Abstract
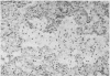
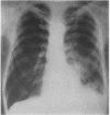
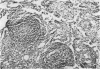
Paraffinoma of lung—localized lipoid pneumonia due to exogenous oil in the alveoli—must be remembered when considering unusual lung disorders, for this benign lesion can mimic lung cancer clinically, radiologically, during operation, and even on frozen section. Though usually caused by mineral oils taken as nose drops, sprays or laxatives, it can be caused by animal or vegetable oils. The lesion is essentially a macrophage response with phagocytosis of oil droplets. Symptoms can be minimal, simulating `virus pneumonia', local, with shortness of breath, cough, sputum, haemoptysis, and chest pain, or general. The history of oil ingestion, the finding of lipophages or free lipoid in the sputum, may suggest the diagnosis. Two cases treated 10 years earlier by lobectomy, one as lung cancer and the other as tuberculosis, and proven histologically to be paraffinoma of lung are described. Both patients had used oily nasal drops for chronic nasal sinusitis. Today they remain well.
Full text
PDF







Images in this article
Selected References
These references are in PubMed. This may not be the complete list of references from this article.
- BERG R., Jr, BURFORD T. H. Pulmonary paraffinoma (lipoid pneumonia); a critical study. J Thorac Surg. 1950 Sep;20(3):418–428. [PubMed] [Google Scholar]
- BROWN A. L. Lipoid pneumonia resulting from a dermoid cyst; case report. J Thorac Surg. 1950 Aug;20(2):260–265. [PubMed] [Google Scholar]
- BUECHNER H. A., STRUG L. H. Lipoid granuloma of the lung of exogenous origin. Dis Chest. 1956 Apr;29(4):402–415. doi: 10.1378/chest.29.4.402. [DOI] [PubMed] [Google Scholar]
- DAVIS E. W., HAMPTON A. O., BICKHAM C. E., WINSHIP T. Lipoid pneumonia simulating tumor. J Thorac Surg. 1954 Aug;28(2):212–219. [PubMed] [Google Scholar]
- Laughlen G. F. Studies on Pneumonia Following Naso-Pharyngeal Injections of Oil. Am J Pathol. 1925 Jul;1(4):407–414.1. [PMC free article] [PubMed] [Google Scholar]
- SIDDONS A. H. Oil granuloma of the lung: report of three cases. Br Med J. 1958 Feb 8;1(5066):305–307. doi: 10.1136/bmj.1.5066.305. [DOI] [PMC free article] [PubMed] [Google Scholar]
- STEINBERG I., FINBY N. Lipoid (mineral oil) pneumonia and cor pulmonale due to cardiospasm; report of a case. Am J Roentgenol Radium Ther Nucl Med. 1956 Jul;76(1):108–114. [PubMed] [Google Scholar]










