAP signaling may contribute to acquired resistance to therapeutic approaches targeting the signaling events initiated by mutant Kras. For example, YAP overexpression enables pancreatic, colorectal, or lung cancer cells to overcome dependency on oncogenic Kras mutations67,68. These findings indicate that YAP may represent an attractive therapeutic target for treatment of human pancreatic cancer. It should be noted that a successful targeting strategy conceivably require simultaneous disabling YAP and WWTR1, due to their functional redundancy and the commonly overlapping expression patterns in human pancreatic cancer.
Remarkably, our results show that both YAP and TAZ are expressed in the pancreatic stellate cells associated with human pancreatic ductal adenocarcinoma and chronic pancreatitis. In particular, YAP and TAZ positive stellate cells are associated with Kras mutant-mediated early neoplastic transformation. Activation of PSCs is required to initiate fibrogenesis and chronic pancreatitis8. Progression to chronic pancreatitis may occur in patients with metabolic stress in the pancreas attributable to excessive alcohol consumption69. PSCs can be activated by growth factor or cytokines released by injured or stressed acinar cells and by various inflammatory cells8. For example, TGF β and CTGF/CCN2) are profibrogenic factors that can activate PSCs, resulting in their proliferation, the production and deposition of collagen 1A1 and pancreatic fibrogenesis8. YAP acts in concert with TGF β signaling and modulates CTGF/CCN2 expression70. Thus, our finding of YAP and TAZ expression in PSC of chronic pancreatitis and pancreatic cancer highlights the potential role of these transcriptional co-factors in modulating the physiological and pathological activities of PSC.
Interestingly, we found co-expression of ANXA2 with YAP/TAZ in the centroacinar and ductal cells of normal pancreas, as well as in the activated stellate cells of chronic pancreatitis and pancreatic cancer. ANXA2 is implicated in multiple functions, including the secretory pathway, tissue regeneration, and tumorigenesis. For example, ANXA2 can be localized to the cell surface and mediate the activation of plasminogen, which is involved in in thrombolysis, wound healing, angiogenesis, and EMT71,72,73,74. In addition, ANXA2 is overexpressed in pancreatic cancer and may play a critical role in cancer cell invasion and metastasis75,76,77. Clearly it would be of interest to define the functional interactions between ANXA2 and YAP signaling in both the normal and diseased pancreas, especially in regard to the role in the pancreatic stellate cells.
We found that YAP and TAZ are up regulated in the islets Langerhans of chronic pancreatitis tissues. Diabetes is a frequent complication in chronic pancreatitis. YAP and TAZ may be involved in regeneration or adaptive response of islets under chronic pancreatitis. A variety of islet cell types have been shown to possess the properties of progenitors, such as β-cells78,79 and nestin-positive islet-derived progenitor cells80. In this regard, YAP may play a role in defining the self-renewal or the regeneration capacity of the progenitor cells. Alternatively, deregulation of YAP signaling may lead to islet dysfunction. For example, a recent study showed that MST1/STK4, a mammalian orthologue of Hippo, is activated in beta cells in the islets and can induce mitochondrial-dependent apoptosis81. Clearly addition work is needed to clarify these possibilities.
In summary, our study demonstrates that while YAP and TAZ expression is limited to the centroacinar and intercalated ductal cells in normal human pancreas, these proteins are up regulated in PDAC and PanIN, as well as in stellate cells associated with PDAC and chronic pancreatitis. Moreover, we found expression of YAP and TAZ in the islets of Langerhans in diseased human pancreatic tissues. These findings indicate that YAP and TAZ may be involved in pancreatic tissue regeneration, and that deregulation of these proteins may play a role in neoplastic transformation and stellate cell functions in both PDAC and pancreatitis.
Methods
Antibodies
The antibodies used in this study include: anti-YAP and anti-phospho S127 YAP (#4912; #4911; and #13008, Cell Signaling Technology, Danvers, MA) anti-YAP (H-125), anti-ANXA2 (C-10), and anti-CA II (Santa Cruz Biotechnology, Santa Cruz, CA); anti-WWTR1/TAZ and anti α-SMA (Sigma, St. Louis, MO); anti-MST1R/RON antibodies (R&D Systems, Minneapolis, MN); horse radish peroxidase-conjugated secondary antibodies against mouse or rabbit were from Dako (Carpentaria, CA). Alexa Fluor 488 or 594 conjugated anti-mouse or anti-rabbit antibodies were purchased from Life Technologies (Grand Island, NY).
Human Tissues
Formalin-fixed and paraffin-embedded (FFPE) human pancreatic specimens were obtained from the Cedars-Sinai Pathology archive and biorepository, and the analyses were carried out under protocols approved by the Internal Review Board at the Cedars-Sinai Medical Center (IRB protocols #4201, #28197 and #34086). All experiments were performed in accordance with relevant guidelines and regulations.
Transgenic Mice and Experimental Acute and Chronic Pancreatitis
The Pdx1-Cre and Lox-Stop-Lox-KrasG12D mice were described previously39. The mice were interbred to create Pdx1-CRE/LSL-KrasG12D (KC) mice at the Genetics Core of the Cedars-Sinai Medical Center. Pancreata were collected from 7-month old mice, fixed in formalin and embedded in paraffin.
C57BL/6 J mice (B6J) were obtained from the Jackson Laboratory (Bar Harbor, ME). To induce acute pancreatitis, the mice were given seven hourly intraperitoneal (IP) injections of cerulein (American Peptide Company, Sunnyvale, CA), at a dosage of 50 μg/kg body weight per injection. The mice subjected to injections of PBS served as the control. The mice were sacrificed at the time points as indicated in each experiment (ranging from 8 hours to 3 days after the initial injection), and the tissues were collected used for further analysis. To induce acute pancreatitis, the mice received two courses of cerulein injection per week (with 3–4 days apart) for a total of 5 weeks. Each course of cerulein administration consisted of seven hourly intraperitoneal injections of cerulein at a dosage of 50 μg/kg body weight per injection. A separate set of mice will receive sterile saline solution as control. The mice were sacrificed five days after the final injection, and the tissues were collected used for further analysis. Pancreata were fixed in formalin and embedded in paraffin.
All animal procedures were approved by the Cedars-Sinai Institutional Animal Care and Use Committee (IACUC) under protocol number 3935. All experiments were performed in accordance with relevant guidelines and regulations.
Immunohistochemistry
For the study of human tissues, a total of 4 sets of specimens, each contain normal, PDAC, and chronic pancreatitis tissues, were analyzed. Both human and mouse FFPE pancreatic specimens were de-paraffinized, rehydrated, and subjected to antigen retrieval by heating. After incubating in blocking solution from VECTASTAIN Elite ABC Kit (Vector Laboratories, Burlingame, CA) for 20 minutes, the samples were treated with the primary antibodies for 60 minutes or overnight. The sections were then washed three times in PBS, followed by incubation with a secondary antibody conjugated with horse radish peroxidase (Dako, Carpentaria, CA) for 60 minutes. The samples were subjected to final washes, and specific stains were developed with ABC reagent for up to 10 minutes, using ImmPACT/DAB peroxidase substrate (Vector Laboratories, Burlingame, CA). The slides were mounted and scanned using Aperio Scanscope® AT Turbo (Leica Microsystems, Buffalo Grove, IL).
Immunofluorescence and confocal microscopy
The FFPE pancreatic tissue sections prepared on glass slides were de-paraffinized, rehydrated, and subjected to antigen retrieval by heating. After incubating in blocking solution (Animal-Free Blocker™, Vector Laboratories), the sections were stained with the primary and secondary antibodies sequentially in phosphate-buffered saline (PBS) containing 0.2% Triton X-100. The slides were mounted and analyzed using Leica TCS SP5 confocal microscope (Leica Microsystems, Buffalo Grove, IL). For analysis of gene co-expression in the IF study, GraphPAD Prism software (GraphPad Software, San Diego, CA, USA) was used to perform Fisher’s exact test using data collected in 3 random fields of each immunofluorescence staining sample.
Additional Information
How to cite this article: Morvaridi, S. et al. Role of YAP and TAZ in pancreatic ductal adenocarcinoma and in stellate cells associated with cancer and chronic pancreatitis. Sci. Rep. 5, 16759; doi: 10.1038/srep16759 (2015).
Supplementary Material
Acknowledgments
This work was supported by funds from the Department of Medicine at Cedars-Sinai Medical Center, the National Center for Advancing Translational Sciences Grant UL1TR000124 (QW); the Department of Veterans Affairs I01BX001484 (SJP), the National Institutes of Health grants P01CA163200, P50 AA11999, and P01DK098108 (SJP); R01CA089481 (MIG). The KrasG12D transgenic mice were kindly provided by Dr. Paul J. Grippo (Northwestern University). We also thank members of the pancreatic research group for helpful discussion, Dr. Kolja Wawrowsky for assistance on microscopy, and Dr. Makoto Katsumata and Ms. Anju Nair for help on breeding the Kras G12D mutant mice.
Footnotes
Author Contributions Q.W. and S.P. conceived the experiments; S.M. and Q.W. conducted the experiments. S.M., D.D., S.P., M.G. and Q.W. analysed the results. All authors reviewed the manuscript.
References
- Jemal A., Bray F., Center M. M., Ferlay J., Ward E. & Forman D. Global cancer statistics. CA Cancer J Clin 61, 69–90 (2011). [DOI] [PubMed] [Google Scholar]
- Hidalgo M. Pancreatic cancer. N Engl J Med 362, 1605–1617 (2010). [DOI] [PubMed] [Google Scholar]
- Siegel R., Naishadham D. & Jemal A. Cancer statistics, 2013. CA Cancer J Clin 63, 11–30 (2013). [DOI] [PubMed] [Google Scholar]
- Ryan D. P., Hong T. S. & Bardeesy N. Pancreatic adenocarcinoma. N Engl J Med 371, 1039–1049 (2014). [DOI] [PubMed] [Google Scholar]
- Witt H., Apte M. V., Keim V. & Wilson J. S. Chronic pancreatitis: challenges and advances in pathogenesis, genetics, diagnosis, and therapy. Gastroenterology 132, 1557–1573 (2007). [DOI] [PubMed] [Google Scholar]
- Lerch M. M. & Gorelick F. S. Models of acute and chronic pancreatitis. Gastroenterology 144, 1180–1193 (2013). [DOI] [PubMed] [Google Scholar]
- Apte M., Pirola R. & Wilson J. New insights into alcoholic pancreatitis and pancreatic cancer. J Gastroenterol Hepatol 24, Suppl 3, S51–56 (2009). [DOI] [PubMed] [Google Scholar]
- Erkan M. et al. The role of stroma in pancreatic cancer: diagnostic and therapeutic implications. Nat Rev Gastroenterol Hepatol 9, 454–467 (2012). [DOI] [PubMed] [Google Scholar]
- Zhao B. et al. Angiomotin is a novel Hippo pathway component that inhibits YAP oncoprotein. Genes Dev 25, 51–63 (2011). [DOI] [PMC free article] [PubMed] [Google Scholar]
- Huang J. M. et al. YAP modifies cancer cell sensitivity to EGFR and survivin inhibitors and is negatively regulated by the non-receptor type protein tyrosine phosphatase 14. Oncogene 32, 2220–2229 (2013). [DOI] [PMC free article] [PubMed] [Google Scholar]
- Cai J., Zhang N., Zheng Y., De Wilde R. F., Maitra A. & Pan D. The Hippo signaling pathway restricts the oncogenic potential of an intestinal regeneration program. Genes Dev 24, 2383–2388 (2010). [DOI] [PMC free article] [PubMed] [Google Scholar]
- Lian I. et al. The role of YAP transcription coactivator in regulating stem cell self-renewal and differentiation. Genes Dev 24, 1106–1118 (2010). [DOI] [PMC free article] [PubMed] [Google Scholar]
- Cordenonsi M. et al. The Hippo transducer TAZ confers cancer stem cell-related traits on breast cancer cells. Cell 147, 759–772 (2011). [DOI] [PubMed] [Google Scholar]
- Zhao B., Li L., Lei Q. & Guan K. L. The Hippo-YAP pathway in organ size control and tumorigenesis: an updated version. Genes Dev 24, 862–874 (2010). [DOI] [PMC free article] [PubMed] [Google Scholar]
- Hao Y., Chun A., Cheung K., Rashidi B. & Yang X. Tumor suppressor LATS1 is a negative regulator of oncogene YAP. J Biol Chem 283, 5496–5509 (2008). [DOI] [PubMed] [Google Scholar]
- Basu S., Totty N. F., Irwin M. S., Sudol M. & Downward J. Akt phosphorylates the Yes-associated protein, YAP, to induce interaction with 14-3-3 and attenuation of p73-mediated apoptosis. Mol Cell 11, 11–23 (2003). [DOI] [PubMed] [Google Scholar]
- Zhao B. et al. Inactivation of YAP oncoprotein by the Hippo pathway is involved in cell contact inhibition and tissue growth control. Genes Dev 21, 2747–2761 (2007). [DOI] [PMC free article] [PubMed] [Google Scholar]
- Wang W., Huang J. & Chen J. Angiomotin-like proteins associate with and negatively regulate YAP1. J Biol Chem 286, 4364–4370 (2011). [DOI] [PMC free article] [PubMed] [Google Scholar]
- Chan S. W., Lim C. J., Chong Y. F., Pobbati A. V., Huang C. & Hong W. Hippo pathway-independent restriction of TAZ and YAP by angiomotin. J Biol Chem 286, 7018–7026 (2011). [DOI] [PMC free article] [PubMed] [Google Scholar]
- Liu X. et al. PTPN14 interacts with and negatively regulates the oncogenic function of YAP. Oncogene 32, 1266–1273 (2013). [DOI] [PMC free article] [PubMed] [Google Scholar]
- Michaloglou C. et al. The tyrosine phosphatase PTPN14 is a negative regulator of YAP activity. PLoS One 8, e61916 (2013). [DOI] [PMC free article] [PubMed] [Google Scholar]
- Wilson K. E., Li Y. W., Yang N., Shen H., Orillion A. R. & Zhang J. PTPN14 forms complex with Kibra and LATS1 proteins and negatively regulates the YAP oncogenic function. J Biol Chem 289, 23693–23700 (2014). [DOI] [PMC free article] [PubMed] [Google Scholar]
- Poernbacher I., Baumgartner R., Marada S. K., Edwards K. & Stocker H. Drosophila Pez acts in Hippo signaling to restrict intestinal stem cell proliferation. Curr Biol 22, 389–396 (2012). [DOI] [PubMed] [Google Scholar]
- Ogata M. et al. Effects of overexpression of PTP36, a putative protein tyrosine phosphatase, on cell adhesion, cell growth, and cytoskeletons in HeLa cells. J Biol Chem 274, 12905–12909 (1999). [DOI] [PubMed] [Google Scholar]
- Wyatt L., Wadham C., Crocker L. A., Lardelli M. & Khew-Goodall Y. The protein tyrosine phosphatase Pez regulates TGFbeta, epithelial-mesenchymal transition, and organ development. J Cell Biol 178, 1223–1235 (2007). [DOI] [PMC free article] [PubMed] [Google Scholar]
- Wadham C., Gamble J. R., Vadas M. A. & Khew-Goodall Y. The protein tyrosine phosphatase Pez is a major phosphatase of adherens junctions and dephosphorylates beta-catenin. Mol Biol Cell 14, 2520–2529 (2003). [DOI] [PMC free article] [PubMed] [Google Scholar]
- Inada A. et al. Carbonic anhydrase II-positive pancreatic cells are progenitors for both endocrine and exocrine pancreas after birth. Proc Natl Acad Sci USA 105, 19915–19919 (2008). [DOI] [PMC free article] [PubMed] [Google Scholar]
- Hayashi K. Y., Tamaki H., Handa K., Takahashi T., Kakita A. & Yamashina S. Differentiation and proliferation of endocrine cells in the regenerating rat pancreas after 90% pancreatectomy. Arch Histol Cytol 66, 163–174 (2003). [DOI] [PubMed] [Google Scholar]
- Xu X. et al. Beta cells can be generated from endogenous progenitors in injured adult mouse pancreas. Cell 132, 197–207 (2008). [DOI] [PubMed] [Google Scholar]
- Nagasao J., Yoshioka K., Amasaki H. & Mutoh K. Centroacinar and intercalated duct cells as potential precursors of pancreatic endocrine cells in rats treated with streptozotocin. Ann Anat 185, 211–216 (2003). [DOI] [PubMed] [Google Scholar]
- Gasslander T., Ihse I. & Smeds S. The importance of the centroacinar region in cerulein-induced mouse pancreatic growth. Scand J Gastroenterol 27, 564–570 (1992). [DOI] [PubMed] [Google Scholar]
- Criscimanna A. et al. Duct cells contribute to regeneration of endocrine and acinar cells following pancreatic damage in adult mice. Gastroenterology 141, 1451–1462, 1462 e1451-1456 (2011). [DOI] [PMC free article] [PubMed] [Google Scholar]
- Inada A., Nienaber C., Fonseca S. & Bonner-Weir S. Timing and expression pattern of carbonic anhydrase II in pancreas. Dev Dyn 235, 1571–1577 (2006). [DOI] [PubMed] [Google Scholar]
- Reichert M. & Rustgi A. K. Pancreatic ductal cells in development, regeneration, and neoplasia. J Clin Invest 121, 4572–4578 (2011). [DOI] [PMC free article] [PubMed] [Google Scholar]
- Trautmann B., Schlitt H. J., Hahn E. G. & Lohr M. Isolation, culture, and characterization of human pancreatic duct cells. Pancreas 8, 248–254 (1993). [DOI] [PubMed] [Google Scholar]
- Esposito I. et al. Tenascin C and annexin II expression in the process of pancreatic carcinogenesis. J Pathol 208, 673–685 (2006). [DOI] [PubMed] [Google Scholar]
- Hruban R. H., Goggins M., Parsons J. & Kern S. E. Progression model for pancreatic cancer. Clin Cancer Res 6, 2969–2972 (2000). [PubMed] [Google Scholar]
- Maitra A., Fukushima N., Takaori K. & Hruban R. H. Precursors to invasive pancreatic cancer. Adv Anat Pathol 12, 81–91 (2005). [DOI] [PubMed] [Google Scholar]
- Hingorani S. R. et al. Preinvasive and invasive ductal pancreatic cancer and its early detection in the mouse. Cancer Cell 4, 437–450 (2003). [DOI] [PubMed] [Google Scholar]
- Lugea A., Nan L., French S. W., Bezerra J. A., Gukovskaya A. S. & Pandol S. J. Pancreas recovery following cerulein-induced pancreatitis is impaired in plasminogen-deficient mice. Gastroenterology 131, 885–899 (2006). [DOI] [PMC free article] [PubMed] [Google Scholar]
- Xue J. et al. Alternatively activated macrophages promote pancreatic fibrosis in chronic pancreatitis. Nat Commun 6, 7158 (2015). [DOI] [PMC free article] [PubMed] [Google Scholar]
- Liu Y. et al. Genetic inhibition of protein kinase Cepsilon attenuates necrosis in experimental pancreatitis. Am J Physiol Gastrointest Liver Physiol 307, G550–563 (2014). [DOI] [PMC free article] [PubMed] [Google Scholar]
- Rovira M., Scott S. G., Liss A. S., Jensen J., Thayer S. P. & Leach S. D. Isolation and characterization of centroacinar/terminal ductal progenitor cells in adult mouse pancreas. Proc Natl Acad Sci USA 107, 75–80 (2010). [DOI] [PMC free article] [PubMed] [Google Scholar]
- Furuyama K. et al. Continuous cell supply from a Sox9-expressing progenitor zone in adult liver, exocrine pancreas and intestine. Nat Genet 43, 34–41 (2011). [DOI] [PubMed] [Google Scholar]
- Kopp J. L. et al. Sox9+ductal cells are multipotent progenitors throughout development but do not produce new endocrine cells in the normal or injured adult pancreas. Development 138, 653–665 (2011). [DOI] [PMC free article] [PubMed] [Google Scholar]
- Kopp J. L. et al. Identification of Sox9-dependent acinar-to-ductal reprogramming as the principal mechanism for initiation of pancreatic ductal adenocarcinoma. Cancer Cell 22, 737–750 (2012). [DOI] [PMC free article] [PubMed] [Google Scholar]
- Manfroid I. et al. Zebrafish sox9b is crucial for hepatopancreatic duct development and pancreatic endocrine cell regeneration. Dev Biol 366, 268–278 (2012). [DOI] [PMC free article] [PubMed] [Google Scholar]
- Shroff S. et al. SOX9: a useful marker for pancreatic ductal lineage of pancreatic neoplasms. Hum Pathol 45, 456–463 (2014). [DOI] [PMC free article] [PubMed] [Google Scholar]
- Song S. et al. Hippo Coactivator YAP1 Upregulates SOX9 and Endows Esophageal Cancer Cells with Stem-like Properties. Cancer Res 74, 4170–4182 (2014). [DOI] [PMC free article] [PubMed] [Google Scholar]
- Dor Y., Brown J., Martinez O. I. & Melton D. A. Adult pancreatic beta-cells are formed by self-duplication rather than stem-cell differentiation. Nature 429, 41–46 (2004). [DOI] [PubMed] [Google Scholar]
- Zhou Q., Brown J., Kanarek A., Rajagopal J. & Melton D. A. In vivo reprogramming of adult pancreatic exocrine cells to beta-cells. Nature 455, 627–632 (2008). [DOI] [PMC free article] [PubMed] [Google Scholar]
- Sangiorgi E. & Capecchi M. R. Bmi1 lineage tracing identifies a self-renewing pancreatic acinar cell subpopulation capable of maintaining pancreatic organ homeostasis. Proc Natl Acad Sci USA 106, 7101–7106 (2009). [DOI] [PMC free article] [PubMed] [Google Scholar]
- Gao T. et al. Hippo signaling regulates differentiation and maintenance in the exocrine pancreas. Gastroenterology 144, 1543–1553, 1553 e1541 (2013). [DOI] [PMC free article] [PubMed] [Google Scholar]
- George N. M., Day C. E., Boerner B. P., Johnson R. L. & Sarvetnick N. E. Hippo signaling regulates pancreas development through inactivation of Yap. Mol Cell Biol 32, 5116–5128 (2012). [DOI] [PMC free article] [PubMed] [Google Scholar]
- Llado V. et al. Repression of Intestinal Stem Cell Function and Tumorigenesis through Direct Phosphorylation of beta-Catenin and Yap by PKCzeta. Cell Rep 10, 740–754 (2015). [DOI] [PMC free article] [PubMed] [Google Scholar]
- Bachem M. G. et al. Pancreatic carcinoma cells induce fibrosis by stimulating proliferation and matrix synthesis of stellate cells. Gastroenterology 128, 907–921 (2005). [DOI] [PubMed] [Google Scholar]
- Zhou D. et al. Mst1 and Mst2 protein kinases restrain intestinal stem cell proliferation and colonic tumorigenesis by inhibition of Yes-associated protein (Yap) overabundance. Proc Natl Acad Sci USA 108, E1312–1320 (2011). [DOI] [PMC free article] [PubMed] [Google Scholar]
- Imajo M., Ebisuya M. & Nishida E. Dual role of YAP and TAZ in renewal of the intestinal epithelium. Nat Cell Biol 17, 7–19 (2015). [DOI] [PubMed] [Google Scholar]
- Camargo F. D. et al. YAP1 increases organ size and expands undifferentiated progenitor cells. Curr Biol 17, 2054–2060 (2007). [DOI] [PubMed] [Google Scholar]
- Mahoney J. E., Mori M., Szymaniak A. D., Varelas X. & Cardoso W. V. The hippo pathway effector Yap controls patterning and differentiation of airway epithelial progenitors. Dev Cell 30, 137–150 (2014). [DOI] [PMC free article] [PubMed] [Google Scholar]
- Lange A. W., Sridharan A., Xu Y., Stripp B. R., Perl A. K. & Whitsett J. A. Hippo/Yap signaling controls epithelial progenitor cell proliferation and differentiation in the embryonic and adult lung. J Mol Cell Biol 7, 35–47 (2015). [DOI] [PMC free article] [PubMed] [Google Scholar]
- Yimlamai D. et al. Hippo pathway activity influences liver cell fate. Cell 157, 1324–1338 (2014). [DOI] [PMC free article] [PubMed] [Google Scholar]
- Beverdam A., Claxton C., Zhang X., James G., Harvey K. F. & Key B. Yap controls stem/progenitor cell proliferation in the mouse postnatal epidermis. J Invest Dermatol 133, 1497–1505 (2013). [DOI] [PubMed] [Google Scholar]
- Tang Y., et al. MT1-MMP-dependent control of skeletal stem cell commitment via a beta1-integrin/YAP/TAZ signaling axis. Dev Cell 25, 402–416 (2013). [DOI] [PMC free article] [PubMed] [Google Scholar]
- Tamm C., Bower N. & Anneren C. Regulation of mouse embryonic stem cell self-renewal by a Yes-YAP-TEAD2 signaling pathway downstream of LIF. J Cell Sci 124, 1136–1144 (2011). [DOI] [PubMed] [Google Scholar]
- Zhang W. et al. Downstream of mutant KRAS, the transcription regulator YAP is essential for neoplastic progression to pancreatic ductal adenocarcinoma. Sci Signal 7, ra42 (2014). [DOI] [PMC free article] [PubMed] [Google Scholar]
- Kapoor A. et al. Yap1 activation enables bypass of oncogenic kras addiction in pancreatic cancer. Cell 158, 185–197 (2014). [DOI] [PMC free article] [PubMed] [Google Scholar]
- Shao D. D. et al. KRAS and YAP1 Converge to Regulate EMT and Tumor Survival. Cell 158, 171–184 (2014). [DOI] [PMC free article] [PubMed] [Google Scholar]
- Pandol S. J., Gorelick F. S., Gerloff A. & Lugea A. Alcohol abuse, endoplasmic reticulum stress and pancreatitis. Dig Dis 28, 776–782 (2010). [DOI] [PMC free article] [PubMed] [Google Scholar]
- Fujii M. et al. Convergent signaling in the regulation of connective tissue growth factor in malignant mesothelioma: TGFβ signaling and defects in the Hippo signaling cascade. Cell Cycle 11, 3373–3379 (2012). [DOI] [PMC free article] [PubMed] [Google Scholar]
- Ling Q. et al. Annexin II regulates fibrin homeostasis and neoangiogenesis in vivo. J Clin Invest 113, 38–48 (2004). [DOI] [PMC free article] [PubMed] [Google Scholar]
- Krishnan S., Deora A. B., Annes J. P., Osoria J., Rifkin D. B. & Hajjar K. A. Annexin II-mediated plasmin generation activates TGF-beta3 during epithelial-mesenchymal transformation in the developing avian heart. Dev Biol 265, 140–154 (2004). [DOI] [PubMed] [Google Scholar]
- Jacovina A. T. et al. Homocysteine inhibits neoangiogenesis in mice through blockade of annexin A2-dependent fibrinolysis. J Clin Invest 119, 3384–3394 (2009). [DOI] [PMC free article] [PubMed] [Google Scholar]
- Ortiz-Zapater E. et al. Tissue plasminogen activator induces pancreatic cancer cell proliferation by a non-catalytic mechanism that requires extracellular signal-regulated kinase 1/2 activation through epidermal growth factor receptor and annexin A2. Am J Pathol 170, 1573–1584 (2007). [DOI] [PMC free article] [PubMed] [Google Scholar]
- Zheng L. et al. Tyrosine 23 phosphorylation-dependent cell-surface localization of annexin A2 is required for invasion and metastases of pancreatic cancer. PLoS One 6, e19390 (2011). [DOI] [PMC free article] [PubMed] [Google Scholar]
- Vishwanatha J. K., Chiang Y., Kumble K. D., Hollingsworth M. A. & Pour P. M. Enhanced expression of annexin II in human pancreatic carcinoma cells and primary pancreatic cancers. Carcinogenesis 14, 2575–2579 (1993). [DOI] [PubMed] [Google Scholar]
- Diaz V. M., Hurtado M., Thomson T. M., Reventos J. & Paciucci R. Specific interaction of tissue-type plasminogen activator (t-PA) with annexin II on the membrane of pancreatic cancer cells activates plasminogen and promotes invasion in vitro. Gut 53, 993–1000 (2004). [DOI] [PMC free article] [PubMed] [Google Scholar]
- Teta M., Rankin M. M., Long S. Y., Stein G. M. & Kushner J. A. Growth and regeneration of adult beta cells does not involve specialized progenitors. Dev Cell 12, 817–826 (2007). [DOI] [PubMed] [Google Scholar]
- Fendrich V. et al. Hedgehog signaling is required for effective regeneration of exocrine pancreas. Gastroenterology 135, 621–631 (2008). [DOI] [PMC free article] [PubMed] [Google Scholar]
- Zulewski H. et al. Multipotential nestin-positive stem cells isolated from adult pancreatic islets differentiate ex vivo into pancreatic endocrine, exocrine, and hepatic phenotypes. Diabetes 50, 521–533 (2001). [DOI] [PubMed] [Google Scholar]
- Ardestani A. et al. MST1 is a key regulator of beta cell apoptosis and dysfunction in diabetes. Nat Med 20, 385–397 (2014). [DOI] [PMC free article] [PubMed] [Google Scholar]
Associated Data
This section collects any data citations, data availability statements, or supplementary materials included in this article.









