Abstract
PURPOSE
In the current report, we describe a case of an extramedullary ependymoma involving a lumbar nerve root near conus medullaris. Spinal ependymomas commonly present as intramedullary tumors in the cervical or thoracic cord or as tumors arising from the conus medullaris or the filum terminale. In this case, we showed an extramedullary conus ependymoma involving a lumbar nerve root with filum terminale attachment.
CASE PRESENTATION
A 69-year-old woman presented with lower back pain, but without sensory disturbance or motor weakness in her lower extremities.
CLINICAL ASSESSMENT
Magnetic resonance imaging revealed an intradural mass at T12–L1 at the conus medullaris, which was totally resected. Histopathology revealed a non-myxopapillary ependymoma (WHO grade 2). Postoperatively, the patient did well and displayed no neurological deficits. Moreover, no radiotherapy was required.
CONCLUSIONS
This report documented a rare case of intradural extramedullary ependymoma located at the conus medullaris, involving the lumbar nerve root, and attached to the filum terminale. Although extramedullary ependymomas at this region are more frequently classified as myxopapillary, histopathological examination revealed this tumor as a non-myxopapillary ependymoma.
Keywords: ependymoma, intradural extramedullary spinal cord tumor, spinal tumor
Introduction
Ependymomas are generally slow-growing tumors that originate from ventricle walls or from the spinal canal and are composed of neoplastic ependymal cells. Intradural neoplasms represent approximately 45% of all spinal cord tumors and can be classified as either intra- (5%) or extramedullary (40%).1 Ependymomas are the most frequent primary intramedullary tumor, occupying approximately 60% of all intramedullary neoplasms.2 In the conus medullaris and cauda equina region, the most common intramedullary tumors are myxopapillary ependymomas3; the frequency of which is about 9–13%4 among all ependymomas. These tumors can originate from ependymal glia of the filum terminale and cauda equina and have smooth circumscription because of a connective tissue capsule. However, once the encapsulation breaks down, the tumors infiltrate or adhere to spinal nerve roots.2 In this report, we describe a case of an extramedullary conus ependymoma involving a lumbar nerve root with filum terminale attachment. Upon histopathological examination, we determined that this tumor was not a myxopapillary ependymoma, but was a WHO grade 2 ependymoma.
Case Report
A 69-year-old woman presented with a one-month history of lower back pain. She noted this pain at rest and during exercise, but had no lower limb weakness, numbness, or urinary disorder. On examination, the patient exhibited full strength in both the lower limbs and displayed no sensory disturbances. However, she had a diminished reflex grading of her bilateral patellar and Achilles deep tendon reflexes, and Babinski reflex was completely absent.
A lumbar spinal X-ray did not reveal any degenerative lumbar spinal diseases. However, thoracic–lumbar spinal magnetic resonance imaging demonstrated a homogeneously enhancing focal intradural extramedullary lesion at T12–L1 near the conus medullaris (Fig. 1A–E).
Figure 1.

(A) Sagittal T1-weighted image demonstrated isointensity intradural mass at T12–L1. (B) Sagittal T2-weighted image demonstrated iso or slightly high-intensity intradural extramedullary mass at T12–L1 near the conus medullaris. (C) Coronal post-gadolinium T1-weighted image showing that the congestive pial vein extended to the level of T11 (white arrow). (D) Sagittal post-gadolinium T1-weighted image demonstrated a 28 × 14 mm enhanced intradural extramedullary mass at T12–L1 near the conus medullaris. (E) Axial post-gadolinium T1-weighted image demonstrated that the tumor had compressed the conus medullaris to the left ventral side.
The patient underwent a T11–L1 laminectomy. After dura mater was exposed and incised, the local arachnoid membrane displayed adhesion and thickening to the dura in the dorsal aspect of the tumor (Fig. 2). Microforceps and microdissectors were used to carefully make a dissection between the dura and arachnoid membrane. An incision was then made in the arachnoid membrane. After retracting these membranes with stay sutures, a well-encapsulated, eccentrically located tumor was exposed. The tumor was carefully lifted, but was not freed because of its large size and adhesion to the filum terminale and lumbar nerve root (Fig. 3). After debulking the tumor via an ultrasonic surgical aspirator, it became clear that a lumbar nerve root was passing through the ventral surface of the tumor, just rostral to the caudal side. Additionally, the region where the tumor had attached to the filum terminale was abnormally thin (Fig. 4). The nerve root was carefully peeled from the tumor surface, and coagulation and sectioning of the thin filum terminale allowed for complete tumor removal. During surgery, motor and somatosensory evoked potentials and nerve integrity were monitored and revealed no signs of alarm.
Figure 2.

After opening the dura mater, adhesion between the arachnoid membrane and dura mater was confirmed in the dorsal aspect of the tumor (black arrow).
Figure 3.

Macroscopic appearance of the tumor at surgery: the tumor had involved a lumbar nerve root and attached to the filum terminale. The double black arrows indicate the lumbar nerve root that had been encompassed by the tumor.
Figure 4.

The tumor had not adhered to the conus medullaris (white arrow). Additionally, the tumor had attached to the filum terminale, which was determined to be remarkably narrowed (black arrow).
Histological examination showed perivascular pseudorosettes unique to ependymoma, but showed no mucin unique to myxopapillary subtype. It confirmed non-myxopapillary ependymoma (WHO grade 2) with a Ki-67 index of 1–3% (Fig. 5A–C). The patient experienced improvement in her lower back pain after surgery, and no new neurological deficits were noted during the postoperative period. Postoperative radiotherapy was not conducted because the tumor was radically resected.
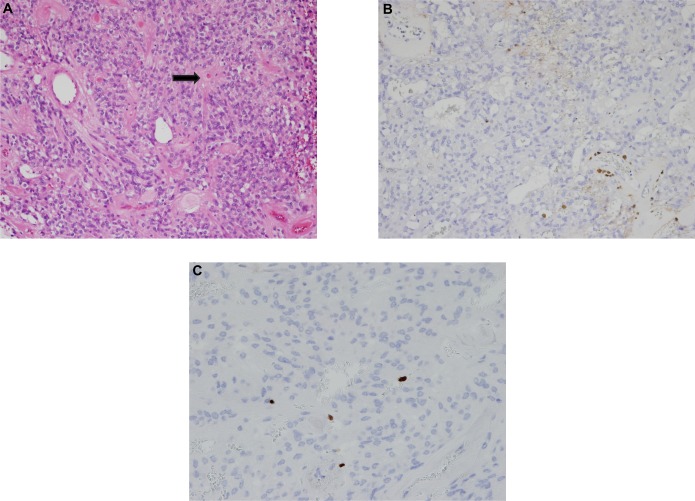
Figure 5.
(A) Perivascular pseudorosettes were identified (black arrow). There were no features unique to the myxopapillary subtype, such as mucin (hematoxylin and eosin, original magnification × 100). (B) Image showing tumor cells immunoreactive for GFAP is focal (original magnification × 100). (C) Ki-67 immunostaining of the tumor showing a mitotic index of 1–3% (original magnification × 200).
Discussion
Intradural extramedullary ependymomas are extremely rare except for those located within the filum terminale or conus medullaris.3,5,6 This is because a few nerve fibers, which probably represent rudimentary second and third coccygeal nerves, adhere to the outer surface of the filum terminale; furthermore, the central canal of the spinal cord extends downward into the filum terminale for 5 or 6 cm beyond the conus medullaris.7 Ependymomas originate from the ependymal or subependymal cells that line ventricular walls and the central canal of the spinal cord.
Myxopapillary ependymoma is a rare and distinct variant of ependymoma with a tendency for local recurrence and metastasis. They occur most commonly in the filum terminale or conus medullaris region, with non-myxopapillary subtypes accounting for less than 30% of all ependymomas in this area.8,9 Furthermore, there have been only two reports documenting ependymomas with spinal nerve root involvement3,10 (Table 1). It is extremely rare that a non-myxopapillary ependymoma (WHO grade 2) would be located near the conus medullaris and, further, would involve spinal nerve root with attachment of the filum terminale.
Table 1.
Clinical features of patients with extramedullary ependymomas near the conus medullaris and spinal nerve root.
| AUTHOR | DATA | AGE | GENDER | LOCATION | PRESENTATION | OPERATION | ADJUNCT TX | WHO GRADE | OUTCOME |
|---|---|---|---|---|---|---|---|---|---|
| Moser FG et al | 1992 | 31y | Female | L2–3 | LBP + Radiculopathy + | Laminectomy: complete resection | None | Myxopapillary ependymoma: grade 1 | No neurological deficit |
| Bonfield CM et al | 2011 | 87y | L2 | LBP + Radiculopathy + | Laminectomy: complete resection | None | Non-myxopapillary ependymoma: grade 2 | No neurological deficit | |
| Moriwaki T et al | 2012 | 69y | Female | T12-L1 | LBP + Radiculopat y − | Laminectomy: complete resection | None | Non-myxopapillary ependymoma: grade 2 | No neurological deficit |
Abbreviations: Tx, treatment; y, year; LBP, lower back pain.
In this case, the patient presented with lower back pain and no radicular pain. In the operative view, the adhesion was located between tumor planes and meningeal membranes, including the arachnoid and dural membranes around the tumor. Furthermore, attachment to the filum terminale had caused degeneration and thinning of this tissue. We speculated that the patient’s lower back pain might be caused by this adhesion, similar to what was seen in tethered cord syndrome, or the compression for conus medullaris.
Ependymomas have been reported in different parts of the body, including the broad ligament, omentum, ovaries, and mediastinum.11 Once the tumor loses its circumscription, it infiltrates to nearby regions or disseminates via the cerebral spinal fluid. In the current case, the ependymoma likely originated from the filum terminale since we observed this region being extremely narrowed during operation. Moreover, the tumor had not adhered to the conus medullaris, only attaching to the filum terminale and lumbar nerve root. Therefore, along with schwannomas, meningiomas, neurofibromas, and paragangliomas, ependymomas should also be considered in the differential diagnosis of intradural extramedullary tumors.12
Both spinal ependymomas and myxopapillary subtypes are reported to hemorrhage more frequently.9 Once a tumor at the conus medullaris or filum terminale begins to bleed, acute cauda equina syndrome may occur and could result in permanent neurological disturbances, including sphincter malfunction. Consequently, complete resection of these tumors should be attempted, even in patients not experiencing severe symptoms. Furthermore, if only partial tumor resection can be accomplished because of adhesions and/or other factors, postoperative radiotherapy may be required.5,9,13
In conclusion, our current report documented a rare case of intradural extramedullary conus ependymoma located near the conus medullaris, involving the lumbar nerve root and attached to the filum terminale. Although extramedullary ependymomas at this region are more frequently classified as myxopapillary, histopathological examination revealed this tumor as a non-myxopapillary ependymoma (WHO grade 2). Complete resection was accomplished; postoperative radiotherapy was therefore not required. Therefore, in the face of a unique and rare tumor case, we were able to perform successful surgical intervention.
Footnotes
ACADEMIC EDITOR: Athavale Nandkishor, Associate Editor
FUNDING: Authors disclose no funding sources.
COMPETING INTERESTS: Authors disclose no potential conflicts of interest.
Paper subject to independent expert blind peer review by minimum of two reviewers. All editorial decisions made by independent academic editor. Upon submission manuscript was subject to anti-plagiarism scanning. Prior to publication all authors have given signed confirmation of agreement to article publication and compliance with all applicable ethical and legal requirements, including the accuracy of author and contributor information, disclosure of competing interests and funding sources, compliance with ethical requirements relating to human and animal study participants, and compliance with any copyright requirements of third parties. This journal is a member of the Committee on Publication Ethics (COPE).
Author Contributions
Provided clinical care: TM, KI, YO, KN, TY. Analyzed the data: TM. Wrote the first draft of the manuscript: TM. Contributed to the writing of the manuscript: KI, YO, KN, TY. Agree with manuscript results and conclusions: TM, KI, YO, KN, TY. Jointly developed the structure and arguments for the paper: TM, KI, YO, KN, TY. Made critical revisions and approved final version: TM, KI, YO, KN, TY. All authors reviewed and approved of the final manuscript.
REFERENCES
- 1.Iunes EA, Stávale JN, de Cássia Caldas, Pessoa R, et al. Multifocal intradural extramedullary ependymoma. Case report. J Neurosurg Spine. 2011;14(1):65–70. doi: 10.3171/2010.9.SPINE09963. [DOI] [PubMed] [Google Scholar]
- 2.Sakai Y, Matsuyama Y, Katayama Y, et al. Spinal myxopapillary ependymoma: neurological deterioration in patients treated with surgery. Spine (Phila Pa 1976) 2009;34(15):1619–24. doi: 10.1097/BRS.0b013e3181a983d8. [DOI] [PubMed] [Google Scholar]
- 3.Bonfield CM, Amin D, Hamilton RL, Gerszten PC. Extramedullary ependymoma near the conus medullaris with lumbar nerve root attachment: case report. Neurosurgery. 2011;68(3):E831–4. doi: 10.1227/NEU.0b013e318209257e. [DOI] [PubMed] [Google Scholar]
- 4.Takei H, Kosarac O, Powell SZ. Cytomorphologic features of myxopapillary ependymoma: a review of 13 cases. Acta Cytol. 2009;53(3):297–302. doi: 10.1159/000325311. [DOI] [PubMed] [Google Scholar]
- 5.Rivierez M, Oueslati S, Philippon J, et al. Ependymoma of the intradural filum terminale in adults. 20 cases. Neurochirurgie. 1990;36(2):96–107. [PubMed] [Google Scholar]
- 6.Sun B, Wang C, Wang J, Liu A. MRI features of intramedullary spinal cord ependymomas. J Neuroimaging. 2003;13(4):346–51. [PubMed] [Google Scholar]
- 7.Gray H. Anatomy of the Human Body. Philadelphia: Lea & Febiger; 1918. [Google Scholar]
- 8.Donmez FY, Basaran C, Ulu EM, Guvenc Z, Tarhan NC. Unusual association of tethered cord, filum terminale lipoma, and myxopapillary ependymoma. Spine (Phila Pa 1976) 2008;33(22):E849–51. doi: 10.1097/BRS.0b013e318187ff55. [DOI] [PubMed] [Google Scholar]
- 9.Tait MJ, Chelvarajah R, Garvan N, Bavetta S. Spontaneous hemorrhage of a spinal ependymoma: a rare cause of acute cauda equina syndrome: a case report. Spine (Phila Pa 1976) 2004;29(21):E502–5. doi: 10.1097/01.brs.0000143663.27275.7f. [DOI] [PubMed] [Google Scholar]
- 10.Moser FG, Tuvia J, LaSalla P, Llana J. Ependymoma of the spinal nerve root: case report. Neurosurgery. 1992;31(5):962–964. doi: 10.1227/00006123-199211000-00024. discussion 964. [DOI] [PubMed] [Google Scholar]
- 11.Maeda S, Takahashi S, Koike K, Sato M. Primary ependymoma in the posterior mediastinum. Ann Thorac Cardiovasc Surg. 2011 2011 Jul 13;17(5):494–7. doi: 10.5761/atcs.cr.10.01615. Epub. [DOI] [PubMed] [Google Scholar]
- 12.Ando K, Imagama S, Ito Z, et al. Differentiation of spinal schwannomas and myxopapillary ependymomas: MR imaging and pathologic features. J Spinal Disord Tech. 2014;27(2):105–10. doi: 10.1097/BSD.0b013e31825017aa. [DOI] [PubMed] [Google Scholar]
- 13.Hanbali F, Fourney DR, Marmor E, et al. Spinal cord ependymoma: radical surgical resection and outcome. Neurosurgery. 2002;51(5):1162–72. doi: 10.1097/00006123-200211000-00010. discussion 1172–4. [DOI] [PubMed] [Google Scholar]

